العربية

Pediatric Cases: Optimal Closure of the Distal Femur

Updated: Feb 2026 18 Views
Illustration of closure of the distal - Dr. Mohammed Hutaif
📋 MCQ Practice

CASE 8 A 7-year-old girl is transferred to the ER after suffering an injury playing tackle football with her older brothers. She has notable deformity of the right thigh and was in significant pain. She was placed in a traction splint at the outside hospital and sent with the following x-ray (Fig. 10–10).

Illustration 1 for Pediatric Cases: Optimal Closure of the Distal Femur
🔍 Click to enlarge
Clinical Radiograph / Orthopedic Image

Figure 10–10

You call for a portable x-ray (Fig. 10–11) to assess her alignment in traction while you obtain a full history from the family. They report that she is otherwise healthy and a very active “tomboy.” The nursing staff attempts to weigh her in the bed as part of her assessment and the weight is 35 kg. You find her to be hemodynamically stable on examination. She has no abdominal tenderness and the
other extremities have full, painless ROM of every joint and no tenderness or swelling. Her distal motor and sensory examination is intact in the injured leg.

Illustration 2 for Pediatric Cases: Optimal Closure of the Distal Femur
🔍 Click to enlarge
Clinical Radiograph / Orthopedic Image

Figure 10–11

What is the treatment of choice for this patient?

  1. Reduction and immediate spica cast
  2. Lateral trochanteric intramedullary nail fixation
  3. Traction followed by delayed spica casting
  4. Flexible intramedullary nails
  5. External fixation

Discussion

The correct answer is (D). Spica cast is an option, but the child is large enough and old enough that flexible nailing is an option and has been found to be better for the patient and family than spica casting (with or without traction). A lateral trochanteric nail is used for a child of at least 9 years of age or older who is over 49 kg and/or has a length unstable fracture. There are risks to consider of the trochanteric entry nail including greater trochanteric apophyseal arrest leading to growth abnormalities of the proximal femur and osteonecrosis of the femoral head (rare). External fixation is certainly an option for fracture treatment in children, but is usually reserved for severely comminuted or open fractures, or treatment of fractures in the setting of damage control orthopaedics. Thus, for this 7-year-old girl who weighs 35 kg and has a length stable fracture, reduction and flexible nail fixation would be the optimal choice. Treatment Options of Femur Fractures by Age ---
Less than 6 months Splint or Pavlik harness
6 months–2 years Spica cast
2–5 years Spica cast or flexible nails
6–8 years Flexible nails, submuscular plate, spica cast

8 years to adolescent Flexible nails (if under 50 kg), lateral trochanteric entry nail, submuscular
plate
Skeletally mature patient
| Adult implant
*An external fixator would be an option throughout these age groups if necessary. The fracture pattern and surgeon preference will significantly impact the type of fixation chosen.

You measure the preoperative x-ray at the isthmus. The measurement is 7.5 mm. You therefore decide to use __ mm nails to obtain __ % canal fill.

  1. Two 2.5-mm nails, 67% canal fill
  2. Two 3-mm nails, 80% canal fill
  3. One 3.0-mm nail and one 3.5-mm nail, 87% canal fill

Discussion

The correct answer is (B). The patient’s isthmus is 7.5 mm and the goal for flexible intramedullary nail fixation of a femur fracture is 80% canal fill. Available flexible nails come in increasing sizes with 0.5 mm difference. Since the goal is 80% fill, “B” is the correct answer because it uses two nails of the same size that together will fill 80% of the canal. “A” is not correct because that is less than ideal canal fill and could put the child at risk of failure of fixation. “C” is incorrect because using two nails of different sizes can contribute to loss of reduction and malalignment of the femur. Also, trying to obtain canal fill greater than 80% can lead to increased risk of complications.

The most common complication that you should inform parents about when recommending this form of treatment is:

  1. Infection
  2. Bleeding
  3. Pain at the knee (insertion sites)
  4. Loss of reduction

Discussion

The correct answer is (C). Pain/irritation at insertion sites. Available studies have shown low rates of infection, bleeding, and loss of reduction (with length stable fractures). The most common complication is irritation of the soft tissues at the end of the nails. It has been suggested that nails be left no more than 25 mm out of the bone to decrease this risk.

When discussing complications of femur fractures in general with the family preoperatively, what do you tell them about the amount of overgrowth that may occur?

  1. There is no risk of overgrowth at this age, overgrowth only happens in children under 2.
  2. Ipsilateral overgrowth does occur, average is less than 5 mm.
  3. Ipsilateral overgrowth does occur, usually around 9 mm in 2 to 10 year olds.
  4. Ipsilateral overgrowth does occur, usually between 15 and 20 mm in the 2 to 10 year olds.
  5. Overgrowth is a risk in children over 10, not in those younger than 10.

Discussion

The correct answer is (C). Children ages 2 to 10 are at risk for ipsilateral overgrowth after femur fracture. Although the range is around 4 to 25 mm, the average is around 9 mm. Children under 2 and those over 10 are not as likely to have overgrowth, so choices A and E are incorrect. Choices B and D are incorrect because they under- and overestimate the amount of likely overgrowth, respectively. Objectives: Did you learn...? Treatment options for diaphyseal femur fractures in children of various ages? Indications for flexible nail fixation in children and proper nail selection?
Risk of overgrowth in children who sustain diaphyseal femur fractures? CASE 9 A 14-year-old boy is brought to the ER with complaints of right knee pain after he was injured playing basketball. X-rays and a CT scan (CT Shown in Fig. 10–12) were done at an outside hospital and he was transferred to you for care.

Illustration 3 for Pediatric Cases: Optimal Closure of the Distal Femur
🔍 Click to enlarge
Clinical Radiograph / Orthopedic Image

Figure 10–12

What condition is thought to be a risk factor for this fracture?

  1. Patellofemoral syndrome
  2. Osgood–Schlatter disease
  3. Sinding-Larsen–Johansson syndrome
  4. Patellar tendonitis

Discussion

The correct answer is (B). Tibial tubercle fractures occur more commonly in adolescents with a history of Osgood–Schlatter disease, but a causal relationship has yet to be demonstrated. Osgood–Schlatter disease is an overuse injury caused by repetitive strain across the tibial tubercle apophysis. Tibial tubercle avulsion fractures are not known to occur more commonly in young people who have patellofemoral syndrome (anterior knee pain associated with overuse), Sinding-Larsen–Johansson syndrome (a condition similar to Osgood–Schlatter, affects the lower pole of the patella, not the tibial tubercle and therefore not associated with tibial tubercle fractures), nor in people who have inflammation of the patella tendon. Therefore, choices A, C and D are not correct.
You perform a thorough evaluation of the patient in the ER. He is neurovascularly intact—no weakness, no parasthesias. The soft tissues over the
tibial tubercle are swollen, but there is no tenting of the skin. The OR is not available, so you splint the patient and admit to the floor in anticipation of the OR in the morning. You monitor him closely for compartment syndrome because you know that there is a risk of developing compartment syndrome with this injury.

What compartment are you most concerned about and what vessel is at risk with this fracture?

  1. Anterior compartment—medial inferior geniculate
  2. Anterior compartment—recurrent anterior tibial artery
  3. Anterior compartment—anterior tibial artery
  4. Lateral compartment—recurrent anterior tibial artery
  5. Lateral compartment—fibular artery

Discussion

The correct answer is (B), Anterior compartment from injury to the recurrent anterior tibial artery. Knowledge of anatomy will allow you to come to the correct answer. Studies of this fracture have shown risk of isolated anterior compartment syndrome. It is very important in the perioperative period to monitor the neurovascular examination of patients with this injury—particularly of the anterior compartment. Most surgeons will release the anterior compartment fascia at the time of surgery to help reduce risk of anterior compartment syndrome postoperatively.

What treatment would you utilize to care for this patient?

  1. Closed reduction and application of cast
  2. Closed reduction and pinning
  3. Open reduction and pinning
  4. Open reduction and fixation with cannulated screws, arthrotomy
  5. Open reduction and suture fixation, arthrotomy

Discussion

The correct answer is (D). This patient has a type III fracture, and given the amount of displacement, an open reduction is necessary. Choices A and B can be excluded because a closed reduction with casting or pinning are not sufficient treatment methods for this fracture. Given the association of type III fractures with intra-articular pathology, it is recommended to perform an arthrotomy at the time of surgery to ensure that there is no meniscal injury or soft tissue incarceration and to
ensure that the joint surface is anatomically reduced. Some advocate using arthroscopy for this purpose rather than doing a full arthrotomy—this would depend on surgeon’s preference, but regardless of technique, it is important to evaluate. Screw fixation is preferred over pins or sutures, particularly in larger adolescents because of the significant pulling force that the quadricep exerts on the tibial tubercle. In children/very young adolescents (who very rarely get this injury) you may consider suture fixation with cast augmentation if there is concern regarding the growth plates, but the injury occurs far more commonly in adolescents in whom the growth plate is already closing, so screw fixation is preferred to give more stable fixation and allow an earlier return to range of motion (Fig. 10–13).

Illustration 4 for Pediatric Cases: Optimal Closure of the Distal Femur
🔍 Click to enlarge
Clinical Radiograph / Orthopedic Image

#### Figure 10–13 Objectives: Did you learn...? What a tibial tubercle fracture is and potential risk factors? Risk of compartment syndrome with tibial tuberosity fractures?

Treatment considerations for these fractures?

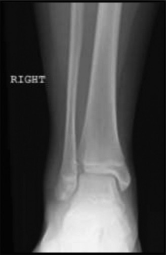
Potential for other intra-articular pathology with tibial tubercle fractures? CASE 10 You are called to the emergency room to evaluate a 13-year-old male complaining of acute right ankle pain. He reports that he injured his ankle earlier in the day when another player “took him out” during a soccer match. He was unable to bear weight through the right lower extremity and was brought promptly to the hospital for evaluation and management of his injury. An anteroposterior radiograph of the patient’s ankle is shown in Figure 10–14.

Illustration 5 for Pediatric Cases: Optimal Closure of the Distal Femur
🔍 Click to enlarge
Clinical Radiograph / Orthopedic Image

Figure 10–14

Which of the following answers correctly pairs the eponym commonly used to

describe this injury with the affected anatomic structure?

  1. Tillaux fracture; ATFL (anterior talofibular ligament)
  2. Tillaux fracture; AITFL (anterior inferior tibiofibular ligament)
  3. Chopart fracture; ATFL (anterior talofibular ligament)
  4. Chopart fracture; AITFL (anterior inferior tibiofibular ligament)
  5. Chaput fracture; ATFL (anterior talofibular ligament)

Discussion

The correct answer is (B). The radiograph shown demonstrates a Tillaux fracture, the eponym used to describe transitional ankle fractures in adolescents characterized by two main fragments: one fragment being the anterolateral distal tibial epiphysis and the second including the tibial metadiaphysis, the physis, and the posteromedial epiphysis. On an anteroposterior radiograph, the fracture line appears to run through the physis and exit through the epiphysis. The anatomic structure attached to this piece is the anterior inferior tibiofibular ligament (AITFL), one of the primary syndesmotic ligaments of the ankle. Chopart injuries involve the midtarsal joint. The Chaput fragment is another eponym (used more commonly in adult ankle fractures) to describe the fracture piece that remains attached to the AITFL. The anterior talofibular ligament (ATFL) is the most commonly injured structure in lateral ankle sprains.

After reviewing the patient’s radiographic imaging, you diagnose an injury involving the growth plate of the distal tibia. Which of the following answers correctly pairs the description of this injury with its associated Salter–Harris fracture classification?

  1. The fracture involves the physis only; Salter–Harris I or V
  2. The fracture exits from the physis into the metaphysis; Salter–Harris III
  3. The fracture exits from the physis into the metaphysis; Salter–Harris IV
  4. The fracture exits from the physis into the epiphysis; Salter–Harris III
  5. The fracture exits from the physis into the epiphysis; Salter–Harris IV

Discussion

The correct answer is (D). The Salter–Harris classification system for describing fractures in skeletally immature individuals is as follows: Salter–Harris I fractures involve the growth plate only and are not usually evident on plain radiographs. This is usually a clinical diagnosis. Salter–Harris II injuries involve the physis (growth plate) and then the fracture line “exits” into the metaphysis (away from the joint).
This metaphyseal fragment is often called a “Thurston–Holland” fragment. Salter–Harris III injuries involve the physis and then the fracture exits into the epiphysis (towards the joint). The injury depicted in Figure 10–14 is a Salter–Harris III. Salter–Harris IV injuries involve the growth plate, with extension of the fracture into both the epiphysis and metaphysis. Salter–Harris V injuries are crush injuries through the growth plate that are often radiographically indistinguishable from Salter–Harris I injuries initially, but have higher rates of physeal arrest due to the increased force that produces this injury.

The typical pattern of closure of the distal tibial physis is best described by which of the following?

  1. Medial → Central → Lateral
  2. Medial → Lateral → Central
  3. Central → Medial → Lateral
  4. Central → Lateral → Medial
  5. Lateral → Central → Medial

Discussion

The correct answer is (C). The pattern of physeal closure for the distal tibia is central-medial-lateral. This fact, coupled with the fact that the cartilaginous physis is the “weak link” in the chain (e.g., more likely to sustain injury than bone or ligament) helps explain the predictable patterns of ankle injury seen in adolescent “transitional” ankle fractures during the period of physeal closure. The primary mechanism for this injury is (choose the best answer). 1. Internal rotation of the foot
2. External rotation of the foot
3. Adduction of the foot
4. Supination of the foot
5. Dorsiflexion of the ankle

Discussion

The correct answer is (B). The classic cadaveric studies performed by Paul Jules Tillaux (a French surgeon), demonstrated that external rotation of the foot is the primary force that reliably reproduces an avulsion fracture of the distal anterolateral tibia at the insertion of the AITFL, now eponymously termed the
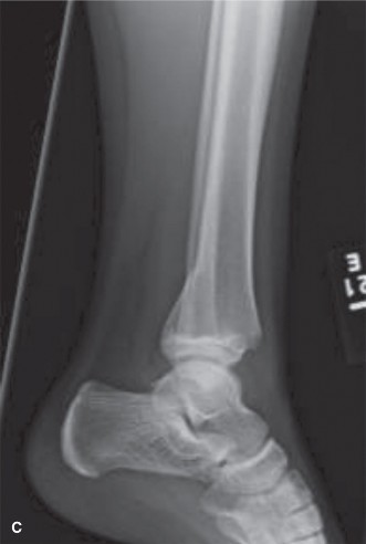
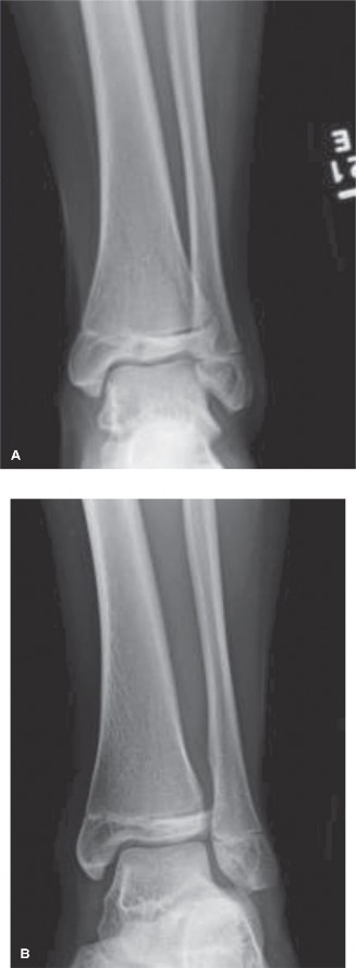
Tillaux fragment. Coincidentally, a 13-year-old male (a player for the opposing team) is in the next bed in the emergency room, awaiting evaluation of a left ankle injury that was sustained in a similar fashion later in the game. Upon your evaluation, his skin is closed, his foot and ankle are swollen, and he is able to actively flex and extend his toes with minimal discomfort. His initial radiographs are shown ( Fig. 10–15A C ). Based on the available imaging you diagnose this patient with a** ** (choose the correct group of answers).

Illustration 6 for Pediatric Cases: Optimal Closure of the Distal Femur
🔍 Click to enlarge
Clinical Radiograph / Orthopedic Image

Figure 10–15 A–B
Illustration 7 for Pediatric Cases: Optimal Closure of the Distal Femur
🔍 Click to enlarge
Clinical Radiograph / Orthopedic Image

Figure 10–15 C
1. Triplane fracture; Salter–Harris III on sagittal view; Salter–Harris II on anteroposterior (AP) view
2. Triplane fracture; Salter–Harris II on sagittal view; Salter–Harris III on AP view
3. Triplane fracture; Salter–Harris III on sagittal view; Salter–Harris III on AP view
4. Tillaux fracture; Salter–Harris III on sagittal view; Salter–Harris II on AP view
5. Tillaux fracture; Salter–Harris II on sagittal view; Salter–Harris III on AP view

Discussion

The correct answer is (B). Classically, triplane fractures have the radiographic appearance of a Salter–Harris II fracture on lateral radiographs and of a Salter–Harris III fracture (this is the Tillaux fragment) on coronal imaging.

You discuss this patient with the on-call attending and decide to perform closed reduction and long-leg splint application. The reduction maneuver should consist primarily of __(choose the best answer).

  1. Traction, internal rotation of the foot, and dorsiflexion of the ankle
  2. Traction, internal rotation of the foot, and plantarflexion of the ankle
  3. Traction, external rotation of the foot, and dorsiflexion of the ankle
  4. Traction, external rotation of the foot, and plantarflexion of the ankle
  5. Traction, abduction of the foot, and plantarflexion of the ankle

Discussion

The correct answer is (A). Sustained axial traction followed by maximal internal rotation and supination of the foot with dorsiflexion of the ankle is the maneuver employed to affect reduction of triplane ankle fractures in adolescents.

You recognize the importance of re-evaluating the fracture alignment following your reduction attempt. Therefore, the next step in evaluation of this patient’s injury might include (choose the best answer):

  1. Magnetic resonance imaging (MRI) without contrast of the left ankle
  2. Magnetic resonance imaging (MRI) with contrast of the left ankle
  3. Delayed gadolinium-enhanced MRI of cartilage (dGEMRIC) of the left ankle
  4. Computed tomography scan (CT) without contrast of the left ankle
  5. Computed tomography scan (CT) with contrast of the left ankle

Discussion

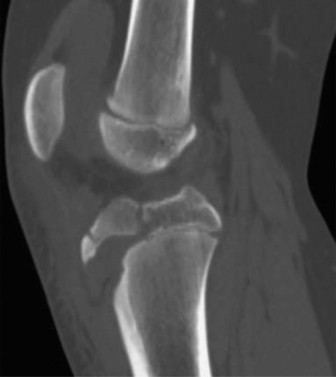
The correct answer is (D). In general, MRI is considered the “gold standard” for evaluation of soft tissue injuries, such as ligaments and tendons. dGEMRIC imaging (as its name implies) is used primarily to evaluate injury to the articular cartilage. CT scanning is generally considered the “gold standard” for evaluation of bony injury and alignment. Because your goal in evaluation post-reduction is assessment of the fracture alignment at the articular surface, a noncontrast CT scan is the best choice. Contrast enhancement in this setting would not add additional useful information. Post-reduction CT images are shown (Fig. 10–16A and B). Based on the images and measurement shown, you recommend (choose the best answer):

Illustration 8 for Pediatric Cases: Optimal Closure of the Distal Femur
🔍 Click to enlarge
Clinical Radiograph / Orthopedic Image

Figure 10–16 A–B
1. Continued immobilization, protected weightbearing with crutches, and serial radiographs to ensure maintenance of reduction
2. Continued immobilization, protected weightbearing with crutches, and serial three-dimensional imaging to ensure maintenance of reduction
3. Surgical reduction and internal fixation using a metaphyseal lag screw(s) construct
4. Surgical reduction and internal fixation using an all-epiphyseal lag screw(s) construct
5. Surgical reduction and internal fixation using a construct involving placement of lag screws in both the epiphyseal and metaphyseal fracture fragments
6. Surgical reduction and internal fixation using a physeal-spanning compression plate construct

Discussion

The correct answer is (E). In general, >2 mm of residual articular diastasis on radiographs is considered an indication for surgical intervention in an attempt to minimize abnormal joint contact forces and the resultant joint degeneration that occurs over time. This patient has >4 mm of residual articular gap measured on CT scan and is therefore a candidate for surgery. While surgical approaches to treatment of triplane fractures vary, one traditional approach is to reduce the articular surface (either open or percutaneously) and fix it in place using all-epiphyseal lag screws (with or without washers) placed perpendicular to the fracture line in an extraphyseal and extra-articular fashion. Depending on the size of the metaphyseal fragment, additional fixation with lag screws placed across the metaphyseal spike may optimize fracture fixation. This patient has a large metaphyseal fragment and would likely benefit from lag screw fixation in both the epiphyseal and metaphyseal fragments. Compression plating across a growth plate is not typically indicated.

Which of the following statement(s) is(are) TRUE?

A. Fractures with greater residual physeal diastasis following reduction are
thought to be more likely to go on to physeal arrest B. Fractures with greater residual articular diastasis
thought to be more likely to go on to physeal arrest C. Fractures with greater residual articular diastasis
thought to more likely to result in degenerative changes in the tibiotalar joint
D. A and C
E. B and C

Discussion

The correct answer is (D). One generally accepted goal for treatment of triplane fractures is to achieve and maintain <2 mm of fracture diastasis at the articular surface, in an attempt to minimize arthritic degeneration. Additionally, >3 mm residual physeal diastasis is significantly more likely to result in physeal closure following injuries involving the distal tibial physis.

Nine months after his initial presentation, the patient returns to your office for follow-up. You tell him that the most likely sequela of his injury to occur at this point is:

  1. Posttraumatic physeal closure of the distal tibia that does not require additional treatment
  2. Posttraumatic physeal closure of the distal tibia that requires corrective valgus osteotomy
  3. Posttraumatic physeal closure of the distal tibia that requires corrective varus osteotomy
  4. Posttraumatic physeal closure of the distal tibia that requires corrective extension osteotomy
  5. Nonunion of the Thurston–Holland fragment

Discussion

The correct answer is (A). Because transitional ankle fractures such as the Tillaux and triplane fractures occur at the time of physiologic physeal closure, clinically significant physeal arrest is unlikely to result. Nonunion of the Thurston–Holland fragment has not been reported. Objectives: Did you learn...?**

Relevant anatomy for transitional ankle fractures?

Proper application of the Salter–Harris classification system for fractures involving the growth plate?

Proper steps for initial work-up and treatment of transitional ankle fractures? Indications and approaches for surgical treatment of transitional ankle fractures?

Table of Contents
Dr. Mohammed Hutaif
Written & Medically Reviewed by
Consultant Orthopedic & Spine Surgeon