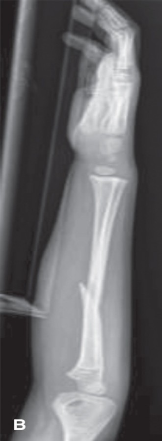
CASE 5 A 4-year-old girl fell from a playground structure, suffering the injury shown in the x-ray (Fig. 10–6A and B).

Figure 10–6 A

Figure 10–6 B
On examination, she is complaining of pain in her right arm. Her motor examination and sensation are intact. The forearm has some swelling with deformity, but there is no concern for compartment syndrome at this time.
What is your approach to treatment of this fracture?
- Closed reduction and casting with the forearm pronated, elbow to 110 degrees flexion
- Closed reduction and casting with the forearm in supination, elbow to 110 degrees flexion
- Closed reduction and casting with the forearm neutral and elbow at 90 degrees
- Open reduction and internal fixation of the ulna and pinning of the radiocapitellar joint
Discussion
The correct answer is (B). Closed reduction and casting with the forearm in supination and elbow flexed above 90 degrees. This is a Bado 1 Monteggia fracture. Fracture reduction is achieved by longitudinal traction of the forearm to reduce the ulna along with flexion, supination, and direct pressure over the radial head to reduce the radiocapitellar joint. The fracture is then casted in flexion of about 110 degrees, supinated to tighten the interosseous membrane, and then relaxation of the biceps to help hold the reduction. Close follow-up is imperative given the high risk of displacement. Many would advocate for treatment of this fracture with closed reduction and fixation of the ulnar fracture with an intramedullary wire. This method is often preferred due to the low risk of complications and the increase in stability of the reduction. This however was not an option here. “A” is incorrect because supination helps stabilize the reduction, not pronation. The forearm and elbow in neutral, choice C, also does not optimize stability of the reduction so would not be the preferred option. “D” is incorrect because pinning of the radiocapitellar joint is not needed nor recommended.
The patient is discharged home with strict instructions to follow-up within the week for x-rays to ensure that the ulna and radiocapitellar joint remain reduced. They end up not coming back in for 4 weeks because “some things came up,” and they didn’t show for their appointments. On follow-up x-rays, the ulna fracture has healed with an apex radial malunion of about 10 degrees, and the radiocapitellar joint is again dislocated.
What is your recommendation?
- Observation
- Open reduction of the radiocapitellar joint and reconstruction of the annular ligament
- Ulnar osteotomy, reduction of the radiocapitellar joint, and reconstruction of the annular ligament
- Radial head resection
Discussion
The correct answer is (C). The child has a chronic Monteggia fracture and the recommendation would be to try to restore normal anatomic alignment of the limb. Because the ulna has a malunion in the position where it would encourage the radial head to dislocate, the ulna needs to be cut, lengthened, and the angulation corrected. This change in the ulnar anatomy will then allow for the radial head to be reduced back into alignment with the capitellum, and the joint can be stabilized with annular ligament reconstruction. Because of the deformity of the ulna, trying to reduce the radiocapitellar joint would be quite difficult, and even if you were able to obtain a reduction intraoperatively, angulation of the ulna may push the radial head back out over time. Therefore “B” is not correct because it does not do enough to restore anatomy of the elbow and forearm. “D” is incorrect because we do not resect the radial head in children.
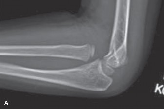
After seeing the above patient in follow-up in your clinic, you move to the next room and meet a 7-yearold who had a fall about 5 days ago. She has pain in the elbow when her splint is removed, and there is tenderness over the radial head and swelling of the soft tissues. Her distal motor, sensory, and vascular examinations are normal. You order new x-rays of the elbow and see the following (Fig. 10–7A and B).

Figure 10–7 A

Figure 10–7 B
What is your next step in management of this patient?
- Obtain x-rays of the contralateral elbow
- Obtain x-rays of the ipsilateral forearm
- Perform a closed reduction in the ER followed by an arthrogram
- Obtain a CT scan of the elbow
- Obtain an MRI of the elbow
Discussion
The correct answer is (B). Obtaining x-rays of the ipsilateral forearm would be the next step for evaluation of this child. She has an obvious radial head dislocation. Isolated radial head dislocations are thought to not happen in children—they are usually associated with an injury to the ulna which can be a very subtle ulnar bow. Failure to recognize the ulna deformity can compromise the success of any attempt at radiocapitellar joint reduction—the ulna often has to be corrected via an osteotomy to allow for the radiocapitellar joint reduction. A full forearm x-ray on this patient confirmed that there was a subtle ulnar bow relative to a straight line drawn down the x-ray (Fig. 10–8).

Figure 10–8 Objectives: Did you learn...? The importance of checking the radiocapitellar alignment on every pediatric elbow x-ray?
The classification of Monteggia fractures and treatment options for acute injuries? OK