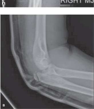
CASE 4 An 11-year-old girl was transferred from an outside hospital for further evaluation and treatment. Earlier that day, she had been at a gymnastics meet when, upon dismount, she over-rotated and landed on her arm rather than sticking the landing. She had immediate pain and gross deformity of her elbow. She was transported to her local emergency room. An orthopaedic surgeon was called in after x-rays confirmed elbow dislocation. The surgeon performed a reduction in the ER and then splinted the elbow. Postreduction x-rays were obtained (Fig. 10–5A and B) and revealed the following.


Figure 10–5 A–B
What is the appropriate treatment at this point?
- Long-arm cast for 2 weeks, followed by hinged elbow brace for additional 2 weeks
- Long-arm cast for 2 weeks, followed by physical therapy
- Hinged elbow brace with immediate initiation of range of motion
- Closed reduction and percutaneous pin fixation
- Open reduction and internal fixation
Discussion
The correct answer is (E). The radiographs of the elbow demonstrate an incarcerated medial epicondyle. Medial epicondyle fractures occur from a valgus stress across the elbow. About 50% are associated with an elbow dislocation. The flexor-pronator mass originates on the medial epicondyle and, with a valgus force across the elbow, can avulse the medial epicondyle off the humerus. If there is a dislocation, sometimes with reduction, the medial epicondyle is pulled into the joint and becomes incarcerated. An incarcerated medial epicondyle is the undisputed indication for surgical intervention for a medial epicondyle fracture. Open reduction with screw fixation (usually with a washer) is the preferred method of treatment as it allows for early motion. Percutaneous pinning is an option for young children. Casting is an option if the fracture is not incarcerated, the elbow is stable, and there is not significant displacement (amount of displacement that indicates operative intervention remains controversial).
What muscles attach to the avulsed structure?
- Flexor carpi radialis, flexor digitorum superficialis, flexor carpi ulnaris
- Extensor carpi radialis longus, extensor carpi radialis brevis, extensor digitorum
- ECRL, ECRB, extensor digitorum, extensor carpi ulnaris
- Pronator teres, flexor carpi radialis, palmaris longus, flexor digitorum superficialis, flexor carpi ulnaris
- Pronator teres, flexor carpi radialis, palmaris longus, flexor digitorum superficialis
Discussion
The correct answer is (D). The flexor-pronator mass is what originates on the medial epicondyle. The flexor-pronator mass is comprised of pronator teres, flexor carpi radialis, palmaris longus, flexor digitorum superficialis, and flexor carpi ulnaris. The extensors originate on the lateral aspect of the humerus.
The medial epicondyle ossification center appears around what age in boys?
- Before the age of 2
- Between ages 2 and 5
- Between ages 7 and 8
- Between ages 10 and 12
- After age 12
Discussion
The correct answer is (C). We are classically taught that the appearance of elbow ossification centers occurs in a predictable pattern—although it has also been shown that ossification can be quite varied among individuals. The capitellum ossifies first
—by around age 1. The radial head develops second. In boys, this occurs at age 5 to 6 (4–5 in girls). The third ossification center is the medial epicondyle—it appears around the age of 7 to 8 (5–6 in girls). The trochlea and olecranon ossification centers follow—around age 10. The lateral epicondyle develops after age 10. It is important to know what structures ossify when in order to evaluate the radiographs of pediatric patients and assess for injury/alterations in normal anatomy. Not knowing that the medial epicondyle ossifies before the trochlea, olecranon and lateral epicondyle can lead to a missed medial epicondyle incarceration after elbow trauma. Objectives: Did you learn...?
The anatomy of the medial epicondyle and mechanism of avulsion? Absolute indication for surgical fixation of medial epicondyle fracture? Ossification pattern of the pediatric elbow?