CASE 19 A 14-year-old female soccer player presents with a 1 year history of anterior knee pain. The pain presents when the patient is warming up, abates in the heat of competition, and re-presents again after sporting activity. She uses her entire hand to describe the location of the pain in her knee. She has discomfort going up and down
stairs and when she sits for long periods of time. She feels as if “sandpaper” is under her knee. She denies any effusion, fevers, chills, night sweats, or sick contacts. Besides generalized tenderness over the patellar facets, her knee examination is unremarkable.
What is the next best course of action?
- AP and frog pelvis radiographs
- MRI of the knee to rule out an osteochondral lesion
- AP, lateral, notch, and merchant views of the affected knee
- Assessment of flexibility and strength
Discussion
The correct answer is (D). The vast majority of patients with anterior knee pain possess deficits in core strength, single leg balance, and flexibility. This should be assessed prior to further imaging. The patient is not of the typical age for a slipped capital femoral epiphysis nor does she present as such; therefore imaging of the pelvis is not necessary. Physical examination should always proceed a radiographic work-up (and may not be necessary if there is no concerning physical examination findings); as a result both plain films and an MRI are not necessary at this time.
After a thorough physical examination, it is noted that the patient does lack flexibility and strength contributing to her anterior knee pain. Beyond the principles of rest, ice, and anti-inflammatory medications, you decide that a course of physical therapy would be appropriate.
What area should the physical therapists concentrate on?
- Core and hip muscle stretching/strengthening
- Quadriceps and hamstring strengthening
- Massage of the peripatellar region
- Upper body weight lifting
Discussion
The correct answer is (A). Proximal stretching and strengthening has been shown to be extremely effective in the management of anterior knee pain in the literature. Traditionally, quadriceps and hamstring strengthening was utilized in the treatment of anterior knee pain. This ignored the fact that the body’s inability to stabilize itself and absorb load appropriately proximally was a much larger risk factor when compared to developing muscles which were likely already developed in athletic
individuals. Upper body weight lifting has no role in the management of anterior knee pain. Although peripatellar massage may help, it should not be the central aspect of rehabilitation.
Which of the following modalities has NOT been shown to be effective in reducing anterior knee pain arising from patellofemoral syndrome?
- McConnell taping
- Bracing
- Physical therapy
- Rest from activity
Discussion
The correct answer is (B). Bracing has not been shown to be effective for pain reduction in patients with patellofemoral syndrome. Although the mechanism is not clear, McConnell taping has been shown to reduce pain. Not surprisingly, rest from activity and physical therapy is beneficial as well.
After a course of appropriate physical therapy, the patient’s pain is isolated to the medial aspect of the knee in the distribution shown in Figure 10–37. Pain is particularly present between 30 and 70 degrees of flexion and is accompanied by a snapping sensation.

Figure 10–37
What is the most likely structure causing the pain?
- Medial plica
- Medial meniscus
- Medial collateral ligament
- OCD lesion
Discussion
The correct answer is (A). The patient’s pain is in the location of the medial patellar plica which can cause a snapping sensation between 30 and 70 degrees of flexion as the synovial fold is caught between the patella and femur. The medial meniscus would present with pain located more posteriorly over the joint line. The medial collateral ligament would give the patient instability rather than localized pain in a certain arc of movement. Although pain from an OCD could potentially give pain in the region described, the snapping sensation as well as the isolated arc over which the pain is occurring is atypical for an OCD. Objectives: Did you learn...? The clinical presentation of anterior knee pain?
Key assessment principles of the young patient with anterior knee pain? The emphasis on proximal rehabilitation in anterior knee pain?
The efficacy of various treatment modalities for pain in patellafemoral syndrome?
The presence of medial plica syndrome in the diagnosis of anterior knee pain? CASE 20 A 16-year-old, right-handed female presents to your office with complaint of bilateral shoulder pain, worse on the right than the left, that has been present for “as long as she can remember.” She cannot recall a specific injury. She tells you the pain is achy in nature and is worse when she does overhead activities, including volleyball. She feels like her shoulders “pop in and out.” On physical examination, she exhibits scapular dyskinesis, 2+ anterior and posterior load-and-shift testing bilaterally, and 10 degrees hyperextension of both elbows. Her active and passive shoulder ROM is equal, with 180 degrees of forward flexion and 180 of abduction.
What physical examination finding would suggest incompetence of her rotator
interval?
- A positive “hornblower’s” sign
- A positive “bear-hug” test
- A sulcus sign with the arm held in neutral rotation
- A sulcus sign with the arm held in 30 degrees of external rotation
- A sulcus sign with the arm held in 30 degrees of internal rotation
Discussion
The correct answer is (D). The rotator interval is an anatomic structure whose boundaries include the superior edge of the subscapularis tendon and the anterior edge of the supraspinatus tendon. The contents of the rotator interval include the coracohumeral ligament, the glenohumeral capsule, the superior glenohumeral ligament, and the biceps tendon. The rotator interval has been shown to play an important role in glenohumeral stability; laxity of the rotator interval is associated with increased glenohumeral motion and increased humeral head translation. Competence of the rotator interval is commonly evaluated by looking for the disappearance of the sulcus sign with the arm held in an externally rotated position. (A positive sulcus sign is the appearance of a gap greater than 1 to 2 cm inferior to the acromion when a downward-directed pressure is applied to the adducted arm held in a neutral position, and is considered indicative of ligamentous laxity and/or inferior humeral instability.) Repeating this maneuver with the arm held in external rotation normally results in the disappearance of the sulcus sign. For patients with pathologic laxity of the rotator interval, however, the sulcus sign persists in this position.
Additional examination findings include a positive anterior apprehension test on the right, and you become concerned for an injury to the anterior-inferior glenoid labrum. Her radiographs do not reveal a frank bony lesion. What is the best study to further evaluate her shoulder for this injury?
- A three-dimensional computed tomography (3D-CT) scan of the shoulder
- Magnetic resonance imaging (MRI) of the shoulder performed with and without IV contrast
- An MRI arthrogram of the shoulder
- A delayed gadolinium-enhanced MRI of cartilage (dGEMRIC) of the shoulder
- A three-phase bone scan
Discussion
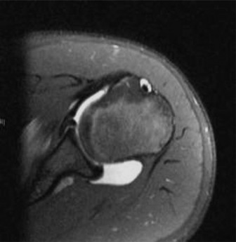
The correct answer is (C). 3D-CT is a powerful test to evaluate osseous anatomy and injury. However, it is not the best test to evaluate injuries that primarily involve soft tissue, such as labral or cartilage lesions. Additionally, CT imaging carries with it an inherent risk of exposure to radiation, which ideally is avoided in young patients. While an MRI of the shoulder with and without IV contrast may be useful in this setting, it is unlikely to be as useful for evaluating labral pathology as an MRI arthrogram. An MRI arthrogram of the shoulder, in which radiopaque dye is injected into the shoulder prior to image acquisition, is the “gold standard” test for evaluating labral pathology. The MRI arthrogram for patients with labral tears will exhibit a characteristic appearance in which the dye “turns the corner,” tracking underneath the labrum and around the glenoid (see Figure 10–38). dGEMRIC MRI is most helpful for assessing cartilage injury. Three-phase bone scans may be used to identify areas of high metabolic activity (such as tumor, injury, or infection) but would not be useful in this setting.

Figure 10–38 T2 axial image of an MRI arthrogram of the shoulder, exhibiting an anterior labral tear.
Review of your patient’s diagnostic imaging does not reveal a discrete injury in the shoulder, although the axillary pouch appears “patulous” and the rotator interval is widened. You decide to recommend physical therapy and oral nonsteroidal anti-inflammatory medicine as a first line of treatment.
In addition to core strengthening, physical therapy should focus on achieving
what goal(s)?
- Strengthening the static stabilizers of the shoulder
- Strengthening the dynamic stabilizers of the shoulder
- Restoration of normal muscle coordination through proprioceptive and neuromuscular retraining
- A and B
- A and C
- B and C
- A, B, and C
Discussion
The correct answer is (F). You have diagnosed this patient with atraumatic multidirectional shoulder instability, and physical therapy remains a first line of treatment for this clinical entity. Physical therapy should include strengthening of the core musculature and the entire kinetic chain. Strengthening the dynamic stabilizers of the shoulder, including the rotator cuff musculature, the periscapular musculature, the biceps and the deltoid, is a critical component of therapy. Additionally, patients with MDI frequently exhibit uncoordinated muscle activity patterns, abnormal scapulothoracic motion, and overall poor shoulder kinematics; neuromuscular/proprioceptive retraining to improve these parameters is also a cornerstone of nonoperative treatment. The static stabilizers of the shoulder include the glenohumeral ligaments, the glenoid labrum, and the bony congruity of the glenoid/humerus articulation. These cannot be changed with physical therapy.
Your patient returns for follow-up after completing 12 months of your prescribed physical therapy regimen and reports little symptomatic improvement. Her examination continues to reveal unrestricted shoulder motion, 2+ load-and-shift testing, inferior laxity, and mild anterior apprehension. Based on her failure to respond to what you consider appropriate nonoperative therapy, you initiate a discussion about possible surgical treatments, including both open and arthroscopic capsular plication/shift procedures.
You counsel her that:
- She is more likely to have recurrent instability with an arthroscopic procedure.
- She is more likely to return to sports with an arthroscopic procedure.
- There is a higher rate of postoperative complications with an open procedure.
- She may lose roughly 10 degrees of external rotation with either an open or an arthroscopic procedure.
- Thermal capsulorrhaphy is a safe and effective adjunctive arthroscopic tool.
Discussion
The correct answer is (D). While an open capsular shift procedure has been the standard of treatment for decades, arthroscopic capsular plication using either suture-only or suture anchor constructs has been shown to have similar rates of failure (<10% re-dislocation rate); similar return-to-sport rates (~85%) and similar complication rates. Both procedures are associated with minor losses in shoulder motion, specifically external rotation, although there is no significant difference in loss of external rotation between patients treated with open inferior capsular shift and arthroscopic capsular plication. The use of thermal capsulorrhaphy for treatment of MDI has been associated with catastrophic complications, including glenohumeral chondrolysis, capsular necrosis, and injury to the axillary nerve.
During the course of the follow-up office visit, your patient’s mother asks if you would evaluate her younger daughter, who is 14. This patient also has achy bilateral shoulder pain and reports discomfort when doing activities of daily life, such as brushing her hair or pulling on a shirt. Additionally, she reports that she has dislocated both of her kneecaps and has had recurrent ankle sprains. You notice that she is 5′10″, quite thin, and towers over her mother and older sister.
In addition to performing a thorough musculoskeletal examination, what other referrals might you consider making?
- Genetics, cardiology, ophthalmology
- Genetics, rheumatology, ophthalmology
- Nephrology, cardiology, ophthalmology
- Nephrology, cardiology, rheumatology
- Nephrology, genetics, rheumatology
Discussion
The correct answer is (A). This patient has symptoms of generalized ligamentous laxity in addition to clinical findings (tall stature, thin habitus) that are suggestive of a connective tissue disorder, such as Marfan’s syndrome. Marfan’s syndrome is a
genetic disease affecting the protein Fibrillin-1 that is inherited in an autosomal dominant pattern. The most common extraskeletal manifestations of Marfan’s syndrome are cardiovascular (mitral valve prolapse, aortic aneurysm) and ophthalmologic (ectopia lentis—lens subluxation; astigmatism, nearsightedness, detachment of the retina). Common musculoskeletal manifestations include scoliosis, pectus excavatum, hypermobility of the joints, and arachnodactyly. Shoulder instability in the setting of Marfan’s syndrome is a different clinical entity from multidirectional shoulder instability, with poorer outcomes resulting from both surgical and nonoperative treatment. Objectives: Did you learn...?
Key components of history and physical examination for MDI? Appropriate selection of diagnostic tests for MDI?
Basic treatment algorithm for MDI?
Underlying genetic disorders that may be associated with MDI?