CASE 17 A 10-year-old female soccer player presents to the sports clinic with a several month history of knee pain and swelling along the lateral joint line. The patient notes pain and a snapping sensation laterally. She also describes occasional mechanical symptoms as well. On physical exam she is unable to fully extend the knee. The patient otherwise has a stable ligamentous examination of the knee. Radiographs are obtained and shown in Figure 10–29.

Figure 10–29
The next course of action is:
- Physical therapy for iliotibial band tendonitis
- MRI of the knee
- Corticosteroid injection
- Reassurance
Discussion
The correct answer is (B). The patient’s clinical examination is concerning for meniscal injury (lateral joint line pain) with the snapping sensation concerning for an unstable meniscus. The radiographs demonstrate lateral joint space widening, cupping of the lateral tibial plateau, and a hypoplastic lateral tibial spine—all suggestive of a discoid meniscus. Discoid menisci are classified using the Watanabe classification as complete, incomplete, or Wrisberg (lack of posterior meniscotibial attachment to the tibia). Unstable variants create the classic “snapping” sensation. The diagnosis of a discoid meniscus can be made with three or more 5-mm sagittal images with meniscal continuity. As the patient has had several months of pain with
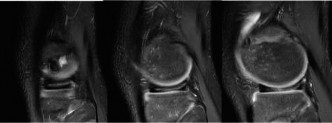
mechanical symptoms and swelling, reassurance is not appropriate. Although IT band tendonitis can cause “snapping” it is not accompanied by loss of extension and swelling. Corticosteroid injections should be utilized sparingly in the pediatric population; particularly when a diagnosis has not been made. The patient then obtains an MRI which is shown inFigure 10–30. The next appropriate step in management is: 
Figure 10–30
1. Lateral compartment unloader bracing and physical therapy
2. Arthroscopy
3. Long-leg casting × 6 weeks
4. Return to unrestricted sporting activity
Discussion
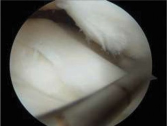
The correct answer is (B). If the patient were asymptomatic, then the discoid meniscus could simply be observed with a return to unrestricted sporting activity. For a younger patient who is intermittently symptomatic and/or elects to not undergo operative intervention, lateral compartment unloader bracing may be appropriate until the patient and/or family agree to intervention. Long-leg casting is not appropriate and will do nothing more than cause stiffness, loss of strength, and range of motion. As the patient is symptomatic, has mechanical symptoms, and has potential tearing seen on MRI, arthroscopic intervention is indicated to examine the meniscus and intervene. The patient is taken to surgery, and intraoperative images ( Figs. 10–31 and 10–32 **) are shown. The next step in management is:**
1. Complete meniscectomy
2. No intervention; the knee looks normal
3. Saucerization
4. Chondroplasty

Figure 10–31

Figure 10–32
Discussion
The correct answer is (C). The arthroscopic images demonstrate a complete discoid meniscus which is covering the entire lateral tibial plateau. As the patient is symptomatic from the meniscus, saucerization is the first step in management. The meniscus is trimmed back using a combination of shavers and biters to a stable peripheral rim, which replicates the width of the native meniscus. Complete meniscectomy would not be indicated in a patient of this age due to the high risk of early onset degenerative arthritis. In fact, even prior to intervention, many discoid menisci have been associated with the development of lateral hemijoint osteochondral lesions. Although chondroplasty may be necessary, the meniscus is the underlying problem causing chondral wear and must be dealt with first. After saucerization is performed, the meniscus is probed and the following arthroscopic image is seen (Fig. 10–33). The next step in management is: 
Figure 10–33
1. No further work is necessary; the meniscus has been returned to a stable rim
2. Continuation of the saucerization; too much meniscus remains
3. Microfracture of the lateral femoral condyle
4. Repair of the unstable peripheral rim of the meniscus
Discussion
The correct answer is (D). The arthroscopic image demonstrates an unstable peripheral rim of the meniscus which an attempt should be made to repair. The meniscus has been trimmed adequately but instability remains. Further saucerization without repair may lead to very little to no meniscus remaining which can lead to early degeneration. Although chondral damage may be present in association with the meniscus, there is no exposed subchondral bone to suggest the need for microfracture. Various repair techniques (inside-out, outside-in, all-inside) are available to the surgeon and should be utilized based on surgeon preference and experience. Objectives: Did you learn...?
The clinical presentation and physical examination findings of discoid meniscus? The MRI criteria for diagnosis of discoid menisci?
The Watanabe classification of discoid menisci?
The indications for operative intervention and the surgical approach to discoid menisci?
The importance of saucerization and assessment of peripheral rim instability?
The increased risk of OCD lesions and arthritis with this pathology, particularly after total meniscectomy?