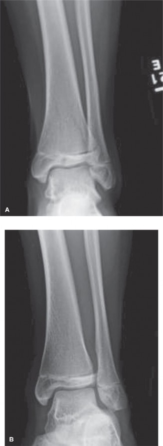
CASE 10 You are called to the emergency room to evaluate a 13-year-old male complaining of acute right ankle pain. He reports that he injured his ankle earlier in the day when another player “took him out” during a soccer match. He was unable to bear weight through the right lower extremity and was brought promptly to the hospital for evaluation and management of his injury. An anteroposterior radiograph of the patient’s ankle is shown in Figure 10–14.

Figure 10–14
Which of the following answers correctly pairs the eponym commonly used to
describe this injury with the affected anatomic structure?
- Tillaux fracture; ATFL (anterior talofibular ligament)
- Tillaux fracture; AITFL (anterior inferior tibiofibular ligament)
- Chopart fracture; ATFL (anterior talofibular ligament)
- Chopart fracture; AITFL (anterior inferior tibiofibular ligament)
- Chaput fracture; ATFL (anterior talofibular ligament)
Discussion
The correct answer is (B). The radiograph shown demonstrates a Tillaux fracture, the eponym used to describe transitional ankle fractures in adolescents characterized by two main fragments: one fragment being the anterolateral distal tibial epiphysis and the second including the tibial metadiaphysis, the physis, and the posteromedial epiphysis. On an anteroposterior radiograph, the fracture line appears to run through the physis and exit through the epiphysis. The anatomic structure attached to this piece is the anterior inferior tibiofibular ligament (AITFL), one of the primary syndesmotic ligaments of the ankle. Chopart injuries involve the midtarsal joint. The Chaput fragment is another eponym (used more commonly in adult ankle fractures) to describe the fracture piece that remains attached to the AITFL. The anterior talofibular ligament (ATFL) is the most commonly injured structure in lateral ankle sprains.
After reviewing the patient’s radiographic imaging, you diagnose an injury involving the growth plate of the distal tibia. Which of the following answers correctly pairs the description of this injury with its associated Salter–Harris fracture classification?
- The fracture involves the physis only; Salter–Harris I or V
- The fracture exits from the physis into the metaphysis; Salter–Harris III
- The fracture exits from the physis into the metaphysis; Salter–Harris IV
- The fracture exits from the physis into the epiphysis; Salter–Harris III
- The fracture exits from the physis into the epiphysis; Salter–Harris IV
Discussion
The correct answer is (D). The Salter–Harris classification system for describing fractures in skeletally immature individuals is as follows: Salter–Harris I fractures involve the growth plate only and are not usually evident on plain radiographs. This is usually a clinical diagnosis. Salter–Harris II injuries involve the physis (growth plate) and then the fracture line “exits” into the metaphysis (away from the joint).
This metaphyseal fragment is often called a “Thurston–Holland” fragment. Salter–Harris III injuries involve the physis and then the fracture exits into the epiphysis (towards the joint). The injury depicted in Figure 10–14 is a Salter–Harris III. Salter–Harris IV injuries involve the growth plate, with extension of the fracture into both the epiphysis and metaphysis. Salter–Harris V injuries are crush injuries through the growth plate that are often radiographically indistinguishable from Salter–Harris I injuries initially, but have higher rates of physeal arrest due to the increased force that produces this injury.
The typical pattern of closure of the distal tibial physis is best described by which of the following?
- Medial → Central → Lateral
- Medial → Lateral → Central
- Central → Medial → Lateral
- Central → Lateral → Medial
- Lateral → Central → Medial
Discussion
The correct answer is (C). The pattern of physeal closure for the distal tibia is central-medial-lateral. This fact, coupled with the fact that the cartilaginous physis is the “weak link” in the chain (e.g., more likely to sustain injury than bone or ligament) helps explain the predictable patterns of ankle injury seen in adolescent “transitional” ankle fractures during the period of physeal closure. The primary mechanism for this injury is (choose the best answer). 1. Internal rotation of the foot
2. External rotation of the foot
3. Adduction of the foot
4. Supination of the foot
5. Dorsiflexion of the ankle
Discussion
The correct answer is (B). The classic cadaveric studies performed by Paul Jules Tillaux (a French surgeon), demonstrated that external rotation of the foot is the primary force that reliably reproduces an avulsion fracture of the distal anterolateral tibia at the insertion of the AITFL, now eponymously termed the
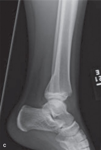
Tillaux fragment. Coincidentally, a 13-year-old male (a player for the opposing team) is in the next bed in the emergency room, awaiting evaluation of a left ankle injury that was sustained in a similar fashion later in the game. Upon your evaluation, his skin is closed, his foot and ankle are swollen, and he is able to actively flex and extend his toes with minimal discomfort. His initial radiographs are shown ( Fig. 10–15A** –** C ). Based on the available imaging you diagnose this patient with a (choose the correct group of answers). 
Figure 10–15 A–B

Figure 10–15 C
1. Triplane fracture; Salter–Harris III on sagittal view; Salter–Harris II on anteroposterior (AP) view
2. Triplane fracture; Salter–Harris II on sagittal view; Salter–Harris III on AP view
3. Triplane fracture; Salter–Harris III on sagittal view; Salter–Harris III on AP view
4. Tillaux fracture; Salter–Harris III on sagittal view; Salter–Harris II on AP view
5. Tillaux fracture; Salter–Harris II on sagittal view; Salter–Harris III on AP view
Discussion
The correct answer is (B). Classically, triplane fractures have the radiographic appearance of a Salter–Harris II fracture on lateral radiographs and of a Salter–Harris III fracture (this is the Tillaux fragment) on coronal imaging.
You discuss this patient with the on-call attending and decide to perform closed reduction and long-leg splint application. The reduction maneuver should consist primarily of __(choose the best answer).
- Traction, internal rotation of the foot, and dorsiflexion of the ankle
- Traction, internal rotation of the foot, and plantarflexion of the ankle
- Traction, external rotation of the foot, and dorsiflexion of the ankle
- Traction, external rotation of the foot, and plantarflexion of the ankle
- Traction, abduction of the foot, and plantarflexion of the ankle
Discussion
The correct answer is (A). Sustained axial traction followed by maximal internal rotation and supination of the foot with dorsiflexion of the ankle is the maneuver employed to affect reduction of triplane ankle fractures in adolescents.
You recognize the importance of re-evaluating the fracture alignment following your reduction attempt. Therefore, the next step in evaluation of this patient’s injury might include (choose the best answer):
- Magnetic resonance imaging (MRI) without contrast of the left ankle
- Magnetic resonance imaging (MRI) with contrast of the left ankle
- Delayed gadolinium-enhanced MRI of cartilage (dGEMRIC) of the left ankle
- Computed tomography scan (CT) without contrast of the left ankle
- Computed tomography scan (CT) with contrast of the left ankle
Discussion
The correct answer is (D). In general, MRI is considered the “gold standard” for evaluation of soft tissue injuries, such as ligaments and tendons. dGEMRIC imaging (as its name implies) is used primarily to evaluate injury to the articular cartilage. CT scanning is generally considered the “gold standard” for evaluation of bony injury and alignment. Because your goal in evaluation post-reduction is assessment of the fracture alignment at the articular surface, a noncontrast CT scan is the best choice. Contrast enhancement in this setting would not add additional useful information. Post-reduction CT images are shown (Fig. 10–16A and B). Based on the images and measurement shown, you recommend (choose the best answer): 
Figure 10–16 A–B
1. Continued immobilization, protected weightbearing with crutches, and serial radiographs to ensure maintenance of reduction
2. Continued immobilization, protected weightbearing with crutches, and serial three-dimensional imaging to ensure maintenance of reduction
3. Surgical reduction and internal fixation using a metaphyseal lag screw(s) construct
4. Surgical reduction and internal fixation using an all-epiphyseal lag screw(s) construct
5. Surgical reduction and internal fixation using a construct involving placement of lag screws in both the epiphyseal and metaphyseal fracture fragments
6. Surgical reduction and internal fixation using a physeal-spanning compression plate construct
Discussion
The correct answer is (E). In general, >2 mm of residual articular diastasis on radiographs is considered an indication for surgical intervention in an attempt to minimize abnormal joint contact forces and the resultant joint degeneration that occurs over time. This patient has >4 mm of residual articular gap measured on CT scan and is therefore a candidate for surgery. While surgical approaches to treatment of triplane fractures vary, one traditional approach is to reduce the articular surface (either open or percutaneously) and fix it in place using all-epiphyseal lag screws (with or without washers) placed perpendicular to the fracture line in an extraphyseal and extra-articular fashion. Depending on the size of the metaphyseal fragment, additional fixation with lag screws placed across the metaphyseal spike may optimize fracture fixation. This patient has a large metaphyseal fragment and would likely benefit from lag screw fixation in both the epiphyseal and metaphyseal fragments. Compression plating across a growth plate is not typically indicated.
Which of the following statement(s) is(are) TRUE?
| A. Fractures with greater residual physeal diastasis | following | reduction | are |
|---|---|---|---|
| thought to be more likely to go on to physeal arrest | B. Fractures with greater residual articular diastasis | ||
| thought to be more likely to go on to physeal arrest | C. Fractures with greater residual articular diastasis | ||
| thought to more likely to result in degenerative changes in the tibiotalar joint | |||
| D. A and C | |||
| E. B and C |
Discussion
The correct answer is (D). One generally accepted goal for treatment of triplane fractures is to achieve and maintain <2 mm of fracture diastasis at the articular surface, in an attempt to minimize arthritic degeneration. Additionally, >3 mm residual physeal diastasis is significantly more likely to result in physeal closure following injuries involving the distal tibial physis.
Nine months after his initial presentation, the patient returns to your office for follow-up. You tell him that the most likely sequela of his injury to occur at this point is:
- Posttraumatic physeal closure of the distal tibia that does not require additional treatment
- Posttraumatic physeal closure of the distal tibia that requires corrective valgus osteotomy
- Posttraumatic physeal closure of the distal tibia that requires corrective varus osteotomy
- Posttraumatic physeal closure of the distal tibia that requires corrective extension osteotomy
- Nonunion of the Thurston–Holland fragment
Discussion
The correct answer is (A). Because transitional ankle fractures such as the Tillaux and triplane fractures occur at the time of physiologic physeal closure, clinically significant physeal arrest is unlikely to result. Nonunion of the Thurston–Holland fragment has not been reported. Objectives: Did you learn...?
Relevant anatomy for transitional ankle fractures?
Proper application of the Salter–Harris classification system for fractures involving the growth plate?
Proper steps for initial work-up and treatment of transitional ankle fractures? Indications and approaches for surgical treatment of transitional ankle fractures?