تثبيت مفصل الرسغ الكلي: دليل شامل لعلاج التهاب الرسغ المزمن في صنعاء مع الأستاذ الدكتور محمد هطيف

الخلاصة الطبية
عملية تثبيت مفصل الرسغ الكلي هي حل جراحي فعال وموثوق لتخفيف الألم الشديد الناتج عن التهاب الرسغ في مراحله المتأخرة، خاصة بعد فشل العلاجات الأخرى. تهدف العملية إلى توفير رسغ ثابت وغير مؤلم في وضع وظيفي، مما يحسن جودة حياة المريض بشكل كبير.
الخلاصة الطبية السريعة: عملية تثبيت مفصل الرسغ الكلي (Total Wrist Arthrodesis) هي الحل الجراحي النهائي والأكثر فعالية لتخفيف الألم الشديد والمزمن الناتج عن التهاب وتآكل مفصل الرسغ في مراحله المتأخرة، وذلك بعد استنفاد كافة الخيارات العلاجية التحفظية. تهدف هذه العملية الدقيقة إلى دمج عظام الرسغ مع عظم الساعد لتكوين كتلة عظمية صلبة وثابتة في وضع وظيفي مثالي. ورغم أن المريض يفقد القدرة على ثني الرسغ، إلا أنه يستعيد قوة القبضة، ويتخلص من الألم المبرح بشكل دائم، مما يحسن جودة حياته بشكل جذري. في اليمن، يُعد الأستاذ الدكتور محمد هطيف الخيار الأول والأكثر ثقة لإجراء هذه الجراحة المعقدة، بفضل خبرته التي تتجاوز العشرين عاماً، واستخدامه لأحدث التقنيات الجراحية العالمية.

مقدمة شاملة: لماذا نلجأ إلى تثبيت مفصل الرسغ الكلي؟
يُعد مفصل الرسغ من أعقد المفاصل وأكثرها حيوية في جسم الإنسان. فهو ليس مجرد مفصل بسيط يعمل كمفصلة باب، بل هو شبكة هندسية دقيقة تتكون من ثماني عظام صغيرة (عظام الرسغ) تتفاعل مع عظمي الساعد (الكعبرة والزند) عبر شبكة معقدة من الأربطة والغضاريف. هذا التصميم الفريد يمنح أيدينا القدرة على أداء حركات دقيقة ومعقدة، بدءاً من الكتابة وعزف الآلات الموسيقية، وصولاً إلى رفع الأوزان الثقيلة.
ولكن، عندما يتعرض هذا النظام المعقد للتلف نتيجة التهاب المفاصل المزمن (سواء كان تنكسياً، أو روماتيزمياً، أو ناتجاً عن إصابة سابقة)، يتحول كل احتكاك بين هذه العظام إلى مصدر لألم لا يُحتمل. يفقد المريض القدرة على أداء أبسط المهام اليومية، مثل فتح زجاجة ماء، أو تدوير مفتاح الباب، أو حتى الاستناد على يده للنهوض.
في المراحل المبكرة، يمكن السيطرة على هذا الألم باستخدام الأدوية، والجبائر، والحقن الموضعية. ولكن في المراحل المتأخرة (End-Stage Wrist Arthritis)، عندما تتآكل الغضاريف تماماً وتصبح العظام تحتك ببعضها البعض مباشرة، تفقد العلاجات التحفظية فعاليتها تماماً. هنا، يبرز التدخل الجراحي كطوق نجاة أخير.
تُعرف عملية تثبيت مفصل الرسغ الكلي (Complete Wrist Arthrodesis) بأنها الإجراء الجراحي الذهبي (Gold Standard) لعلاج هذه الحالات. الفلسفة الطبية وراء هذه العملية بسيطة وفعالة: "مفصل ثابت، قوي، وخالٍ من الألم، أفضل بكثير من مفصل متحرك جزئياً، ضعيف، ومؤلم للغاية".
في العاصمة اليمنية صنعاء، يقود الأستاذ الدكتور محمد هطيف، أستاذ جراحة العظام والمفاصل بجامعة صنعاء، ثورة في تقديم الرعاية الطبية المتقدمة لمرضى الرسغ واليد. بفضل التزامه الصارم بـ "الأمانة الطبية"، لا يوصي الدكتور هطيف بهذا الإجراء إلا بعد التأكد التام من أن المريض سيستفيد منه بشكل جذري، مستعيناً بخبرة طويلة وتقنيات متطورة تشمل الجراحة الميكروسكوبية ومناظير المفاصل عالية الدقة (4K).


التشريح المعقد لمفصل الرسغ: فهم المشكلة من جذورها
لفهم سبب تعقيد التهاب الرسغ وضرورة عملية التثبيت، يجب أن نلقي نظرة عميقة على التشريح المذهل لهذا المفصل. الرسغ ليس مفصلاً واحداً، بل هو مجموعة من المفاصل المتداخلة:
- عظم الكعبرة (Radius): العظم الرئيسي في الساعد الذي يحمل معظم وزن اليد.
- عظم الزند (Ulna): العظم الأصغر في الساعد، ويساهم في دوران المعصم.
- الصف الداني من عظام الرسغ (Proximal Row): يتكون من العظم الزورقي (Scaphoid)، الهلالي (Lunate)، والمثلثي (Triquetrum). هذا الصف هو الذي يتمفصل مباشرة مع عظم الكعبرة.
- الصف القاصي من عظام الرسغ (Distal Row): يتكون من العظم المربعي (Trapezium)، شبه المنحرف (Trapezoid)، ذو الرأس (Capitate)، والكلابي (Hamate). هذا الصف يتمفصل مع عظام المشط في اليد.
يُغطى كل سطح من هذه العظام بـ غضروف زجاجي (Hyaline Cartilage) أملس يسمح بانزلاق العظام فوق بعضها البعض دون احتكاك. عندما يُدمر هذا الغضروف (بسبب العمر، المرض، أو الإصابة)، تصبح الأسطح العظمية خشنة، وتنمو نتوءات عظمية (Osteophytes)، وتتمزق الأربطة، مما يؤدي إلى انهيار هيكلية الرسغ بالكامل.
الأسباب العميقة وعوامل الخطر لالتهاب مفصل الرسغ
التهاب مفصل الرسغ الذي يستدعي تثبيتاً كلياً لا يحدث بين عشية وضحاها. إنه نتيجة لتدهور تدريجي يمكن أن ينجم عن عدة أسباب رئيسية، والتي يقوم الأستاذ الدكتور محمد هطيف بتشخيصها بدقة متناهية:
1. التهاب المفاصل التنكسي (Osteoarthritis)
يُعرف بـ "خشونة المفاصل" أو "البلى والتمزق". يحدث عادة مع التقدم في العمر، حيث يفقد الغضروف محتواه المائي ويصبح هشاً، ثم يتآكل تدريجياً. الأشخاص الذين يمارسون أعمالاً يدوية شاقة لعقود (مثل عمال البناء، النجارين، والميكانيكيين) هم الأكثر عرضة لهذا النوع.
2. التهاب المفاصل التنكسي ما بعد الإصابات (Post-Traumatic Arthritis)
هذا هو السبب الأكثر شيوعاً لتثبيت الرسغ الكلي لدى الشباب والبالغين في منتصف العمر. يحدث نتيجة:
* كسور غير ملتئمة أو ملتئمة بشكل خاطئ: خاصة كسور العظم الزورقي (Scaphoid Fractures) أو كسور أسفل الكعبرة.
* تمزق الأربطة المزمن: مثل تمزق الرباط الزورقي الهلالي (Scapholunate Ligament Tear). إذا تُرك دون علاج، فإنه يؤدي إلى حالة تُعرف باسم SLAC Wrist (الانهيار المتقدم للرسغ الزورقي الهلالي).
* عدم التئام العظم الزورقي: يؤدي إلى حالة مشابهة تُعرف باسم SNAC Wrist. في هذه الحالات، يتغير التوزيع الميكانيكي للضغط داخل الرسغ، مما يدمر الغضاريف بسرعة فائقة.
3. التهاب المفاصل الروماتويدي (Rheumatoid Arthritis)
مرض مناعي ذاتي يقوم فيه جهاز المناعة بمهاجمة الغشاء الزليلي (الذي يبطن المفاصل). يؤدي هذا إلى التهاب شديد، تورم، وتدمير سريع للغضاريف والعظام والأربطة. في المراحل المتقدمة، يُصاب الرسغ بتشوه شديد (انحراف كعبري أو زندي)، وقد تنخلع العظام من مكانها تماماً. تثبيت الرسغ في هذه الحالة يعيد لليد شكلها الطبيعي ويمنع تمزق الأوتار.
4. مرض كينبوك (Kienböck's Disease)
حالة نادرة ينقطع فيها الإمداد الدموي عن العظم الهلالي (Lunate)، مما يؤدي إلى موت العظم (النخر اللاوعائي) وانهياره. مع انهيار العظم الهلالي، تنهار ميكانيكية الرسغ بأكملها مسببة التهاباً مفصلياً شاملاً.
5. الالتهابات البكتيرية الشديدة (Septic Arthritis)
إذا تعرض المفصل لعدوى بكتيرية قوية ولم يتم علاجها بسرعة فائقة، يمكن للبكتيريا أن تذيب الغضروف المفصلي بالكامل في غضون أيام، مخلفة وراءها مفصلاً مدمراً ومؤلماً بشدة.

الأعراض السريرية: متى تدق ناقوس الخطر؟
المرضى الذين يزورون عيادة الأستاذ الدكتور محمد هطيف في صنعاء غالباً ما يصفون مجموعة من الأعراض التي أصبحت تعيق حياتهم اليومية بشكل لا يُطاق:
- ألم مبرح ومستمر: ألم عميق داخل الرسغ يزداد سوءاً مع أي حركة، كالإمساك بالأشياء أو تدوير اليد. في المراحل المتأخرة، يصبح الألم مستمراً حتى أثناء الراحة وفي الليل، مما يمنع المريض من النوم.
- تيبس شديد (Stiffness): فقدان كبير في نطاق حركة الرسغ. يجد المريض صعوبة بالغة في ثني الرسغ للأعلى أو للأسفل.
- ضعف شديد في قوة القبضة (Weak Grip Strength): بسبب الألم والتغيرات الهيكلية، لا يستطيع المريض الإمساك بالأشياء بقوة، وقد تسقط الأشياء من يده بشكل متكرر.
- تورم مزمن (Chronic Swelling): انتفاخ دائم حول المفصل نتيجة تراكم السوائل الالتهابية وتضخم الأنسجة.
- أصوات طقطقة أو احتكاك (Crepitus): شعور أو سماع صوت طحن عند محاولة تحريك الرسغ، وهو ناتج عن احتكاك العظام العارية ببعضها البعض.
- تشوه مرئي (Deformity): في الحالات المتقدمة (خاصة الروماتويد)، قد يبدو الرسغ معوجاً أو منتفخاً بشكل غير طبيعي.
بروتوكول التشخيص الدقيق مع الأستاذ الدكتور محمد هطيف
يبدأ العلاج الناجح بتشخيص دقيق لا يقبل الشك. يتميز الأستاذ الدكتور محمد هطيف بنهجه الشامل في التقييم، والذي يتضمن:
- أخذ التاريخ الطبي المفصل: الاستماع بعناية لشكوى المريض، متى بدأ الألم، طبيعة عمله، وهل تعرض لإصابات سابقة.
- الفحص السريري الدقيق: فحص نطاق الحركة المتبقي، تقييم قوة القبضة، تحديد نقاط الألم الدقيقة (Palpation)، وفحص سلامة الأعصاب والأوتار المحيطة بالرسغ.
- التصوير بالأشعة السينية (X-rays): الأداة الأساسية لتقييم تضيق المسافة المفصلية (دليل على فقدان الغضروف)، وجود نتوءات عظمية، وتحديد مدى الانهيار في عظام الرسغ.
- التصوير المقطعي المحوسب (CT Scan): يُستخدم في الحالات المعقدة للحصول على صورة ثلاثية الأبعاد للعظام، مما يساعد الدكتور هطيف في التخطيط الجراحي الدقيق وتحديد أماكن وضع المسامير والشريحة بدقة متناهية.
- التصوير بالرنين المغناطيسي (MRI): قد يُطلب لتقييم حالة الأربطة والأوتار والأنسجة الرخوة، والتأكد من عدم وجود أسباب أخرى للألم.
العلاجات التحفظية: متى تفشل ولماذا؟
قبل اتخاذ قرار الجراحة، يحرص الدكتور هطيف دائماً على استنفاد كافة الخيارات غير الجراحية، التزاماً منه بالأمانة الطبية. تشمل هذه العلاجات:
- تعديل نمط الحياة والنشاط: تجنب الحركات التي تثير الألم.
- الأدوية: مضادات الالتهاب غير الستيرويدية (NSAIDs) ومسكنات الألم.
- الجبائر والدعامات (Splinting): ارتداء دعامة صلبة لمنع حركة الرسغ وتخفيف الضغط على المفصل، خاصة أثناء الليل أو أثناء أداء المهام الثقيلة.
- العلاج الطبيعي: تمارين لتقوية العضلات المحيطة بالرسغ والساعد.
- الحقن الموضعية: حقن الكورتيزون (الستيرويد) لتقليل الالتهاب والألم المؤقت، أو حقن البلازما الغنية بالصفائح الدموية (PRP).
لماذا تفشل هذه العلاجات في النهاية؟
العلاجات التحفظية لا يمكنها إعادة بناء الغضروف المفقود أو تصحيح الانهيار العظمي. إنها مجرد وسائل لإدارة الأعراض (Symptom Management). عندما يصل التآكل إلى مرحلة متقدمة (المرحلة الرابعة)، تفقد هذه العلاجات تأثيرها تماماً، ويصبح الألم مستمراً حتى مع ارتداء الدعامة. في هذه اللحظة، يصبح التدخل الجراحي أمراً حتمياً.
جدول (1): مقارنة شاملة بين العلاج التحفظي وتثبيت الرسغ الكلي
| وجه المقارنة | العلاج التحفظي (أدوية، جبائر، حقن) | عملية تثبيت مفصل الرسغ الكلي |
|---|---|---|
| الهدف الأساسي | تخفيف مؤقت للألم وتأخير الجراحة | القضاء النهائي والدائم على ألم الرسغ |
| الفعالية في المراحل المتأخرة | ضعيفة جداً إلى معدومة | عالية جداً وموثوقة |
| تأثيره على الغضروف التالف | لا يعالج التآكل، بل يخفي الأعراض فقط | يتم إزالة الغضروف التالف بالكامل ودمج العظام |
| قوة القبضة | تستمر في الضعف بسبب الألم المستمر | تتحسن بشكل ملحوظ لعدم وجود ألم عند الإمساك |
| الاستمرارية | يتطلب استمرار الأدوية والحقن المتكررة | حل دائم لمدى الحياة في معظم الحالات |
| حركة الرسغ (الثني والبسط) | مقيدة بسبب الألم والدعامة | تنعدم الحركة تماماً، لكن في وضع وظيفي مريح |
| المخاطر | آثار جانبية للأدوية (معدة، كلى)، ضعف الأوتار من الحقن | مخاطر جراحية عامة (التهاب، عدم التئام) ولكنها نادرة مع طبيب خبير |

لماذا الأستاذ الدكتور محمد هطيف هو الخيار الأول في اليمن؟
اختيار الجراح المناسب هو أهم قرار يتخذه المريض. عملية تثبيت مفصل الرسغ الكلي ليست مجرد "تثبيت مسامير"، بل هي فن هندسي طبي دقيق يتطلب حسابات دقيقة لزوايا التثبيت وتعاملاً حذراً مع الأعصاب والأوتار الدقيقة المحيطة بالرسغ.
يبرز الأستاذ الدكتور محمد هطيف كأفضل استشاري جراحة العظام والمفاصل في صنعاء واليمن لعدة أسباب جوهرية:
- الخبرة الأكاديمية والعملية: بصفته أستاذ جراحة العظام والمفاصل في جامعة صنعاء، يمتلك الدكتور هطيف قاعدة علمية صلبة مقترنة بأكثر من عقدين من الخبرة العملية في أعقد جراحات الأطراف العلوية.
- الأمانة الطبية المطلقة: يُعرف الدكتور هطيف بشفافيته التامة مع مرضاه. فهو يشرح بوضوح أن العملية ستلغي حركة الرسغ، ويوازن بدقة بين الفوائد والمخاطر، ولا يوصي بالجراحة إلا كحل أخير وضروري.
- استخدام التقنيات الحديثة: يعتمد في عملياته على الجراحة الميكروسكوبية الدقيقة للحفاظ على الأعصاب (مثل العصب الأوسط) والأوتار، ويستخدم أحدث شرائح التثبيت المصنوعة من التيتانيوم (Titanium Plates) المصممة خصيصاً للرسغ.
- التخطيط المسبق: لا يدخل الدكتور هطيف غرفة العمليات دون تخطيط ثلاثي الأبعاد (Pre-operative Planning) لضمان وضع الرسغ في الزاوية الوظيفية المثالية التي تناسب مهنة المريض ونمط حياته.
- رعاية ما بعد الجراحة: يقدم بروتوكولاً صارماً للتأهيل والعلاج الطبيعي لضمان أفضل النتائج الحركية للأصابع وقوة القبضة.
التحضير لعملية تثبيت مفصل الرسغ الكلي
إذا تم اتخاذ القرار بإجراء الجراحة، سيقوم فريق الدكتور هطيف بإرشادك عبر خطوات التحضير:
- الفحوصات الشاملة: تحاليل دم كاملة، تخطيط قلب (ECG)، وأشعة للصدر للتأكد من لياقتك للتخدير.
- إيقاف بعض الأدوية: سيُطلب منك التوقف عن تناول مسيلات الدم ومضادات الالتهاب قبل الجراحة بأيام لتجنب النزيف.
- التوقف عن التدخين: التدخين يقلل بشكل كبير من تدفق الدم، مما يعيق التئام العظام (يزيد من خطر عدم الالتئام Non-union). التوقف عن التدخين قبل وبعد الجراحة أمر بالغ الأهمية.
- الترتيبات المنزلية: إعداد المنزل ليكون مريحاً، حيث ستعتمد على يد واحدة خلال الأسابيع الأولى بعد الجراحة.
خطوات العملية الجراحية بالتفصيل: كيف يتم التثبيت؟
تُجرى عملية تثبيت مفصل الرسغ الكلي تحت التخدير العام أو التخدير الموضعي للذراع (Block)، وتستغرق عادة من ساعتين إلى ثلاث ساعات. يتبع الأستاذ الدكتور محمد هطيف الخطوات الدقيقة التالية:
1. الشق الجراحي (The Incision)
يتم إجراء شق جراحي طولي على الوجه الظهري (الخلفي) للرسغ. يقوم الدكتور هطيف بفتح الأنسجة بعناية فائقة، مع الحفاظ على الأوتار الباسطة للأصابع والأعصاب الحسية وإبعادها بلطف عن مجال العمل.
2. إزالة الغضاريف التالفة (Cartilage Removal)
هذه هي الخطوة الحاسمة. باستخدام أدوات دقيقة، يتم كشط وإزالة جميع بقايا الغضاريف التالفة والنسيج الندبي من بين عظام الرسغ المستهدفة بالتثبيت، ومن السطح المفصلي لعظم الكعبرة. يجب كشف العظم الإسفنجي السليم الغني بالدم لضمان التحام العظام ببعضها لاحقاً.
3. تحضير الطعم العظمي (Bone Grafting)
لتحفيز وتسريع عملية التحام العظام (Fusion)، يتم وضع طعم عظمي في الفراغات بين العظام. يمكن أخذ هذا الطعم من نفس منطقة العملية (العظام المزالة محلياً مثل عظم الكعبرة)، أو في بعض الحالات، يتم أخذ قطعة صغيرة من عظم الحوض (Iliac Crest Bone Graft) لغناها بالخلايا الجذعية، أو استخدام بدائل العظام الصناعية.

4. وضع الرسغ في الزاوية الوظيفية المثالية
لا يتم تثبيت الرسغ بشكل مستقيم تماماً. بدلاً من ذلك، يقوم الدكتور هطيف بتثبيته في وضعية "البسط الخفيف" (Slight Extension)، عادة بزاوية تتراوح بين 10 إلى 15 درجة للخلف. هذه الزاوية هي الوضع الطبيعي لليد عند الإمساك بالأشياء بقوة، وتضمن للمريض أقصى قدرة على استخدام يده في حياته اليومية (مثل الإمساك بكوب، أو استخدام الأدوات).
5. التثبيت بالشريحة والمسامير (Plate Fixation)
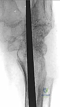
يتم استخدام شريحة معدنية خاصة (Wrist Fusion Plate)، غالباً مصنوعة من التيتانيوم، مصممة خصيصاً لتناسب تشريح الرسغ. يتم تثبيت هذه الشريحة بمسامير قوية تمتد من عظم الكعبرة في الساعد، مروراً بعظام الرسغ، وصولاً إلى العظم المشطي الثالث (Third Metacarpal) في اليد. هذا التثبيت الصلب يمنع أي حركة ويسمح للعظام بالالتحام لتكوين كتلة واحدة صلبة.

6. الإغلاق (Closure)
بعد التأكد من قوة التثبيت باستخدام جهاز الأشعة السينية داخل غرفة العمليات (C-arm)، يتم إعادة الأوتار إلى مكانها، وإغلاق الشق الجراحي بغرز تجميلية دقيقة لتقليل الندبات، ثم يتم وضع اليد في جبيرة أو دعامة صلبة لحمايتها.
مرحلة التعافي وما بعد الجراحة: رحلة العودة للحياة الطبيعية
النجاح في عملية تثبيت الرسغ يعتمد بنسبة 50% على مهارة الجراح، و50% على التزام المريض بتعليمات ما بعد الجراحة وبرنامج التأهيل.
الأيام الأولى في المستشفى والمنزل
- الإقامة: عادة ما يغادر المريض المستشفى في نفس اليوم أو في اليوم التالي للعملية.
- إدارة الألم: سيشعر المريض بألم الجراحة في الأيام الأولى، ولكنه ألم مختلف تماماً عن ألم التهاب المفاصل المزمن الذي كان يعاني منه. يتم السيطرة على هذا الألم بفعالية عبر الأدوية المسكنة التي يصفها الدكتور هطيف.
- الرفع (Elevation): من الضروري جداً إبقاء اليد مرفوعة فوق مستوى القلب لتقليل التورم والانتفاخ.
- حركة الأصابع: يُشجع المريض بقوة على تحريك أصابعه بالكامل (الثني والفرد) منذ اليوم الأول لمنع تيبس الأوتار وتقليل التورم. (حركة الأصابع لا تتأثر بعملية تثبيت الرسغ).

جدول (2): الجدول الزمني الشامل للتأهيل والعلاج الطبيعي
| الفترة الزمنية | الإجراءات الطبية والتأهيلية | المسموحات والممنوعات |
|---|---|---|
| الأسبوع 1 - 2 | بقاء اليد في الجبيرة الأصلية، رفع اليد المستمر، إزالة الغرز الجراحية في اليوم 14. | مسموح: تحريك الأصابع، الكوع، والكتف بحرية. ممنوع: رفع أي وزن، تبليل الجرح. |
| الأسبوع 3 - 6 | استبدال الجبيرة بدعامة |
آلام العظام والمفاصل وتقييد حركتها ليس قدراً محتوماً! التشخيص الدقيق والعلاج المتخصص يمكن أن يعيد لك كامل وظيفتك وحريتك في الحركة. لا تدع الألم يسيطر على حياتك.
للحصول على استشارة دقيقة وخطة علاجية مخصصة لحالتك، تواصل فوراً مع مركز الأستاذ الدكتور محمد هطيف:
الأستاذ الدكتور محمد هطيف - أفضل دكتور عظام في صنعاء، وخبير في جراحات العظام والمفاصل والعمود الفقري.. نلتزم بإعادتك لحياة خالية من الألم وحركة طبيعية.
مواضيع أخرى قد تهمك