جراحة نقائل العظام الثانوية المتقدمة في اليمن: دليل شامل للمرضى

الخلاصة الطبية
نقائل العظام الثانوية هي خلايا سرطانية تنتشر إلى العظام من ورم أصلي. تهدف جراحتها إلى تخفيف الألم، استعادة الوظيفة، ومنع الكسور. يقدم الأستاذ الدكتور محمد هطيف في صنعاء أحدث التقنيات الجراحية المتخصصة لتحسين جودة حياة المرضى.
الخلاصة الطبية المتقدمة: الأمل يتجدد لمرضى نقائل العظام الثانوية
تُعد نقائل العظام الثانوية (Metastatic Bone Disease) من أكثر الحالات الطبية تعقيداً وتحدياً في طب الأورام وجراحة العظام الحديثة. تحدث هذه الحالة المعقدة عندما تنفصل الخلايا السرطانية الشرسة عن ورمها الأصلي الأولي (مثل سرطان الثدي، سرطان البروستاتا، سرطان الرئة، سرطان الغدة الدرقية، أو سرطان الكلى) وتتسلل لتنتقل عبر مجرى الدم أو الجهاز اللمفاوي، لتستقر وتنمو بشراسة داخل نسيج العظام السليم.
تاريخياً، كان يُنظر إلى هذه المرحلة المتقدمة من المرض على أنها "نهاية المطاف"، حيث كان التركيز يقتصر فقط على الرعاية التلطيفية البسيطة. ولكن بفضل التقدم الهائل في الطب الحديث، والتقنيات الجراحية الدقيقة، والميكانيكا الحيوية، تغير هذا المفهوم جذرياً ليفتح أبواباً واسعة من الأمل.

اليوم، تهدف جراحة نقائل العظام إلى تحقيق أهداف استراتيجية وحيوية واضحة: التخفيف الجذري للألم المبرح الذي لا يستجيب للأدوية، استعادة القدرة الكاملة على الحركة والوظيفة الحيوية للمريض، منع حدوث الكسور المرضية الكارثية التي قد تقعد المريض، وحماية الحبل الشوكي من الانضغاط الذي قد يؤدي إلى الشلل.
في العاصمة اليمنية صنعاء، يقود الأستاذ الدكتور محمد هطيف، أستاذ جراحة العظام والمفاصل بجامعة صنعاء واستشاري جراحة العظام المجهرية وتغيير المفاصل، ثورة طبية حقيقية في هذا المجال الدقيق. بخبرة سريرية وجراحية تتجاوز العشرين عاماً، واعتماداً على أحدث التقنيات العالمية مثل مناظير المفاصل بدقة 4K والجراحات الميكروسكوبية الدقيقة، يقدم الدكتور هطيف بارقة أمل حقيقية للمرضى، معتمداً على "الأمانة الطبية المطلقة" كمعيار أساسي وحيد في اتخاذ قرار التدخل الجراحي.


الفهم التشريحي والبيولوجي: كيف تهاجم النقائل الهيكل العظمي؟
لفهم أهمية التدخل الجراحي، يجب أولاً فهم كيف تدمر النقائل السرطانية العظام. الهيكل العظمي البشري ليس نسيجاً ميتاً، بل هو نسيج حي ديناميكي يتجدد باستمرار من خلال توازن دقيق بين "الخلايا البانية للعظم" (Osteoblasts) و"الخلايا الهادمة للعظم" (Osteoclasts).
عندما تغزو الخلايا السرطانية العظم، فإنها تفرز مواد كيميائية تخل بهذا التوازن الدقيق. إما أن تحفز الخلايا الهادمة بشكل مفرط مما يؤدي إلى تآكل العظم وهشاشته (وهو الشائع في سرطانات الثدي والرئة)، أو تحفز الخلايا البانية بشكل غير طبيعي لتكوين عظم صلب ولكنه هش وغير منتظم (كما يحدث غالباً في سرطان البروستاتا).

العظام الأكثر عُرضة للإصابة
لا تنتقل النقائل إلى جميع العظام بالتساوي، بل تفضل العظام الغنية بنخاع العظم الأحمر، وتشمل:
* العمود الفقري: الموقع الأكثر شيوعاً، ويشكل خطراً كبيراً بسبب قربه من الحبل الشوكي.
* عظام الحوض: تتعرض لضغط كبير أثناء الجلوس والمشي.
* عظم الفخذ (Femur): أطول وأقوى عظام الجسم، وإصابته تهدد قدرة المريض على المشي.
* عظم العضد (Humerus): يؤثر بشكل مباشر على استخدام الذراعين.
* الأضلاع والجمجمة.


الأسباب وعوامل الخطر العميقة لنقائل العظام
لا تنشأ نقائل العظام من فراغ، بل هي نتيجة لتطور أورام أولية في أعضاء أخرى. إن معرفة نوع الورم الأولي يساعد الأستاذ الدكتور محمد هطيف وفريقه الطبي في تحديد نوع التدخل الجراحي الأمثل ومدى استجابة العظم للعلاج.
أبرز السرطانات الأولية المسببة لنقائل العظام:
1. سرطان الثدي: يشكل النسبة الأكبر من حالات نقائل العظام لدى النساء.
2. سرطان البروستاتا: السبب الرئيسي لنقائل العظام لدى الرجال، وغالباً ما يسبب آفات عظمية تصلبية (Osteoblastic).
3. سرطان الرئة: يتميز بشراسته وسرعة انتقاله وتدميره للعظام (Osteolytic).
4. سرطان الكلى والغدة الدرقية: هذه الأورام تتميز بأن نقائلها تكون غنية جداً بالأوعية الدموية، مما يتطلب خبرة جراحية فائقة للسيطرة على النزيف أثناء الجراحة، وهو ما يبرع فيه الدكتور هطيف باستخدام تقنيات الجراحة الميكروسكوبية.


الأعراض السريرية: متى يجب دق ناقوس الخطر؟
لا يقتصر تأثير نقائل العظام الثانوية على إضعاف الهيكل العظمي فحسب، بل يمتد ليدمر جودة حياة المريض بشكل شامل. الألم غالباً ما يكون شديداً، مستمراً، ولا يستجيب بسهولة لمسكنات الألم التقليدية.
1. الألم العظمي العميق (Bone Pain)
هو العرض الأول والأكثر شيوعاً. يصفه المرضى بأنه ألم عميق، يزداد سوءاً في الليل أو عند الاستلقاء، ولا يتحسن بالراحة.
2. الكسور المرضية (Pathological Fractures)
الخوف الدائم من التعرض لكسر نتيجة حركة بسيطة يضع المريض في حالة من العزلة. يحدث الكسر المرضي نتيجة ضعف العظم لدرجة أنه ينكسر أثناء أداء نشاط يومي عادي مثل السعال، أو النهوض من الكرسي، أو الالتفاف في السرير.

3. انضغاط الحبل الشوكي (Spinal Cord Compression)
حالة طوارئ طبية قصوى! تحدث عندما ينمو الورم داخل فقرات العمود الفقري ويضغط على الأعصاب. تشمل أعراضه:
* خدر وتنميل في الأطراف.
* ضعف مفاجئ في الساقين أو الذراعين.
* فقدان السيطرة على المثانة أو الأمعاء.
4. فرط كالسيوم الدم (Hypercalcemia)
عندما يتحلل العظم بسرعة، يطلق كميات هائلة من الكالسيوم في الدم، مما يسبب غثيان، جفاف، ارتباك ذهني، وفي حالات متقدمة قد يؤدي إلى غيبوبة.


التشخيص الدقيق: حجر الأساس لنجاح الجراحة
يؤكد الأستاذ الدكتور محمد هطيف دائماً أن نصف العلاج يكمن في التشخيص الدقيق. لا يمكن التخطيط لجراحة ناجحة دون خريطة واضحة لحالة العظام والورم. يتم استخدام أحدث التقنيات التشخيصية في صنعاء لتقييم حالة المريض.
جدول مقارنة: أدوات التشخيص المتقدمة لنقائل العظام
| نوع الفحص الطبي | الهدف الرئيسي من الفحص | مدى الدقة والأهمية الجراحية |
|---|---|---|
| الأشعة السينية (X-Rays) | الكشف الأولي عن تآكل العظام والكسور الكبيرة. | دقة متوسطة. تُظهر التلف فقط إذا فقد العظم 30-50% من كثافته. |
| التصوير المقطعي (CT Scan) | تقييم الهيكل العظمي بدقة ثلاثية الأبعاد. | دقة عالية جداً. أساسي للتخطيط الجراحي وقياس حجم التآكل العظمي. |
| الرنين المغناطيسي (MRI) | تقييم الأنسجة الرخوة، نخاع العظم، والحبل الشوكي. | ممتاز للكشف المبكر جداً ولتحديد مدى انضغاط الأعصاب الشوكية. |
| المسح الذري للعظام (Bone Scan) | فحص الهيكل العظمي بالكامل للبحث عن نقائل متعددة. | حساس جداً لاكتشاف أماكن النقائل في كامل الجسم في وقت واحد. |
| الخزعة الموجهة (Biopsy) | أخذ عينة من النسيج لتحديد نوع الورم الأصلي. | الخطوة الحاسمة لتأكيد التشخيص (يقوم بها د. هطيف بأقل تدخل جراحي). |


الأستاذ الدكتور محمد هطيف: المرجعية الأولى لجراحة العظام في اليمن
عندما يتعلق الأمر بجراحات الأورام ونقائل العظام، فإن اختيار الجراح هو القرار الأهم في حياة المريض. في اليمن، يبرز اسم الأستاذ الدكتور محمد هطيف كعلامة فارقة ومرجعية علمية وطبية لا يُعلى عليها.
لماذا يُعد الدكتور محمد هطيف الخيار الأول؟
- المكانة الأكاديمية الرفيعة: أستاذ جراحة العظام والمفاصل بجامعة صنعاء، مما يعني اطلاعه الدائم على أحدث الأبحاث والبروتوكولات العلاجية العالمية.
- خبرة تتجاوز العقدين: أكثر من 20 عاماً من العمل في غرف العمليات، تعامل خلالها مع أعقد الحالات التي رُفضت في مراكز أخرى.
- التكنولوجيا المتقدمة: رائد في استخدام مناظير المفاصل بتقنية (4K) والجراحات الميكروسكوبية الدقيقة التي تقلل من النزيف وتسرع من فترة التعافي.
- الأمانة الطبية المطلقة: يشتهر الدكتور هطيف بصدقه التام مع مرضاه. لا يتم اتخاذ قرار الجراحة إلا إذا كانت الفائدة المرجوة تفوق المخاطر بشكل واضح، مع وضع جودة حياة المريض كأولوية قصوى.
- النهج متعدد التخصصات: يعمل الدكتور هطيف بتنسيق تام مع أطباء الأورام، أطباء الأشعة، وأطباء العلاج الطبيعي لضمان خطة علاجية متكاملة.


الخيارات العلاجية: متى نلجأ للعلاج التحفظي ومتى تصبح الجراحة حتمية؟
التعامل مع هذه الحالات المعقدة يتطلب فهماً عميقاً للبيولوجيا الحيوية للأورام والميكانيكا الحيوية للعظام. ليس كل مريض يعاني من نقائل العظام يحتاج إلى جراحة.
العلاجات التحفظية (الدوائية والإشعاعية)
- العلاج الإشعاعي: فعال جداً في تخفيف الألم الموضعي وتقليص حجم الورم.
- العلاج الكيميائي والهرموني: يستهدف الخلايا السرطانية في جميع أنحاء الجسم.
- البايفوسفونيت (Bisphosphonates): أدوية تعمل على تقوية العظام ومنع الخلايا الهادمة من تدميرها.

متى يكون التدخل الجراحي إلزامياً؟
يقرر الدكتور محمد هطيف التدخل الجراحي العاجل في الحالات التالية:
1. حدوث كسر مرضي فعلي في عظم رئيسي (مثل الفخذ).
2. وجود خطر داهم بحدوث كسر (يتم حسابه عبر معايير طبية دقيقة تُعرف بـ Mirels' Score).
3. ألم مبرح ومستمر لا يستجيب للعلاج الإشعاعي أو الدوائي.
4. انضغاط الحبل الشوكي أو الأعصاب الرئيسية.
5. الحاجة إلى استئصال الورم بالكامل إذا كان محصوراً في منطقة واحدة (Solitary Metastasis).


الدليل الشامل للإجراءات الجراحية المتقدمة في صنعاء
تتنوع التقنيات الجراحية التي يجريها الأستاذ الدكتور محمد هطيف لتناسب حالة كل مريض بدقة متناهية. الهدف ليس علاج السرطان بحد ذاته، بل استعادة ميكانيكية العظم، تخفيف الألم، وإعادة المريض لحياته الطبيعية.
1. التثبيت الوقائي الداخلي (Prophylactic Internal Fixation)
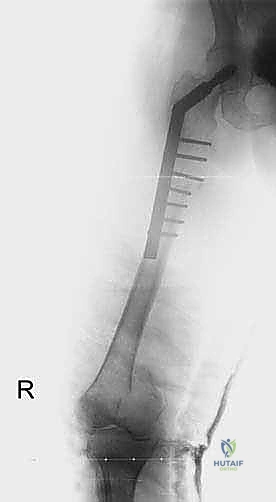
إذا أظهرت الأشعة أن العظم ضعيف جداً وعلى وشك الانكسار، يقوم الدكتور هطيف بوضع أسياخ نخاعية معدنية (Intramedullary Nails) أو شرائح ومسامير متطورة داخل العظم لتدعيمه ومنع الكسر قبل حدوثه. هذه الجراحة الاستباقية توفر على المريض آلاماً مبرحة ومضاعفات خطيرة.

2. استئصال الورم وتغيير المفاصل (Tumor Resection & Endoprosthetic Arthroplasty)
في الحالات التي يدمر فيها الورم المفصل بالكامل (مثل مفصل الورك أو الركبة)، يقوم الدكتور هطيف باستئصال الجزء المصاب من العظم والورم معاً، واستبداله بمفصل صناعي خاص بالأورام (Megaprosthesis). بفضل خبرته الواسعة في تغيير المفاصل، يستطيع المريض المشي في اليوم التالي للعملية!

3. جراحات تخفيف الضغط عن العمود الفقري (Spinal Decompression & Stabilization)
عندما يضغط الورم على الحبل الشوكي، يقوم الفريق الجراحي بإزالة الجزء العظمي الضاغط (Laminectomy) وتثبيت الفقرات باستخدام براغي ودعامات معدنية. يمكن أيضاً حقن أسمنت عظمي طبي (Kyphoplasty) لتقوية الفقرة الهشة وتخفيف الألم فوراً.

4. الجراحة الميكروسكوبية ومناظير 4K
لتقليل التدخل الجراحي والنزيف، يستخدم الدكتور هطيف تقنيات المناظير الحديثة بدقة 4K والميكروسكوب الجراحي، مما يسمح برؤية الأعصاب والأوعية الدموية بوضوح فائق، وهو ما يقلل من مضاعفات الجراحة ويسرع من التئام الجروح.


جدول مقارنة: استراتيجيات الجراحة حسب موقع الإصابة
| موقع النقائل العظمية | الخطر الرئيسي المحتمل | التقنية الجراحية المفضلة (بقيادة د. هطيف) |
|---|---|---|
| عظم الفخذ (القسم العلوي) | كسر عنق الفخذ، العجز عن المشي. | استبدال مفصل الورك بمفصل صناعي (Arthroplasty). |
| جسم عظم الفخذ أو الساق | كسر مرضي كامل أثناء التحميل. | التثبيت بمسمار نخاعي تشابكي (Intramedullary Nailing). |
| العمود الفقري (الفقرات) | انضغاط الحبل الشوكي، الشلل. | تخفيف الضغط العصبي + تثبيت الفقرات بمسامير + حقن أسمنت طبي. |
| الطرف العلوي (عظم العضد) | فقدان وظيفة الذراع، ألم شديد. | التثبيت بشرائح ومسامير أو مسمار نخاعي مع استخدام أسمنت عظمي. |


خطوات الرحلة الجراحية مع الأستاذ الدكتور محمد هطيف
الشفاء ليس مجرد عملية جراحية، بل هو رحلة متكاملة تبدأ من لحظة دخول المريض للعيادة وحتى عودته لحياته الطبيعية.
المرحلة الأولى: التقييم الشامل (Pre-operative)
- دراسة ملف الأورام الخاص بالمريض.
- إجراء فحوصات الدم الشاملة وتقييم وظائف القلب والتخدير.
- استخدام برامج كمبيوتر متقدمة لتحديد حجم المفصل الصناعي أو نوع التثبيت المطلوب بدقة ملليمترية.

المرحلة الثانية: الإجراء الجراحي (Intra-operative)
- تتم الجراحة في أحدث غرف العمليات المجهزة والمُعقمة في صنعاء.
- يتم استخدام تقنيات وقف النزيف المتقدمة.
- تُجرى العملية بأعلى معايير الأمانة الطبية، حيث لا يغادر الدكتور هطيف غرفة العمليات إلا بعد التأكد التام من استقرار التثبيت العظمي والمفصلي.

المرحلة الثالثة: العناية المركزة والإفاقة (Post-operative)
- إدارة الألم بشكل احترافي باستخدام مضخات الألم المبرمجة.
- المراقبة الحثيثة للعلامات الحيوية.

إعادة التأهيل الشامل: طريق العودة إلى الحياة
العملية الجراحية الناجحة هي نصف المسافة، النصف الآخر يعتمد على إعادة التأهيل (Rehabilitation). يشرف الدكتور هطيف شخصياً على بروتوكول العلاج الطبيعي لمرضاه.
- التحريك المبكر: في معظم حالات تثبيت الكسور أو تغيير المفاصل، يتم تشجيع المريض على الوقوف والمشي (بمساعدة) في اليوم التالي للعملية لتجنب الجلطات الدموية.
- العلاج الطبيعي المتخصص: تمارين لتقوية العضلات المحيطة بالمفصل أو العظم المصاب دون وضع إجهاد زائد عليه.
- الدعم النفسي: العامل النفسي يلعب دوراً محورياً. استعادة المريض لقدرته على المشي ترفع من معنوياته بشكل هائل وتزيد من مناعته وقدرته على استكمال علاج الأورام الأساسي (الكيماوي أو الإشعاعي).

قصص نجاح ملهمة من قلب العاصمة صنعاء
بفضل الله ثم بجهود الأستاذ الدكتور محمد هطيف، استعاد العديد من المرضى في اليمن حياتهم الطبيعية.
- الحالة الأولى: سيدة تبلغ من العمر 55 عاماً، متعافية من سرطان الثدي، عانت من ألم مبرح في الفخذ الأيمن وعجز كامل عن المشي بسبب كسر مرضي وشيك. بعد إجراء الفحوصات، قام الدكتور هطيف بإجراء جراحة تثبيت وقائي باستخدام مسمار نخاعي. في غضون 48 ساعة، استطاعت السيدة المشي بدون ألم، وعادت لممارسة حياتها وسط عائلتها.
- الحالة الثانية: رجل ستيني يعاني من سرطان البروستاتا، نُقل إلى المستشفى يعاني من ضعف شديد في الساقين وبداية شلل بسبب انضغاط الحبل الشوكي. تم التدخل الجراحي الطارئ لتخفيف الضغط وتثبيت الفقرات. بفضل سرعة ودقة التدخل، استعاد المريض الإحساس والحركة في ساقيه بالكامل.


الأسئلة الشائعة (FAQ): الد
آلام العظام والمفاصل وتقييد حركتها ليس قدراً محتوماً! التشخيص الدقيق والعلاج المتخصص يمكن أن يعيد لك كامل وظيفتك وحريتك في الحركة. لا تدع الألم يسيطر على حياتك.
للحصول على استشارة دقيقة وخطة علاجية مخصصة لحالتك، تواصل فوراً مع مركز الأستاذ الدكتور محمد هطيف:
الأستاذ الدكتور محمد هطيف - أفضل دكتور عظام في صنعاء، وخبير في جراحات العظام والمفاصل والعمود الفقري.. نلتزم بإعادتك لحياة خالية من الألم وحركة طبيعية.
مواضيع أخرى قد تهمك