إصلاح عدم استقرار الكتف الخلفي بالمنظار: دليل شامل للمرضى مع الأستاذ الدكتور محمد هطيف بصنعاء

الخلاصة الطبية
عدم استقرار الكتف الخلفي هو حالة تؤدي إلى ألم وضعف في الكتف، وغالبًا ما تنتج عن خلع جزئي أو كلي. يتم علاجها جراحيًا بشكل فعال عبر إصلاح عدم استقرار الكتف الخلفي بالمنظار، وهي تقنية دقيقة لاستعادة ثبات المفصل وتخفيف الألم وتحسين الوظيفة.
الخلاصة الطبية الشاملة: يُعد عدم استقرار الكتف الخلفي من الحالات الطبية المعقدة التي تتطلب دقة متناهية في التشخيص والعلاج. تؤدي هذه الحالة إلى ألم مزمن، وضعف في وظيفة الكتف، وغالبًا ما تنتج عن خلع جزئي أو كلي متكرر نحو الخلف. يُعتبر "إصلاح عدم استقرار الكتف الخلفي بالمنظار" المعيار الذهبي الحديث لعلاج هذه المشكلة، حيث يتم استخدام تقنيات طفيفة التوغل لاستعادة ثبات المفصل، وتخفيف الألم، وتحسين الوظيفة الحركية بشكل جذري. وفي اليمن، يبرز الأستاذ الدكتور محمد هطيف كمرجعية طبية أولى لإجراء هذه العمليات الدقيقة بنسب نجاح تضاهي المراكز العالمية.

مقدمة شاملة عن عدم استقرار الكتف الخلفي: التحدي والحلول
يُعد مفصل الكتف واحدًا من أكثر المفاصل تعقيدًا وأوسعها نطاقًا للحركة في جسم الإنسان، مما يجعله بطبيعته التشريحية عرضة للإصابات التي قد تؤثر على استقراره وثباته. من بين هذه الإصابات المعقدة، يبرز "عدم استقرار الكتف الخلفي" كحالة سريرية دقيقة قد تسبب ألمًا شديدًا، وتقييدًا للحركة، وشعورًا مزعجًا بانفلات المفصل، مما يؤثر بشكل كبير ومباشر على جودة حياة المريض وقدرته على أداء الأنشطة اليومية، المهنية، والرياضية.
على الرغم من أن عدم استقرار الكتف الخلفي يُعد أقل شيوعًا بكثير من عدم الاستقرار الأمامي (حيث يمثل حوالي 2% إلى 10% فقط من جميع حالات عدم استقرار الكتف)، إلا أن خطورته تكمن في صعوبة تشخيصه في مراحله الأولى، مما يؤدي في كثير من الأحيان إلى تأخر العلاج. إذا تُركت هذه الحالة دون تدخل طبي متخصص، يمكن أن تتطور إلى ألم مزمن لا يطاق، ضعف وظيفي ملحوظ، وتآكل تدريجي في الغضاريف يؤدي إلى التهاب مفصل الكتف التنكسي المبكر.

يهدف هذا الدليل الطبي الشامل والموسع إلى تقديم معلومات مفصلة، دقيقة، ووافية حول عدم استقرار الكتف الخلفي. سنأخذك في رحلة طبية تبدأ من الفهم العميق للتشريح المعقد للكتف، مرورًا بتحليل الأسباب الخفية والأعراض السريرية، وصولًا إلى أحدث طرق التشخيص والعلاج المتقدمة، مع التركيز المكثف على عملية "إصلاح عدم استقرار الكتف الخلفي بالمنظار". سيتم تسليط الضوء على هذه التقنية الجراحية الدقيقة التي تهدف إلى إعادة بناء الأنسجة المتمزقة واستعادة الثبات الطبيعي للكتف، مما يضمن عودة المريض إلى ممارسة حياته الطبيعية بكفاءة واقتدار.
في هذا السياق الطبي المتقدم، يبرز اسم الأستاذ الدكتور محمد هطيف كأحد أهم وأبرز الخبراء في جراحة العظام، المفاصل، والإصابات الرياضية في العاصمة صنعاء واليمن بأكمله. بصفته أستاذًا في جامعة صنعاء، وبفضل خبرته السريرية والجراحية التي تتجاوز العشرين عامًا، يمثل الدكتور هطيف الوجهة الأولى للمرضى الباحثين عن الأمان الطبي والتميز الجراحي. التزامه الصارم بأحدث التقنيات العالمية (مثل مناظير المفاصل بتقنية 4K والجراحات الميكروسكوبية الدقيقة)، بالإضافة إلى أمانته الطبية المطلقة في تقديم المشورة، يجعله الخيار الأمثل لعلاج أعقد حالات الكتف.

التشريح المتقدم لمفصل الكتف: كيف يتحقق الثبات؟
لفهم طبيعة عدم استقرار الكتف الخلفي، يجب أولاً الغوص في التفاصيل التشريحية الدقيقة لمفصل الكتف. يُعرف مفصل الكتف طبيًا باسم "المفصل الحقاني العضدي" (Glenohumeral Joint)، وهو مفصل كروي حُقي. يتكون من التقاء رأس عظم العضد (الجزء الكروي من الذراع العلوي) مع التجويف الحقاني (Glenoid cavity) الموجود في لوح الكتف.
ما يميز هذا المفصل هو أن التجويف الحقاني ضحل جدًا مقارنة بحجم رأس عظم العضد (يشبه كرة جولف موضوعة على قاعدة صغيرة). هذا التصميم الفريد هو ما يمنح الكتف نطاق حركته الهائل، ولكنه في الوقت ذاته يجعله المفصل الأكثر عرضة للخلع وعدم الاستقرار في الجسم.
للحفاظ على بقاء رأس العضد داخل التجويف الحقاني أثناء الحركة، يعتمد الكتف على نظام معقد من المثبتات، والتي تنقسم إلى قسمين رئيسيين:
1. المثبتات الساكنة (Static Stabilizers)
وهي الهياكل التشريحية التي لا تنقبض بشكل إرادي، ولكنها توفر الدعم الميكانيكي المستمر:
* الشفة الحقانية (Glenoid Labrum): حلقة من الغضروف الليفي القوي تحيط بحافة التجويف الحقاني. تعمل على تعميق التجويف بنسبة تصل إلى 50%، وتعمل كحاجز يمنع انزلاق رأس العضد (خاصة الشفة الخلفية في حالة الاستقرار الخلفي).
* المحفظة المفصلية (Joint Capsule): غلاف ليفي يحيط بالمفصل بالكامل، ويحتوي على السائل الزلالي.
* الأربطة الحقانية العضدية (Glenohumeral Ligaments): أشرطة قوية من الأنسجة الضامة مدمجة في المحفظة. في سياق الاستقرار الخلفي، تلعب "الحزمة الخلفية للرباط الحقاني العضدي السفلي" (Posterior band of the IGHL) دورًا حاسمًا في منع رأس العضد من الانزلاق للخلف أثناء ثني الذراع ودورانها للداخل.

2. المثبتات الديناميكية (Dynamic Stabilizers)
وهي العضلات والأوتار التي تتحكم في حركة المفصل وتوفر ثباتًا نشطًا:
* الكفة المدورة (Rotator Cuff): مجموعة من أربع عضلات (فوق الشوكة، تحت الشوكة، المدورة الصغيرة، وتحت اللوح). تعمل هذه العضلات معًا لضغط رأس العضد بقوة داخل التجويف الحقاني أثناء حركة الذراع. العضلات الخلفية (تحت الشوكة والمدورة الصغيرة) تلعب دورًا محوريًا في الاستقرار الخلفي.
* وتر العضلة ذات الرأسين (Biceps Tendon): يساهم في كبح حركة رأس العضد.
* عضلات لوح الكتف (Periscapular Muscles): تضمن التوجيه الصحيح للتجويف الحقاني أثناء حركة الذراع.
أي خلل، تمزق، أو ارتخاء في هذه الهياكل (خاصة الشفة الحقانية الخلفية والمحفظة الخلفية) يؤدي حتمًا إلى عدم استقرار الكتف الخلفي.

الفهم العميق لعدم استقرار الكتف الخلفي
عدم استقرار الكتف الخلفي هو حالة مرضية تتسم بحركة غير طبيعية، مفرطة، وغير مرغوب فيها لرأس عظم العضد باتجاه الخلف (Posteriorly) خارج أو على حافة التجويف الحقاني.
تتراوح شدة هذه الحالة عبر طيف واسع:
* الخلع الجزئي (Subluxation): انزلاق مؤقت وجزئي لرأس العضد خارج التجويف نحو الخلف، ثم عودته تلقائيًا إلى مكانه. يسبب شعورًا بـ "الانفلات" أو "الرخاوة" مصحوبًا بألم حاد ومفاجئ.
* الخلع الكامل (Dislocation): خروج رأس العضد بالكامل من التجويف الحقاني واستقراره في الخلف. هذه الحالة تتطلب تدخلًا طبيًا عاجلًا لإعادة المفصل إلى مكانه (الرد المغلق).
لماذا يُعد التشخيص تحديًا؟
على عكس الخلع الأمامي الذي يكون واضحًا وغالبًا ما يترافق مع تشوه مرئي في الكتف الأمامي، فإن الخلع أو عدم الاستقرار الخلفي قد لا يظهر بتشوه واضح للعين المجردة. المريض قد يحمل ذراعه في وضعية الدوران الداخلي ويجد صعوبة بالغة في تدويرها للخارج. بسبب هذا النقص في العلامات البصرية الواضحة، يتم تفويت تشخيص نسبة كبيرة من حالات الخلع الخلفي في أقسام الطوارئ الأولية إذا لم يتم إجراء فحص دقيق وتصوير شعاعي صحيح.


الأسباب وعوامل الخطر: لماذا يحدث عدم الاستقرار الخلفي؟
تتعدد الأسباب التي تؤدي إلى تلف المثبتات الخلفية للكتف، ويمكن تصنيفها إلى ثلاث فئات رئيسية، والتي يحرص الأستاذ الدكتور محمد هطيف على التمييز بينها بدقة لوضع خطة العلاج المناسبة:
1. الإصابات الرضية الشديدة (Macrotrauma)
تحدث نتيجة قوة هائلة ومفاجئة تدفع رأس العضد للخلف بقوة تتجاوز قدرة الأربطة على التحمل:
* النوبات التشنجية (Seizures): من أشهر أسباب الخلع الخلفي. التشنجات العضلية العنيفة واللاإرادية (خاصة لعضلات الدوران الداخلي القوية مثل العضلة العريضة الظهرية والصدرية الكبرى) تتغلب على عضلات الدوران الخارجي الضعيفة، مما يجبر رأس العضد على الخروج للخلف.
* الصعقات الكهربائية (Electric Shock): تسبب نفس آلية التشنجات العضلية العنيفة.
* الحوادث المرورية: مثل متلازمة لوحة القيادة (Dashboard injury)، حيث يتلقى السائق أو الراكب ضربة قوية ومباشرة على الجزء الأمامي من الكتف بينما تكون الذراع ممدودة للأمام، مما يدفع المفصل للخلف.
* السقوط على يد ممدودة: في وضعيات معينة (الثني والدوران الداخلي).
2. الإصابات المتكررة الدقيقة (Microtrauma)
شائعة جدًا بين الرياضيين الذين يقومون بحركات متكررة تضع ضغطًا هائلاً على المحفظة الخلفية:
* رافعو الأثقال: خاصة عند أداء تمرين ضغط الصدر (Bench Press) بأوزان ثقيلة.
* لاعبو كرة القدم الأمريكية: وخاصة لاعبي خط الهجوم والدفاع (Linemen) الذين يستخدمون أذرعهم لصد الخصوم.
* السباحون ولاعبو التنس: الحركات المتكررة فوق مستوى الرأس قد تؤدي إلى تمدد وإجهاد المحفظة الخلفية بمرور الوقت.
3. الأسباب غير الرضية (Atraumatic / Structural)
- رخاوة المفاصل المعممة (Generalized Ligamentous Laxity): بعض الأشخاص يولدون بأربطة أكثر مرونة من الطبيعي (مثل متلازمة إهلرز-دانلوس)، مما يجعلهم عرضة لعدم الاستقرار في اتجاهات متعددة، بما في ذلك الخلف.
- التشوهات العظمية: مثل خلل التنسج الحقاني (Glenoid Dysplasia) حيث يكون التجويف الحقاني موجهًا للخلف بشكل مفرط (Retroversion).


الأعراض والعلامات التحذيرية
كيف يعرف المريض أنه يعاني من عدم استقرار خلفي في الكتف؟ تتنوع الأعراض بناءً على شدة الحالة، وتتضمن:
- ألم عميق في الكتف: غالبًا ما يتركز الألم في الجزء الخلفي من الكتف، ويزداد سوءًا عند دفع الأشياء بعيدًا عن الجسم، أو عند أداء تمارين مثل تمرين الضغط (Push-ups).
- الشعور بالانفلات أو الرخاوة (Giving Way): إحساس مزعج بأن الكتف ينزلق من مكانه ويعود، خاصة عند وضع الذراع أمام الجسم وتدويرها للداخل.
- طقطقة مسموعة أو محسوسة (Clicking/Catching): نتيجة احتكاك رأس العضد المخلوع جزئيًا مع حافة التجويف الحقاني المتمزقة.
- ضعف ملحوظ (Weakness): صعوبة في رفع الأشياء الثقيلة أو دفع الأبواب الثقيلة. يعرف بـ "متلازمة الذراع الميتة".
- تصلب وتحدد في الحركة: في حالات الخلع الكامل غير المردود، يكون المريض غير قادر على تدوير ذراعه للخارج (External Rotation).
منهجية التشخيص الدقيق مع الأستاذ الدكتور محمد هطيف
التشخيص الخاطئ أو المتأخر هو أكبر عدو لمرضى عدم استقرار الكتف الخلفي. لذلك، يتبع الأستاذ الدكتور محمد هطيف في عيادته بصنعاء بروتوكولًا تشخيصيًا صارمًا ومتعدد الطبقات:
التقييم السريري الشامل
يبدأ التشخيص بأخذ تاريخ مرضي مفصل، وفهم طبيعة الإصابة، والأوضاع التي تثير الألم. ثم يقوم الدكتور هطيف بإجراء اختبارات سريرية متخصصة، منها:
* اختبار النفضة (Jerk Test): يتم دفع ذراع المريض للخلف وللداخل للتحقق من انزلاق رأس العضد.
* اختبار كيم (Kim Test): اختبار دقيق لتقييم تمزق الشفة الحقانية الخلفية السفلية.
* اختبار التحميل والتحريك (Load and Shift Test): لتقييم مقدار الرخاوة في المحفظة المفصلية.

التصوير الطبي المتقدم
التشخيص السريري يجب أن يُدعم بتصوير إشعاعي دقيق:
1. الأشعة السينية (X-rays): ضرورية جدًا. يصر الدكتور هطيف على طلب وضعيات خاصة (مثل Axillary view و Scapular Y view) لأن الوضعية الأمامية الخلفية العادية قد تبدو طبيعية تمامًا في حالات الخلع الخلفي (ما يُعرف بـ Lightbulb sign).
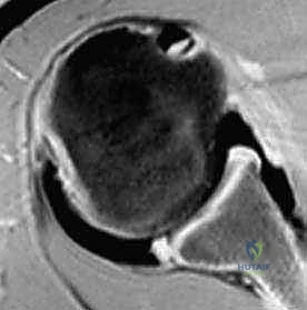
2. التصوير بالرنين المغناطيسي (MRI) أو الرنين مع الصبغة الملونة (MRA): وهو المعيار الذهبي. يُظهر بوضوح تام تمزقات الشفة الحقانية الخلفية (Reverse Bankart Lesion)، تمزقات المحفظة، وأي أضرار في الغضاريف أو أوتار الكفة المدورة.
3. الأشعة المقطعية (CT Scan): تُطلب في حال وجود اشتباه بكسور في حافة التجويف الحقاني أو انخساف عظمي في رأس العضد (Reverse Hill-Sachs Lesion).
خيارات العلاج: متى نلجأ للعلاج التحفظي ومتى نتدخل جراحيًا؟
لا تتطلب كل حالات عدم استقرار الكتف الخلفي جراحة فورية. يعتمد القرار على عمر المريض، مستوى نشاطه، ودرجة التلف التشريحي. فيما يلي جدول مقارن لخيارات العلاج المتاحة:
جدول 1: مقارنة بين العلاج التحفظي والعلاج الجراحي لعدم استقرار الكتف الخلفي
| وجه المقارنة | العلاج التحفظي (العلاج الطبيعي) | العلاج الجراحي (المنظار) |
|---|---|---|
| الحالات المستهدفة | الخلع الجزئي الخفيف، المرضى غير الرياضيين، حالات الرخاوة المعممة، الإصابة الأولى. | الخلع المتكرر، الرياضيون المحترفون، فشل العلاج الطبيعي، وجود تمزق واضح (Reverse Bankart). |
| آلية العلاج | تقوية المثبتات الديناميكية (العضلات) لتعويض ضعف الأربطة. التركيز على عضلات الدوران الخارجي وعضلات لوح الكتف. | إصلاح هيكلي مباشر. إعادة خياطة الشفة المتمزقة وشد المحفظة المرتخية باستخدام خطاطيف دقيقة. |
| مدة العلاج | 3 إلى 6 أشهر من العلاج الطبيعي المكثف. | جراحة تستغرق 1-2 ساعة، تليها فترة تأهيل تمتد لـ 4 إلى 6 أشهر. |
| المزايا | تجنب مخاطر الجراحة، تكلفة أقل، مناسب للمرضى الذين لا يعانون من تمزقات هيكلية كبيرة. | حل جذري للمشكلة، استعادة الثبات التشريحي الطبيعي، منع تآكل الغضاريف المستقبلي، عودة آمنة للرياضة العنيفة. |
| العيوب | لا يعالج التمزق التشريحي، احتمالية عالية لتكرار الخلع إذا توقف المريض عن التمارين. | يتطلب فترة نقاهة، التزام صارم ببرنامج التأهيل، تكلفة أعلى. |
| نسبة النجاح | 60% إلى 70% في حالات مختارة بعناية. | تتجاوز 90% إلى 95% عند إجرائها بواسطة جراح خبير مثل أ.د. محمد هطيف. |

إصلاح عدم استقرار الكتف الخلفي بالمنظار: الثورة الجراحية
عندما يفشل العلاج التحفظي، أو عندما يكون التلف التشريحي كبيرًا (مثل تمزق الشفة الحقانية الخلفية - Reverse Bankart)، يصبح التدخل الجراحي ضرورة حتمية لمنع تدهور المفصل.
في الماضي، كانت الجراحات المفتوحة هي السائدة، وكانت تتطلب شقوقًا كبيرة، قطعًا للعضلات، وفترات تعافي طويلة ومؤلمة. اليوم، وبفضل التطور التكنولوجي وخبرات جراحين أفذاذ مثل الأستاذ الدكتور محمد هطيف، أصبح "إصلاح عدم استقرار الكتف الخلفي بالمنظار" (Arthroscopic Posterior Stabilization) هو الإجراء القياسي والمعيار الذهبي.
ما هو المنظار الجراحي للكتف؟
هو تقنية جراحية طفيفة التوغل (Minimally Invasive) تعتمد على إحداث شقوق صغيرة جدًا (لا تتجاوز نصف سنتيمتر). يتم إدخال كاميرا دقيقة وعالية الدقة (Arthroscopy) متصلة بشاشة عرض 4K، مما يمنح الجراح رؤية مكبرة وواضحة تمامًا لكل تفاصيل المفصل من الداخل. من خلال شقوق أخرى، يتم إدخال أدوات جراحية دقيقة جدًا لإجراء الإصلاح.

خطوات العملية الجراحية بالتفصيل
يتميز الأستاذ الدكتور محمد هطيف بدقته المتناهية في تنفيذ كل خطوة من خطوات هذه الجراحة المعقدة، والتي تتم وفق التسلسل الآتي:
1. التخدير والتحضير:
تُجرى العملية تحت التخدير العام، وغالبًا ما يُضاف إليه تخدير موضعي للأعصاب (Nerve Block) لضمان تسكين الألم لساعات بعد الجراحة. يتم وضع المريض في وضعية الاستلقاء الجانبي (Lateral Decubitus) أو وضعية كرسي الشاطئ (Beach Chair)، مع تعقيم وتغطية المنطقة بالكامل.
2. إحداث الثقوب الجراحية (Portals):
يقوم الدكتور هطيف بعمل 2 إلى 3 ثقوب صغيرة جدًا حول الكتف (ثقب خلفي أساسي، وثقب أمامي، وأحيانًا ثقب إضافي). يتم ضخ سائل معقم لنفخ المفصل وتوسيع مساحة العمل الجراحي.

3. الاستكشاف التشخيصي بالمنظار:
قبل البدء بالإصلاح، يقوم الجراح بجولة استكشافية شاملة داخل المفصل. يتم تقييم الشفة الأمامية، الخلفية، العلوية، الغضاريف المفصلية، وأوتار الكفة المدورة للتأكد من عدم وجود إصابات مصاحبة خفية.
4. تحضير موقع الإصلاح (Preparation):
يتم استخدام أدوات دقيقة لتنظيف الأنسجة التالفة وإزالة أي ندبات. الخطوة الأهم هي "تخشين" (Abrasion) حافة عظم التجويف الحقاني الخلفي. هذا التخشين يهدف إلى إحداث نزيف دقيق يحفز عملية التئام الشفة الممزقة بالعظم لاحقًا.

5. زرع الخطاطيف العظمية (Suture Anchors Insertion):
يتم زرع خطاطيف دقيقة جدًا (غالبًا ما تكون مصنوعة من مواد قابلة للامتصاص الحيوي أو مادة PEEK القوية) في حافة عظم التجويف الحقاني الخلفي. هذه الخطاطيف محملة بخيوط جراحية فائقة القوة.
6. خياطة الشفة وشد المحفظة (Capsulolabral Shift & Repair):
باستخدام أدوات تمرير الخيوط المتطورة، يقوم الدكتور هطيف بتمرير الخيوط عبر المحفظة المفصلية المرتخية والشفة الحقانية المتمزقة. يتم بعد ذلك سحب هذه الأنسجة وربط الخيوط بعقد جراحية محكمة.
هذه الخطوة المزدوجة تحقق هدفين: إعادة تثبيت الشفة في مكانها التشريحي الصحيح (بناء مصد خلفي يمنع خروج العظم)،
ألم الكتف وتقييد حركته ليس قدراً محتوماً! التشخيص الدقيق والعلاج المتخصص يمكن أن يعيد لك كامل وظيفتك وحريتك في الحركة. لا تدع الألم يسيطر على حياتك.
للحصول على استشارة دقيقة وخطة علاجية مخصصة لحالتك، تواصل فوراً مع مركز الأستاذ الدكتور محمد هطيف:
الأستاذ الدكتور محمد هطيف - أفضل دكتور عظام في صنعاء، وخبير في جراحات الكتف بالمنظار.. نلتزم بإعادتك لحياة خالية من الألم وذراع قوية ووظيفية.
مواضيع أخرى قد تهمك