كسر خلع مفصل الإصبع الأوسط (PIP): دليل شامل للتشخيص والعلاج الجراحي مع الأستاذ الدكتور محمد هطيف

الخلاصة الطبية
كسر خلع مفصل PIP هو إصابة معقدة تصيب مفصل الإصبع الأوسط، تجمع بين كسر في العظم وخلع في المفصل، مما يستدعي تدخلاً دقيقًا. يتضمن العلاج غالبًا الرد المفتوح والتثبيت الداخلي (ORIF) لضمان استقرار المفصل واستعادة وظيفته، ويُعد الأستاذ الدكتور محمد هطيف خبيرًا رائدًا في هذا المجال.
مقدمة شاملة عن كسر خلع مفصل الإصبع الأوسط (PIP)
يُعد مفصل الإصبع الأوسط، المعروف طبيًا بمفصل السلاميات الداني (PIP Joint)، بمثابة حجر الزاوية في وظيفة اليد البشرية. فهو ليس مجرد مفصل عادي، بل هو المحور الأساسي الذي تعتمد عليه اليد في أداء أعقد المهام، بدءًا من الإمساك القوي بالأدوات الثقيلة، وصولاً إلى الحركات الدقيقة مثل الكتابة أو العزف. عندما يتعرض هذا المفصل الحيوي لإصابة مركبة تجمع بين كسر في العظام المكونة له وخلع في تركيبه المفصلي، فإننا نواجه واحدة من أكثر تحديات جراحة اليد تعقيدًا: "كسر خلع مفصل PIP".
هذه الإصابة لا يمكن ولا ينبغي التعامل معها على أنها "مجرد التواء بسيط" أو إصابة عابرة في الإصبع. إنها حالة طوارئ عظمية تتضمن تضررًا بالغًا في الهيكل العظمي وتمزقًا شديدًا في الأنسجة الرخوة والأربطة الداعمة. إذا تُركت دون تشخيص دقيق أو عولجت بطريقة غير احترافية، فإن العواقب تكون كارثية على وظيفة اليد، متمثلة في تيبس دائم، ألم مزمن يعيق الحياة اليومية، وتشوه شكلي ووظيفي (مثل تشوه عنق البجعة أو تشوه العروة).

إن الهدف الأسمى في علاج هذه الحالات المعقدة يتجاوز مجرد "إعادة العظم إلى مكانه". الهدف الحقيقي، كما يتبناه رواد جراحة العظام، هو تحقيق تثبيت تشريحي صلب ومستقر يسمح للمريض ببدء تحريك إصبعه في أسرع وقت ممكن لمنع التيبس. وهنا يبرز اسم الأستاذ الدكتور محمد هطيف، أستاذ جراحة العظام والمفاصل بجامعة صنعاء، كواحد من أهم وأبرز الخبراء في اليمن والمنطقة في التعامل مع هذه الإصابات الدقيقة. بفضل خبرته التي تتجاوز العشرين عامًا، واستخدامه لأحدث تقنيات الجراحة المجهرية والمناظير، يقدم الدكتور هطيف بروتوكولات علاجية تضاهي ما يُقدم في أرقى المراكز الطبية العالمية، مع الالتزام التام بالأمانة الطبية والشفافية مع المريض.

التشريح الميكانيكي الدقيق لمفصل الإصبع الأوسط (PIP)
لفهم مدى خطورة كسر خلع مفصل PIP، يجب علينا أولاً الغوص في التفاصيل التشريحية المعقدة والمذهلة لهذا المفصل. يُصنف مفصل PIP كمفصل بَكَري (Hinge Joint) حقيقي، مما يعني أنه مصمم هندسيًا للسماح بحركتين أساسيتين فقط: الثني (Flexion) والمد (Extension)، مع تقييد صارم لأي حركة جانبية أو دورانية.
يتكون هذا المفصل من التقاء هيكلين عظميين رئيسيين:
1. رأس السلامية الدانية (Proximal Phalanx Head): والذي يتميز بوجود كتلتين عظميتين (لقمتين) كعبرية وزندية، يفصل بينهما ثلم (أخدود) ضيق.
2. قاعدة السلامية الوسطى (Middle Phalanx Base): والتي تحتوي على تجويفين مقعرين يتطابقان بشكل مثالي مع لقمتي السلامية الدانية، وبينهما بروز عظمي يتناسب مع الثلم المذكور.
هذا التطابق العظمي المذهل يوفر استقرارًا أوليًا للمفصل، ويسمح بمدى حركة وظيفي يتراوح بين 0 درجة (مد كامل) إلى 100-120 درجة (ثني كامل). هذه الحركة مسؤولة عن حوالي 85% من قوة وكفاءة قبضة اليد.

منظومة الأنسجة الرخوة: حراس استقرار المفصل
الاستقرار الحقيقي لمفصل PIP لا يعتمد على العظام فحسب، بل يعتمد بشكل حاسم على شبكة معقدة وقوية من الأنسجة الرخوة والأربطة التي تحيط به كالغلاف الواقي:
- الصفيحة الراحية (Volar Plate): هي البنية الأهم على الإطلاق في استقرار المفصل. عبارة عن صفيحة غضروفية ليفية سميكة وقوية تقع في الجزء السفلي (الراحي) من المفصل. وظيفتها الأساسية هي منع الإصبع من الانحناء للخلف أكثر من اللازم (فرط البسط). في حالات الخلع الظهري، تنفصل هذه الصفيحة بعنف عن قاعدة السلامية الوسطى، وغالبًا ما تقتلع معها قطعة من العظم، وهو ما يُعرف بـ "الكسر القلعي" (Avulsion Fracture).
- الأربطة الحاجزة (Checkrein Ligaments): هي أربطة متينة تشبه الحبال، تنبثق من الصفيحة الراحية لتربطها بالسلامية الدانية. هذه الأربطة تعمل كمكابح إضافية لمنع فرط البسط. يمر من تحتها مباشرة الشرايين والأعصاب الدقيقة التي تغذي الإصبع، مما يجعل أي تداخل جراحي في هذه المنطقة يتطلب مهارة جراحية فائقة، كالتي يتمتع بها الأستاذ الدكتور محمد هطيف، لتجنب إصابة هذه الهياكل الحيوية.
- الأربطة الجانبية (Collateral Ligaments): تقع على جانبي المفصل وتمنع انحراف الإصبع يمينًا أو يسارًا.
- الأربطة الجانبية الأساسية: تنشد وتتوتر عندما يكون الإصبع مثنيًا، وهي المانع الرئيسي للتشوهات الجانبية.
- الأربطة الجانبية الملحقة: تتصل بالصفيحة الراحية وتكون مشدودة عندما يكون الإصبع ممدودًا.
- المجمع الباسط (Extensor Mechanism): في الجزء العلوي (الظهري) من الإصبع، توجد شبكة معقدة من الأوتار (الوتر المركزي والأشرطة الجانبية) التي تعمل على فرد الإصبع وتساهم في استقراره الديناميكي.


أسباب وآليات حدوث كسر خلع مفصل PIP
لا يحدث كسر خلع مفصل الإصبع الأوسط نتيجة إصابات خفيفة، بل يتطلب قوة ميكانيكية كبيرة تتجاوز قدرة العظام والأربطة على التحمل. تتعدد الآليات التي تؤدي إلى هذه الإصابة، ومن أبرزها:
- الإصابات الرياضية العنيفة: تُعد الرياضات التي تتطلب استخدام اليدين بكثافة، مثل كرة السلة، الكرة الطائرة، حراسة المرمى في كرة القدم، والجمباز، بيئة خصبة لهذه الإصابات. غالبًا ما تحدث الإصابة عندما تصطدم الكرة بقوة بطرف الإصبع وهو ممدود، مما يؤدي إلى انضغاط المفصل بقوة نحو الداخل مع انحناء مفاجئ للخلف.
- حوادث السقوط: السقوط على يد ممدودة لمحاولة تخفيف صدمة الارتطام بالأرض يولد قوة محورية هائلة تنتقل عبر عظام اليد لتتركز في مفصل PIP الأضعف نسبيًا في تلك اللحظة.
- إصابات العمل والآلات: حوادث السحق (Crush Injuries) الناتجة عن انحشار الإصبع في أبواب ثقيلة أو آلات صناعية تسبب كسورًا مفتتة وخلعًا معقدًا يصعب علاجه.
- حوادث السير: الاصطدام العنيف داخل السيارة قد يؤدي إلى ارتطام اليد بقوة بعجلة القيادة أو لوحة القيادة.
أنواع كسر خلع مفصل PIP
يصنف أطباء العظام هذه الإصابة بناءً على اتجاه حركة السلامية الوسطى بالنسبة للسلامية الدانية لحظة الإصابة:
- الخلع الظهري مع كسر (Dorsal Fracture-Dislocation): وهو النوع الأكثر شيوعًا. يحدث عندما تندفع السلامية الوسطى للخلف (نحو ظهر اليد). يترافق عادة مع تمزق الصفيحة الراحية وكسر في الجزء الراحي (السفلي) من قاعدة السلامية الوسطى.
- الخلع الراحي مع كسر (Volar Fracture-Dislocation): أقل شيوعًا ولكنه أكثر تعقيدًا في العلاج. تندفع فيه السلامية الوسطى للأمام (نحو باطن اليد). يترافق مع تمزق الوتر المركزي الباسط وكسر في الجزء الظهري من المفصل.
- كسر بيلون (Pilon Fracture): إصابة ناتجة عن قوة ضغط محورية شديدة تؤدي إلى تفتت قاعدة السلامية الوسطى بأكملها دون انزياح المفصل في اتجاه واحد محدد. هي من أصعب الحالات التي تتطلب خبرة جراحية دقيقة كالتي يقدمها الدكتور محمد هطيف.


الأعراض والعلامات السريرية: متى يجب دق ناقوس الخطر؟
التعرف المبكر على أعراض كسر خلع مفصل PIP هو الخطوة الأولى نحو الشفاء التام. تجاهل هذه الأعراض يؤدي إلى تفاقم الحالة وتصلب المفصل في وضعية خاطئة. تشمل الأعراض الرئيسية ما يلي:
- ألم حاد ولا يُحتمل: ألم فوري وشديد يتركز في مفصل الإصبع الأوسط، يزداد بشكل دراماتيكي عند أي محاولة لتحريك الإصبع.
- تشوه واضح في شكل الإصبع: يبدو الإصبع أقصر من المعتاد، أو ملتوياً، أو منتفخاً بشكل غير طبيعي عند منطقة المفصل، مما يدل على خروج العظام من مسارها الطبيعي.
- تورم سريع وكدمات (وذمة): ينتفخ المفصل المصاب بسرعة كبيرة خلال الدقائق الأولى من الإصابة، وتظهر كدمات زرقاء أو أرجوانية نتيجة النزيف الداخلي من العظام والأربطة الممزقة.
- فقدان كامل لوظيفة المفصل: العجز التام عن ثني أو مد الإصبع. يشعر المريض وكأن المفصل "مغلق" أو متصلب.
- خدر أو تنميل: في حالات نادرة وشديدة، قد يضغط العظم المخلوع على الأعصاب الدقيقة المارة بجانب الإصبع، مما يسبب شعوراً بالوخز أو فقدان الإحساس في طرف الإصبع.
إذا كنت تعاني من هذه الأعراض، فإن التوجه الفوري لعيادة متخصصة في جراحة العظام أمر حتمي. في صنعاء، توفر عيادة الأستاذ الدكتور محمد هطيف تقييماً عاجلاً ودقيقاً لهذه الحالات الطارئة.


التشخيص الدقيق: حجر الأساس لخطة العلاج
لا يمكن وضع خطة علاجية ناجحة دون تشخيص شعاعي وسريري دقيق. يعتمد الأستاذ الدكتور محمد هطيف على بروتوكول تشخيصي صارم لضمان عدم تفويت أي تفصيل دقيق في الإصابة:
1. الفحص السريري الشامل
يبدأ الدكتور هطيف بتقييم حالة الجلد، والبحث عن أي جروح مفتوحة قد تحول الإصابة إلى كسر مفتوح يتطلب تدخلاً طارئًا لتجنب العدوى. يتم فحص التروية الدموية للإصبع (عن طريق امتلاء الشعيرات الدموية) وفحص الإحساس للتأكد من سلامة الأعصاب.
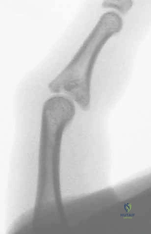
2. التصوير بالأشعة السينية (X-Rays)
هو المعيار الذهبي الأولي. يجب أخذ صور شعاعية واضحة ومحددة للإصبع المصاب (وليس لليد بأكملها) في ثلاث وضعيات:
* الوضعية الأمامية الخلفية (AP): لتقييم المحور الجانبي للإصبع والبحث عن شقوق عظمية.
* الوضعية الجانبية الحقيقية (True Lateral): هي الصورة الأهم على الإطلاق. من خلالها يتم تحديد حجم القطعة العظمية المكسورة، ومقدار انزياح المفصل. يبحث الجراح الماهر هنا عن علامة "V-Sign" الشهيرة، والتي تدل على عدم تطابق الأسطح المفصلية ووجود خلع جزئي غير مستقر.
* الوضعية المائلة (Oblique): تساعد في رؤية تفاصيل الكسور المفتتة التي قد تختفي في الوضعيات الأخرى.
3. التصوير المقطعي المحوسب (CT Scan)
في حالات الكسور المفتتة بشدة (مثل كسور بيلون)، أو عندما يكون التخطيط الجراحي معقدًا، يطلب الدكتور هطيف إجراء أشعة مقطعية ثلاثية الأبعاد (3D CT Scan) لرسم خريطة دقيقة لكل كسرة عظمية، مما يسهل عملية إعادة بنائها بدقة متناهية داخل غرفة العمليات.

جدول 1: تصنيف شدة كسور خلع مفصل PIP (التصنيف المبسط)
| درجة الإصابة | حجم الكسر من السطح المفصلي | مدى استقرار المفصل | التوجه العلاجي الموصى به |
|---|---|---|---|
| الدرجة الأولى (خفيفة) | أقل من 30% | مستقر (المفصل لا ينخلع عند تحريكه) | علاج تحفظي (تجبير وظيفي مبكر) |
| الدرجة الثانية (متوسطة) | بين 30% إلى 50% | غير مستقر (ينخلع عند الثني أو المد) | علاج جراحي (تثبيت داخلي أو تجبير ديناميكي) |
| الدرجة الثالثة (شديدة) | أكثر من 50% | غير مستقر تماماً (خلع دائم) | تدخل جراحي عاجل (إعادة بناء المفصل) |
| الدرجة الرابعة (مفتتة) | كسر مفتت (Pilon) | تدمير للسطح المفصلي | جراحة متقدمة (مثبت خارجي ديناميكي أو ترقيع عظمي) |

الخيارات العلاجية: الفن والعلم في جراحة اليد
إن اتخاذ قرار العلاج في حالات كسر خلع مفصل PIP هو فن يعتمد على العلم والخبرة. يتبنى الأستاذ الدكتور محمد هطيف فلسفة علاجية ترتكز على مبدأ "الحركة المبكرة الآمنة". الهدف ليس فقط التئام العظم، بل استعادة وظيفة الانثناء والانبساط الكاملة للإصبع.
أولاً: العلاج التحفظي (غير الجراحي)
يُخصص العلاج التحفظي للحالات المستقرة فقط (عندما يكون الكسر صغيراً والمفصل ثابتاً بعد إرجاعه). يتطلب هذا العلاج متابعة حثيثة لتجنب انزياح الكسر لاحقاً.
- تجبير إعاقة المد الظهري (Dorsal Extension Block Splinting): هي التقنية الأكثر شيوعاً وفعالية. يتم وضع جبيرة مخصصة على ظهر الإصبع تمنعه من الامتداد الكامل (الذي يسبب الخلع)، بينما تسمح له بالانثناء الكامل. يتم تعديل الجبيرة أسبوعياً لزيادة زاوية المد تدريجياً مع التئام العظم.
- الربط المزدوج (Buddy Taping): يتم ربط الإصبع المصاب بالإصبع السليم المجاور له. يعمل الإصبع السليم كجبيرة ديناميكية طبيعية، مما يسمح بالحركة ويمنع التيبس.

ثانياً: العلاج الجراحي المتقدم مع الأستاذ الدكتور محمد هطيف
عندما يكون الكسر كبيراً، أو المفصل غير مستقر، أو في حالات الكسور المفتتة، يصبح التدخل الجراحي أمراً لا مفر منه لإنقاذ وظيفة اليد. في صنعاء، يُجري الدكتور هطيف هذه العمليات الدقيقة باستخدام أدوات الجراحة المجهرية وتقنيات تثبيت فائقة الصغر.
1. الرد المفتوح والتثبيت الداخلي (ORIF)
هذه هي الجراحة الكلاسيكية والمفضلة عندما يكون هناك قطعة عظمية واحدة كبيرة يمكن تثبيتها.
* الخطوات: يقوم الدكتور هطيف بعمل شق جراحي دقيق (عادة على شكل متعرج Bruner incision) للوصول إلى المفصل دون إتلاف الأوتار. يتم إرجاع العظم المكسور إلى مكانه التشريحي بدقة مجهرية.
* التثبيت: يتم تثبيت الكسر باستخدام مسامير تيتانيوم متناهية الصغر (Mini-screws بحجم 1.3 مم أو 1.5 مم) أو باستخدام أسلاك كيرشنر (K-wires). يضمن هذا التثبيت الصلب قدرة المريض على بدء تحريك إصبعه بعد أيام قليلة من الجراحة.

2. تقنية رأب الصفيحة الراحية (Volar Plate Arthroplasty - VPA)
تُستخدم هذه التقنية عندما يكون الكسر في قاعدة السلامية الوسطى مفتتاً جداً بحيث لا يمكن تثبيته بالمسامير، ويشكل أكثر من 40% من السطح المفصلي.
* الخطوات: يتم استئصال القطع العظمية المفتتة تماماً لتنظيف المفصل. ثم يقوم الدكتور هطيف بسحب الصفيحة الراحية (Volar Plate) القوية وإعادة خياطتها داخل العيب العظمي المتبقي في السلامية الوسطى باستخدام خيوط جراحية خاصة أو مثبتات عظمية (Suture Anchors).
* النتيجة: تعمل الصفيحة الراحية كسطح مفصلي بديل وناعم، وتمنع انزياح المفصل للخلف، مما يعيد الاستقرار للمفصل.

3. التثبيت الخارجي الديناميكي (Dynamic External Fixation)
تعتبر هذه التقنية ثورة في علاج الكسور المفتتة بشدة (كسور بيلون) حيث يكون العظم مهشماً كعجلة القيادة المكسورة.
* كيف تعمل؟ بدلاً من فتح المفصل، يقوم الدكتور هطيف بإدخال أسلاك معدنية دقيقة عبر الجلد إلى العظام السليمة فوق وتحت المفصل المصاب. يتم توصيل هذه الأسلاك بإطار خارجي مرن (مثل إطار سوزوكي Suzuki Frame).
* الميزة: يعتمد هذا الإطار على مبدأ "الشد الرباطي" (Ligamentotaxis). فهو يسحب المفصل بعيداً عن بعضه، مما يسمح للقطع العظمية المفتتة بالاصطفاف في مكانها الطبيعي بفضل الشد المعاكس للأربطة المحيطة، وفي نفس الوقت يسمح للمريض بثني ومد








آلام العظام والمفاصل وتقييد حركتها ليس قدراً محتوماً! التشخيص الدقيق والعلاج المتخصص يمكن أن يعيد لك كامل وظيفتك وحريتك في الحركة. لا تدع الألم يسيطر على حياتك.
للحصول على استشارة دقيقة وخطة علاجية مخصصة لحالتك، تواصل فوراً مع مركز الأستاذ الدكتور محمد هطيف:
الأستاذ الدكتور محمد هطيف - أفضل دكتور عظام في صنعاء، وخبير في جراحات العظام والمفاصل والعمود الفقري.. نلتزم بإعادتك لحياة خالية من الألم وحركة طبيعية.
مواضيع أخرى قد تهمك