التثبيت الخارجي للحوض: دليل شامل للمرضى مع الأستاذ الدكتور محمد هطيف في صنعاء

الخلاصة الطبية
التثبيت الخارجي للحوض هو إجراء جراحي حيوي يستخدم لتوفير الاستقرار المؤقت أو النهائي لكسور الحوض المعقدة، ويساهم بشكل حاسم في السيطرة على النزيف الداخلي. يقدم الأستاذ الدكتور محمد هطيف، الرائد في جراحة العظام بصنعاء، خبرته لضمان أفضل النتائج للمرضى الذين يعانون من إصابات الحوض.
الخلاصة الطبية السريعة والمنقذة للحياة
التثبيت الخارجي للحوض (External Fixation of the Pelvis) ليس مجرد إجراء جراحي تقليدي، بل هو تدخل طبي حيوي ومنقذ للحياة يُستخدم لتوفير الاستقرار الميكانيكي المؤقت أو النهائي لكسور الحوض المعقدة وعالية الطاقة. يساهم هذا الإجراء بشكل حاسم في السيطرة على النزيف الداخلي المميت وتقليل حجم التجويف الحوضي، مما يعيد ضغط الدم إلى مستوياته الآمنة ويمنع تدهور حالة المريض.
في العاصمة اليمنية صنعاء، يبرز اسم الأستاذ الدكتور محمد هطيف، أستاذ جراحة العظام والمفاصل بجامعة صنعاء، كمرجعية طبية عليا ورائد في هذا المجال المعقد. بخبرة تتجاوز العشرين عاماً، واستخدام أحدث التقنيات العالمية مثل الجراحة المجهرية ومناظير المفاصل 4K، يقدم الدكتور هطيف رعاية طبية تتسم بالدقة المتناهية والأمانة العلمية المطلقة لضمان أفضل النتائج للمرضى، جاعلاً من سلامة المريض أولويته القصوى.



مقدمة شاملة: عندما يصبح التدخل السريع فاصلاً بين الحياة والموت
مرحباً بكم في هذا الدليل الطبي المرجعي والشامل، والذي تم إعداده بعناية فائقة لإلقاء الضوء على واحد من أكثر الإجراءات الجراحية دقة وأهمية في عالم جراحة العظام والكسور: "التثبيت الخارجي للحوض". إذا كنتم أنتم أو أحد أحبائكم قد تعرضتم لحادث مروع أدى إلى إصابة في الحوض، فأنتم تدركون تماماً مدى الرعب والخطورة التي تحيط بهذه الحالات. كسور الحوض ليست كغيرها من الكسور؛ إنها طوارئ طبية تتطلب تدخلاً حاسماً وخبيراً وفي وقت قياسي يُعرف طبياً بـ "الساعة الذهبية".

في هذا المقال المفصل، سنغوص في أعماق كل ما يتعلق بهذا الإجراء الجراحي، بدءاً من التشريح المعقد للحوض، مروراً بفهم آليات الإصابة وأنماطها، وصولاً إلى خطوات الجراحة الدقيقة ومراحل التعافي الطويلة التي تتطلب صبراً ومتابعة حثيثة. والأهم من ذلك، سنسلط الضوء على الخبرة الاستثنائية التي يقدمها الأستاذ الدكتور محمد هطيف، الذي يُعد بلا منازع أفضل دكتور عظام في صنعاء واليمن، والذي أنقذت يداه -بفضل الله- آلاف الحالات المستعصية التي كانت تقف على حافة الخطر.

إن الحوض البشري هو جسر ميكانيكي حيوي يربط المحور المركزي للجسم (العمود الفقري) بالأطراف السفلية، ويوفر درعاً حامياً للأعضاء الداخلية الحيوية مثل المثانة، الأمعاء، والأوعية الدموية الكبرى. عندما يتحطم هذا الدرع نتيجة قوة هائلة، فإن الخطر لا يقتصر على العظام فحسب، بل يمتد ليشمل نزيفاً داخلياً قد يكون مميتاً إذا لم يتم احتواؤه فوراً باستخدام تقنية التثبيت الخارجي.


التشريح المعقد للحوض البشري: الجسر الميكانيكي الحيوي
لفهم أهمية التثبيت الخارجي للحوض، يجب أولاً أن نفهم البنية التشريحية المذهلة لهذه المنطقة من الجسم. الحوض ليس عظمة واحدة، بل هو حلقة عظمية قوية تتكون من عدة أجزاء مترابطة بإحكام شديد بواسطة أربطة هي من أقوى الأربطة في جسم الإنسان.

المكونات العظمية للحوض
يتكون الحوض بشكل رئيسي من:
* العجز (Sacrum): وهو عظمة مثلثة الشكل تقع في قاعدة العمود الفقري وتشكل الجزء الخلفي من حلقة الحوض.
* العصعص (Coccyx): عظمة صغيرة في نهاية العجز.
* العظمتان اللامسماتان (Innominate bones): وتتكون كل منهما من التحام ثلاث عظام هي: الحرقفة (Ilium)، الإسك (Ischium)، والعانة (Pubis). تلتقي هذه العظام في الأمام عند الارتفاق العاني (Symphysis pubis).

الأوعية الدموية والأعصاب: حقل ألغام جراحي
ما يجعل جراحة الحوض، وتحديداً كسور الحوض، في غاية الخطورة هو شبكة الأوعية الدموية الكثيفة التي تبطن الجدران الداخلية للحوض. الشرايين والأوردة الحرقفية (Iliac vessels) تمر مباشرة عبر هذه المنطقة. عند حدوث كسر، يمكن للحواف العظمية الحادة أن تمزق هذه الأوعية، مما يؤدي إلى نزيف حوضي هائل. هنا يتدخل الأستاذ الدكتور محمد هطيف بخبرته الطويلة في التعامل مع هذه الحالات الحرجة، حيث يدرك تماماً كيف يتجنب إلحاق المزيد من الضرر بهذه الهياكل الحيوية أثناء تثبيت الكسر.


الأسباب الشائعة وآليات الإصابة بكسور الحوض المعقدة
كسور الحوض التي تتطلب تثبيتاً خارجياً لا تحدث عادة نتيجة إصابات بسيطة. إنها تتطلب "طاقة عالية" (High-Energy Trauma) لكسر هذه الحلقة العظمية المتينة.

تشمل الأسباب الأكثر شيوعاً في اليمن وعالمياً ما يلي:
- حوادث السير المروعة: حوادث السيارات على السرعات العالية، وخاصة حوادث الدراجات النارية التي تزايدت بشكل ملحوظ، تُعد السبب الأول لكسور الحوض المفتوحة والمغلقة.
- السقوط من ارتفاعات شاهقة: مثل حوادث العمال في مواقع البناء، أو السقوط من الجبال، حيث يتحمل الحوض قوة الارتطام بالأرض.
- إصابات السحق (Crush Injuries): كأن يسقط جسم ثقيل جداً على منطقة الحوض، أو التعرض للدهس تحت عجلات مركبة ثقيلة.

تصنيف كسور الحوض وتأثيرها على الاستقرار
يصنف أطباء العظام، وعلى رأسهم الدكتور محمد هطيف، كسور الحوض بناءً على مدى استقرار الحلقة الحوضية:
* الكسور المستقرة: حيث تنكسر عظمة واحدة دون الإخلال بسلامة الحلقة الحوضية بالكامل. غالباً لا تتطلب تثبيتاً خارجياً.
* الكسور غير المستقرة ميكانيكياً: حيث تنكسر الحلقة في أكثر من مكان (أماماً وخلفاً)، مما يؤدي إلى حركة غير طبيعية لعظام الحوض.
* الكسور غير المستقرة ديناميكياً (النزفية): وهي الأخطر، حيث يصاحب عدم الاستقرار الميكانيكي تمزق في الأوعية الدموية، ويُعد التثبيت الخارجي هنا إجراءً لإنقاذ الحياة فوراً.



الأعراض والعلامات السريرية: كيف يتم التعرف على كسر الحوض الطارئ؟
عند وصول المصاب إلى طوارئ المستشفى، يقوم الفريق الطبي بقيادة الجراح المختص بتقييم العلامات الحيوية والسريرية بسرعة فائقة. أعراض كسر الحوض شديدة ولا يمكن تجاهلها:
- ألم مبرح وصادم: ألم حاد جداً في منطقة الحوض، أسفل الظهر، أو الفخذين يزداد مع أي محاولة للحركة.
- عدم القدرة المطلقة على تحمل الوزن: المريض لا يستطيع الوقوف أو حتى تحريك ساقيه.
- تشوه ملحوظ أو عدم تناسق: قد تبدو إحدى الساقين أقصر من الأخرى، أو قد يكون هناك دوران غير طبيعي للساق.
- كدمات وتورم شديد: ظهور كدمات زرقاء أو دموية في منطقة العجان (Perineum)، كيس الصفن، أو أسفل البطن.
- علامات الصدمة النزفية (Hypovolemic Shock): وهي العلامة الأخطر، وتشمل انخفاضاً حاداً في ضغط الدم، تسارع نبضات القلب، شحوب الجلد، وبرودة الأطراف، وتدل على وجود نزيف داخلي نشط.



التشخيص الدقيق: التكنولوجيا الحديثة بين يدي الأستاذ الدكتور محمد هطيف
يؤمن الأستاذ الدكتور محمد هطيف بأن التشخيص الدقيق هو حجر الأساس لأي تدخل جراحي ناجح. يعتمد في تشخيصه على الفحص السريري الدقيق مدعوماً بأحدث تقنيات التصوير الطبي المتاحة في صنعاء:

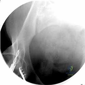
- الأشعة السينية (X-rays): يتم أخذ صور أمامية وخلفية (AP View) وصور بزوايا محددة (Inlet and Outlet views) لتقييم الإزاحة في حلقة الحوض.
- الأشعة المقطعية المحوسبة (CT Scan): وهي المعيار الذهبي. توفر صوراً ثلاثية الأبعاد (3D Reconstruction) تسمح للدكتور هطيف برؤية الكسر من جميع الزوايا، وتحديد مسار المسامير المعدنية بدقة متناهية قبل بدء الجراحة.
- الأشعة التلفزيونية السريعة (FAST Ultrasound): تُستخدم في غرفة الطوارئ للكشف السريع عن وجود نزيف داخلي في تجويف البطن أو الحوض.
- تصوير الأوعية الدموية (Angiography): في حالات النزيف المستمر، قد يتم استخدامه لتحديد مكان الوعاء الدموي النازف وسده (Embolization).

بفضل الأمانة العلمية التي يتمتع بها الدكتور هطيف، لا يتم إجراء أي تداخل جراحي إلا بعد التأكد التام من حاجة المريض الفعلية له، وتحديد الخطة الجراحية الأنسب لكل حالة على حدة.



خيارات العلاج لكسور الحوض: متى نلجأ للتثبيت الخارجي؟
تختلف طرق علاج كسور الحوض بشكل جذري بناءً على نوع الكسر، درجة عدم الاستقرار، والحالة العامة للمريض. يمكن تقسيم العلاج إلى تحفظي وجراحي.
العلاج التحفظي (غير الجراحي)
يُستخدم للكسور المستقرة (مثل كسور العانة البسيطة). يشمل الراحة التامة في السرير، استخدام مسكنات الألم القوية، واستخدام العكازات أو المشايات لأسابيع أو أشهر لتجنب تحميل الوزن على الحوض.
التدخل الجراحي
عندما تكون حلقة الحوض غير مستقرة، يصبح التدخل الجراحي حتمياً. وهنا تتفرع الخيارات بين التثبيت الداخلي والخارجي.

التثبيت الخارجي للحوض (Pelvic External Fixation)
وهو محور هذا الدليل. يُستخدم التثبيت الخارجي في الحالات التالية:
* كإجراء طارئ لإنقاذ الحياة (Resuscitative): لتقليل حجم الحوض بسرعة وضغط الأوعية الدموية النازفة لوقف النزيف.
* كعلاج مؤقت (Damage Control Orthopedics): في المرضى الذين يعانون من إصابات متعددة (Polytrauma) ولا يتحملون جراحة طويلة للتثبيت الداخلي. يتم وضع المثبت الخارجي حتى تستقر حالة المريض، ليتم لاحقاً تحويله إلى تثبيت داخلي.
* كعلاج نهائي (Definitive Treatment): في بعض أنواع الكسور المحددة، أو في حالات الكسور المفتوحة الملوثة حيث يمنع وضع شرائح ومسامير داخلية لتجنب العدوى العميقة.

جدول مقارنة شامل: خيارات علاج كسور الحوض
| وجه المقارنة | العلاج التحفظي | التثبيت الداخلي (شرائح ومسامير) | التثبيت الخارجي (محور المقال) |
|---|---|---|---|
| نوع الكسر المناسب | الكسور المستقرة البسيطة | الكسور غير المستقرة (بعد استقرار حالة المريض) | الكسور غير المستقرة (في حالات الطوارئ والنزيف) |
| الهدف الرئيسي | التئام العظم طبيعياً مع الراحة | إعادة البناء التشريحي الدقيق والنهائي | السيطرة على النزيف، استقرار مؤقت أو نهائي سريع |
| مخاطر الجراحة | لا يوجد (عدم إجراء جراحة) | خطر النزيف أثناء الجراحة، خطر العدوى العميقة | خطر التهاب مكان دخول المسامير (Pin tract infection) |
| مدة الإجراء | غير مطبق | طويلة (تتطلب ساعات وتخدير كامل طويل) | سريعة جداً (15-30 دقيقة)، ويمكن إجراؤها في الطوارئ |
| الندبات | لا يوجد | ندبات جراحية كبيرة لفتح الحوض | ثقوب صغيرة لدخول المسامير فقط |



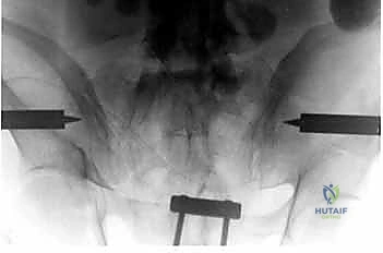
التثبيت الخارجي للحوض: الإجراء الجراحي خطوة بخطوة
إن إجراء التثبيت الخارجي للحوض يتطلب براعة جراحية، سرعة بديهة، ومعرفة تشريحية دقيقة. الأستاذ الدكتور محمد هطيف ينفذ هذا الإجراء بأعلى معايير الجودة العالمية المتبعة في أعرق المستشفيات.

الخطوة الأولى: التخدير والتحضير
يتم نقل المريض إلى غرفة العمليات (أو أحياناً يتم الإجراء في غرفة الطوارئ إذا كانت الحالة حرجة جداً). يتم إعطاء المريض تخديراً عاماً أو موضعياً حسب حالته الحيوية. يتم تعقيم منطقة الحوض بالكامل بمحاليل مطهرة قوية.
الخطوة الثانية: تحديد المعالم العظمية واستخدام الأشعة المرئية (C-Arm)
باستخدام جهاز الأشعة السينية المتحرك (Fluoroscopy) داخل غرفة العمليات، يقوم الدكتور هطيف بتحديد المعالم العظمية الدقيقة لضمان إدخال المسامير في الأماكن الأكثر كثافة وقوة في عظام الحوض (عادة فوق الحُق Supra-acetabular أو في العرف الحرقفي Iliac crest).

الخطوة الثالثة: إدخال المسامير المعدنية (Schanz Pins)
يتم عمل شقوق جلدية صغيرة جداً (حوالي 1-2 سم). من خلال هذه الشقوق، وبدقة متناهية لتجنب الأعصاب والأوعية الدموية، يتم إدخال مسامير معدنية سميكة ومصنوعة من التيتانيوم أو الفولاذ المقاوم للصدأ في عظام الحوض.

الخطوة الرابعة: تركيب الإطار الخارجي (The Frame)
بمجرد تثبيت المسامير بقوة في العظام، يتم توصيل الأجزاء الخارجية منها بأعمدة (قضبان) مصنوعة من ألياف الكربون (Carbon fiber) أو المعادن الخفيفة باستخدام مشابك قابلة للتعديل.

الخطوة الخامسة: الرد (Reduction) والتثبيت النهائي
يقوم الدكتور هطيف يدوياً بالضغط على الحوض لإغلاق "الكتاب المفتوح" (رد الكسر إلى وضعه الطبيعي التشريحي). بمجرد تحقيق الوضع الأمثل والتأكد منه عبر جهاز الأشعة، يتم إحكام ربط المشابك لتثبيت الإطار الخارجي بشكل صلب ونهائي، مما يمنع أي حركة إضافية للحوض ويوقف النزيف فوراً.



لماذا الأستاذ الدكتور محمد هطيف هو الخيار الأول في اليمن؟
عندما يتعلق الأمر بجراحات العظام المعقدة والكسور المتعددة في اليمن، فإن اختيار الجراح المناسب هو أهم قرار يتخذه المريض أو أسرته. الأستاذ الدكتور محمد هطيف يجمع بين العلم الأكاديمي، الخبرة العملية، والأخلاق الطبية العالية.

- مكانة أكاديمية مرموقة: بصفته أستاذ جراحة العظام والمفاصل بجامعة صنعاء، فهو يساهم في تخريج أجيال من الأطباء، ومطلع بشكل دائم على أحدث الأبحاث والبروتوكولات الطبية العالمية.
- خبرة تتجاوز العشرين عاماً: تعامل الدكتور هطيف مع آلاف الحالات المستعصية، من حوادث السير المعقدة إلى إصابات الحروب، مما منحه "حساً جراحياً" لا يُقدر بثمن في التعامل مع الطوارئ والمضاعفات.
- **




آلام العظام والمفاصل وتقييد حركتها ليس قدراً محتوماً! التشخيص الدقيق والعلاج المتخصص يمكن أن يعيد لك كامل وظيفتك وحريتك في الحركة. لا تدع الألم يسيطر على حياتك.
للحصول على استشارة دقيقة وخطة علاجية مخصصة لحالتك، تواصل فوراً مع مركز الأستاذ الدكتور محمد هطيف:
الأستاذ الدكتور محمد هطيف - أفضل دكتور عظام في صنعاء، وخبير في جراحات العظام والمفاصل والعمود الفقري.. نلتزم بإعادتك لحياة خالية من الألم وحركة طبيعية.
مواضيع أخرى قد تهمك