كسر عظم العضد البعيد التثبيت الداخلي المفتوح (ORIF): دليل شامل لاستعادة وظيفة الكوع مع الأستاذ الدكتور محمد هطيف

الخلاصة الطبية
كسر عظم العضد البعيد هو إصابة معقدة تتطلب علاجًا دقيقًا لاستعادة وظيفة الكوع. يشمل العلاج غالبًا التثبيت الداخلي المفتوح (ORIF)، وهي جراحة لإعادة تنظيم العظام المكسورة وتثبيتها بالصفائح والمسامير. يهدف هذا الإجراء إلى استعادة سطح المفصل بشكل تشريحي، مما يسمح بحركة مبكرة للكوع وتعافٍ ممتاز.
الخلاصة الطبية السريعة: يُعد كسر عظم العضد البعيد (Distal Humerus Fracture) من الإصابات العظمية المعقدة والخطيرة التي تتطلب تدخلاً جراحياً دقيقاً لاستعادة وظيفة الكوع الحيوية. يشمل العلاج المعياري الذهبي عملية التثبيت الداخلي المفتوح (ORIF)، وهي جراحة متقدمة تهدف إلى إعادة التنظيم التشريحي الدقيق للعظام المكسورة وتثبيتها باستخدام صفائح ومسامير معدنية متطورة. يهدف هذا الإجراء الجراحي المعقد إلى تحقيق استقرار تام لسطح المفصل، مما يسمح ببدء حركة الكوع في وقت مبكر جداً بعد الجراحة، ويقي من التيبس، ويضمن تعافياً وظيفياً ممتازاً.

مقدمة شاملة: التحدي الجراحي لكسر عظم العضد البعيد
يُعد كسر عظم العضد البعيد، وتحديداً تلك الكسور التي تمتد لتشمل الجزء السطحي والمفصلي (مثل الكسور فوق اللقمية Supracondylar والكسور بين اللقمتين Intercondylar)، من أعقد الإصابات في مجال جراحة العظام والكسور. تتطلب هذه الحالات خبرة جراحية استثنائية، وفهماً عميقاً للميكانيكا الحيوية للمفصل، ودقة متناهية في التشخيص والتخطيط الجراحي.
تحدث هذه الكسور في الجزء السفلي من عظم العضد، وهو العظم الطويل في الذراع، وتحديداً في النقطة التي يلتقي فيها مع عظام الساعد (الكعبرة والزند) لتشكيل مفصل الكوع. تكمن صعوبة هذه الإصابات في التشريح المعقد ثلاثي الأبعاد للمفصل، ورقة العظم القشري في هذه المنطقة (خاصة في الحفرة الزندية والإكليلية)، ووجود شبكة معقدة من التراكيب العصبية والوعائية الحيوية التي تمر على بعد مليمترات قليلة من العظم.
الهدف الجراحي الأساسي والأسمى في علاج هذه الكسور هو الاستعادة التشريحية الدقيقة لسطح المفصل مع تثبيت صلب وقوي. هذا الاستقرار الميكانيكي الحيوي هو المفتاح الذي يسمح للمريض ببدء تحريك الكوع بشكل فوري وغير مقيد تقريباً بعد الجراحة مباشرة. الحركة المبكرة هي العدو الأول لتيبس الكوع، وهي الضامن الوحيد لاستعادة وظيفة المرفق بشكل ممتاز.
في العاصمة اليمنية صنعاء، يبرز اسم الأستاذ الدكتور محمد هطيف كمرجعية طبية عليا في هذا المجال الدقيق. بفضل خبرته التي تتجاوز 20 عاماً، ومكانته الأكاديمية كأستاذ في جامعة صنعاء، يقدم الدكتور هطيف أحدث التقنيات الجراحية العالمية (بما في ذلك الجراحات الميكروسكوبية، والمناظير بدقة 4K، والمفاصل الصناعية) لضمان أفضل النتائج للمرضى، مع الالتزام التام بالشفافية والأمانة الطبية.

الفئات الأكثر عرضة للإصابة وأنماط الكسور
تحدث كسور عظم العضد البعيد بشكل رئيسي في فئتين عمريتين متميزتين، ولكل فئة نمط إصابة مختلف يتطلب استراتيجية علاجية مخصصة:
- الأفراد الأصغر سناً والبالغين النشطين: غالباً ما يتعرضون لهذه الكسور نتيجة صدمات عالية الطاقة (High-energy trauma)، مثل حوادث السيارات والدراجات النارية، الإصابات الرياضية العنيفة، أو السقوط من ارتفاعات كبيرة. تتميز كسور هذه الفئة بالتفتت الشديد (Comminution) وتضرر الأنسجة الرخوة المحيطة.
- المرضى الأكبر سناً (كبار السن): عادة ما يعانون من ترقق العظام (Osteoporosis) الكامنة. بالنسبة لهذه الفئة، يمكن أن تؤدي صدمة بسيطة أو السقوط من وضع الوقوف (Low-energy trauma) إلى كسر معقد. يمثل ضعف جودة العظم تحدياً كبيراً لتثبيت المسامير أثناء الجراحة.
إن التفتت الشديد الذي غالباً ما يواجهه الجراح، خاصة في منطقة ما بين اللقمتين (Intercondylar region)، هو السمة المهيمنة التي تعقد استراتيجية التثبيت الداخلي. يتطلب التعامل مع هذه الحالات تخطيطاً دقيقاً باستخدام الأشعة المقطعية ثلاثية الأبعاد، وتنفيذاً جراحياً محترفاً، وهو ما يبرع فيه الأستاذ الدكتور محمد هطيف في مركزه المتخصص بصنعاء.


التشريح الدقيق: فهم مفصل الكوع المعقد
مفصل الكوع ليس مجرد مفصل بسيط ينثني وينبسط؛ بل هو مفصل مفصلي (Hinge Joint) مركب ومعقد للغاية، يعتمد استقراره على توازن دقيق بين التوافق العظمي (Bony Congruence) والهياكل الرباطية القوية. فهم هذا التشريح أمر حيوي لأي مريض يخضع لعلاج كسر عظم العضد البعيد، ولأي جراح يسعى لإعادة بنائه.
1. تشريح العظام (Bony Anatomy)
يتكون الجزء البعيد (السفلي) من عظم العضد من هيكل يشبه المثلث، يتألف من عمودين قويين (إنسي وجانبي)، يلتقيان بشكل قريب في المنطقة فوق اللقمية ويتفرعان بشكل بعيد لتشكيل السطح المفصلي:
* البكرة (Trochlea): تقع في الجانب الإنسي (الداخلي)، وتتمفصل مع الشق البكري لعظم الزند. هي حاسمة وعصب الحركة لعمليتي الانثناء (Flexion) والبسط (Extension).
* الرأس أو الرؤيس (Capitellum): يقع في الجانب الجانبي (الخارجي)، ويتمفصل مع رأس عظم الكعبرة. يشارك بشكل أساسي في حركات الكب (Pronation) والاستلقاء (Supination) للساعد، بالإضافة إلى الانثناء والبسط.
* اللقمة الإنسية (Medial Epicondyle): بروز عظمي داخلي يمثل نقطة المنشأ لمجموعة أوتار العضلات القابضة للرسغ، وموقع ارتباط الرباط الجانبي الإنسي (MCL).
* اللقمة الجانبية (Lateral Epicondyle): بروز عظمي خارجي يمثل نقطة المنشأ لمجموعة أوتار العضلات الباسطة للرسغ، وموقع ارتباط الرباط الجانبي الخارجي (LCL).
* الحفرة الزندية (Olecranon Fossa): انخفاض عميق جداً ورقيق في الجانب الخلفي من عظم العضد البعيد. يستوعب هذا الانخفاض الناتئ الزندي (Olecranon process) أثناء عملية البسط الكامل للذراع. سلامة هذه الحفرة وخلوها من الشظايا العظمية حيوية لتحقيق فرد كامل للكوع بعد الجراحة.
* الحفرة الإكليلية (Coronoid Fossa): تقع على الجانب الأمامي، وتستوعب الناتئ الإكليلي للزند أثناء الانثناء الكامل.

2. الهياكل العصبية والوعائية (Neurovascular Structures)
تعتبر منطقة الكوع بمثابة "عنق الزجاجة" لمرور شبكة كثيفة وحيوية من الأعصاب والأوعية الدموية من العضد إلى الساعد واليد. هذا التشريح المزدحم يتطلب أقصى درجات الحذر والاحترافية أثناء التدخل الجراحي:
* العصب الزندي (Ulnar Nerve): ربما يكون هذا هو الهيكل الأكثر عرضة للإصابة في كسور عظم العضد البعيد وجراحاتها. يمر العصب الزندي خلف اللقمة الإنسية مباشرة في نفق ضيق (النفق المرفقي). يجب تحديده وعزله وحمايته بعناية فائقة في كل جراحة، وفي بعض الأحيان يقوم الدكتور محمد هطيف بنقله للأمام (Ulnar Nerve Transposition) لحمايته من الاحتكاك بالشرائح المعدنية.
* العصب الكعبري (Radial Nerve): يمر على الجانب الخارجي (الجانبي) من العضد، وهو مسؤول عن بسط الرسغ والأصابع.
* العصب المتوسط (Median Nerve) والشريان العضدي (Brachial Artery): يمران من الناحية الأمامية للمفصل، وهما عرضة للإصابة في الكسور التي تتجه شظاياها للأمام.


التقييم الأولي الشامل والتشخيص الدقيق
قبل اتخاذ أي قرار جراحي، يعتبر التقييم الأولي الشامل أمراً بالغ الأهمية. إن التسرع في الجراحة دون تخطيط قد يؤدي إلى نتائج كارثية. يتبع الأستاذ الدكتور محمد هطيف بروتوكولاً صارماً في عيادته لتقييم هذه الحالات:
-
الفحص السريري الدقيق:
- تقييم مستوى الألم والتورم والتشوه المرئي في الكوع.
- الفحص العصبي الوعائي (Neurovascular Exam): وهو الخطوة الأهم. يجب فحص النبض في الشريان الكعبري والزندي، وفحص الإحساس والحركة للأعصاب الثلاثة (الزندي، الكعبري، المتوسط) قبل أي تداخل.
- تقييم حالة الجلد والأنسجة الرخوة للتأكد من عدم وجود كسر مفتوح (Open Fracture) يتطلب تدخلاً طارئاً لمنع العدوى.
-
التصوير الإشعاعي المتقدم:
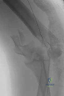
- الأشعة السينية (X-rays): صور أمامية خلفية (AP) وجانبية (Lateral) لتقييم مبدئي لنمط الكسر.
- الأشعة المقطعية ثلاثية الأبعاد (3D CT Scan): يعتبر الدكتور هطيف هذا الفحص إلزامياً في جميع كسور عظم العضد البعيد المفصلية. تتيح الأشعة المقطعية رؤية حجم وشكل وموقع كل شظية عظمية مهما كانت صغيرة، مما يسمح بوضع خطة هندسية دقيقة للجراحة قبل فتح المريض.


الخيارات العلاجية: متى نلجأ للجراحة؟
علاج كسور عظم العضد البعيد يعتمد بشكل كبير على نوع الكسر، مدى تحرك الشظايا (Displacement)، وعمر المريض ومستوى نشاطه.
جدول مقارنة: الخيارات العلاجية لكسور عظم العضد البعيد
| وجه المقارنة | العلاج التحفظي (الجبس/الجبيرة) | التثبيت الداخلي المفتوح (ORIF) | الاستبدال الكلي لمفصل الكوع (TEA) |
|---|---|---|---|
| دواعي الاستعمال | الكسور غير المتحركة تماماً، أو المرضى ذوي الحالة الصحية الضعيفة جداً التي تمنع التخدير. | الكسور المتحركة، الكسور المفتتة، الشباب والبالغين النشطين، معظم الحالات. | كبار السن جداً، هشاشة عظام شديدة جداً، تفتت مفصلي لا يمكن إصلاحه. |
| المميزات | تجنب مخاطر الجراحة والتخدير. | استعادة التشريح الطبيعي للعظم، السماح بالحركة المبكرة، الحفاظ على مفصل المريض الطبيعي. | استعادة فورية للحركة، ألم أقل في مفصل مدمر تماماً. |
| العيوب/المخاطر | خطر التيبس الشديد (Stiffness)، عدم التئام الكسر، تشوه المفصل. | يتطلب جراحاً خبيراً، مخاطر العدوى، الحاجة لشرائح ومسامير، احتمالية إصابة العصب. | قيود دائمة على رفع الأوزان (لا يزيد عن 5 كجم مدى الحياة)، تآكل المفصل الصناعي بمرور الوقت. |
| التوصية الطبية | نادراً ما يُنصح به إلا في حالات استثنائية جداً. | المعيار الذهبي (Gold Standard) لمعظم الحالات مع الدكتور هطيف. | حل أخير ممتاز لكبار السن ذوي المتطلبات البدنية المنخفضة. |


خطوات عملية التثبيت الداخلي المفتوح (ORIF) بالتفصيل
عملية التثبيت الداخلي المفتوح لكسر عظم العضد البعيد هي بمثابة عمل هندسي دقيق لإعادة بناء جسر محطم. تتطلب العملية تخطيطاً دقيقاً، معدات متطورة، ومهارة يدوية استثنائية. يطبق الأستاذ الدكتور محمد هطيف أحدث البروتوكولات العالمية في هذه الجراحة.
1. التحضير والتخدير ووضعية المريض
يتم إجراء الجراحة تحت التخدير العام أو التخدير الناحي (إحصار العصب). يوضع المريض عادة في وضعية الاستلقاء الجانبي (Lateral decubitus) مع تعليق الذراع المصابة فوق دعامة، أو في وضعية الانبطاح (Prone position). تتيح هذه الوضعيات للجراح رؤية ممتازة للجزء الخلفي من الكوع. يتم استخدام العاصبة الهوائية (Tourniquet) لتقليل النزيف وضمان رؤية واضحة.

2. النهج الجراحي (Surgical Approach) والتعامل مع العصب الزندي
يستخدم الدكتور هطيف النهج الخلفي للكوع (Posterior Approach). الخطوة الأولى والأهم بمجرد فتح الأنسجة هي تحديد العصب الزندي. يتم عزل العصب بعناية فائقة باستخدام أشرطة مطاطية واقية. اعتماداً على نمط الكسر وموقع الشرائح التي سيتم وضعها، قد يقرر الجراح ترك العصب في مكانه أو نقله إلى الجزء الأمامي من الكوع (Anterior Transposition) لحمايته من الاحتكاك الميكانيكي بالمعدن مستقبلاً.

3. كشف المفصل (Joint Exposure)
للوصول إلى السطح المفصلي المعقد لعظم العضد، هناك عدة طرق. الطريقة الأكثر شيوعاً والتي توفر أفضل رؤية هي قطع الناتئ الزندي (Olecranon Osteotomy). في هذه التقنية، يقوم الجراح بعمل قطع دقيق في شكل حرف V في عظم الكوع (الزند) لقلب وتر العضلة ثلاثية الرؤوس (Triceps) للأعلى، مما يكشف مفصل العضد بالكامل.
في حالات أخرى أقل تعقيداً، قد يستخدم الدكتور هطيف تقنيات تحافظ على العضلة ثلاثية الرؤوس (Triceps-sparing approaches) لتقليل وقت التعافي.

4. الرد المفتوح (Open Reduction) - إعادة تجميع القطع
هنا تبدأ المرحلة الهندسية الدقيقة. يقوم الجراح بتنظيف موقع الكسر من الجلطات الدموية والأنسجة الميتة. ثم يبدأ في إعادة تجميع الشظايا العظمية (كأنها قطع أحجية/بازل). يتم التركيز أولاً على إعادة بناء السطح المفصلي (البكرة والرأس) بدقة تشريحية تامة بنسبة 100% لتجنب خشونة المفصل مستقبلاً. يتم تثبيت هذه القطع مؤقتاً باستخدام أسلاك كيرشنر (K-wires) الدقيقة.

5. التثبيت الداخلي (Internal Fixation) بالصفائح والمسامير
بعد استعادة شكل المفصل، يجب تثبيته بقوة بعمودي عظم العضد (الإنسي والجانبي). يستخدم الأستاذ الدكتور محمد هطيف الصفائح التشريحية ذاتية القفل (Anatomical Locking Plates) المتطورة. هذه الصفائح مصممة خصيصاً لتناسب شكل عظم العضد الأيمن أو الأيسر.
يتم وضع صفيحتين عادة:
* التثبيت المتوازي (Parallel Plating): وضع صفيحة على الجانب الإنسي وأخرى على الجانب الجانبي، وهي الطريقة الأقوى ميكانيكياً.
* التثبيت المتعامد (Orthogonal Plating): وضع صفيحة على الجانب الإنسي وأخرى على السطح الخلفي للجانب الجانبي.
يتم تثبيت الصفائح بمسامير قفل تتشابك مع الصفيحة نفسها، مما يوفر ثباتاً استثنائياً حتى في العظام الضعيفة أو المصابة بالهشاشة.

6. إصلاح العظم المقطوع والإغلاق
إذا تم استخدام تقنية قطع الناتئ الزندي (Osteotomy)، يتم الآن إعادة العظم إلى مكانه وتثبيته بقوة باستخدام تقنية شريط الشد (Tension Band Wiring) بأسلاك معدنية قوية، أو باستخدام صفيحة ومسامير خاصة.
يتم غسل الجرح جيداً بمحاليل معقمة، ويتم وضع أنبوب تصريف (Drain) لمنع تجمع الدم، ثم تُخاط الأنسجة والجلد بعناية فائقة لتقليل الندبات (بفضل خبرة الدكتور هطيف في الجراحة الميكروسكوبية التجميلية). وتوضع جبيرة خلفية خفيفة.


لماذا تختار الأستاذ الدكتور محمد هطيف في صنعاء؟
عندما يتعلق الأمر بإصابة معقدة مثل كسر عظم العضد البعيد، فإن اختيار الجراح هو العامل الأهم الذي يحدد مصير ذراعك. يمثل الأستاذ الدكتور محمد هطيف قمة الهرم الطبي في هذا التخصص في اليمن للأسباب التالية:
- السلطة الأكاديمية والخبرة (E-E-A-T): كأستاذ في جامعة صنعاء، يجمع بين أحدث الأبحاث العلمية والخبرة العملية التي تمتد لأكثر من عقدين من الزمان في غرف العمليات.
- التكنولوجيا المتقدمة: يعتمد في عملياته على أحدث التقنيات العالمية، بدءاً من التخطيط المقطعي ثلاثي الأبعاد، مروراً باستخدام المناظير بدقة 4K في تشخيص الإصابات المصاحبة، وصولاً إلى تقنيات الجراحة الميكروسكوبية الدقيقة للتعامل مع الأعصاب والأوعية الدموية.
- التميز في المفاصل الصناعية: في الحالات الميئوس منها لكبار السن، يُعد الدكتور هطيف الرائد في إجراء عمليات الاستبدال الكلي لمفصل الكوع (Total Elbow Arthroplasty).
- الأمانة والشفافية الطبية: يشتهر بتقديم المشورة الطبية الصادقة، حيث يناقش مع المريض كافة الخيارات، نسب النجاح، والمخاطر المحتملة بشفافية تامة دون أي دافع تجاري.

دليل إعادة التأهيل الشامل (Rehabilitation Guide)
الجراحة الناجحة هي فقط 50% من العلاج؛ الـ 50% الأخرى تعتمد على برنامج إعادة التأهيل العلاج الطبيعي. الهدف الأساسي هو منع تيبس الكوع (Elbow Stiffness)، وهو المضاعفة الأكثر شيوعاً.
جدول برنامج التعافي بعد جراحة ORIF
| المرحلة الزمنية | الأهداف الرئيسية | الإجراءات المسموحة | الإجراءات الممنوعة |
|---|---|---|---|
| الأيام 1 - 7 (المرحلة الحادة) | تقليل الألم والتورم، حماية الجرح. | تحريك الأصابع والرسغ والكتف بنشاط. قد يبدأ أخصائي العلاج الطبيعي بحركة سلبية لطيفة للكوع (Passive Motion) إذا سمح الجراح. | رفع أي أوزان، الحركة العنيفة، العبث بالجرح. |
| الأسابيع 2 - 6 (مرحلة الحركة المبكرة) | استعادة نطاق الحركة (ROM)، منع التيبس. | إزالة الغرز (في اليوم 14). بدء الحركة النشطة المساعدة (Active-Assisted Motion). تمارين الجاذبية |
آلام العظام والمفاصل وتقييد حركتها ليس قدراً محتوماً! التشخيص الدقيق والعلاج المتخصص يمكن أن يعيد لك كامل وظيفتك وحريتك في الحركة. لا تدع الألم يسيطر على حياتك.
للحصول على استشارة دقيقة وخطة علاجية مخصصة لحالتك، تواصل فوراً مع مركز الأستاذ الدكتور محمد هطيف:
الأستاذ الدكتور محمد هطيف - أفضل دكتور عظام في صنعاء، وخبير في جراحات العظام والمفاصل والعمود الفقري.. نلتزم بإعادتك لحياة خالية من الألم وحركة طبيعية.
مواضيع أخرى قد تهمك