كسر عظم العضد فوق اللقمة عند الأطفال الرد المغلق والتثبيت بالأسلاك مع الأستاذ الدكتور محمد هطيف

الخلاصة الطبية
كسر عظم العضد فوق اللقمة هو إصابة شائعة وخطيرة في الكوع عند الأطفال، تتطلب تدخلاً متخصصًا. الرد المغلق والتثبيت بالأسلاك هو العلاج الأمثل للكسور المتزحزحة، حيث يضمن استعادة محاذاة العظم بدقة عالية ويقلل من المضاعفات، مما يسرع عملية الشفاء ويعيد وظيفة الكوع الطبيعية.
الخلاصة الطبية السريعة: يُعد كسر عظم العضد فوق اللقمة (Supracondylar Humerus Fracture) من أكثر الإصابات العظمية شيوعاً وخطورة في منطقة الكوع لدى الأطفال، حيث يتطلب تدخلاً طبياً عاجلاً ومتخصصاً لتجنب المضاعفات العصبية والوعائية. يُمثل "الرد المغلق والتثبيت بالأسلاك المعدنية عبر الجلد" (CRPP) المعيار الذهبي والعلاج الأمثل للكسور المتزحزحة. تضمن هذه التقنية الجراحية الدقيقة استعادة المحاذاة التشريحية للعظم بأعلى درجات الدقة، وتقليل نسب المضاعفات المستقبلية مثل تشوه الكوع (Cubitus Varus)، مما يسرع من عملية الاستشفاء ويعيد وظيفة الكوع إلى حالتها الطبيعية. يتطلب هذا الإجراء مهارة جراحية استثنائية، وهو ما يُقدمه الأستاذ الدكتور محمد هطيف، الخبير الأول في جراحة العظام للأطفال في اليمن.

مقدمة شاملة: تحديات كسور الكوع عند الأطفال
إن إصابات الأطفال دائماً ما تحمل طابعاً خاصاً من القلق والتوتر للآباء والأمهات، وتتضاعف هذه المخاوف عندما تتعلق الإصابة بكسر في مفصل حيوي ومعقد مثل مفصل الكوع. يُعد كسر عظم العضد فوق اللقمة بمثابة اختبار حقيقي لكفاءة جراح العظام، نظراً للتشريح المعقد للمنطقة وقرب الكسر من الأوعية الدموية الرئيسية والأعصاب الحساسة التي تغذي الذراع واليد.
إذا لم يتم التعامل مع هذه الكسور بالدقة المطلوبة وفي الوقت المناسب، فإنها قد تؤدي إلى مضاعفات كارثية طويلة الأمد، بدءاً من التشوهات الشكلية التي تؤثر على مظهر ذراع الطفل وثقته بنفسه، وصولاً إلى الإعاقات الوظيفية التي تحد من قدرته على ممارسة حياته الطبيعية واللعب. في هذا الدليل الطبي الشامل والمفصل، سنأخذكم في رحلة علمية وطبية عميقة لفهم كل ما يتعلق بكسر عظم العضد فوق اللقمة، بدءاً من التشريح الدقيق، مروراً بآليات الإصابة والتشخيص، وصولاً إلى أحدث بروتوكولات العلاج العالمية.

الهدف الأسمى من أي تدخل علاجي في هذه الحالات هو استعادة التشريح الطبيعي للمفصل بنسبة 100%، وحماية مراكز النمو العظمي (Growth Plates)، وضمان عودة الطفل إلى نشاطه الكامل. ولتحقيق هذه الأهداف الدقيقة، تبرز الحاجة الماسة إلى طبيب يجمع بين العلم الأكاديمي والخبرة العملية الطويلة. هنا يتجلى دور الأستاذ الدكتور محمد هطيف، أستاذ جراحة العظام والمفاصل بجامعة صنعاء، واستشاري جراحة العظام والمفاصل الصناعية والمناظير والجراحات الميكروسكوبية. بخبرة تمتد لأكثر من 20 عاماً، يُعد الدكتور هطيف المرجع الطبي الأول والأفضل في صنعاء واليمن للتعامل مع أعقد كسور الأطفال، مقدماً رعاية طبية مبنية على الأمانة العلمية والتقنيات الحديثة.

ما هو كسر عظم العضد فوق اللقمة؟ (Supracondylar Humerus Fracture)
لفهم طبيعة هذه الإصابة، يجب أولاً تفكيك المصطلح الطبي. "عظم العضد" (Humerus) هو العظم الطويل الممتد من الكتف وحتى الكوع. في نهايته السفلية (البعيدة)، يتسع العظم ليشكل ما يُعرف بـ "اللقمتين" (Condyles) اللتين تتفصلان مع عظام الساعد (الكعبرة والزند). المنطقة التي تقع "فوق اللقمة" (Supracondylar) هي منطقة انتقال ضيقة ورقيقة جداً في العظم، وتشبه في شكلها عنق الساعة الرملية.
هذه المنطقة الضعيفة تشريحياً تكون في أوج هشاشتها في مرحلة الطفولة المبكرة والمتوسطة، مما يجعلها نقطة الانهيار الأولى عند تعرض ذراع الطفل لقوة ضغط أو التواء شديدة.
تُشكل هذه الكسور تحدياً وبائياً كبيراً في طب عظام الأطفال، حيث تمثل:
* حوالي 67% من جميع حالات الأطفال الذين يتم إدخالهم إلى أقسام الطوارئ والمستشفيات بسبب صدمات وإصابات الكوع.
* ما يقارب 17% من إجمالي جميع الكسور التي تصيب الأطفال في مختلف أنحاء الجسم.
* ذروة الحدوث تقع في الفئة العمرية ما بين 5 إلى 7 سنوات، وهي المرحلة التي يكون فيها الأطفال أكثر نشاطاً واستكشافاً لبيئتهم (اللعب في المتنزهات، تسلق الأشجار، الألعاب الرياضية).

آليات حدوث الكسر (Mechanism of Injury)
تحدث هذه الكسور عبر آليتين رئيسيتين، تحددان شكل الكسر وطريقة علاجه:
-
النوع الانبساطي (Extension Type):
وهو النوع الأكثر شيوعاً على الإطلاق، حيث يمثل حوالي 97% من جميع حالات كسور فوق اللقمة. يحدث هذا الكسر عندما يسقط الطفل على يده الممدودة للأمام (Outstretched Hand) بينما يكون مفصل الكوع في حالة استقامة تامة (انبساط). عند ارتطام اليد بالأرض، تنتقل قوة السقوط عبر عظام الساعد لتتركز في مفصل الكوع. يعمل "الناتئ المرفقي" (Olecranon) لعظم الزند كنقطة ارتكاز صلبة تضغط بقوة على المنطقة الرقيقة فوق اللقمة في عظم العضد، مما يؤدي إلى انكسارها واندفاع الجزء السفلي المكسور إلى الخلف. -
النوع الانثنائي (Flexion Type):
وهو نوع نادر جداً يمثل حوالي 3% فقط من الحالات. يحدث عادة نتيجة ضربة مباشرة على السطح الخلفي للكوع وهو في حالة انثناء (مثني)، أو السقوط مباشرة على الكوع المثني. في هذا النوع، يندفع الجزء المكسور من عظم العضد إلى الأمام بدلاً من الخلف. يتطلب هذا النوع أسلوباً مختلفاً ومعقداً في الرد والتثبيت.

التشريح المعقد والدقيق لمفصل الكوع عند الأطفال
لا يمكن لأي جراح أن يتصدى لعلاج هذه الكسور بنجاح دون فهم عميق وشامل لتشريح الكوع، وهو ما يبرع فيه الأستاذ الدكتور محمد هطيف بفضل خلفيته الأكاديمية القوية كأستاذ في جامعة صنعاء وتمرسه في الجراحات الميكروسكوبية.
1. الهيكل العظمي ومراكز النمو
يتكون مفصل الكوع من التقاء ثلاثة عظام: العضد، الكعبرة، والزند. ما يميز كوع الطفل هو وجود "مراكز التعظم" (Ossification Centers) أو صفائح النمو. هذه الغضاريف مسؤولة عن نمو العظم طولياً. أي ضرر يلحق بهذه المراكز أثناء الكسر أو أثناء الجراحة الخاطئة قد يؤدي إلى توقف نمو العظم أو نموه بشكل غير متماثل، مما يسبب تشوهات مستقبلية.

2. الشبكة العصبية الحساسة
تمر ثلاثة أعصاب رئيسية عبر مفصل الكوع لتغذية الساعد واليد. هذه الأعصاب عرضة للإصابة بشكل كبير في كسور فوق اللقمة:
* العصب المتوسط (Median Nerve) وفرعه الأمامي بين العظام (AIN): يمر أمام الكوع. العصب الـ AIN هو الأكثر عرضة للإصابة في كسور النوع الانبساطي المتزحزحة للخلف. إصابته تؤدي إلى عدم قدرة الطفل على ثني المفصل الأخير من إصبعي الإبهام والسبابة (علامة OK sign).
* العصب الكعبري (Radial Nerve): يمر على الجانب الخارجي للكوع. إصابته تؤدي إلى "تدلي المعصم" (Wrist Drop) وعدم القدرة على رفع اليد للأعلى.
* العصب الزندي (Ulnar Nerve): يمر خلف الكوع في نفق عظمي. يكون عرضة للإصابة في كسور النوع الانثنائي، أو كإصابة علاجية المنشأ (Iatrogenic) أثناء إدخال الأسلاك المعدنية من الجهة الداخلية للكوع.
3. الأوعية الدموية (الشريان العضدي)
الشريان العضدي (Brachial Artery) هو الوعاء الدموي الرئيسي الذي يغذي الذراع بأكملها، ويمر مباشرة أمام عظم العضد في منطقة الكوع. في الكسور المتزحزحة بشدة (النوع الثالث)، يمكن لحافة العظم المكسور الحادة أن تضغط على الشريان، أو تسبب تشنجاً وعائياً، أو حتى تمزقه. هذه حالة طوارئ طبية قصوى تُعرف بـ "نقص التروية" (Ischemia)، وإذا لم تُعالج فوراً قد تؤدي إلى متلازمة الحيز (Compartment Syndrome) وتقلص فولكمان الإقفاري (Volkmann's Ischemic Contracture)، مما يؤدي إلى فقدان دائم لوظيفة اليد.


تصنيف غارتلاند (Gartland Classification): خارطة طريق العلاج
لتوحيد لغة التخاطب الطبي وتحديد خطة العلاج المثلى، يستخدم الأستاذ الدكتور محمد هطيف وجراحو العظام حول العالم نظام تصنيف "غارتلاند" لكسور عظم العضد فوق اللقمة الانبساطية. يعتمد هذا التصنيف على درجة تزحزح العظم المكسور كما يظهر في صور الأشعة السينية:
النوع الأول (Gartland Type I)
- الوصف: كسر غير متزحزح أو متزحزح بشكل طفيف جداً (أقل من 2 مم).
- السمات الشعاعية: القشرة العظمية الأمامية والخلفية سليمة أو بها شق بسيط. زاوية بومان (Baumann's angle) طبيعية، وخط العضد الأمامي (Anterior Humeral Line) يمر عبر الثلث الأوسط من اللقمة.
- العلاج: تحفظي دائماً باستخدام جبيرة أو جبس لمدة 3-4 أسابيع.
النوع الثاني (Gartland Type II)
- الوصف: كسر متزحزح جزئياً.
- السمات الشعاعية: القشرة العظمية الأمامية مكسورة، بينما القشرة العظمية الخلفية لا تزال متصلة (تعمل كمفصلة). ينحرف الجزء السفلي من العظم إلى الخلف.
- العلاج: يتطلب تقييماً دقيقاً. بعض الحالات المستقرة تُعالج بالرد المغلق والجبس، ولكن الغالبية العظمى في الممارسات الحديثة (كما يوصي أ.د. محمد هطيف) تُعالج بالرد المغلق والتثبيت بالأسلاك (CRPP) لضمان عدم تحرك الكسر لاحقاً داخل الجبس.
النوع الثالث (Gartland Type III)
- الوصف: كسر متزحزح بالكامل.
- السمات الشعاعية: لا يوجد أي اتصال بين القشرة الأمامية أو الخلفية للعظم. الأجزاء المكسورة منفصلة تماماً وقد تتداخل مع بعضها. هذا النوع يحمل أعلى نسبة من المضاعفات العصبية والوعائية.
- العلاج: تدخل جراحي عاجل (الرد المغلق والتثبيت بالأسلاك). في حال عدم التمكن من الرد المغلق بسبب تداخل الأنسجة، يتم اللجوء للرد المفتوح.
النوع الرابع (Gartland Type IV)
- الوصف: تم إضافة هذا النوع لاحقاً بواسطة (Leitch). وهو كسر غير مستقر في جميع الاتجاهات (متعدد الاتجاهات).
- السمات الشعاعية: يظهر كسر من النوع الثالث في الأشعة، ولكن يتم تشخيصه فعلياً في غرفة العمليات تحت جهاز الأشعة السينية (C-arm)، حيث يلاحظ الجراح أن الكسر غير مستقر سواء عند ثني الكوع أو فرده (فقدان السمحاق العظمي المحيطي بالكامل).
- العلاج: جراحة دقيقة ومعقدة تتطلب خبرة عالية للتثبيت بالأسلاك.


الأسباب وعوامل الخطر: متى يكون طفلك في خطر؟
الأطفال بطبيعتهم مفعمون بالحيوية والنشاط، ومفصل الكوع هو أداة التوازن وحماية الجسم عند السقوط. تشمل الأسباب وعوامل الخطر الشائعة ما يلي:
- السقوط من ارتفاع: مثل السقوط من الأرجوحة، أو لعبة "أعمدة القرد" (Monkey bars) في الملاعب، أو السقوط من السرير أو الأريكة.
- الأنشطة الرياضية: ركوب الدراجات، التزلج، الجمباز، والقفز على الترامبولين (والذي يُعد سبباً رئيسياً لزيادة إصابات العظام في السنوات الأخيرة).
- العمر: الفئة من 5 إلى 7 سنوات هي الأكثر عرضة بسبب التطور الحركي وزيادة النشاط مقارنة بالتطور العظمي.
- التراخي الرباطي (Ligamentous Laxity): بعض الأطفال لديهم مرونة زائدة في الأربطة، مما يسمح لمفصل الكوع بالانثناء المفرط (Hyperextension) عند السقوط، مما يزيد من تركيز القوة على منطقة فوق اللقمة.

العلامات والأعراض: كيف تكتشف الإصابة؟
عند تعرض الطفل لسقوط، يجب على الآباء مراقبة العلامات التالية والتوجه فوراً لطوارئ العظام:
- ألم شديد ومفاجئ: ألم حاد في منطقة الكوع يمنع الطفل من تحريك ذراعه تماماً.
- تورم سريع وكبير: ينتفخ الكوع بشكل ملحوظ خلال دقائق إلى ساعات من الإصابة.
- تشوه مرئي (Deformity): في كسور النوع الثالث، يتخذ الذراع شكل حرف (S) المقلوب، وهو تشوه واضح يدل على انفصال العظم.
- كدمات وتغير في لون الجلد (Ecchymosis): قد تظهر كدمات في الجزء الأمامي من الكوع.
- علامة التجعيد (Pucker Sign): وهي غمازة أو تجعيد يظهر في الجلد الأمامي للكوع، وتحدث عندما تخترق حافة العظم المكسور العضلة العضدية (Brachialis) وتلتصق بالجلد. هذه العلامة خطيرة وتستدعي تدخلاً فورياً لأنها تشير إلى صعوبة الرد المغلق وزيادة خطر إصابة الأوعية الدموية.
- برودة أو شحوب اليد: دلالة خطيرة جداً على انقطاع أو ضعف التروية الدموية (إصابة الشريان العضدي).
- تنميل أو خدر في الأصابع: دلالة على إصابة أحد الأعصاب.

جدول 1: التشخيص الفارق لإصابات الكوع عند الأطفال
| وجه المقارنة | كسر فوق اللقمة (Supracondylar) | كسر اللقمة الجانبية (Lateral Condyle) | خلع الكوع (Elbow Dislocation) |
|---|---|---|---|
| العمر الشائع | 5 - 7 سنوات | 6 - 10 سنوات | المراهقون (أكبر من 10 سنوات) |
| آلية الإصابة | سقوط على يد ممدودة (قوة مستقيمة) | سقوط مع قوة التواء (Varus/Valgus) | قوة شديدة مع التواء |
| موقع الألم والتورم | فوق مفصل الكوع مباشرة | الجانب الخارجي للكوع | المفصل بأكمله مشوه |
| التشخيص الشعاعي | كسر عرضي أعلى اللقمتين | كسر يمتد إلى داخل المفصل (مفصلي) | فقدان التطابق بين العضد والزند |
| المضاعفات العصبية | شائعة جداً (العصب المتوسط/AIN) | أقل شيوعاً | واردة (العصب الزندي) |

التشخيص والتقييم السريري الدقيق
التشخيص الدقيق هو حجر الزاوية في خطة العلاج التي يضعها الأستاذ الدكتور محمد هطيف. يبدأ التقييم بـ:
- الفحص السريري الشامل: تقييم النبض في الشريان الكعبري (في المعصم)، وفحص التروية الدموية للأصابع (Capillary Refill). يتم فحص الأعصاب الثلاثة بدقة عبر الطلب من الطفل القيام بحركات معينة بأصابعه (إذا كان متعاوناً).
- الأشعة السينية (X-rays): هي الأداة الأساسية للتشخيص. يتم أخذ صورتين:
- صورة أمامية خلفية (AP View).
- صورة جانبية (Lateral View): وهي الأهم. في هذه الصورة، يقوم الطبيب برسم خط وهمي يمر عبر السطح الأمامي لعظم العضد (Anterior Humeral Line). في الوضع الطبيعي، يجب أن يمر هذا الخط عبر الثلث الأوسط من مركز التعظم لـ (Capitellum). إذا مر الخط أمامها، فهذا يؤكد وجود كسر متزحزح للخلف.
- يتم أيضاً قياس زاوية بومان (Baumann's Angle) لتقييم المحاذاة الجانبية وتجنب تشوه الكوع للداخل.


لماذا الأستاذ الدكتور محمد هطيف هو الخيار الأمثل لعلاج طفلك؟ (E-E-A-T)
عندما يتعلق الأمر بمستقبل حركة طفلك، فإن اختيار الجراح المناسب ليس مجرد تفضيل، بل هو قرار مصيري. يبرز اسم الأستاذ الدكتور محمد هطيف كأفضل استشاري جراحة عظام في اليمن للأسباب التالية:
- المرجعية الأكاديمية (Expertise): يعمل كأستاذ لجراحة العظام والمفاصل في جامعة صنعاء، مما يعني أنه مطلع على أحدث الأبحاث والبروتوكولات الطبية العالمية ويقوم بتدريسها للأجيال الجديدة من الأطباء.
- الخبرة الطويلة (Experience): يمتلك أكثر من 20 عاماً من الخبرة العملية في غرف العمليات، تعامل خلالها مع آلاف الحالات المعقدة، بما فيها إصابات الأطفال المستعصية.
- المهارات الجراحية الدقيقة: بفضل تخصصه في الجراحات الميكروسكوبية، يمتلك د. هطيف لمسة جراحية فائقة الدقة، وهو أمر بالغ الأهمية عند التعامل مع الأعصاب والأوعية الدموية الدقيقة في كوع الطفل. كما أنه خبير في تقنيات المناظير (Arthroscopy 4K).
- الموثوقية والأمانة الطبية (Trustworthiness & Authority): يشتهر الدكتور هطيف بالشفافية التامة مع المرضى، حيث يشرح للأهل تفاصيل الحالة بكل وضوح، ولا يلجأ للتدخل الجراحي إلا إذا كان هو الخيار العلمي الوحيد والأمثل لمصلحة الطفل.


خيارات العلاج: من التحفظي إلى الجراحي
تعتمد خطة العلاج بشكل مباشر على تصنيف غارتلاند للكسر.
1. العلاج التحفظي (غير الجراحي)
يقتصر هذا العلاج على كسور النوع الأول (Gartland I)، وبعض حالات النوع الثاني المستقرة جداً.
* الإجراء: يتم وضع ذراع الطفل في جبيرة خلفية (Posterior Splint) أو جبس كامل، مع ثني الكوع بزاوية تتراوح بين 60 إلى 90 درجة (لا يتم ثنيه أكثر من 90 درجة لتجنب الضغط على الأوعية الدموية والتسبب في متلازمة الحيز).
* المتابعة: تتطلب هذه الطريقة متابعة أسبوعية بالأشعة السينية للتأكد من عدم تحرك الكسر داخل الجبس.
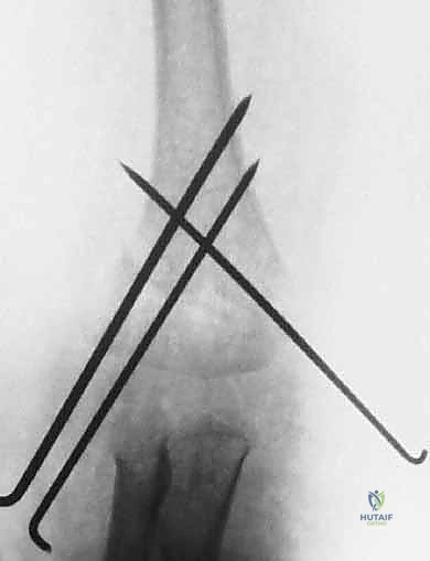
2. العلاج الجراحي: الرد المغلق والتثبيت بالأسلاك (CRPP)
هذا هو المعيار الذهبي لعلاج كسور النوع الثاني غير المستقر، والنوع الثالث، والنوع الرابع. وهو الإجراء الذي يبرع فيه الأستاذ الدكتور محمد هطيف.
* الرد المغلق (Closed Reduction): يعني إعادة العظام المكسورة إلى مكانها الطبيعي دون الحاجة لعمل شق جراحي كبير لفتح الجلد. يتم ذلك من خلال حركات يدوية دقيقة يقوم بها الجراح.
* التثبيت بالأسلاك عبر الجلد (Percutaneous Pinning): بعد إعادة العظم لمكانه، يتم إدخال أسلاك معدنية دقيقة (K-wires) عبر الجلد لتثبيت العظم ومنعه من الحركة حتى يلتئم.


الدليل التفصيلي لعملية الرد المغلق والتثبيت بالأسلاك (CRPP) مع أ.د. محمد هطيف
العملية الجراحية ليست مجرد خطوات روتينية، بل هي فن يجمع بين الهندسة الميكانيكية الحيوية والطب.




آلام العظام والمفاصل وتقييد حركتها ليس قدراً محتوماً! التشخيص الدقيق والعلاج المتخصص يمكن أن يعيد لك كامل وظيفتك وحريتك في الحركة. لا تدع الألم يسيطر على حياتك.
للحصول على استشارة دقيقة وخطة علاجية مخصصة لحالتك، تواصل فوراً مع مركز الأستاذ الدكتور محمد هطيف:
الأستاذ الدكتور محمد هطيف - أفضل دكتور عظام في صنعاء، وخبير في جراحات العظام والمفاصل والعمود الفقري.. نلتزم بإعادتك لحياة خالية من الألم وحركة طبيعية.
مواضيع أخرى قد تهمك