إعادة بناء الرباط الصليبي الأمامي التصحيحية: حل شامل لحالات الفشل الجراحي السابق في صنعاء مع الأستاذ الدكتور محمد هطيف

الخلاصة الطبية
إعادة بناء الرباط الصليبي الأمامي التصحيحية هي إجراء جراحي معقد يهدف إلى استعادة استقرار ووظيفة الركبة بعد فشل الجراحة الأولية، من خلال إزالة الرباط القديم وزرع رباط جديد بدقة متناهية. يقدم الأستاذ الدكتور محمد هطيف في صنعاء هذه الجراحة بخبرة عالية.
الخلاصة الطبية السريعة: تعد جراحة إعادة بناء الرباط الصليبي الأمامي التصحيحية (Revision ACL Reconstruction) من أعقد الإجراءات الجراحية في طب جراحة العظام، وتهدف إلى استعادة استقرار ووظيفة الركبة بعد الفشل التام أو الجزئي للجراحة الأولية. تتضمن هذه العملية إزالة بقايا الرباط القديم، معالجة الأنفاق العظمية، وزرع رباط جديد بدقة ميكانيكية حيوية متناهية. في العاصمة اليمنية صنعاء، يقدم الأستاذ الدكتور محمد هطيف، أستاذ جراحة العظام والمفاصل بجامعة صنعاء، هذه الجراحة المتقدمة مستنداً إلى خبرة تتجاوز 20 عاماً، وتقنيات المنظار بدقة 4K، والتزام صارم بالأمانة الطبية لضمان أفضل نسب النجاح الممكنة.

مقدمة: عندما يتطلب التعافي الجسدي والنفسي خطوة ثانية حاسمة
تُعد إصابة الرباط الصليبي الأمامي (ACL) من أكثر الإصابات الرياضية والحركية شيوعاً، وغالباً ما تتطلب تدخلاً جراحياً أولياً لإعادة بناء الرباط المتمزق واستعادة استقرار الركبة المفقود. يمر المريض برحلة طويلة من الجراحة والتأهيل، حاملاً آمالاً كبيرة في العودة إلى حياته الطبيعية ونشاطه الرياضي. ولكن، ماذا يحدث عندما لا تحقق الجراحة الأولية النتائج المرجوة؟ ماذا لو عادت الركبة للتراخي، أو حدث تمزق جديد، أو استمر الألم وعدم الاستقرار؟
هنا يأتي دور التدخل الطبي المتقدم المعروف بـ إعادة بناء الرباط الصليبي الأمامي التصحيحية (Revision ACL Surgery). إنها ليست مجرد تكرار للعملية الأولى، بل هي تحدٍ جراحي أكثر تعقيداً يتطلب فهماً عميقاً لأسباب الفشل السابق، وتخطيطاً استراتيجياً دقيقاً، ومهارة جراحية استثنائية.
في صنعاء، يبرز اسم الأستاذ الدكتور محمد هطيف كمرجعية طبية عليا وأحد أبرز الجراحين المتخصصين في جراحات الركبة المعقدة والطب الرياضي. يهدف هذا الدليل الطبي الشامل والموسع إلى تزويد المرضى بفهم تشريحي، باثولوجي، وجراحي عميق لهذه العملية الدقيقة. سنأخذك في رحلة مفصلة بدءاً من الأسباب الجذرية لفشل الجراحة الأولية، مروراً بخطوات التقييم والتشخيص، وصولاً إلى تفاصيل الجراحة التصحيحية وبرامج التأهيل الصارمة، مؤكدين على أهمية اختيار الجراح الخبير لضمان عدم تكرار الفشل.
إن جراحة إعادة بناء الرباط الصليبي التصحيحية هي "الفرصة الثانية" الحقيقية لاستعادة جودة الحياة، القدرة على الحركة، والشعور بالأمان التام في مفصل الركبة دون خوف من الالتواء أو السقوط. يتطلب هذا النوع من الجراحات الاستباقية تقييماً دقيقاً للحالة، وهو ما يوفره الأستاذ الدكتور محمد هطيف لمرضاه وفق أعلى المعايير العالمية.


التشريح الدقيق: ما هو الرباط الصليبي الأمامي وماذا يعني فشل الجراحة الأولى؟
لفهم مدى تعقيد وأهمية الجراحة التصحيحية، يجب أولاً أن نغوص في التشريح الدقيق للرباط الصليبي الأمامي ودوره الميكانيكي الحيوي (Biomechanics) في مفصل الركبة.
الدور الحيوي للرباط الصليبي الأمامي في استقرار الركبة
الرباط الصليبي الأمامي (Anterior Cruciate Ligament - ACL) ليس مجرد حبل يربط عظمين، بل هو هيكل نسيجي معقد يعمل كمستشعر حركي ومثبت رئيسي. هو أحد الأربطة الرئيسية الأربعة في الركبة (إلى جانب الرباط الصليبي الخلفي، والرباطين الجانبيين الإنسي والوحشي). وظيفته الأساسية هي:
1. منع الانزلاق الأمامي: يمنع تحرك عظم الساق (الظنبوب - Tibia) إلى الأمام بشكل مفرط بالنسبة لعظم الفخذ (Femur).
2. التحكم في الدوران: يقاوم الدوران الداخلي المفرط للركبة، خاصة أثناء تغيير الاتجاه المفاجئ.
3. الاستقبال الحسي العميق (Proprioception): يحتوي الرباط على نهايات عصبية ترسل إشارات للدماغ حول موضع الركبة وحركتها.
يتكون الرباط الصليبي الأمامي من حزمتين وظيفيتين رئيسيتين تعملان بتناغم تام:
* الحزمة الأمامية الإنسية (Anteromedial AM bundle): تكون هذه الحزمة مشدودة بشكل أساسي عند ثني الركبة (Flexion)، وتتحكم في الانزلاق الأمامي.
* الحزمة الخلفية الوحشية (Posterolateral PL bundle): تكون مشدودة عند بسط الركبة (Extension)، وتتحكم بشكل أساسي في الاستقرار الدوراني.
يعمل هذا الرباط بتعقيد مذهل مع الهياكل الأخرى للركبة، مثل الأربطة الجانبية، الغضاريف الهلالية (Menisci) التي تعمل كوسائد امتصاص للصدمات، وأسطح المفصل المغطاة بالغضروف الزجاجي، لتوفير استقرار شامل للركبة في جميع زوايا الحركة.
ماذا نعني طبياً بـ "فشل عملية الرباط الصليبي الأمامي الأولية"؟
عندما نتحدث عن فشل عملية إعادة بناء الرباط الصليبي الأمامي الأولية، فإننا نصف حالة سريرية لم ينجح فيها الرباط المزروع (Graft) في أداء وظيفته الميكانيكية، مما يؤدي إلى عودة أعراض عدم الاستقرار. الفشل ليس بالضرورة أن يحدث فوراً بعد الجراحة؛ فقد يحدث بعد أشهر أو حتى سنوات.
هذا الفشل يمثل مشكلة طبية معقدة للغاية. فعدم الاستقرار المستمر (Chronic Instability) في الركبة يؤدي إلى تغيرات كارثية داخل المفصل، حيث يعرض حركة العظام غير الطبيعية الغضاريف المفصلية الناعمة والغضاريف الهلالية لقوى احتكاك وقص هائلة. هذا يؤدي بمرور الوقت إلى تلف الغضاريف، التمزقات الهلالية، وفي النهاية الإصابة بخشونة الركبة المبكرة (Osteoarthritis).


الغوص العميق في أسباب فشل الجراحة الأولية للرباط الصليبي
يُعد التحديد الدقيق للسبب الجذري الكامن وراء فشل الجراحة الأولية الخطوة الأهم والأكثر حساسية لنجاح الجراحة التصحيحية. لا يمكن إجراء جراحة تصحيحية ناجحة دون معرفة "لماذا فشلت الأولى؟". يقوم الأستاذ الدكتور محمد هطيف بإجراء تقييم استقصائي شامل لهذه الأسباب لتجنب تكرارها. يمكن تقسيم أسباب الفشل إلى أربع فئات رئيسية:
1. الأسباب المرتبطة بالتقنية الجراحية (Surgical Technique Errors)
تعتبر الأخطاء التقنية أثناء الجراحة الأولية السبب الأكثر شيوعاً للفشل، وتمثل حوالي 50% إلى 60% من الحالات. وتشمل:
- سوء وضع الأنفاق العظمية (Tunnel Malposition): هذا هو الخطأ القاتل في جراحات الرباط الصليبي. تتطلب الجراحة حفر نفق في عظم الفخذ ونفق في عظم الساق لتمرير الرباط الجديد. إذا لم يتم حفر هذه الأنفاق في المواقع التشريحية الصحيحة تماماً (Isometric points)، فإن الرباط المزروع سيتعرض لضغوط غير طبيعية.
- نفق الفخذ غير الصحيح: إذا تم حفر النفق الفخذي بشكل أمامي جداً، فإن الرباط سيكون مشدوداً جداً عند ثني الركبة (مما يحد من الحركة) ومرتخياً عند بسطها. وإذا كان النفق عمودياً جداً، فلن يوفر الرباط أي استقرار دوراني.
- نفق الساق غير الصحيح: إذا تم حفره بشكل أمامي جداً، سيصطدم الرباط بسقف الركبة (Roof Impingement) مما يؤدي إلى تآكله وتمزقه.
- مشاكل في تثبيت الطعم (Fixation Failure): استخدام مسامير أو أزرار تثبيت غير مناسبة، أو عدم تثبيت الطعم بقوة كافية في العظم، مما يؤدي إلى انزلاق الطعم قبل أن تتاح له فرصة الاندماج مع العظم.
- الشد غير المناسب للطعم (Improper Tensioning): إذا تم شد الرباط الجديد بقوة مفرطة، فقد يتمزق أو يعيق حركة الركبة. وإذا تم شده برخاوة، فلن يوفر الاستقرار المطلوب.

2. الفشل البيولوجي (Biological Failure)
في بعض الأحيان، تكون التقنية الجراحية مثالية، لكن الجسم يفشل في دمج الرباط الجديد.
* فشل اندماج الطعم (Failure of Incorporation): الرباط المزروع (سواء كان من المريض أو من متبرع) يحتاج إلى أن يتحول إلى نسيج حي (Ligamentization) وأن ينمو العظم حوله في الأنفاق. إذا توقفت هذه العملية البيولوجية لسبب ما (مثل ضعف التروية الدموية)، فإن الطعم سيموت ويصبح نسيجاً ضعيفاً يتمدد أو يتمزق بسهولة.
* العدوى (Infection): حدوث التهاب بكتيري داخل المفصل بعد الجراحة الأولية يمكن أن يدمر الطعم الجديد والغضاريف المحيطة.
* الرفض المناعي: نادراً ما يحدث، ولكنه محتمل عند استخدام طعم خيفي (من متبرع متوفى).

3. الفشل الرضحي (Traumatic Failure)
يحدث عندما يتعرض المريض لإصابة جديدة بعد أن كانت الجراحة الأولية ناجحة تماماً.
* العودة المبكرة للرياضة: العودة إلى الأنشطة الرياضية العنيفة قبل اكتمال عملية التأهيل والاندماج البيولوجي للطعم (غالباً قبل مرور 9 إلى 12 شهراً).
* صدمة جديدة: التعرض لحادث أو التواء عنيف في الركبة يفوق قوة تحمل الرباط المزروع، مما يؤدي إلى تمزقه تماماً كما يحدث للرباط الطبيعي.
4. إهمال الإصابات المصاحبة (Missed Concurrent Injuries)
الركبة نظام متكامل. إذا كان هناك خلل آخر لم يتم علاجه أثناء الجراحة الأولية، فإن العبء كله سيقع على الرباط الصليبي المزروع، مما يؤدي إلى فشله حتمياً.
* إصابات الزاوية الخلفية الوحشية (Posterolateral Corner - PLC): إصابة هذه الأربطة الجانبية تسبب عدم استقرار دوراني شديد. إذا لم يتم ترميمها، سيفشل الرباط الصليبي الجديد بسرعة.
* انحراف محور الساق (Malalignment): إذا كان المريض يعاني من تقوس الساقين (Varus) أو التصاق الركبتين (Valgus)، فإن قوى الوزن لا تتوزع بشكل متساوٍ، مما يضع ضغطاً هائلاً على الرباط المزروع ويؤدي إلى تمزقه بمرور الوقت.

الأعراض والعلامات: كيف تعرف أن عملية الرباط الصليبي الأولى قد فشلت؟
لا يكون الفشل دائماً مصحوباً بـ "طقطقة" مسموعة أو ألم حاد كما يحدث في الإصابة الأولية. في كثير من الأحيان، يكون الفشل تدريجياً. من أهم الأعراض التي تستدعي زيارة الأستاذ الدكتور محمد هطيف فوراً:
- الشعور بعدم الاستقرار (Instability): الإحساس بأن الركبة "تخونك" أو تنزلق من مكانها (Giving Way)، خاصة عند تغيير الاتجاه، النزول من الدرج، أو المشي على أسطح غير مستوية.
- ألم متكرر أو مزمن: ألم مستمر داخل الركبة، يزداد مع المجهود البدني، وقد يكون ناتجاً عن تضرر الغضاريف بسبب الاحتكاك غير الطبيعي.
- تورم الركبة (Swelling): تورم متكرر في المفصل بعد ممارسة نشاط بدني خفيف إلى متوسط، مما يدل على وجود التهاب أو تراكم للسوائل الزلالية.
- تصلب مفصل الركبة (Stiffness): عدم القدرة على ثني أو بسط الركبة بشكل كامل، وهو ما قد ينتج عن تموضع الطعم بشكل خاطئ أو وجود تليفات داخل المفصل (Arthrofibrosis).
- سماع أصوات طقطقة أو فرقعة: مصحوبة بألم عند تحريك الركبة.
- فقدان الثقة في الركبة: شعور نفسي وجسدي يمنع المريض من ممارسة أنشطته المعتادة خوفاً من سقوط الركبة.


لماذا تختار الأستاذ الدكتور محمد هطيف لجراحة المراجعة التصحيحية في صنعاء؟
تُعد جراحة إعادة بناء الرباط الصليبي التصحيحية إجراءً لا يحتمل الخطأ. إنها تتطلب مستوى استثنائياً من المهارة، الخبرة، والتجهيزات الطبية. اختيار الجراح المناسب هو العامل الأهم في نجاح هذه العملية. هنا تبرز المكانة العلمية والعملية لـ الأستاذ الدكتور محمد هطيف.
خبرة أكاديمية وسريرية لا تضاهى
- أستاذ جراحة العظام والمفاصل بجامعة صنعاء: يجمع الدكتور هطيف بين المعرفة الأكاديمية العميقة والممارسة السريرية المستمرة، مما يجعله مطلعاً على أحدث الأبحاث والبروتوكولات العالمية في جراحات الركبة.
- خبرة تتجاوز 20 عاماً: أجرى آلاف العمليات الجراحية الناجحة، وتخصص بشكل دقيق في الحالات المعقدة وإصلاح أخطاء الجراحات السابقة.
- الأمانة الطبية الصارمة: يُعرف الأستاذ الدكتور محمد هطيف بصدقه وشفافيته التامة مع مرضاه. فهو لا يوصي بالجراحة إلا إذا كانت هي الحل الأمثل والضروري، ويشرح للمريض كافة الخيارات، المخاطر، والنتائج المتوقعة بواقعية تامة.
تقنيات جراحية متطورة
- الجراحة المجهرية وتنظير المفاصل بدقة 4K: يستخدم الدكتور هطيف أحدث تقنيات مناظير الركبة (Arthroscopy) المزودة بكاميرات عالية الدقة 4K، مما يتيح له رؤية أدق التفاصيل داخل المفصل، وتشخيص الأضرار المجهرية، وإجراء الجراحة بأقل تدخل جراحي ممكن (Minimally Invasive).
- الطب الرياضي المتقدم: فهم عميق للميكانيكا الحيوية للرياضيين، وتصميم خطط علاجية تهدف إلى إعادة الرياضي إلى الملاعب بأقوى أداء ممكن.


التقييم والتشخيص: الخطوة الأولى نحو الحل الشامل
تبدأ رحلة العلاج مع الأستاذ الدكتور محمد هطيف بتقييم شامل واستقصائي دقيق. الهدف هو رسم خريطة واضحة لحالة الركبة وتحديد سبب الفشل السابق بدقة متناهية.
1. الفحص السريري الدقيق (Clinical Examination)
يقوم الدكتور هطيف بإجراء اختبارات يدوية متخصصة لتقييم مدى استقرار الركبة، وتشمل:
* اختبار لاكمان (Lachman Test): التقييم الأدق لحالة الانزلاق الأمامي لعظم الساق.
* اختبار الدرج الأمامي (Anterior Drawer Test): لتقييم استقرار الرباط الصليبي الأمامي.
* اختبار التحول المحوري (Pivot Shift Test): لتقييم الاستقرار الدوراني للركبة، وهو مؤشر حاسم لنجاح أو فشل الرباط.
* فحص الأربطة الأخرى: تقييم الأربطة الجانبية (MCL, LCL) والزاوية الخلفية الوحشية (PLC).
* تقييم محور الساق: فحص وقوف المريض ومشيته لتحديد وجود أي تقوس أو انحراف في العظام.
2. التصوير الطبي المتقدم (Advanced Imaging)
الفحص السريري يوجه التشخيص، لكن التصوير الطبي يؤكده ويقدم التفاصيل التشريحية اللازمة للتخطيط الجراحي:
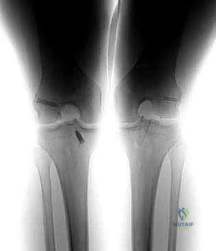
* الأشعة السينية (X-rays): ضرورية لتقييم اتساع الأنفاق العظمية السابقة (Tunnel Widening)، مواقع مسامير التثبيت القديمة، ووجود أي علامات لخشونة المفصل أو انحراف محوري.
* التصوير بالرنين المغناطيسي (MRI): يوفر صورة مفصلة للأنسجة الرخوة. يحدد حالة الطعم المزروع سابقاً (هل هو ممزق، متآكل، أم سليم ولكنه غير فعال؟)، ويقيم حالة الغضاريف الهلالية والمفصلية.
* الأشعة المقطعية (CT Scan): في حالات الفشل الجراحي، تعتبر الأشعة المقطعية السلاح الأهم. فهي توفر نمذجة ثلاثية الأبعاد (3D) دقيقة جداً لمواقع الأنفاق العظمية القديمة وحجمها، مما يساعد الدكتور هطيف في اتخاذ قرار حاسم: هل يمكن حفر أنفاق جديدة فوراً، أم يجب إجراء الجراحة على مرحلتين؟

خيارات العلاج: هل الجراحة التصحيحية ضرورية دائماً؟
لا يتسرع الأستاذ الدكتور محمد هطيف في اتخاذ قرار الجراحة. يتم اتخاذ القرار بناءً على عمر المريض، مستوى نشاطه، درجة عدم الاستقرار، والأعراض المصاحبة.
جدول مقارنة: العلاج التحفظي مقابل العلاج الجراحي
| وجه المقارنة | العلاج التحفظي (بدون جراحة) | الجراحة التصحيحية (Revision Surgery) |
|---|---|---|
| المرضى المستهدفون | كبار السن، ذوي النشاط البدني المنخفض، أو من لا يعانون من نوبات عدم استقرار متكررة. | الشباب، الرياضيين، أصحاب المهن الشاقة، وكل من يعاني من عدم استقرار مستمر يعيق حياته. |
| طبيعة العلاج | علاج طبيعي مكثف لتقوية عضلات الفخذ (الرباعية والخلفية)، استخدام دعامات الركبة، تعديل نمط الحياة. | تدخل جراحي لإزالة الطعم الفاشل وزراعة رباط جديد وتثبيته بدقة لتوفير استقرار ميكانيكي كامل. |
| المزايا | تجنب مخاطر الجراحة، لا يحتاج لفترة نقاهة جراحية، تكلفة أقل على المدى القصير. | استعادة الاستقرار الكامل للركبة، القدرة على العودة للرياضة، حماية الغضاريف من التلف المستقبلي والخشونة. |
| العيوب/المخاطر | لا يعالج المشكلة الميكانيكية، خطر استمرار تدهور الغضاريف والوصول لخشونة مبكرة، عدم القدرة على ممارسة الرياضة بحرية. | جراحة معقدة، تتطلب فترة تأهيل طويلة (تصل لعام)، تكلفة أعلى، تتطلب جراحاً ذا خبرة استثنائية. |
بالنسبة لمعظم المرضى النشطين، تعتبر الجراحة التصحيحية الخيار الطبي الوحيد لمنع التدمير التدريجي لمفصل الركبة واستعادة جودة الحياة.
التخطيط الجراحي: مرحلة الحسم واختيار الطعم المناسب
تعتبر مرحلة التخطيط التي تسبق العملية الجراحية هي سر نجاح الأستاذ الدكتور محمد هطيف. التحدي الأكبر في الجراحة التصحيحية هو التعامل مع الأنفاق العظمية القديمة التي تم حفرها في الجراحة الأولى.
جراحة المرحلة الواحدة مقابل جراحة المرحلتين
بناءً على الأشعة المقطعية (CT Scan)، يحدد الدكتور هطيف مسار الجراحة:
*
آلام العظام والمفاصل وتقييد حركتها ليس قدراً محتوماً! التشخيص الدقيق والعلاج المتخصص يمكن أن يعيد لك كامل وظيفتك وحريتك في الحركة. لا تدع الألم يسيطر على حياتك.
للحصول على استشارة دقيقة وخطة علاجية مخصصة لحالتك، تواصل فوراً مع مركز الأستاذ الدكتور محمد هطيف:
الأستاذ الدكتور محمد هطيف - أفضل دكتور عظام في صنعاء، وخبير في جراحات العظام والمفاصل والعمود الفقري.. نلتزم بإعادتك لحياة خالية من الألم وحركة طبيعية.
مواضيع أخرى قد تهمك