كسر عنق الفخذ: العلاج الحديث بالمسامير المجوفة عبر الجلد مع الأستاذ الدكتور محمد هطيف في صنعاء

الخلاصة الطبية
كسر عنق الفخذ هو إصابة خطيرة تتطلب تدخلاً جراحيًا دقيقًا. يعتمد العلاج الفعال على التثبيت بالمسامير المجوفة عبر الجلد، وهي تقنية حديثة تضمن استعادة استقرار المفصل وتعزيز الشفاء. يقدم الأستاذ الدكتور محمد هطيف في صنعاء خبرة رائدة في هذا المجال لتحقيق أفضل النتائج للمرضى.
الخلاصة الطبية السريعة: يُعد كسر عنق الفخذ (Femoral Neck Fracture) من الإصابات العظمية المعقدة والخطيرة التي تتطلب تدخلاً جراحيًا دقيقًا وسريعًا لتجنب المضاعفات الوخيمة مثل النخر اللاوعائي لرأس الفخذ. يعتمد العلاج الفعال والحديث على التثبيت الجراحي باستخدام "المسامير المجوفة عبر الجلد" (Percutaneous Cannulated Screws)، وهي تقنية جراحية طفيفة التوغل تضمن استعادة استقرار المفصل، تقليل تلف الأنسجة، وتعزيز الشفاء السريع. يقدم الأستاذ الدكتور محمد هطيف، استشاري جراحة العظام والمفاصل في صنعاء وأستاذ جراحة العظام بجامعة صنعاء، خبرة رائدة تمتد لأكثر من 20 عامًا في هذا المجال، مستخدمًا أحدث التقنيات الجراحية الدقيقة لتحقيق أفضل النتائج الحركية والوظيفية للمرضى.

مقدمة شاملة عن كسور عنق الفخذ: التحدي الطبي والحلول الحديثة
تُعد كسور عنق الفخذ من أكثر الإصابات شيوعًا وخطورة في مجال جراحة العظام (Orthopedic Surgery)، وتُمثل تحديًا حقيقيًا لكل من المريض والجراح على حد سواء. هذه المنطقة التشريحية الدقيقة، التي تربط رأس الفخذ الكروي بجسم عظمة الفخذ، تتحمل أعباءً ميكانيكية هائلة أثناء الوقوف والمشي والحركة اليومية. يتطلب علاج هذه الكسور فهمًا عميقًا ودقيقًا للتشريح، ومهارة جراحية فائقة، وحكمًا سريريًا سليمًا لضمان أفضل النتائج، وهو ما يوفره الأستاذ الدكتور محمد هطيف في عيادته بصنعاء.
تحدث هذه الكسور عادةً في مجموعتين مختلفتين تمامًا من المرضى؛ إما لدى كبار السن نتيجة هشاشة العظام والسقوط البسيط، أو لدى الشباب نتيجة حوادث عالية الطاقة مثل حوادث المرور أو السقوط من ارتفاعات شاهقة. في كلتا الحالتين، يمكن أن يؤثر الكسر بشكل مدمر على جودة حياة المريض، مما يؤدي إلى فقدان الاستقلالية، الألم المزمن، والجلوس الطويل في الفراش إذا لم يتم التدخل الجراحي السليم وفي الوقت المناسب.

في هذا الدليل الطبي الشامل، سنغوص في أعماق كل ما يتعلق بكسور عنق الفخذ. سنبدأ بفهم التشريح المعقد والدورة الدموية الحساسة لهذه المنطقة، مرورًا بأسباب الإصابة، الأعراض، وطرق التشخيص المتقدمة. بعد ذلك، سنفصل أحدث وأكثر الطرق فعالية للعلاج الجراحي: تقنية التثبيت بالمسامير المجوفة عبر الجلد (Cannulated Screws Fixation). هدفنا هو توضيح كيف يمكن لهذه التقنية، بين يدي خبير متميز مثل الأستاذ الدكتور محمد هطيف، استعادة استقرار العظم المكسور، الحفاظ على التروية الدموية، وتحسين فرص الشفاء التام، مما يمكن المريض من العودة إلى حياته الطبيعية بأسرع وقت ممكن وبأقل قدر من المضاعفات.

التشريح الدقيق لعنق الفخذ: لماذا هذه المنطقة بالغة الحساسية؟
لفهم خطورة كسر عنق الفخذ وكيفية علاجه، يجب أن نبدأ بمراجعة الجوانب الأساسية لتشريح عنق الفخذ ومفصل الورك. مفصل الورك هو مفصل كروي حُقي (Ball-and-Socket Joint)، يتكون من رأس الفخذ (الكرة) والتجويف الحُقي في الحوض (المقبس). عنق الفخذ هو الجسر العظمي الذي يربط رأس الفخذ بجسم العظمة (Shaft).
1. البنية الهندسية والميكانيكية (Biomechanics)
عند النظر إلى الشكل الطبيعي لرأس وعنق الفخذ في الصور الشعاعية الأمامية الخلفية (AP) والجانبية، نلاحظ منحنى S لطيفًا مميزًا. هذا الشكل الانسيابي والمتماثل على الأسطح العلوية والسفلية والأمامية والخلفية ليس عشوائيًا، بل هو تصميم هندسي رباني لتوزيع الضغط والوزن. هذا المنحنى هو المعيار الذهبي الذي يعتمد عليه الجراحون المهرة، مثل الدكتور محمد هطيف، لتحديد الرد التشريحي الصحيح (Anatomical Reduction) أثناء الجراحة. أي خلل في استعادة هذا المنحنى يؤدي إلى توزيع غير متكافئ للوزن، مما يزيد من احتمالية فشل التثبيت أو حدوث خشونة مبكرة في المفصل.

2. التروية الدموية (Blood Supply): نقطة الضعف القاتلة
يُعد الإمداد الدموي لعنق الفخذ ورأسه أمرًا بالغ الأهمية لفهم المخاطر المرتبطة بهذه الإصابات. تعتمد الأوعية الدموية للفخذ القريب بشكل أساسي على الشريان الفخذي المنعطف الإنسي (Medial Femoral Circumflex Artery - MFCA)، وتحديدًا فرعه الخلفي، الذي يغذي الشرايين الشبكية (Retinacular Vessels of Weitbrecht).
تصعد هذه الشرايين الشبكية على طول سطح عنق الفخذ من الخارج لتوفير تدفق دم رجعي (Retrograde Flow) إلى رأس الفخذ. هناك مساهمات طفيفة ومتغيرة من شريان الرباط المدور (Artery of Ligamentum Teres)، الذي ينشأ من الشريان السدادي، ولكنه غالبًا لا يكفي وحده لتغذية رأس الفخذ لدى البالغين.

يمكن أن يؤدي كسر عنق الفخذ إلى إعاقة شديدة لهذا الإمداد الدموي الهش بأحد الأشكال التالية:
* التمزق المباشر: قطع الأوعية الدموية الدقيقة نتيجة تحرك حواف العظم المكسور الحادة.
* الالتواء (Kinking): التواء الأوعية الدموية بسبب دوران رأس الفخذ أو إزاحته.
* الانضغاط (Tamponade): تجمع الدم (ورم دموي) داخل محفظة المفصل المغلقة، مما يرفع الضغط الداخلي ويخنق الأوعية الدموية.
هذا الانقطاع في التروية الدموية هو السبب الرئيسي لارتفاع معدل حدوث النخر اللاوعائي (Avascular Necrosis - AVN) لرأس الفخذ، والذي يحدث في حوالي 15% إلى 30% من الحالات، بالإضافة إلى خطر عدم الالتئام (Non-union)، خاصة في الكسور المزاحة بشكل كبير.


الفئات الأكثر عرضة للإصابة وأسباب كسور عنق الفخذ
تظهر كسور عنق الفخذ عادة في مجموعتين متميزتين من المرضى، وتختلف آلية الإصابة وخطة العلاج جذريًا بينهما:
الفئة الأولى: كبار السن (المرضى فوق 65 عامًا)
تشكل هذه الفئة الغالبية العظمى من حالات كسور عنق الفخذ. السبب الرئيسي هنا هو تدهور جودة العظام.
* هشاشة العظام (Osteoporosis): مع التقدم في العمر، تفقد العظام كثافتها المعدنية وتصبح دقيقة وهشة كالإسفنج.
* آلية الإصابة: غالبًا ما تحدث هذه الكسور نتيجة لصدمة منخفضة الطاقة (Low-Energy Trauma)، مثل السقوط البسيط من ارتفاع الوقوف أثناء المشي في المنزل، أو التعثر بسجادة، أو حتى حركة التواء مفاجئة للورك.
* عوامل الخطر الإضافية: ضعف الرؤية، اختلال التوازن، استخدام الأدوية المهدئة، والأمراض العصبية (مثل باركنسون) تزيد من احتمالية السقوط.

الفئة الثانية: الشباب والبالغون الأصحاء
لدى هذه الفئة، تكون جودة العظام وكثافتها طبيعية وقوية جدًا، لذا يتطلب الأمر قوة هائلة لكسر عنق الفخذ.
* آلية الإصابة: صدمات عالية الطاقة (High-Energy Trauma)، مثل:
* حوادث السيارات أو الدراجات النارية المروعة.
* السقوط من ارتفاعات كبيرة (مثل عمال البناء).
* الإصابات الرياضية العنيفة.
* التحديات الطبية: تمثل إصابات الطاقة العالية لدى المرضى الأصغر سنًا تحديات فريدة. غالبًا ما تكون الكسور مفتتة (Comminuted)، وتكون مصحوبة بإصابات أخرى في الجسم (Polytrauma). الحفاظ على رأس الفخذ الطبيعي (Head Preservation) هو الهدف المطلق والأساسي لدى هذه الفئة، وهو ما يبرع فيه الأستاذ الدكتور محمد هطيف باستخدام تقنيات التثبيت الدقيقة.


الأعراض والعلامات السريرية: كيف تكتشف كسر عنق الفخذ؟
التشخيص المبكر والدقيق هو أولى خطوات العلاج الناجح. عند حدوث كسر في عنق الفخذ، تظهر على المريض مجموعة من العلامات والأعراض الكلاسيكية التي لا تخطئها عين الجراح الخبير:
- ألم حاد ومفاجئ: ألم شديد في منطقة الفخذ (Groin) أو الورك، وقد يمتد الألم إلى الركبة. يزداد الألم بشكل لا يطاق عند محاولة تحريك الساق أو وضع أي وزن عليها.
- عدم القدرة على الحركة: العجز التام عن الوقوف أو المشي أو حتى رفع الساق المكسورة عن السرير.
- قصر الساق (Shortening): تبدو الساق المصابة أقصر بوضوح من الساق السليمة، نتيجة لشد العضلات القوية المحيطة بالورك (مثل العضلة القطنية الكبيرة والعضلات الألوية) التي تسحب عظمة الفخذ إلى الأعلى بعد انكسار الدعامة (عنق الفخذ).
- الدوران الخارجي (External Rotation): تستلقي القدم والساق المصابة متجهة نحو الخارج بشكل غير طبيعي.
- كدمات وتورم: قد لا تكون الكدمات مرئية فورًا لأن الكسر يقع عميقًا داخل محفظة المفصل، ولكن قد يحدث تورم طفيف في منطقة الورك.


تصنيف كسور عنق الفخذ: لغة الجراحين لتحديد العلاج
لا تُعالج جميع كسور عنق الفخذ بنفس الطريقة. يعتمد الأستاذ الدكتور محمد هطيف على أنظمة تصنيف عالمية دقيقة لتحديد مدى خطورة الكسر واختيار التدخل الجراحي الأمثل. أهم هذه التصنيفات هو تصنيف جاردن (Garden Classification)، والذي يعتمد على مدى إزاحة (تحرك) العظم المكسور بناءً على صور الأشعة السينية.
جدول: تصنيف جاردن لكسور عنق الفخذ (Garden Classification)
| الدرجة (Grade) | الوصف السريري والشعاعي | التروية الدموية لرأس الفخذ | خطة العلاج المفضلة (مع د. هطيف) |
|---|---|---|---|
| جاردن 1 (Garden I) | كسر غير مكتمل أو كسر متداخل (Valgus Impacted). العظم مكسور لكنه مدكوك في بعضه وثابت نسبيًا. | غالبًا سليمة ومحفوظة. | تثبيت جراحي بالمسامير المجوفة عبر الجلد لضمان عدم انزلاقه لاحقًا. |
| جاردن 2 (Garden II) | كسر كامل عبر عنق الفخذ، لكن بدون أي إزاحة (Non-displaced). العظمتان في مكانهما التشريحي الدقيق. | سليمة إلى حد كبير، مع خطر طفيف. | تثبيت جراحي عاجل بالمسامير المجوفة عبر الجلد (Percutaneous Screws). |
| جاردن 3 (Garden III) | كسر كامل مع إزاحة جزئية (Partially Displaced). رأس الفخذ مائل وتغير اتجاه الألياف العظمية. | خطر عالي لتمزق الأوعية الدموية (خطر الـ AVN). | للشباب: رد مغلق/مفتوح وتثبيت بالمسامير. لكبار السن: قد يُفضل استبدال المفصل. |
| جاردن 4 (Garden IV) | كسر كامل مع إزاحة كلية (Completely Displaced). انفصال تام بين رأس الفخذ وباقي العظمة. | الأوعية الدموية ممزقة بالكامل في أغلب الحالات. | للشباب: جراحة طارئة للرد والتثبيت. لكبار السن: استبدال مفصل الورك (نصفي أو كلي). |
يُعد درجة الإزاحة العامل الأكثر أهمية الذي يؤثر على قرارات العلاج. الكسور غير المزاحة (جاردن 1 و 2) تستجيب بشكل ممتاز للتثبيت عبر الجلد بالمسامير المجوفة. أما الكسور المزاحة (جاردن 3 و 4)، فتتطلب تقييماً دقيقاً لعمر المريض ومستوى نشاطه.

هناك تصنيف آخر هام ميكانيكيًا وهو تصنيف باولز (Pauwels Classification)، والذي يعتمد على زاوية خط الكسر بالنسبة للمستوى الأفقي. كلما كانت الزاوية أكثر عمودية (Pauwels III)، زادت قوى القص (Shear Forces) التي تدفع الكسر للانزلاق، مما يجعل التثبيت أكثر صعوبة وتحديًا، ويتطلب تقنيات تثبيت إضافية أو زوايا مسامير محددة يتقنها الدكتور هطيف ببراعة.


التشخيص الطبي: الدقة تسبق المشرط
في عيادة الأستاذ الدكتور محمد هطيف في صنعاء، يتم اتباع بروتوكول تشخيصي صارم لضمان عدم تفويت أي تفاصيل:
- الفحص السريري الدقيق: تقييم الألم، وضعية الساق (القصر والدوران الخارجي)، وفحص النبض والأعصاب في الساق للتأكد من عدم وجود إصابات وعائية عصبية مرافقة.
- الأشعة السينية (X-Rays): هي حجر الزاوية في التشخيص. يتم أخذ صور من زوايا متعددة (أمامي خلفي AP للورك والحوض، وصورة جانبية Cross-table lateral).
- التصوير بالرنين المغناطيسي (MRI): في بعض الحالات النادرة (حوالي 2-10%)، قد يكون الكسر "خفيًا" (Occult Fracture)، أي لا يظهر بوضوح في الأشعة السينية العادية رغم وجود ألم شديد. هنا يُعتبر الرنين المغناطيسي المعيار الذهبي لاكتشاف الكسر الخفي بدقة متناهية.
- التصوير المقطعي المحوسب (CT Scan): يُستخدم في حالات الكسور المفتتة المعقدة للتخطيط الجراحي ثلاثي الأبعاد، حيث يتيح للدكتور هطيف رؤية الكسر من كل الزوايا قبل دخول غرفة العمليات.




خيارات العلاج: لماذا الجراحة هي الحل الأمثل؟
تاريخيًا، كان يتم علاج بعض كسور عنق الفخذ تحفظيًا (بالبقاء في السرير لفترات طويلة مع الشد). ومع ذلك، أثبتت الدراسات الطبية الحديثة أن العلاج التحفظي يحمل مخاطر مميتة لكبار السن، مثل:
* تجلط الدم في الأوردة العميقة (DVT) والجلطات الرئوية.
* الالتهاب الرئوي (Pneumonia) بسبب الاستلقاء المستمر.
* تقرحات الفراش (Bedsores).
* التهابات المسالك البولية.
* تدهور الكتلة العضلية والوفاة المبكرة.
لذلك، القاعدة الذهبية الطبية اليوم هي: الجراحة المبكرة هي العلاج القياسي لجميع كسور عنق الفخذ تقريبًا، بهدف تخفيف الألم فورًا، والسماح للمريض بالجلوس والمشي في أسرع وقت ممكن.
جدول: مقارنة بين العلاج التحفظي والعلاج الجراحي لكسور عنق الفخذ
| وجه المقارنة | العلاج التحفظي (بدون جراحة) | العلاج الجراحي (مع د. محمد هطيف) |
|---|---|---|
| دواعي الاستعمال | نادر جداً. للمرضى الذين يحتضرون أو حالتهم الصحية لا تتحمل التخدير مطلقاً. | الخيار الأساسي والقياسي لـ 99% من المرضى. |
| فترة البقاء في الفراش | أسابيع إلى أشهر طويلة. | يوم إلى يومين فقط، ويبدأ المريض في الحركة. |
| المضاعفات العامة | عالية جداً (جلطات، التهاب رئوي، تقرحات الفراش، وفاة). | منخفضة جداً بفضل الحركة المبكرة. |
| تخفيف الألم | ألم مستمر لفترة طويلة عند أي حركة. | تخفيف جذري وسريع للألم بعد الجراحة مباشرة. |
| جودة الحياة بعد العلاج | تدهور شديد، غالباً ما يفقد المريض القدرة على المشي المستقل. | فرصة ممتازة للعودة إلى الحياة الطبيعية والنشاط السابق. |


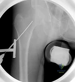
التثبيت بالمسامير المجوفة عبر الجلد (Percutaneous Cannulated Screws): ثورة في جراحة العظام
تُعد تقنية التثبيت باستخدام المسامير المجوفة (Cannulated Screws) المعيار الذهبي لعلاج كسور عنق الفخذ غير المزاحة (Garden I & II) لدى جميع الأعمار، والكسور المزاحة التي يمكن ردها بنجاح لدى الشباب والبالغين.
ما هي المسامير المجوفة (Cannulated Screws)؟
هي مسامير طبية متطورة مصنوعة من التيتانيوم (Titanium) أو الفولاذ المقاوم للصدأ (Stainless Steel). السمة المميزة لها هي وجود "تجويف" أو نفق يمتد عبر مركز المسمار بالكامل. هذا التصميم العبقري يسمح للجراح بإدخال سلك توجيهي رفيع (Guide Wire) أولاً في العظم لتحديد المسار الدقيق، ثم يتم تمرير المسمار المجوف فوق هذا السلك لينزلق مباشرة إلى المكان المحدد بدقة مليمترية.

لماذا نستخدم 3 مسامير؟ (هندسة المثلث المقلوب)
يعتمد الأستاذ الدكتور محمد هطيف على مبادئ الميكانيكا الحيوية (Biomechanics) في التثبيت. يتم عادةً إدخال ثلاثة مسامير متوازية في عنق الفخذ. لا يتم وضعها بشكل عشوائي، بل تُرتب في شكل مثلث مقلوب (Inverted Triangle):
1. المسمار السفلي (Inferior Screw): يُوضع أولاً ليكون الدعامة الأساسية التي تستند على الكورتيكس السفلي الصلب لعنق الفخذ (Calcar)، وهو يتحمل أكبر قدر من وزن الجسم.
2. المسمار الأمامي العلوي (Antero-superior Screw).
3. المسمار الخلفي العلوي (Postero-superior Screw).
هذا التوزيع الثلاثي يوفر ثباتًا دورانيًا (Rotational Stability) ممتازًا ويمنع رأس الفخذ من الانزلاق أو الدوران حول محوره، كما يسمح بانضغاط الكسر (Compression) على طول خط الكسر، مما يحفز الخلايا العظمية على الالتئام السريع.


مميزات التثبيت عبر الجلد (Percutaneous Technique)
- تدخل جراحي طفيف (Minimally Invasive): لا يتم عمل شق جراحي كبير لفتح العضلات والأنسجة، بل يتم إدخال المسامير عبر شقوق جلدية صغيرة جدًا (حوالي 1-2 سم لكل مسمار).
- الحفاظ على التروية الدموية: عدم فتح محفظة المفصل يقلل من خطر الإضرار بالأوعية الدموية المتبقية التي تغذي رأس الفخذ.
- ألم أقل بكثير: نظرًا لعدم قطع العضلات الكبيرة، يكون الألم بعد العملية في حده الأدنى.
- شفاء أسرع: خروج أسرع من المستشفى وتأهيل حركي مبكر.

خطوات العملية الجراحية مع الأستاذ الدكتور محمد هطيف
تُجرى هذه العملية بدقة متناهية وبخطوات مدروسة لضمان أقصى درجات النجاح:
1. التجهيز والتخدير (Preparation & Anesthesia)
يتم تخدير المريض (غالبًا تخدير نصفي/شوكي، أو تخدير عام حسب الحالة). يُوضع المريض على طاولة عمليات خاصة تُسمى "طاولة الشد العظمي" (Fracture Table). تتيح هذه الطاولة للدكتور هطيف تطبيق شد دقيق على الساق لرد الكسر إلى مكانه الطبيعي دون الحاجة لفتح الجلد.

2









آلام الورك وتقييد حركته ليس قدراً محتوماً! التشخيص الدقيق والعلاج المتخصص يمكن أن يعيد لك كامل وظيفتك وحريتك في الحركة. لا تدع الألم يسيطر على حياتك.
للحصول على استشارة دقيقة وخطة علاجية مخصصة لحالتك، تواصل فوراً مع مركز الأستاذ الدكتور محمد هطيف:
الأستاذ الدكتور محمد هطيف - أفضل دكتور عظام في صنعاء، وخبير في جراحات استبدال مفصل الورك.. نلتزم بإعادتك لحياة خالية من الألم وورك قوي ووظيفي.
مواضيع أخرى قد تهمك