إتقان إعادة بناء سوء التئام عظم الكعب: دليل شامل للمرضى مع الأستاذ الدكتور محمد هطيف

الخلاصة الطبية
سوء التئام عظم الكعب هو تشوه مؤلم في عظم الكعب ينتج عن التئام غير صحيح لكسر سابق، مما يؤثر على حركة القدم ويسبب ألمًا مزمنًا. يشمل العلاج الجراحي غالبًا إزالة النتوءات العظمية، دمج المفاصل الفرعية، أو إجراء قطع عظمي لتصحيح التشوه، بهدف استعادة وظيفة القدم وتخفيف الألم.
الخلاصة الطبية السريعة: سوء التئام عظم الكعب (Calcaneal Malunion) هو تشوه معقد ومؤلم في عظم الكعب (العقب) ينتج عن التئام غير صحيح لكسر سابق، مما يؤثر بشكل جذري على حركة القدم، ويسبب ألمًا مزمنًا، ويغير من الميكانيكا الحيوية للطرف السفلي بأكمله. يشمل العلاج الجراحي المتقدم، والذي يتطلب خبرة دقيقة، إزالة النتوءات العظمية الضاغطة، دمج المفاصل الفرعية (المفصل تحت الكاحل)، أو إجراء قطع عظمي تصحيحي ثلاثي الأبعاد لاستعادة المحاذاة الطبيعية، بهدف استعادة وظيفة القدم وتخفيف الألم. في اليمن، يُعد الأستاذ الدكتور محمد هطيف المرجع الطبي الأول للتعامل مع هذه الحالات المعقدة بفضل تقنياته الجراحية الحديثة وأمانته الطبية المطلقة.


مقدمة شاملة عن سوء التئام عظم الكعب: التحدي والحل
يُعد سوء التئام عظم الكعب (Calcaneal Malunion) من أكثر الحالات تعقيدًا وتحديًا في جراحة العظام والقدم والكاحل على مستوى العالم. تنشأ هذه الحالة المعقدة عندما يتعرض عظم الكعب لكسر شديد—غالبًا نتيجة حوادث عالية الطاقة مثل السقوط من ارتفاع شاهق أو الحوادث المرورية المروعة—ويلتئم هذا الكسر بمرور الوقت ولكن في وضع تشريحي وهندسي غير صحيح. هذا الالتئام غير السليم لا يقتصر تأثيره السلبي على تغيير الشكل الخارجي للعظم فحسب، بل يؤدي إلى انهيار كارثي في البنية الهندسية للقدم الخلفية بأكملها.
ينتج عن هذا التشوه ألم مبرح ومزمن لا يستجيب للمسكنات العادية، وصعوبة بالغة في المشي، وتآكل مبكر وسريع في المفاصل المجاورة (خاصة المفصل تحت الكاحل)، وتقييد شديد في جودة الحياة. بالنسبة للمريض، يصبح مجرد ارتداء حذاء عادي أو المشي لخطوات معدودة داخل المنزل بمثابة معاناة يومية قاسية.

في عيادة الأستاذ الدكتور محمد هطيف، أستاذ جراحة العظام والمفاصل بجامعة صنعاء واستشاري أول جراحة العظام، لا نعتبر معالجة هذه الحالة مجرد إجراء طبي روتيني، بل هو تحدٍ هندسي وطبي يتطلب تخطيطًا دقيقًا ثلاثي الأبعاد وتنفيذًا جراحيًا لا تشوبه شائبة. بفضل خبرته التي تتجاوز 20 عامًا واستخدامه لأحدث التقنيات العالمية مثل الجراحات الميكروسكوبية ومناظير 4K، يمثل الدكتور هطيف الوجهة الأولى والموثوقة في اليمن لإصلاح هذه التشوهات المعقدة. هدفنا الأسمى هو إعادة بناء القدم، واستعادة وظيفتها الميكانيكية، وتخليص المريض من الألم المزمن، وتمكينه من العودة إلى ممارسة حياته الطبيعية بثقة.

نظرة تشريحية عميقة: لماذا عظم الكعب مهم للغاية؟
لفهم خطورة سوء التئام عظم الكعب، يجب أولاً فهم الأهمية التشريحية والميكانيكية لهذا العظم الفريد.
إن عظم الكعب (Calcaneus) هو حجر الزاوية في القدم، وهو العظم الأكبر والأقوى في القدم البشرية، حيث يتحمل العبء الأكبر من وزن الجسم أثناء الوقوف والمشي والجري. يعمل عظم الكعب كرافعة ميكانيكية قوية لوتر أخيل (Achilles Tendon)، مما يسمح لنا بالدفع للأمام أثناء المشي.

علاوة على ذلك، يتمفصل عظم الكعب من الأعلى مع عظم الكاحل (Talus) ليشكل المفصل تحت الكاحل (Subtalar Joint). هذا المفصل المعقد هو المسؤول عن الحركات الدقيقة للقدم من الداخل والخارج (Inversion and Eversion)، وهي الحركات التي تسمح لنا بالمشي على الأسطح غير المستوية والحفاظ على توازننا. عندما يلتئم عظم الكعب بشكل خاطئ، يتشوه هذا المفصل تمامًا، مما يؤدي إلى احتكاك عظمي مباشر وتطور سريع لالتهاب المفاصل العظمي (خشونة المفاصل).


الأسباب العميقة: كيف يحدث سوء التئام عظم الكعب؟
سوء التئام عظم الكعب لا يحدث من فراغ، بل هو نتيجة لعدة سيناريوهات طبية وميكانيكية، تشمل:
- العلاج التحفظي غير المناسب للكسور المعقدة: في بعض الأحيان، يتم علاج كسور الكعب الشديدة والمتبدلة (المتزحزحة) باستخدام الجبس فقط دون تدخل جراحي لإعادة العظام إلى مكانها، مما يؤدي حتمًا إلى التئامها في وضع مشوه.
- التدخل الجراحي الأولي غير الدقيق: إذا لم يقم الجراح في العملية الأولى بإعادة بناء الأسطح المفصلية بدقة متناهية، أو لم يستخدم التثبيت الداخلي الكافي.
- التحميل المبكر للوزن: قيام المريض بالمشي أو تحميل الوزن على القدم المصابة قبل اكتمال الالتئام العظمي التام، مما يؤدي إلى انهيار التثبيت الجراحي وتغير شكل العظم.
- الكسور المفتتة بشدة (Comminuted Fractures): في حوادث السقوط من ارتفاع، قد يتهشم عظم الكعب إلى قطع صغيرة جداً يصعب إعادتها إلى شكلها الأصلي بنسبة 100% حتى مع أفضل التدخلات الجراحية.
- تأخر طلب الرعاية الطبية: إهمال المريض للكسر في مراحله الأولى والاعتماد على الطب الشعبي أو التجابير غير الطبية.



الأعراض والمضاعفات: أكثر من مجرد ألم
إن المريض الذي يعاني من سوء التئام عظم الكعب يواجه مجموعة معقدة من الأعراض التي تدمر جودة حياته اليومية. الأستاذ الدكتور محمد هطيف يولي اهتماماً بالغاً للاستماع لشكوى المريض، حيث تشمل الأعراض عادةً:
- ألم شديد في القدم الخلفية: ألم يزداد سوءاً مع المشي أو الوقوف لفترات طويلة، وغالباً ما يتركز في المنطقة الخارجية للقدم أو تحت الكعب الصغير.
- توسع عرض الكعب (Heel Widening): يصبح الكعب أعرض من الطبيعي، مما يجعل من المستحيل على المريض ارتداء أحذيته المعتادة.
- انحشار الأوتار (Tendon Impingement): بسبب توسع العظم للخارج، يضغط عظم الكعب على عظم الشظية (Fibula) والأوتار الشظوية المجاورة، مما يسبب ألماً حارقاً والتهاباً مزمناً في الأوتار.
- فقدان قوس القدم (Flatfoot Deformity): انهيار ارتفاع الكعب يؤدي إلى تسطح القدم، مما يغير من طريقة توزيع وزن الجسم ويسبب آلاماً تمتد إلى الركبة والورك وأسفل الظهر.
- تصلب المفصل تحت الكاحل: فقدان القدرة على تحريك القدم للداخل أو الخارج، مما يجعل المشي على أرض غير مستوية أمراً بالغ الصعوبة.
- انضغاط الأعصاب: قد يضغط العظم المشوه على العصب المار في باطن القدم، مما يسبب تنميلاً وخدراً يشبه متلازمة النفق الرصغي.


جدول 1: مقارنة دقيقة بين القدم الطبيعية والقدم المصابة بسوء التئام عظم الكعب
| الميزة الميكانيكية / التشريحية | القدم الطبيعية السليمة | القدم المصابة بسوء التئام عظم الكعب |
|---|---|---|
| شكل وعرض الكعب | متناسق، يتناسب مع الأحذية القياسية | عريض جداً، منتفخ، يمزق الأحذية من الجوانب |
| ارتفاع الكعب (زاوية بوهلر) | طبيعي (20 إلى 40 درجة)، يدعم قوس القدم | منهار (زاوية مسطحة أو سلبية)، تسطح شديد للقدم |
| المفصل تحت الكاحل | حركة سلسة، يسمح بالتكيف مع الأسطح | متصلب، مؤلم جداً، مصاب بخشونة متقدمة |
| الأوتار الشظوية (Peroneal) | تنزلق بحرية في مسارها التشريحي | محشورة بين عظم الكعب وعظم الشظية، ملتهبة |
| الميكانيكا الحيوية للمشي | توزيع متساوٍ للوزن، دفع قوي للأمام | عرج واضح، ألم عند الدفع، إجهاد على الركبة والظهر |

التشخيص المتقدم: دقة التخطيط تسبق براعة التنفيذ
في عيادة الأستاذ الدكتور محمد هطيف، يُعتبر التشخيص الدقيق هو حجر الأساس لنجاح أي خطة علاجية. لا يعتمد الدكتور هطيف على التخمين، بل يستخدم أحدث بروتوكولات التشخيص العالمية:
- التقييم السريري الشامل: فحص دقيق لمشية المريض، نطاق الحركة، نقاط الألم، فحص قوة الأوتار، والتأكد من سلامة التروية الدموية والأعصاب.
- الأشعة السينية (X-rays) متعددة الزوايا: لتقييم الانهيار العظمي وزوايا الكعب (مثل زاوية بوهلر وزاوية جيسان).
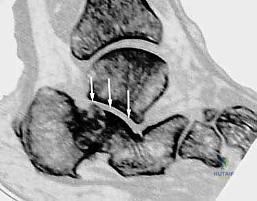
- الأشعة المقطعية ثلاثية الأبعاد (3D CT Scan): وهي الخطوة الذهبية والأهم في عيادة الدكتور هطيف. تتيح هذه الأشعة بناء نموذج ثلاثي الأبعاد دقيق للكعب المشوه، مما يسمح بتحديد أماكن الانحشار العظمي بدقة المليمتر، ومعرفة مدى تلف الأسطح المفصلية. بناءً على هذه الصور، يتم وضع خطة "القطع العظمي التصحيحي" قبل دخول غرفة العمليات.



الخيارات العلاجية: من التحفظي إلى الجراحي المتقدم
يؤمن الأستاذ الدكتور محمد هطيف بمبدأ التدرج في العلاج، حيث يتم تفصيل الخطة العلاجية بناءً على شدة التشوه، عمر المريض، ومستوى نشاطه.
أولاً: العلاج التحفظي (غير الجراحي)
يُستخدم في الحالات الخفيفة جداً أو للمرضى الذين لا تسمح حالتهم الصحية العامة بالخضوع للجراحة:
* الأحذية الطبية المخصصة والفرشات الداعمة: لتصحيح قوس القدم وتوسيع منطقة الكعب لتخفيف الضغط.
* تعديل النشاط البدني: تجنب المشي على الأسطح غير المستوية أو الوقوف لفترات طويلة.
* الأدوية والحقن الموضعية: استخدام مضادات الالتهاب، وفي بعض الحالات الدقيقة، حقن الكورتيزون الموجهة بالأشعة لتخفيف التهاب المفصل تحت الكاحل.
* العلاج الطبيعي: لتقوية العضلات المحيطة بالكاحل وتحسين التوازن.


ثانياً: التدخل الجراحي المتقدم (تخصص الأستاذ الدكتور محمد هطيف)
عندما تفشل الطرق التحفظية في تخفيف الألم، أو عندما يكون التشوه الميكانيكي شديداً يهدد المفاصل الأخرى، يصبح التدخل الجراحي أمراً حتمياً. جراحات إعادة بناء سوء التئام عظم الكعب تُعد من أعقد جراحات العظام، وتتطلب جراحاً متمرساً يمتلك رؤية هندسية ومهارة يدوية فائقة.

الخطوات التفصيلية لعملية إعادة البناء الجراحية:
- إزالة النتوءات العظمية الضاغطة (Exostectomy):
يقوم الدكتور هطيف بإزالة الكتلة العظمية الزائدة التي تبرز من الجانب الخارجي للكعب. هذه الخطوة ضرورية جداً لتحرير الأوتار الشظوية (Peroneal Tendons) وتخفيف الضغط عن عظم الشظية، مما يقضي على الألم الجانبي ويسهل ارتداء الأحذية.

- القطع العظمي التصحيحي (Corrective Osteotomy):
إذا كان الكعب قد فقد ارتفاعه أو انحرف بشكل كبير، يقوم الدكتور هطيف بإجراء قطع دقيق في عظم الكعب لإعادة توجيهه إلى محوره الميكانيكي السليم. يتم استخدام طعوم عظمية (Bone Grafts)—تؤخذ غالباً من حوض المريض أو طعوم صناعية—لرفع الكعب المنهار واستعادة زاوية بوهلر الطبيعية.

- دمج المفصل تحت الكاحل (Subtalar Arthrodesis):
في الغالبية العظمى من حالات سوء الالتئام، يكون المفصل تحت الكاحل قد تدمر تماماً بسبب الخشونة والاحتكاك. الحل الجذري والنهائي للألم هنا هو "دمج" أو "تثبيت" هذا المفصل. يقوم الدكتور هطيف بتنظيف الغضاريف التالفة بالكامل، ووضع العظام في وضعها التشريحي الصحيح، ثم تثبيتها باستخدام براغي معدنية قوية جداً (Screws) لتلتحم وتصبح عظمة واحدة صلبة خالية من الألم.


- إعادة بناء الأوتار والأربطة:
في حالة تضرر الأوتار الشظوية بسبب الانحشار الطويل، يتم تنظيفها وإصلاحها وإعادة توجيهها في مسارها السليم لضمان استعادة القوة العضلية للقدم.

جدول 2: مقارنة بين العلاج التحفظي والتدخل الجراحي
| وجه المقارنة | العلاج التحفظي (غير الجراحي) | العلاج الجراحي (مع أ.د. محمد هطيف) |
|---|---|---|
| الهدف الأساسي | تخفيف مؤقت للألم، التكيف مع التشوه | تصحيح التشوه من جذوره، إيقاف تدهور المفاصل |
| نسبة النجاح في الحالات الشديدة | منخفضة جداً (مسكن مؤقت) | عالية جداً (استعادة الوظيفة الميكانيكية وتخفيف الألم بشكل دائم) |
| تأثيره على شكل القدم | لا يغير من شكل القدم المشوه | يستعيد شكل القدم الطبيعي ويسمح بارتداء الأحذية العادية |
| القدرة على المشي الطويل | مقيدة بشدة بسبب الألم المستمر | تحسن جذري وملحوظ بعد اكتمال فترة التأهيل |
| المخاطر | استمرار الألم، تدهور حالة المفاصل المجاورة | مخاطر الجراحة المعتادة (عدوى، تأخر التئام) والتي تُقلل لدرجة الصفر تقريباً مع خبرة الجراح |

دليل التأهيل الشامل ما بعد الجراحة: طريقك نحو الشفاء التام
إن الجراحة الناجحة هي نصف الطريق، والنصف الآخر يعتمد كلياً على التزام المريض ببرنامج التأهيل الدقيق الذي يضعه الأستاذ الدكتور محمد هطيف. عملية الشفاء تتطلب صبراً ومتابعة دقيقة:

- المرحلة الأولى (من 0 إلى 2 أسابيع): الحماية المطلقة
- يتم وضع القدم في جبيرة خلفية أو حذاء طبي واقٍ.
- يمنع منعاً باتاً تحميل أي وزن على القدم المصابة.
- التركيز على رفع القدم فوق مستوى القلب لتقليل التورم والوذمة.
- إدارة الألم باستخدام الأدوية الموصوفة بدقة.

- المرحلة الثانية (من 2 إلى 6 أسابيع): بدء الحركة اللطيفة
- إزالة الغرز الجراحية والتأكد من التئام الجرح بشكل سليم.
- الاستمرار في منع تحميل الوزن (يستخدم المريض العكازات أو الكرسي المتحرك).
- البدء بتمارين حركية خفيفة جداً لمفصل الكاحل (للأعلى والأسفل) لمنع التصلب، تحت إشراف أخصائي العلاج الطبيعي.

- المرحلة الثالثة (من 6 إلى 12 أسبوعاً): التحميل التدريجي للوزن
- يتم إجراء أشعة سينية للتأكد من بدء التئام العظام والتحام المفصل.
- السماح بالتحميل الجزئي للوزن تدريجياً داخل حذاء المشي الطبي (CAM Boot).
- تكثيف جلسات العلاج الطبيعي لتقوية عضلات الساق واستعادة التوازن (Proprioception).

- المرحلة الرابعة (بعد 3 إلى 6 أشهر): العودة للحياة الطبيعية
- الانتقال إلى ارتداء الأحذية الرياضية الداعمة.
- العودة التدريجية للأنشطة اليومية والعمل.
- قد يستغرق التعافي الكامل واختفاء التورم نهائياً من 6 إلى 12 شهراً، ولكن المريض سيشعر بتحسن هائل في جودة حياته مقارنة بما قبل الجراحة.

لماذا الأستاذ الدكتور محمد هطيف هو خيارك الأول في اليمن؟
عندما يتعلق الأمر بجراحة معقدة مثل إعادة بناء سوء التئام الكعب، فإن اختيار الجراح هو القرار الأهم في حياتك. الأستاذ الدكتور محمد هطيف ليس مجرد طبيب، بل هو مرجعية علمية وطبية في اليمن:
- مكانة أكاديمية رفيعة: أستاذ (بروفيسور) جراحة العظام والمفاصل بجامعة صنعاء، مما يعني أنه مطلع دائم على أحدث الأبحاث والبروتوكولات العالمية، ويقوم بتدريس الأجيال الجديدة من الأطباء.
- خبرة تتجاوز العقدين: أكثر من 20 عاماً من الخبرة العملية في غرف العمليات، تعامل خلالها مع أعقد حالات الكسور والتشوهات التي تم رفضها في مستشفيات أخرى.
- تقنيات جراحية رائدة: رائد في استخدام الجراحات الميكروسكوبية، ومناظير المفاصل بتقنية 4K عالية الدقة، وجراحات المفاصل الصناعية المعقدة.
- الأمانة الطبية المطلقة: يُعرف الدكتور هطيف بأمانته وشفافيته التامة مع مرضاه. فهو يضع مصلحة المريض فوق كل اعتبار، ولا يوصي بالتدخل الجراحي إلا إذا كان هو الحل الأمثل والأكيد لحالة المريض، مع شرح كافة الخطوات والمخاطر والنتائج المتوقعة بوضوح تام.



آلام العظام والمفاصل وتقييد حركتها ليس قدراً محتوماً! التشخيص الدقيق والعلاج المتخصص يمكن أن يعيد لك كامل وظيفتك وحريتك في الحركة. لا تدع الألم يسيطر على حياتك.
للحصول على استشارة دقيقة وخطة علاجية مخصصة لحالتك، تواصل فوراً مع مركز الأستاذ الدكتور محمد هطيف:
الأستاذ الدكتور محمد هطيف - أفضل دكتور عظام في صنعاء، وخبير في جراحات العظام والمفاصل والعمود الفقري.. نلتزم بإعادتك لحياة خالية من الألم وحركة طبيعية.
مواضيع أخرى قد تهمك