إصلاح أربطة مفصل إبهام اليد (MCP): دليل شامل للمرضى مع الأستاذ الدكتور محمد هطيف

الخلاصة الطبية
إصابات أربطة مفصل إبهام اليد (MCP) هي حالات شائعة يمكن أن تؤثر بشدة على قوة القبضة ووظيفة اليد. يتضمن العلاج التشخيص الدقيق والفحص البدني المتقن، وقد يشمل الجراحة بالمنظار أو الجراحة المفتوحة لإصلاح الأربطة المتضررة، لضمان استعادة الاستقرار والوظيفة الكاملة للإبهام.
الخلاصة الطبية السريعة: تُعد إصابات وتمزقات أربطة مفصل إبهام اليد (MCP - Metacarpophalangeal Joint) من الحالات الطبية الشائعة والمعقدة التي يمكن أن تؤثر بشدة على قوة القبضة، ووظيفة اليد، وقدرة المريض على أداء أبسط المهام اليومية. يتطلب العلاج الناجح لهذه الإصابات تشخيصاً دقيقاً، وفحصاً بدنياً متقناً، وتدفقاً علاجياً مدروساً قد يشمل العلاج التحفظي أو التدخل الجراحي المتقدم (سواء بالجراحة الميكروسكوبية المفتوحة أو باستخدام المنظار 4K) لإصلاح الأربطة المتضررة. الهدف الأسمى هو ضمان استعادة الاستقرار الميكانيكي والوظيفة الكاملة للإبهام.

مقدمة شاملة: الأهمية الحيوية لإصبع الإبهام والمخاطر الخفية لإصاباته
من منظور التطور البشري والميكانيكا الحيوية، يُعد إصبع الإبهام المعاكس (Opposable Thumb) هو حجر الزاوية في وظيفة اليد البشرية، بل إنه يمثل ما يقرب من 50% إلى 60% من إجمالي وظيفة اليد بأكملها. فبدون مفصل إبهام مستقر وقوي، تصبح المهام اليومية البسيطة والبديهية—بدءاً من الإمساك بقلم للكتابة، وتدوير مفتاح في قفل، وفتح زجاجة ماء، وصولاً إلى حمل الأشياء الثقيلة أو ممارسة الرياضة—تحديات شاقة أو حتى مستحيلة.
ومن بين جميع الإصابات التي قد تهدد هذه الوظيفة الحيوية المعقدة، تبرز تمزقات الأربطة الجانبية لمفصل الإبهام (MCP) كواحدة من أكثر المشاكل العظمية شيوعاً وأهمية في جراحة اليد. للأسف، في كثير من الأحيان يتم الاستخفاف بهذه الإصابات من قبل المرضى وحتى بعض الممارسين الطبيين غير المتخصصين، حيث يُنظر إليها بشكل سطحي على أنها مجرد "التواء بسيط" أو "كدمة عابرة" ستشفى بمرور الوقت. لكن الحقيقة الطبية الصارمة هي أن إهمال هذه التمزقات، خاصة التمزقات الكاملة، يؤدي حتماً إلى عدم استقرار مزمن في المفصل، والتهاب مفاصل مبكر (خشونة المفصل)، وإعاقة طويلة الأمد تتمثل في فقدان كبير في قوة "قبضة القرص" (Pinch Grip) والقدرة على أداء المهام الدقيقة.
في هذا الدليل الطبي الشامل والموسع، سنتعمق بشكل غير مسبوق في فهم هذه الإصابات. سنأخذك في رحلة تبدأ من استكشاف التشريح المعقد والدقيق لمفصل الإبهام، مروراً بتحليل الأسباب الجذرية والأعراض السريرية، وصولاً إلى أحدث بروتوكولات التشخيص الدقيق والعلاج الجراحي وغير الجراحي. هدفنا ليس مجرد "إصلاح تشريحي" للرباط التالف، بل استعادة الميكانيكا الحيوية الدقيقة للإبهام، لضمان مفصل مستقر، قوي، وعملي بالكامل.
يُقدم هذا الدليل الشامل رؤى طبية قيمة وموثوقة للمرضى، ويسلط الضوء بشكل خاص على الخبرة الاستثنائية والمتميزة لـ الأستاذ الدكتور محمد هطيف، أستاذ جراحة العظام والمفاصل بجامعة صنعاء، والذي يُصنف كأحد أبرز وأفضل جراحي العظام واليد الدقيقة في صنعاء واليمن على الإطلاق. بفضل خبرته الطويلة التي تتجاوز العشرين عاماً، ومهارته الجراحية الفائقة، والتزامه الصارم بـ "الأمانة الطبية"، يُقدم الأستاذ الدكتور هطيف حلولاً علاجية متقدمة تضمن أفضل النتائج لمرضاه، مستخدماً أحدث التقنيات العالمية مثل الجراحة بالمنظار (Arthroscopy) بدقة 4K، والجراحات الميكروسكوبية الدقيقة، مع التركيز المطلق على التعافي الشامل واستعادة وظيفة اليد الطبيعية.


الفهم العميق لتشريح مفصل الإبهام (MCP): الأساس الهندسي لكل تدخل علاجي
قبل الخوض في تفاصيل الإصابات وطرق علاجها المتقدمة، من الضروري جداً أن نفهم البنية الهندسية والتشريحية المعقدة لمفصل الإبهام (Metacarpophalangeal Joint - MCP). هذا المفصل يربط بين عظمة المشط الأولى (في كف اليد) والسلامية الدانية (أول عظمة في الإبهام).
غالبًا ما يُوصف هذا المفصل تشريحياً بأنه مفصل لقيمي (Condyloid Joint)، ولكنه من الناحية الوظيفية يعمل بشكل كبير كمفصل رزي (Hinge Joint) في مستوى الثني والمد الأساسي (Flexion and Extension)، مع توفير قدرات محدودة ولكنها حاسمة للتبعيد (Abduction)، والتقريب (Adduction)، والدوران البسيط.
يتميز هذا المفصل بخاصية فريدة: ثباته العظمي سطحي للغاية. هذا يعني أن شكل العظام بحد ذاته لا يوفر استقراراً كافياً (على عكس مفصل الورك مثلاً). وبالتالي، فإن استقرار مفصل الإبهام يعتمد بشكل شبه كلي على دعاماته القوية من الأنسجة الرخوة، وتحديداً الأربطة والمحفظة المفصلية.
مجمع الأربطة الجانبية (The Collateral Ligament Complex)
يوجد رباطان رئيسيان على جانبي مفصل الإبهام يوفران الاستقرار الجانبي لمنع الإبهام من الانحناء بشكل غير طبيعي للداخل أو للخارج:
1. الرباط الجانبي الزندي (Ulnar Collateral Ligament - UCL): يقع على الجانب الداخلي للإبهام (الجهة القريبة من السبابة). وهو الأكثر عرضة للإصابة.
2. الرباط الجانبي الكعبري (Radial Collateral Ligament - RCL): يقع على الجانب الخارجي للإبهام.
يُعد كل من هذين الرباطين متشابهين هيكلياً، ويتكون كل منهما من مكونين تشريحيين مميزين يعملان بتناغم:
-
الأربطة الجانبية الأساسية (Proper Collateral Ligaments):
- هذه هي المثبتات الأساسية والأقوى للمفصل.
- تنشأ من حفرة صغيرة على عنق العظم المِشطي، وتحديداً من الناحية الظهرية (الخلفية) لمحور الدوران، وتتفرع بشكل مروحي لتلتصق بالجوانب الوحشية والراحية (الأمامية) لقاعدة السلامية الدانية.
- إن منشأها الظهري وارتكازها الراحي لهما أهمية ميكانيكية قصوى في توفير الثبات الإنسي والوحشي، بالإضافة إلى الثبات الظهري الراحي الحاسم.
- آلية العمل: تشتد هذه الأربطة وتصبح مشدودة بقوة عند ثني الإبهام، وترتخي عند مده.
-
الأربطة الجانبية الإضافية (Accessory Collateral Ligaments):
- تعمل هذه الأربطة كدعامات تكميلية وثانوية.
- تنشأ من الجانب الراحي (الأمامي) لحفرة عنق العظم المِشطي، مباشرة أمام الأربطة الجانبية الأساسية، وتلتصق بالصفيحة الراحية (Volar Plate) والعظام السمسمية (Sesamoid Bones) إن وجدت، على جانبي المفصل.
- آلية العمل: على عكس الأربطة الأساسية، تشتد الأربطة الإضافية عند مد الإبهام وترتخي عند ثنيه، مما يساعد بشكل كبير على تثبيت الصفيحة الراحية ومنع فرط التمدد.

الفروق التشريحية الحاسمة: الجانب الزندي مقابل الجانب الكعبري (لماذا تختلف الإصابات؟)
على الرغم من التشابه الهيكلي بين الأربطة على الجانبين، إلا أن هناك اختلافاً تشريحياً حاسماً بين الجانب الزندي والجانب الكعبري يحدد مسار العلاج بشكل جذري:
- الجانب الزندي (Ulnar Side) - وخطر "آفة ستينر":
يغطي الجانب الزندي للمفصل ما يُعرف بـ الوتر المقرب (Adductor Aponeurosis)، وهو عبارة عن غمد ليفي ضيق وقوي نسبياً. هذا الضيق له أهمية جراحية بالغة. عند حدوث تمزق كامل في الرباط الجانبي الزندي (UCL) من مكان ارتكازه، يمكن أن ينزلق الطرف الممزق من الرباط ويخرج من تحت هذا الوتر المقرب ليصبح محتجزاً فوقه.
بمجرد حدوث ذلك، يصبح الوتر المقرب حاجزاً مادياً يفصل بين طرفي الرباط الممزق، مما يجعل الالتئام الطبيعي مستحيلاً تماماً. هذه الظاهرة التشريحية المعقدة تُعرف طبياً باسم آفة ستينر (Stener lesion).
الأهمية السريرية: تُعد آفة ستينر علامة مميزة وحاسمة للتمزق الكامل في الرباط الجانبي الزندي، ووجودها يستدعي التدخل الجراحي الحتمي، حيث لا يمكن للعلاج التحفظي (الجبس) أن ينجح أبداً في وجود هذا الحاجز.

- الجانب الكعبري (Radial Side):
على النقيض من ذلك، فإن الوتر المبعد (Abductor Aponeurosis) أوسع بكثير ويغطي الجانب الكعبري بأكمله لمفصل الإبهام (MCP). هذا الاختلاف التشريحي يعني أن آفة شبيهة بـ"ستينر" (حيث يتراجع الرباط وينحصر) لا تُرى عادة في إصابات الجانب الكعبري. وبالتالي، فإن نسبة نجاح العلاج التحفظي في تمزقات الرباط الكعبري (RCL) أعلى منها في الرباط الزندي، ما لم يكن التمزق مصحوباً بعدم استقرار شديد.
الاعتبارات العصبية الوعائية الدقيقة
أثناء الفحص أو التدخل الجراحي في هذه المنطقة الحساسة، يضع الأستاذ الدكتور محمد هطيف في اعتباره دائماً الهياكل العصبية الوعائية الحيوية المحيطة:
* الجانب الكعبري: يمر الفرع الحسي السطحي للعصب الكعبري (Superficial Radial Nerve) بالقرب من المفصل، ويجب حمايته بدقة فائقة لتجنب فقدان الإحساس أو تكون أورام عصبية مؤلمة (Neuromas).
* الجانب الزندي: يجب الانتباه للفروع العصبية الحسية وتجنب إصابتها أثناء فتح الأنسجة.

الأسباب الشائعة لإصابات مفصل الإبهام: كيف يحدث التمزق؟
تحدث إصابات أربطة الإبهام عندما يتعرض المفصل لقوة تفوق قدرة الأربطة على التحمل، مما يؤدي إلى تمددها أو تمزقها جزئياً أو كلياً. يمكن تقسيم هذه الأسباب إلى فئتين رئيسيتين:
1. الإصابات الحادة (Acute Injuries)
وهي الأكثر شيوعاً وتحدث نتيجة صدمة مفاجئة. يُطلق على إصابة الرباط الجانبي الزندي (UCL) الحادة اسم "إبهام المتزلج" (Skier's Thumb).
* حوادث التزلج: السقوط أثناء الإمساك بعصا التزلج، حيث تعمل العصا كرافعة تدفع الإبهام بقوة إلى الخارج (إجهاد أروح - Valgus stress)، مما يمزق الرباط الداخلي.
* السقوط على يد ممدودة: محاولة كسر السقوط باليد مع تمدد الإبهام للخارج.
* الرياضات الاحتكاكية: مثل كرة السلة، كرة اليد، الرجبي، والجودو، حيث يمكن أن يعلق الإبهام في قميص الخصم أو يُضرب بقوة بواسطة كرة سريعة.
* حوادث السيارات أو الدراجات: حيث يمكن أن يلتوي الإبهام بقوة حول عجلة القيادة أثناء الاصطدام.

2. الإصابات المزمنة (Chronic Injuries)
تحدث نتيجة الإجهاد المتكرر والمستمر على المفصل بمرور الوقت. يُطلق على هذه الحالة تاريخياً اسم "إبهام حارس الصيد" (Gamekeeper's Thumb)، نسبة إلى حراس الصيد الاسكتلنديين الذين كانوا يكسرون أعناق الأرانب باستخدام قبضتهم وإبهامهم، مما أدى إلى تمدد تدريجي وتمزق في الرباط بمرور الزمن.
* المهن اليدوية الشاقة: العمال الذين يستخدمون أدوات تتطلب قوة ضغط شديدة ومتكررة بالإبهام.
* الإصابات القديمة غير المعالجة: التواء بسيط في الماضي لم يتم علاجه بشكل صحيح يمكن أن يؤدي إلى ارتخاء تدريجي في الرباط وعدم استقرار مزمن.

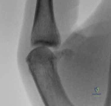
الأعراض والعلامات السريرية: متى يجب عليك زيارة الطبيب فوراً؟
يعتمد التشخيص المبكر على وعي المريض بالأعراض. إذا تعرضت لإصابة في يدك ولاحظت أياً من الأعراض التالية، فإن زيارة الأستاذ الدكتور محمد هطيف في أسرع وقت تُعد خطوة حاسمة لمنع المضاعفات:
- ألم حاد وفوري: ألم نابض ومستمر عند قاعدة الإبهام، يزداد سوءاً عند محاولة تحريك الإبهام أو لمس المنطقة المصابة.
- تورم ملحوظ: انتفاخ سريع في المفصل (MCP) قد يمتد إلى راحة اليد أو أسفل الإبهام.
- كدمات وتغير في لون الجلد (Ecchymosis): ظهور بقع زرقاء أو أرجوانية حول قاعدة الإبهام نتيجة النزيف الداخلي من الرباط الممزق.
- ضعف شديد في قوة القبضة (Pinch Strength): هذا هو العرض الأكثر تأثيراً على الحياة اليومية. سيجد المريض صعوبة بالغة أو ألماً شديداً عند محاولة الإمساك بالأشياء بين الإبهام والسبابة (مثل الإمساك بمفتاح، فتح مقبض الباب، أو حتى حمل كوب من الشاي).
- عدم استقرار المفصل (Instability): شعور بأن الإبهام "رخو" أو أنه يتحرك بطريقة غير طبيعية أو ينزلق من مكانه عند استخدام القوة.
- ظهور كتلة محسوسة: في حالات التمزق الكامل مع وجود "آفة ستينر"، قد يشعر المريض أو الطبيب بكتلة صغيرة مؤلمة على الجانب الداخلي للإبهام، وهي تمثل نهاية الرباط الممزق والمنكمش.


التشخيص الدقيق: منهجية الأستاذ الدكتور محمد هطيف
يُعد التشخيص الدقيق هو حجر الأساس الذي يُبنى عليه خطة العلاج الناجحة. يتميز الأستاذ الدكتور محمد هطيف بمنهجية صارمة ودقيقة في تشخيص إصابات اليد، تعتمد على الفحص السريري المتقن مدعوماً بأحدث تقنيات التصوير الطبي.
1. التاريخ الطبي المفضل
يبدأ الدكتور هطيف بالاستماع بعناية للمريض لمعرفة آلية الإصابة بدقة (كيف سقطت؟ ما هو وضع يدك أثناء الإصابة؟)، بالإضافة إلى تقييم الأعراض الحالية وتأثيرها على العمل والمهام اليومية.
2. الفحص السريري الدقيق (Physical Examination)
هذه هي الخطوة الأهم. يقوم الدكتور هطيف بإجراء فحص شامل يتضمن:
* الجس (Palpation): للبحث عن نقاط الألم القصوى، والتورم، والبحث عن علامة "ستينر" (الكتلة المحسوسة).
* اختبار الإجهاد (Stress Testing): يُعد هذا الاختبار المعيار الذهبي السريري لتقييم سلامة الأربطة.
* يتم إجراء الاختبار والإبهام في وضع المد الكامل (0 درجة) وفي وضع الثني (30 درجة) لعزل الأربطة الأساسية عن الإضافية.
* يقوم الطبيب بتطبيق ضغط لطيف لدفع الإبهام للخارج (Valgus stress) لاختبار الرباط الزندي، أو للداخل (Varus stress) لاختبار الرباط الكعبري.
* ملاحظة هامة: نظراً لأن هذا الاختبار قد يكون مؤلماً جداً في الإصابات الحادة، قد يقوم الدكتور هطيف بإعطاء تخدير موضعي صغير (Local Nerve Block) حول المفصل لضمان راحة المريض والحصول على قراءة دقيقة لمدى ارتخاء المفصل دون مقاومة عضلية ناتجة عن الألم.

3. التصوير الإشعاعي (Imaging)
لا يكتفي الأستاذ الدكتور هطيف بالفحص السريري، بل يعتمد على التصوير لتأكيد التشخيص واستبعاد الإصابات المصاحبة:
* الأشعة السينية (X-rays): تُجرى دائماً قبل اختبار الإجهاد لاستبعاد وجود كسور (مثل الكسر القلعي - Avulsion fracture، حيث ينفصل جزء صغير من العظم مع الرباط الممزق).
* التصوير بالرنين المغناطيسي (MRI): هو الفحص الأدق لرؤية الأنسجة الرخوة. يُستخدم لتأكيد درجة التمزق، وتحديد موقعه بدقة، والأهم من ذلك: تشخيص وجود "آفة ستينر"، وهو ما يحدد الحاجة الماسة للجراحة.
* الموجات فوق الصوتية (Ultrasound): أداة ديناميكية ممتازة وسريعة يمكن أن يجريها الطبيب المتمرس لتقييم حركة الرباط وتشخيص آفة ستينر أثناء تحريك المفصل.

تصنيف إصابات أربطة الإبهام (درجات التمزق)
بناءً على نتائج الفحص والتصوير، يتم تصنيف الإصابة إلى ثلاث درجات، وهو ما يحدد خطة العلاج. يوضح الجدول التالي هذا التصنيف بشكل منهجي:
جدول 1: تصنيف درجات تمزق أربطة مفصل الإبهام (MCP)
| الدرجة (Grade) | وصف الإصابة | الأعراض السريرية | استقرار المفصل | خطة العلاج الموصى بها |
|---|---|---|---|---|
| الدرجة الأولى (Grade I) | تمدد وإجهاد في ألياف الرباط دون تمزق فعلي (التواء بسيط). | ألم خفيف إلى متوسط، تورم بسيط، لا يوجد كدمات كبيرة. | المفصل مستقر تماماً عند الفحص السريري. | علاج تحفظي: راحة، ثلج، جبيرة لعدة أسابيع، ثم علاج طبيعي. |
| الدرجة الثانية (Grade II) | تمزق جزئي في ألياف الرباط (بعض الألياف سليمة والأخرى ممزقة). | ألم شديد، تورم ملحوظ، كدمات، ضعف في قوة القبضة. | استقرار جزئي، قد يكون هناك ارتخاء طفيف عند اختبار الإجهاد ولكن توجد نقطة توقف واضحة. | علاج تحفظي في الغالب: جبيرة مخصصة (Thumb Spica) لمدة 4-6 أسابيع. قد يتطلب جراحة إذا استمر عدم الاستقرار. |
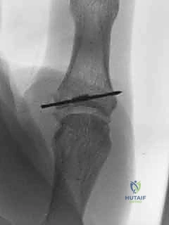
| الدرجة الثالثة (Grade III) | تمزق كامل للرباط (انفصال تام). | ألم مبرح (قد يقل لاحقاً بسبب قطع الأعصاب الموضعية)، تورم شديد، كدمات واسعة، فقدان كبير لقوة القبضة. | عدم استقرار واضح (رخاوة شديدة). غياب نقطة التوقف عند اختبار الإجهاد. احتمال كبير لوجود "آفة ستينر". | تدخل جراحي حتمي ومبكر: لإعادة ربط الرباط بالعظم واستعادة استقرار المفصل، يليه تأهيل مكثف. |

الخيارات العلاجية: من العلاج التحفظي إلى الجراحة المتقدمة
تعتمد استراتيجية العلاج التي يتبناها الأستاذ الدكتور محمد هطيف على درجة الإصابة، عمر المريض، مستوى نشاطه (رياضي محترف مقابل شخص عادي)، والوقت المنقضي منذ الإصابة.
أولاً: العلاج التحفظي (غير الجراحي)
يُعد العلاج التحفظي الخيار الأمثل لإصابات الدرجة الأولى والثانية (التمز

آلام العظام والمفاصل وتقييد حركتها ليس قدراً محتوماً! التشخيص الدقيق والعلاج المتخصص يمكن أن يعيد لك كامل وظيفتك وحريتك في الحركة. لا تدع الألم يسيطر على حياتك.
للحصول على استشارة دقيقة وخطة علاجية مخصصة لحالتك، تواصل فوراً مع مركز الأستاذ الدكتور محمد هطيف:
الأستاذ الدكتور محمد هطيف - أفضل دكتور عظام في صنعاء، وخبير في جراحات العظام والمفاصل والعمود الفقري.. نلتزم بإعادتك لحياة خالية من الألم وحركة طبيعية.
مواضيع أخرى قد تهمك