التسمير النخاعي الرأسي الفخذي لكسور الفخذ القريب: دليل شامل للمرضى

الخلاصة الطبية
التسمير النخاعي الرأسي الفخذي هو إجراء جراحي حديث وفعال لعلاج كسور الفخذ القريب، يهدف إلى تثبيت الكسر داخليًا لتمكين الشفاء واستعادة الحركة المبكرة. يقدم الأستاذ الدكتور محمد هطيف، الرائد في هذا المجال بصنعاء، خبرة متميزة لضمان أفضل النتائج للمرضى.
مقدمة شاملة: ثورة التسمير النخاعي الرأسي الفخذي في علاج كسور الفخذ
إن تعرض الإنسان لكسر في منطقة الفخذ القريب (الورك وما حول المدورين) يمثل بلا شك واحدة من أقسى التجارب الطبية التي قد يمر بها المريض وأسرته. سواء كان المريض شاباً في مقتبل العمر تعرض لحادث مروري مروع، أو مسناً يعاني من هشاشة العظام وسقط سقوطاً بسيطاً في المنزل، فإن النتيجة واحدة: ألم مبرح، عجز مفاجئ عن الحركة، وفقدان كامل للاستقلالية. في الماضي، كانت هذه الكسور تُعد بمثابة حكم بالبقاء في الفراش لفترات طويلة، مما كان يؤدي إلى مضاعفات مميتة. ولكن اليوم، وبفضل التقدم المذهل في جراحة العظام، أصبح التسمير النخاعي الرأسي الفخذي (Cephalomedullary Nailing) هو الحل السحري والإجراء الجراحي الأحدث والأكثر فعالية لإنقاذ حياة المرضى وإعادتهم للحركة في أسرع وقت ممكن.
يهدف هذا الإجراء المتقدم إلى تثبيت الكسر داخلياً باستخدام غرسات ومسامير من التيتانيوم عالي الجودة تُزرع بدقة متناهية داخل القناة النخاعية للعظم. هذا التصميم العبقري يوفر ثباتاً ميكانيكياً حيوياً (Biomechanical Stability) فائقاً، حيث يتحمل المسمار النخاعي وزن الجسم ويوزعه بشكل طبيعي، مما يُمكن المريض من استعادة الحركة والمشي، بل وتحميل الوزن على الساق المصابة في وقت مبكر جداً بعد الجراحة.



نضع بين أيديكم هذا الدليل الطبي الشامل، ليكون المرجع الأول والأكثر تفصيلاً باللغة العربية. سنغوص معاً في أدق التفاصيل التشريحية، الجراحية، والتأهيلية، لنبدد مخاوفكم ونزودكم بالمعرفة العلمية الدقيقة التي تجعلكم شركاء فاعلين في رحلة التعافي.

لماذا الأستاذ الدكتور محمد هطيف هو الخيار الأول في اليمن؟
إن البحث عن الجراح المناسب هو الخطوة الأهم والأكثر حساسية في رحلة العلاج. في جراحات دقيقة ومعقدة مثل التسمير النخاعي، لا مجال للخطأ، والخبرة هي الفيصل. وهنا يبرز اسم الأستاذ الدكتور محمد هطيف كأفضل استشاري جراحة عظام ومفاصل في صنعاء واليمن بلا منازع، والمرجعية الطبية الأولى في هذا التخصص الدقيق.
يمتلك الأستاذ الدكتور محمد هطيف، وهو أستاذ جراحة العظام والمفاصل بجامعة صنعاء، مسيرة مهنية حافلة تمتد لأكثر من عشرين عاماً من النجاحات الطبية المتتالية. لم يكتفِ الدكتور هطيف بالأساليب التقليدية، بل هو رائد في إدخال وتطبيق أحدث التقنيات الجراحية العالمية في اليمن، بما في ذلك:
* الجراحة الميكروسكوبية الدقيقة: لضمان الحفاظ على الأنسجة والأعصاب.
* مناظير المفاصل بتقنية 4K: للتشخيص والعلاج بأعلى درجات الدقة والوضوح.
* جراحات تغيير المفاصل الصناعية: باستخدام أحدث المفاصل الأمريكية والأوروبية.
ما يميز عيادة الأستاذ الدكتور محمد هطيف ليس فقط البراعة الجراحية، بل الأمانة الطبية الصارمة والالتزام بأخلاقيات المهنة. فهو يقدم استشارات مبنية على الدليل العلمي القاطع، ويضع مصلحة المريض فوق كل اعتبار، ليوفر رعاية صحية متكاملة تضاهي في جودتها وأمانها أرقى المستشفيات في العالم المتقدم.




التشريح الدقيق لمنطقة الفخذ القريب (الورك وما حول المدورين)
لفهم طبيعة الكسر وكيفية عمل التسمير النخاعي، يجب أن نتعرف على تشريح عظمة الفخذ، وهي أطول وأقوى عظمة في جسم الإنسان. ينقسم الجزء القريب من عظمة الفخذ (Proximal Femur) إلى عدة مناطق رئيسية:
1. رأس الفخذ (Femoral Head): الجزء الكروي الذي يستقر في تجويف الحوض ليُشكل مفصل الورك.
2. عنق الفخذ (Femoral Neck): المنطقة الضيقة التي تربط الرأس ببقية العظمة، وهي عرضة للكسور خاصة عند كبار السن.
3. المدور الكبير والمدور الصغير (Greater and Lesser Trochanters): نتوءات عظمية بارزة تعمل كنقاط ارتكاز واتصال للعضلات القوية المحركة للورك والفخذ.
4. منطقة ما تحت المدورين (Subtrochanteric Region): الجزء من العظمة الذي يقع أسفل المدور الصغير مباشرة، وهو يتحمل ضغوطاً ميكانيكية هائلة أثناء المشي.
كسور هذه المنطقة تُعرف طبياً بكسور ما بين المدورين (Intertrochanteric Fractures) أو كسور ما تحت المدورين (Subtrochanteric Fractures). ونظراً للضغوط الهائلة التي تتعرض لها هذه المنطقة، فإن تثبيتها يتطلب غرسة قوية قادرة على تحمل الوزن، وهو ما يوفره المسمار النخاعي الرأسي الفخذي بكفاءة عالية.




الأسباب وعوامل الخطر المؤدية لكسور الفخذ القريب
تختلف أسباب كسور الفخذ القريب باختلاف الفئة العمرية للمريض، ويمكن تقسيمها إلى فئتين رئيسيتين:
1. الإصابات منخفضة الطاقة (عند كبار السن)
تُشكل هشاشة العظام (Osteoporosis) العدو الأول لكبار السن. مع التقدم في العمر، تفقد العظام كثافتها وتصبح هشة وضعيفة. في هذه الحالة، يمكن لسقوط بسيط على الأرض في المنزل، أو حتى التواء مفاجئ للساق، أن يؤدي إلى كسر كامل في منطقة ما بين المدورين. النساء بعد سن اليأس هن الأكثر عرضة لهذه الكسور بسبب التغيرات الهرمونية.
2. الإصابات عالية الطاقة (عند الشباب)
لدى البالغين والشباب الذين يتمتعون بعظام قوية وسليمة، لا يحدث كسر الفخذ القريب إلا نتيجة قوة صدمة هائلة (High-Energy Trauma). تشمل الأسباب الشائعة:
* حوادث السيارات والدراجات النارية المروعة.
* السقوط من ارتفاعات شاهقة (مثل حوادث العمل في البناء).
* الإصابات الرياضية العنيفة جداً.
* إصابات الطلق الناري أو الشظايا.




الأعراض والعلامات السريرية: كيف تتعرف على الكسر؟
عند حدوث كسر في الفخذ القريب، تكون الأعراض دراماتيكية وواضحة ولا يمكن تجاهلها. من أبرز هذه العلامات:
* ألم مفاجئ وشديد جداً: يتركز في منطقة الورك أو أعلى الفخذ، ويزداد بشكل لا يُحتمل عند أي محاولة لتحريك الساق.
* عدم القدرة على الحركة: العجز التام عن الوقوف أو تحميل أي وزن على الساق المصابة.
* قصر الساق المصابة: تبدو الساق المكسورة أقصر بوضوح من الساق السليمة.
* الدوران الخارجي (External Rotation): تستلقي القدم والساق بحيث تتجه أصابع القدم نحو الخارج بشكل غير طبيعي.
* تورم وكدمات: قد تظهر كدمات زرقاء أو تورم شديد في منطقة الورك بعد ساعات من الإصابة.
جدول: مقارنة بين أعراض كسر الفخذ وألم المفاصل العادي
| وجه المقارنة | كسر الفخذ القريب (حالة طارئة) | ألم المفاصل/الخشونة العادية |
|---|---|---|
| بداية الألم | مفاجئ وحاد جداً (غالباً بعد سقوط أو حادث) | تدريجي ومزمن، يزداد مع الوقت |
| القدرة على المشي | مستحيلة تماماً | ممكنة مع وجود ألم أو عرج |
| شكل الساق | أقصر من الطبيعي وملتفة للخارج | طبيعي في أغلب الأحيان |
| شدة الألم أثناء الراحة | شديد ومستمر حتى بدون حركة | يقل أو يختفي عند الراحة |
| التدخل المطلوب | نقل فوري للمستشفى بسيارة إسعاف وجراحة | زيارة عيادة الطبيب، أدوية، وعلاج طبيعي |




التشخيص الطبي الدقيق: من الفحص السريري إلى الأشعة المتقدمة
فور وصول المريض إلى طوارئ المستشفى، يبدأ فريق الأستاذ الدكتور محمد هطيف بالتقييم الفوري. يشمل التشخيص الخطوات التالية:
1. الفحص السريري: لتقييم العلامات الحيوية، والتأكد من عدم وجود إصابات أخرى (خاصة في حوادث السير)، وفحص النبض والأعصاب في الساق المصابة لضمان سلامة الأوعية الدموية.
2. الأشعة السينية (X-Rays): هي المعيار الذهبي والأول للتشخيص. يتم أخذ صور من زوايا متعددة (أمامي خلفي وجانبي) لتحديد موقع الكسر، ونوعه، ودرجة تفتت العظام.
3. الأشعة المقطعية (CT Scan): يطلبها الدكتور هطيف في حالات الكسور المعقدة والمتفتتة جداً، حيث توفر صورة ثلاثية الأبعاد تساعد في التخطيط الجراحي الدقيق واختيار حجم المسمار المناسب.
4. الرنين المغناطيسي (MRI): يُستخدم نادراً في حالات "الكسور الخفية" (Occult Fractures) حيث يعاني المريض من ألم شديد ولكن الأشعة السينية تبدو طبيعية.





الخيارات العلاجية: لماذا الجراحة هي الحل الأمثل؟
في الماضي السحيق، كان علاج كسور الفخذ يعتمد على الشد الهيكلي والبقاء في السرير لأشهر طويلة. اليوم، يعتبر هذا النهج خطيراً جداً، خاصة لكبار السن. البقاء في الفراش لفترات طويلة يؤدي إلى مضاعفات مميتة مثل الجلطات الدموية في الساقين والرئتين (DVT & PE)، الالتهابات الرئوية، وتقرحات الفراش الشديدة.
لذلك، فإن التدخل الجراحي السريع (خلال 24 إلى 48 ساعة من الإصابة) هو المعيار الذهبي العالمي لإنقاذ حياة المريض. يهدف التدخل الجراحي بقيادة الأستاذ الدكتور محمد هطيف إلى تثبيت الكسر بقوة تسمح للمريض بالجلوس والمشي في اليوم التالي للعملية، مما يقي من كافة مضاعفات البقاء في الفراش.
جدول: مقارنة بين العلاج التحفظي والتدخل الجراحي (التسمير النخاعي)
| معيار المقارنة | العلاج التحفظي (البقاء في السرير) | التدخل الجراحي (التسمير النخاعي) |
|---|---|---|
| مدة البقاء في الفراش | 3 إلى 6 أشهر | يوم واحد فقط (الحركة تبدأ في اليوم التالي) |
| مخاطر الجلطات الدموية | عالية جداً ومهددة للحياة | منخفضة جداً (بسبب الحركة المبكرة) |
| تقرحات الفراش والتهاب الرئة | شائعة جداً وخطيرة | نادرة الحدوث |
| جودة التئام العظم | غالباً يلتئم بشكل معوج أو يقصر الطرف | التئام تشريحي دقيق ومثالي |
| نسبة الوفيات لكبار السن | مرتفعة جداً خلال السنة الأولى | منخفضة، وتتحسن جودة الحياة بشكل كبير |
| الاستقلالية | فقدان تام للاستقلالية لفترة طويلة | استعادة سريعة للقدرة على خدمة الذات |





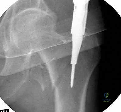
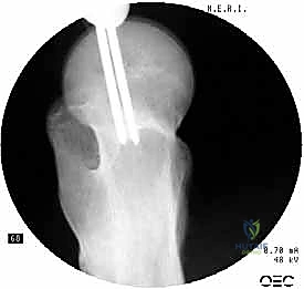
ما هو التسمير النخاعي الرأسي الفخذي (Cephalomedullary Nailing)؟
التسمير النخاعي الرأسي الفخذي هو تقنية جراحية متطورة تعتمد على مبدأ "تقاسم الحمل الميكانيكي" (Load-Sharing Device). بدلاً من تثبيت شرائح ومسامير على السطح الخارجي للعظم (والتي قد تنكسر تحت ضغط الوزن)، يتم إدخال سيخ أو مسمار طويل وقوي مصنوع من سبائك التيتانيوم الخالص داخل التجويف النخاعي (المركزي) لعظمة الفخذ.
يتكون هذا النظام الجراحي من:
1. المسمار النخاعي الرئيسي (Intramedullary Nail): مسمار طويل يمتد داخل القناة النخاعية لعظمة الفخذ.
2. المسمار الرأسي/العنقي (Cephalic/Lag Screw): مسمار سميك وقوي يمر من خلال الجزء العلوي للمسمار النخاعي، ويدخل في عنق ورأس عظمة الفخذ لتثبيت الكسر الرئيسي.
3. مسامير الغلق السفلية (Distal Locking Screws): مسامير صغيرة تُثبت أسفل المسمار النخاعي لمنعه من الدوران أو الانزلاق داخل العظم.
هذا التصميم العبقري يجعله أقوى نظام تثبيت متوفر حالياً، حيث يمر محور تحمل الوزن عبر المسمار الموجود داخل العظم، مما يجعله مقاوماً للكسر والانحناء، ويسمح للمريض بالاعتماد على ساقه في وقت قياسي.





خطوات عملية التسمير النخاعي الرأسي الفخذي بالتفصيل
تُجرى هذه العملية المعقدة بخطوات دقيقة ومدروسة داخل غرف العمليات المجهزة بأحدث التقنيات. يحرص الأستاذ الدكتور محمد هطيف على تطبيق بروتوكولات صارمة لضمان أعلى نسب النجاح. إليكم تفاصيل الرحلة الجراحية:
1. التخدير وتجهيز المريض
يبدأ الإجراء باختيار نوع التخدير المناسب (غالباً تخدير نصفي شوكي أو تخدير عام) بناءً على تقييم طبيب التخدير. يُنقل المريض إلى طاولة عمليات خاصة تُسمى (طاولة الكسور - Fracture Table). هذه الطاولة تسمح بشد الساق المصابة وتدويرها لرد الكسر (إعادته لوضعه الطبيعي) دون الحاجة لفتح جراحي كبير.
2. الرد المغلق (Closed Reduction)
باستخدام جهاز الأشعة السينية المرئية المستمرة (C-Arm Fluoroscopy) داخل غرفة العمليات، يقوم الدكتور هطيف بإعادة العظام المكسورة إلى محاذاتها التشريحية الصحيحة عن طريق الشد والتدوير الخارجي للساق، وكل ذلك يتم مراقبته على الشاشة بدقة متناهية.
3. إحداث الشق الجراحي ونقطة الدخول
من خلال شق جراحي صغير جداً (حوالي 3 إلى 5 سم) أعلى الفخذ (فوق المدور الكبير)، يتم الوصول إلى قمة عظمة الفخذ. يتم إدخال سلك دليلي (Guide Wire) دقيق لتحديد نقطة الدخول المثالية للقناة النخاعية.
4. توسيع القناة وإدخال المسمار
يتم استخدام أدوات حفر خاصة (Reamers) لتوسيع القناة النخاعية بلطف لتستوعب المسمار المصنوع من التيتانيوم. بعد ذلك، يتم انزلاق المسمار النخاعي الرئيسي داخل العظم حتى يصل إلى العمق المطلوب.




5. تثبيت عنق ورأس الفخذ (المسمار الرأسي)
من خلال ذراع توجيه متصلة بالمسمار الرئيسي، يتم إحداث ثقب في عنق ورأس عظمة الفخذ. يتم إدخال المسمار الرأسي (Cephalic Screw) السميك ليمسك برأس الفخذ بقوة ويسحبه نحو المسمار الرئيسي، مما يضغط الكسر (Compression) ويحفز التئام العظام بسرعة.
6. التثبيت السفلي (Distal Locking)
لضمان عدم دوران العظمة حول المسمار، يتم إدخال مسمار أو مسمارين صغيرين في الجزء السفلي من المسمار النخاعي عبر شقوق جلدية دقيقة جداً (لا تتجاوز 1 سم).
7. الإغلاق والتعافي
تُغلق الشقوق الجراحية الصغيرة بغرز تجميلية، وتُغطى بضمادات معقمة. يُنقل المريض إلى غرفة الإفاقة للمراقبة قبل العودة إلى غرفته. العملية بأكملها تستغرق عادة من ساعة إلى ساعتين بفضل خبرة وكفاءة الدكتور هطيف.





تقنيات ما بعد الجراحة: رحلة التأهيل والعلاج الطبيعي
العملية الجراحية الناجحة هي نصف العلاج، والنصف الآخر يعتمد كلياً على برنامج التأهيل والعلاج الطبيعي. تحت إشراف الأستاذ الدكتور محمد هطيف وفريقه المتخصص، تبدأ خطة التأهيل فوراً:
- اليوم الأول بعد الجراحة: يُشجع المريض على الجلوس في السرير والقيام بتمارين التنفس العميق لمنع التهابات الرئة. كما يتم تحريك الكاحل لتعزيز الدورة الدموية.
- اليوم الثاني: يبدأ المريض في الوقوف والمشي خطوات بسيطة باستخدام مشاية (Walker) أو عكازات، بمساعدة أخصائي العلاج الطبيعي. في معظم الحالات، يُسمح للمريض بتحميل وزن جزئي أو كلي على الساق المصابة، بفضل قوة التثبيت بالمسمار النخاعي.
- الأسبوع الأول إلى السادس: يستمر المريض في برنامج تمارين لتقوية عضلات الفخذ والحوض، وتحسين مدى الحركة لمفصل الورك. يتم الانتقال تدريجياً من المشاية إلى العكاز الواحد ثم المشي المستقل.
- المتابعة الدورية: يتم جدولة زيارات دورية لعيادة الدكتور هطيف لإجراء أشعة سينية للتأكد من التئام الكسر بشكل كامل، والذي يستغرق عادة من 3 إلى 6 أشهر.





قصص نجاح ملهمة من عيادة الأستاذ الدكتور محمد هطيف
النجاح ليس مجرد أرقام، بل هو حياة تُنقذ وأمل يتجدد. في عيادة الأستاذ الدكتور محمد هطيف في صنعاء، تتوالى قصص النجاح التي تشهد على البراعة الطبية:
قصة الحاجة فاطمة (75 عاماً):
عانت الحاجة فاطمة من هشاشة عظام متقدمة، وأدى تعثر بسيط في سجادة المنزل إلى كسر معقد حول مدوري الفخذ. وصلت إلى المستشفى في حالة صدمة وألم لا يُحتمل. بفضل التدخل الفوري من الدكتور هطيف وإجراء عملية التسمير النخاعي الرأسي الفخذي بنجاح، استطاعت الحاجة فاطمة الوقوف بمساعدة المشاية في اليوم التالي للعملية! واليوم، بعد 6 أشهر، عادت لتمارس حياتها الطبيعية وتصلي وهي واقفة دون أي مساعدة





آلام الورك وتقييد حركته ليس قدراً محتوماً! التشخيص الدقيق والعلاج المتخصص يمكن أن يعيد لك كامل وظيفتك وحريتك في الحركة. لا تدع الألم يسيطر على حياتك.
للحصول على استشارة دقيقة وخطة علاجية مخصصة لحالتك، تواصل فوراً مع مركز الأستاذ الدكتور محمد هطيف:
الأستاذ الدكتور محمد هطيف - أفضل دكتور عظام في صنعاء، وخبير في جراحات استبدال مفصل الورك.. نلتزم بإعادتك لحياة خالية من الألم وورك قوي ووظيفي.
مواضيع أخرى قد تهمك