تثبيت مفصل منتصف القدم: حل دائم لتشوهات القدم المعقدة واستعادة الحركة

الخلاصة الطبية
تثبيت مفصل منتصف القدم هو إجراء جراحي حيوي لعلاج آلام وتشوهات منتصف القدم، يهدف إلى استعادة قدم ثابتة ومستوية. يتضمن إزالة الغضاريف وتثبيت العظام لدمجها، مما يوفر راحة دائمة ووظيفة محسّنة للحركة، ويُعد الأستاذ الدكتور محمد هطيف في صنعاء من أبرز الخبراء في هذا المجال.
الخلاصة الطبية السريعة: يُعد إجراء تثبيت مفصل منتصف القدم (Midfoot Arthrodesis) تدخلاً جراحياً حيوياً ومتقدماً لعلاج الآلام المزمنة والتشوهات المعقدة في منطقة منتصف القدم. يهدف هذا الإجراء بشكل رئيسي إلى استعادة بنية قدم ثابتة، مستوية، وقادرة على تحمل وزن الجسم وتوزيعه بكفاءة. تتضمن العملية إزالة الغضاريف التالفة بدقة متناهية وتثبيت العظام باستخدام تقنيات حديثة لدمجها وتحويلها إلى وحدة صلبة. يوفر هذا الإجراء راحة دائمة من الألم ووظيفة حركية محسّنة. في العاصمة اليمنية صنعاء، يبرز الأستاذ الدكتور محمد هطيف، أستاذ جراحة العظام بجامعة صنعاء، كواحد من أهم الخبراء والمرجعيات الطبية في هذا التخصص الدقيق، مستنداً إلى خبرة تتجاوز 20 عاماً وتقنيات جراحية دقيقة تشمل الجراحة الميكروسكوبية ومناظير المفاصل 4K.




مقدمة شاملة: لماذا نلجأ لتثبيت مفصل منتصف القدم؟
مرحبًا بكم في الدليل الطبي الشامل والمفصل حول جراحة تثبيت مفصل منتصف القدم، والذي يُعد من أهم الإجراءات الأساسية في مجال جراحة القدم والكاحل الترميمية (Reconstructive Foot and Ankle Surgery). إن القدم البشرية هي تحفة هندسية معقدة، تتحمل عبء وزن الجسم كاملاً وتوفر الديناميكية اللازمة للحركة. عندما يصاب جزء "منتصف القدم" بخلل، سواء نتيجة لالتهاب المفاصل التنكسي، أو الروماتيزم، أو الإصابات الرضية، أو مضاعفات القدم السكرية، فإن جودة حياة المريض تتأثر بشكل جذري.
إذا كنت تعاني من آلام مزمنة، تورم مستمر، أو تشوه ملحوظ في منتصف القدم يعيق قدرتك على المشي، الوقوف لفترات طويلة، أو حتى ارتداء الأحذية العادية، فقد يكون هذا الإجراء الجراحي هو الحل الجذري والدائم الذي تبحث عنه. تهدف الجراحة إلى إيقاف الحركة المؤلمة في المفاصل التالفة عن طريق دمج العظام (Fusion) لتشكيل كتلة عظمية واحدة صلبة ومستقرة.




التشريح المعقد لمنتصف القدم: الهندسة الحيوية للحركة
لفهم أهمية جراحة تثبيت مفصل منتصف القدم، يجب أولاً أن نفهم التشريح الفريد لهذه المنطقة. يتكون منتصف القدم (Midfoot) من مجموعة من العظام الصغيرة التي تتشابك معاً لتشكيل قوس القدم (Foot Arch). هذه العظام تشمل:
* العظم الزورقي (Navicular): يقع في الجانب الداخلي للقدم.
* العظم النردي (Cuboid): يقع في الجانب الخارجي.
* العظام الإسفينية الثلاثة (Cuneiform bones): تقع في المنتصف وتربط بين العظم الزورقي وعظام مشط القدم.
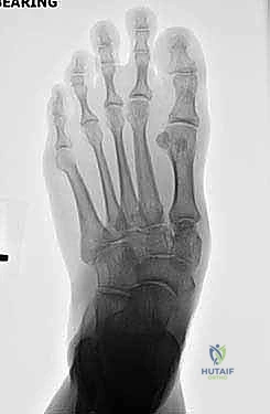
تعمل هذه العظام معاً كـ "ممتص للصدمات" أثناء المشي والجري. المفاصل التي تربط هذه العظام (مثل مفصل تارصو-ميتاتارسال أو مفصل ليزفرانك Lisfranc joint) هي مفاصل ذات حركة محدودة جداً، ولكنها حيوية لاستقرار القدم. عندما تتآكل الغضاريف التي تغطي نهايات هذه العظام، تبدأ العظام بالاحتكاك ببعضها البعض، مما يولد ألماً مبرحاً ويؤدي إلى انهيار قوس القدم.






الأسباب الجذرية وعوامل الخطر المؤدية لتلف منتصف القدم
تتعدد الأسباب التي قد تدفع المريض للبحث عن خبرة الأستاذ الدكتور محمد هطيف لإجراء جراحة التثبيت. من أهم هذه الأسباب:
- الفصال العظمي (Osteoarthritis): وهو التآكل الطبيعي للغضاريف نتيجة التقدم في العمر أو الاستخدام المفرط. يعتبر السبب الأكثر شيوعاً.
- إصابات ليزفرانك (Lisfranc Injuries): كسور أو تمزقات في أربطة منتصف القدم تحدث غالباً بسبب حوادث السيارات، السقوط من ارتفاع، أو الإصابات الرياضية العنيفة. إذا لم تُعالج بشكل صحيح في وقتها، فإنها تؤدي حتماً إلى خشونة مبكرة.
- التهاب المفاصل الروماتويدي (Rheumatoid Arthritis): مرض مناعي ذاتي يهاجم بطانة المفاصل، مما يؤدي إلى تدمير الغضاريف وتشوه شديد في شكل القدم.
- قدم شاركو (Charcot Arthropathy): مضاعفات خطيرة لمرض السكري المتقدم، حيث يؤدي تلف الأعصاب (الاعتلال العصبي) إلى فقدان الإحساس بالقدم، مما يتسبب في كسور دقيقة غير محسوسة تنتهي بانهيار كامل لقوس القدم (Rocker-bottom foot).
- العيوب الخلقية أو التشوهات المكتسبة: مثل القدم المسطحة الشديدة (Severe Flatfoot) التي تتصلب مع مرور الوقت وتصبح مؤلمة للغاية.






الأعراض والعلامات التحذيرية: متى يجب زيارة الطبيب؟
المرضى الذين يحتاجون إلى تثبيت مفصل منتصف القدم يعانون عادة من مجموعة من الأعراض التي تزداد سوءاً بمرور الوقت. إليك جدول تفصيلي يوضح الأعراض ومدى خطورتها:
جدول 1: قائمة فحص أعراض تلف مفصل منتصف القدم
| العرض السريري | الوصف الدقيق | مؤشر الخطورة / الحاجة للتدخل |
|---|---|---|
| الألم الميكانيكي | ألم حاد في منتصف القدم يزداد مع الوقوف أو المشي، ويقل عند الراحة. | ⭐⭐⭐ (شائع جداً ومؤشر أولي) |
| التورم المزمن | انتفاخ ملحوظ في الجزء العلوي من القدم (ظهر القدم) لا يزول بالكمادات. | ⭐⭐⭐ (دليل على التهاب نشط) |
| تغير شكل القدم | هبوط قوس القدم، ظهور نتوء عظمي بارز في الأعلى، أو تسطح القدم. | ⭐⭐⭐⭐ (تغير هيكلي يتطلب تقييماً عاجلاً) |
| صعوبة ارتداء الأحذية | بسبب النتوءات العظمية (Osteophytes) والتورم، تصبح الأحذية المعتادة ضيقة ومؤلمة. | ⭐⭐ (يؤثر على جودة الحياة) |
| ألم عند الخطوة الأولى | ألم شديد عند أخذ أولى الخطوات في الصباح أو بعد فترة من الجلوس. | ⭐⭐⭐ (علامة كلاسيكية للخشونة) |
| فقدان الإحساس أو تقرحات | (خاص بمرضى السكري) ظهور تقرحات أسفل القدم بسبب تغير مناطق توزيع الضغط. | ⭐⭐⭐⭐⭐ (حالة طارئة - قدم شاركو) |
إذا كنت تعاني من هذه الأعراض في اليمن، فإن حجز استشارة مبكرة مع الأستاذ الدكتور محمد هطيف في صنعاء يُعد الخطوة الأولى نحو استعادة جودة حياتك، حيث يعتمد على نهج التشخيص الدقيق والشفافية التامة مع المريض.






التشخيص الدقيق: حجر الأساس لنجاح العلاج
لا يمكن اتخاذ قرار الجراحة دون تقييم شامل. في عيادة الأستاذ الدكتور محمد هطيف، يتم اتباع بروتوكول تشخيصي صارم يشمل:
- الفحص السريري المتقدم: فحص أماكن الألم بدقة، تقييم نطاق الحركة، فحص قوة العضلات، وتقييم الدورة الدموية والأعصاب، خاصة لمرضى السكري.
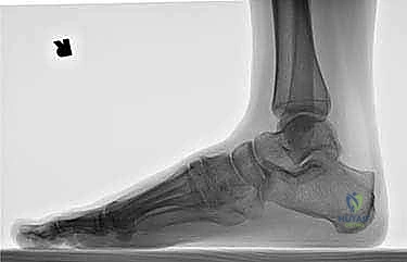
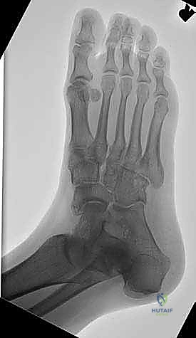
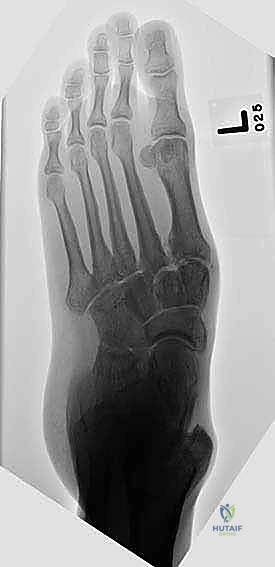
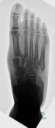
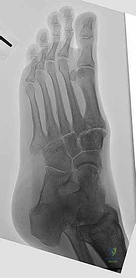
- الأشعة السينية أثناء الوقوف (Weight-bearing X-rays): وهي أهم أداة تشخيصية. الأشعة العادية والسرير فارغ لا تظهر المشكلة الحقيقية؛ يجب التقاط الأشعة والمريض يقف ليتحمل وزن الجسم، مما يظهر الانهيار الفعلي للمفاصل وتضيق المسافات بين العظام.
- الأشعة المقطعية (CT Scan): توفر صوراً ثلاثية الأبعاد للعظام، وهي ضرورية جداً للتخطيط الجراحي الدقيق وتحديد مدى التلف العظمي والزوايا المطلوبة للتثبيت.
- التصوير بالرنين المغناطيسي (MRI): يُستخدم أحياناً لتقييم الأنسجة الرخوة، الأربطة، والأوتار المحيطة، أو للكشف عن التورم داخل العظم (Bone marrow edema).






الخيارات العلاجية: متى تكون الجراحة هي الحل الوحيد؟
قبل اللجوء إلى الجراحة، يتم استنفاد كافة الخيارات التحفظية. الأمانة الطبية التي يُعرف بها الأستاذ الدكتور محمد هطيف تقتضي عدم التسرع في الجراحة إلا إذا كانت هي الحل الأمثل لحالة المريض.
جدول 2: مقارنة بين العلاج التحفظي والجراحي لتشوهات منتصف القدم
| وجه المقارنة | العلاج التحفظي (غير الجراحي) | العلاج الجراحي (تثبيت مفصل منتصف القدم) |
|---|---|---|
| الفئة المستهدفة | الحالات الخفيفة إلى المتوسطة، أو المرضى غير اللائقين طبياً للجراحة. | الحالات الشديدة، الألم المستمر، الفشل في الاستجابة للعلاج التحفظي. |
| الأساليب المستخدمة | أحذية طبية مخصصة، ضبانات صلبة، حقن الكورتيزون، أدوية مضادة للالتهاب، علاج طبيعي. | استئصال الغضاريف التالفة، استخدام طعوم عظمية، التثبيت بشرائح ومسامير معدنية. |
| الهدف الرئيسي | تخفيف الألم مؤقتاً وتقليل الضغط الميكانيكي على القدم. | حل جذري للألم، تصحيح التشوه المعماري، استعادة ثبات القدم بشكل دائم. |
| فترة التعافي | مستمرة وتتطلب تعديلات دائمة في نمط الحياة. | 3 إلى 6 أشهر تقريباً حتى الالتحام العظمي الكامل. |
| النتائج المتوقعة | إدارة الأعراض دون تصحيح المشكلة الهيكلية الأساسية. | التحام قوي، زوال الألم، القدرة على المشي بثبات وبدون ألم. |
إذا جربت الأحذية الطبية والحقن دون فائدة، وأصبح الألم يعيق حياتك اليومية، فإن جراحة التثبيت تصبح الخيار المنطقي والفعال.






خطوات جراحة تثبيت مفصل منتصف القدم بالتفصيل
تعتبر هذه الجراحة من العمليات الدقيقة التي تتطلب مهارة عالية، وهنا تبرز خبرة الأستاذ الدكتور محمد هطيف في استخدام أحدث التقنيات مثل الجراحة الميكروسكوبية، والتوجيه بالأشعة التداخلية، لضمان أعلى نسب النجاح.
1. التحضير والتخدير
تُجرى العملية عادة تحت التخدير النصفي (Spinal Anesthesia) أو التخدير العام، مع إحصار العصب (Nerve Block) لضمان عدم شعور المريض بالألم لفترة طويلة بعد إفاقته. يتم تعقيم القدم وتجهيزها في بيئة جراحية فائقة التعقيم.
2. الشق الجراحي والوصول للمفاصل
يتم عمل شق جراحي واحد أو شقين (أحدهما في الجزء العلوي الداخلي والآخر في الجزء الخارجي) للوصول إلى مفاصل منتصف القدم دون الإضرار بالأوتار الحيوية والأعصاب والأوعية الدموية. يتم استخدام تقنيات الجراحة الدقيقة (Microsurgery) للحفاظ على الأنسجة المحيطة السليمة.





3. إزالة الغضاريف التالفة (Joint Preparation)
هذه هي الخطوة الأهم. يقوم الجراح بكحت وإزالة جميع الغضاريف المريضة والتالفة من بين العظام المراد دمجها. يجب الوصول إلى العظم الإسفنجي الصحي (Cancellous bone) الذي ينزف دماً، لأن هذا الدم يحتوي على الخلايا الجذعية وعوامل النمو الضرورية لعملية الالتحام (Fusion).
4. تصحيح التشوه (Deformity Correction)
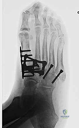
إذا كان هناك تسطح في القدم أو هبوط في القوس، يقوم الدكتور هطيف بإعادة ترتيب العظام في وضعها التشريحي الصحيح لاستعادة قوس القدم الطبيعي.





5. الترقيع العظمي (Bone Grafting) - عند الحاجة
في بعض الحالات التي يكون فيها فقدان عظمي كبير، أو لتعزيز فرص الالتحام، قد يتم أخذ طعم عظمي من منطقة أخرى من جسم المريض (مثل عظمة الساق أو الحوض)، أو استخدام بدائل العظام الاصطناعية (Allografts/Bone substitutes) لملء الفراغات بين العظام.
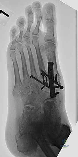
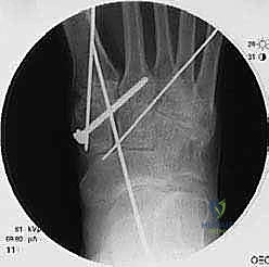
6. التثبيت الصلب (Rigid Fixation)
لضمان التحام العظام لتصبح عظمة واحدة صلبة، يجب تثبيتها بقوة هائلة حتى لا تتحرك أثناء فترة الشفاء. يتم استخدام مسامير معدنية متطورة (Screws)، أو شرائح معدنية خاصة (Plates)، أو دبابيس طبية متخصصة (Staples) مصنوعة من التيتانيوم الآمن على الجسم.





7. الإغلاق والضماد
بعد التأكد التام من وضع العظام وثباتها باستخدام جهاز الأشعة السينية داخل غرفة العمليات (C-Arm)، يتم إغلاق الشقوق الج













































































آلام العظام والمفاصل وتقييد حركتها ليس قدراً محتوماً! التشخيص الدقيق والعلاج المتخصص يمكن أن يعيد لك كامل وظيفتك وحريتك في الحركة. لا تدع الألم يسيطر على حياتك.
للحصول على استشارة دقيقة وخطة علاجية مخصصة لحالتك، تواصل فوراً مع مركز الأستاذ الدكتور محمد هطيف:
الأستاذ الدكتور محمد هطيف - أفضل دكتور عظام في صنعاء، وخبير في جراحات العظام والمفاصل والعمود الفقري.. نلتزم بإعادتك لحياة خالية من الألم وحركة طبيعية.
مواضيع أخرى قد تهمك