قطع وتر المقربة الطويلة: حل فعال ودائم لألم الفخذ المزمن مع الأستاذ الدكتور محمد هطيف

الخلاصة الطبية
قطع وتر المقربة الطويلة هو إجراء جراحي فعال لعلاج ألم الفخذ المزمن المرتبط بالعضلات المقربة، خاصة بعد فشل العلاجات التحفظية. يقوم الأستاذ الدكتور محمد هطيف بهذا الإجراء لتحرير الوتر المصاب وتخفيف الألم، مما يتيح عودة آمنة للأنشطة الرياضية والحياة اليومية.
الخلاصة الطبية السريعة: يُعد إجراء "قطع وتر المقربة الطويلة" (Adductor Longus Tenotomy) تدخلاً جراحياً دقيقاً وفعالاً للغاية لعلاج ألم الفخذ والأربية المزمن المرتبط باعتلال العضلات المقربة، وذلك في الحالات التي تستعصي على العلاجات التحفظية والطبيعية. يقوم الأستاذ الدكتور محمد هطيف، استشاري جراحة العظام والمفاصل الرائد في العاصمة اليمنية صنعاء، بإجراء هذه العملية بمهارة فائقة لتحرير الوتر المصاب وتخفيف الضغط الميكانيكي، مما ينهي معاناة المريض مع الألم ويتيح له عودة آمنة وسريعة للأنشطة الرياضية والحياة اليومية الطبيعية.
مقدمة شاملة: ألم الفخذ المزمن وتحديات العلاج
يُعد ألم الفخذ والأربية المزمن (Chronic Groin Pain) المرتبط بالعضلات المقربة واحداً من أكثر التحديات الصحية والطبية تعقيداً، خاصةً بين الرياضيين المحترفين والهواة والأشخاص ذوي نمط الحياة النشط بدنياً. هذا الألم ليس مجرد "شد عضلي" بسيط أو إرهاق عابر يزول ببضعة أيام من الراحة؛ بل هو حالة مرضية مستمرة، موهنة، ومحبطة للغاية، غالباً ما تُبعد الرياضيين عن ملاعبهم لفترات طويلة قد تمتد لأشهر أو سنوات، وتؤثر بشكل جذري على جودة حياة الأفراد وقدرتهم على أداء أبسط المهام اليومية.
في حين أن الشد العضلي الحاد في منطقة التقاء العضلات والأوتار يُعالج عادةً بطرق تحفظية غير جراحية بنجاح، فإن الألم المزمن، وخاصة الذي يظهر على شكل "اعتلال في ارتكاز الوتر" (Enthesopathy) أو تليف مزمن، يمكن أن يكون مقاوماً بشكل لا يصدق لكافة أشكال العلاجات الدوائية والطبيعية. في هذه المرحلة المتقدمة من المعاناة، يصبح التدخل الجراحي الدقيق ليس مجرد خيار، بل ضرورة طبية ملحة لتقديم الراحة الدائمة واستعادة الوظيفة الحركية.
في العاصمة صنعاء واليمن بشكل عام، يبرز اسم الأستاذ الدكتور محمد هطيف، أستاذ جراحة العظام والمفاصل بجامعة صنعاء، كمرجعية طبية أولى والرائد في تشخيص وعلاج هذه الحالات المعقدة. بفضل خبرته التي تتجاوز العشرين عاماً، ونهجه الطبي الشامل الذي يرتكز على الأمانة الطبية المطلقة، يقدم الدكتور هطيف حلولاً جراحية متقدمة ونهائية، على رأسها عملية "قطع وتحرير وتر المقربة الطويلة". تهدف هذه المقالة الطبية الشاملة والموسعة إلى تزويدك بكل التفاصيل الدقيقة حول هذه الحالة: من التشريح والأسباب، مروراً بالتشخيص الدقيق، وصولاً إلى تفاصيل الجراحة وبرنامج التعافي الذي سيقودك نحو الشفاء التام.
التشريح الدقيق لمنطقة الفخذ وعضلة المقربة الطويلة
لفهم طبيعة الإصابة وكيفية عمل الجراحة، يجب أولاً الغوص في التفاصيل التشريحية لمنطقة الفخذ الداخلي والحوض. تتكون مجموعة العضلات المقربة (Adductor Muscles) من خمس عضلات رئيسية تقع في الجزء الداخلي من الفخذ، ووظيفتها الأساسية هي سحب الساق نحو خط الوسط للجسم (التقريب)، بالإضافة إلى المساعدة في استقرار الحوض أثناء المشي والجري. هذه العضلات هي:
- العضلة المقربة الطويلة (Adductor Longus): وهي بطلة قصتنا اليوم. تنشأ هذه العضلة من عظم العانة (Pubic bone) وتحديداً أسفل الحديبة العانية، وتمتد لتندغم في الخط الخشن (Linea aspera) لعظم الفخذ. نظراً لموقعها التشريحي والضغط الميكانيكي الهائل الذي تتعرض له، فهي العضلة الأكثر عرضة للإصابة والتمزق والالتهاب المزمن من بين كل العضلات المقربة.
- العضلة المقربة القصيرة (Adductor Brevis).
- العضلة المقربة الكبيرة (Adductor Magnus).
- العضلة العانية (Pectineus).
- العضلة الرشيقة (Gracilis).
تكمن المشكلة الميكانيكية الحيوية (Biomechanics) في أن وتر العضلة المقربة الطويلة يرتكز على مساحة صغيرة جداً من عظم العانة. أثناء الحركات الرياضية العنيفة (مثل ركل كرة القدم، أو تغيير الاتجاه المفاجئ)، تتعرض هذه المساحة الصغيرة لقوة سحب هائلة، مما يؤدي بمرور الوقت إلى تمزقات مجهرية متكررة (Micro-tears). وإذا لم يُمنح الجسم الوقت الكافي للشفاء، تتحول هذه التمزقات إلى أنسجة ندبية وتليف واعتلال وتري مزمن.

الفهم العميق لأسباب ألم الفخذ المزمن وعوامل الخطر
إن الوصول إلى التشخيص الصحيح يتطلب فهماً عميقاً للأسباب المتجذرة التي تؤدي إلى ألم المقربة المزمن. غالباً ما تكون هذه الحالات معقدة، وتنشأ من تآزر عوامل ميكانيكية وبيولوجية متعددة.
الأسباب الرئيسية والمباشرة لألم المقربة المزمن
- الإجهاد الميكانيكي المزمن والمتكرر (Repetitive Microtrauma): يحدث هذا الألم بشكل سائد لدى الرياضيين الذين يمارسون حركات قوية ومتفجرة تتضمن تغييرات سريعة في اتجاه الجذع مع دوران الورك. ركل الكرة في كرة القدم، التزلج السريع في هوكي الجليد، أو حركات التمدد المفاجئة في الجمباز والفنون القتالية، كلها تخلق ضغطاً هائلاً عبر عضلات البطن السفلية وعضلات الفخذ المقربة.
- اعتلال الارتكاز الوتري (Enthesopathy): هذا هو التوصيف الطبي الدقيق للشكل الأكثر شيوعاً للألم المزمن في هذه المنطقة. يحدث التهاب، يتبعه تنكس (Degeneration) وتآكل في ألياف الكولاجين في النقطة التي يرتكز فيها وتر المقربة الطويلة على عظم الارتفاق العاني (Pubic Symphysis). مع مرور الوقت، يفقد الوتر مرونته ويصبح مصدراً دائماً للألم.
- الشد العضلي الحاد المهمل أو المتكرر: قد تبدأ الحالة كشد عضلي حاد من الدرجة الأولى أو الثانية أثناء مباراة رياضية. إذا عاد المريض للعب قبل الشفاء التام، يتكرر التمزق، مما يؤدي إلى حلقة مفرغة من الالتهاب والشفاء غير المكتمل، لتستقر الحالة كألم مزمن وضعف وظيفي.
- الارتباط الوثيق بالفتق الرياضي (Athletic Pubalgia): أو ما يُعرف بـ "فتق الرياضيين". في كثير من الأحيان، يتواجد ألم المقربة المزمن جنباً إلى جنب مع الفتق الرياضي. الفتق الرياضي ليس فتقاً بالمعنى التقليدي (لا يوجد بروز للأمعاء)، بل هو تمزق أو ضعف في اللفافة الخلفية لجدار البطن (Rectus abdominis insertion). نظراً لأن عضلات البطن وعضلة المقربة الطويلة يعملان كقوى متعاكسة تسحب عظم العانة في اتجاهين مختلفين، فإن ضعف أحدهما يؤدي حتماً إلى إجهاد الآخر.
عوامل الخطر التي تزيد من احتمالية الإصابة
- نوع الرياضة الممارسة: الرياضات التي تتطلب حركات متفجرة واندفاعية مثل: كرة القدم، الهوكي، الركبي، التنس، ألعاب القوى (خاصة القفز والحواجز).
- إهمال الإحماء والتبريد (Warm-up & Cool-down): البدء في مجهود بدني عنيف دون إحماء كافٍ يقلل من مرونة الأوتار ويزيد من خطر التمزق.
- ضعف استقرار الحوض والقلب (Core Instability): ضعف عضلات البطن والظهر السفلية يؤدي إلى انتقال العبء الميكانيكي إلى عضلات الفخذ، مما يسرع من إصابتها.
- اختلال التوازن العضلي (Muscle Imbalance): وجود تفاوت في القوة والمرونة بين عضلات المقربة (الداخلية) والعضلات المبعدة أو الباسطة للورك (مثل عضلات الألوية في الخلف)، مما يخل بميكانيكية حركة مفصل الورك.
- متلازمة الإفراط في التدريب (Overtraining Syndrome): عدم إعطاء الجسم، وتحديداً الأوتار، وقتاً كافياً للتعافي وإعادة بناء الأنسجة بين جلسات التدريب المكثفة والمباريات المتتالية.
الأعراض والعلامات السريرية المميزة لألم المقربة
إن التعرف على الأعراض بدقة ووصفها للطبيب هو الخطوة المحورية نحو التشخيص الصحيح. الأستاذ الدكتور محمد هطيف يستمع بعناية فائقة لتاريخ المريض المرضي، حيث أن الأعراض غالباً ما ترسم صورة واضحة للحالة.
كيف يصف المرضى ألم الفخذ المزمن المرتبط بالمقربة؟
- الألم الموضعي الحاد في منطقة الأربية (Groin Pain): هو العرض الأساسي والجوهري. عادة ما يكون الألم عميقاً وموضعياً في الجزء الداخلي والعلوي من الفخذ، تحديداً عند نقطة التقاء الفخذ بمنطقة العانة.
- تفاقم الألم مع حركات واختبارات محددة:
- التقريب المقاوم (Resisted Adduction): يطلب الطبيب من المريض ضم ساقيه معاً بينما يضع الطبيب يده بين ركبتي المريض لمقاومة الحركة. إذا شعر المريض بألم حاد في منطقة العانة، فهذه علامة كلاسيكية ومؤكدة لإصابة وتر المقربة.
- التبعيد السلبي (Passive Abduction): يزداد الألم عند قيام الطبيب بفتح أو مد ساق المريض للخارج بشكل سلبي (إطالة العضلة المقربة)، مما يضع الوتر الملتهب تحت ضغط التمدد.
- الألم المرتبط بالأنشطة الرياضية: يكون الألم في أسوأ حالاته أثناء الجري السريع (Sprinting)، ركل الكرة بقوة، التغيير المفاجئ للاتجاه (Cutting)، أو حركات الورك المتفجرة.
- تصلب الصباح (Morning Stiffness): يبلغ العديد من المرضى عن شعور بتيبس وألم في منطقة الفخذ الداخلي عند الاستيقاظ من النوم أو بعد الجلوس لفترات طويلة، والذي يقل تدريجياً مع بدء الحركة والمشي.
- ألم عند العطس أو السعال: في الحالات التي يصاحبها فتق رياضي أو ضعف في جدار البطن، قد يشعر المريض بألم في منطقة الأربية عند السعال أو العطس نتيجة زيادة الضغط داخل تجويف البطن.
- انتشار الألم (Radiating Pain): قد لا يقتصر الألم على نقطة واحدة، بل قد ينتشر إلى أسفل الفخذ الداخلي، أو يمتد إلى منطقة أسفل البطن.
جدول: التفريق التشخيصي بين ألم المقربة وأسباب ألم الأربية الأخرى
| الحالة المرضية (التشخيص) | موقع الألم الأساسي | العوامل المسببة / المحفزة للألم | الفحص السريري / التشخيص المتميز |
|---|---|---|---|
| اعتلال وتر المقربة الطويلة | الفخذ الداخلي العلوي، قرب العانة. | ركل الكرة، تغيير الاتجاه، الجري السريع. | ألم حاد عند اختبار "التقريب المقاوم" (Squeeze Test). |
| الفتق الإربي (Inguinal Hernia) | أسفل البطن، منطقة القناة الإربية. | السعال، العطس، رفع أوزان ثقيلة، الوقوف الطويل. | وجود كتلة بارزة أو انتفاخ يمكن جسه، يختفي عند الاستلقاء. |
| الفتق الرياضي (Athletic Pubalgia) | أسفل البطن، يمتد أحياناً للأربية. | التمارين الرياضية، حركات الجذع المفاجئة. | ألم عند أداء تمارين البطن (Crunches) مع مقاومة. |
| خشونة مفصل الورك (Hip Osteoarthritis) | عميق في مفصل الورك، قد يمتد للأربية أو الركبة. | المشي لمسافات طويلة، صعود السلالم، ربط الحذاء. | تقييد ملحوظ في المدى الحركي لمفصل الورك، خاصة الدوران الداخلي. |
| التهاب العظم العاني (Osteitis Pubis) | في منتصف عظم العانة بالضبط (الارتفاق العاني). | المشي، صعود الدرج، الوقوف على ساق واحدة. | ألم عند الضغط المباشر على عظم العانة، وتغيرات واضحة في أشعة X أو الرنين. |
التشخيص الدقيق مع الأستاذ الدكتور محمد هطيف
يُعرف الأستاذ الدكتور محمد هطيف بنهجه التشخيصي الصارم والدقيق. فهو لا يعتمد على التخمين، بل يتبع بروتوكولاً علمياً عالمياً لضمان دقة التشخيص، وهو أمر حاسم لأن منطقة الأربية تحتوي على هياكل تشريحية متداخلة يمكن أن تسبب أعراضاً متشابهة.
- التقييم السريري الشامل (Clinical Examination): يبدأ الدكتور هطيف بأخذ تاريخ مرضي مفصل (كيف بدأ الألم، متى يزداد، تأثيره على الأداء). ثم يقوم بإجراء فحوصات سريرية دقيقة، أهمها اختبار الضغط (Squeeze Test) بدرجات زوايا مختلفة للورك لعزل العضلة المقربة الطويلة وتأكيد إصابتها. كما يفحص جدار البطن لاستبعاد الفتق الرياضي، ويفحص مفصل الورك لاستبعاد الخشونة أو تمزق الشفا الحقي (Labral tear).
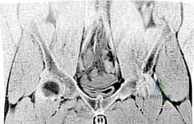
- التصوير بالموجات فوق الصوتية (Ultrasound): يُعد أداة ديناميكية ممتازة. يمكن للدكتور هطيف رؤية الوتر أثناء حركة المريض، وتقييم وجود أي تمزقات جزئية، تليف، أو تكلسات داخل الوتر، بالإضافة إلى تقييم تدفق الدم (Doppler) الذي يشير إلى وجود التهاب نشط.
- التصوير بالرنين المغناطيسي (MRI): هو المعيار الذهبي (Gold Standard) في تشخيص آلام الأربية المعقدة. يطلب الدكتور هطيف صور رنين مغناطيسي عالية الدقة (High-resolution MRI) لتقييم مدى تضرر وتر المقربة الطويلة، واستبعاد التهاب العظم العاني (Osteitis Pubis)، والتأكد من سلامة مفصل الورك والأنسجة الرخوة المحيطة.
- الأشعة السينية (X-rays): قد تُطلب لاستبعاد وجود كسور إجهادية في الحوض، أو تقييم التغيرات العظمية المزمنة في الارتفاق العاني.

العلاج التحفظي: الخطوة الأولى (ومتى يتم إعلان فشله؟)
انطلاقاً من مبدأ الأمانة الطبية الذي يشتهر به الأستاذ الدكتور محمد هطيف، فإنه لا يلجأ أبداً إلى التدخل الجراحي كخطوة أولى إلا في حالات التمزق الكامل والحاد. يبدأ العلاج دائماً ببرنامج تحفظي صارم وموجه:
- الراحة النشطة وتعديل الأنشطة: التوقف الفوري عن الرياضة أو الحركات التي تسبب الألم، مع الحفاظ على اللياقة البدنية من خلال أنشطة لا تضغط على منطقة الفخذ (مثل السباحة أو ركوب الدراجة الثابتة).
- العلاج الطبيعي والتأهيل (Physiotherapy): التركيز على تمارين الإطالة اللطيفة، والأهم من ذلك: التمارين اللامركزية (Eccentric Exercises) لتقوية العضلات المقربة وعضلات الجذع (Core muscles) وإعادة التوازن الميكانيكي للحوض.
- العلاج الدوائي: استخدام مضادات الالتهاب غير الستيرويدية (NSAIDs) لتقليل الألم والالتهاب في المراحل الأولى.
- الحقن الموضعي: قد يُقترح حقن البلازما الغنية بالصفائح الدموية (PRP) لتحفيز الشفاء البيولوجي للأنسجة، أو في حالات نادرة حقن الكورتيكوستيرويد (بحذر شديد لتجنب إضعاف الوتر).
- العلاج بالموجات التصادمية (Shockwave Therapy): لتحفيز تدفق الدم وتكسير الأنسجة الندبية في الوتر المصاب.
متى ننتقل إلى الخيار الجراحي؟
إذا التزم المريض ببرنامج العلاج التحفظي الشامل لمدة تتراوح بين 3 إلى 6 أشهر دون تحسن ملحوظ، واستمر الألم في إعاقة حياته اليومية أو منعه من العودة لممارسة رياضته، هنا يتدخل الأستاذ الدكتور محمد هطيف لتقديم الحل الجراحي النهائي: عملية قطع وتر المقربة الطويلة.
التدخل الجراحي: عملية قطع وتر المقربة الطويلة (Adductor Longus Tenotomy)
تُعد عملية "قطع أو تحرير وتر المقربة الطويلة" (Tenotomy أو Release) إجراءً جراحياً يهدف إلى التخلص الجذري من الألم عن طريق إزالة الشد الميكانيكي المستمر الذي يسببه الوتر المتليف والمتقلص على عظم العانة.
كيف تعمل هذه الجراحة؟ (المبدأ الطبي)
قد يبدو مصطلح "قطع الوتر" مقلقاً للمريض للوهلة الأولى، ويتساءل: كيف سأمشي أو ألعب إذا تم قطع الوتر؟
الإجابة الطبية المطمئنة هي: مجموعة العضلات المقربة تتكون من خمس عضلات كما ذكرنا سابقاً. عند تحرير أو قطع وتر العضلة المقربة الطويلة (الذي أصبح متليفاً ومصدراً للألم بدلاً من أن يكون وظيفياً)، تقوم العضلات الأربع الأخرى (القصيرة، الكبيرة، العانية، والرشيقة) بتعويض وظيفتها بشكل كامل تقريباً. النتيجة هي اختفاء الألم المبرح مع الحفاظ على قوة التقريب الأساسية للساق، مما يسمح بعودة الأداء الرياضي الطبيعي.
خطوات الجراحة مع الأستاذ الدكتور محمد هطيف
يُجري الأستاذ الدكتور محمد هطيف هذه العملية باستخدام تقنيات التدخل المحدود (Minimally Invasive) والجراحة المجهرية الدقيقة لضمان أقل قدر من التلف للأنسجة المحيطة وأسرع فترة تعافي ممكنة:
- التخدير: تُجرى العملية عادة تحت التخدير النصفي (Spinal Anesthesia) أو التخدير العام، حسب حالة المريض وتفضيله بالتشاور مع طبيب التخدير.
- الشق الجراحي الدقيق: يقوم الدكتور هطيف بعمل شق جراحي صغير جداً (حوالي 2 إلى 3 سنتيمترات) في منطقة الفخذ الداخلي بالقرب من عظم العانة (Groin crease)، ليكون الشق تجميلياً وغير ملحوظ.
- تحديد الوتر المصاب: باستخدام خبرته التشريحية العميقة وأدوات الجراحة الدقيقة، يتم عزل وتر العضلة المقربة الطويلة بدقة متناهية عن الأوعية الدموية والأعصاب المجاورة (مثل العصب السدادي Obturator nerve).
- تحرير وقطع الوتر (The Tenotomy): يتم قطع الوتر الملتهب والمتليف بالقرب من نقطة ارتكازه على عظم العانة. في بعض الحالات المتقدمة التي يوجد فيها تليف شديد، قد يتم استئصال جزء صغير من الأنسجة الندبية التالفة. بمجرد قطع الوتر، يتراجع العضلات قليلاً، مما يزيل التوتر والضغط الميكانيكي عن عظم العانة فوراً.
- الإرقاء والإغلاق: يتم التأكد من إيقاف أي نزيف دقيق (Hemostasis)، ثم تُغلق الطبقات العميقة والجلد بغرز تجميلية قابلة للامتصاص.
تستغرق العملية عادة أقل من ساعة، وتُعتبر من جراحات اليوم الواحد (Day-case surgery)، حيث يمكن للمريض العودة إلى منزله في نفس اليوم أو في صباح اليوم التالي.
برنامج التأهيل الشامل بعد الجراحة (طريقك للعودة إلى الملاعب)
النجاح الجراحي الذي يحققه الأستاذ الدكتور محمد هطيف يكتمل ببرنامج تأهيل بدني (Rehabilitation) صارم ومدروس. التعافي ليس سحرياً في يوم وليلة، بل يتطلب التزاماً من المريض لضمان استعادة القوة والمرونة دون انتكاسات.
جدول زمني لبرنامج التأهيل بعد عملية قطع وتر المقربة الطويلة
| المرحلة | الإطار الزمني | الأهداف الرئيسية | الأنشطة والتمارين المسموحة |
|---|---|---|---|
| المرحلة الأولى (الحماية والشفاء) | الأسبوع 1 إلى 2 | السيطرة على الألم والتورم، التئام الجرح، استعادة المشي الطبيعي. | الراحة النسبية، استخدام الثلج، المشي الخفيف (قد يُستخدم عكاز في الأيام الأولى للراحة)، تمارين حركية خفيفة جداً للورك دون ألم. |
| المرحلة الثانية (استعادة المدى الحركي) | الأسبوع 3 إلى 6 | استعادة المدى الحركي الكامل لمفصل الورك، بدء التقوية اللطيفة. | ركوب الدراجة الثابتة، السباحة (بدون ركلات ضفدع)، تمارين الإطالة اللطيفة، تمارين القوة المتساوية (Isometric) لعضلات الفخذ والبطن. |
| المرحلة الثالثة (التقوية المتقدمة) | الأسبوع 7 إلى 10 | تقوية العضلات المقربة المتبقية، تحسين التوازن، الاستقرار الأساسي (Core). | تمارين المقاومة المتزايدة (بأشرطة المقاومة أو الأوزان الخفيفة)، الاندفاع (Lunges)، تمارين التوازن، الهرولة الخفيفة في خط مستقيم. |
| المرحلة الرابعة (العودة للرياضة) | الأسبوع 11 إلى 16+ | العودة الكاملة للأنشطة الرياضية التنافسية بدون ألم. | الجري السريع (Sprinting)، تمارين تغيير الاتجاه (Cutting drills)، ركل الكرة تدريجياً، التدريبات الخاصة بنوع الرياضة الممارسة. |
ملاحظة: هذا الجدول هو دليل استرشادي، ويتم تخصيصه لكل مريض بناءً على تقدمه الفردي وتقييم الدكتور هطيف وأخصائي العلاج الطبيعي.
لماذا تختار الأستاذ الدكتور محمد هطيف لإجراء هذه الجراحة؟
عندما يتعلق الأمر بالتدخل الجراحي في منطقة حساسة ومعقدة تشريحياً مثل منطقة الأربية والفخذ، فإن اختيار الجراح هو القرار الأهم في رحلة علاجك. الأستاذ الدكتور محمد هطيف يمثل الخيار الأول والأكثر موثوقية في اليمن للأسباب التالية:
- المرجعية الأكاديمية والخبرة الطويلة: بصفته أستاذ جراحة العظام والمفاصل في جامعة صنعاء، يجمع الدكتور هطيف بين المعرفة الأكاديمية الحديثة المبنية على الأدلة (Evidence-Based Medicine) والخبرة السريرية العملية التي تتجاوز العشرين عاماً في غرف العمليات.
- استخدام أحدث التقنيات الجراحية: يتميز الدكتور هطيف باستخدام تقنيات الجراحة المجهرية (Microsurgery) ومناظير المفاصل بتقنية 4K (Arthroscopy 4K)، بالإضافة إلى خبرته الواسعة في جراحات تغيير المفاصل (Arthroplasty). هذا المستوى من التجهيز والمهارة يضمن دقة جراحية لا مثيل لها.
- الأمانة الطبية والنهج الأخلاقي: يُعرف الدكتور هطيف في الأوساط الطبية وبين مرضاه بالأمانة المطلقة. فهو لا ينصح بالجراحة إلا إذا كانت هي الحل الأمثل والضروري لحالة المريض بعد استنفاد كافة الطرق التحفظية. صحة المريض ومصلحته هي البوصلة الوحيدة لقراراته الطبية.
- نتائج سريرية ممتازة: يمتلك الدكتور هطيف سجلاً حافلاً بالنجاحات في إعادة الرياضيين المحترفين والهواة إلى ملاعبهم بقوة وكفاءة بعد سنوات من المعاناة مع الألم المزمن.
قصص نجاح ملهمة من عيادة الأستاذ الدكتور محمد هطيف
(هذه الحالات مستوحاة من السجل الطبي لنجاحات الدكتور هطيف لبيان أثر الجراحة)
**قصة الكابتن "أحمد" (26
آلام الورك وتقييد حركته ليس قدراً محتوماً! التشخيص الدقيق والعلاج المتخصص يمكن أن يعيد لك كامل وظيفتك وحريتك في الحركة. لا تدع الألم يسيطر على حياتك.
للحصول على استشارة دقيقة وخطة علاجية مخصصة لحالتك، تواصل فوراً مع مركز الأستاذ الدكتور محمد هطيف:
الأستاذ الدكتور محمد هطيف - أفضل دكتور عظام في صنعاء، وخبير في جراحات استبدال مفصل الورك.. نلتزم بإعادتك لحياة خالية من الألم وورك قوي ووظيفي.
مواضيع أخرى قد تهمك