جراحة مفصل إبهام اليد بالتعليق الوتري FCR: حل فعال لخشونة الإبهام مع الأستاذ الدكتور محمد هطيف في صنعاء
الخلاصة الطبية
خشونة مفصل الإبهام CMC هي حالة مؤلمة تؤثر على قاعدة الإبهام. تتضمن جراحة التعليق الوتري FCR استئصال عظم المربعي وإعادة بناء المفصل باستخدام جزء من وتر الرسغ الكعبري المرن لتعليق إبهامك، مما يوفر تخفيفًا فعالًا للألم ويستعيد وظيفة اليد.
الخلاصة الطبية السريعة: خشونة مفصل الإبهام (CMC Osteoarthritis) هي حالة مرضية تنكسية ومؤلمة للغاية تؤثر بشكل مباشر على قاعدة الإبهام، مما يعيق حركة اليد ويضعف قوة القبضة. تتضمن جراحة التعليق الوتري (FCR Suspensionplasty) استئصال العظم المربعي (Trapezium) التالف، وإعادة بناء واستقرار المفصل باستخدام جزء من وتر الرسغ الكعبري المرن (FCR) لتعليق مشطية الإبهام. يوفر هذا الإجراء الجراحي الدقيق تخفيفًا جذريًا وفعالًا للألم، ويستعيد وظيفة اليد بشكل شبه كامل.
![]()
مقدمة شاملة عن خشونة مفصل إبهام اليد (CMC Arthritis) وتأثيرها على جودة الحياة
مرحبًا بكم، أيها المرضى الكرام والباحثون عن الرعاية الطبية الموثوقة. اليوم، نتعمق في تفاصيل حالة طبية شائعة جدًا ولكنها قد تكون معوقة بشدة وتؤثر على تفاصيل حياتنا اليومية: خشونة مفصل الإبهام الرسغي المربعي (Carpometacarpal Joint) المصحوبة بأعراض ألم مزمنة. يُعرف هذا المفصل أيضًا باسم "المفصل القاعدي للإبهام"، وهو المفصل الذي يربط عظم المشط الأول للإبهام بعظم الرسغ المربعي. يلعب هذا المفصل دورًا ميكانيكيًا حيويًا في جميع حركات اليد تقريبًا، بدءًا من الإمساك القوي بالأشياء الثقيلة، وصولًا إلى الحركات الدقيقة مثل الكتابة، أو فتح الأزرار، أو تدوير المفتاح في الباب.
عندما يتأثر هذا المفصل بالخشونة (تآكل الغضاريف)، تصبح المهام اليومية البسيطة التي كنا نقوم بها دون تفكير، مهامًا مؤلمة وصعبة للغاية، مما ينعكس سلبًا على الحالة النفسية والإنتاجية للمريض.
في مركز وعيادة الأستاذ الدكتور محمد هطيف في العاصمة اليمنية صنعاء، نُقدم أحدث الحلول الطبية والجراحية المتقدمة عالميًا لعلاج هذه المشكلة المعقدة. ومن أبرز هذه التدخلات وأكثرها نجاحًا هي جراحة "استئصال العظم المربعي مع التعليق الوتري باستخدام وتر الرسغ الكعبري المرن" (FCR Suspensionplasty). هذه الجراحة الدقيقة، عند إجرائها بأيدي خبير يمتلك فهمًا تشريحيًا عميقًا للوظيفة الحيوية لليد، يمكن أن تُحدث فرقًا هائلًا في جودة حياة المريض، وتُعيد له القدرة على استخدام يده بحرية وبدون أي ألم يذكر.
![]()
تهدف هذه المقالة الطبية الشاملة (Pillar Page) إلى تزويدكم بدليل مرجعي متكامل ومفصل حول خشونة مفصل الإبهام CMC. سنأخذكم في رحلة علمية مبسطة بدءًا من فهم التشريح المعقد للمفصل، مرورًا بالأسباب الخفية وعوامل الخطر، والأعراض السريرية، وطرق التشخيص الحديثة، وصولًا إلى استعراض كافة خيارات العلاج التحفظية والجراحية. وسنركز بشكل خاص على التفاصيل الدقيقة لجراحة التعليق الوتري FCR، ولماذا يُعد الأستاذ الدكتور محمد هطيف الخيار الأول والأفضل لإجراء هذه الجراحة الدقيقة في اليمن.
![]()
التشريح المعقد والدقيق لمفصل الإبهام القاعدي (CMC Joint)
لفهم سبب حدوث خشونة مفصل الإبهام وكيفية علاجها، من الضروري جدًا أن نُلقي نظرة تشريحية عميقة على هذا المفصل الفريد من نوعه في جسم الإنسان. مفصل الإبهام الرسغي المربعي (CMC) هو مفصل "سرجي الشكل" (Saddle Joint)، مما يعني أن الأسطح المفصلية للعظام تتداخل مع بعضها البعض مثل راكب يجلس على سرج حصان.
هذا التصميم التشريحي العبقري يمنح الإبهام نطاقًا واسعًا جدًا من الحركة في ثلاثة مستويات هندسية:
1. الثني والمد (Flexion & Extension): تحريك الإبهام عبر راحة اليد وبعيدًا عنها.
2. التبعيد والتقريب (Abduction & Adduction): رفع الإبهام بعيدًا عن اليد وتقريبه منها.
3. الدوران والمقابلة (Opposition): وهي الحركة الأهم التي تسمح للإبهام بلمس أطراف الأصابع الأخرى، وهي أساس قدرة الإنسان على الإمساك بالأشياء.
هذه المرونة الهائلة هي ما يجعل الإبهام أداة لا غنى عنها، ولكنها تأتي بتكلفة باهظة: قيود عظمية بسيطة للغاية. هذا يعني أن استقرار المفصل لا يعتمد على تداخل العظام العميق (مثل مفصل الورك)، بل يعتمد بشكل شبه كلي على شبكة الأربطة المحيطة به (Soft Tissue Restraints).
![]()
شبكة الأربطة المثبتة للإبهام
تُحيط بهذا المفصل شبكة معقدة وقوية من الأربطة. في الأدبيات الطبية، تم وصف ما يصل إلى 16 رباطًا مختلفًا في هذه المنطقة الصغيرة، منها 7 أربطة تُعتبر مثبتات أساسية لعظم المشط الأول (قاعدة الإبهام). تشمل هذه الأربطة الحيوية:
* الرباط المائل الأمامي السطحي والعميق (AOL): وهو الرباط الأهم والأكثر عرضة للإصابة والتراخي، وهو المسؤول الأول عن منع انزلاق المشطية.
* الرباط الكعبري الظهري (DRL): يوفر استقرارًا كبيرًا أثناء حركات الدوران.
* الرباط المائل الخلفي (POL).
* الرباط الجانبي الزندي (UCL).
* الأربطة بين المشطية (Intermetacarpal Ligaments).
الأربطة المتبقية تُثبت العظم المربعي (Trapezium) نفسه بعظام الرسغ الأخرى (مثل العظم القاربي وشبه المنحرف)، مما يوفر أساسًا صلبًا ومستقرًا لحركة الإبهام.
بالإضافة إلى العظام والأربطة، توجد هياكل عصبية ووعائية حيوية تمر بالقرب من هذا المفصل، أبرزها الشريان الكعبري (Radial Artery) والعصب الحسي الكعبري (Superficial Radial Nerve). يُولي الأستاذ الدكتور محمد هطيف اهتمامًا بالغًا وحذرًا شديدًا لهذه الهياكل الحساسة أثناء الجراحة المجهرية لضمان سلامتها التامة وتجنب أي مضاعفات عصبية أو وعائية.
![]()
![]()
الأسباب الجذرية وعوامل الخطر لخشونة مفصل الإبهام
خشونة المفاصل (Osteoarthritis)، أو ما يُعرف بالتهاب المفاصل التنكسي، هي مشكلة منتشرة بكثرة في جراحة اليد. ورغم أن المفاصل البعيدة بين سلاميات الأصابع (DIP joints) هي الأكثر تأثرًا عادةً بالخشونة، إلا أن مفصل الإبهام الرسغي المربعي (CMC)، الذي نركز عليه في هذا الدليل، غالبًا ما يكون أكثر إضعافًا وإعاقة للمريض بسبب دوره الحاسم في قوة القبضة والقرص.
يشكو المرضى من ألم مبرح وضعف كبير، مما يجعل المهام اليومية البسيطة مثل فتح غطاء برطمان زجاجي، أو تدوير مقبض الباب، أو حتى حمل كوب من الشاي، تجربة مؤلمة للغاية.
تتعدد العوامل والأسباب المسببة لهذه الحالة التنكسية، وتتداخل فيما بينها لتسريع تآكل الغضروف:
-
العوامل الميكانيكية الحيوية (Biomechanical Factors):
تتضاءل قدرة المفصل على تحمل الأحمال اليومية مع مرور الوقت. القوى المتولدة عند طرف الإبهام أثناء "القرص" (Pinch) تتضاعف بمقدار 10 إلى 12 مرة عند وصولها إلى مفصل قاعدة الإبهام (CMC). هذا الضغط الميكانيكي الهائل والمستمر يؤدي إلى تآكل طبقة الغضروف الأملس التي تغطي العظام. -
تراخي الرباط المائل الأمامي (AOL Attenuation):
غالبًا ما يكون حجر الزاوية في تطور هذا المرض هو ضعف وتراخي الرباط المائل الأمامي (AOL). عندما يضعف هذا الرباط (بسبب العمر أو الإصابات المتكررة)، يفقد المفصل استقراره ويبدأ عظم المشط الأول بالانزلاق (Subluxation) عن العظم المربعي. هذا الانزلاق يغير من ميكانيكية المفصل ويؤدي إلى احتكاك العظام ببعضها البعض (Bone-on-Bone)، مما يسرع من تدمير الغضروف. -
العوامل الهرمونية والجنس (Hormonal Factors):
هناك ارتباط إحصائي وطبي قوي جدًا بظهور هذه الحالة لدى النساء، خاصة بعد سن اليأس (Post-menopausal women). يشير هذا إلى أن هرمون الإستروجين (Estrogen) أو المركبات ذات الصلة قد تلعب دورًا وقائيًا للأربطة والغضاريف. تزداد نسبة الإصابة في هذه الفئة الديموغرافية (النساء فوق سن الـ 50) بمعدل يتراوح بين 10 إلى 15 ضعفًا مقارنة بالرجال. -
العوامل البيوكيميائية (Biochemical Factors):
تساهم السيتوكينات الالتهابية (Inflammatory Cytokines) الموجودة في السائل الزليلي (السائل اللزج الموجود داخل كبسولة المفصل) في تدهور مصفوفة الغضروف، مما يؤدي إلى تآكله تدريجيًا وفقدان قدرته على امتصاص الصدمات. -
العوامل الوراثية والتاريخ العائلي:
تلعب الجينات دورًا في تحديد جودة الغضاريف وقوة الأربطة. إذا كان أحد الوالدين يعاني من خشونة شديدة في مفاصل اليد، فإن احتمالية إصابة الأبناء ترتفع. -
الإجهاد المتكرر والإصابات السابقة:
المهن التي تتطلب استخدامًا مكثفًا ومتكررًا للإبهام (مثل الخياطة، الكتابة على لوحة المفاتيح، الحرف اليدوية، طب الأسنان) تزيد من خطر الإصابة. كذلك، الكسور السابقة أو الالتواءات الشديدة في قاعدة الإبهام تُعجل من ظهور الخشونة في المستقبل.
![]()
![]()
الأعراض السريرية ومراحل تطور المرض
لا تظهر خشونة مفصل الإبهام فجأة، بل هي عملية تنكسية تدريجية. تختلف الأعراض بناءً على مرحلة المرض، ولكن العرض الأساسي الذي يدفع المريض لزيارة عيادة الأستاذ الدكتور محمد هطيف هو الألم.
جدول توضيحي: تطور أعراض خشونة مفصل الإبهام (CMC Arthritis)
| المرحلة المرضية | الأعراض الرئيسية التي يشعر بها المريض | التغيرات التشريحية والميكانيكية |
|---|---|---|
| المراحل المبكرة (Early Stage) | - ألم خفيف إلى متوسط عند قاعدة الإبهام بعد الاستخدام المكثف. - ألم عند القيام بحركة "القرص" (مثل فتح مفتاح أو إمساك قلم). - تورم خفيف في المفصل بعد المجهود. |
- بداية تراخي الرباط المائل الأمامي (AOL). - تآكل سطحي بسيط في الغضروف المفصلي. - التهاب الغشاء الزليلي (Synovitis). |
| المراحل المتوسطة (Moderate Stage) | - ألم مستمر حتى أثناء الراحة في بعض الأحيان. - ضعف ملحوظ في قوة القبضة (Grip Strength). - سماع صوت طقطقة أو احتكاك (Crepitus) عند تحريك الإبهام. - تيبس صباحي في المفصل يزول بعد دقائق من الحركة. |
- تآكل متوسط في الغضروف وتضيق المسافة المفصلية. - بداية تكون النتوءات العظمية (Osteophytes). - انزلاق جزئي (Subluxation) لعظم المشط الأول. |
| المراحل المتقدمة (Advanced Stage) | - ألم شديد ومبرح يعيق النوم والأنشطة اليومية. - تشوه واضح في شكل الإبهام (تشوه حرف Z - Z-Deformity). - عدم القدرة على فتح البرطمانات أو الإمساك بالأشياء الثقيلة. - بروز عظمي واضح ومؤلم عند قاعدة الإبهام. |
- تآكل كامل للغضروف (احتكاك عظم بعظم). - نتوءات عظمية كبيرة تعيق الحركة. - انزلاق كامل للمفصل وتصلبه في وضعية غير طبيعية. - قد تمتد الخشونة للمفاصل المجاورة (STT Joint). |
![]()
التشخيص الدقيق في عيادة الأستاذ الدكتور محمد هطيف
يعتمد الأستاذ الدكتور محمد هطيف في تشخيصه لخشونة مفصل الإبهام على نهج علمي دقيق يجمع بين الاستماع الجيد لشكوى المريض، الفحص السريري الشامل، والتصوير الشعاعي المتقدم.
-
الفحص السريري (Clinical Examination):
- اختبار الطحن (Grind Test): هو الاختبار السريري الأشهر. يقوم الدكتور هطيف بالضغط المحوري على إبهام المريض وتدويره بلطف. إذا شعر المريض بألم حاد أو سمع صوت طقطقة (احتكاك العظام)، فهذا مؤشر قوي جدًا على وجود خشونة متقدمة.
- تقييم التشوه: فحص اليد بحثًا عن أي تورم، أو بروز عظمي، أو تشوه "Z" (حيث ينثني المفصل القاعدي للداخل بينما يفرط المفصل الأوسط في الامتداد).
- قياس قوة القبضة والقرص: باستخدام أجهزة قياس ديناميكية متخصصة لمقارنة قوة اليد المصابة باليد السليمة.
-
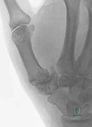
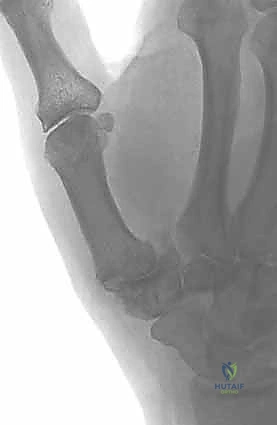
التصوير بالأشعة السينية (X-rays):
تُعد الأشعة السينية الأداة المعيارية الذهبية لتأكيد التشخيص وتحديد مرحلة المرض. يطلب الدكتور هطيف وضعيات تصوير محددة (مثل وضعية روبرت - Robert's View) لرؤية المفصل بوضوح. تُظهر الأشعة:- تضيق المسافة بين العظم المربعي وعظم المشط الأول (دليل على فقدان الغضروف).
- النتوءات العظمية (الزوائد العظمية).
- التصلب تحت الغضروفي (زيادة كثافة العظم نتيجة الاحتكاك).
- درجة انزلاق المفصل.
يستخدم الدكتور هطيف تصنيف إيتون-ليتلر (Eaton-Littler Classification) العالمي لتصنيف شدة الخشونة من المرحلة الأولى (I) إلى المرحلة الرابعة (IV)، وبناءً عليه يتم تحديد خطة العلاج الأنسب.
![]()
![]()
الخيارات العلاجية التحفظية (غير الجراحية)
يؤمن الأستاذ الدكتور محمد هطيف بمبدأ "الأمانة العلمية والطبية"، وهو مبدأ يقتضي عدم اللجوء إلى الجراحة إلا بعد استنفاد كافة الخيارات التحفظية، خاصة في المراحل المبكرة والمتوسطة من المرض. تشمل الخطة العلاجية التحفظية ما يلي:
- تعديل نمط الحياة والنشاط: توجيه المريض لتجنب الحركات التي تزيد الضغط على الإبهام، واستخدام أدوات مساعدة (مثل فتاحات العلب الكهربائية، أو مقابض الأبواب الكبيرة).
- الجبائر الطبية المتخصصة (Thumb Spica Splint): ارتداء جبيرة مخصصة تدعم قاعدة الإبهام وتريحه، خاصة أثناء الليل أو أثناء أداء المهام المجهدة. تساعد الجبيرة في تقليل الالتهاب والألم.
- العلاج الدوائي: استخدام مضادات الالتهاب غير الستيرويدية (NSAIDs) الموضعية أو الفموية لتخفيف الألم وتورم المفصل.
- الحقن الموضعي داخل المفصل (Intra-articular Injections):
- حقن الكورتيزون (Corticosteroids): توفر راحة سريعة وفعالة من الألم والالتهاب، وقد يستمر تأثيرها لعدة أشهر. تُستخدم بحذر وتحت توجيه الأشعة لضمان دقة الحقن.
- حقن البلازما الغنية بالصفائح الدموية (PRP) أو حمض الهيالورونيك: تُستخدم في بعض الحالات لتحفيز التئام الأنسجة أو تزييت المفصل، رغم أن نتائجها تتفاوت من مريض لآخر.
- العلاج الطبيعي والتأهيل: تمارين محددة لتقوية العضلات المحيطة بالإبهام (مثل عضلات الرانفة - Thenar muscles) لتحسين استقرار المفصل وتقليل الحمل على الأربطة الضعيفة.
عندما تفشل هذه العلاجات التحفظية في توفير راحة كافية للمريض، ويصبح الألم معيقًا للحياة اليومية والنوم، يصبح التدخل الجراحي هو الحل الأمثل والنهائي.
التدخل الجراحي: جراحة مفصل إبهام اليد بالتعليق الوتري FCR
تُعد جراحة استئصال العظم المربعي مع إعادة بناء الأربطة والتعليق الوتري (Trapeziectomy with Ligament Reconstruction and Tendon Interposition - LRTI / FCR Suspensionplasty) المعيار الذهبي (Gold Standard) عالميًا لعلاج خشونة مفصل الإبهام المتقدمة.
يتميز الأستاذ الدكتور محمد هطيف بخبرة واسعة تتجاوز 20 عامًا في إجراء هذه الجراحة المعقدة، مستخدمًا أحدث تقنيات الجراحة المجهرية الدقيقة لضمان أفضل النتائج بأقل قدر من المضاعفات.
![]()
لماذا يتم استئصال العظم المربعي؟
المشكلة الأساسية في خشونة هذا المفصل هي احتكاك عظم المشط الأول (قاعدة الإبهام) بالعظم المربعي (Trapezium) بعد تآكل الغضروف بينهما. إزالة العظم المربعي بالكامل تقضي على هذا الاحتكاك، وبالتالي تقضي على مصدر الألم بشكل جذري.
ما هو التحدي بعد الاستئصال؟ ولماذا التعليق الوتري؟
إذا تم إزالة العظم المربعي فقط وترك الفراغ مكانه، فإن عظم المشط الأول للإبهام سوف ينزلق للأسفل (يهبط) باتجاه عظم القارب (Scaphoid) بسبب قوة الشد العضلي. هذا الهبوط يؤدي إلى قصر طول الإبهام، وضعف شديد في قوة القبضة، وقد يسبب ألمًا جديدًا نتيجة احتكاك المشطية بعظم القارب.
هنا يأتي دور العبقرية الجراحية في تقنية التعليق الوتري FCR. يتم استخدام جزء (شريحة) من وتر العضلة المثنية للرسغ الكعبرية (Flexor Carpi Radialis Tendon)، وهو وتر قريب ومتاح في المعصم ولن يؤثر أخذ جزء منه على وظيفة اليد. يتم استخدام هذا الوتر كـ "أرجوحة" أو "حبل تعليق" لربط قاعدة المشط الأول ومنعه من الهبوط في الفراغ الذي تركه العظم المربعي. الجزء المتبقي من الوتر يتم لفه ووضعه كـ "وسادة" (Interposition) داخل الفراغ لمنع احتكاك العظام.
![]()
خطوات العملية الجراحية بالتفصيل (بقيادة أ.د. محمد هطيف):
- التخدير والتحضير: تتم الجراحة عادة تحت التخدير الموضعي (الضفيرة العضدية) أو التخدير العام، حسب حالة المريض وتفضيله. يتم تعقيم اليد وتطبيق عاصبة (Tourniquet) لتقليل النزيف وضمان رؤية واضحة.
- الشق الجراحي: يقوم الدكتور هطيف بعمل شق جراحي دقيق وتجميلي (غالبًا متعرج أو على طول خطوط الجلد) فوق مفصل قاعدة الإبهام. يتم إيلاء عناية فائقة لحماية الفروع الحسية للعصب الكعبري والشريان الكعبري.
- استئصال العظم المربعي (Trapeziectomy): يتم فتح كبسولة المفصل، وفصل الأربطة بعناية، ثم يتم استئصال العظم المربعي (Trapezium) التالف بالكامل أو جزئيًا باستخدام أدوات جراحية دقيقة جدًا لتجنب الإضرار بالعظام المجاورة.

- تجهيز الوتر (Harvesting the FCR Tendon): يتم عمل شق صغير آخر في الساعد لاستخراج نصف سماكة وتر الرسغ الكعبري المرن (FCR). يتم تمرير هذا الشريط الوتري تحت الجلد ليصل إلى منطقة الجراحة في قاعدة الإبهام.
- التعليق الوتري (Suspensionplasty): يتم حفر ثقب صغير ودقيق في قاعدة عظم المشط الأول. يتم تمرير شريط الوتر (FCR) عبر هذا الثقب، ثم يُسحب بإحكام ويُخاط على نفسه أو على السمحاق المحيط. هذه الخطوة الحيوية هي التي ترفع الإبهام وتعلقه، مانعةً إياه من الهبوط.
![تقنية التعليق الوتري الدقيقة في جراحة الإبهام](/media/hutaif_opertive/hutaif-ch83-thumb-carpometa-p2834-eba
آلام العظام والمفاصل وتقييد حركتها ليس قدراً محتوماً! التشخيص الدقيق والعلاج المتخصص يمكن أن يعيد لك كامل وظيفتك وحريتك في الحركة. لا تدع الألم يسيطر على حياتك.
للحصول على استشارة دقيقة وخطة علاجية مخصصة لحالتك، تواصل فوراً مع مركز الأستاذ الدكتور محمد هطيف:
الأستاذ الدكتور محمد هطيف - أفضل دكتور عظام في صنعاء، وخبير في جراحات العظام والمفاصل والعمود الفقري.. نلتزم بإعادتك لحياة خالية من الألم وحركة طبيعية.
مواضيع أخرى قد تهمك