جراحة استبدال رأس الزند الصناعي: حل شامل لآلام وعدم استقرار مفصل الرسغ

الخلاصة الطبية
جراحة استبدال رأس الزند الصناعي هي إجراء جراحي متقدم لاستعادة استقرار ووظيفة مفصل الزند والكعبرة البعيد وتخفيف الألم المزمن. تتضمن العملية إزالة الجزء التالف من رأس الزند واستبداله بزرع صناعي، ويُعد الأستاذ الدكتور محمد هطيف رائدًا في هذه التقنية بصنعاء.
الخلاصة الطبية السريعة: جراحة استبدال رأس الزند الصناعي هي إجراء جراحي دقيق ومتقدم يهدف إلى استعادة استقرار ووظيفة مفصل الزند والكعبرة البعيد (DRUJ) وتخفيف الألم المزمن والموهن. تتضمن هذه العملية إزالة الجزء التالف أو المتآكل من رأس الزند واستبداله بزرع صناعي متطور يحاكي التشريح الطبيعي. يُعد الأستاذ الدكتور محمد هطيف، أستاذ جراحة العظام بجامعة صنعاء، رائدًا في هذه التقنية المعقدة في اليمن، حيث يجمع بين الخبرة التي تتجاوز 20 عامًا واستخدام أحدث التقنيات الجراحية لضمان أفضل النتائج للمرضى.

مقدمة شاملة: تعقيد مفصل الرسغ وأهمية التدخل الجراحي
يُعد مفصل الرسغ والساعد من أكثر البنيات التشريحية تعقيدًا ودقة في جسم الإنسان. إنه يلعب دورًا محوريًا في كل حركة تقوم بها يدك، بدءًا من الحركات الدقيقة مثل الكتابة أو الإمساك بإبرة، وصولاً إلى الحركات القوية مثل رفع الأثقال أو استخدام الأدوات الثقيلة. عندما يتعرض هذا النظام الميكانيكي الحيوي الدقيق للألم أو عدم الاستقرار، فإن جودة حياة المريض تتأثر بشكل جذري.
في قلب هذه المشكلات الميكانيكية غالبًا ما يكمن مفصل الزند والكعبرة البعيد (Distal Radioulnar Joint - DRUJ). هذا المفصل المحوري هو المسؤول الأول عن حركات دوران الساعد.

تُعد جراحة استبدال رأس الزند الصناعي (Ulnar Head Replacement) حلاً ثوريًا ومتقدمًا للمرضى الذين يعانون من آلام مزمنة وعدم استقرار شديد في هذا المفصل، خاصة أولئك الذين استنفدوا خيارات العلاج التحفظي أو عانوا من فشل عمليات جراحية سابقة (مثل عمليات الاستئصال القديمة). هذه الجراحة لا تقتصر على مجرد إزالة العظم التالف؛ بل هي عملية "إعادة بناء" شاملة تهدف إلى استعادة التوازن الميكانيكي، وتخفيف الألم، وإعادة القدرة على الحركة الطبيعية للساعد.
في العاصمة اليمنية صنعاء، يبرز اسم الأستاذ الدكتور محمد هطيف كمرجع طبي أول وأفضل جراح عظام متخصص في هذا النوع من العمليات الدقيقة. بفضل خلفيته الأكاديمية القوية (أستاذ في جامعة صنعاء) وخبرته السريرية والجراحية التي تمتد لعقدين من الزمان، يقدم الدكتور هطيف مستوى من الرعاية يضاهي المراكز العالمية، معتمدًا على الصدق الطبي التام والتقنيات الحديثة مثل الجراحة المجهرية ومناظير المفاصل بدقة 4K.

التشريح الميكانيكي الحيوي: فهم مفصل الزند والكعبرة البعيد (DRUJ)
لفهم أهمية جراحة استبدال رأس الزند، يجب أولاً التعمق في تشريح الساعد والرسغ. يتكون الساعد من عظمين طويلين: الكعبرة (Radius) والزند (Ulna).

مفصل الزند والكعبرة البعيد (DRUJ) هو المفصل الذي يربط بين هذين العظمين بالقرب من الرسغ. وظيفته الأساسية هي السماح للكعبرة بالدوران حول الزند الثابت نسبيًا. هذا الدوران هو ما يسمح لك بقلب راحة يدك لأعلى (الاستلقاء - Supination) أو لأسفل (الكب - Pronation).
دور مجمع الغضروف الليفي الثلاثي (TFCC)
لا يمكن الحديث عن مفصل الزند دون ذكر مجمع الغضروف الليفي الثلاثي (Triangular Fibrocartilage Complex - TFCC). هذا المجمع عبارة عن شبكة معقدة من الأربطة والغضاريف التي تعمل كـ "وسادة" و "مثبت" رئيسي لمفصل الزند والكعبرة البعيد.

عندما يتم تدمير رأس الزند بسبب التهاب المفاصل، أو عندما يتم استئصاله في جراحات سابقة، يفقد الـ TFCC نقطة ارتكازه، مما يؤدي إلى عدم استقرار كارثي في الساعد. هنا تبرز عبقرية الأستاذ الدكتور محمد هطيف في الجراحة، حيث لا يقوم فقط بتركيب المفصل الصناعي، بل يعمل على إعادة بناء وتثبيت الأنسجة الرخوة والأربطة المحيطة لضمان استقرار المفصل الجديد.

الأسباب الجذرية ودواعي التدخل الجراحي
تتعدد الأسباب التي تؤدي إلى تدمير مفصل الزند والكعبرة البعيد وتستدعي تدخلاً جراحيًا متقدمًا لاستبدال رأس الزند. يقسم الأستاذ الدكتور محمد هطيف هذه الحالات إلى عدة فئات رئيسية:
1. الفصال العظمي (التهاب المفاصل التنكسي)
مع التقدم في العمر أو نتيجة للاستخدام المفرط، يتآكل الغضروف الأملس الذي يغطي رأس الزند والشق السيني للكعبرة. يؤدي هذا إلى احتكاك العظم بالعظم، مما يسبب ألمًا مبرحًا، وتورمًا، وتيبسًا في حركة الدوران.

2. التهاب المفاصل الروماتويدي (Rheumatoid Arthritis)
مرض مناعي ذاتي يهاجم الغشاء الزلالي المبطن للمفاصل. مفصل الزند والكعبرة البعيد هو أحد الأهداف الشائعة لهذا المرض، مما يؤدي إلى تدمير سريع للغضاريف والعظام والأربطة المحيطة، وينتج عنه تشوه وعدم استقرار شديد (غالبًا ما يظهر كبروز ملحوظ لرأس الزند في ظهر الرسغ).
3. الصدمات والكسور المعقدة
الكسور التي تصيب أسفل الكعبرة أو الزند (مثل كسر كوليس أو كسر جاليازي) إذا لم تلتئم بشكل صحيح، يمكن أن تغير الميكانيكا الحيوية للمفصل، مما يؤدي إلى تآكل سريع (التهاب المفاصل ما بعد الصدمة).

4. متلازمة انحشار الزند (Ulnar Impingement Syndrome) بعد الجراحات السابقة
هذا هو أحد أكثر الأسباب شيوعًا للجوء إلى استبدال رأس الزند الصناعي. تاريخيًا، كانت الجراحات القديمة مثل إجراء داراش (Darrach procedure) أو إجراء سوفي-كاباندجي (Sauvé-Kapandji) تعتمد على قص واستئصال جزء من عظم الزند لتخفيف الألم.
بينما كانت هذه العمليات تنجح مؤقتًا، إلا أنها على المدى الطويل تؤدي إلى مشكلة كبرى: عدم استقرار جذع الزند المتبقي. يبدأ جذع الزند المقطوع في التأرجح والاصطدام بعظم الكعبرة أثناء الحركة، مما يحفر تجويفًا مؤلمًا في الكعبرة.

يؤدي هذا الانحشار إلى:
* ألم شديد ومستمر.
* ضعف كارثي في قوة القبضة (Grip Strength).
* صعوبة بالغة في حمل الأشياء.
* شعور بـ "طقطقة" أو "فرقعة" مؤلمة عند تدوير الساعد.
الأعراض والعلامات السريرية: متى يجب زيارة الطبيب؟
المرضى الذين يحتاجون إلى تقييم من قبل الأستاذ الدكتور محمد هطيف عادة ما يعانون من مجموعة من الأعراض الموهنة التي تؤثر على حياتهم اليومية:
- ألم عميق ومستمر: يتركز في الجانب الزندي من الرسغ (جهة الإصبع الصغير)، يزداد سوءًا عند تدوير الساعد أو محاولة فتح الأبواب أو عصر الملابس.
- فقدان قوة القبضة: يجد المريض صعوبة في الإمساك بالأشياء بقوة، وقد تسقط الأشياء من يده فجأة بسبب الألم.
- علامة مفتاح البيانو (Piano Key Sign): عند الضغط على رأس الزند البارز في ظهر الرسغ، فإنه ينخفض لأسفل ثم يرتد لأعلى بمجرد إزالة الضغط، تمامًا مثل مفتاح البيانو. هذا دليل قاطع على عدم استقرار المفصل وتمزق الأربطة.
- نطاق حركة مقيد: عدم القدرة على تدوير الساعد بالكامل (صعوبة في استلام الباقي من البائع، أو غسل الوجه).
- أصوات طقطقة وفرقعة: تُسمع وتُحس أثناء الحركة، ناتجة عن احتكاك العظام ببعضها.

التشخيص الدقيق: نهج الأستاذ الدكتور محمد هطيف
يبدأ العلاج الناجح بتشخيص دقيق. يتميز الأستاذ الدكتور محمد هطيف بنهجه الشامل في التقييم، والذي يتضمن:
1. الفحص السريري الشامل
يستمع الدكتور هطيف بعناية لتاريخ المريض الطبي، ويقوم بإجراء اختبارات فيزيائية دقيقة لتقييم مدى الحركة، وقوة القبضة، وتحديد نقاط الألم الدقيقة، واختبار استقرار المفصل (مثل اختبار إجهاد الـ DRUJ).
2. التصوير بالأشعة السينية (X-rays)
تُعد الأشعة السينية الخطوة الأولى والأساسية. توضح التآكل الغضروفي، وتكّون النتوءات العظمية، والتغيرات في محاذاة العظام. يقوم الدكتور هطيف بطلب صور في وضعيات محددة (أثناء الكب والاستلقاء) لتقييم الديناميكية الحركية.

3. التصوير المقطعي المحوسب (CT Scan)
يوفر التصوير المقطعي رؤية ثلاثية الأبعاد مفصلة للغاية للعظام. إنه ضروري لتقييم شكل الشق السيني في الكعبرة، وتحديد مدى التآكل، والتخطيط الجراحي الدقيق لاختيار حجم ونوع المفصل الصناعي المناسب.
4. التصوير بالرنين المغناطيسي (MRI)
يُستخدم الرنين المغناطيسي لتقييم الأنسجة الرخوة، خاصة مجمع الغضروف الليفي الثلاثي (TFCC) والأربطة المحيطة، للتأكد من مدى الضرر وما إذا كانت تحتاج إلى إصلاح أثناء جراحة استبدال المفصل.

الخيارات العلاجية: التحفظية مقابل الجراحية
قبل اللجوء إلى الجراحة، يتم دائمًا تقييم الخيارات التحفظية. ومع ذلك، في حالات التلف الشديد أو عدم الاستقرار المزمن، تكون الجراحة هي الحل الوحيد الفعال.
جدول مقارنة: العلاج التحفظي مقابل جراحة استبدال رأس الزند
| الميزة / العلاج | العلاج التحفظي (أدوية، جبائر، حقن) | جراحة استبدال رأس الزند الصناعي (مع أ.د. محمد هطيف) |
|---|---|---|
| الهدف الأساسي | تخفيف الألم المؤقت وتقليل الالتهاب. | حل جذري للألم واستعادة الميكانيكا الحيوية للمفصل. |
| الفعالية على المدى الطويل | منخفضة في حالات التآكل الشديد أو عدم الاستقرار. | عالية جداً؛ توفر حلاً دائماً ومستقراً. |
| استعادة قوة القبضة | لا تحسن قوة القبضة بشكل ملحوظ. | تحسن كبير في قوة القبضة بفضل استعادة نقطة الارتكاز. |
| نطاق الحركة | قد يظل مقيداً بسبب الألم والتشوه العظمي. | استعادة نطاق حركة شبه طبيعي (الكب والاستلقاء). |
| منع التدهور المستقبلي | لا تمنع تآكل عظم الكعبرة (في حالات انحشار الزند). | تمنع انحشار الزند وتحمي عظم الكعبرة من التآكل. |
| المخاطر | آثار جانبية للأدوية، تلف الأنسجة من كثرة الكورتيزون. | مخاطر جراحية عامة (عدوى، تخلخل) يتم تقليلها بخبرة الجراح. |

لماذا تعتبر جراحة استبدال رأس الزند الصناعي الخيار الأمثل؟
في الماضي، كانت جراحات الإنقاذ (Salvage procedures) مثل إزالة رأس الزند بالكامل (عملية داراش) هي السائدة. ورغم أنها تخفف الألم الأولي، إلا أنها تترك المريض بساعد ضعيف وغير مستقر.
مزايا الاستبدال الصناعي التي يقدمها الأستاذ الدكتور محمد هطيف تشمل:
1. الحفاظ على الطول التشريحي: يمنع قصر الساعد ويحافظ على التوازن العضلي.
2. توفير نقطة ارتكاز ناعمة: يتحرك عليها عظم الكعبرة بسلاسة وبدون ألم.
3. دعم الأربطة: يوفر المفصل الصناعي هيكلاً يمكن إعادة ربط الأربطة (TFCC) به، مما يعيد الاستقرار الكامل.

خطوات جراحة استبدال رأس الزند الصناعي بالتفصيل
تتطلب هذه الجراحة دقة متناهية وفهمًا عميقًا للتشريح الدقيق لليد والرسغ، وهو ما يميز الأستاذ الدكتور محمد هطيف كأستاذ جامعي وخبير في الجراحة المجهرية.
1. التحضير والتخدير
تُجرى العملية عادة تحت التخدير الموضعي (تخدير الضفيرة العضدية) أو التخدير العام. يتم استخدام عاصبة (Tourniquet) لتقليل النزيف وتوفير رؤية واضحة للمجال الجراحي.

2. الشق الجراحي والوصول للمفصل
يقوم الدكتور هطيف بعمل شق طولي دقيق على الجانب الزندي من الرسغ. يتم إبعاد الأوتار والأعصاب (خاصة العصب الزندي الظهري) بعناية فائقة باستخدام تقنيات الجراحة المجهرية لتجنب أي ضرر.

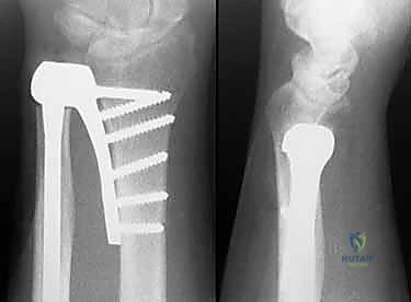
3. إزالة العظم التالف وتحضير القناة
يتم فتح كبسولة المفصل. إذا كان رأس الزند موجودًا ولكنه مشوه، يتم قصه باستخدام منشار جراحي دقيق. في الحالات التي تم فيها استئصال رأس الزند مسبقًا، يتم تنظيف جذع الزند المتبقي. بعد ذلك، يتم تحضير القناة النخاعية داخل عظم الزند باستخدام مباسط (Broaches) متدرجة الحجم لاستقبال جذع المفصل الصناعي.

4. اختيار وتجربة المفصل الصناعي (Sizing and Trialing)
هذه خطوة حاسمة. يقوم الدكتور هطيف بوضع نماذج تجريبية (Trials) للمفصل الصناعي بأحجام مختلفة. يتم اختبار حركة الساعد (الكب والاستلقاء) للتأكد من السلاسة، والاستقرار، وعدم وجود أي احتكاك، والتأكد من استعادة الطول الصحيح للزند.

5. زراعة المفصل النهائي
بعد تحديد الحجم المثالي، يتم إدخال المفصل الصناعي النهائي. تتكون معظم المفاصل الحديثة من جذع معدني (غالبًا من التيتانيوم) ورأس أملس (قد يكون معدنيًا أو من السيراميك أو البايروكربون). يتم تثبيت الجذع داخل العظم إما بالضغط (Press-fit) أو باستخدام الأسمنت العظمي، حسب جودة عظام المريض.

6. إعادة بناء الأنسجة الرخوة (الخطوة الأهم للاستقرار)
ما يميز الجراح الخبير هو كيفية تعامله مع الأنسجة الرخوة. يقوم الأستاذ الدكتور محمد هطيف بخياطة وإعادة ربط كبسولة المفصل ومجمع الغضروف الليفي الثلاثي (TFCC) حول المفصل الصناعي الجديد. يتم تمرير خيوط قوية عبر ثقوب مخصصة في المفصل الصناعي لضمان تثبيت الأربطة بشكل محكم، مما يمنع خلع المفصل مستقبلاً.

7. الإغلاق
يتم إغلاق الشق الجراحي في طبقات تجميلية دقيقة لتقليل الندبات، وتوضع ضمادة معقمة وجبيرة لحماية الرسغ أثناء بداية مرحلة الشفاء.

أنواع المفاصل الصناعية لرأس الزند
تطورت تكنولوجيا المفاصل الصناعية بشكل كبير. يختار الأستاذ الدكتور محمد هطيف أفضل المواد المعتمدة عالميًا لضمان ديمومة المفصل:
- المفاصل المعدنية (Titanium / Cobalt-Chrome): توفر قوة تحمل عالية ومقاومة للتآكل.
- مفاصل البايروكربون (Pyrocarbon): مادة متطورة لها خصائص مرونة مشابهة للعظم الطبيعي، مما يقلل من تآكل عظم الكعبرة المقابل ويوفر حركة سلسة للغاية.
- المفاصل المعيارية (Modular Implants): تسمح بتركيب أحجام مختلفة من الرأس والجذع لتناسب تشريح كل مريض بدقة متناهية.

بروتوكول إعادة التأهيل والعلاج الطبيعي
الجراحة الناجحة هي نصف المعركة؛ النصف الآخر هو الالتزام الصارم ببرنامج إعادة التأهيل. يشرف الأستاذ الدكتور محمد هطيف شخصيًا على وضع خطة العلاج الطبيعي لكل مريض.
المرحلة الأولى (الأسابيع 1-2): الحماية والالتئام
- يتم وضع الساعد في جبيرة طويلة (فوق الكوع) لمنع حركة الدوران وحماية الأربطة التي تم إصلاحها.
- يُسمح بحركة الأصابع والكتف لمنع التيبس.
- التركيز على تقليل التورم والسيطرة على الألم.

المرحلة الثانية (الأسابيع 3-6): استعادة الحركة اللطيفة
- يتم استبدال الجبيرة الطويلة بجبيرة قصيرة قابلة للإزالة.
- يبدأ المريض في تمارين الحركة السلبية والنشطة المساعدة لتدوير الساعد (الكب والاستلقاء) تحت إشراف أخصائي العلاج الطبيعي.
- يُمنع رفع الأثقال أو تحميل الوزن على الرسغ تمامًا.

المرحلة الثالثة (الأسابيع 6-12): التقوية
- يتم التخلص التدريجي من الجبيرة.
- تبدأ تمارين تقوية العضلات المحيطة بالرسغ والساعد.
- يتم إدخال تمارين المقاومة الخفيفة لزيادة قوة القبضة.
المرحلة الرابعة (بعد 3 أشهر): العودة للأنشطة
- يعود المريض تدريجيًا إلى أنشطته اليومية والمهنية.
- قد يستغرق التعافي الكامل والوصول إلى أقصى قوة ونطاق حركة من 6 إلى 12 شهرًا.

المخاطر والمضاعفات المحتملة
كما يشدد الأستاذ الدكتور محمد هطيف، انطلاقًا من مبدأ الصدق الطبي، فإن كل تدخل جراحي يحمل نسبة من المخاطر، رغم أن معدلات نجاح هذه العملية عالية جداً. تشمل المخاطر المحتملة:
- العدوى: يتم تقليل هذا الخطر من خلال استخدام المضادات الحيوية الوقائية والتعقيم الصارم في غرف العمليات الحديثة.
- تخلخل المفصل (Loosening): بمرور الوقت، قد ينفصل المفصل الصناعي عن العظم، مما قد يتطلب جراحة مراجعة.
- عدم الاستقرار المستمر: إذا لم تلتئم الأربطة (TFCC) بشكل صحيح، قد يستمر الشعور بعدم الاستقرار.
- تيبس المفصل: يمكن تجنبه بالالتزام الصارم ببرنامج العلاج الطبيعي.
- إصابة الأعصاب أو الأوعية الدموية: خطر نادر جداً بفضل استخدام تقنيات الجراحة المجهرية الدقيقة من قبل الدكتور هطيف.

لماذا الأستاذ الدكتور محمد هطيف هو الخيار الأول في اليمن؟ (E-E-A-T)
عندما يتعلق الأمر بجراحة دقيقة ومعقدة مثل استبدال رأس الزند، فإن اختيار الجراح هو العامل الحاسم في نجاح العملية. يمثل
آلام العظام والمفاصل وتقييد حركتها ليس قدراً محتوماً! التشخيص الدقيق والعلاج المتخصص يمكن أن يعيد لك كامل وظيفتك وحريتك في الحركة. لا تدع الألم يسيطر على حياتك.
للحصول على استشارة دقيقة وخطة علاجية مخصصة لحالتك، تواصل فوراً مع مركز الأستاذ الدكتور محمد هطيف:
الأستاذ الدكتور محمد هطيف - أفضل دكتور عظام في صنعاء، وخبير في جراحات العظام والمفاصل والعمود الفقري.. نلتزم بإعادتك لحياة خالية من الألم وحركة طبيعية.
مواضيع أخرى قد تهمك