قطع عظم الساق فوق الكاحل: الحل الأمثل لتشوهات الكاحل المعقدة مع الأستاذ الدكتور محمد هطيف

الخلاصة الطبية
قطع عظم الساق فوق الكاحل هو إجراء جراحي دقيق يصحح تشوهات الكاحل الزاوية، مثل التقوس للداخل أو الخارج، لمنع الألم المزمن والتهاب المفاصل. يقوم الأستاذ الدكتور محمد هطيف بإجراء هذه الجراحة لاستعادة المحاذاة الطبيعية وتحسين نوعية حياة المرضى.
الخلاصة الطبية السريعة: جراحة قطع عظم الساق فوق الكاحل (Supramalleolar Osteotomy) هي إجراء جراحي دقيق ومتقدم يهدف إلى تصحيح تشوهات الكاحل الزاوية (مثل التقوس للداخل أو الخارج)، بهدف إعادة توزيع الضغط الميكانيكي على المفصل، ومنع الألم المزمن، وتأخير أو منع الإصابة بخشونة والتهاب مفاصل الكاحل. يعتبر الأستاذ الدكتور محمد هطيف، أستاذ جراحة العظام والمفاصل بجامعة صنعاء، الخبير الأول والرائد في اليمن في إجراء هذه الجراحات المعقدة، معتمداً على خبرة تتجاوز 20 عاماً، وتقنيات الجراحة الميكروسكوبية، والمناظير بدقة 4K، لضمان استعادة المحاذاة الطبيعية وتحسين نوعية حياة المرضى جذرياً.


مقدمة شاملة: الفهم العميق لجراحة قطع عظم الساق فوق الكاحل
أهلاً بكم أيها الباحثون عن الشفاء والتعافي الكامل، في هذا الدليل الطبي الشامل والمفصل الذي يسلط الضوء على واحد من أهم وأدق الإجراءات الجراحية المتقدمة في مجال جراحة العظام الحديثة: قطع عظم الساق فوق الكاحل (Distal Tibial Supramalleolar Osteotomy). إنها ليست مجرد جراحة تقليدية، بل هي هندسة حيوية دقيقة مصممة لتصحيح التشوهات الزاوية والميكانيكية في الجزء السفلي من عظم الساق. هذه التشوهات، إذا تُركت دون تشخيص دقيق وعلاج جراحي احترافي، تؤدي حتماً إلى آلام مبرحة، قيود وظيفية وحركية شديدة، وتطور مبكر وسريع لالتهاب مفاصل الكاحل التآكلي (الخشونة المتقدمة).
الهدف الأساسي والجوهري من هذا التدخل الجراحي هو استعادة المحور الميكانيكي الطبيعي للساق والمحاذاة السليمة لمفصل الكاحل. من خلال إعادة توجيه القوى الميكانيكية التي تعبر المفصل أثناء المشي والوقوف، نتمكن من الحفاظ على الغضروف المفصلي المتبقي، إنقاذ المفصل من التآكل الكامل، وتأجيل أو إلغاء الحاجة إلى عمليات أكثر تعقيداً مثل دمج الكاحل أو تغيير المفصل الصناعي.

التشريح الحيوي والميكانيكا الحيوية لمفصل الكاحل
لفهم أهمية هذه الجراحة، يجب أن نغوص في التشريح المعقد لمفصل الكاحل. يتكون مفصل الكاحل من التقاء ثلاثة عظام رئيسية:
1. عظمة الساق الكبرى (Tibia): وتحديداً الجزء السفلي منها الذي يرتكز عليه وزن الجسم بالكامل.
2. عظمة الشظية (Fibula): العظمة الجانبية الصغرى التي تساهم في استقرار المفصل.
3. عظمة الكاحل (Talus): العظمة التي تربط الساق بالقدم وتسمح بحركة الانثناء والانبساط.
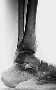
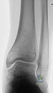
عندما يكون المحور الميكانيكي للساق مستقيماً، يتوزع وزن الجسم بالتساوي على سطح الغضروف المفصلي لعظمة الكاحل. ولكن، في حال وجود تشوه زاوي (سواء تقوس للداخل Varus أو للخارج Valgus)، يتركز وزن الجسم بالكامل على مساحة صغيرة جداً من الغضروف. هذا الضغط الهائل والمستمر يؤدي إلى تآكل الغضروف بسرعة تفوق قدرة الجسم على تجديده، مما يمهد الطريق لخشونة الكاحل المبكرة.

الأسباب العميقة لتشوهات الكاحل الزاوية
التشوهات التي تستدعي إجراء جراحة قطع عظم الساق فوق الكاحل لا تحدث من فراغ، بل هي نتيجة لعدة عوامل معقدة، يحرص الأستاذ الدكتور محمد هطيف على تشخيصها بدقة متناهية قبل اتخاذ أي قرار جراحي:
- الكسور السابقة غير الملتئمة بشكل صحيح (Malunion): تعد من أشهر الأسباب. عند حدوث كسر في أسفل الساق أو الكاحل، وعدم تثبيته بالدقة المطلوبة، يلتئم العظم في وضع معوج، مما يغير زاوية المفصل بالكامل.
- التشوهات الخلقية: يولد بعض الأشخاص بانحرافات خلقية في نمو عظام الساق، تزداد وضوحاً وتأثيراً مع التقدم في العمر وزيادة الوزن.
- الأمراض الاستقلابية وأمراض العظام: مثل الكساح أو لين العظام في مرحلة الطفولة، والتي تترك أثراً دائماً على شكل العظام الطويلة.
- تآكل الغضاريف غير المتماثل: في بعض الأحيان، يبدأ التهاب المفاصل (الخشونة) في جانب واحد من الكاحل، مما يؤدي إلى انهيار هذا الجانب وميلان المفصل بالكامل.
- إصابات أربطة الكاحل المزمنة: الالتواءات المتكررة التي لم تُعالج بشكل صحيح تؤدي إلى عدم استقرار المفصل، ومع مرور الوقت يحدث انحراف في محور الساق.

الأعراض والعلامات التحذيرية: متى يجب زيارة الطبيب؟
المرضى الذين يحتاجون إلى جراحة قطع عظم الساق يعانون عادة من سلسلة من الأعراض المزعجة التي تعيق حياتهم اليومية:
- ألم ميكانيكي حاد: ألم يزداد مع الوقوف والمشي، ويتركز غالباً في الجانب الداخلي أو الخارجي للكاحل (حسب جهة التشوه).
- تورم مزمن: انتفاخ مستمر حول المفصل نتيجة الالتهاب الناتج عن الاحتكاك غير الطبيعي.
- تشوه بصري ملحوظ: انحراف واضح للعين المجردة في شكل الكاحل أو أسفل الساق.
- تصلب المفصل: صعوبة في تحريك الكاحل، خاصة في الصباح أو بعد فترات الراحة.
- العرج أثناء المشي: محاولة لا إرادية من المريض لتخفيف الوزن عن الجانب المؤلم من المفصل.

الخيارات العلاجية: مقارنة شاملة بين العلاج التحفظي والجراحي
قبل اللجوء إلى الجراحة، يتم تقييم الخيارات التحفظية. ومع ذلك، في حالات التشوه الميكانيكي الهيكلي، يكون العلاج التحفظي مجرد مسكن مؤقت. يوضح الجدول التالي الفروق الجوهرية:
| وجه المقارنة | العلاج التحفظي (أدوية، دعامات، علاج طبيعي) | العلاج الجراحي (قطع عظم الساق فوق الكاحل) |
|---|---|---|
| الهدف الأساسي | تخفيف الألم وتقليل الالتهاب مؤقتاً | تصحيح التشوه الميكانيكي من جذوره |
| مدة الفعالية | قصيرة إلى متوسطة الأمد | طويلة الأمد ودائمة في أغلب الحالات |
| إصلاح التشوه الهيكلي | لا يؤثر على شكل العظم أو زاوية المفصل | يعيد العظم والمفصل إلى الزاوية الطبيعية |
| الحفاظ على الغضروف | لا يمنع استمرار تآكل الغضروف بمرور الوقت | ينقذ الغضروف المتبقي ويوقف تدهور الخشونة |
| المرشح المثالي | الحالات الخفيفة جداً، أو المرضى غير اللائقين طبياً للجراحة | المرضى النشطين، الشباب، ومن يعانون من تشوه زاوي واضح |

لماذا الأستاذ الدكتور محمد هطيف هو الخيار الأول والأفضل في اليمن؟
عندما يتعلق الأمر بجراحة هندسية دقيقة مثل "قطع عظم الساق فوق الكاحل"، فإن مهارة الجراح هي العامل الحاسم بين النجاح الباهر والمضاعفات الكارثية. يتربع الأستاذ الدكتور محمد هطيف على قمة هرم جراحة العظام في العاصمة اليمنية صنعاء، وذلك لأسباب علمية وعملية قاطعة:
- المكانة الأكاديمية الرفيعة: بصفته أستاذاً لجراحة العظام والمفاصل بجامعة صنعاء، فهو يجمع بين أحدث الأبحاث العلمية العالمية والممارسة السريرية اليومية.
- خبرة تتجاوز العقدين: أكثر من 20 عاماً من العمل الدؤوب في غرف العمليات، تعامل خلالها مع أعقد الحالات وأكثرها تحدياً.
- الريادة في التكنولوجيا الطبية: الدكتور هطيف هو الرائد في استخدام تقنيات المناظير بدقة 4K والجراحة الميكروسكوبية في اليمن. في هذه الجراحة تحديداً، يستخدم المنظار لتقييم الغضروف من الداخل أثناء تصحيح العظم من الخارج، مما يضمن دقة لا مثيل لها.
- الأمانة الطبية الصارمة: يُعرف الدكتور هطيف بصدقه وشفافيته التامة مع مرضاه. لا ينصح بالجراحة إلا إذا كانت هي الحل الأمثل والمؤكد لحالة المريض، ويشرح كافة التفاصيل والمخاطر والنتائج المتوقعة بوضوح تام.
- التميز في المفاصل الصناعية وإعادة البناء: خبرته الواسعة في تغيير المفاصل (Arthroplasty) تجعله قادراً على تقييم ما إذا كان المريض يحتاج إلى قطع العظم لإنقاذ المفصل الطبيعي، أو إذا كانت الخشونة قد وصلت لمرحلة تستدعي تغييراً كلياً للمفصل.

الدليل التفصيلي: خطوات جراحة قطع عظم الساق فوق الكاحل
تعتبر هذه الجراحة بمثابة مشروع هندسي دقيق، يبدأ التخطيط له قبل دخول غرفة العمليات بأسابيع.
1. التخطيط الجراحي الدقيق (Pre-operative Planning)
يتم إجراء صور أشعة سينية خاصة (طويلة للساق بالكامل أثناء الوقوف) وأشعة مقطعية (CT Scan) ثلاثية الأبعاد. يقوم الدكتور محمد هطيف باستخدام برامج حاسوبية متقدمة لحساب الزاوية الدقيقة للتشوه، وتحديد حجم "الوتد العظمي" (Bone Wedge) الذي يجب إزالته أو إضافته لإصلاح المحور.

2. التخدير والتحضير
تتم العملية عادة تحت التخدير النصفي أو العام. يتم تجهيز المريض وتعقيم الساق بالكامل لضمان بيئة جراحية خالية من الميكروبات.
3. الشق الجراحي والوصول للعظم
يقوم الجراح بعمل شق دقيق (بأقل تدخل جراحي ممكن) في الجزء السفلي من الساق للوصول إلى عظمة الساق (Tibia) وأحياناً عظمة الشظية (Fibula) إذا تطلب الأمر.

4. قطع العظم (The Osteotomy)
هناك تقنيتان رئيسيتان يختار الدكتور هطيف بينهما بناءً على حالة المريض:
* تقنية الوتد المفتوح (Opening Wedge): يتم عمل شق في العظم وفتحه لإضافة طعم عظمي (صناعي أو من حوض المريض) لتعديل الزاوية.
* تقنية الوتد المغلق (Closing Wedge): يتم إزالة مثلث صغير من العظم، ثم إغلاق الفراغ لتعديل المحور.

5. التثبيت الداخلي القوي (Internal Fixation)
بعد الوصول للزاوية المثالية التي تم حسابها مسبقاً، يتم تثبيت العظم بإحكام شديد باستخدام شرائح معدنية متطورة (Locking Plates) ومسامير من التيتانيوم. هذا التثبيت القوي هو ما يسمح للمريض ببدء الحركة والتأهيل مبكراً.
6. الإغلاق التجميلي
يتم إغلاق الأنسجة والجلد بخيوط تجميلية دقيقة لتقليل الندبات، ووضع جبيرة أو حذاء طبي داعم.

بروتوكول إعادة التأهيل المتقدم (رحلة التعافي)
نجاح جراحة قطع عظم الساق فوق الكاحل يعتمد بنسبة 50% على مهارة الجراح، و50% على التزام المريض ببرنامج العلاج الطبيعي. يضع الدكتور محمد هطيف بروتوكولاً صارماً للتعافي:
- المرحلة الأولى (الأسابيع 1 - 2): الراحة التامة، رفع الساق لتقليل التورم. يُمنع منعاً باتاً تحميل الوزن على القدم. يتم استخدام العكازات للحركة الضرورية فقط.
- المرحلة الثانية (الأسابيع 3 - 6): بدء تمارين المدى الحركي (تحريك الكاحل لأعلى وأسفل) لمنع التيبس. يتم متابعة التئام العظم بالأشعة.
- المرحلة الثالثة (الأسابيع 6 - 12): بمجرد ظهور علامات التئام العظم في الأشعة، يُسمح بالتحميل الجزئي للوزن تدريجياً، وصولاً إلى التحميل الكامل. تبدأ تمارين تقوية العضلات المحيطة بالكاحل.
- المرحلة الرابعة (بعد 3 أشهر): العودة للأنشطة الطبيعية والمشي دون ألم. الرياضات العنيفة قد تتطلب وقتاً أطول (من 6 إلى 9 أشهر).

تقييم الفوائد مقابل المخاطر المحتملة
كأي إجراء جراحي معقد، توجد فوائد عظيمة ومخاطر محتملة يجب أن يكون المريض على دراية تامة بها. الشفافية هي أساس التعامل في عيادة الأستاذ الدكتور محمد هطيف.
| الفوائد العظيمة للجراحة (Pros) | المخاطر والمضاعفات المحتملة (Cons/Risks) |
|---|---|
| إنقاذ المفصل الطبيعي: تجنب الحاجة لمفصل صناعي أو دمج الكاحل. | تأخر التئام العظم (Non-union): خاصة لدى المدخنين أو مرضى السكري غير المنتظم. |
| تخفيف جذري للألم: القضاء على الألم الميكانيكي أثناء المشي. | العدوى أو الالتهاب: خطر وارد في أي جراحة، ويتم تقليله بالمضادات الحيوية والتعقيم الصارم. |
| تصحيح المظهر الجمالي: استقامة الساق واختفاء التقوس أو التشوه. | تلف الأعصاب أو الأوعية الدموية: خطر نادر جداً بفضل مهارة الجراح واستخدام التقنيات الميكروسكوبية. |
| تحسين الوظيفة الحركية: العودة للمشي الطبيعي وممارسة الأنشطة اليومية بحرية. | الجلطات الدموية: يتم الوقاية منها بإعطاء أدوية مسيلة للدم وحركة الأصابع المبكرة. |

قصص نجاح ملهمة من عيادة الدكتور محمد هطيف
النتائج السريرية تتحدث عن نفسها. إليكم لمحات من حالات واقعية تم علاجها بنجاح:
الحالة الأولى: تصحيح تشوه ما بعد كسر قديم
مريض يبلغ من العمر 42 عاماً، تعرض لكسر في الساق قبل 5 سنوات التئم بشكل خاطئ، مما أدى إلى تقوس شديد للداخل (Varus) وألم مستمر يمنعه من العمل. بعد تقييم دقيق من قبل الأستاذ الدكتور محمد هطيف، تم إجراء جراحة قطع عظم الساق فوق الكاحل بتقنية الوتد المفتوح. بعد 4 أشهر من الجراحة والتأهيل، عاد المريض لعمله الميداني بمحور ساق مستقيم تماماً وبدون أي ألم.

الحالة الثانية: إنقاذ كاحل شابة من الخشونة المبكرة
شابة تبلغ من العمر 28 عاماً، تعاني من تشوه خلقي أدى إلى تركز الوزن على الجانب الخارجي للكاحل، وبدايات تآكل غضروفي. كانت مهددة بدمج الكاحل في سن مبكرة. أجرى لها الدكتور هطيف الجراحة ببراعة، مما أعاد توزيع الوزن بشكل مثالي، وأنقذ مفصلها الطبيعي، وعادت لممارسة حياتها الطبيعية بثقة عالية.

التقنيات المكملة: متى نحتاج للمناظير أو الجراحات المصاحبة؟
في كثير من الأحيان، لا يكون التشوه العظمي هو المشكلة الوحيدة. يتميز الأستاذ الدكتور محمد هطيف بنظرته الشمولية. أثناء إجراء قطع العظم، قد يستخدم منظار الكاحل بدقة 4K لتنظيف المفصل من الشظايا الغضروفية، أو معالجة تمزقات الأربطة المصاحبة في نفس الجلسة الجراحية، مما يضمن حلاً متكاملاً لمشكلة المريض.

الأسئلة الشائعة (FAQ): إجابات وافية لكل استفساراتك
في هذا القسم، نجيب على أكثر الأسئلة التي يطرحها المرضى في عيادة الأستاذ الدكتور محمد هطيف حول هذه الجراحة الدقيقة.
1. هل جراحة قطع عظم الساق فوق الكاحل مؤلمة جداً؟
أثناء الجراحة لن تشعر بشيء بفضل التخدير. بعد الجراحة، يكون هناك ألم متوقع يتم السيطرة عليه بفعالية عالية باستخدام أحدث بروتوكولات إدارة الألم والأدوية المسكنة المتقدمة. يقل الألم بشكل ملحوظ بعد الأيام الثلاثة الأولى.

2. كم يستغرق العظم للالتئام التام بعد عملية القطع؟
في المتوسط، يستغرق التئام العظم من 6 إلى 8 أسابيع ليصبح قوياً بما يكفي لتحمل الوزن. ومع ذلك، الالتئام البيولوجي الكامل (Remodeling) قد يستغرق من 6 أشهر إلى سنة. المتابعة الدورية بالأشعة مع الدكتور هطيف هي التي تحدد متى يمكن العودة للأنشطة الكاملة.
3. هل سأحتاج إلى إزالة الشرائح والمسامير لاحقاً؟
في أغلب الحالات، لا حاجة لإزالة الشرائح والمسامير المصنوعة من التيتانيوم المتوافق حيوياً مع الجسم، فهي مصممة لتبقى مدى الحياة. ومع ذلك، إذا شعر المريض بانزعاج من الشريحة تحت الجلد (خاصة في الأشخاص النحيفين)، يمكن إزالتها بعملية بسيطة جداً بعد مرور عام ونصف على الأقل وتأكد التئام العظم تماماً.
4. هل هذه الجراحة مناسبة لكبار السن الذين يعانون من خشونة متقدمة؟
غالباً لا. جراحة قطع عظم الساق فوق الكاحل تعطي أفضل نتائجها للمرضى الأصغر سناً (تحت 60 عاماً) والنشطين، والذين لا يزال لديهم جزء سليم من الغضروف المفصلي. إذا كانت الخشونة متقدمة جداً وتآكل الغضروف بالكامل، فإن خيارات مثل "دمج الكاحل" أو "تغيير مفصل الكاحل" تكون هي الأنسب، وهو ما يحدده الدكتور هطيف بدقة.

5. هل التدخين يؤثر على نجاح العملية؟
نعم، وبشكل كبير جداً. النيكوتين يقلل من تدفق الدم إلى العظام، مما يزيد بشكل درامي من خطر "تأخر التئام العظم" أو "عدم الالتئام". يشترط الدكتور محمد هطيف على مرضاه التوقف التام عن التدخين قبل العملية بأسابيع وخلال فترة التعافي لضمان نجاح الجراحة.
6. متى يمكنني العودة لقيادة السيارة بعد الجراحة؟
يعتمد ذلك على القدم المصابة. إذا كانت الجراحة في القدم اليسرى
آلام العظام والمفاصل وتقييد حركتها ليس قدراً محتوماً! التشخيص الدقيق والعلاج المتخصص يمكن أن يعيد لك كامل وظيفتك وحريتك في الحركة. لا تدع الألم يسيطر على حياتك.
للحصول على استشارة دقيقة وخطة علاجية مخصصة لحالتك، تواصل فوراً مع مركز الأستاذ الدكتور محمد هطيف:
الأستاذ الدكتور محمد هطيف - أفضل دكتور عظام في صنعاء، وخبير في جراحات العظام والمفاصل والعمود الفقري.. نلتزم بإعادتك لحياة خالية من الألم وحركة طبيعية.
مواضيع أخرى قد تهمك