قطع عظم حول الحُق البيرني: حل متقدم للحفاظ على مفصل الورك في صنعاء مع الأستاذ الدكتور محمد هطيف

الخلاصة الطبية
قطع عظم حول الحُق البيرني (PAO) هي جراحة متطورة للحفاظ على مفصل الورك، تُستخدم لتصحيح خلل تنسج الحُق واستعادة ميكانيكا الورك الطبيعية، مما يمنع أو يؤخر التهاب المفاصل. يقوم الأستاذ الدكتور محمد هطيف بإجراء هذه الجراحة بدقة عالية في صنعاء.
الخلاصة الطبية السريعة: جراحة قطع عظم حول الحُق البيرني (Bernese Periacetabular Osteotomy - PAO) هي واحدة من أكثر الجراحات تطوراً وتعقيداً في مجال جراحة العظام الحديثة، وتهدف بشكل أساسي إلى الحفاظ على مفصل الورك الطبيعي لدى الشباب والبالغين. تُستخدم هذه التقنية لتصحيح "خلل تنسج الحُق" (Hip Dysplasia) واستعادة الميكانيكا الحيوية الطبيعية للورك، مما يمنع أو يؤخر بشكل جذري الحاجة إلى استبدال المفصل وتطور التهاب المفاصل التنكسي (الفُصال العظمي). في العاصمة اليمنية صنعاء، يقود الأستاذ الدكتور محمد هطيف، بخبرته التي تتجاوز العقدين، ثورة في هذا المجال، مقدماً هذا الإجراء الدقيق بنسب نجاح تضاهي المراكز العالمية، معتمداً على أحدث التقنيات الجراحية والمصداقية الطبية المطلقة.

مقدمة شاملة إلى قطع عظم حول الحُق البيرني (PAO)
مرحباً بكم في الدليل الشامل والمرجعي الأول حول الرعاية المتقدمة لمفاصل الورك في اليمن. في عالم جراحة العظام، يلتقي الابتكار الجراحي بالخبرة السريرية العميقة لتقديم أفضل النتائج الممكنة للمرضى الذين يعانون من آلام مزمنة وإعاقات حركية. اليوم، نسلط الضوء بشكل مكثف ومفصل على إجراء جراحي دقيق ومعقد يُعرف بـ "قطع عظم حول الحُق البيرني" (PAO). هذا الإجراء ليس مجرد تدخل جراحي روتيني؛ بل هو فن هندسي حيوي يهدف إلى إنقاذ مفصل الورك الطبيعي، إعادة بناء ميكانيكياته، وتغيير مسار حياة المريض بالكامل من مسار يتجه نحو الإعاقة والألم إلى مسار مليء بالحيوية والنشاط.

تم تطوير هذا الإجراء في الأصل في مدينة بيرن بسويسرا على يد البروفيسور راينولد غانز (Reinhold Ganz) في الثمانينيات، ومنذ ذلك الحين أصبح المعيار الذهبي العالمي (Gold Standard) لعلاج خلل تنسج الورك لدى البالغين واليافعين. الفلسفة الأساسية لهذا الإجراء هي أن مفصل الورك الخاص بالمريض هو دائماً أفضل من أي مفصل صناعي، وإذا تمكنا من تصحيح الخلل الميكانيكي مبكراً، يمكننا منح المريض عقوداً من الحركة الخالية من الألم.
في عيادة الأستاذ الدكتور محمد هطيف في صنعاء، ندرك تماماً أن خلل تنسج الورك، وخاصة خلل التنسج النمائي للورك (DDH)، هو السبب الأكثر شيوعاً لالتهاب مفصل الورك المبكر. تشير الدراسات والأبحاث الطبية العالمية إلى أن المرضى الذين يعانون من "زاوية مركز الحافة الجانبية" (Lateral Center-Edge Angle) الأقل من 16 درجة، يتطور لديهم الفُصال العظمي بشكل شبه دائم بحلول سن 65 عاماً، وفي كثير من الأحيان قبل ذلك بكثير (في الثلاثينيات أو الأربعينيات من العمر).

الهدف الأساسي من جراحة قطع عظم حول الحُق البيرني هو إعادة محاذاة تجويف الورك (الحُق) المشوه أو الضحل جراحياً. من خلال قطع العظام المحيطة بالحُق وتدويره ليغطي رأس عظم الفخذ بشكل مثالي، نوفر راحة محسنة أو دائمة من الأعراض، ونوزع قوى تحمل الوزن على مساحة غضروفية أوسع، مما يوقف عجلة تآكل المفصل.
تتميز جراحة PAO عن غيرها من جراحات قطع عظم الحوض القديمة (مثل قطع العظم الثلاثي لـ Steel أو Tonnis) من خلال ميزة ميكانيكية حيوية حاسمة: الحفاظ الدقيق على سلامة العمود الخلفي للحوض (Posterior Column). هذا التمييز التشريحي يقلل من عدم استقرار حلقة الحوض، يسمح للمريض بالحركة المبكرة، ويتيح للجراح إعادة توجيه متعدد المستويات لقطعة الحُق بشكل أكثر قوة ودقة. يتم تحقيق ذلك من خلال تسلسل دقيق للغاية من خمس عمليات قطع عظم (Osteotomies)، كل منها مصمم لتحرير الحُق مع الحفاظ على إمداده الدموي الحيوي.


لماذا الأستاذ الدكتور محمد هطيف هو الخيار الأول في صنعاء واليمن؟
عندما يتعلق الأمر بجراحة معقدة مثل قطع عظم حول الحُق البيرني، فإن اختيار الجراح هو العامل الحاسم والأهم في نجاح العملية. الأستاذ الدكتور محمد هطيف ليس مجرد جراح عظام؛ بل هو مرجعية علمية وطبية في اليمن.
مكانة علمية وخبرة تتجاوز 20 عاماً
بصفته أستاذاً لجراحة العظام والمفاصل في جامعة صنعاء، يجمع الدكتور هطيف بين المعرفة الأكاديمية العميقة والممارسة السريرية المكثفة التي تزيد عن 20 عاماً. لقد أجرى آلاف العمليات الجراحية المعقدة، مما منحه فهماً تشريحياً لا يُضاهى، وهو أمر بالغ الأهمية في جراحة PAO حيث تمر الأعصاب والأوعية الدموية الرئيسية على بُعد مليمترات من شفرة المنشار الجراحي.

التكنولوجيا المتقدمة والجراحة الدقيقة (Microsurgery)
يستخدم الدكتور هطيف أحدث التقنيات العالمية في غرفة العمليات، بما في ذلك مناظير المفاصل بدقة 4K (لإصلاح تمزقات الشفا الحُقي التي غالباً ما تصاحب خلل التنسج)، وتقنيات الجراحة المجهرية (Microsurgery) لحماية الأنسجة الرخوة والأعصاب، بالإضافة إلى أحدث أنظمة الملاحة والتخطيط ثلاثي الأبعاد لضمان دقة قطع العظام وتوجيه الحُق بالزاوية المثالية.
الأمانة الطبية المطلقة (Medical Honesty)
في عالم الطب، الأمانة هي الأساس. يشتهر الأستاذ الدكتور محمد هطيف بنهجه الصارم في اختيار المرضى. لا يتم التوصية بجراحة PAO إلا إذا كان المريض مرشحاً مثالياً سيستفيد حقاً من الإجراء. إذا كان المفصل قد تعرض لتلف شديد (فُصال عظمي متقدم)، سيوجه الدكتور هطيف المريض بشفافية نحو خيارات أخرى مثل الاستبدال الكلي لمفصل الورك (Arthroplasty)، مبيناً الفوائد والمخاطر بكل وضوح.


التشريح الأساسي والميكانيكا الحيوية لمفصل الورك
لفهم عبقرية جراحة قطع عظم حول الحُق البيرني، يجب أن نغوص بعمق في تشريح مفصل الورك. مفصل الورك هو مفصل زلالي من نوع "الكرة والتجويف" (Ball-and-Socket Joint)، وهو مصمم لتوفير توازن مذهل بين الاستقرار الهيكلي (لتحمل وزن الجسم) والمرونة الحركية.
المكونات العظمية والغضروفية
- رأس عظم الفخذ (Femoral Head): يمثل "الكرة"، وهو مغطى بطبقة سميكة من الغضروف الزجاجي الأملس.
- الحُق (Acetabulum): يمثل "التجويف" الموجود في عظم الحوض. يتكون الحوض من التحام ثلاثة عظام: الحرقفة (Ilium)، الإسك (Ischium)، والعانة (Pubis). يلتقي الثلاثة في مركز الحُق.
- الشفا الحُقي (Acetabular Labrum): حلقة من الغضروف الليفي تحيط بحافة الحُق. تعمل كختم (Seal) يحافظ على السائل الزلالي داخل المفصل، وتزيد من عمق التجويف واستقرار المفصل. في حالات خلل التنسج، يتعرض هذا الشفا لضغط هائل وغالباً ما يتمزق.

ماذا يحدث في خلل تنسج الورك (Hip Dysplasia)؟
في الورك الطبيعي، يغطي الحُق رأس عظم الفخذ بالكامل تقريباً، مثل المظلة التي تحمي الرأس. يتم توزيع وزن الجسم بالتساوي عبر مساحة واسعة من الغضروف.
في خلل تنسج الورك، يكون الحُق "ضحلاً" (Shallow) ومائلاً للأعلى وللخارج. هذا يعني أن المظلة لا تغطي الرأس بشكل كافٍ. النتيجة هي:
1. تركيز الإجهاد (Edge Loading): ينتقل وزن الجسم بالكامل عبر منطقة صغيرة جداً على حافة الحُق، مما يؤدي إلى تآكل الغضروف بسرعة فائقة.
2. عدم الاستقرار الدقيق (Micro-instability): يميل رأس الفخذ للانزلاق خارج التجويف قليلاً مع كل خطوة، مما يمزق الشفا الحُقي ويسبب ألماً مبرحاً.

المعالم العظمية والتشريحية الدقيقة للجراحة
خلال الجراحة، يعتمد الأستاذ الدكتور محمد هطيف على معرفة تشريحية ثلاثية الأبعاد دقيقة للغاية لتوجيه الأزاميل والمناشير بأمان:
* الناتئ الحرقفي العاني (Iliopectineal Eminence): نقطة مرجعية حاسمة لقطع عظم الفرع العاني العلوي.
* الأخدود تحت الحُقي (Infracotyloid Groove): يقع مباشرة أسفل الحُق، وهو الموقع الدقيق لقطع عظم الإسك الأمامي.
* الشوكة الحرقفية الأمامية العلوية (ASIS) والسفلية (AIIS): معالم بارزة ونقاط ربط عضلية هامة.
* شوكة الإسك (Ischial Spine): نقطة مرجعية حاسمة لقطع عظم العمود الخلفي.

الاعتبارات العصبية والوعائية (حماية الهياكل الحيوية)
يتطلب هذا الإجراء حماية فائقة للأعصاب والأوعية الدموية:
* العصب الجلدي الفخذي الجانبي (LFCN): يمر فوق عرف الحرقفة. حمايته ضرورية لتجنب التنميل في الفخذ.
* العصب الوركي (Sciatic Nerve): يمر خلف المفصل. يتم حمايته من خلال الحفاظ على العمود الخلفي للحوض سليماً.
* العصب الفخذي والأوعية الفخذية: تقع في الجانب الأمامي ويتم إبعادها بلطف باستخدام مبعدات خاصة.


الأعراض والتشخيص: متى تحتاج إلى زيارة الأستاذ الدكتور محمد هطيف؟
العديد من المرضى الذين يعانون من خلل تنسج الورك يولدون به، ولكن الأعراض قد لا تظهر إلا في أواخر سنوات المراهقة أو في العشرينات والثلاثينيات من العمر، عندما يبدأ الغضروف في الاستسلام للضغوط الميكانيكية غير الطبيعية.
الأعراض الشائعة
- ألم في الفخذ الأمامي (Groin Pain): وهو العَرَض الأكثر شيوعاً. يزداد الألم مع الأنشطة مثل المشي الطويل، الجري، أو حتى الجلوس لفترات طويلة.
- طقطقة أو فرقعة (Clicking/Catching): إحساس مسموع أو محسوس داخل المفصل، وغالباً ما يشير إلى تمزق في الشفا الحُقي.
- ألم في الجانب الخارجي للورك أو الأرداف: نتيجة لإرهاق العضلات المحيطة بالمفصل (مثل العضلات المبعدة) التي تعمل بجهد إضافي لتعويض عدم استقرار المفصل.
- العرج (Limping) أو تعب سريع: الإحساس بأن الساق "تستسلم" أو تضعف بعد مجهود بسيط.

جدول (1): قائمة التحقق من الأعراض ومؤشرات الخطورة
| العَرَض | الوصف السريري | مؤشر الخطورة / الدلالة الطبية |
|---|---|---|
| ألم الفخذ الأمامي العميق | ألم يزداد مع ثني الورك (مثل صعود السلالم). | يشير إلى تلف الغضروف أو تمزق الشفا الحُقي. |
| ألم أثناء الراحة أو في الليل | ألم يوقظ المريض من النوم. | علامة متقدمة قد تشير إلى بداية الفُصال العظمي الشديد. |
| طقطقة ميكانيكية مؤلمة | إحساس بانغلاق المفصل مؤقتاً. | تمزق الشفا الحُقي المؤكد أو وجود أجسام حرة داخل المفصل. |
| عرج ترندلينبورغ (Trendelenburg) | هبوط الحوض في الجانب السليم عند الوقوف على الساق المصابة. | ضعف شديد في العضلات المبعدة بسبب خلل الميكانيكا الحيوية. |
| تصلب المفصل الصباحي | صعوبة في تحريك الورك عند الاستيقاظ. | بداية التهاب المفاصل التنكسي. |
التشخيص المتقدم في عيادة الدكتور هطيف
التشخيص الدقيق هو حجر الزاوية لاختيار العلاج المناسب. يعتمد الدكتور هطيف على بروتوكول تشخيصي صارم يشمل:
1. الفحص السريري الشامل: اختبارات الاستفزاز مثل اختبار (FADIR) و (FABER) لتحديد مصدر الألم بدقة.
2. الأشعة السينية الرقمية (Digital X-rays): صور في وضعيات محددة (AP Pelvis, False Profile, Dunn view) لقياس زوايا التغطية (مثل زاوية CE وزاوية Tönnis).
3. التصوير بالرنين المغناطيسي مع الصبغة (MRA): المعيار الذهبي لتقييم الغضروف وتمزقات الشفا الحُقي التي لا تظهر في الأشعة العادية.
4. الأشعة المقطعية ثلاثية الأبعاد (3D CT Scan): تُستخدم للتخطيط الجراحي الدقيق، حيث تتيح للدكتور هطيف بناء نموذج ثلاثي الأبعاد لحوض المريض وتحديد زوايا القطع قبل دخول غرفة العمليات.


خيارات العلاج: لماذا نختار قطع العظم (PAO) بدلاً من استبدال المفصل؟
أحد أكثر الأسئلة شيوعاً التي يطرحها المرضى على الأستاذ الدكتور محمد هطيف هو: "لماذا لا نقوم فقط باستبدال المفصل بمفصل صناعي وننهي المشكلة؟"
الإجابة تكمن في عمر المريض ومستوى نشاطه. المفاصل الصناعية (Total Hip Replacement - THR) ممتازة، ولكن لها عمر افتراضي (عادة 15-25 عاماً). إذا قمنا بإجراء استبدال مفصل لشاب يبلغ من العمر 25 عاماً، فإنه سيحتاج بالتأكيد إلى عمليات "مراجعة" (Revision Surgeries) معقدة في المستقبل عندما يتآكل المفصل الصناعي. بالإضافة إلى ذلك، المفاصل الصناعية تضع قيوداً على الأنشطة الرياضية العنيفة والمهن الشاقة.
جراحة PAO هي جراحة الحفاظ على المفصل (Joint Preservation). نحن نستخدم أنسجة المريض الطبيعية. إذا تم إجراؤها بنجاح قبل حدوث تلف غضروفي شديد، يمكن للمريض العودة إلى الرياضة، والجري، وعيش حياة طبيعية تماماً دون قيود المفاصل الصناعية، وقد لا يحتاج أبداً إلى مفصل صناعي طوال حياته.

جدول (2): مقارنة شاملة بين قطع عظم الحُق البيرني (PAO) واستبدال الورك الكلي (THR)
| وجه المقارنة | قطع عظم حول الحُق البيرني (PAO) | الاستبدال الكلي لمفصل الورك (THR) |
|---|---|---|
| الهدف الأساسي | الحفاظ على المفصل الطبيعي البيولوجي وتأخير/منع التآكل. | إزالة المفصل التالف واستبداله بأجزاء معدنية/بلاستيكية. |
| الفئة العمرية المثالية | المراهقون والشباب والبالغون (عادة أقل من 45 عاماً). | كبار السن، أو المرضى ذوي التآكل الغضروفي الشديد (أكثر من 50 عاماً). |
| حالة الغضروف المطلوبة | يجب أن يكون الغضروف بحالة جيدة إلى مقبولة (Tönnis grade 0-1). | يُستخدم عندما يكون الغضروف متآكلاً تماماً (Bone-on-Bone). |
| القيود الحركية بعد التعافي | لا توجد قيود. يمكن العودة للرياضات العنيفة، الجري، والقفز. | قيود على الرياضات التصادمية، الجري لمسافات طويلة، وبعض وضعيات الجلوس. |
| العمر الافتراضي للنتيجة | إذا نجحت، قد تدوم مدى الحياة وتمنع الحاجة لمفصل صناعي. | 15 إلى 25 عاماً، تتطلب بعدها جراحة مراجعة معقدة. |
| فترة التعافي (Rehab) | أطول (تحتاج العظام إلى 6-8 أسابيع لتلتئم، والتعافي الكامل 6 أشهر). | أسرع (يمشي المريض في نفس اليوم، والتعافي الكامل خلال 2-3 أشهر). |

التجهيز ما قبل الجراحة (Pre-operative Preparation)
التحضير الجيد هو نصف النجاح. في عيادة الدكتور هطيف، يخضع المريض لبروتوكول تحضيري شامل:
* التقييم الطبي الشامل: فحوصات الدم، تخطيط القلب، والتأكد من خلو المريض من أي التهابات.
* التبرع بالدم الذاتي: نظراً لأن جراحات الحوض قد يصاحبها فقدان للدم، قد يُطلب من المريض التبرع بدمه قبل أسابيع من الجراحة لاستخدامه إذا لزم الأمر.
* العلاج الطبيعي المسبق (Pre-hab): تقوية عضلات الحوض والساقين قبل الجراحة لتسريع التعافي بعدها.
* التخطيط الجراحي الرقمي: يقوم الدكتور هطيف بدراسة الأشعة المقطعية بدقة وتحديد زوايا القطع وحجم البراغي المطلوبة لكل مريض بشكل فردي (Personalized Medicine).


الخطوات الجراحية: دليل تفصيلي لجراحة قطع عظم حول الحُق البيرني
تُعد هذه الجراحة سيمفونية من الدقة الجراحية. تستغرق العملية عادة من 2 إلى 4 ساعات، وتتم تحت التخدير العام أو النصفي المتقدم مع التحكم في الألم (Epidural). إليك تفصيل للخطوات الميكانيكية الدقيقة التي ينفذها الأستاذ الدكتور محمد هطيف باحترافية عالية:
1. النهج الجراحي (The Surgical Approach)
يستخدم الدكتور هطيف شقاً جراحياً تجميلياً يُعرف بـ (Bikini Incision) أو نهج (Smith-Petersen) المعدل. يسمح هذا النهج بالوصول إلى جميع أجزاء الحوض الأمامية والداخلية دون قطع العضلات الرئيسية، بل يتم فصل العضلات وإبعادها بلطف (Muscle-sparing approach)، مما يسرع التعافي بشكل كبير.

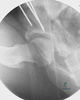
2. سلسلة قطع العظام (The 5 Osteotomies)
يكمن سر نجاح جراحة PAO في إجراء خمسة قطوع عظمية منفصلة حول الحُق، لتحريره بالكامل عن باقي الحوض، مع ترك العمود الخلفي سليماً كدعامة أساسية.
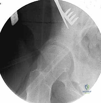
القطع الأول: القطع الإسكي غير المكتمل (Incomplete Ischial Osteotomy)
باستخدام إزميل خاص ذو زاوية (Angled Osteotome)، يتم إجراء قطع في عظم الإسك أسفل الحُق مباشرة (في الأخدود تحت الحُقي). يتم هذا القطع بتوجيه الأشعة السينية (Fluoroscopy) لضمان عدم اختراق المفصل. يحرص الدكتور هطيف على إبعاد العصب الوركي والأوعية السدادية بأمان تام.










آلام الورك وتقييد حركته ليس قدراً محتوماً! التشخيص الدقيق والعلاج المتخصص يمكن أن يعيد لك كامل وظيفتك وحريتك في الحركة. لا تدع الألم يسيطر على حياتك.
للحصول على استشارة دقيقة وخطة علاجية مخصصة لحالتك، تواصل فوراً مع مركز الأستاذ الدكتور محمد هطيف:
الأستاذ الدكتور محمد هطيف - أفضل دكتور عظام في صنعاء، وخبير في جراحات استبدال مفصل الورك.. نلتزم بإعادتك لحياة خالية من الألم وورك قوي ووظيفي.
مواضيع أخرى قد تهمك