تبديل المفاصل الكلي لمرضى الإيدز: دليل شامل من الأستاذ الدكتور محمد هطيف في صنعاء

الخلاصة الطبية
تبديل المفاصل لمرضى الإيدز هو إجراء جراحي آمن وفعال للغاية الآن، بفضل التقدم في العلاج المضاد للفيروسات (ART) والرعاية الشاملة. يهدف إلى تخفيف الألم واستعادة وظيفة المفصل، مع التركيز على تحسين حالة فيروس نقص المناعة البشرية قبل الجراحة لضمان أفضل النتائج وتقليل المضاعفات.
الخلاصة الطبية السريعة: تبديل المفاصل لمرضى الإيدز هو إجراء جراحي آمن وفعال للغاية الآن، بفضل التقدم في العلاج المضاد للفيروسات (ART) والرعاية الشاملة. يهدف إلى تخفيف الألم واستعادة وظيفة المفصل، مع التركيز على تحسين حالة فيروس نقص المناعة البشرية قبل الجراحة لضمان أفضل النتائج وتقليل المضاعفات.
مقدمة: تبديل المفاصل الكلي لمرضى الإيدز – حقائق جديدة وآمال متجددة
لطالما كان التعايش مع فيروس نقص المناعة البشرية (الإيدز) يحمل معه تحديات صحية كبيرة، وفي الماضي القريب، كان يُنظر إلى إجراء جراحات العظام الكبرى، مثل تبديل المفاصل الكلي، على أنها محفوفة بمخاطر عالية جدًا لمرضى الإيدز. كانت المخاوف تتركز بشكل أساسي حول احتمالية ارتفاع معدلات العدوى حول المفصل الصناعي (PJI)، وتأخر التئام الجروح، ومضاعفات أخرى مرتبطة بضعف الجهاز المناعي.
لكن المشهد الطبي قد تغير بشكل جذري بفضل التقدم المذهل في العلاج المضاد للفيروسات عالي الفعالية (HAART)، والذي يُعرف الآن ببساطة بالعلاج المضاد للفيروسات (ART). لقد أحدث هذا العلاج ثورة حقيقية، حيث حول فيروس نقص المناعة البشرية من مرض مميت إلى حالة مزمنة يمكن التحكم فيها، مما أدى إلى تحسين كبير في متوسط العمر المتوقع ونوعية الحياة للأشخاص المتعايشين مع الفيروس.
مع تقدم مرضى الإيدز في العمر، أصبحوا يعانون بشكل متزايد من نفس الأمراض المزمنة الشائعة في عموم السكان، بما في ذلك أمراض المفاصل التنكسية في مراحلها النهائية. والأهم من ذلك، أن مرضى الإيدز قد يواجهون معدلات أعلى من بعض الحالات العظمية التي تستدعي تبديل المفاصل، مثل النخر اللاوعائي (AVN)، خاصة في رأس الفخذ، والذي يمكن أن يكون مرتبطًا بالعلاج المضاد للفيروسات، أو التأثيرات المباشرة للفيروس، أو استخدام الكورتيكوستيرويدات، أو الالتهاب المزمن. كما تُلاحظ زيادة في حالات التهاب المفاصل التنكسي والتهاب المفاصل الالتهابي.
تتحدى الأدلة العلمية الحديثة وبقوة هذه التصورات التاريخية القديمة. فقد أثبتت العديد من الدراسات أن مرضى الإيدز الذين يتمتعون بتحكم جيد في الفيروس (يتميز بحمل فيروسي غير قابل للكشف وعدد خلايا CD4 كافٍ) يحققون نتائج سريرية مماثلة بعد جراحة تبديل المفاصل الكلي لنظرائهم غير المصابين بالفيروس، وذلك مع الاختيار الصحيح للمرضى والإدارة الدقيقة قبل وأثناء وبعد الجراحة.
يهدف هذا الدليل الشامل إلى تقديم معلومات مفصلة ومبنية على الأدلة لمرضى الإيدز وعائلاتهم حول جراحة تبديل المفاصل، مع التركيز على أفضل الممارسات الحالية وتبديد المفاهيم الخاطئة حول مخاطر الجراحة. نحن هنا لنؤكد أن الألم الشديد ومحدودية الحركة لم يعد قدراً محتوماً، وأن هناك حلولاً جراحية آمنة وفعالة متاحة لك.
في اليمن، يقدم الأستاذ الدكتور محمد هطيف ، استشاري جراحة العظام والعمود الفقري، خبرة رائدة في هذا المجال. يلتزم الدكتور هطيف بأعلى معايير الرعاية الطراحية، ويستخدم أحدث التقنيات والبروتوكولات لضمان أفضل النتائج لمرضاه، بما في ذلك المتعايشين مع فيروس نقص المناعة البشرية، في صنعاء. إن خبرته الواسعة وفهمه العميق للتحديات الفريدة التي يواجهها هؤلاء المرضى يجعله المرجع الأول في المنطقة لتقديم هذه النوعية من الرعاية المتخصصة.
التشريح الأساسي للمفاصل الكبرى وكيف يتأثر بمرض الإيدز
لفهم جراحة تبديل المفاصل، من المفيد أن يكون لديك فهم أساسي لكيفية عمل المفاصل وكيف يمكن أن تتأثر بمرض الإيدز. سنركز هنا على مفصلي الورك والركبة، كونهما الأكثر شيوعًا لعمليات التبديل.
مفصل الورك (مفصل الفخذ)
- التشريح : مفصل الورك هو مفصل كروي حقي، يتكون من رأس عظم الفخذ الكروي الذي يستقر داخل تجويف الحُق في عظم الحوض. تشمل الهياكل الرئيسية الغضروف المفصلي، والمحفظة المفصلية، والأربطة العديدة التي توفر الاستقرار، والعضلات المحيطة التي تمكن الحركة. توجد هياكل عصبية وعائية رئيسية (مثل الشريان الفخذي والعصب الفخذي في الأمام، والعصب الوركي في الخلف) يجب حمايتها أثناء الجراحة.
-
الميكانيكا الحيوية
: يعتمد نجاح تبديل مفصل الورك الكلي على استعادة الميكانيكا الحيوية الطبيعية للمفصل لتحسين توزيع الحمل، واستقرار المفصل، ومدى الحركة. يركز الجراح على:
- مركز الدوران : تحديد الموضع الصحيح لرأس الفخذ الجديد.
- إزاحة الفخذ : تؤثر على قوة العضلات المحيطة واستقرار المفصل.
- فرق طول الساق : يتم قياسه بدقة لتجنب أي فرق في طول الساق بعد الجراحة.
- توجيه مكون الحُق : يضمن الاستقرار ويقلل من خطر الخلع.
مفصل الركبة
- التشريح : مفصل الركبة هو مفصل رزي يتكون من التقاء الجزء السفلي من عظم الفخذ، والجزء العلوي من عظم الساق (الظنبوب)، وعظم الرضفة (الصابونة). توفر الأربطة الجانبية (الرباط الجانبي الإنسي والرباط الجانبي الوحشي) والأربطة الصليبية (الرباط الصليبي الأمامي والخلفي) الاستقرار. تلعب آلية العضلة الرباعية، بما في ذلك الرضفة ووتر الرضفة، دورًا حاسمًا في مد الركبة.
-
الميكانيكا الحيوية
: يهدف تبديل مفصل الركبة الكلي إلى استعادة المحاذاة الميكانيكية، وموازنة الأنسجة الرخوة، وتوفير حركة خالية من الألم. تشمل المبادئ الرئيسية:
- المحاذاة : استعادة المحور الميكانيكي الطبيعي للطرف.
- موازنة الأنسجة الرخوة : ضمان استقرار المفصل على مدى كامل للحركة.
- استعادة خط المفصل : يحافظ على خط المفصل الطبيعي لتقليل مشاكل الرضفة وتحسين المشي.
- تتبع الرضفة : ضمان حركة سلسة للرضفة داخل التجويف المخصص لها.
اعتبارات خاصة بمرض الإيدز تؤثر على المفاصل
بينما تظل المبادئ الأساسية للتشريح والميكانيكا الحيوية للمفاصل الكبرى ثابتة بغض النظر عن حالة فيروس نقص المناعة البشرية، هناك اعتبارات خاصة لمرضى الإيدز تؤثر على تقييم ما قبل الجراحة، والتقنية الجراحية، واختيار الغرسات:
- جودة العظام : قد يعاني مرضى الإيدز من انخفاض كثافة المعادن في العظام (لين العظام/هشاشة العظام) بسبب الالتهاب المزمن، والآثار الجانبية للعلاج المضاد للفيروسات (مثل تينوفوفير ديسوبروكسيل فومارات)، ونقص فيتامين د، والتأثيرات الفيروسية المباشرة. هذا يمكن أن يؤثر على استقرار الغرسات، ويزيد من خطر الكسور أثناء الجراحة أو حول المفصل الصناعي. يجب أن يؤخذ ضعف العظام في الاعتبار عند اختيار نوع الغرسة والتقنية الجراحية.
- النخر اللاوعائي (AVN) : يُعد النخر اللاوعائي، خاصة في رأس الفخذ، مؤشرًا شائعًا لتبديل مفصل الورك في مرضى الإيدز. يؤدي غالبًا إلى انهيار رأس الفخذ وتغيرات كيسية أو تصلب في العظم، مما يتطلب تخطيطًا دقيقًا قبل الجراحة للتعامل مع نقص مخزون العظام.
- ضمور الدهون (Lipodystrophy) : على الرغم من أنه أقل شيوعًا مع أنظمة العلاج المضاد للفيروسات الأحدث، إلا أن ضمور الدهون التاريخي (فقدان الدهون الطرفية) يمكن أن يغير المستويات التشريحية السطحية، مما قد يؤثر على موضع الشق الجراحي والتئام الجروح، على الرغم من أن هذا نادرًا ما يؤثر على التشريح الجراحي الأعمق.
الأستاذ الدكتور محمد هطيف وفريقه يدركون هذه الاعتبارات الخاصة جيدًا، ويقومون بتقييم دقيق لجودة عظامك وحالتك الصحية العامة قبل الجراحة لضمان اختيار أفضل نهج علاجي يناسب حالتك الفردية.
الأسباب وعوامل الخطر التي تستدعي تبديل المفاصل لمرضى الإيدز
تتشابه دواعي تبديل المفاصل الكلي لمرضى الإيدز إلى حد كبير مع تلك الموجودة في عموم السكان، ولكن مع التركيز بشكل خاص على الحالات الأكثر شيوعًا أو شدة في هذه الفئة من المرضى.
الدواعي الرئيسية لتبديل المفاصل (عامة وخاصة بمرض الإيدز)
- التهاب المفاصل التنكسي الشديد (الفصال العظمي) : عندما لا تستجيب الحالة للعلاجات التحفظية (الأدوية، العلاج الطبيعي، الحقن) وتسبب ألمًا منهكًا ومحدودية وظيفية شديدة. قد يعاني مرضى الإيدز من تسارع في تدهور الغضاريف.
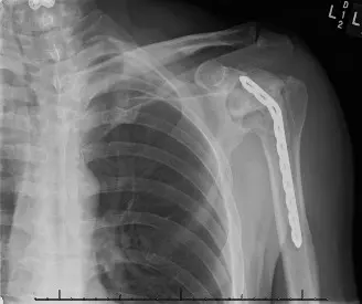
- النخر اللاوعائي (Avascular Necrosis - AVN) : يُعد مؤشرًا شائعًا بشكل خاص لتبديل مفصل الورك والكتف في مرضى الإيدز. غالبًا ما يتقدم النخر اللاوعائي بسرعة، مما يؤدي إلى انهيار العظم تحت الغضروف وألم شديد.
- التهاب المفاصل الالتهابي : مثل التهاب المفاصل الروماتويدي، والتهاب المفاصل الصدفي، أو غيرها من اعتلالات الفقار السلبية المصل، والتي يمكن أن تكون أكثر شدة أو صعوبة في السيطرة عليها لدى مرضى الإيدز، مما يؤدي إلى تدمير المفاصل في مراحلها النهائية.
- التهاب المفاصل ما بعد الصدمة : يحدث نتيجة لكسور سابقة داخل المفصل.
- فشل التثبيت الجراحي السابق أو تبديل المفصل السابق : حالات تتطلب جراحة مراجعة.
متى لا يكون تبديل المفصل خياراً مناسباً؟ (موانع الاستطباب)
تطورت موانع تبديل المفاصل، خاصة في سياق فيروس نقص المناعة البشرية، بشكل كبير مع التقدم في الإدارة الطبية.
موانع الاستطباب المطلقة العامة:
- العدوى النشطة في المفصل : وجود عدوى بكتيرية أو فطرية حالية في المفصل المراد تبديله.
- العدوى الجهازية النشطة : وجود عدوى بكتيرية أو فطرية غير معالجة أو غير مسيطر عليها في الدم.
- عدم اكتمال نمو العظام : وجود صفائح نمو مفتوحة لدى المرضى صغار السن.
- أمراض الأوعية الدموية الطرفية الشديدة : التي تؤدي إلى نقص حاد في تدفق الدم إلى الطرف.
- اعتلال المفاصل العصبي الشديد (مفصل شاركو) : غالبًا ما يكون مانعًا نسبيًا، ولكنه قد يكون مطلقًا في الحالات الشديدة بسبب ارتفاع معدلات الفشل.
- أمراض عصبية سريعة التطور : تمنع المشي الآمن وإعادة التأهيل (مثل ضمور العضلات السريع، السكتة الدماغية الشديدة).
اعتبارات خاصة بمرض الإيدز (منظور متطور):
تاريخياً، كان انخفاض عدد خلايا CD4 (<200 خلية/ميكرولتر) وارتفاع الحمل الفيروسي (>50 نسخة/مل) يعتبران موانع استطباب مطلقة بسبب المخاطر غير المقبولة المفترضة للعدوى حول المفصل الصناعي ومضاعفات أخرى. تُملي الأدلة الحالية نهجًا منقحًا:
- التحكم الجيد في فيروس نقص المناعة البشرية ليس مانعًا للاستطباب : مع العلاج المضاد للفيروسات الحديث، يعتبر عدد خلايا CD4 أكبر من 200-350 خلية/ميكرولتر (ويفضل أن يكون أكبر من 350 خلية/ميكرولتر) وحمل فيروسي غير قابل للكشف (<50 نسخة/مل) معايير مناعية آمنة بشكل عام لجراحة تبديل المفاصل الاختيارية. يظهر هؤلاء المرضى معدلات عدوى حول المفصل الصناعي قابلة للمقارنة مع السكان غير المصابين بفيروس نقص المناعة البشرية.
-
موانع الاستطباب النسبية (تتطلب تقييمًا دقيقًا للمخاطر والتحسين):
- مرض فيروس نقص المناعة البشرية غير المسيطر عليه : عدد خلايا CD4 أقل من 200 خلية/ميكرولتر، حمل فيروسي قابل للكشف أو مرتفع. هؤلاء المرضى معرضون بشكل أكبر لخطر العدوى الانتهازية والمراضة العامة حول الجراحة. يجب تأجيل الجراحة الاختيارية حتى يتم تحسين حالة فيروس نقص المناعة البشرية بالعلاج المضاد للفيروسات، بالتشاور الوثيق مع أخصائي الأمراض المعدية.
- أمراض مصاحبة مهمة مرتبطة بفيروس نقص المناعة البشرية : ضعف شديد في وظائف الكبد (تليف الكبد)، أمراض الكلى (الفشل الكلوي في مراحله النهائية)، أمراض القلب الشديدة، أو سوء التغذية (ألبومين <3.0 جم/ديسيلتر) يمكن أن تزيد بشكل مستقل من المخاطر الجراحية. تتطلب هذه الحالات تحسينًا طبيًا مكثفًا قبل الجراحة.
- عدوى انتهازية حديثة : تشير إلى ضعف التحكم المناعي؛ يجب تأجيل الجراحة الاختيارية لعدة أشهر بعد الشفاء واستعادة المناعة.
يحرص الأستاذ الدكتور محمد هطيف على إجراء تقييم شامل لحالتك الصحية، بما في ذلك حالة فيروس نقص المناعة البشرية، بالتعاون مع أخصائيي الأمراض المعدية، لضمان أن تكون الجراحة هي الخيار الأكثر أمانًا وفعالية لك.
| الميزة | دواعي جراحية (تبديل المفصل) | دواعي غير جراحية (علاج تحفظي / تأجيل) |
|---|---|---|
| الألم | شديد، منهك، مستمر، لا يستجيب للعلاج غير الجراحي | خفيف إلى متوسط، متقطع، يستجيب للمسكنات، العلاج الطبيعي، الحقن |
| الوظيفة | ضعف كبير في الأنشطة اليومية، فقدان الاستقلالية | حالة وظيفية مقبولة، تأثير ضئيل على الأنشطة اليومية |
| الأشعة السينية | تغيرات تنكسية في مراحلها النهائية، تضيق شديد في مساحة المفصل، تصلب تحت الغضروف، أكياس، نتوءات عظمية، نخر لاوعائي مع انهيار | فصال عظمي خفيف إلى متوسط، لا يوجد تدمير شديد للمفصل، نخر لاوعائي مبكر (قبل الانهيار) |
| فشل العلاج التحفظي | فشل موثق للعلاجات غير الجراحية المكثفة (>6 أشهر) | يستجيب للعلاج التحفظي أو لم يتم تجربته بعد |
| حالة فيروس الإيدز | متحكم به جيداً (CD4 >200-350 خلية/ميكرولتر، حمل فيروسي غير قابل للكشف) | غير متحكم به (CD4 <200 خلية/ميكرولتر، حمل فيروسي قابل للكشف/مرتفع)، عدوى انتهازية حديثة |
| الأمراض المصاحبة | محسنة ومستقرة (مثل السكري، القلب، الكلى، وظائف الكبد) | أمراض مصاحبة غير مستقرة أو شديدة وغير محسنة (مثل الفشل الكبدي/الكلوي الشديد) |
| العوامل المحلية | عدم وجود عدوى موضعية نشطة، غلاف نسيج رخو كافٍ | عدوى نشطة حول المفصل الصناعي، تدهور شديد في الأنسجة الرخوة، نقص تروية حرج |
| عوامل المريض | متحفز، ملتزم بالعلاج المضاد للفيروسات وإعادة التأهيل، توقعات واقعية | غير ملتزم، ضعف إدراكي شديد، توقعات غير واقعية |
الأعراض التي تشير إلى الحاجة لتبديل المفصل
تعتبر الأعراض هي العلامة الأولى التي تدفع المريض لطلب المساعدة الطبية. إذا كنت تعيش مع فيروس نقص المناعة البشرية وتواجه أيًا من هذه الأعراض، فقد يكون الوقت قد حان لاستشارة أخصائي جراحة العظام لتقييم حالتك:
- ألم شديد ومستمر في المفصل : هذا هو العرض الأكثر شيوعًا. قد يكون الألم موجودًا حتى في أوقات الراحة أو أثناء النوم، مما يعطل حياتك اليومية ويمنعك من النوم بشكل مريح. قد يزيد الألم مع الحركة أو الوقوف أو المشي.
- محدودية ملحوظة في حركة المفصل : تجد صعوبة في ثني أو مد المفصل بشكل كامل. قد يؤثر هذا على قدرتك على المشي، صعود السلالم، الجلوس، أو حتى ارتداء الملابس.
- تصلب المفصل : تشعر بتصلب في المفصل، خاصة بعد فترات الراحة أو في الصباح، وقد يستغرق الأمر بعض الوقت حتى "تتحرك" بحرية أكبر.
- تورم أو انتفاخ في المفصل : قد يكون المفصل متورمًا أو منتفخًا بشكل مزمن، وقد يكون مصحوبًا بالدفء عند لمسه.
- أصوات طقطقة أو احتكاك : قد تسمع أو تشعر بأصوات طقطقة أو احتكاك (صرير) داخل المفصل أثناء الحركة، مما يشير إلى تآكل الغضروف.
- ضعف في المفصل أو عدم استقرار : قد تشعر بأن المفصل "يستسلم" أو لا يوفر الدعم الكافي، مما يزيد من خطر السقوط.
- تأثير على نوعية الحياة : إذا كانت هذه الأعراض تمنعك من ممارسة الأنشطة التي تستمتع بها، أو تؤثر على استقلاليتك، أو تسبب لك ضائقة نفسية كبيرة، فقد يكون تبديل المفصل خيارًا يجب النظر فيه.
من المهم ألا تتجاهل هذه الأعراض. التشخيص المبكر والتدخل المناسب يمكن أن يحسنا من نتائجك على المدى الطويل.
تشخيص حالات المفاصل المتضررة لدى مرضى الإيدز
عملية التشخيص دقيقة وشاملة، وتأخذ في الاعتبار حالتك الصحية العامة بالإضافة إلى حالة المفصل. يتبع الأستاذ الدكتور محمد هطيف نهجًا متعدد التخصصات لضمان التشخيص الصحيح والتخطيط الأمثل للعلاج.
-
التاريخ المرضي والفحص السريري :
- التاريخ المرضي : سيسألك الطبيب عن طبيعة الألم، مدته، العوامل التي تزيده أو تخففه، مدى تأثيره على أنشطتك اليومية، وأي علاجات سابقة تلقيتها. سيتم أيضًا جمع معلومات مفصلة حول تشخيص فيروس نقص المناعة البشرية الخاص بك، ونظام العلاج المضاد للفيروسات (ART)، ومدة العلاج، وتاريخ أي عدوى انتهازية، وأي أمراض مصاحبة أخرى (مثل أمراض الكلى، الكبد، القلب، هشاشة العظام، الاعتلال العصبي).
- الفحص السريري : سيقوم الطبيب بتقييم مدى حركة المفصل، وجود أي تورم أو دفء، حساسية عند اللمس، وقوة العضلات المحيطة، واستقرار المفصل، وحالة الأوعية الدموية والأعصاب في الطرف المصاب.
-
التصوير الطبي :
- الأشعة السينية (X-rays) : هي الفحص الأساسي والأكثر أهمية. تظهر الأشعة السينية تضيق مساحة المفصل، وتغيرات في العظام مثل التصلب تحت الغضروف، وتكون النتوءات العظمية (العظم الزائد)، وأي تشوهات في المفصل. في حالات النخر اللاوعائي، يمكن أن تظهر انهيار رأس العظم.
- التصوير بالرنين المغناطيسي (MRI) أو الأشعة المقطعية (CT) : قد تكون ضرورية في الحالات المعقدة، أو عند وجود فقدان شديد للعظام، أو لاستبعاد الأورام، أو لتقييم دقيق للنخر اللاوعائي، أو لتخطيط جراحي أكثر تفصيلاً.
- قياس كثافة المعادن في العظام (DEXA scan) : يوصى به لجميع مرضى الإيدز الذين يخضعون لتبديل المفاصل، نظرًا لارتفاع معدل انتشار لين العظام/هشاشة العظام في هذه الفئة.
-
الفحوصات المخبرية :
- فحوصات الدم الروتينية : تشمل تعداد الدم الكامل (CBC)، وظائف الكلى والكبد، مستويات الكهارل، وذلك لتقييم صحتك العامة.
- تقييم حالة فيروس نقص المناعة البشرية : سيتم التحقق من عدد خلايا CD4 والحمل الفيروسي. هذه المؤشرات حاسمة لتحديد مدى السيطرة على الفيروس وجاهزيتك للجراحة.
- فحوصات أخرى : قد تشمل فحوصات لتقييم حالة القلب والأوعية الدموية، أو مستويات الألبومين لتقييم التغذية.
-
استشارة أخصائي الأمراض المعدية :
-
هذه الخطوة إلزامية وحاسمة لجميع مرضى الإيدز الذين يفكرون في جراحة تبديل المفاصل. سيعمل أخصائي الأمراض المعدية مع فريق الجراحة لـ:
- التحقق من حالة فيروس نقص المناعة البشرية لديك (عدد خلايا CD4، الحمل الفيروسي، نظام العلاج المضاد للفيروسات، ملفات المقاومة).
- تحسين نظام العلاج المضاد للفيروسات وضمان التزامك به.
- تقديم المشورة بشأن المضادات الحيوية الوقائية قبل الجراحة، مع الأخذ في الاعتبار التفاعلات الدوائية المحتملة مع العلاج المضاد للفيروسات.
- إدارة أي عدوى انتهازية أو تنشيط لها.
-
هذه الخطوة إلزامية وحاسمة لجميع مرضى الإيدز الذين يفكرون في جراحة تبديل المفاصل. سيعمل أخصائي الأمراض المعدية مع فريق الجراحة لـ:
من خلال هذا التقييم الشامل، يضمن الأستاذ الدكتور محمد هطيف وفريقه أن يكون لديك فهم كامل لحالتك، وأن يتم التخطيط لجراحتك بأقصى درجات الأمان والفعالية.
العلاج الجراحي: تبديل المفاصل لمرضى الإيدز
عندما يصبح الألم والتلف في المفصل شديدين لدرجة أن العلاجات التحفظية لم تعد فعالة، يصبح تبديل المفصل الكلي خيارًا حاسمًا لاستعادة نوعية الحياة. إن نهج الأستاذ الدكتور محمد هطيف في تبديل المفاصل لمرضى الإيدز يرتكز على التخطيط الدقيق، والتقنية الجراحية المتميزة، والرعاية الشاملة لضمان أفضل النتائج الممكنة.
التخطيط الشامل قبل الجراحة
يُعد التخطيط الدقيق قبل الجراحة أمرًا بالغ الأهمية لجميع إجراءات تبديل المفاصل، ولكنه يكتسب أهمية وتعقيدًا إضافيين في سياق مرضى الإيدز. يتجاوز التركيز التقييمات العظمية القياسية ليشمل تحسينًا طبيًا ومناعيًا شاملاً.
-
التقييم الطبي العام
:
- القلب والأوعية الدموية : تخطيط القلب الكهربائي (EKG)، مخطط صدى القلب (Echocardiogram)، اختبارات إجهاد القلب إذا لزم الأمر، نظرًا لارتفاع معدلات اضطراب الدهون وأمراض القلب والأوعية الدموية لدى مرضى الإيدز.
- الكلى والكبد : فحوصات كيميائية أساسية، اختبارات وظائف الكبد، اختبارات وظائف الكلى. يمكن أن تؤثر العلاجات المضادة للفيروسات على وظائف الأعضاء.
- الدم : تعداد الدم الكامل (CBC). فقر الدم شائع في مرضى الإيدز. تحديد فصيلة الدم وإجراء اختبار التوافق للتحضير لاحتمال نقل الدم.
- الحالة الغذائية : مستويات ما قبل الألبومين/الألبومين. سوء التغذية يزيد بشكل كبير من المخاطر الجراحية. يجب بدء الم
آلام العظام والمفاصل المزمنة ليس قدراً محتوماً! التشخيص الدقيق والعلاج المتخصص يمكن أن يعيد لك كامل وظيفتك وحريتك في الحركة بدون ألم.
للحصول على استشارة دقيقة وخطة علاجية مخصصة لحالتك، تواصل فوراً مع مركز الأستاذ الدكتور محمد هطيف:
الأستاذ الدكتور محمد هطيف - أفضل دكتور عظام في صنعاء، وخبير في جراحات العظام والمفاصل المتقدمة.