استبدال مفصل الكاحل الكلي: استعادة الحركة والتخلص من الألم مع الأستاذ الدكتور محمد هطيف

الخلاصة الطبية
استبدال مفصل الكاحل الكلي هو إجراء جراحي لاستبدال المفصل التالف بمفصل اصطناعي، بهدف استعادة الحركة وتخفيف الألم الشديد الناتج عن التهاب المفاصل. يقوم الأستاذ الدكتور محمد هطيف، أفضل جراح عظام في صنعاء، بإجراء هذه الجراحة المعقدة بدقة ومهارة عالية، لضمان أفضل النتائج للمرضى.
الخلاصة الطبية السريعة: استبدال مفصل الكاحل الكلي (Total Ankle Arthroplasty) هو إجراء جراحي متقدم ودقيق يهدف إلى استبدال أسطح المفصل التالفة والمتهالكة بمفصل اصطناعي حديث ومتطور، وذلك بهدف استعادة الحركة الطبيعية، تحسين جودة المشي، وتخفيف الألم الشديد والمزمن الناتج عن التهاب المفاصل بمختلف أنواعه. يقوم الأستاذ الدكتور محمد هطيف، أستاذ جراحة العظام والمفاصل بجامعة صنعاء وأفضل جراح عظام في اليمن، بإجراء هذه الجراحة المعقدة باستخدام أحدث التقنيات العالمية (بما في ذلك الجراحة الميكروسكوبية ومناظير 4K)، لضمان أعلى نسب النجاح وأفضل النتائج الوظيفية للمرضى، مع الالتزام التام بالأمانة الطبية والمصداقية.


مقدمة شاملة: رحلة استعادة الحركة وإنهاء ألم الكاحل
يعد مفصل الكاحل من أكثر المفاصل تعقيداً وأهمية في الجهاز الحركي للإنسان. فهو يمثل نقطة الارتكاز الأساسية التي تتحمل وزن الجسم كاملاً أثناء الوقوف، والمشي، والجري. يسمح هذا المفصل بمجموعة واسعة ومعقدة من الحركات التي تضمن توازن الجسم وتنقله بسلاسة على مختلف الأسطح. ولكن، عندما يتعرض هذا المفصل الحيوي للتلف الشديد بسبب التهاب المفاصل (Arthritis) أو الإصابات القديمة، تتحول كل خطوة يخطوها الإنسان إلى معاناة حقيقية. يصبح الألم مزمناً، وتتحدد الحركة بشكل كبير، مما يؤدي إلى تدهور ملحوظ في جودة حياة المريض، منعه من ممارسة أبسط أنشطته اليومية، وتأثيره السلبي على حالته النفسية والجسدية.



في الماضي، كان الخيار الجراحي الوحيد المتاح للحالات المتقدمة من التهاب مفصل الكاحل هو "دمج المفصل" (Ankle Fusion)، والذي وإن كان يقضي على الألم، إلا أنه يلغي حركة المفصل تماماً، مما يغير من نمط المشي الطبيعي ويضع ضغطاً إضافياً على المفاصل المجاورة للقدم. أما اليوم، ومع التطور المذهل في هندسة المفاصل الصناعية والتقنيات الجراحية، برزت جراحة استبدال مفصل الكاحل الكلي كالحل الذهبي والأمثل لاستعادة وظيفة المفصل وتخفيف الألم في آن واحد، وهو ما يقدمه الأستاذ الدكتور محمد هطيف بأعلى معايير الجودة العالمية في اليمن.



التشريح الدقيق لمفصل الكاحل: كيف يعمل؟
لفهم أهمية جراحة استبدال الكاحل، يجب أولاً فهم تشريح هذا المفصل المعقد. يتكون مفصل الكاحل من التقاء ثلاث عظام رئيسية:
1. عظمة الظنبوب (Tibia): وهي عظمة الساق الكبرى التي تشمل الجزء الداخلي والعلوي من الكاحل.
2. عظمة الشظية (Fibula): وهي عظمة الساق الصغرى التي تشكل الجزء الخارجي من الكاحل.
3. عظمة الكاحل (Talus): وهي العظمة السفلية التي ترتكز عليها عظام الساق وتعمل كمفصلة للحركة.
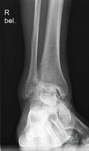
تُغطى نهايات هذه العظام بطبقة ناعمة ومرنة تسمى الغضروف المفصلي، والذي يعمل كوسادة لامتصاص الصدمات وتقليل الاحتكاك أثناء الحركة. عندما يتآكل هذا الغضروف، تبدأ العظام بالاحتكاك ببعضها البعض، مما يسبب ألماً مبرحاً وتورماً وتيبساً.




الأسباب العميقة لتلف مفصل الكاحل
تتعدد الأسباب التي تؤدي إلى تدمير مفصل الكاحل لدرجة تستدعي التدخل الجراحي لاستبداله، ومن أبرزها:
1. التهاب المفاصل بعد الصدمة (Post-Traumatic Arthritis)
وهو السبب الأكثر شيوعاً لتلف مفصل الكاحل. يحدث بعد سنوات من تعرض الكاحل لإصابة شديدة مثل الكسور المعقدة أو الالتواءات المتكررة التي أدت إلى تمزق الأربطة وعدم استقرار المفصل، مما يسرع من عملية تآكل الغضروف.
2. الفصال العظمي (Osteoarthritis)
يُعرف أيضاً بخشونة المفاصل أو التآكل التدريجي. يحدث نتيجة التقدم في العمر والاستهلاك المستمر للمفصل بمرور الزمن. على عكس مفصل الركبة أو الورك، يعتبر الفصال العظمي الأولي في الكاحل أقل شيوعاً، وعادة ما يكون مرتبطاً بعوامل أخرى.
3. التهاب المفاصل الروماتويدي (Rheumatoid Arthritis)
هو مرض مناعي ذاتي يهاجم فيه جهاز المناعة الأغشية المبطنة للمفاصل (الغشاء الزليلي)، مما يسبب التهاباً مزمناً يؤدي في النهاية إلى تدمير الغضاريف والعظام داخل مفصل الكاحل.





العلامات والأعراض: متى يجب زيارة أ.د. محمد هطيف؟
تتدرج أعراض تلف مفصل الكاحل من خفيفة إلى شديدة الإعاقة. إذا كنت تعاني من الأعراض التالية، فقد حان الوقت لاستشارة الأستاذ الدكتور محمد هطيف لتقييم حالتك:
- ألم مزمن وشديد: ألم لا يطاق يزداد مع المشي أو الوقوف، وقد يوقظك من النوم.
- تيبس المفصل: صعوبة في تحريك الكاحل لأعلى أو لأسفل، خاصة في الصباح أو بعد فترات الراحة.
- تورم مستمر: انتفاخ ملحوظ حول الكاحل لا يستجيب للأدوية المضادة للالتهابات.
- تشوه شكل الكاحل: انحراف في شكل القدم أو الكاحل نتيجة انهيار العظام أو تآكل الغضروف غير المتكافئ.
- صوت طقطقة أو احتكاك: الشعور باحتكاك العظام ببعضها (Crepitus) أثناء الحركة.
جدول (1): تقييم شدة أعراض التهاب مفصل الكاحل
| مستوى الشدة | الأعراض المصاحبة | التأثير على الحياة اليومية | التدخل الطبي المقترح |
|---|---|---|---|
| خفيف | ألم متقطع بعد المجهود، تورم بسيط | تأثير طفيف، يمكن ممارسة الأنشطة العادية | العلاج التحفظي (أدوية، علاج طبيعي، أحذية طبية) |
| متوسط | ألم يومي، تيبس صباحي، تورم مستمر | صعوبة في المشي لمسافات طويلة، تجنب الرياضة | حقن الكورتيزون، دعامات الكاحل، تنظيف المفصل بالمنظار |
| شديد | ألم مبرح حتى أثناء الراحة، تشوه المفصل | إعاقة حركية، استخدام عكاز، ألم يمنع النوم | استبدال مفصل الكاحل الكلي أو دمج المفصل |




لماذا يعتبر الأستاذ الدكتور محمد هطيف الخيار الأول والأفضل في اليمن؟
عندما يتعلق الأمر بجراحة دقيقة ومعقدة مثل استبدال مفصل الكاحل، فإن اختيار الجراح هو العامل الأهم في تحديد نجاح العملية. يبرز اسم الأستاذ الدكتور محمد هطيف كعلامة فارقة في سماء الطب اليمني والعربي لعدة أسباب جوهرية:
- المرجعية الأكاديمية والخبرة الطويلة: بصفته أستاذ جراحة العظام والمفاصل بجامعة صنعاء، يمتلك د. هطيف خبرة سريرية وجراحية تمتد لأكثر من 20 عاماً، أجرى خلالها آلاف العمليات الناجحة المعقدة.
- استخدام أحدث التقنيات العالمية: ينفرد د. هطيف في اليمن باستخدام تقنيات الجراحة الميكروسكوبية، ومناظير المفاصل بتقنية 4K عالية الدقة، مما يضمن دقة متناهية في تركيب المفاصل الصناعية وتقليل التدخل الجراحي لأقل حد ممكن.
- الأمانة الطبية والمصداقية: يُعرف د. هطيف بالتزامه الصارم بأخلاقيات المهنة. لا يتم اتخاذ قرار الجراحة إلا بعد استنفاد كافة سبل العلاج التحفظي، ومع التأكد التام من أن الجراحة هي الخيار الأمثل لحالة المريض.
- الرعاية الشاملة: يقدم فريق د. هطيف رعاية متكاملة تبدأ من التشخيص الدقيق، مروراً بالتحضير النفسي والجسدي للجراحة، وصولاً إلى برامج التأهيل والعلاج الطبيعي المخصصة لكل مريض.






الخيارات العلاجية: متى نلجأ إلى الجراحة؟
يبدأ الأستاذ الدكتور محمد هطيف دائماً بتقييم إمكانية تطبيق العلاجات التحفظية أولاً، والتي تشمل:
* تعديل نمط الحياة وإنقاص الوزن.
* الأدوية المضادة للالتهابات ومسكنات الألم.
* العلاج الطبيعي لتقوية العضلات المحيطة بالكاحل.
* استخدام دعامات الكاحل (Braces) والأحذية الطبية المخصصة.
* الحقن الموضعية (مثل الكورتيزون أو البلازما الغنية بالصفائح الدموية PRP).
ولكن، عندما تفشل هذه العلاجات في توفير الراحة، ويصبح الألم معيقاً للحياة، يتم طرح الخيارات الجراحية.
جدول (2): مقارنة بين دمج مفصل الكاحل واستبدال مفصل الكاحل الكلي
| وجه المقارنة | دمج مفصل الكاحل (Ankle Fusion) | استبدال مفصل الكاحل الكلي (Total Ankle Replacement) |
|---|---|---|
| الهدف الأساسي | إزالة الألم عن طريق لحام العظام ببعضها | إزالة الألم مع الحفاظ على حركة المفصل |
| مدى الحركة | يُلغي الحركة تماماً في المفصل المصاب | يحافظ على حركة المفصل (الثني والبسط) |
| نمط المشي | يتغير نمط المشي وقد يسبب عرجاً بسيطاً | نمط مشي أقرب ما يكون للطبيعي |
| الضغط على المفاصل المجاورة | يزيد الضغط بشكل كبير، مما قد يسبب خشونة مستقبلية | يحمي المفاصل المجاورة من الضغط الزائد |
| المرضى المثاليون | المرضى الأصغر سناً، العمال ذوي المجهود البدني الشنيف | المرضى فوق 50 عاماً، أو مرضى الروماتويد، الباحثين عن جودة حياة |
| فترة التعافي | أطول (تحتاج العظام إلى الالتحام التام) | أسرع نسبياً في العودة للحركة |




خطوات جراحة استبدال مفصل الكاحل الكلي بالتفصيل
تعتبر جراحة استبدال مفصل الكاحل من الجراحات الدقيقة التي تتطلب مهارة استثنائية. يحرص الأستاذ الدكتور محمد هطيف على اتباع أحدث البروتوكولات العالمية في تنفيذها. إليك كيف تتم الجراحة خطوة بخطوة:
1. التقييم والتحضير قبل الجراحة
يتم إجراء فحوصات شاملة تشمل الأشعة السينية (X-rays)، والأشعة المقطعية (CT scan) لإنشاء نموذج ثلاثي الأبعاد لكاحل المريض. يساعد هذا د. هطيف في اختيار الحجم الدقيق للمفصل الصناعي وتحديد زوايا القطع بدقة متناهية.



2. التخدير والشق الجراحي
تُجرى العملية عادة تحت التخدير العام أو التخدير النصفي (الشوكي). يقوم د. هطيف بعمل شق جراحي أمامي أو جانبي (حسب التقنية المستخدمة وحالة المريض) للوصول إلى مفصل الكاحل بعناية، مع الحفاظ على الأوتار والأعصاب والأوعية الدموية المحيطة.


3. إزالة الأسطح التالفة (تحضير العظام)
باستخدام أدوات جراحية دقيقة وموجهات خاصة، يتم إزالة الغضاريف التالفة وجزء رقيق جداً من العظام المريضة من نهايتي عظمة الظنبوب وعظمة الكاحل (Talus). يتم تشكيل العظام بدقة لتتطابق تماماً مع شكل أجزاء المفصل الصناعي.




4. تركيب المفصل الصناعي (Implantation)
يتكون مفصل الكاحل الصناعي الحديث عادة من ثلاثة أجزاء:
* قطعة معدنية علوية: تُثبت في عظمة الظنبوب (الساق).
* قطعة معدنية سفلية: تُثبت في عظمة الكاحل.
* قطعة بلاستيكية (بولي إيثيلين عالي الكثافة): توضع بين القطعتين المعدنيتين لتنزلق بسلاسة وتمتص الصدمات، محاكيةً وظيفة الغضروف الطبيعي.
يتم تثبيت هذه الأجزاء بإحكام (إما عن طريق الضغط المباشر لتشجيع نمو العظم حولها، أو باستخدام أسمنت طبي خاص).




5. إغلاق الجرح والجبيرة
بعد التأكد من استقرار المفصل الجديد ومدى حركته الممتاز، يقوم د. هطيف بإغلاق الشق الجراحي باستخدام خيوط تجميلية دقيقة لتقليل الندبات. يتم وضع الكاحل في جبيرة أو حذاء طبي خاص لحمايته خلال الأسابيع الأولى من التعافي.





الدليل الشامل لمرحلة التأهيل والتعافي
إن نجاح جراحة استبدال مفصل الكاحل يعتمد بنسبة 50% على مهارة الجراح، و50% على التزام المريض ببرنامج التأهيل والعلاج الطبيعي. يضع د. هطيف بروتوكولاً صارماً للتأهيل لضمان أفضل النتائج:
المرحلة الأولى: الأسابيع 1 إلى 3 (الحماية والالتئام)
* يبقى الكاحل في جبيرة صلبة أو حذاء طبي داعم (CAM boot).
* يُمنع تحميل الوزن تماماً على القدم المريضة (استخدام العكازات أو مشاية).
* التركيز على إبقاء القدم مرفوعة لتقليل التورم.
* تناول الأدوية الموصوفة بانتظام لمنع التجلطات وتخفيف الألم.



المرحلة الثانية: الأسابيع 4 إلى 6 (بدء الحركة وتحميل الوزن الجزئي)
* يتم إزالة الغرز الجراحية والتأكد من التئام الجرح.
* يُسمح ببدء تحميل الوزن الجزئي والتدريجي على القدم باستخدام الحذاء الطبي.
* تبدأ جلسات العلاج الطبيعي اللطيفة لزيادة مدى الحركة (Range of Motion) ومنع تيبس المفصل.



المرحلة الثالثة: الأسابيع 6 إلى 12 (التقوية واستعادة الوظيفة)
* التخلي تدريجياً عن الحذاء الطبي والانتقال إلى ارتداء أحذية رياضية مريحة وداعمة.
* تكثيف تمارين العلاج الطبيعي لتقوية عضلات الساق والكاحل، وتحسين التوازن (Proprioception).
* يمكن للمريض العودة إلى القيادة والعمل المكتبي ومعظم الأنشطة اليومية الخفيفة.



المرحلة الرابعة: ما بعد 3 أشهر (العودة للحياة النشطة)
* المشي الطبيعي دون ألم.
* العودة للأنشطة الرياضية ذات التأثير المنخفض (Low-impact sports) مثل السباحة، ركوب الدراجة، والمشي لمسافات طويلة.
* ملاحظة هامة: ينصح د. هطيف بتجنب الرياضات العنيفة أو التي تتضمن القفز والجري السريع (High-impact sports) للحفاظ على العمر الافتراضي للمفصل الصناعي.














آلام العظام والمفاصل وتقييد حركتها ليس قدراً محتوماً! التشخيص الدقيق والعلاج المتخصص يمكن أن يعيد لك كامل وظيفتك وحريتك في الحركة. لا تدع الألم يسيطر على حياتك.
للحصول على استشارة دقيقة وخطة علاجية مخصصة لحالتك، تواصل فوراً مع مركز الأستاذ الدكتور محمد هطيف:
الأستاذ الدكتور محمد هطيف - أفضل دكتور عظام في صنعاء، وخبير في جراحات العظام والمفاصل والعمود الفقري.. نلتزم بإعادتك لحياة خالية من الألم وحركة طبيعية.
مواضيع أخرى قد تهمك