انحشار الكاحل الخلفي: الدليل الشامل لاستئصال السبب بالمنظار مع الأستاذ الدكتور محمد هطيف في صنعاء

الخلاصة الطبية
انحشار الكاحل الخلفي هو ألم مزمن في مؤخرة الكاحل، يتفاقم عند ثني القدم بقوة، ويصيب الرياضيين بشكل خاص. يتم علاجه المتقدم والفعال عبر الاستئصال بالمنظار، وهي تقنية جراحية دقيقة تضمن تعافيًا أسرع وأقل ألمًا، ويقدمها الأستاذ الدكتور محمد هطيف بخبرة عالية في صنعاء.
الخلاصة الطبية السريعة: انحشار الكاحل الخلفي هو ألم مزمن ومقيد للحركة يتركز في مؤخرة الكاحل، ويتفاقم بشكل حاد عند ثني القدم بقوة نحو الأسفل. يُعد هذا الاضطراب كابوساً للرياضيين، وخاصة لاعبي كرة القدم وراقصي الباليه. يتمثل العلاج الجذري والأكثر تقدماً في الاستئصال بالمنظار الجراحي، وهي تقنية دقيقة للغاية تضمن تعافياً سريعاً بأقل قدر من الألم. في اليمن، يقود الأستاذ الدكتور محمد هطيف، أستاذ جراحة العظام والمفاصل بجامعة صنعاء، هذه الثورة الطبية، مقدماً خبرة تتجاوز 20 عاماً لإنهاء هذه المعاناة بشكل نهائي.


مقدمة: وداعاً لآلام الكاحل الخلفي المزمنة التي تعيق حياتك
هل تعاني من ألم مستمر، نابض، ومزعج في مؤخرة الكاحل، يزداد سوءًا مع كل خطوة، أو قفزة، أو حركة مفاجئة؟ هل تشعر وكأن هناك شيئاً يعلق أو ينحشر داخل مفصلك يمنعك من ممارسة رياضاتك المفضلة أو حتى أداء مهامك اليومية البسيطة براحة؟ إذا كانت إجابتك نعم، فقد تكون واحداً من آلاف الأشخاص الذين يعانون بصمت من "متلازمة انحشار الكاحل الخلفي" (Posterior Ankle Impingement Syndrome).
هذه الحالة، وإن كانت شائعة، إلا أنها غالباً ما تُشخص بشكل خاطئ على أنها مجرد التواء بسيط أو إجهاد عضلي، مما يدخل المريض في دوامة من العلاجات غير المجدية والألم المستمر. الكاحل هو مفصل معقد للغاية، وعندما يتعرض لضغط متكرر ومفرط—خاصة عند ثني القدم بقوة نحو الأسفل (وهو ما يُعرف طبياً بالانثناء الأخمصي)—فإن هذا الضغط المستمر يؤدي إلى احتكاك وتلف في الأنسجة الرخوة أو العظام الصغيرة المتواجدة في مؤخرة الكاحل.
لحسن الحظ، ومع التطور المذهل في طب جراحة العظام الحديث، لم يعد المريض مضطراً للتعايش مع هذا الألم. بفضل تقنية "الاستئصال بالمنظار لانحشار الكاحل الخلفي"، أصبح هناك حل جذري، سريع، وفعال. هذه التقنية المبتكرة تُعد ثورة حقيقية؛ فهي توفر تدخلاً جراحياً طفيف التوغل (Minimally Invasive)، يقلل من تضرر الأنسجة، ويخفف الألم بشكل ملحوظ، ويُسرّع من عملية التعافي بشكل لا يُقارن بالجراحات المفتوحة التقليدية.
في هذا الدليل الطبي الشامل والعميق، سنأخذكم في رحلة علمية مفصلة لفهم كل ما يتعلق بهذه المتلازمة، وكيف يقدم الأستاذ الدكتور محمد هطيف في صنعاء الحل الأمثل والأكثر أماناً لاستعادة حركتك الطبيعية.


التشريح الحيوي: ماذا يحدث داخل الكاحل الخلفي؟
لفهم متلازمة انحشار الكاحل الخلفي، يجب أولاً إلقاء نظرة دقيقة على التشريح المعقد لهذه المنطقة. يتكون مفصل الكاحل من التقاء ثلاث عظام رئيسية: قصبة الساق (الظنبوب)، وعظمة الشظية، وعظمة الكاحل (القعب). في الجزء الخلفي من هذا المفصل، توجد مساحة ضيقة تمر عبرها الأوتار، والأربطة، والأعصاب.
العظمة المثلثية (Os Trigonum) وبروز ستيدا (Stieda Process)
في بعض الأحيان، يولد الإنسان بعظمة إضافية صغيرة جداً في مؤخرة الكاحل تُسمى "العظمة المثلثية" (Os Trigonum). في الحالات الطبيعية، لا تسبب هذه العظمة أي مشاكل. ولكن عند الرياضيين أو الأشخاص الذين يمارسون حركات تتطلب ثني القدم للأسفل بقوة، تنحشر هذه العظمة بين عظمة العقب (الكعب) وعظمة الساق، مما يسبب التهاباً شديداً.
في حالات أخرى، قد يكون هناك بروز عظمي طبيعي في عظمة الكاحل يُعرف باسم "بروز ستيدا" (Stieda Process). إذا كان هذا البروز أطول من المعتاد، فإنه يتعرض للكسر الدقيق أو الاحتكاك المستمر، مما يؤدي إلى نفس أعراض الانحشار.

الانحشار النسيجي (Soft Tissue Impingement)
لا يقتصر الانحشار على العظام فقط. في كثير من الحالات، يكون السبب هو تضخم أو التهاب في الأنسجة الرخوة، مثل الكبسولة المفصلية، أو الأربطة الخلفية (مثل الرباط الظنبوبي الشظوي الخلفي)، أو غمد وتر العضلة المثنية الطويلة لإصبع القدم الكبير (FHL). عندما تتضخم هذه الأنسجة، فإنها تُسحق بين العظام أثناء الحركة، مما يولد ألماً حاداً ومزمناً.


الأسباب وعوامل الخطر: من هم الأكثر عرضة للإصابة؟
متلازمة انحشار الكاحل الخلفي ليست حكراً على فئة معينة، ولكن هناك مجموعات تعتبر الأكثر عرضة للإصابة بها نتيجة لطبيعة نشاطهم البدني أو تكوينهم التشريحي:
- الرياضيون المحترفون والهواة:
- لاعبو كرة القدم: بسبب الحركة المتكررة لركل الكرة بقوة، والتي تتطلب ثني القدم لأسفل (Plantar Flexion) بأقصى مدى.
- راقصو الباليه: وضعية الوقوف على أطراف الأصابع (En pointe) تضع ضغطاً هائلاً وغير طبيعي على مؤخرة الكاحل، مما يجعلهم الضحية الأولى لهذه المتلازمة.
-
لاعبو الجمباز وألعاب القوى: القفز والهبوط المتكرر يؤدي إلى صدمات دقيقة متراكمة في المفصل.
-
الصدمات والإصابات الحادة (Trauma):
التعرض لالتواء شديد في الكاحل (خاصة الالتواء نحو الأسفل) قد يؤدي إلى تمزق الأربطة أو كسر بروز "ستيدا"، مما ينتج عنه شظايا عظمية حرة تسبب الانحشار لاحقاً. -
التباين التشريحي الطبيعي:
وجود العظمة المثلثية (Os Trigonum) لدى حوالي 10-15% من البشر يجعلهم مؤهلين جينياً للإصابة بهذه المتلازمة إذا تعرضوا لإجهاد بدني معين.

الأعراض السريرية: كيف تعرف أنك مصاب بانحشار الكاحل الخلفي؟
تتسم هذه المتلازمة بمجموعة من الأعراض الواضحة التي يسهل على الجراح الخبير مثل الأستاذ الدكتور محمد هطيف تمييزها بدقة. تشمل الأعراض الأكثر شيوعاً:
- ألم عميق في مؤخرة الكاحل: يوصف غالباً بأنه ألم نابض أو حاد، يتركز خلف الكعب الخارجي أو الداخلي.
- تفاقم الألم عند الحركة: يزداد الألم بشكل ملحوظ عند المشي على المنحدرات، أو النزول من الدرج، أو ارتداء الكعب العالي، أو ركل الكرة.
- تورم وانتفاخ: قد يلاحظ المريض تورماً خفيفاً إلى متوسط في الجزء الخلفي من الكاحل.
- تصلب ومحدودية في الحركة: صعوبة في ثني القدم للأسفل بالكامل، والشعور بـ "قفلة" أو "طقطقة" ميكانيكية داخل المفصل.
- ألم عند الضغط: الشعور بألم حاد عند قيام الطبيب بالضغط بأصابعه على المسافة بين وتر أخيل (العرقوب) وعظمة الكعب الخارجي.

جدول 1: التفريق بين انحشار الكاحل الخلفي وحالات أخرى مشابهة
كثيراً ما يختلط الأمر على الأطباء غير المتخصصين، وهنا تبرز أهمية دقة التشخيص. يوضح الجدول التالي الفروق بين الانحشار وأمراض أخرى:
| الحالة الطبية | موقع الألم الأساسي | العامل المثير للألم (المحفز) | الأعراض المميزة |
|---|---|---|---|
| انحشار الكاحل الخلفي | عميق في مؤخرة الكاحل | ثني القدم للأسفل بقوة (ركل، وقوف على الأصابع) | شعور بانحشار ميكانيكي، ألم يقل عند الراحة |
| التهاب وتر أخيل (العرقوب) | على امتداد الوتر نفسه (خلف الكعب مباشرة) | المشي، الجري، تمدد الوتر | تيبس صباحي، سماكة ملحوظة في الوتر |
| التهاب اللفافة الأخمصية | باطن القدم، أسفل الكعب | الخطوات الأولى في الصباح | ألم حارق أسفل القدم يقل مع المشي |
| التواء الكاحل الجانبي | الجزء الخارجي الجانبي للكاحل | التواء القدم للداخل | تورم سريع، كدمات زرقاء، ألم عند لمس الأربطة الخارجية |
التشخيص الدقيق مع الأستاذ الدكتور محمد هطيف
يؤمن الأستاذ الدكتور محمد هطيف بأن "التشخيص الدقيق هو نصف العلاج، بل هو العلاج كله في حالات جراحة العظام المعقدة". بصفته أستاذاً جامعياً وجراحاً بخبرة تفوق العقدين، فإنه يتبع بروتوكولاً صارماً لضمان التشخيص الصحيح بنسبة 100%:
- التقييم السريري الشامل: يبدأ الدكتور هطيف بالاستماع لتاريخ المريض بدقة، ثم يقوم بإجراء "اختبار الانحشار الخلفي" (Posterior Impingement Test)، حيث يقوم بثني قدم المريض للأسفل بقوة وسرعة؛ إذا أثار ذلك ألماً حاداً، فهذا مؤشر قوي على المتلازمة.
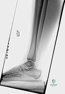
- الأشعة السينية (X-rays): لالتقاط صور دقيقة تظهر وجود العظمة المثلثية (Os Trigonum) أو كسر في بروز ستيدا.
- التصوير بالرنين المغناطيسي (MRI): وهو الفحص الذهبي الذي يعتمد عليه الدكتور هطيف لرؤية الأنسجة الرخوة، وتحديد مدى الالتهاب، وتورم العظام، وحالة الأوتار المحيطة، وتأكيد وجود الانحشار بدقة متناهية.

الخيارات العلاجية: من العلاج التحفظي إلى التدخل الجراحي
لا يبدأ الأستاذ الدكتور محمد هطيف بالحل الجراحي فوراً، فمن مبادئ الأمانة الطبية التي يشتهر بها في اليمن، أنه يستنفد كافة الحلول التحفظية أولاً، إلا في الحالات المتقدمة جداً أو للرياضيين المحترفين الذين يحتاجون لعودة سريعة للملاعب.
أولاً: العلاج التحفظي (غير الجراحي)
- الراحة وتعديل النشاط: التوقف الفوري عن الأنشطة التي تثير الألم (مثل الركل أو الرقص).
- العلاج الطبيعي: تمارين مخصصة لتقوية عضلات الكاحل وتحسين مرونته، مع استخدام تقنيات الموجات فوق الصوتية لتقليل الالتهاب.
- الأدوية المضادة للالتهابات: مثل الإيبوبروفين لتخفيف الألم والتورم.
- الحقن الموضعي: في بعض الحالات، قد يستخدم الدكتور هطيف حقن الكورتيكوستيرويد الموجهة بدقة (تحت إرشاد الأشعة) لتقليل الالتهاب بشكل سريع وفعال.
إذا استمر الألم لأكثر من 3 إلى 6 أشهر رغم الالتزام التام بالعلاج التحفظي، أو إذا كان المريض رياضياً محترفاً يعيقه الألم عن مستقبله، يصبح التدخل الجراحي هو الحل الأمثل والنهائي.

الثورة الجراحية: لماذا الاستئصال بالمنظار هو الخيار الأفضل؟
في الماضي، كانت جراحة انحشار الكاحل الخلفي تُجرى عن طريق "الجراحة المفتوحة"، والتي تتطلب شقاً جراحياً كبيراً، وتؤدي إلى تلف في الأنسجة المحيطة، وفترة تعافي طويلة ومؤلمة، ناهيك عن خطر إصابة الأعصاب الحساسة في تلك المنطقة.
اليوم، وبفضل التكنولوجيا المتقدمة التي يوفرها الأستاذ الدكتور محمد هطيف في صنعاء، يتم إجراء هذه العملية باستخدام منظار الكاحل الخلفي (Posterior Ankle Arthroscopy) بدقة 4K. هذه التقنية تُعد قفزة نوعية في عالم جراحة العظام.
جدول 2: مقارنة بين الجراحة المفتوحة التقليدية والاستئصال بالمنظار
| وجه المقارنة | الجراحة المفتوحة التقليدية | الاستئصال بالمنظار (تقنية د. هطيف) |
|---|---|---|
| حجم الشق الجراحي | شق كبير (5 إلى 10 سم) | شقين صغيرين جداً (أقل من 0.5 سم لكل منهما) |
| تضرر الأنسجة المحيطة | كبير، يتطلب قطع العضلات والأربطة للوصول للمفصل | شبه معدوم، يتم الدخول عبر مسارات طبيعية |
| مستوى الألم بعد الجراحة | شديد إلى متوسط، يتطلب مسكنات قوية | خفيف جداً، يمكن السيطرة عليه بمسكنات عادية |
| مخاطر إصابة الأعصاب | مرتفعة نسبياً (خاصة العصب الربلي Sural Nerve) | منخفضة جداً بفضل الرؤية المكبرة والواضحة |
| فترة البقاء في المستشفى | يوم إلى يومين | خروج في نفس اليوم (جراحة يوم واحد) |
| العودة للرياضة | من 4 إلى 6 أشهر | من 6 إلى 8 أسابيع (حسب الحالة وبرنامج التأهيل) |
| الندبات التجميلية | ندبة واضحة وكبيرة | ندبات غير مرئية تقريباً |

خطوة بخطوة: كيف يُجري الأستاذ الدكتور محمد هطيف العملية بالمنظار؟
إن إجراء عملية منظار الكاحل الخلفي يتطلب مهارة جراحية استثنائية ومعرفة تشريحية دقيقة لتجنب الأوعية الدموية والأعصاب الحساسة. يتبع الدكتور هطيف بروتوكولاً جراحياً عالمياً يضمن أعلى نسب النجاح:
الخطوة الأولى: التخدير والوضعية
تُجرى العملية عادة تحت التخدير النصفي أو العام. يتم وضع المريض على بطنه (Prone position) للسماح بالوصول المباشر والمثالي لمؤخرة الكاحل.
الخطوة الثانية: إحداث الثقوب الجراحية (Portals)
يقوم الدكتور هطيف بعمل شقين صغيرين جداً (بحجم ثقب المفتاح) على جانبي وتر أخيل. هذه الثقوب الدقيقة تضمن عدم المساس بالوتر نفسه.

الخطوة الثالثة: إدخال الكاميرا والأدوات الدقيقة
يتم إدخال كاميرا دقيقة جداً (بقطر 4 ملم) مزودة بتقنية تصوير 4K عالية الوضوح عبر أحد الثقوب. تعرض هذه الكاميرا صورة مكبرة وواضحة جداً للأنسجة الداخلية على شاشة كبيرة، مما يتيح للدكتور هطيف رؤية المفصل بتفاصيل لا يمكن للعين المجردة رؤيتها. يتم إدخال أدوات الجراحة الدقيقة (Micro-instruments) عبر الثقب الآخر.

الخطوة الرابعة: تحديد سبب الانحشار وإزالته
باستخدام أدوات متخصصة، يقوم الدكتور هطيف بتنظيف الأنسجة الملتهبة، ثم يحدد موقع العظمة المثلثية (Os Trigonum) أو بروز ستيدا المكسور. بمهارة فائقة، يتم تحرير هذه العظمة من الأنسجة المحيطة بها واستئصالها بالكامل وإخراجها من المفصل. يتم أيضاً التأكد من تحرير وتر العضلة المثنية الطويلة للإصبع الكبير (FHL) لضمان حركته بسلاسة دون أي احتكاك.

الخطوة الخامسة: الإغلاق والتعافي
بعد التأكد من إزالة كل مسببات الألم والحركة بحرية تامة داخل المفصل، يتم سحب الأدوات وإغلاق الشقين الصغيرين بغرزة واحدة لكل منهما، مع وضع ضمادة خفيفة. تستغرق العملية بأكملها حوالي 45 إلى 60 دقيقة فقط.

دليل التأهيل الشامل: رحلتك نحو استعادة الحركة الكاملة
نجاح العملية لا يعتمد فقط على مهارة الجراح، بل يكتمل ببرنامج تأهيل وعلاج طبيعي صارم. يضع الأستاذ الدكتور محمد هطيف خطة تعافي مخصصة لكل مريض لضمان أفضل النتائج:
الأسبوع الأول إلى الثاني (مرحلة الحماية والشفاء)
- الراحة المطلقة: الحفاظ على الكاحل مرفوعاً لتقليل التورم.
- التحميل الجزئي: يمكن للمريض البدء بالمشي باستخدام العكازات مع ارتداء حذاء طبي واقٍ (Boot)، مع السماح بتحميل الوزن تدريجياً حسب تحمل الألم.
- التمارين الخفيفة: البدء بتمارين تحريك أصابع القدم بلطف لتنشيط الدورة الدموية ومنع التيبس.

الأسبوع الثالث إلى الرابع (استعادة المدى الحركي)
- التخلي عن العكازات: يبدأ المريض بالمشي الطبيعي تدريجياً دون مساعدة.
- العلاج الطبيعي المكثف: التركيز على استعادة المدى الحركي الكامل للكاحل، خاصة حركة الثني للأعلى والأسفل.
- تمارين التوازن: استخدام لوح التوازن (Wobble board) لاستعادة الإحساس العميق بالمفصل (Proprioception).
الأسبوع الخامس فما فوق (التقوية والعودة للرياضة)
- تمارين المقاومة: استخدام الأربطة المطاطية لتقوية عضلات الساق والكاحل.
- التدريب الرياضي المتخصص: بالنسبة للرياضيين، يتم البدء بتمارين تحاكي رياضتهم (مثل الجري الخفيف، القفز الموجه، أو حركات الباليه الأساسية).
- العودة الكاملة: معظم المرضى يعودون لممارسة حياتهم الطبيعية والرياضية بكفاءة 100% بين الأسبوع السادس والثامن.

لماذا تختار الأستاذ الدكتور محمد هطيف في صنعاء؟ (E-E-A-T)
عندما يتعلق الأمر بجراحة المفاصل الدقيقة، فإن اختيار الجراح هو القرار الأهم في حياتك. في اليمن، يتربع الأستاذ الدكتور محمد هطيف على قمة هذا التخصص للأسباب التالية:
- مكانة أكاديمية وعلمية رفيعة: بصفته أستاذ جراحة العظام والمفاصل في جامعة صنعاء، فهو لا يمارس الطب فحسب، بل يُدرّسه للأجيال القادمة، مما يجعله مطلعاً على أحدث الأبحاث والبروتوكولات الطبية العالمية.
- خبرة تتجاوز 20 عاماً: أجرى الدكتور هطيف آلاف العمليات الجراحية الناجحة، وتعامل مع أعقد حالات الإصابات الرياضية والتشوهات المفصلية.
- تكنولوجيا متقدمة (4K Arthroscopy): عيادته وغرف العمليات التي يشرف عليها مجهزة بأحدث مناظير المفاصل عالية الدقة، وأدوات الجراحة الميكروسكوبية (Microsurgery)، مما يضمن دقة جراحية لا مثيل لها.
- الأمانة الطبية الصارمة: يُعرف الدكتور هطيف بصدقه وشفافيته المطلقة مع مرضاه. إذا كانت حالتك لا تستدعي الجراحة ويمكن علاجها تحفظياً، فسيخبرك بذلك بوضوح. التدخل الجراحي لديه هو الحل الأخير والمضمون.
- رعاية شاملة: لا تنتهي مهمته بانتهاء العملية، بل يتابع مرضاه خطوة بخطوة خلال فترة التأهيل لضمان نجاح العلاج بشكل كامل.

قصص نجاح تلهمك: العودة إلى الحياة بلا ألم
النجاحات التي حققها الدكتور هطيف تتحدث عن نفسها. إليكم لمحة عن حالات حقيقية (مع تغيير الأسماء للحفاظ على الخصوصية) تخلصت من المعاناة:
قصة "أحمد"، لاعب كرة القدم الطموح:
أحمد، شاب يبلغ من العمر 24 عاماً، كان يعاني من ألم مبرح في كاحله يمنعه من تسديد الكرة بقوة. بعد تشخيص خاطئ استمر لعام كامل على أنه "التهاب أوتار"، لجأ إلى الدكتور هطيف. أظهر الرنين المغناطيسي وجود عظمة مثلثية منشحرة. خضع أحمد لعملية الاستئصال بالمنظار، وفي غضون 7 أسابيع فقط، عاد إلى الملاعب، وهو الآن يلعب في ناديه الأساسي دون أي شعور بالألم.
قصة "سارة"، طالبة الفنون والباليه:
سارة كادت أن تتخلى عن حلمها في رقص الباليه بسبب الألم الحاد عند الوقوف على أطراف أصابعها. التدخل الجراحي الدقيق بالمنظار مع الدكتور هطيف أزال الأنسجة الملتهبة وبروز ستيدا العظمي. تقول سارة: "الجروح كانت صغيرة جداً لدرجة أنها لم تترك أثراً، والأهم أن كاحلي عاد لمرونته الطبيعية، واستعدت حلمي بفضل الله ثم دقة الدكتور هطيف".
![قصص نجاح مرضى عادوا لممارسة الرياضة بعد الجراحة](/media/hutaif_opertive/hutaif-ch91-endoscopic-trea-p43
آلام العظام والمفاصل وتقييد حركتها ليس قدراً محتوماً! التشخيص الدقيق والعلاج المتخصص يمكن أن يعيد لك كامل وظيفتك وحريتك في الحركة. لا تدع الألم يسيطر على حياتك.
للحصول على استشارة دقيقة وخطة علاجية مخصصة لحالتك، تواصل فوراً مع مركز الأستاذ الدكتور محمد هطيف:
الأستاذ الدكتور محمد هطيف - أفضل دكتور عظام في صنعاء، وخبير في جراحات العظام والمفاصل والعمود الفقري.. نلتزم بإعادتك لحياة خالية من الألم وحركة طبيعية.
مواضيع أخرى قد تهمك