جراحة كوتون (Plantarflexion Osteotomy): حل متقدم لتشوه القدم المسطحة في صنعاء مع الأستاذ الدكتور محمد هطيف

الخلاصة الطبية
جراحة كوتون (Plantarflexion Opening Wedge Medial Cuneiform Osteotomy) هي إجراء جراحي دقيق لتصحيح تشوه مقدمة القدم الثابت، والذي غالبًا ما يصاحب القدم المسطحة الشديدة. تهدف الجراحة إلى استعادة المحاذاة الطبيعية للقدم وتخفيف الألم، ويتم إجراؤها بخبرة عالية على يد الأستاذ الدكتور محمد هطيف في صنعاء.
الخلاصة الطبية السريعة: جراحة كوتون (Plantarflexion Opening Wedge Medial Cuneiform Osteotomy) هي إجراء جراحي دقيق ومتقدم للغاية يهدف إلى تصحيح تشوه مقدمة القدم الثابت، والذي غالبًا ما يصاحب حالات القدم المسطحة الشديدة والمزمنة. تهدف هذه الجراحة المعقدة إلى استعادة المحاذاة الطبيعية للقدم، تخفيف الألم المبرح، وإعادة بناء القوس الداخلي للقدم. يتم إجراء هذه الجراحة الدقيقة بأعلى مستويات الاحترافية والخبرة العالمية على يد الأستاذ الدكتور محمد هطيف في صنعاء، أستاذ جراحة العظام والمفاصل بجامعة صنعاء، والذي يمتلك خبرة تتجاوز 20 عاماً في استخدام أحدث التقنيات الجراحية مثل الجراحة الميكروسكوبية ومناظير المفاصل 4K.
مرحباً بكم، أيها المرضى الكرام والباحثون عن الحلول الطبية الجذرية، في دليلنا الشامل والحصري حول أحد الإجراءات الجراحية المتقدمة التي تُحدث فرقاً جذرياً في حياة المصابين بتشوهات القدم المعقدة: جراحة كوتون (Cotton Osteotomy)، أو ما يُعرف طبياً في الأوساط الأكاديمية بـ "قطع العظم الإسفيني الإنسي الوتدي الفاتح للانثناء الأخمصي". هذا الإجراء الدقيق، الذي يشتهر به الأستاذ الدكتور محمد هطيف في صنعاء كأحد أبرز الخبراء والمرجعيات الطبية في جراحة العظام والمفاصل في اليمن والمنطقة، يُعد حجر الزاوية في علاج تشوه القدم المسطحة الأروح متعدد المستويات، وخاصةً في حالات اعوجاج مقدمة القدم الثابت الذي لا يستجيب للعلاجات التحفظية.
تهدف هذه الجراحة إلى استعادة المحاذاة الطبيعية للعمود الإنسي للقدم، وإعادة بناء "مثلث الدعم" الحيوي الذي وصفه الجراح الرائد F.J. Cotton في عام 1936، مما يعيد للقدم ثباتها الميكانيكي ووظيفتها الطبيعية في تحمل وزن الجسم وتسهيل الحركة. غالباً ما تُجرى جراحة كوتون كجزء لا يتجزأ من عملية إعادة بناء شاملة للقدم الخلفية والوسطى، ولا تُنفذ بمعزل عن غيرها إلا في حالات نادرة ومحددة بدقة. ندعوكم في هذا المقال الطبي المطول لاستكشاف أدق تفاصيل هذا الإجراء المعقد، بدءاً من الفهم التشريحي العميق للتشوه، مروراً بخطوات الجراحة، ووصولاً إلى برامج التعافي الكامل، لتمكينكم من اتخاذ قرارات مستنيرة بشأن صحتكم ومستقبل حركتكم.


التشريح الحيوي للقدم وفهم تشوه القدم المسطحة الأروح
لفهم أهمية جراحة كوتون، يجب علينا أولاً الغوص في التركيب التشريحي المعقد للقدم البشرية. تتكون القدم من شبكة مذهلة من العظام، الأربطة، والأوتار التي تعمل بتناغم تام لتوفير الدعم، التوازن، والحركة. العمود الإنسي للقدم (Medial Column) يتكون من عظم الكاحل، العظم الزورقي، العظام الإسفينية، ومشط القدم الأول. هذا العمود هو المسؤول الأساسي عن تشكيل القوس الطولي الداخلي للقدم.
يعتبر تشوه مقدمة القدم الأروح (Forefoot Varus)، والذي يتسم بوضع مشط القدم الأول بشكل ظهري (مرتفع لأعلى) أعلى من مستوى أمشاط القدم الأصغر، أحد النتائج الشائعة والمدمرة لتشوه القدم المسطحة المكتسبة لدى البالغين (Adult-Acquired Flatfoot Deformity). يحدث هذا التشوه في المقام الأول بسبب قصور أو تمزق الوتر الظنبوبي الخلفي (Posterior Tibial Tendon)، وهو الوتر الرئيسي المسؤول عن رفع قوس القدم ودعم العمود الإنسي أثناء المشي.
على الرغم من أن التاريخ الطبيعي لهذا المرض لم يُدرس بشكل مكثف في الماضي، إلا أن الأبحاث الحديثة والخبرة السريرية الواسعة للأستاذ الدكتور محمد هطيف تؤكد أنه يتطور بشكل تدريجي مع تفاقم القدم المسطحة الأروح الأساسية. بمرور الوقت، يمكن أن يؤدي هذا عدم الاستقرار المزمن والخلع الجزئي المتكرر، خاصة في مفاصل مشط القدم الأول (TMT) أو المفصل الزورقي الإسفيني، إلى تطور التهاب المفاصل الموضعي التنكسي (خشونة المفاصل)، مما يضاعف من حجم الألم والإعاقة.

الميكانيكا الحيوية لانهيار قوس القدم
ينشأ هذا التشوه المعقد عندما يفشل الوتر الظنبوبي الخلفي، وهو مثبت ديناميكي حاسم للعمود الإنسي للقدم. عندما يضعف هذا الوتر، ينتقل العبء الميكانيكي إلى المثبتات الثابتة. وتضعف هذه المثبتات الثابتة – وهي مركب الرباط الزنبركي (Spring Ligament) والأربطة بين عظام الرصغ الأخمصية، بما في ذلك الرباط الأخمصي الطويل – تحت تأثير قوى تحمل الوزن المستمرة الموجهة ظهرياً.
يمكن أن يؤدي هذا الانهيار التدريجي إلى تشوه ثابت (Rigid Deformity) في مقدمة القدم الأروح، حتى بدون وجود التهاب مفاصل صريح في مراحله الأولى، وذلك بسبب تصلب المحفظة المفصلية وانكماش الأنسجة الرخوة. كما يُرى هذا التشوه بوضوح في حالات القدم المسطحة الخلقية التي لم تُعالج في الصغر، والحالات ما بعد الصدمات (مثل الكسور القديمة غير الملتئمة بشكل صحيح).

الأعراض السريرية والتشخيص الدقيق لتشوه القدم
عند تقييم مرضانا في عيادة الأستاذ الدكتور محمد هطيف في صنعاء، يتم تطبيق بروتوكول تشخيصي صارم ودقيق للغاية. نحن نبحث عن شكاوى وعلامات سريرية محددة ترسم الصورة الكاملة لحالة المريض. غالباً ما يصف المرضى ألماً موضعياً حاداً أو مستمراً على طول العمود الإنسي الظهري للقدم الوسطى، وتحديداً حول مفاصل مشط القدم الأول أو الزورقي الإسفيني.
كما أن الانزعاج الشديد المرتبط بالضغط تحت قاعدة مشط القدم الأول أو العظم الإسفيني شائع جداً، وهو نتيجة مباشرة للتحميل الميكانيكي الزائد على قمة انحراف العمود الإنسي الأخمصي.
قائمة الأعراض الشائعة لتشوه القدم المسطحة الأروح ومقدمة القدم
- ألم مزمن في منتصف القدم: يتركز الألم غالباً على طول الجزء الظهري الإنسي (العلوي الداخلي) من منتصف القدم، ويزداد سوءاً مع الوقوف لفترات طويلة أو المشي.
- ألم حول المفاصل المحددة: خاصة حول المفصل المشطي الإسفيني الأول أو المفصل الزورقي الإسفيني، وقد يكون مصحوباً بتورم خفيف إلى متوسط.
- ضغط وانزعاج أخمصي: شعور بالضغط الشديد أو الألم تحت قاعدة المشط الأول أو العظم الإسفيني في باطن القدم، نتيجة التحميل الزائد وتغير نقاط الارتكاز.
- تشوه مرئي وملحوظ: قد يلاحظ المريض أو الطبيب أن مقدمة القدم تبدو مرتفعة، أو ملتوية نحو الداخل، مع غياب كامل لقوس القدم الداخلي عند الوقوف.
- صعوبة بالغة في المشي أو الوقوف: يؤثر التشوه بشكل مباشر على طريقة توزيع الوزن والديناميكا الهوائية للمشي، مما يسبب إرهاقاً سريعاً، وعدم راحة، وصعوبة في أداء الأنشطة اليومية البسيطة.
- اهتراء غير متساوٍ للأحذية: يلاحظ المريض تآكل الحذاء من الحافة الداخلية بشكل أسرع بكثير من الحافة الخارجية.
- آلام ثانوية: نتيجة لتغير طريقة المشي (Gait alteration)، قد يعاني المريض من آلام تعويضية في الركبة، الورك، أو أسفل الظهر.
الفحص السريري الدقيق مع الأستاذ الدكتور محمد هطيف
الفحص البدني السريري له أهمية قصوى وجوهرية في تحديد مدى التشوه وما إذا كان مرناً أم ثابتاً. في عيادتنا، نبدأ بوضع القدم الخلفية في "الوضع المحايد تحت الكاحل" (Neutral Subtalar Position) بينما يكون المريض جالساً ومسترخياً. هذا الإجراء الدقيق أمر بالغ الأهمية لعزل مكون مقدمة القدم عن القدم الخلفية وتقييم كل منهما على حدة.

مع الحفاظ على القدم الخلفية في الوضع المحايد والمفصل الكاحلي الزورقي متطابقاً، يقوم الأستاذ الدكتور محمد هطيف بتقييم العلاقة بين مقدمة القدم والقدم الخلفية. إذا ارتفع مشط القدم الأول عن الأرض (أو عن مستوى أمشاط القدم الأخرى)، فهذا يؤكد وجود تشوه مقدمة القدم الأروح.
الخطوة التالية والحاسمة هي تحديد ما إذا كان هذا التشوه مرناً (يمكن تصحيحه يدوياً) أم ثابتاً (صلباً ولا يمكن تصحيحه). يتم ذلك عن طريق محاولة دفع مشط القدم الأول للأسفل بلطف. إذا قاوم المشط الحركة وبقي مرتفعاً، فهذا يشير إلى تشوه ثابت، وهو المؤشر الأساسي للحاجة إلى جراحة كوتون.

التصوير الطبي والتشخيص الإشعاعي المتقدم
لا يكتمل التشخيص الدقيق دون الاستعانة بأحدث تقنيات التصوير الطبي. يحرص الأستاذ الدكتور محمد هطيف على استخدام نهج شامل يتضمن:
- الأشعة السينية أثناء تحمل الوزن (Weight-bearing X-rays): وهي المعيار الذهبي. يتم أخذ صور من الأمام والخلف والجانبين أثناء وقوف المريض. تسمح هذه الصور بقياس الزوايا بدقة، مثل زاوية ميل الكاحل، وزاوية ميري (Meary's angle)، وتحديد موقع ذروة التشوه.
- التصوير بالرنين المغناطيسي (MRI): يُستخدم لتقييم حالة الأنسجة الرخوة، وخاصة سلامة الوتر الظنبوبي الخلفي، والأربطة الزنبركية، ووجود أي التهابات أو تمزقات دقيقة.
- التصوير المقطعي المحوسب (CT Scan): يُطلب في الحالات المعقدة أو عند التخطيط الجراحي الدقيق لتقييم جودة العظام، وتحديد مدى التهاب المفاصل التنكسي في المفاصل الرصغية.


الخيارات العلاجية: متى نلجأ إلى جراحة كوتون؟
علاج تشوه القدم المسطحة ومقدمة القدم الأروح يعتمد بشكل كبير على مرحلة المرض، شدة الأعراض، وما إذا كان التشوه مرناً أم ثابتاً. يلتزم الأستاذ الدكتور محمد هطيف بمبدأ التدرج في العلاج، حيث يبدأ بالخيارات التحفظية كلما كان ذلك ممكناً، ولا يلجأ للجراحة إلا عندما تكون هي الحل الأمثل والمؤكد لراحة المريض.
جدول مقارنة: العلاج التحفظي مقابل العلاج الجراحي (جراحة كوتون)
| وجه المقارنة | العلاج التحفظي (غير الجراحي) | العلاج الجراحي (جراحة كوتون وإعادة البناء) |
|---|---|---|
| الحالات المستهدفة | المراحل المبكرة، التشوهات المرنة، الألم الخفيف إلى المتوسط. | المراحل المتقدمة، التشوهات الثابتة (الصلبة)، الألم الشديد والمقعد. |
| طرق العلاج | دعامات قوس القدم المخصصة، أحذية طبية، العلاج الطبيعي، الأدوية المضادة للالتهابات، حقن الكورتيزون الموضعية. | قطع العظم الإسفيني (كوتون)، تطويل الأوتار، نقل الأوتار، دمج المفاصل (في الحالات الشديدة). |
| الهدف الرئيسي | تخفيف الألم، إبطاء تطور التشوه، تحسين القدرة على المشي مؤقتاً. | التصحيح الجذري والدائم للتشوه التشريحي، استعادة الميكانيكا الحيوية الطبيعية للقدم. |
| فترة التعافي | فورية إلى أسابيع (تخفيف الأعراض وليس العلاج). | 3 إلى 6 أشهر للتعافي الكامل والعودة للأنشطة الطبيعية. |
| نسبة النجاح | متغيرة وتعتمد على التزام المريض، غالباً ما يتفاقم المرض بمرور الوقت. | عالية جداً (تتجاوز 90%) في استعادة الوظيفة وتخفيف الألم بشكل دائم عند إجرائها بواسطة خبير. |
| التكلفة المادية | منخفضة إلى متوسطة (ولكنها مستمرة على المدى الطويل). | مرتفعة (ولكنها تدفع مرة واحدة كحل نهائي). |
عندما تفشل العلاجات التحفظية في تخفيف الألم، وعندما يثبت الفحص السريري أن تشوه مقدمة القدم أصبح "ثابتاً" (Rigid Forefoot Supination/Varus)، تصبح جراحة كوتون ضرورة طبية لا غنى عنها.
الغوص العميق في جراحة كوتون (Cotton Osteotomy)
ما هي جراحة كوتون؟ ولماذا سُميت بهذا الاسم؟
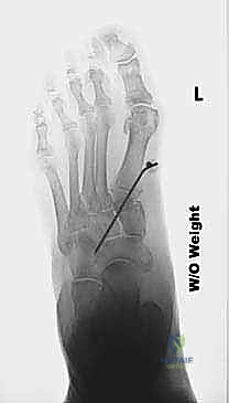
جراحة كوتون هي عبارة عن إجراء جراحي دقيق يتضمن عمل شق أو قطع في العظم الإسفيني الإنسي (Medial Cuneiform)، ثم فتح هذا الشق لتكوين فجوة على شكل "وتد" (Wedge). يتم بعد ذلك ملء هذه الفجوة بطعم عظمي (Bone Graft) وتثبيتها. النتيجة المباشرة لهذا الإجراء هي دفع مشط القدم الأول إلى الأسفل (Plantarflexion)، مما يعيد القوس الداخلي للقدم ويصحح تشوه مقدمة القدم الأروح.
سُميت هذه الجراحة نسبة إلى الجراح الرائد F.J. Cotton، الذي وصف في عام 1936 أهمية استعادة التلامس بين رأس مشط القدم الأول والأرض لضمان ثبات القدم. وقد أدرك كوتون أن هذا "الوتد" العظمي يعيد بناء "مثلث الدعم" الأساسي للقدم.

دواعي إجراء جراحة كوتون (Indications)
- القدم المسطحة المكتسبة للبالغين (المرحلة IIb و III): حيث يوجد انهيار كبير في القوس مع تشوه ثابت في مقدمة القدم.
- استمرار ارتفاع مشط القدم الأول: بعد إجراء تصحيح للقدم الخلفية (مثل قطع عظم العقب - Calcaneal Osteotomy). إذا لم يتم تصحيح مقدمة القدم، فإن المريض سيمشي على الحافة الخارجية لقدمه.
- التهاب المفصل الزورقي الإسفيني أو المشطي الإسفيني الأول: في بعض الحالات، يمكن دمج جراحة كوتون مع إيثاق (دمج) هذه المفاصل إذا كانت تعاني من خشونة متقدمة.
الخطوات الجراحية التفصيلية لجراحة كوتون مع الأستاذ الدكتور محمد هطيف
يعتبر الأستاذ الدكتور محمد هطيف من رواد الجراحة الميكروسكوبية الدقيقة في اليمن. يتم إجراء جراحة كوتون في غرف عمليات مجهزة بأحدث التقنيات العالمية لضمان أعلى درجات التعقيم والدقة.
1. التجهيز والتخدير
يتم إدخال المريض إلى غرفة العمليات، وغالباً ما يتم استخدام التخدير النصفي (الشوكي) أو التخدير العام، بالإضافة إلى إحصار العصب الموضعي (Nerve Block) لضمان عدم شعور المريض بأي ألم بعد العملية مباشرة. يتم وضع عاصبة (Tourniquet) على الساق لتقليل النزيف وتوفير مجال رؤية واضح تماماً للجراح.
2. الشق الجراحي والوصول الآمن
يقوم الأستاذ الدكتور هطيف بعمل شق جراحي طولي دقيق (حوالي 4-5 سم) على الجزء الظهري الإنسي (العلوي الداخلي) للقدم، مباشرة فوق العظم الإسفيني الإنسي. يتميز الدكتور هطيف بمهارته الفائقة في حماية الأنسجة الحيوية، حيث يتم تحديد وحماية العصب الصافن (Saphenous Nerve) والوريد الصافن بعناية فائقة لتجنب أي تلف عصبي.

3. إجراء القطع العظمي (Osteotomy)
باستخدام منشار جراحي ميكروسكوبي دقيق، يتم عمل قطع عرضي في منتصف العظم الإسفيني الإنسي. السر المهني هنا هو ترك القشرة العظمية السفلية (Plantar Cortex) سليمة دون قطعها بالكامل، لتعمل بمثابة "مفصلة" (Hinge) طبيعية تحافظ على استقرار العظم وتمنع انزلاقه.

4. فتح الوتد العظمي (Opening the Wedge)
بمجرد إجراء القطع، يتم إدخال أداة دقيقة تسمى مباعد الصفيحة (Lamina Spreader) أو أزاميل متدرجة لفتح الشق العظمي تدريجياً. يتم فتح هذا الوتد حتى يتم دفع مشط القدم الأول للأسفل ليصل إلى المستوى المطلوب (الوضع المحايد أو الانثناء الأخمصي الطفيف) مقارنة بباقي أمشاط القدم. يتم التحقق من التصحيح ميكانيكياً وبصرياً داخل غرفة العمليات.

5. زراعة الطعم العظمي (Bone Grafting)
للحفاظ على هذه الفجوة الوتدية مفتوحة، يجب وضع طعم عظمي داخلها. يتم قياس حجم الفجوة بدقة (غالباً ما يتراوح بين 5 إلى 8 مليمترات). يتم تشكيل الطعم العظمي ليتناسب تماماً مع الفجوة ويتم دكه بقوة لضمان ثباته.

جدول مقارنة: أنواع الطعوم العظمية المستخدمة في جراحة كوتون
| نوع الطعم العظمي | المصدر | المميزات | العيوب |
|---|---|---|---|
| طعم ذاتي (Autograft) | من جسم المريض نفسه (غالباً من عظم الحوض أو الكعب). | أفضل معدلات الالتئام، لا يوجد خطر الرفض المناعي، يحتوي على خلايا حية محفزة للنمو. | يتطلب شق جراحي إضافي، ألم محتمل في موقع أخذ الطعم. |
| طعم خيفي (Allograft) | من متبرع (بنك العظام). | لا يتطلب شق جراحي إضافي للمريض، يقلل من وقت العملية وألم ما بعد الجراحة. | معدل التئام أبطأ قليلاً من الطعم الذاتي، تكلفة أعلى، خطر ضئيل جداً لانتقال العدوى (رغم التعقيم الشديد). |
| مواد صناعية (Synthetic) | مواد مصنعة معملياً (مثل فوسفات الكالسيوم). | متوفرة بكميات غير محدودة، لا يوجد أ |
آلام العظام والمفاصل وتقييد حركتها ليس قدراً محتوماً! التشخيص الدقيق والعلاج المتخصص يمكن أن يعيد لك كامل وظيفتك وحريتك في الحركة. لا تدع الألم يسيطر على حياتك.
للحصول على استشارة دقيقة وخطة علاجية مخصصة لحالتك، تواصل فوراً مع مركز الأستاذ الدكتور محمد هطيف:
الأستاذ الدكتور محمد هطيف - أفضل دكتور عظام في صنعاء، وخبير في جراحات العظام والمفاصل والعمود الفقري.. نلتزم بإعادتك لحياة خالية من الألم وحركة طبيعية.
مواضيع أخرى قد تهمك