جراحة أورام العظام النقيلية في الحوض: دليل شامل للمرضى مع الأستاذ الدكتور محمد هطيف

الخلاصة الطبية
جراحة أورام الحوض النقيلية هي إجراء حيوي لتخفيف الألم واستعادة الوظيفة لدى مرضى السرطان المنتشر للعظام الحوضية. تتضمن الخيارات الجراحية الكشط وإعادة البناء أو الاستئصال الواسع، ويتم تحديدها بناءً على حجم الورم وموقعه، لضمان أفضل النتائج وتحسين جودة حياة المريض.
الخلاصة الطبية السريعة: تُعد جراحة أورام الحوض النقيلية (المنتشرة) إجراءً طبيًا دقيقًا وحيويًا يهدف في المقام الأول إلى تخفيف الألم المبرح، استعادة الوظيفة الحركية، ومنع الكسور المرضية لدى مرضى السرطان الذي امتد ليصيب عظام الحوض. تتراوح الخيارات الجراحية بين الكشط وتدعيم العظم بالإسمنت الطبي (PMMA)، وصولاً إلى الاستئصال الواسع وإعادة البناء المعقدة باستخدام المفاصل الصناعية المخصصة. يتم اتخاذ القرار الجراحي بناءً على التقييم الدقيق لحجم الورم، موقعه، ونوع السرطان الأولي. في اليمن، يبرز اسم الأستاذ الدكتور محمد هطيف، أستاذ جراحة العظام والمفاصل بجامعة صنعاء، كمرجعية طبية أولى ورائد في هذا التخصص الدقيق، حيث يجمع بين الخبرة التي تتجاوز العشرين عاماً، والأمانة الطبية الصارمة، واستخدام أحدث التقنيات مثل الجراحة الميكروسكوبية ومناظير 4K لضمان أفضل جودة حياة ممكنة للمريض.

مقدمة شاملة: الفهم العميق لأورام العظام النقيلية في الحوض
تُعتبر أورام العظام النقيلية (Metastatic Bone Tumors)، أو ما يُعرف بالأورام الثانوية، من أكثر المضاعفات تعقيداً وتأثيراً على حياة مرضى السرطان. تحدث هذه الحالة عندما تنفصل الخلايا السرطانية من الورم الأولي (مثل سرطان الثدي، البروستاتا، الرئة، الكلى، أو الغدة الدرقية) وتنتقل عبر مجرى الدم أو الجهاز الليمفاوي لتستقر وتنمو داخل نسيج العظام. يُعد الهيكل العظمي المحوري، وخاصة منطقة الحوض والعمود الفقري، من أكثر الأماكن عُرضة لهذا الانتشار بسبب غزارة الإمداد الدموي واحتواء هذه العظام على نخاع العظم الأحمر الجاذب للخلايا السرطانية.

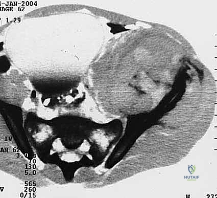
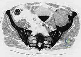
عندما يغزو السرطان منطقة الحوض، فإنه لا يكتفي بتدمير البنية العظمية الصلبة فحسب، بل يتسبب في سلسلة من المضاعفات المنهكة. يشمل ذلك الآلام الميكانيكية والبيولوجية الشديدة التي لا تستجيب للمسكنات التقليدية، وفقدان القدرة على المشي أو تحمل الوزن، فضلاً عن الخطر الداهم بحدوث "الكسور المرضية" – وهي كسور تحدث نتيجة إجهاد بسيط على عظم نخرة الورم وأضعفه. ونظراً لاتساع تجويف الحوض، ومرونة العضلات والأعضاء المحيطة به، قد تنمو هذه الأورام لأحجام كبيرة (أورام عملاقة) قبل أن تظهر أعراضها بوضوح، مما يجعل التدخل الطبي المتأخر أكثر تعقيداً.

في العاصمة اليمنية صنعاء، يتصدر الأستاذ الدكتور محمد هطيف المشهد الطبي كأفضل استشاري وجراح عظام ومفاصل متخصص في التعامل مع هذه الحالات المعقدة. بصفته أستاذاً في جامعة صنعاء وبخبرة عملية وجراحية تمتد لأكثر من عقدين من الزمان، يقدم الدكتور هطيف مقاربة علاجية تتسم بالأمانة العلمية المطلقة؛ فهو لا يلجأ للتدخل الجراحي إلا عندما تكون الفائدة المرجوة للمريض تفوق المخاطر بشكل مؤكد. يعتمد فريقه الطبي على أحدث التقنيات العالمية، بما في ذلك الجراحات الميكروسكوبية الدقيقة، والمناظير عالية الدقة (Arthroscopy 4K)، وتقنيات المفاصل الصناعية المتقدمة (Arthroplasty)، لتقديم رعاية متكاملة تبدأ من التشخيص الدقيق، مروراً بالجراحة الآمنة، ووصولاً إلى التأهيل الحركي الشامل.



التشريح البيوميكانيكي: فهم بنية الحوض وتأثير الأورام عليها
لفهم مدى تعقيد جراحة أورام الحوض، يجب أولاً إدراك العبء البيوميكانيكي الهائل الذي يتحمله هذا الجزء من الجسم. الحوض ليس مجرد مجموعة من العظام، بل هو "حلقة الوصل" الحيوية التي تنقل وزن النصف العلوي من الجسم (الرأس، الجذع، والذراعين) إلى الأطراف السفلية (الساقين) أثناء الوقوف والمشي. كما أنه يمثل درعاً واقياً للأعضاء الحيوية في أسفل البطن (المثانة، المستقيم، والأعضاء التناسلية) ونقطة ارتكاز لعشرات العضلات والأربطة القوية.

يتكون الحوض العظمي من اندماج ثلاثة عظام رئيسية في كل جانب، تلتقي جميعها لتكوين تجويف مفصل الورك:
- العظم الحرقفي (Ilium - الإليوم): هو الجزء العلوي العريض والمفلطح الذي يشكل أجنحة الحوض (الخواصر). يُعد موقعاً شائعاً جداً للانتشار السرطاني بسبب حجمه الكبير واحتوائه على كمية كبيرة من نخاع العظم.
- العظم الوركي (Ischium - الإسك): الجزء السفلي والخلفي من الحوض، وهو العظم الذي نرتكز عليه أثناء الجلوس. الأورام هنا تسبب آلاماً مبرحة عند الجلوس.
- عظم العانة (Pubis - الكيوبس): الجزء الأمامي السفلي الذي يربط نصفي الحوض من الأمام عبر الارتفاق العاني.
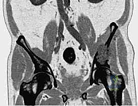
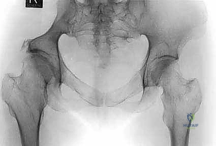
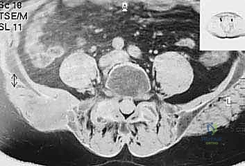
- الحُق (Acetabulum - الأستابولوم): هو التجويف نصف الكروي العميق الذي يتشكل من التقاء العظام الثلاثة السابقة. يستقبل هذا التجويف رأس عظم الفخذ ليشكلا معاً مفصل الورك. هذا الجزء هو الأهم ميكانيكياً، وأي تدمير سرطاني فيه يؤدي إلى عجز فوري عن المشي.


كيف تؤثر الأورام النقيلية على أجزاء الحوض المختلفة؟
تختلف الأعراض واستراتيجية العلاج التي يتبناها الأستاذ الدكتور محمد هطيف جذرياً بناءً على الموقع التشريحي للورم النقيلي داخل الحوض:
- أورام الإليوم (العظم الحرقفي) أو العانة: في المراحل المبكرة إلى المتوسطة، قد لا تؤثر هذه الأورام بشكل مباشر على الاستقرار الميكانيكي للحوض أو القدرة على المشي. غالباً ما يكون الألم هو العرض الرئيسي، وقد يكون التدخل الجراحي هنا مقتصراً على تخفيف الألم أو استئصال الورم دون الحاجة لإعادة بناء معقدة للمفصل.
- أورام الإليوم الخلفي والمفصل العجزي الحرقفي (Sacroiliac Joint): هذا الموقع حرج للغاية لأنه يربط الحوض بالعمود الفقري (المنطقة القطنية العجزية). تآكل العظام هنا يهدد بانهيار الاتصال بين العمود الفقري والحوض، مما يسبب آلاماً تشبه عرق النسا ومشاكل عصبية.
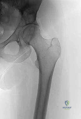
- أورام الحُق (Acetabulum): هذه هي الحالات الأكثر تعقيداً وإلحاحاً. تدمير سقف الحُق يعني أن رأس عظم الفخذ سيندفع داخل تجويف الحوض عند محاولة المريض الوقوف، مما يسبب ألماً يفوق الوصف وقصراً في الطرف السفلي. تتطلب هذه الحالات خبرة جراحية استثنائية لإعادة بناء التجويف باستخدام الإسمنت العظمي، الدعامات المعدنية، أو المفاصل الصناعية المخصصة (Custom-made Endoprostheses).



الفسيولوجيا المرضية: كيف ولماذا ينتشر السرطان إلى الحوض؟
لفهم طبيعة المرض، يجب أن ندرك الآلية التي ينتقل بها السرطان. لا تمتلك العظام أوراماً أولية بكثرة (مثل الساركوما العظمية التي تعتبر نادرة)، ولكنها "تربة خصبة" لاستقبال الخلايا السرطانية المهاجرة من أعضاء أخرى.
السرطانات الخمسة الأكثر شيوعاً التي تنتشر إلى العظام (بما فيها الحوض) هي:
1. سرطان الثدي (Breast Cancer).
2. سرطان البروستاتا (Prostate Cancer).
3. سرطان الرئة (Lung Cancer).
4. سرطان الكلى (Renal Cell Carcinoma).
5. سرطان الغدة الدرقية (Thyroid Cancer).


تنتقل هذه الخلايا عبر مجرى الدم. ونظراً لوجود شبكة وريدية معقدة خالية من الصمامات تُعرف باسم "ضفيرة باتسون الوريدية" (Batson's venous plexus) والتي تربط أوردة الحوض والبطن بالعمود الفقري، تجد الخلايا السرطانية طريقاً سهلاً ومباشراً للاستقرار في عظام الحوض. بمجرد استقرارها، تفرز هذه الخلايا مواد كيميائية تخل بالتوازن الطبيعي لعملية تجديد العظام. فهي إما تنشط الخلايا الناقضة للعظم (Osteoclasts) مما يؤدي إلى تآكل العظم وهشاشته (وهو الشائع في سرطانات الثدي والرئة والكلى)، أو تنشط الخلايا البانية للعظم (Osteoblasts) بشكل عشوائي مما يؤدي إلى تكوين عظم صلب ولكنه هش وغير منظم (وهو الشائع في سرطان البروستاتا).



الأعراض والعلامات التحذيرية لأورام الحوض النقيلية
لا ينبغي تجاهل أي ألم مستمر في منطقة الحوض أو الورك أو أسفل الظهر، خاصة لدى الأشخاص الذين لديهم تاريخ طبي للإصابة بالسرطان. يؤكد الأستاذ الدكتور محمد هطيف على ضرورة الانتباه للأعراض التالية:
- الألم العظمي المستمر (أهم الأعراض): يختلف هذا الألم عن آلام العضلات العادية. يكون ألماً عميقاً، كليلاً، ويزداد سوءاً في الليل (الألم الليلي) لدرجة توقظ المريض من النوم. لا يتحسن هذا الألم عادةً بالراحة التامة.
- الألم الميكانيكي (عند الحركة): ألم حاد ومفاجئ يظهر عند الوقوف، المشي، أو نقل الوزن على الساق المصابة. هذا المؤشر خطير ويدل غالباً على ضعف شديد في العظم واقترابه من الانكسار (كسر وشيك).
- الضعف الوظيفي والعرج: صعوبة في أداء الأنشطة اليومية، الحاجة لاستخدام عكاز أو مشاية، وتغير ملحوظ في طريقة المشي (العرج).
- الأعراض العصبية: إذا ضغط الورم على الأعصاب المجاورة (مثل العصب الوركي)، قد يشعر المريض بتنميل، خدر، أو ألم يمتد لأسفل الساق (يشبه عرق النسا)، وأحياناً ضعف في عضلات الساق أو القدم.
- التورم أو الكتلة الملموسة: في المراحل المتقدمة، ومع خروج الورم من نطاق العظم إلى الأنسجة الرخوة المحيطة، قد يلاحظ المريض تورماً أو كتلة صلبة في منطقة الحوض أو الأرداف.
- الكسر المرضي المفاجئ: في بعض الحالات المؤسفة، يكون العرض الأول هو كسر مفاجئ في الحوض ناتج عن حركة بسيطة جداً كالانقلاب في السرير أو التعثر البسيط.



التشخيص الدقيق: حجر الأساس لنجاح العلاج
يعتمد الأستاذ الدكتور محمد هطيف في عيادته بصنعاء على بروتوكول تشخيصي صارم ومتعدد التخصصات. لا يتم اتخاذ أي قرار جراحي إلا بعد استيفاء كافة الفحوصات لضمان التقييم الشامل لحالة المريض العامة وحالة الورم الموضعية.
- التاريخ الطبي والفحص السريري: تقييم دقيق لنوع السرطان الأولي، العلاجات السابقة (كيماوي، إشعاعي)، وتقييم القدرة الحركية ومستوى الألم.
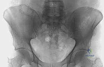
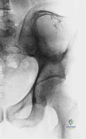
- التصوير بالأشعة السينية (X-rays): الفحص المبدئي لرصد أي تآكل أو تدمير في البنية العظمية للحوض ومفصل الورك.
- التصوير المقطعي المحوسب (CT Scan): يقدم صوراً ثلاثية الأبعاد تُظهر بدقة متناهية مدى تدمير القشرة العظمية، وهو الفحص الأهم للتخطيط الجراحي وتحديد خطر حدوث الكسور المرضية.
- التصوير بالرنين المغناطيسي (MRI): الفحص الأفضل لتقييم امتداد الورم خارج العظم إلى الأنسجة الرخوة (العضلات، الأوعية الدموية، الأعصاب) وتقييم مدى إصابة نخاع العظم.
- المسح الذري للعظام (Bone Scan) أو التصوير البوزيتروني (PET-CT): لتحديد ما إذا كان هناك انتشار للسرطان في عظام أخرى من الجسم، ولتقييم النشاط الأيضي للورم.
- الخزعة (Biopsy): في حال كان الورم في الحوض هو أول ظهور للسرطان (سرطان أولي مجهول المصدر)، يتم أخذ عينة من الأنسجة تحت إرشاد الأشعة المقطعية لتحديد نوع الخلايا السرطانية بدقة.




متى تكون الجراحة ضرورية؟ (دواعي التدخل الجراحي)
من منطلق الأمانة الطبية التي يشتهر بها الأستاذ الدكتور محمد هطيف، فإنه يشدد دائماً على أن الجراحة ليست الخيار الأول لجميع المرضى. العديد من الأورام النقيلية الصغيرة التي لا تسبب ألماً شديداً ولا تهدد استقرار الحوض يمكن إدارتها بفعالية عبر العلاج الإشعاعي الموضعي، الأدوية المقوية للعظام (مثل Bisphosphonates أو Denosumab)، والعلاج الكيميائي أو الهرموني.
ولكن، يصبح التدخل الجراحي أمراً حتمياً وضرورة طبية قصوى في الحالات التالية:
1. الألم الشديد والمستعصي وفقدان الوظيفة
عندما يصبح الألم غير محتمل ويقاوم أعلى درجات المسكنات الأفيونية، وعندما يفقد المريض استقلاليته وقدرته على المشي أو حتى الجلوس المريح، تصبح الجراحة هي الحل الأمثل والسريع لتخفيف المعاناة (Palliative Surgery). الهدف هنا هو تحسين جودة الحياة المتبقية للمريض بشكل جذري.
2. الكسور المرضية الحاصلة أو الوشيكة (Impending Fractures)
التقييم البيوميكانيكي هو تخصص دقيق. يستخدم الدكتور هطيف معايير علمية (مثل معايير هارينغتون Harrington Criteria) لتحديد ما إذا كان عظم الحُق أو الحوض على وشك الانهيار.
* الكسر المرضي الفعلي: إذا انكسر الحوض بالفعل، فإن الجراحة ضرورية لتثبيت العظم المكسور والسماح للمريض بالحركة.
* الكسر الوشيك: إذا أظهرت الأشعة المقطعية أن الورم قد دمر أكثر من 50% من قشرة العظم المحيطة بمفصل الورك، أو تسبب في ألم شديد عند تحميل الوزن، فإن التدخل الاستباقي لمنع الكسر أسهل وأكثر نجاحاً من محاولة إصلاح كسر قد حدث بالفعل.
3. المرض المتقدم محلياً (Local Progression)
إذا استمر الورم في النمو وتدمير العظم رغم خضوع المريض للعلاج الإشعاعي والكيميائي، فإن الاستئصال الجراحي للكتلة الورمية الكبيرة يصبح ضرورياً لإنقاذ الطرف السفلي ومنع المضاعفات العصبية والوعائية.
4. النقائل العظمية المنفردة (Solitary Bone Metastasis)
في حالات طبية محددة ونادرة، قد يكون الورم الموجود في الحوض هو الانتشار الوحيد للسرطان في الجسم بأكمله (خاصة في سرطانات الكلى أو الغدة الدرقية). في هذه الحالة الاستثنائية، قد يقرر الفريق الطبي إجراء استئصال جذري واسع (Wide Resection) للورم بهدف الشفاء التام (Curative Intent) وليس فقط تخفيف الأعراض.



جدول مقارنة شامل: العلاج التحفظي مقابل العلاج الجراحي
لتوضيح الصورة للمرضى وعائلاتهم، يوضح الجدول التالي الفروق الأساسية بين مسارات العلاج المختلفة التي يشرف عليها الفريق الطبي متعدد التخصصات:
| وجه المقارنة | العلاج التحفظي (غير الجراحي) | التدخل الجراحي (مع أ.د. محمد هطيف) |
|---|---|---|
| المرضى المستهدفون | المرضى ذوي الأورام الصغيرة، لا يوجد خطر كسر، ألم مسيطر عليه، أو حالة صحية عامة تمنع التخدير. | ألم مستعصي، كسر مرضي وشيك أو حاصل، تدمير واسع لمفصل الورك (الحُق). |
| الأساليب المستخدمة | العلاج الإشعاعي الموضعي، العلاج الكيميائي/الهرموني، أدوية تقوية العظام، مسكنات الألم. | الكشط والتثبيت بالإسمنت، الاستئصال الواسع، المفاصل الصناعية المخصصة للحوض. |
| الهدف الرئيسي | السيطرة على نمو الورم، تقليل الألم تدريجياً، تجنب مخاطر الجراحة. | التخفيف الفوري والجذري للألم، استعادة القدرة على المشي فوراً، منع انهيار الحوض. |
| سرعة الاستجابة | بطيئة إلى متوسطة (الاستجابة للإشعاع قد تستغرق أسابيع). | سريعة جداً (يختفي الألم الميكانيكي فور التعافي من الجراحة). |
| المخاطر والمضاعفات | استمرار تآكل العظم، حدوث كسر مفاجئ، آثار جانبية للإشعاع والكيماوي. | مخاطر التخدير، النزيف الدموي، العدوى، تجلط الأوردة العميقة (DVT). |
| فترة البقاء في المستشفى | زيارات خارجية للعيادات (Outpatient). | تنويم في المستشفى يتراوح بين 5 إلى 14 يوماً حسب تعقيد الجراحة. |



الخيارات والتقنيات الجراحية: فن جراحة أورام العظام مع البروفيسور هطيف
تعتبر جراحة أورام الحوض من أصعب فروع جراحة العظام (Orthopedic Oncology) وأكثرها تعقيداً، وتتطلب مهارة استثنائية وإلماماً تاماً بتشريح الأوعية الدموية والأعصاب في منطقة الحوض. يطبق الأستاذ الدكتور محمد هطيف أحدث المدارس الجراحية العالمية في غرف العمليات بصنعاء، وتتنوع الإجراءات حسب حالة المريض:
1. الكشط الجراحي، التدعيم بالإسمنت العظمي، والتثبيت الداخلي (Curettage, Cementation, and Internal Fixation)
هذا هو الإجراء الأكثر شيوعاً للحالات التي لم تدمر العظم بالكامل.
* الخطوات: يتم فتح نافذة في العظم للوصول للورم. يستخدم الجراح أدوات دقيقة لكشط وإزالة أكبر قدر ممكن من النسيج السرطاني (Curettage).
* التدعيم: لقتل أي خلايا سرطانية متبقية مجهرياً ولتعويض الفراغ العظمي، يتم حقن الإسمنت العظمي الطبي (Polymethylmethacrylate - PMMA). يتميز هذا الإسمنت بأنه يتصلب بسرعة ويولد حرارة عالية أثناء التصلب (تصل إلى 80 درجة مئوية)، مما يؤدي إلى "كيّ" الخلايا السرطانية المحيطة (Thermal Necrosis).
* التثبيت: يتم تدعيم الإسمنت باستخدام مسامير معدنية طويلة، شرائح، أو أسياخ معدنية قوية لضمان ثبات الحوض.


2. عملية إعادة بناء هارينغتون (Harrington Reconstruction)
تُستخدم هذه التقنية المتقدمة عندما يكون الورم قد دمر منطقة "الحُق" (سقف مفصل الورك).
* يقوم الدكتور هطيف بإدخال دبابيس معدنية ملولبة قوية (Threaded Pins) عبر العظم الحرقفي السليم لتصل إلى منطقة الحُق.
* يتم تشكيل كتلة من الإسمنت العظمي حول هذه الدبابيس لإنشاء "سقف صناعي" جديد ومتين لمفصل الورك.
* بعد ذلك، يتم تركيب مفصل ورك صناعي كامل (Total Hip Arthroplasty) يرتكز على هذا السقف الإسمنتي القوي، مما يسمح للمريض بالمشي مجدداً دون ألم.



3. الاستئصال الواسع وإعادة البناء بالمفاصل المخصصة (Wide Resection & Megaprostheses)
في الحالات التي يكون فيها الورم من

















آلام العظام والمفاصل وتقييد حركتها ليس قدراً محتوماً! التشخيص الدقيق والعلاج المتخصص يمكن أن يعيد لك كامل وظيفتك وحريتك في الحركة. لا تدع الألم يسيطر على حياتك.
للحصول على استشارة دقيقة وخطة علاجية مخصصة لحالتك، تواصل فوراً مع مركز الأستاذ الدكتور محمد هطيف:
الأستاذ الدكتور محمد هطيف - أفضل دكتور عظام في صنعاء، وخبير في جراحات العظام والمفاصل والعمود الفقري.. نلتزم بإعادتك لحياة خالية من الألم وحركة طبيعية.
مواضيع أخرى قد تهمك