استئصال الجزء القريب من عظم الساق (الظنبوب) وإعادة البناء بالطرف الصناعي: دليل شامل للمرضى

الخلاصة الطبية
استئصال الظنبوب القريب بالطرف الصناعي هو إجراء جراحي متقدم يتضمن إزالة جزء من عظم الساق (الظنبوب) المصاب بورم أو تلف شديد، واستبداله بطرف صناعي لاستعادة وظيفة الركبة والطرف السفلي، مع الحفاظ على الأطراف قدر الإمكان.
مقدمة شاملة: ثورة جراحة استئصال الظنبوب القريب وإعادة البناء بالطرف الصناعي
إن تشخيص الإصابة بورم عظمي أو تلف شديد في منطقة الركبة والساق يمثل لحظة فارقة في حياة أي مريض. في العقود الماضية، كانت الخيارات الطبية محدودة وقاسية، حيث كان بتر الطرف هو الحل الجراحي السائد لإنقاذ حياة المريض من الأورام الخبيثة. ولكن اليوم، بفضل التطور المذهل في الطب الحديث، أصبحت جراحة استئصال الجزء القريب من عظم الساق (الظنبوب) وإعادة البناء باستخدام الأطراف الصناعية الضخمة (Megaprosthesis) تمثل ثورة طبية حقيقية وشعاع أمل يضيء طريق المرضى نحو الشفاء مع الحفاظ على أطرافهم.
يُعد استئصال الظنبوب القريب بالطرف الصناعي إجراءً جراحياً متقدماً ومعقداً للغاية، يتضمن إزالة دقيقة للجزء العلوي من عظم الساق (الظنبوب) المصاب بورم خبيث، أو ورم حميد عدواني، أو تلف مفصلي مدمر لا يمكن إصلاحه بالطرق التقليدية. بعد الاستئصال الآمن للورم مع حواف أمان سليمة، يقوم الجراح باستبدال العظم والمفصل المفقود بطرف صناعي معدني متطور (مصنوع غالباً من التيتانيوم وسبائك الكوبالت والكروم) لاستعادة وظيفة الركبة والطرف السفلي، مما يتيح للمريض العودة إلى ممارسة حياته الطبيعية والمشي على قدميه مجدداً.

تُعتبر منطقة الظنبوب القريب (Proximal Tibia) واحدة من أكثر المواقع التشريحية تحدياً في جراحات العظام والأورام. يعود هذا التعقيد إلى عدة عوامل: قربها الشديد من حزمة الأوعية الدموية والأعصاب الرئيسية التي تغذي الساق والقدم، ونقص التغطية العضلية الكافية في الجزء الأمامي من الساق، بالإضافة إلى الدور الحيوي الذي يلعبه هذا الجزء في آلية تمديد الركبة (Extensor Mechanism) وتحمل وزن الجسم بالكامل. لذلك، فإن نجاح هذه الجراحة لا يعتمد فقط على المعدات الحديثة، بل يعتمد بشكل أساسي وحاسم على مهارة الجراح وخبرته الاستثنائية.
في العاصمة اليمنية صنعاء، يبرز اسم الأستاذ الدكتور محمد هطيف كمرجع طبي أول ورائد لا منازع في هذا التخصص الدقيق. بصفته أستاذاً لجراحة العظام والمفاصل في جامعة صنعاء، وبخبرة تمتد لأكثر من عقدين من الزمان، نجح البروفيسور هطيف في تغيير حياة مئات المرضى من خلال إجراء أندر وأعقد العمليات الجراحية. يجمع الدكتور هطيف بين البراعة الجراحية الفائقة، واستخدام أحدث التقنيات العالمية مثل الجراحة المجهرية (Microsurgery)، ومناظير المفاصل بدقة 4K، وتقنيات استبدال المفاصل المتقدمة، مع التزام صارم بالأمانة الطبية والمصداقية التي يضعها فوق كل اعتبار.
يهدف هذا الدليل الطبي الشامل والموسوعي إلى أخذكم في رحلة معرفية دقيقة حول كل ما يتعلق بجراحة استئصال الظنبوب القريب وإعادة البناء بالطرف الصناعي، بدءاً من فهم التشريح المعقد للركبة، مروراً بالأسباب والأعراض، ووصولاً إلى تفاصيل الجراحة خطوة بخطوة، ومراحل التأهيل، لتكونوا على دراية تامة بكل تفاصيل هذه المعجزة الطبية.


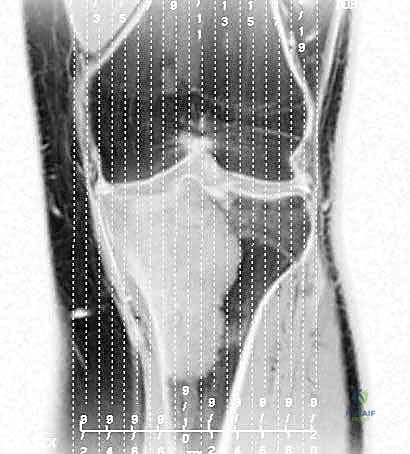
التشريح الدقيق لمفصل الركبة والمنطقة المحيطة بالظنبوب (Proximal Tibia Anatomy)
لفهم مدى تعقيد وعبقرية جراحة استئصال الظنبوب القريب، من الضروري الإبحار في أعماق التشريح الأساسي لهذه المنطقة الحيوية. لا يقتصر الأمر على مجرد عظام، بل هو نظام هندسي وبيولوجي متكامل ومعقد. يتكون مفصل الركبة من التقاء عظم الفخذ (Femur) من الأعلى، وعظم الساق أو الظنبوب (Tibia) من الأسفل، وعظم الشظية (Fibula) الجانبي، بالإضافة إلى الرضفة أو صابونة الركبة (Patella) في الأمام. الجزء القريب من الظنبوب هو الجزء العلوي العريض من عظم الساق، والذي يشكل القاعدة الأساسية التي يستند عليها مفصل الركبة ويتحمل وزن الجسم بأكمله.
الشريان المأبضي وتفرعاته الدموية المعقدة (Popliteal Artery and Branches)
يُعد الشريان المأبضي (Popliteal Artery) بمثابة شريان الحياة الرئيسي للطرف السفلي. يمر هذا الشريان الضخم خلف مفصل الركبة مباشرة في منطقة تُعرف بالحفرة المأبضية (Popliteal Fossa). عند وصوله إلى الحافة السفلية للعضلة المأبضية، يتفرع هذا الشريان إلى شبكة معقدة تُعرف باسم "التشعب المأبضي ثلاثي الفروع" (Trifurcation)، وهي تتكون من:
- الشريان الظنبوبي الأمامي (Anterior Tibial Artery): وهو أول فرع ينشأ من الشريان المأبضي، ويتجه للأمام ليغذي الجزء الأمامي من الساق.
- الجذع الظنبوبي الشظوي (Tibioperoneal Trunk): وهو استمرار للشريان المأبضي بعد تفرع الشريان الأمامي.
- الشريان الشظوي (Peroneal Artery) والشريان الظنبوبي الخلفي (Posterior Tibial Artery): وهما يتفرعان من الجذع الظنبوبي الشظوي لتغذية الأجزاء الجانبية والخلفية من الساق والقدم.

يُعد الفهم العميق والدقيق لهذه التفرعات أمراً بالغ الأهمية ويفصل بين نجاح الجراحة أو فشلها الكارثي. أثناء عملية استئصال الورم من الظنبوب القريب، غالباً ما يضطر الجراح إلى التعامل بحذر شديد مع هذه الأوعية. في بعض الحالات، يتطلب الأمر ربط (Ligation) الشريان الظنبوبي الأمامي إذا كان الورم قريباً جداً منه، مع ضرورة تحديد وحماية الأوعية الأخرى (خاصة الشريان الظنبوبي الخلفي) لضمان استمرار إمداد الدم الكافي للساق والقدم بعد الجراحة، وتجنب خطر تموت الأنسجة (Ischemia). هنا تبرز أهمية مهارات الجراحة المجهرية التي يتقنها الأستاذ الدكتور محمد هطيف لضمان سلامة هذه الأوعية الدقيقة.

المفصل الظنبوبي الشظوي القريب (Proximal Tibiofibular Joint)
يقع المفصل الظنبوبي الشظوي القريب بالقرب من الجانب الخلفي الوحشي (الخارجي) للظنبوب القريب، وهو يربط بين عظم الظنبوب وعظم الشظية. تُظهر الدراسات النسيجية والباثولوجية المتقدمة أن الأورام الخبيثة التي تصيب الظنبوب القريب غالباً ما لا تحترم الحدود التشريحية، وتمتد لتشمل الأنسجة المحيطة بهذا المفصل الصغير.
لذلك، وفي قاعدة جراحية ذهبية للحصول على "هامش جراحي آمن" (Safe Surgical Margin) وخالٍ تماماً من الخلايا السرطانية، من الضروري إزالة هذا المفصل بالكامل كوحدة واحدة (En Bloc Resection) مع الظنبوب المصاب وعظم الشظية القريب. هذه العملية تُعرف بالاستئصال خارج المفصل (Extra-articular Resection)، وهي تضمن عدم ترك أي خلايا ورمية مجهرية قد تؤدي إلى انتكاس المرض وعودته في المستقبل.

الموقع تحت الجلد للظنبوب وتغطية الأنسجة الرخوة (Soft Tissue Coverage)
من التحديات التشريحية الكبرى في هذه الجراحة هو أن الجانب الإنسي (الداخلي) والأمامي بأكمله من عظم الظنبوب يقع مباشرة تحت الجلد (Subcutaneous)، دون وجود طبقة عضلية سميكة تحميه. هذا الوضع يظل قائماً حتى بعد استئصال العظم وتركيب الطرف الصناعي المعدني الضخم.
هذا الموقع المكشوف يجعل الطرف الصناعي عرضة بشكل خاص للعدوى البكتيرية وتآكل الجلد فوقه، وهي مضاعفات كانت في الماضي سبباً رئيسياً لفشل الجراحة والحاجة النهائية إلى البتر. ومع ذلك، فقد أحدثت التقنيات الجراحية التجميلية والترميمية الحديثة ثورة في هذا المجال. يُعد استخدام سديلة العضلة التوأمية الإنسية (Medial Gastrocnemius Flap) إجراءً منقذاً؛ حيث يقوم الجراح بفصل جزء من عضلة الساق الخلفية (السمانة) وتدويرها لتغطية الطرف الصناعي المعدني من الأمام. هذا الإجراء يوفر تغطية ممتازة، ويزيد من التروية الدموية للمنطقة، مما يقلل بشكل كبير وملحوظ من خطر العدوى، ويُحسن النتائج الوظيفية والجمالية بشكل مذهل.

آلية الباسطة لمفصل الركبة (Extensor Mechanism)
تُعد آلية الباسطة المحرك الأساسي الذي يتيح للإنسان الوقوف والمشي وتمديد ساقه ضد الجاذبية. تتكون هذه الآلية الميكانيكية الحيوية من:
* عضلة الفخذ الرباعية (Quadriceps Muscle).
* وتر العضلة الرباعية (Quadriceps Tendon).
* الرضفة أو صابونة الركبة (Patella).
* الرباط الرضفي (Patellar Ligament/Tendon).
* الحدبة الظنبوبية (Tibial Tuberosity) - وهي النقطة العظمية البارزة في أعلى الساق حيث يلتصق الرباط الرضفي بقوة.
أثناء جراحة استئصال الظنبوب القريب، يتم حتماً استئصال الحدبة الظنبوبية مع الورم. هذا يعني أن آلية الباسطة تُفصل تماماً عن الساق. ولذلك، فإن التحدي الأكبر للجراح هو إعادة بناء هذه الآلية (Extensor Mechanism Reconstruction) وربط الرباط الرضفي بالطرف الصناعي المعدني بشكل قوي وفعال. يتم ذلك باستخدام شبكات صناعية خاصة (Synthetic Meshes) وتثبيتها بخيوط جراحية شديدة المتانة، بالإضافة إلى الاستعانة بالسديلة العضلية (Gastrocnemius Flap) لدعم هذا الاتصال. فشل هذه الخطوة يعني عدم قدرة المريض على رفع ساقه أو المشي بدون دعامة تقويمية مدى الحياة.


الأسباب والدواعي الطبية لإجراء جراحة استئصال الظنبوب القريب
لا يتم اللجوء إلى هذه الجراحة المعقدة والجذرية إلا في حالات طبية محددة وشديدة الخطورة، حيث تكون حياة المريض أو طرفه مهددين بشكل مباشر. يمكن تصنيف الدواعي الطبية لهذه الجراحة إلى عدة فئات رئيسية، والتي يتعامل معها الأستاذ الدكتور محمد هطيف ببراعة فائقة في عيادته:
1. الأورام العظمية الخبيثة الأولية (ساركوما العظام - Primary Bone Sarcomas)
تُعد الأورام الخبيثة التي تنشأ من العظم نفسه هي السبب الأكثر شيوعاً لإجراء هذه الجراحة. منطقة الركبة (أسفل الفخذ وأعلى الساق) هي الموقع المفضل لنمو هذه الأورام، خاصة لدى الأطفال والمراهقين والشباب. تشمل هذه الأورام:
* الساركوما العظمية (Osteosarcoma): وهو النوع الأكثر شيوعاً، ينشأ في الخلايا المكونة للعظم، ويتميز بنموه السريع والعدواني وتدميره للعظم المحيط.
* ساركوما إوينغ (Ewing's Sarcoma): ورم خبيث نادر ولكنه شديد العدوانية، يصيب غالباً الأطفال والمراهقين، ويمكن أن ينشأ في العظم أو الأنسجة الرخوة المحيطة به.
* الساركوما الغضروفية (Chondrosarcoma): ورم خبيث ينشأ في الخلايا الغضروفية، ويصيب عادة البالغين وكبار السن، وغالباً ما يكون مقاوماً للعلاج الكيميائي والإشعاعي، مما يجعل الجراحة هي الحل الوحيد.

2. الأورام الحميدة العدوانية (Aggressive Benign Tumors)
على الرغم من أنها تُصنف كأورام "حميدة" لأنها لا تنتشر (لا تعطي نقائل) إلى أعضاء أخرى مثل الرئتين، إلا أنها "عدوانية محلياً". هذا يعني أنها تنمو بشكل كبير وتدمر العظم المفصلي المحيط بها بالكامل، مما يجعل العظم هشاً وعرضة للكسر، ويدمر وظيفة المفصل.
* ورم الخلايا العملاقة (Giant Cell Tumor - GCT): هو المثال الأبرز في هذه الفئة. ينشأ غالباً في نهايات العظام الطويلة بالقرب من المفصل (مثل الظنبوب القريب). في الحالات المتقدمة التي يدمر فيها الورم القشرة العظمية وسطح المفصل، يصبح الاستئصال الكامل وإعادة البناء بالطرف الصناعي هو الخيار الأمثل لمنع عودة الورم (Recurrence).

3. الأورام النقائلية (السرطان المنتشر للعظم - Bone Metastases)
في بعض الحالات، تنتشر الخلايا السرطانية من أورام أولية في أعضاء أخرى (مثل سرطان الثدي، البروستاتا، الرئة، الكلى، أو الغدة الدرقية) عبر مجرى الدم لتستقر في العظام، بما في ذلك الظنبوب القريب. عندما يتسبب هذا الانتشار في تدمير واسع للعظم، أو ألم مبرح لا يستجيب للعلاج، أو كسر مرضي (Pathological Fracture)، يتدخل الجراح لاستئصال الجزء التالف وتركيب طرف صناعي لتحسين جودة حياة المريض وتخفيف معاناته.

4. التلف الشديد الناتج عن الصدمات أو الفشل المتكرر للمفاصل
في حالات نادرة، قد لا يكون السبب ورماً، بل صدمة شديدة (مثل حوادث السير المروعة) التي تؤدي إلى تهشم كامل للجزء القريب من الظنبوب مع فقدان عظمي ضخم لا يمكن إصلاحه بالشرائح والمسامير. كذلك، في حالات الفشل المتكرر والالتهابات المزمنة لعمليات تغيير مفصل الركبة التقليدية (Revision Total Knee Arthroplasty) والتي تؤدي إلى ذوبان وفقدان عظمي كبير، يكون الحل النهائي هو استخدام الأطراف الصناعية الضخمة (Megaprosthesis) لتعويض هذا النقص الهائل.


الأعراض والعلامات التحذيرية التي تستدعي التدخل العاجل
غالباً ما تبدأ أعراض أورام الظنبوب القريب بشكل خفي وتتطور تدريجياً، مما قد يؤدي إلى تأخر التشخيص. الوعي بهذه الأعراض وسرعة التوجه لاستشاري خبير مثل الأستاذ الدكتور محمد هطيف هو مفتاح العلاج الناجح.
| العَرَض / العلامة التحذيرية | الوصف الدقيق والأهمية السريرية | درجة الخطورة |
|---|---|---|
| الألم العظمي المستمر | ألم عميق ومستمر في منطقة الركبة وأعلى الساق. يزداد سوءاً مع مرور الوقت ولا يستجيب للمسكنات العادية. | عالية جداً |
| الألم الليلي (Night Pain) | ألم يوقظ المريض من نومه. يُعد من أقوى العلامات التحذيرية للأورام العظمية الخبيثة ويجب عدم تجاهله أبداً. | حرجة (Red Flag) |
| التورم والكتل المحسوسة | ظهور تورم غير مبرر أو كتلة صلبة محسوسة تحت الجلد في أعلى الساق. قد يكون التورم دافئاً عند اللمس مع بروز الأوردة السطحية. | عالية |
| تحدد الحركة (Limited ROM) | صعوبة متزايدة في ثني أو تمديد الركبة بشكل كامل نتيجة حجم الورم أو الألم أو انسكاب السوائل داخل المفصل. | متوسطة إلى عالية |
| العرج وتغير طريقة المشي | محاولة المريض تجنب تحميل الوزن على الساق المصابة لتخفيف الألم، مما يؤدي إلى عرج واضح. | متوسطة |
| الكسور المرضية (Pathological Fractures) | كسر يحدث في العظم نتيجة إصابة بسيطة جداً لا تسبب كسراً في العظم السليم (مثل التعثر الخفيف). يحدث لأن الورم أضعف بنية العظم. | طوارئ طبية |
| الأعراض العامة (Systemic) | فقدان الوزن غير المبرر، الحمى المستمرة، الإرهاق الشديد، التعرق الليلي (تحدث غالباً في المراحل المتقدمة من الأورام الخبيثة). | عالية جداً |


الخيارات العلاجية المتاحة: متى نلجأ للجراحة؟
إن قرار علاج أورام الظنبوب القريب هو قرار معقد يتطلب فريقاً طبياً متعدد التخصصات (Multidisciplinary Team). يتضمن العلاج عادة مزيجاً من العلاجات التحفظية والجراحية.
العلاج التحفظي (الدوائي والإشعاعي)
لا يُعد العلاج التحفظي بديلاً عن الجراحة في حالة الأورام الموضعية القابلة للاستئصال، بل هو علاج مكمل (Adjuvant/Neoadjuvant).
* العلاج الكيميائي (Chemotherapy): يُعطى غالباً قبل الجراحة (Neoadjuvant) لتقليص حجم الورم وقتل الخلايا السرطانية الدقيقة المنتشرة في الدم، ويُعطى بعد الجراحة (Adjuvant) للقضاء على أي بقايا للورم. يُعد أساسياً في علاج الساركوما العظمية وساركوما إوينغ.
* العلاج الإشعاعي (Radiotherapy): يُستخدم في أنواع معينة من الأورام الحساسة للإشعاع (مثل ساركوما إوينغ)، أو كعلاج تلطيفي (Palliative) للحالات المتقدمة لتخفيف الألم.

العلاج الجراحي: البتر مقابل الحفاظ على الطرف (Limb Salvage vs. Amputation)
تاريخياً، كان بتر الساق من فوق الركبة هو العلاج القياسي والوحيد لسرطان العظام. ولكن اليوم، بفضل جراحين من النخبة مثل الأستاذ الدكتور محمد هطيف، أصبحت جراحات الحفاظ على الأطراف (Limb Salvage Surgery) هي المعيار الذهبي لأكثر من 85-90% من المرضى.
الجدول التالي يقارن بين الخيارين بشكل علمي ودقيق:
| وجه المقارنة | جراحة الحفاظ على الطرف (استئصال وإعادة بناء بالطرف الصناعي) | البتر (Amputation) |
|---|---|---|
| الهدف الأساسي | استئصال الورم بالكامل مع الحفاظ على الساق ووظيفتها. | استئصال الورم بالكامل عن طريق إزالة الطرف. |
| دواعي الاستخدام | معظم الأورام الخبيثة والحميدة العدوانية، إذا أمكن تحقيق حواف جراحية آمنة مع الحفاظ على الأوعية والأعصاب. | غزو الورم للأوعية الدموية والأعصاب الرئيسية، تلوث جراحي سابق واسع، أو تفضيل المريض. |
| المظهر النفسي والجمالي | ممتاز، المريض يحت |
































آلام العظام والمفاصل وتقييد حركتها ليس قدراً محتوماً! التشخيص الدقيق والعلاج المتخصص يمكن أن يعيد لك كامل وظيفتك وحريتك في الحركة. لا تدع الألم يسيطر على حياتك.
للحصول على استشارة دقيقة وخطة علاجية مخصصة لحالتك، تواصل فوراً مع مركز الأستاذ الدكتور محمد هطيف:
الأستاذ الدكتور محمد هطيف - أفضل دكتور عظام في صنعاء، وخبير في جراحات العظام والمفاصل والعمود الفقري.. نلتزم بإعادتك لحياة خالية من الألم وحركة طبيعية.
مواضيع أخرى قد تهمك