English
جزء من الدليل الشامل

الكسور العظمية: دليل شامل للأنواع، الأسباب، والعلاج مع الأستاذ الدكتور محمد هطيف في صنعاء

علاج كسور عظم الزند: دليل شامل لكسور الناتئ الإبري، الرأس، والجزء الكردوسي الكردوسي مع الأستاذ الدكتور محمد هطيف في صنعاء

27 يناير 2026 10 دقيقة قراءة 0 مشاهدة
علاج كسور عظم الزند: دليل شامل لكسور الناتئ الإبري، الرأس، والجزء الكردوسي الكردوسي مع الأستاذ الدكتور محمد هطيف في صنعاء

الخلاصة الطبية

كسور عظم الزند هي إصابات شائعة قد تؤثر على الناتئ الإبري، الرأس، أو الجزء الكردوسي الكردوسي. يتضمن العلاج تقييمًا دقيقًا لتحديد الحاجة إلى التثبيت الجراحي أو غير الجراحي، بهدف استعادة وظيفة المفصل واستقراره، وهو ما يتفوق فيه الأستاذ الدكتور محمد هطيف.

الخلاصة الطبية السريعة والتمهيد الشامل

تُعد كسور عظم الزند (Ulna Fractures) من الإصابات المعقدة والشائعة التي قد تؤثر بشكل جذري على الناتئ الإبري (Ulnar Styloid)، أو رأس الزند (Ulnar Head)، أو الجزء الكردوسي (Metaphyseal Region). يتطلب العلاج الفعال تقييمًا دقيقًا للغاية لتحديد الحاجة إلى التثبيت الجراحي أو الاكتفاء بالعلاج التحفظي غير الجراحي، وذلك بهدف استعادة وظيفة المفصل بالكامل، وضمان استقراره، ومنع المضاعفات المستقبلية مثل خشونة المفاصل أو التيبس.

في العاصمة اليمنية صنعاء، يبرز اسم الأستاذ الدكتور محمد هطيف كمرجع طبي أول والخبير الأبرز في جراحة العظام والمفاصل. بصفته أستاذًا في جامعة صنعاء وبخبرة تتجاوز 20 عامًا، يجمع الدكتور هطيف بين التقنيات الجراحية الحديثة (مثل الجراحة المجهرية، ومناظير المفاصل بدقة 4K، والمفاصل الصناعية) وبين الأمانة الطبية الصارمة التي تضمن عدم اللجوء للجراحة إلا عند الضرورة القصوى.

الزند البعيد هو نقطة الارتكاز التي تعتمد عليها معظم أنشطة اليد اليومية

صورة توضيحية لـ علاج كسور عظم الزند: دليل شامل لكسور الناتئ الإبري، الرأس، والجزء الكردوسي الكردوسي مع الأستاذ الدكتور محمد هطيف في صنعاء

مقدمة موسعة عن كسور عظم الزند وتأثيرها الميكانيكي

تُعد كسور عظم الزند من الإصابات العظمية التي تتطلب انتباهًا خاصًا، فرغم أنها قد تُهمل أحيانًا مقارنة بكسور عظم الكعبرة (Radius) الأكبر حجمًا والأكثر بروزًا، إلا أن تأثيرها على ميكانيكية اليد والمعصم يُعد جوهريًا. يُشكل عظم الزند، وتحديدًا طرفه البعيد (Distal Ulna)، نقطة الارتكاز الثابتة والمحورية التي تدور حولها عظم الكعبرة واليد بأكملها. هذا الدوران هو ما يسمح لنا بحركات الكب (Pronation) والبسط (Supination)، وهي الحركات الأساسية التي نستخدمها يوميًا لفتح الأبواب، أو استخدام المفاتيح، أو تناول الطعام.

أي كسر يطال هذا العظم الحيوي، سواء كان في الناتئ الإبري (النتوء العظمي الصغير في نهاية الزند)، أو رأس الزند (الجزء المفصلي)، أو الجزء الكردوسي الكردوسي (المنطقة الانتقالية بين الرأس وجسم العظم)، يمكن أن يؤدي إلى خلل ميكانيكي عنيف. هذا الخلل غالبًا ما يترجم إلى عدم استقرار في المفصل الزندي الكعبري البعيد (Distal Radioulnar Joint - DRUJ)، مما يسبب آلامًا مزمنة، وضعفًا في قبضة اليد، وتآكلًا غضروفيًا مبكرًا إذا لم يتم تشخيصه وعلاجه بدقة متناهية.

كسور الزند البعيد غالبًا ما يتم إهمالها مقارنة بكسور الكعبرة

في هذا السياق، يقدم الأستاذ الدكتور محمد هطيف في عيادته التخصصية بصنعاء رعاية طبية ذات معايير عالمية. يعتمد الدكتور هطيف على التقييم السريري الدقيق والتصوير الطبي المتقدم لوضع خطة علاجية مخصصة لكل مريض. يهدف هذا الدليل الطبي الشامل (Pillar Page) إلى الغوص في أدق تفاصيل كسور عظم الزند، بدءًا من التشريح المعقد، مرورًا بالأسباب والأعراض، وصولًا إلى أحدث بروتوكولات العلاج الجراحي والتأهيلي.

صورة توضيحية لـ علاج كسور عظم الزند: دليل شامل لكسور الناتئ الإبري، الرأس، والجزء الكردوسي الكردوسي مع الأستاذ الدكتور محمد هطيف في صنعاء

صورة توضيحية لـ علاج كسور عظم الزند: دليل شامل لكسور الناتئ الإبري، الرأس، والجزء الكردوسي الكردوسي مع الأستاذ الدكتور محمد هطيف في صنعاء

التشريح الدقيق والميكانيكا الحيوية لعظم الزند

لفهم مدى تعقيد كسور عظم الزند وكيفية علاجها، يجب علينا أولًا فهم التشريح الهندسي الرائع لهذه المنطقة الحيوية من الساعد. يتكون الساعد البشري من عظمتين متوازيتين: الكعبرة والزند. يعملان معًا كوحدة وظيفية متكاملة.

دور الزند كنقطة ارتكاز محورية (The Fulcrum)

  • نقطة الارتكاز الثابتة: على عكس الكعبرة التي تتحرك وتدور، يُشكل الطرف البعيد للزند (عند المعصم) نقطة ارتكاز شبه ثابتة. تدور اليد والكعبرة حول رأس الزند في حركة تشبه حركة الباب حول مفصلاته. هذه الوظيفة المحورية تضمن أداء معظم الأنشطة اليومية لليد بسلاسة وثبات.
  • المفصل الزندي الكعبري البعيد (DRUJ): هو المفصل الذي يربط بين نهايات الكعبرة والزند عند المعصم. يدور عظم الكعبرة حول رأس الزند من خلال هذا المفصل أثناء حركات الكب (تدوير الساعد بحيث يكون باطن اليد لأسفل) والبسط (تدوير الساعد بحيث يكون باطن اليد لأعلى). استقرار هذا المفصل لا يعتمد فقط على العظام، بل يعتمد بشكل كبير على التوافق العظمي بين رأس الزند والثلمة الكعبرية (الشق السيني - Sigmoid Notch) في الكعبرة.

رأس الزند يشكل نقطة الارتكاز التي تستند عليها اليد والكعبرة

المركب الغضروفي الليفي الثلاثي (TFCC) وأهميته القصوى

يُعد المركب الغضروفي الليفي الثلاثي (Triangular Fibrocartilage Complex - TFCC) بمثابة "غضروف الركبة" بالنسبة للمعصم. إنه هيكل معقد يتكون من أربطة وغضاريف تربط المفصل الزندي الكعبري البعيد بعظام الرسغ.
* وظيفة الـ TFCC: يوفر استقرارًا حيويًا للمفصل (DRUJ)، ويساعد في امتصاص الصدمات وتوزيع الأحمال الميكانيكية عبر المعصم أثناء رفع الأشياء الثقيلة أو الاستناد على اليد.
* الارتباط بالناتئ الإبري: ترتبط العديد من أربطة الـ TFCC مباشرة بالناتئ الإبري للزند (Ulnar Styloid). لذلك، فإن أي كسر في قاعدة الناتئ الإبري غالبًا ما يصاحبه تمزق في هذا المركب الغضروفي، مما يؤدي إلى عدم استقرار شديد في المعصم يستوجب تدخلًا جراحيًا دقيقًا، وهو ما يبرع فيه الأستاذ الدكتور محمد هطيف باستخدام تقنيات المناظير (Arthroscopy).

الكعبرة تدور حول رأس الزند عبر المفصل الزندي الكعبري البعيد

الأربطة الزندية الكعبرية (Radioulnar Ligaments)

تُعتبر الأربطة الزندية الكعبرية (الظهرية والراحية) حاسمة لاستقرار المفصل. تنشأ هذه الأربطة من نقرة رأس الزند (Fovea) وقاعدة الناتئ الإبري، وتتصل بالحواف الظهرية والراحية للثلمة الكعبرية.
في الوضع المحايد للساعد، تكون حوالي 60% من الأسطح المفصلية في تماس مباشر. ولكن، المثير للاهتمام طبيًا هو أن هذا التماس ينخفض إلى 10% فقط في حركات الكب والبسط الكاملة. هذا يعني أنه في أقصى درجات دوران اليد، تصبح العظام غير قادرة على تثبيت المفصل بمفردها، وهنا يبرز الدور الحيوي والجوهري للأربطة في الحفاظ على المفصل من الخلع (Dislocation).

المفصل الزندي الكعبري البعيد مستقر بفضل التوافق العظمي والأربطة
تختلف أشكال السطوح المفصلية لرأس الزند والثلمة الكعبرية

صورة توضيحية لـ علاج كسور عظم الزند: دليل شامل لكسور الناتئ الإبري، الرأس، والجزء الكردوسي الكردوسي مع الأستاذ الدكتور محمد هطيف في صنعاء

التصنيف الدقيق لكسور عظم الزند

لتحديد خطة العلاج المثلى، يقوم الأستاذ الدكتور محمد هطيف بتصنيف كسور الزند بناءً على الموقع التشريحي للكسر ودرجة التفتت العظمي. يُقسم عظم الزند البعيد إلى ثلاث مناطق رئيسية عرضة للكسور:

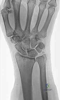
1. كسور الناتئ الإبري للزند (Ulnar Styloid Fractures)

الناتئ الإبري هو البروز العظمي الذي يمكنك الشعور به في الجزء الخارجي من معصمك.
* كسور قمة الناتئ الإبري (Tip Fractures): غالبًا ما تكون كسورًا قلعية (Avulsion fractures) صغيرة. عادة ما تكون مستقرة ولا تؤثر بشكل كبير على المفصل (DRUJ).
* كسور قاعدة الناتئ الإبري (Base Fractures): هي الأخطر. نظرًا لأن الأربطة الرئيسية للـ TFCC تتصل بقاعدة الناتئ، فإن الكسر هنا يعني غالبًا فقدان استقرار المعصم. يتطلب هذا النوع تقييمًا دقيقًا جدًا لمدى ثبات المفصل بعد تثبيت كسر الكعبرة (إن وجد).

صورة طبية توضح كسر الناتئ الإبري

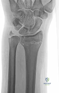
2. كسور رأس الزند (Ulnar Head Fractures)

رأس الزند هو الجزء المفصلي الدائري الذي يدور حوله الكعبرة.
* كسور مفصلية (Articular Fractures): تمتد خطوط الكسر لتشمل الغضروف المفصلي. إذا لم يتم إعادة العظام إلى وضعها التشريحي المثالي (Anatomic Reduction)، فإن المريض سيكون عرضة للإصابة بخشونة المفاصل المبكرة (Post-traumatic Osteoarthritis) وفقدان القدرة على تدوير الساعد.
* كسور غير مفصلية: تقع تحت السطح المفصلي مباشرة، ولكنها قد تؤدي إلى تشوه في زاوية رأس الزند.

صورة لكسر في رأس الزند

3. كسور الجزء الكردوسي الكردوسي (Ulnar Metaphyseal Fractures)

الجزء الكردوسي هو العنق أو المنطقة الانتقالية التي تربط رأس الزند بجسم العظم (Diaphysis).
هذه المنطقة تحتوي على عظم إسفنجي (Cancellous bone) وهي عرضة للكسور المفتتة (Comminuted fractures) خاصة عند كبار السن المصابين بهشاشة العظام، أو في حالات الحوادث عالية الطاقة. الكسر هنا يؤدي إلى قصر في طول عظم الزند، مما يغير من ميكانيكية توزيع الأحمال في المعصم ويسبب متلازمة انحشار الزند (Ulnar Impaction Syndrome).

توضيح لكسور الجزء الكردوسي الكردوسي

صورة توضيحية لـ علاج كسور عظم الزند: دليل شامل لكسور الناتئ الإبري، الرأس، والجزء الكردوسي الكردوسي مع الأستاذ الدكتور محمد هطيف في صنعاء

الأسباب وعوامل الخطر المؤدية لكسور الزند

تتنوع الأسباب التي تؤدي إلى كسور عظم الزند، ويصنفها أطباء العظام إلى فئتين رئيسيتين:

أسباب عالية الطاقة (High-Energy Trauma)

تحدث غالباً لدى الشباب والبالغين الأصحاء، وتتميز بكسور شديدة التفتت وقد يصاحبها إصابات في الأنسجة الرخوة (الأعصاب والأوعية الدموية).
* حوادث السير (Motor Vehicle Accidents): سواء للسيارات أو الدراجات النارية، وتعد من أكثر الأسباب شيوعًا في اليمن.
* السقوط من ارتفاعات عالية: مثل حوادث العمل في مواقع البناء.
* الإصابات الرياضية العنيفة: خاصة في الرياضات التي تتطلب احتكاكًا جسديًا أو التي يكثر فيها السقوط على اليد الممدودة (مثل التزلج، وركوب الخيل).

صورة توضح آلية الإصابة عالية الطاقة

أسباب منخفضة الطاقة (Low-Energy Trauma)

ترتبط هذه الأسباب بشكل مباشر بجودة العظام وتحدث غالباً لدى كبار السن.
* هشاشة العظام (Osteoporosis): مع تقدم العمر، تفقد العظام كثافتها وتصبح هشة. مجرد السقوط البسيط من مستوى الوقوف (على سجادة المنزل مثلًا) مع محاولة الاستناد على اليد الممدودة (FOOSH - Fall On Outstretched Hand) يكفي لإحداث كسر مركب في الزند والكعبرة.
* الأمراض الاستقلابية: التي تؤثر على امتصاص الكالسيوم وفيتامين د.

تأثير السقوط على اليد الممدودة

صورة توضيحية لـ علاج كسور عظم الزند: دليل شامل لكسور الناتئ الإبري، الرأس، والجزء الكردوسي الكردوسي مع الأستاذ الدكتور محمد هطيف في صنعاء

الأعراض والتشخيص السريري الدقيق مع الأستاذ الدكتور محمد هطيف

عند تعرض المريض لإصابة في الساعد أو المعصم، فإن سرعة التشخيص ودقته هما مفتاح العلاج الناجح. يتميز الأستاذ الدكتور محمد هطيف باتباع بروتوكول تشخيصي صارم يضمن عدم إغفال أي تفصيل صغير قد يؤثر على مستقبل وظيفة يد المريض.

الأعراض السريرية لكسور الزند

  • ألم حاد ومفاجئ: خاصة عند محاولة تدوير الساعد (الكب والبسط).
  • تورم وكدمات: تظهر بسرعة حول منطقة المعصم والجهة الزندية (جهة الإصبع الصغير).
  • تشوه مرئي: في حالات الكسور المنزاحة، قد يبدو المعصم معوجًا أو غير متطابق مع شكله الطبيعي.
  • علامة مفتاح البيانو (Piano Key Sign): وهي علامة سريرية هامة تدل على تمزق أربطة المفصل الزندي الكعبري البعيد (DRUJ). عند الضغط على رأس الزند البارز، فإنه ينزل لأسفل، وبمجرد إزالة الضغط، يرتد لأعلى مثل مفتاح البيانو.
  • تنميل أو خدر: في الإصبع الصغير ونصف الإصبع البنصر، مما قد يشير إلى انضغاط أو إصابة العصب الزندي (Ulnar Nerve).

الفحص السريري الدقيق لكسور الزند

جدول (1): الدليل التشخيصي المرجعي للأعراض حسب نوع الكسر

نوع الكسر الأعراض الموضعية البارزة المضاعفات المحتملة في حال الإهمال الحاجة المعتادة للتدخل الجراحي
كسر قمة الناتئ الإبري ألم خفيف عند اللمس، تورم محدود عادة لا توجد مضاعفات خطيرة نادرة (غالبًا علاج تحفظي)
كسر قاعدة الناتئ الإبري ألم شديد مع حركة الدوران، عدم استقرار المعصم عدم استقرار مزمن في المفصل (DRUJ)، تمزق TFCC عالية (يتطلب التثبيت المفتوح أو المنظار)
كسر رأس الزند (مفصلي) ألم حاد داخل المفصل، طقطقة عند الحركة، إعاقة في الدوران خشونة مبكرة في المفصل، تيبس دائم عالية جدًا (رد مفتوح وتثبيت داخلي)
كسر الجزء الكردوسي تشوه مرئي، قصر في طول الساعد، تورم شديد متلازمة انحشار الزند، التحام معيب متوسطة إلى عالية (حسب درجة الانزياح)

استخدام الأشعة السينية في التشخيص

بروتوكول التصوير الطبي المتقدم

لا يكتفي الدكتور هطيف بالفحص السريري، بل يعتمد على أحدث تقنيات التصوير لضمان "الأمانة الطبية" في التشخيص:
1. الأشعة السينية (X-rays): بوضعيات متعددة (أمامية خلفية، وجانبية دقيقة). الوضعية الجانبية الحقيقية (True Lateral) حاسمة لاكتشاف أي خلع جزئي في المفصل (DRUJ).
2. الأشعة المقطعية ثلاثية الأبعاد (3D CT Scan): تُستخدم في الكسور المفتتة أو كسور رأس الزند المفصلية المعقدة، حيث تعطي خريطة دقيقة للجراح قبل الدخول لغرفة العمليات.
3. الرنين المغناطيسي (MRI): يُطلب عند الاشتباه القوي بوجود تمزقات في الأربطة والمركب الغضروفي (TFCC) التي لا تظهر في الأشعة السينية.

الأشعة المقطعية توفر تفاصيل دقيقة للكسر
صور الرنين المغناطيسي لتقييم الأربطة

صورة توضيحية لـ علاج كسور عظم الزند: دليل شامل لكسور الناتئ الإبري، الرأس، والجزء الكردوسي الكردوسي مع الأستاذ الدكتور محمد هطيف في صنعاء

الخيارات العلاجية الشاملة: من العلاج التحفظي إلى الجراحة الدقيقة

إن قرار علاج كسور عظم الزند ليس قرارًا عشوائيًا، بل يخضع لمعايير طبية دقيقة. شعار الأستاذ الدكتور محمد هطيف هو "الجراحة فقط عند الضرورة"، وهو ما يعكس التزامه بأعلى معايير الأخلاقيات الطبية.

أولاً: العلاج التحفظي (غير الجراحي - Conservative Treatment)

يتم اللجوء إلى هذا الخيار في الحالات التالية:
* كسور قمة الناتئ الإبري المستقرة.
* كسور الجزء الكردوسي أو رأس الزند التي لا يوجد بها انزياح (Non-displaced fractures).
* المرضى الذين يعانون من حالات طبية تمنعهم من الخضوع للتخدير العام.

كيفية العلاج التحفظي:
يتم استخدام الجبائر الطبية المخصصة. في بعض الحالات، يُستخدم جبس مونستر (Muenster Cast) أو جبيرة ملقط السكر (Sugar-tong splint). هذه الأنواع من الجبائر تسمح بحركة محدودة للكوع مع منع حركة الكب والبسط (دوران الساعد) تمامًا، مما يعطي الكسر فرصة للالتئام في وضع مستقر لمدة تتراوح بين 4 إلى 6 أسابيع.

استخدام الجبائر في العلاج التحفظي

ثانياً: العلاج الجراحي (Surgical Intervention)

متى يقرر الدكتور هطيف ضرورة التدخل الجراحي؟
1. عدم الاستقرار (Instability): إذا كان المفصل الزندي الكعبري البعيد (DRUJ) غير مستقر بعد تثبيت كسر الكعبرة.
2. الانزياح (Displacement): إذا كان الكسر في قاعدة الناتئ الإبري منزاحًا بأكثر من 2 ملم.
3. الكسور المفصلية: أي كسر يخل بتطابق السطح المفصلي لرأس الزند.
4. الكسور المفتتة: في الجزء الكردوسي التي تؤدي إلى قصر عظم الزند.
5. الكسور المفتوحة (Open Fractures): حيث يبرز العظم من الجلد، وتتطلب جراحة طارئة لتنظيف الجرح وتثبيت الكسر لمنع العدوى.

التخطيط الجراحي لكسور الزند

جدول (2): مقارنة شاملة بين العلاج التحفظي والعلاج الجراحي لكسور الزند

وجه المقارنة العلاج التحفظي (الجبس/الجبيرة) العلاج الجراحي (تثبيت داخلي بصفائح ومسامير)
دواعي الاستخدام الكسور المستقرة، غير المنزاحة، كسور قمة الناتئ الإبري. الكسور المفتتة، المنزاحة، الكسور المفصلية، عدم استقرار DRUJ.
مدة التثبيت الأولية 4 إلى 6 أسابيع من التثبيت الكامل. بدء الحركة المبكرة (أحيانًا بعد أيام قليلة من الجراحة).
المزايا تجنب مخاطر الجراحة والتخدير، تكلفة أقل. استعادة التشريح الدقيق، حركة مبكرة، منع تيبس المفاصل، استقرار فوري.
العيوب والمخاطر احتمالية تيبس المعصم، ضعف العضلات، خطر عدم الالتئام أو الالتحام المعيب. مخاطر التخدير، احتمالية العدوى، الحاجة لجراحة مستقبلية لإزالة الصفائح (نادرًا).
التأهيل الوظيفي يتأخر حتى إزالة الجبس. يبدأ مبكرًا جدًا مما يعطي نتائج وظيفية أفضل وأسرع.

صورة توضح الفرق بين التثبيت الداخلي والجبس

صورة توضيحية لـ علاج كسور عظم الزند: دليل شامل لكسور الناتئ الإبري، الرأس، والجزء الكردوسي الكردوسي مع الأستاذ الدكتور محمد هطيف في صنعاء

خطوات التدخل الجراحي الدقيق مع الأستاذ الدكتور محمد هطيف

تُعد جراحات المعصم والزند من الجراحات الدقيقة التي تتطلب مهارة عالية، وهو المجال الذي يتفوق فيه الأستاذ الدكتور محمد هطيف بفضل استخدامه لتقنيات الجراحة المجهرية (Microsurgery) والأدوات الجراحية ذات التقنية العالية.

1. التخطيط ما قبل الجراحة (Pre-operative Planning)

يقوم الدكتور هطيف بدراسة الأشعة المقطعية ثلاثية الأبعاد بدقة، ويختار نوع وحجم الصفائح المعدنية (Plates) والمسامير (Screws) المناسبة لكل مريض بناءً على حجم العظم ونوع الكسر.

التخطيط المسبق للعملية الجراحية

2. التخد

صورة طبية: علاج كسور عظم الزند: دليل شامل لكسور الناتئ الإبري، الرأس، والجزء الكردوسي الكردوسي مع الأستاذ الدكتور محمد هطيف في صنعاء

صورة طبية: علاج كسور عظم الزند: دليل شامل لكسور الناتئ الإبري، الرأس، والجزء الكردوسي الكردوسي مع الأستاذ الدكتور محمد هطيف في صنعاء

صورة طبية: علاج كسور عظم الزند: دليل شامل لكسور الناتئ الإبري، الرأس، والجزء الكردوسي الكردوسي مع الأستاذ الدكتور محمد هطيف في صنعاء

صورة طبية: علاج كسور عظم الزند: دليل شامل لكسور الناتئ الإبري، الرأس، والجزء الكردوسي الكردوسي مع الأستاذ الدكتور محمد هطيف في صنعاء

صورة طبية: علاج كسور عظم الزند: دليل شامل لكسور الناتئ الإبري، الرأس، والجزء الكردوسي الكردوسي مع الأستاذ الدكتور محمد هطيف في صنعاء

صورة طبية: علاج كسور عظم الزند: دليل شامل لكسور الناتئ الإبري، الرأس، والجزء الكردوسي الكردوسي مع الأستاذ الدكتور محمد هطيف في صنعاء

صورة طبية: علاج كسور عظم الزند: دليل شامل لكسور الناتئ الإبري، الرأس، والجزء الكردوسي الكردوسي مع الأستاذ الدكتور محمد هطيف في صنعاء

صورة طبية: علاج كسور عظم الزند: دليل شامل لكسور الناتئ الإبري، الرأس، والجزء الكردوسي الكردوسي مع الأستاذ الدكتور محمد هطيف في صنعاء

صورة طبية: علاج كسور عظم الزند: دليل شامل لكسور الناتئ الإبري، الرأس، والجزء الكردوسي الكردوسي مع الأستاذ الدكتور محمد هطيف في صنعاء

صورة طبية: علاج كسور عظم الزند: دليل شامل لكسور الناتئ الإبري، الرأس، والجزء الكردوسي الكردوسي مع الأستاذ الدكتور محمد هطيف في صنعاء

صورة طبية: علاج كسور عظم الزند: دليل شامل لكسور الناتئ الإبري، الرأس، والجزء الكردوسي الكردوسي مع الأستاذ الدكتور محمد هطيف في صنعاء

صورة طبية: علاج كسور عظم الزند: دليل شامل لكسور الناتئ الإبري، الرأس، والجزء الكردوسي الكردوسي مع الأستاذ الدكتور محمد هطيف في صنعاء

صورة طبية: علاج كسور عظم الزند: دليل شامل لكسور الناتئ الإبري، الرأس، والجزء الكردوسي الكردوسي مع الأستاذ الدكتور محمد هطيف في صنعاء

صورة طبية: علاج كسور عظم الزند: دليل شامل لكسور الناتئ الإبري، الرأس، والجزء الكردوسي الكردوسي مع الأستاذ الدكتور محمد هطيف في صنعاء

![صورة طبية: علاج كسور عظم الزند: دليل شامل لكسور الناتئ الإبري، الرأس، والجزء الكردوسي الكردوسي مع الأستاذ الدكتور محمد هطيف في صنعاء](/media/hutaif

صورة طبية: علاج كسور عظم الزند: دليل شامل لكسور الناتئ الإبري، الرأس، والجزء الكردوسي الكردوسي مع الأستاذ الدكتور محمد هطيف في صنعاء

صورة طبية: علاج كسور عظم الزند: دليل شامل لكسور الناتئ الإبري، الرأس، والجزء الكردوسي الكردوسي مع الأستاذ الدكتور محمد هطيف في صنعاء

صورة طبية: علاج كسور عظم الزند: دليل شامل لكسور الناتئ الإبري، الرأس، والجزء الكردوسي الكردوسي مع الأستاذ الدكتور محمد هطيف في صنعاء

صورة طبية: علاج كسور عظم الزند: دليل شامل لكسور الناتئ الإبري، الرأس، والجزء الكردوسي الكردوسي مع الأستاذ الدكتور محمد هطيف في صنعاء

صورة طبية: علاج كسور عظم الزند: دليل شامل لكسور الناتئ الإبري، الرأس، والجزء الكردوسي الكردوسي مع الأستاذ الدكتور محمد هطيف في صنعاء

صورة طبية: علاج كسور عظم الزند: دليل شامل لكسور الناتئ الإبري، الرأس، والجزء الكردوسي الكردوسي مع الأستاذ الدكتور محمد هطيف في صنعاء

صورة طبية: علاج كسور عظم الزند: دليل شامل لكسور الناتئ الإبري، الرأس، والجزء الكردوسي الكردوسي مع الأستاذ الدكتور محمد هطيف في صنعاء

صورة طبية: علاج كسور عظم الزند: دليل شامل لكسور الناتئ الإبري، الرأس، والجزء الكردوسي الكردوسي مع الأستاذ الدكتور محمد هطيف في صنعاء


كسور العظام المعقدة وإصابات الحوادث ليس قدراً محتوماً! التشخيص الدقيق والعلاج المتخصص يمكن أن يعيد لك كامل وظيفتك وحريتك في الحركة. لا تدع الألم يسيطر على حياتك.

للحصول على استشارة دقيقة وخطة علاجية مخصصة لحالتك، تواصل فوراً مع مركز الأستاذ الدكتور محمد هطيف:

الأستاذ الدكتور محمد هطيف - أفضل دكتور عظام في صنعاء، وخبير في جراحات الكسور المعقدة وإنقاذ الأطراف.. نلتزم بإعادتك لحياة خالية من الألم وعظام قوية وملتئمة.

مواضيع أخرى قد تهمك

Dr. Mohammed Hutaif
محتوى موثق طبياً بإشراف
أ.د. محمد هطيف
استشاري جراحة العظام والمفاصل والعمود الفقري
محتويات الفصل

العودة للدليل الرئيسي