كسر اللقيمة الإنسية بالمرفق: دليل شامل للعلاج الجراحي والتعافي مع الأستاذ الدكتور محمد هطيف

الخلاصة الطبية
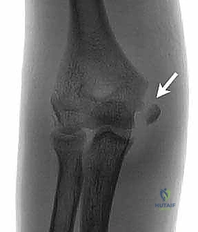
كسر اللقيمة الإنسية بالمرفق هو إصابة شائعة خاصة لدى الرياضيين، يتضمن انفصال جزء من عظم العضد. العلاج الجراحي بالرد المفتوح والتثبيت الداخلي (ORIF) ضروري للكسور المزاحة لاستعادة ثبات ووظيفة المرفق، مما يضمن تعافيًا كاملاً وعودة آمنة للأنشطة.
الخلاصة الطبية السريعة: كسر اللقيمة الإنسية بالمرفق (Medial Epicondyle Fracture) هو إصابة عظمية ومفصلية معقدة، شائعة بشكل خاص لدى الرياضيين والأطفال في مرحلة النمو، وتتضمن انفصال أو تهشم النتوء العظمي البارز في الجزء الداخلي من عظم العضد. يُعد العلاج الجراحي باستخدام تقنية الرد المفتوح والتثبيت الداخلي (ORIF) الخيار الذهبي للكسور المزاحة، وذلك لاستعادة الثبات الميكانيكي للمرفق، وحماية العصب الزندي، وضمان استعادة كامل نطاق الحركة. مع الأستاذ الدكتور محمد هطيف، أفضل استشاري جراحة العظام والمفاصل في صنعاء، نضمن لك تقييماً دقيقاً، تدخلاً جراحياً بأحدث التقنيات، وبرنامجاً تأهيلياً متكاملاً للعودة إلى حياتك الطبيعية ونشاطك الرياضي بأمان تام.

مقدمة شاملة: فهم كسر اللقيمة الإنسية بالمرفق وأهمية العلاج المتخصص
مفصل المرفق ليس مجرد مفصل بسيط للثني والبسط؛ بل هو تحفة هندسية حيوية معقدة تسمح للذراع بأداء وظائف دقيقة وقوية في آن واحد، بدءاً من رفع الأثقال وحتى أداء الحركات الرياضية المعقدة مثل الرمي والتسديد. في الجزء الداخلي من هذا المفصل، يوجد بروز عظمي بالغ الأهمية يُعرف باسم "اللقيمة الإنسية" (Medial Epicondyle). هذا البروز ليس مجرد قطعة عظمية، بل هو نقطة الارتكاز والمرساة الأساسية لمجموعة من العضلات القابضة للساعد والأصابع، بالإضافة إلى كونه نقطة اتصال الرباط الجانبي الزندي (UCL) الذي يمنح المرفق ثباته أثناء الإجهاد.
عندما يتعرض المرفق لصدمة عنيفة، أو إجهاد متكرر (كما هو الحال لدى الرياضيين)، أو التواء شديد، قد تنفصل هذه اللقيمة الإنسية عن مكانها الأصلي، مما يؤدي إلى ما يُعرف بـ "كسر اللقيمة الإنسية بالمرفق". هذه الإصابة لا تسبب ألماً مبرحاً فحسب، بل تهدد استقرار المفصل ووظيفة الذراع بأكملها، وقد تمتد لتؤثر على "العصب الزندي" المار خلفها مباشرة.

في هذا الدليل الطبي الشامل والمفصل، والذي تمت مراجعته وإعداده تحت إشراف الأستاذ الدكتور محمد هطيف (أستاذ جراحة العظام والمفاصل بجامعة صنعاء، وصاحب الخبرة التي تتجاوز 20 عاماً في جراحات المناظير والطب الرياضي والمفاصل الصناعية)، سنأخذك في رحلة معرفية عميقة لفهم كل ما يتعلق بكسر اللقيمة الإنسية بالمرفق. بدءاً من التشريح الدقيق، مروراً بالأسباب والأعراض، ووصولاً إلى أحدث تقنيات العلاج الجراحي (ORIF) وبرامج التأهيل المتقدمة التي تضمن عودتك لحياتك الطبيعية بدون ألم أو إعاقة.

التشريح الدقيق لمفصل المرفق واللقيمة الإنسية (Anatomical Overview)
لفهم خطورة كسر اللقيمة الإنسية، يجب أولاً أن نفهم التشريح المعقد للمنطقة. يتكون مفصل المرفق من التقاء ثلاثة عظام رئيسية:
1. عظم العضد (Humerus): العظمة الطويلة في الجزء العلوي من الذراع.
2. عظم الزند (Ulna): العظمة الداخلية في الساعد.
3. عظم الكعبرة (Radius): العظمة الخارجية في الساعد.
في النهاية السفلية لعظم العضد، يوجد بروزان عظميان: اللقيمة الوحشية (الخارجية) واللقيمة الإنسية (الداخلية). اللقيمة الإنسية (Medial Epicondyle) هي الأكبر والأكثر بروزاً، وتلعب دوراً حيوياً متمثلاً في:
- منشأ العضلات القابضة (Flexor-Pronator Mass): تنشأ من هذه النقطة العضلات المسؤولة عن ثني المعصم والأصابع، وتدوير الساعد للداخل (الكب). أي كسر هنا يعني فقدان القوة في قبضة اليد.
- الرباط الجانبي الزندي (Ulnar Collateral Ligament - UCL): هذا الرباط القوي يربط اللقيمة الإنسية بعظم الزند، وهو المسؤول الأول عن منع المرفق من الانحناء للخارج (Valgus stress) أثناء رمي الأشياء أو حمل الأوزان.
- مسار العصب الزندي (Ulnar Nerve): يمر هذا العصب الحيوي مباشرة خلف اللقيمة الإنسية في نفق يُعرف بالنفق المرفقي. هذا العصب مسؤول عن الإحساس في الإصبع الصغير ونصف الإصبع البنصر، ويتحكم في العديد من العضلات الدقيقة في اليد. كسر اللقيمة الإنسية يضع هذا العصب في خطر داهم إما بالضغط المباشر أو التمدد.


كيف يحدث كسر اللقيمة الإنسية؟ (الأسباب والآليات الميكانيكية)
تتنوع الآليات التي تؤدي إلى كسر اللقيمة الإنسية، ولكنها غالباً ما تنقسم إلى إصابات حادة وإصابات مزمنة ناجمة عن الإجهاد:
1. السقوط على يد ممدودة (FOOSH)
السبب الأكثر شيوعاً، خاصة لدى الأطفال والمراهقين. عند السقوط ومحاولة تفادي الارتطام بمد الذراع، ينتقل وزن الجسم بالكامل عبر مفصل المرفق. هذا يولد قوة شد هائلة (Valgus force) تؤدي إلى شد الرباط الجانبي الزندي بقوة، مما يؤدي إلى اقتلاع (Avulsion) اللقيمة الإنسية من مكانها بدلاً من تمزق الرباط نفسه (لأن الأربطة لدى الأطفال غالباً ما تكون أقوى من صفائح النمو العظمية).
2. الإصابات الرياضية المباشرة وغير المباشرة
- رياضات الرمي (البيسبول، رمي الرمح، التنس): الحركة المتكررة والعنيفة للرمي تضع إجهاداً شديداً ومستمراً على الجزء الداخلي من المرفق. مع مرور الوقت، يمكن أن يؤدي هذا إلى ضعف تدريجي في صفيحة النمو أو العظم، لينتهي بكسر مفاجئ.
- الجمباز والمصارعة: الرياضات التي تتطلب تحمل وزن الجسم على اليدين في زوايا غير طبيعية تزيد من خطر الخلع والكسور.
3. خلع مفصل المرفق (Elbow Dislocation)
في حوالي 50% من حالات كسر اللقيمة الإنسية، يصاحب الكسر خلع كامل في مفصل المرفق. عندما يخرج المفصل من مكانه، يتم سحب اللقيمة الإنسية بعنف بواسطة الأربطة. الخطر الأكبر هنا هو أن تنحشر القطعة العظمية المكسورة داخل المفصل عند محاولة رده لمكانه (Incarcerated fragment)، وهي حالة طارئة تتطلب تدخلاً جراحياً فورياً.
4. الصدمات المباشرة
تلقي ضربة قوية ومباشرة على الجزء الداخلي من المرفق (مثل حوادث السيارات أو السقوط على حافة صلبة) يمكن أن يؤدي إلى تحطم اللقيمة الإنسية.
الأعراض والعلامات السريرية: كيف تعرف أنك مصاب؟
الأعراض لا تقتصر على الألم العابر، بل تشمل مجموعة من العلامات التحذيرية التي تستدعي زيارة عاجلة لعيادة الأستاذ الدكتور محمد هطيف في صنعاء:
- ألم حاد ومفاجئ: يتركز الألم في الجزء الداخلي من المرفق، ويزداد بشدة عند محاولة ثني المعصم، أو إغلاق قبضة اليد، أو محاولة تدوير الساعد.
- تورم وكدمات سريعة (Ecchymosis): يظهر تورم واضح في الجانب الداخلي للمرفق، يتبعه ظهور كدمات زرقاء أو أرجوانية نتيجة النزيف الداخلي من العظم المكسور.
- تشوه مرئي: في حالات الكسور المزاحة بشدة أو المترافقة مع خلع، قد يبدو المرفق مشوهاً وغير طبيعي في شكله.
- فقدان نطاق الحركة (Loss of ROM): عدم القدرة على فرد الذراع بالكامل أو ثنيها بسبب الألم والتشنج العضلي العنيف، أو بسبب وجود قطعة عظمية محشورة داخل المفصل.
- أعراض العصب الزندي (Ulnar Nerve Symptoms): وهي علامة خطيرة تشمل:
- تنميل أو خدر في الإصبع الصغير (الخنصر) ونصف الإصبع البنصر.
- شعور بـ "كهرباء" أو وخز يمتد من المرفق إلى اليد.
- ضعف في قبضة اليد أو صعوبة في تفرقة الأصابع عن بعضها.

جدول مقارنة دقيق: التمييز بين كسر اللقيمة الإنسية والإصابات الأخرى
غالباً ما يتم الخلط بين كسر اللقيمة الإنسية وإصابات أخرى في المرفق. بفضل خبرة الأستاذ الدكتور محمد هطيف، يتم التشخيص الدقيق لتجنب العلاج الخاطئ. إليك هذا الجدول التوضيحي:
| وجه المقارنة | كسر اللقيمة الإنسية (Medial Epicondyle Fracture) | تمزق الرباط الجانبي الزندي (UCL Tear) | التهاب أوتار المرفق الداخلي (Golfer's Elbow) |
|---|---|---|---|
| طبيعة الإصابة | كسر/اقتلاع عظمي حاد. | تمزق في الأنسجة الرخوة (الرباط). | التهاب مزمن في الأوتار نتيجة الإجهاد. |
| الفئة الأكثر عرضة | الأطفال، المراهقون، والرياضيون إثر سقوط أو خلع. | رماة البيسبول، لاعبو التنس (البالغين غالباً). | لاعبو الجولف، العمال اليدويون، الفئة العمرية 30-50. |
| بداية الألم | مفاجئ، حاد جداً، يصحبه صوت "طقطقة" أحياناً. | حاد أو تدريجي مع تكرار الرمي. | تدريجي، يزداد سوءاً مع مرور الوقت والجهد. |
| التورم والكدمات | شديد وفوري، كدمات واضحة. | تورم خفيف إلى متوسط. | تورم نادر، لا توجد كدمات. |
| الأشعة السينية (X-ray) | تظهر الكسر بوضوح (انفصال القطعة العظمية). | طبيعية غالباً (قد نحتاج لرنين مغناطيسي MRI). | طبيعية (قد تظهر تكلسات بسيطة في الحالات المزمنة). |
| أعراض العصب الزندي | شائعة جداً (بسبب قرب الكسر من العصب). | ممكنة ولكنها أقل شيوعاً. | نادرة. |
التشخيص المتقدم في عيادة الأستاذ الدكتور محمد هطيف
التشخيص الدقيق هو حجر الزاوية في خطة العلاج. في مركز الأستاذ الدكتور محمد هطيف بصنعاء، نتبع بروتوكولاً صارماً لضمان عدم تفويت أي تفصيل طبي:
- التقييم السريري الشامل: يبدأ الدكتور هطيف بفحص المرفق بدقة، تقييم التورم، تحديد نقاط الألم بدقة متناهية، وإجراء فحص عصبي وعضلي كامل للتأكد من سلامة العصب الزندي والأوعية الدموية.
- التصوير بالأشعة السينية (X-rays): يتم أخذ صور من زوايا متعددة (أمامية خلفية AP، وجانبية Lateral، ومائلة Oblique). في حالة الأطفال، قد يطلب الدكتور هطيف صورة للمرفق السليم للمقارنة، نظراً لتعقيد مراكز النمو العظمي (Ossification centers) في هذا العمر.
- الأشعة المقطعية (CT Scan): في الكسور المعقدة أو المفتتة، أو عند الاشتباه بوجود قطعة عظمية محشورة داخل المفصل، يتم اللجوء للأشعة المقطعية للحصول على صورة ثلاثية الأبعاد تساعد في التخطيط الجراحي الدقيق.
- الرنين المغناطيسي (MRI): يُستخدم في حالات محددة لتقييم الأربطة (مثل الـ UCL) والأنسجة الرخوة المحيطة.

الخيارات العلاجية: متى نلجأ للعلاج التحفظي؟
ليس كل كسر يحتاج إلى جراحة. بفضل الأمانة الطبية والمصداقية العالية التي يتمتع بها الأستاذ الدكتور محمد هطيف، لا يتم اللجوء للجراحة إلا إذا كانت هي الخيار الأمثل والوحيد لضمان تعافي المريض.
يُفضل العلاج التحفظي (غير الجراحي) في الحالات التالية:
* الكسر غير مزاح تماماً (Non-displaced) أو الإزاحة طفيفة جداً (أقل من 2 ملم لدى الأشخاص غير الرياضيين).
* عدم وجود أي ضغط أو إصابة في العصب الزندي.
* المفصل مستقر تماماً عند الفحص السريري.
خطوات العلاج التحفظي:
1. التثبيت (Immobilization): وضع المرفق في جبيرة أو دعامة مخصصة بزاوية 90 درجة لمدة تتراوح بين 2 إلى 3 أسابيع.
2. الراحة والثلج: تقليل الالتهاب والتورم.
3. المتابعة الدورية: إجراء أشعة سينية أسبوعية للتأكد من عدم تحرك القطعة العظمية من مكانها.
4. العلاج الطبيعي: يبدأ مبكراً (بعد أسبوعين إلى ثلاثة) لتجنب تيبس المرفق.
العلاج الجراحي: الرد المفتوح والتثبيت الداخلي (ORIF) - الخيار الذهبي مع خبير الجراحة
عندما يكون الكسر مزاحاً، أو يؤثر على وظيفة المفصل، يصبح التدخل الجراحي ضرورة حتمية لمنع الإعاقة الدائمة. تقنية الرد المفتوح والتثبيت الداخلي (Open Reduction and Internal Fixation - ORIF) هي الإجراء الجراحي القياسي والمعتمد عالمياً.
متى يقرر الدكتور محمد هطيف ضرورة الجراحة؟ (Surgical Indications)
- الإزاحة الكبيرة: إذا تحركت القطعة العظمية أكثر من 2-5 ملم (حسب مستوى نشاط المريض وعمره).
- القطعة المحشورة (Incarcerated Fragment): إذا دخلت القطعة المكسورة داخل المفصل ومنعت حركته (وهي حالة طارئة).
- إصابة العصب الزندي: وجود أعراض عصبية متزايدة تتطلب تحرير العصب ونقله أحياناً.
- عدم استقرار المفصل: إذا كان الكسر مصحوباً بتمزق شديد في الأربطة يؤدي إلى خلع متكرر.
- الرياضيون المحترفون: لضمان عودة سريعة وقوية للنشاط الرياضي بدون فقدان للأداء.

تفاصيل العملية الجراحية خطوة بخطوة (The Surgical Procedure)
إجراء جراحة في المرفق يتطلب دقة متناهية ومعرفة تشريحية عميقة، وهو ما يميز الأستاذ الدكتور محمد هطيف في غرفة العمليات. إليك كيف تتم العملية:
- التخدير والتحضير: تخضع العملية للتخدير العام أو التخدير الموضعي (إحصار العصب) حسب حالة المريض. يتم تعقيم الذراع وتجهيزها في وضعية تسمح بالوصول الكامل للجانب الداخلي للمرفق.
- الشق الجراحي (The Approach): يقوم الدكتور هطيف بعمل شق جراحي دقيق وتجميلي على الجانب الداخلي للمرفق، مع الحرص الشديد على تجنب الأوعية الدموية والأعصاب السطحية.
- تحديد وحماية العصب الزندي (Ulnar Nerve Isolation): هذه هي الخطوة الأهم والأكثر دقة. يتم تحديد مسار العصب الزندي بدقة وعزله برفق لحمايته طوال فترة الجراحة. في بعض الحالات التي يكون فيها العصب متضرراً أو معرضاً للاحتكاك بالمسامير، قد يقوم الدكتور هطيف بإجراء "نقل للعصب الزندي" (Ulnar Nerve Transposition) إلى الجزء الأمامي من المرفق لحمايته بشكل دائم.
- تنظيف منطقة الكسر (Debridement): يتم إزالة أي جلطات دموية أو أنسجة ميتة أو شظايا عظمية صغيرة تعيق إعادة العظم لمكانه.
- الرد المفتوح (Open Reduction): باستخدام أدوات دقيقة، يقوم الجراح بإعادة القطعة العظمية المكسورة (اللقيمة الإنسية) إلى مكانها التشريحي الأصلي بدقة 100%. التوافق التشريحي التام ضروري لضمان التئام سليم وعمل العضلات بكفاءة.
- التثبيت الداخلي (Internal Fixation):
- المسامير (Screws): غالباً ما يتم استخدام مسامير طبية مجوفة (Cannulated Screws) ومجهزة بخيوط جزئية لضغط القطعة المكسورة بقوة ضد العظم الأصلي.
- الأسلاك المعدنية (K-wires & Tension Band): في حالة الأطفال الصغار أو الكسور المفتتة جداً، قد يتم استخدام أسلاك معدنية دقيقة مع تقنية شد الأربطة لضمان الثبات.
- اختبار الثبات والحركة: قبل إغلاق الجرح، يقوم الدكتور هطيف بتحريك المرفق في جميع الاتجاهات للتأكد من ثبات التثبيت، وعدم وجود أي احتكاك، وتأكيد استعادة نطاق الحركة الكامل.
- الإغلاق: يتم إغلاق الأنسجة والجلد بخياطة تجميلية دقيقة لتقليل الندبات، ثم توضع جبيرة ناعمة لحماية المرفق في الأيام الأولى.

جدول مقارنة: العلاج التحفظي مقابل العلاج الجراحي (ORIF)
| المعيار | العلاج التحفظي (بدون جراحة) | العلاج الجراحي (ORIF) مع د. هطيف |
|---|---|---|
| دواعي الاستعمال | كسور غير مزاحة، لا يوجد تأثر عصبي. | كسور مزاحة (>2 ملم)، إصابة العصب الزندي، شظية محشورة. |
| مدة التثبيت (الجبيرة) | 3 - 4 أسابيع. | 1 - 2 أسابيع (تثبيت داخلي قوي يسمح بحركة مبكرة). |
| خطر التيبس المفصلي | أعلى (بسبب فترة التثبيت الطويلة). | أقل بكثير (بسبب البدء المبكر بالعلاج الطبيعي). |
| العودة للرياضة | أطول، مع احتمال ضعف في الأداء. | أسرع، مع استعادة القوة الكاملة للرمي والقبضة. |
| مخاطر محتملة | عدم التئام العظم، التئام في وضع خاطئ (Malunion). | مخاطر الجراحة العامة (التهاب، تضرر أعصاب) وهي نادرة جداً مع جراح خبير. |
| النتيجة الوظيفية | جيدة للحالات البسيطة. | ممتازة، استعادة كاملة للميكانيكا الحيوية للمرفق. |
مرحلة ما بعد الجراحة: بروتوكول التأهيل والتعافي الشامل
الجراحة الناجحة هي نصف المعركة فقط؛ النصف الآخر يعتمد بالكامل على الالتزام ببرنامج التأهيل والعلاج الطبيعي. الأستاذ الدكتور محمد هطيف يولي اهتماماً بالغاً لهذه المرحلة، ويصمم برنامجاً مخصصاً لكل مريض:
المرحلة الأولى: الحماية والشفاء (الأسابيع 0 - 2)
- الهدف: تقليل الألم والتورم، وحماية الجرح والتثبيت الجراحي.
- الإجراءات: ارتداء جبيرة خلفية. استخدام الثلج ورفع الذراع. أدوية مسكنة ومضادات للالتهاب يصفها الطبيب.
- الحركة: البدء بحركات خفيفة جداً للأصابع والمعصم والكتف لمنع تيبسها. تجنب أي حركة نشطة للمرفق.
المرحلة الثانية: استعادة نطاق الحركة (الأسابيع 2 - 6)
- الهدف: استعادة الحركة الكاملة للمرفق تدريجياً ومنع التيبس (Stiffness).
- الإجراءات: إزالة الجبيرة. البدء بتمارين الحركة السلبية (يقوم المعالج بتحريك ذراعك) ثم الحركة الإيجابية المساعدة (Active-Assisted ROM).
- تحذير: يمنع رفع أي أوزان أو القيام بحركات مفاجئة. يتم التركيز على تمارين التمدد اللطيفة.
![توضيح طبي: كسر اللقيمة الإنسية بالمرفق: دليل شامل للعلاج الجراحي والتعافي مع الأستاذ الدكتور محمد هطيف](/media/hutaif_opertive/hutaif-ch3-open-reduction-p1098-b181
آلام العظام والمفاصل وتقييد حركتها ليس قدراً محتوماً! التشخيص الدقيق والعلاج المتخصص يمكن أن يعيد لك كامل وظيفتك وحريتك في الحركة. لا تدع الألم يسيطر على حياتك.
للحصول على استشارة دقيقة وخطة علاجية مخصصة لحالتك، تواصل فوراً مع مركز الأستاذ الدكتور محمد هطيف:
الأستاذ الدكتور محمد هطيف - أفضل دكتور عظام في صنعاء، وخبير في جراحات العظام والمفاصل والعمود الفقري.. نلتزم بإعادتك لحياة خالية من الألم وحركة طبيعية.
مواضيع أخرى قد تهمك