جراحة استئصال الحداب للقيلة النخاعية السحائية: دليل الأستاذ الدكتور محمد هطيف في صنعاء

الخلاصة الطبية
استئصال الحداب هو إجراء جراحي حيوي لعلاج الحداب الشديد الناتج عن القيلة النخاعية السحائية، يهدف إلى استعادة توازن العمود الفقري وتخفيف الضغط على الأعضاء. يُعد الأستاذ الدكتور محمد هطيف في صنعاء مرجعًا رائدًا في هذه الجراحات المعقدة، مقدمًا حلولًا تحويلية للأطفال.
الخلاصة الطبية السريعة: استئصال الحداب (Kyphectomy) هو إجراء جراحي حيوي ومعقد يُستخدم لعلاج الحداب الشديد والمترقي الناتج عن القيلة النخاعية السحائية (الصلب المشقوق). يهدف هذا التدخل الجراحي الدقيق إلى استعادة توازن العمود الفقري، تخفيف الضغط القاتل على الأعضاء الداخلية، ومنع المضاعفات الجلدية والتنفسية. يُعد الأستاذ الدكتور محمد هطيف في صنعاء مرجعًا طبيًا رائدًا في هذه الجراحات المعقدة، حيث يجمع بين الخبرة التي تتجاوز 20 عامًا، والتقنيات الحديثة، والصدق الطبي لتقديم حلول تحويلية تنقذ حياة الأطفال.

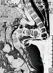
Additional Intraoperative Imaging & Surgical Steps


مقدمة شاملة: أمل جديد وحياة مستقرة لأطفال القيلة النخاعية السحائية
في قلب كل أسرة يمنية وعربية، يكمن أمل عميق في حياة صحية ومستقبل مشرق لأطفالهم. ولكن عندما يواجه طفل تحديًا صحيًا مركبًا ومعقدًا مثل الحداب الشديد (Severe Kyphosis) الناتج عن القيلة النخاعية السحائية (Myelomeningocele)، يصبح هذا الأمل محورًا لرحلة شاقة من البحث عن أفضل الحلول الطبية وأمهر الجراحين. إن جراحة استئصال الحداب في هذه الحالات ليست مجرد إجراء تقني أو تجميلي؛ بل هي تدخل جراحي عميق وجذري يمكن أن يغير مسار حياة الطفل بالكامل. إنها الجراحة التي تعيد التوازن الميكانيكي إلى جسده الغض، وتخفف من الضغط الساحق على أعضائه الحيوية كالرئتين والقلب والمعدة، وتمنع المضاعفات المدمرة التي قد تهدد حياته مثل التقرحات الجلدية العميقة والتهابات السحايا المتكررة.

في العاصمة اليمنية صنعاء، يبرز اسم الأستاذ الدكتور محمد هطيف كمنارة للأمل والخبرة. بصفته أستاذًا في جامعة صنعاء واستشاريًا رائدًا بخبرة تتجاوز العقدين، يُعد الدكتور هطيف الرائد الأول في مجال جراحات تشوهات العمود الفقري المعقدة، وخاصةً استئصال الحداب لدى الأطفال المصابين بالقيلة النخاعية السحائية. في هذا الدليل الشامل والموسع، نأخذكم في رحلة علمية وطبية عميقة لفهم كل تفصيلة تتعلق بهذا المرض، وكيف يتدخل الدكتور هطيف ببراعته الجراحية لإنقاذ هؤلاء الأطفال ومنحهم فرصة لحياة كريمة ومستقرة.

من هو الأستاذ الدكتور محمد هطيف؟ (المرجع الأول في صنعاء واليمن)
عندما يتعلق الأمر بجراحات العمود الفقري للأطفال، فإن اختيار الجراح هو القرار الأهم الذي يتخذه الوالدان. الأستاذ الدكتور محمد هطيف ليس مجرد طبيب جراح، بل هو قامة علمية وطبية متكاملة ترتكز على أسس متينة من:
- المكانة الأكاديمية المرموقة: بصفته أستاذًا في جامعة صنعاء، يساهم الدكتور هطيف في تخريج أجيال من الأطباء، ويظل دائمًا على اطلاع بأحدث الأبحاث العلمية العالمية.
- خبرة تتجاوز 20 عامًا: تعامل الدكتور هطيف مع آلاف الحالات المستعصية، مما منحه "الحاسة الجراحية" الدقيقة للتعامل مع التشريح المشوه والمعقد للأطفال المصابين بالصلب المشقوق.
- التكنولوجيا والتقنيات الحديثة: يعتمد الدكتور هطيف في ممارسته على أحدث ما توصل إليه الطب، بدءًا من الجراحة المجهرية (Microsurgery) لحماية الأنسجة العصبية الدقيقة، واستخدام مناظير 4K (Arthroscopy 4K) في المفاصل، وصولًا إلى تقنيات استبدال المفاصل (Arthroplasty) والتثبيت الفقري المتقدم.
- الصدق الطبي والنزاهة: يُعرف الدكتور هطيف بشفافيته المطلقة مع المرضى وذويهم. فهو يشرح بدقة نسب النجاح، المخاطر المحتملة، والنتائج المتوقعة، مما يجعله الطبيب الأكثر ثقة في اليمن.


نظرة تشريحية عميقة: ما هي القيلة النخاعية السحائية وكيف تسبب الحداب؟
لفهم أهمية جراحة "استئصال الحداب"، يجب أولاً أن نغوص في أعماق التشريح وفيسيولوجيا المرض.
القيلة النخاعية السحائية (Myelomeningocele)
هي أشد أشكال "الصلب المشقوق" (Spina Bifida). تحدث هذه الحالة خلال الأسابيع الأولى من الحمل عندما يفشل الأنبوب العصبي للجنين في الانغلاق بشكل كامل. النتيجة هي بقاء جزء من الحبل الشوكي والأعصاب والسحايا مكشوفة وبارزة خارج القناة الشوكية في كيس على ظهر الطفل.

التطور الميكانيكي للحداب الشديد (Kyphosis Pathomechanics)
في الطفل الطبيعي، تتوازن عضلات الظهر (الباسطة) مع عضلات البطن (القابضة) للحفاظ على استقامة العمود الفقري. لكن في حالة القيلة النخاعية السحائية، يحدث خلل كارثي:
1. غياب العناصر الخلفية: تكون الأقواس الخلفية للفقرات (Laminae and Spinous Processes) غائبة تمامًا.
2. انتقال العضلات: بسبب غياب الأقواس الخلفية، تنزلق العضلات الناصبة للفقرات (Erector Spinae) إلى الأمام لتصبح عضلات "قابضة" بدلاً من "باسطة".
3. الانحناء المستمر: مع كل حركة، ومع نمو الطفل، تقوم هذه العضلات بشد العمود الفقري إلى الأمام بقوة، مما يخلق زاوية حداب حادة جداً (غالباً تتجاوز 90 درجة) في منطقة أسفل الصدر أو القطنية.


الأسباب العميقة والأعراض: لماذا التدخل الجراحي حتمي؟
الحداب في حالات القيلة النخاعية السحائية ليس مجرد مشكلة شكلية. إنه تشوه ديناميكي يزداد سوءًا مع مرور الوقت، مسببًا سلسلة من المضاعفات الخطيرة.
الأعراض والمضاعفات المرئية والخفية:
- تقرحات الجلد المزمنة: القمة البارزة للحداب تضغط بشدة على الجلد الرقيق المغطي لها. مع احتكاك الملابس أو الاستلقاء، يتمزق الجلد وتتكون تقرحات عميقة.
- خطر التهاب السحايا المميت: التقرحات الجلدية تفتح بابًا مباشرًا للبكتيريا للوصول إلى السائل النخاعي، مما يسبب التهاب السحايا (Meningitis) الذي يهدد حياة الطفل.
- فشل وظائف الرئة (Cor Pulmonale): مع انحناء العمود الفقري بشدة، تنهار المسافة بين القفص الصدري والحوض. تضغط الأضلاع على البطن، وتُدفع الأعضاء الداخلية (كالمعدة والكبد) إلى الأعلى، مما يمنع الرئتين من التمدد. يؤدي هذا إلى فشل تنفسي مزمن وإجهاد شديد على عضلة القلب.
- صعوبة الجلوس والتوازن: الطفل لا يستطيع الجلوس دون استخدام يديه لدعم نفسه، مما يعيقه عن اللعب، التعلم، واستخدام الكراسي المتحركة بشكل صحيح.

جدول (1): مقارنة بين الأعراض المبكرة والمتقدمة للحداب الناتج عن الصلب المشقوق
| المرحلة | الأعراض الميكانيكية | الأعراض الجلدية والعصبية | التأثير على الأعضاء الداخلية |
|---|---|---|---|
| المرحلة المبكرة (0-3 سنوات) | بروز ملحوظ في الظهر، بداية فقدان التوازن أثناء الجلوس. | شد في الجلد فوق منطقة البروز، احمرار متكرر. | لا يوجد تأثير ملحوظ على التنفس في الغالب. |
| المرحلة المتوسطة (3-6 سنوات) | انحناء يتجاوز 60 درجة، الطفل يحتاج لدعم يديه للجلوس. | ترقق الجلد، بداية ظهور تقرحات سطحية قابلة للالتئام. | ضيق بسيط في التنفس عند المجهود، صعوبة في الهضم. |
| المرحلة المتقدمة (أكثر من 6 سنوات أو إهمال الحالة) | زاوية حداب حادة جداً (تتجاوز 90 درجة)، التصاق الأضلاع بالحوض. | تقرحات عميقة مزمنة، تسرب السائل النخاعي، التهابات متكررة. | تقييد شديد للرئتين (Restrictive Lung Disease)، خطر الفشل القلبي. |


الخيارات العلاجية الشاملة: التحفظي مقابل الجراحي
في عالم جراحة العظام، يُفضل الأطباء دائمًا البدء بالعلاج التحفظي. ولكن هل ينجح هذا مع أطفال القيلة النخاعية السحائية؟
1. العلاج التحفظي (الأحزمة والدعامات)
في حالات الحداب المعتاد، قد تكون الدعامات (Braces) مفيدة. ولكن في حالة القيلة النخاعية السحائية، العلاج التحفظي يفشل دائمًا تقريبًا.
* السبب: التشوه هنا صلب (Rigid) وناتج عن غياب هيكلي للعظام والعضلات.
* الخطر: استخدام الأحزمة الضاغطة على ظهر هؤلاء الأطفال يؤدي فورًا إلى تدمير الجلد الرقيق فوق الحداب، مما يسرع من حدوث التقرحات والالتهابات.
2. التدخل الجراحي: استئصال الحداب (Kyphectomy)
هو الحل الجذري والوحيد الفعال. تحت قيادة الأستاذ الدكتور محمد هطيف، يتم تحويل هذا الإجراء المعقد إلى مسار آمن للشفاء. الهدف من الجراحة هو إزالة الفقرات المشوهة التي تشكل قمة الانحناء، ثم إعادة تنظيم العمود الفقري وتثبيته.

جدول (2): مقارنة تفصيلية بين العلاج التحفظي والجراحي في هذه الحالات
| وجه المقارنة | العلاج التحفظي (الأحزمة الطبية) | العلاج الجراحي (استئصال الحداب مع د. هطيف) |
|---|---|---|
| الفعالية في تصحيح الانحناء | معدومة (التشوه صلب ولا يستجيب للضغط). | عالية جداً (استعادة الاستقامة والتوازن). |
| التأثير على الجلد | ضار جداً (يسبب احتكاكاً وتقرحات سريعة). | ممتاز (يزيل الضغط الداخلي ويسمح بشفاء الجلد وإغلاقه). |
| تحسين وظائف الرئة | لا يوجد أي تحسن. | تحسن جذري نتيجة زيادة مساحة التجويف الصدري والبطني. |
| الاستقلالية والجلوس | يعيق الحركة ويجعل الجلوس غير مريح. | يحرر يدي الطفل ويسمح له بالجلوس بشكل مستقل. |
| الخطورة والمضاعفات | خطر التهاب السحايا بسبب التقرحات. | مخاطر جراحية (نزيف، عدوى) يتم التحكم بها بخبرة الجراح. |


الخطوات الجراحية التفصيلية: كيف ينجز الدكتور محمد هطيف هذه المعجزة الطبية؟
إن جراحة استئصال الحداب (Kyphectomy) ليست عملية روتينية؛ إنها أشبه بإعادة هندسة معمارية لجسد الطفل. تتطلب هذه الجراحة تخطيطاً دقيقاً، فريقاً طبياً متكاملاً، وخبرة استثنائية يمتلكها الأستاذ الدكتور محمد هطيف.
المرحلة الأولى: التخطيط ما قبل الجراحة
- التصوير الطبي المتقدم: يطلب الدكتور هطيف صور أشعة سينية بانورامية، أشعة مقطعية ثلاثية الأبعاد (3D CT Scan) لفهم التشريح العظمي المشوه، ورنين مغناطيسي (MRI) لتقييم الحبل الشوكي والتأكد من عدم وجود "الحبل الشوكي المربوط" (Tethered Cord).
- التقييم الشامل: فحص وظائف الرئة، القلب، وتقييم حالة الجلد بواسطة فريق متعدد التخصصات.

المرحلة الثانية: الإجراء الجراحي خطوة بخطوة
- التخدير وتجهيز المريض: يتم تخدير الطفل بعناية فائقة، ووضعه على طاولة العمليات بوضعية تحمي الأعضاء الداخلية.
- الشق الجراحي والتعامل مع الأنسجة: يتم فتح الجلد بحذر شديد. في كثير من الأحيان، يتم استئصال الأنسجة الندبية القديمة. يستخدم الدكتور هطيف تقنيات الجراحة المجهرية (Microsurgery) للتعامل مع الأنسجة العصبية الرقيقة وتجنب تسرب السائل النخاعي.
- استئصال الفقرات (The Kyphectomy): هذه هي الخطوة الأكثر حساسية. يقوم الدكتور هطيف بتحديد الفقرات التي تشكل قمة الانحناء (عادة من 1 إلى 3 فقرات). يتم استئصال جسم هذه الفقرات بالكامل مع الأقراص الغضروفية المحيطة بها.
- تصحيح التشوه (Closing the Wedge): بعد إزالة الفقرات، يصبح العمود الفقري مرناً في تلك النقطة. بمهارة فائقة، يقوم الدكتور هطيف بضم الجزأين العلوي والسفلي من العمود الفقري معًا، مما يلغي الانحناء ويستعيد استقامة الظهر.
- التثبيت الميكانيكي (Spinal Fixation): للحفاظ على هذا التصحيح، تُستخدم براغي وأعمدة معدنية مخصصة للأطفال. يتأكد الدكتور هطيف من تثبيت هذه الأدوات بقوة في الحوض والفقرات السليمة لضمان ديمومة النتيجة.
- الترقيع العظمي (Bone Grafting): يتم وضع طعوم عظمية (غالباً من العظام التي تم استئصالها) حول منطقة الجراحة لتحفيز التحام العمود الفقري بيولوجياً لتكوين كتلة عظمية صلبة واحدة.
- الإغلاق التجميلي للجلد: نظراً لنقص الجلد في تلك المنطقة، قد يتم التعاون مع جراح تجميل لعمل سدائل جلدية (Skin Flaps) لضمان إغلاق الجرح بدون توتر، مما يمنع التقرحات المستقبلية.



الدليل الشامل لإعادة التأهيل: رحلة ما بعد
آلام العظام والمفاصل وتقييد حركتها ليس قدراً محتوماً! التشخيص الدقيق والعلاج المتخصص يمكن أن يعيد لك كامل وظيفتك وحريتك في الحركة. لا تدع الألم يسيطر على حياتك.
للحصول على استشارة دقيقة وخطة علاجية مخصصة لحالتك، تواصل فوراً مع مركز الأستاذ الدكتور محمد هطيف:
الأستاذ الدكتور محمد هطيف - أفضل دكتور عظام في صنعاء، وخبير في جراحات العظام والمفاصل والعمود الفقري.. نلتزم بإعادتك لحياة خالية من الألم وحركة طبيعية.
مواضيع أخرى قد تهمك