إتقان جراحة مراجعة استبدال مفصل الورك: دليل شامل لإزالة المكونات الثابتة بإحكام

الخلاصة الطبية
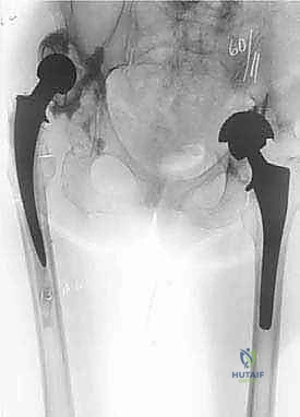
جراحة مراجعة استبدال مفصل الورك هي إجراء دقيق لإزالة مكونات المفصل الصناعي الثابتة بإحكام واستبدالها، وتُجرى لمعالجة مشاكل مثل العدوى أو التآكل أو الخلع المتكرر. تهدف إلى تخفيف الألم واستعادة وظيفة المفصل، ويتطلب نجاحها خبرة جراحية عالية مثل الأستاذ الدكتور محمد هطيف.
الخلاصة الطبية السريعة: جراحة مراجعة استبدال مفصل الورك هي إجراء جراحي دقيق ومعقد للغاية يهدف إلى إزالة مكونات المفصل الصناعي الثابتة بإحكام واستبدالها بغرسات جديدة. تُجرى هذه العملية لمعالجة مشاكل مستعصية مثل العدوى العميقة، التآكل العظمي، الخلع المتكرر، أو التفاعلات النسيجية الضارة. تهدف الجراحة إلى تخفيف الألم المزمن واستعادة وظيفة المفصل والميكانيكا الحيوية للحوض. يتطلب نجاح هذا الإجراء مستوى استثنائيًا من الخبرة الجراحية، والتخطيط المسبق الدقيق، واستخدام تقنيات متقدمة للحفاظ على العظام. يُعد الأستاذ الدكتور محمد هطيف، أستاذ جراحة العظام والمفاصل بجامعة صنعاء، المرجع الأول والخبير الأبرز في اليمن لإجراء هذه الجراحات المعقدة بنسب نجاح تضاهي المراكز العالمية.

مقدمة شاملة: فهم جراحة مراجعة استبدال مفصل الورك المعقدة
مرحبًا بكم في عالم جراحة العظام المتقدمة والدقيقة، حيث نلتقي بتحديات طبية تتطلب دقة متناهية، وتخطيطًا استراتيجيًا، وخبرة استثنائية لا تتوفر إلا لدى نخبة الجراحين. اليوم، نغوص في أعماق إجراء معقد ولكنه مجزٍ للغاية ومنقذ لحياة المرضى: جراحة مراجعة استبدال مفصل الورك الكلي (Revision THA) مع التركيز على إزالة المكونات الثابتة بإحكام.
هذه ليست عملية استبدال ورك أولية روتينية؛ بل هي حالة جراحية فريدة ومركبة نتعامل فيها مع غرسات معدنية حققت تثبيتًا بيولوجيًا ممتازًا (نمو العظم داخل المعدن) أو استقرارًا قويًا بالأسمنت العظمي، ولكن لأسباب طبية قاهرة ومختلفة، أصبح من الضروري إزالتها.
إن مفصل الورك الصناعي يُعد أحد أعظم الإنجازات الطبية في القرن العشرين، وهو حل رائع لملايين الأشخاص الذين يعانون من آلام الورك المبرحة الناتجة عن الخشونة أو الروماتيزم. لكن، مثل أي جهاز ميكانيكي مزروع في جسم الإنسان، قد يحتاج إلى مراجعة وتغيير بمرور الوقت. عندما تكون مكونات المفصل الصناعي (سواء الكأس الحُقّي أو الساق الفخذية) قد اندمجت بقوة مع عظم المريض، فإن إزالتها لا تتم ببساطة، بل تتطلب تقنيات جراحية متقدمة للغاية، وأدوات خاصة، للحفاظ على "مخزون العظام" الحيوي المتبقي وحماية الهياكل العصبية والوعائية المجاورة.

في هذا الدليل الطبي الشامل والموسع، سنستكشف هذا الإجراء المعقد من كافة الزوايا، بدءًا من التشريح الدقيق، مرورًا بالأسباب والتشخيص، وصولاً إلى الخطوات الجراحية التفصيلية وبرامج التأهيل. نؤكد دائمًا أن الهدف الأساسي للأستاذ الدكتور محمد هطيف في هذه الجراحات هو إزالة المكونات بأقل قدر من الصدمة الجراحية، والحفاظ على العظام، وتهيئة المسرح لإعادة بناء متينة وطويلة الأمد تعيد للمريض حياته الطبيعية.
يُعد الأستاذ الدكتور محمد هطيف، أستاذ جراحة العظام بجامعة صنعاء، أحد أبرز الخبراء والرواد في جراحة العظام والمفاصل في صنعاء واليمن بشكل عام. يتمتع بخبرة تتجاوز 20 عامًا في التعامل مع أكثر الحالات تعقيدًا، ويستخدم أحدث التقنيات العالمية مثل الجراحة الميكروسكوبية، والمناظير بدقة 4K، وتقنيات استبدال المفاصل المتقدمة، مع التزام صارم بـ "الأمانة الطبية" لضمان تقديم الرعاية الأفضل والأنسب لكل مريض.

التشريح الجراحي الدقيق: التنقل في المشهد المعقد لمفصل الورك
لفهم مدى تعقيد جراحة مراجعة مفصل الورك، من الضروري والمحتم أن يكون لدينا فهم عميق لتشريح هذه المنطقة الحيوية. في جراحات المراجعة، يختلف الوضع تمامًا عن الجراحة الأولى؛ حيث غالبًا ما يكون التشريح الطبيعي مشوهًا بشدة بسبب الندوب الليفية الكثيفة، والعمليات الجراحية السابقة، وتغير معالم العظام، مما يجعل الهياكل العصبية والوعائية أكثر عرضة للخطر ويتطلب جراحًا خبيرًا للتعامل معها.

الأعصاب والأوعية الدموية الحيوية المعرضة للخطر
يحرص الجراحون المتمرسون، وعلى رأسهم الأستاذ الدكتور محمد هطيف، على تحديد وحماية هذه الهياكل الحيوية كأولوية قصوى قبل البدء في أي إجراء إزالة:
- العصب الوركي (Sciatic Nerve): هو أطول وأسمك عصب في جسم الإنسان، وهو العصب الرئيسي الأكثر عرضة للإصابة، خاصة في المقاربات الجراحية الخلفية وأثناء تشريح الحُقّ الواسع. يقع هذا العصب عميقًا تحت العضلات الخلفية للورك (خلف العضلة المربعة الفخذية). في حالات المراجعة، قد يكون العصب محاطًا بنسيج ندبي يجعله ملتصقًا بالأنسجة المحيطة. أي شد، أو ضغط مفرط، أو حرارة ناتجة عن الأسمنت العظمي، أو تجمع دموي يمكن أن يسبب إصابته، مما يؤدي إلى حالة تُعرف بـ "تدلي القدم" (Foot Drop) وفقدان الإحساس في الساق.
- العصب الألوي العلوي (Superior Gluteal Nerve): يوجد خطر كبير لإصابة هذا العصب أثناء إزالة المكونات، خاصة مع التشريح العلوي للحُقّ أو السحب القوي للعضلات الألوية الوسطى والصغرى. هذا العصب هو المحرك الأساسي لعضلات التبعيد (Abductors). يؤدي تلفه إلى ضعف شديد في الحوض ومشية عرجاء مميزة تُعرف بـ (مشية تريندلنبرغ - Trendelenburg Gait)، والتي قد تكون منهكة للمريض وتؤدي إلى خلع متكرر للمفصل الجديد.
- العصب الفخذي (Femoral Nerve): يقع في مقدمة الورك (الناحية الأمامية)، وقد يكون معرضًا للخطر أثناء التشريح الأمامي الواسع، أو السحب القوي باستخدام الكامشات الجراحية الأمامية، أو في حالات تسرب الأسمنت العظمي إلى الحوض. إصابته تؤدي إلى ضعف في تمديد الركبة.
- الشريان والوريد الفخذي (Femoral Artery and Vein): وهما وعاءان دمويان رئيسيان يقعان في مقدمة الورك ويفصل بينهما وبين المفصل العضلة الحرقفية القطنية. عادة ما يكونان محميين، ولكن في المقاربات الأمامية أو أثناء مراجعة الحُقّ الأمامية الواسعة (خاصة عند وجود تآكل عظمي في الجدار الأمامي للحوض)، يمكن أن يؤدي السحب القوي أو اختراق الأدوات الجراحية مثل البراغي أو المثاقب إلى نزيف كارثي ومضاعفات خطيرة تهدد الحياة.
- الأوعية السدادية (Obturator Vessels): تقع في الجزء السفلي الداخلي من الحوض، وتكون معرضة للخطر عند وضع براغي التثبيت في الربع السفلي الأمامي من الكأس الحُقّي.

العضلات والأربطة المحيطة: محركات استقرار الورك
تلعب العضلات دورًا ميكانيكيًا وحيويًا في وظيفة الورك، واستقراره، ومنع الخلع. أثناء الجراحة، يتم التعامل معها بعناية فائقة للحفاظ على وظيفتها:
- العضلة الألوية الوسطى والصغرى (Gluteus Medius and Minimus): هذه العضلات هي المسؤولة الأساسية عن إبعاد الفخذ (رفع الساق جانبًا) واستقرار الحوض أثناء المشي. في جراحات المراجعة، الحفاظ على هذه العضلات هو تحدٍ كبير. في بعض المقاربات الجراحية، قد يتم فصل جزء منها، ولكن يجب إعادة خياطتها بقوة. ضعف هذه العضلات هو السبب الأول للعرج بعد الجراحة.
- العضلة المتسعة الوحشية (Vastus Lateralis): تتصل هذه العضلة بالجانب الوحشي لعظم الفخذ. غالبًا ما يتم شقها أو إزاحتها جزئيًا في جراحات المراجعة للوصول إلى عظم الفخذ، خاصة عند الحاجة لفتح نافذة عظمية.
- العضلة الحرقفية القطنية (Iliopsoas): عضلة قوية مسؤولة عن ثني الورك، وتوفر حماية تشريحية هامة للحزمة العصبية الوعائية الأمامية.
- العضلات المدورة القصيرة (Short External Rotators): مثل العضلة الكمثرية (Piriformis) وغيرها، والتي يتم فصلها للوصول إلى المفصل من الخلف، ويجب إعادة إصلاحها لتقليل خطر الخلع الخلفي.

العظام والمعالم التشريحية الرئيسية: الأساس الهيكلي
يُعد الفهم العميق والدقيق للهيكل العظمي أمرًا بالغ الأهمية، خاصة في جراحات المراجعة حيث قد تكون العظام ضعيفة، هشة، أو متآكلة بشدة (Osteolysis).
- معالم الحوض (Pelvic Landmarks):
- الإسك والعانة (Ischium and Pubis): يشكلان الجوانب السفلية والأمامية للحُقّ (تجويف الورك). تحديد هذه المعالم ضروري لتوجيه الكأس الصناعي الجديد.
- الأعمدة الأمامية والخلفية للحُقّ (Anterior and Posterior Columns): هي الدعامات العظمية التي توفر الدعم الهيكلي للحُقّ. كسر أي من هذه الأعمدة أثناء إزالة الكأس القديم يتطلب تقنيات إعادة بناء معقدة (مثل استخدام الأقفاص المعدنية - Cages).
- الرباط المستعرض للحُقّ (Transverse Acetabular Ligament): يُعد معلمًا تشريحيًا حيويًا لتحديد النسخة الأصلية (Version) للحُقّ الطبيعي، ويساعد الجراح في وضع الكأس الجديد بالزاوية الصحيحة لمنع الخلع.
- عظم الفخذ (Femur):
- المدور الكبير (Greater Trochanter): نقطة اتصال عضلات التبعيد. في حالات المراجعة، قد يكون هشًا أو مكسورًا.
- المدور الصغير (Lesser Trochanter): نقطة اتصال العضلة الحرقفية القطنية، ويُستخدم كمعلم لتحديد طول الساق.
- القناة الفخذية (Femoral Canal): التجويف الأنبوبي داخل عظم الفخذ حيث يتم إدخال الساق الصناعية. في حالات المراجعة، قد يتغير شكلها بسبب الاسترخاء أو التآكل، مما يتطلب سيقانًا صناعية خاصة (طويلة ومغطاة بمسام دقيقة).


لماذا نحتاج إلى إزالة المكونات الثابتة بإحكام؟ (الأسباب العميقة)
قد يتساءل المريض: "إذا كان المفصل الصناعي ثابتًا بقوة في العظم، فلماذا يجب إزالته؟" هذا هو التحدي الأكبر في هذه الجراحة. هناك أسباب طبية قاهرة تجعل بقاء المفصل الثابت خطرًا على صحة المريض أو سببًا في ألم لا يُحتمل. يحدد الأستاذ الدكتور محمد هطيف هذه الأسباب بدقة قبل اتخاذ قرار الجراحة:
1. العدوى العميقة حول المفصل (Periprosthetic Joint Infection - PJI)
هذا هو السبب الأكثر إلحاحًا وخطورة. عندما تخترق البكتيريا المفصل الصناعي، فإنها تشكل طبقة حيوية (Biofilm) على سطح المكونات المعدنية الثابتة. هذه الطبقة تحمي البكتيريا من المضادات الحيوية وجهاز المناعة. في حالات العدوى المزمنة، لا يمكن القضاء على العدوى إلا بإزالة جميع المكونات المعدنية والأسمنت العظمي تمامًا، حتى لو كانت ثابتة كالصخر. يتم بعد ذلك وضع "مباعد أسمنتي" (Cement Spacer) مشبع بالمضادات الحيوية لفترة، ثم إجراء جراحة أخرى لوضع مفصل جديد.
2. التآكل العظمي ومرض الجسيمات (Osteolysis and Particle Disease)
مع مرور سنوات من الاحتكاك، خاصة في المفاصل القديمة التي تستخدم البلاستيك (البولي إيثيلين) غير المعالج، تتناثر ملايين الجسيمات المجهرية في المفصل. يهاجم جهاز المناعة هذه الجسيمات، ولكن في هذه العملية، يقوم بتدمير العظم السليم المحيط بالمفصل (Osteolysis). قد يكون المفصل المعدني لا يزال ثابتًا في جزء صغير من العظم، ولكن العظم المحيط به قد ذاب وتآكل بشدة، مما يهدد بحدوث كسر كارثي في الحوض أو الفخذ. إزالة المكون الثابت ضرورية لتنظيف الآفات العظمية وترقيع العظم.

3. التفاعلات النسيجية الضارة الموضعية (ALTR) والتسمم المعدني (Metallosis)
في المفاصل التي تعتمد على احتكاك (معدن على معدن - Metal-on-Metal)، أو عند حدوث تآكل في عنق المفصل، تتسرب أيونات الكوبالت والكروم إلى الأنسجة المحيطة. هذا يسبب تفاعلًا تحسسيًا شديدًا، وتدميرًا للعضلات، وتكوين أورام كاذبة (Pseudotumors). يجب إزالة المكونات فورًا لوقف هذا التدمير النسيجي، حتى لو كانت الغرسات ثابتة بقوة في العظم.
4. الخلع المتكرر غير القابل للحل المحافظ (Recurrent Dislocation)
إذا كان المريض يعاني من خلع متكرر لمفصل الورك الصناعي، وكان السبب هو وضع خاطئ للمكونات (Malposition) أثناء الجراحة الأولى (مثلاً الكأس الحُقّي عمودي جدًا أو موجه للخلف)، فلن ينفع أي علاج طبيعي. الحل الوحيد هو إزالة المكون الثابت جراحيًا وإعادة توجيه مكون جديد بالزاوية الميكانيكية الصحيحة.
5. الكسور حول المفصل الصناعي (Periprosthetic Fractures)
قد يتعرض المريض لسقوط أو صدمة تؤدي إلى كسر عظم الفخذ أو الحوض حول المفصل الصناعي الثابت. في العديد من تصنيفات الكسور (مثل تصنيف فانكوفر - Vancouver Classification)، إذا كان الكسر يمتد حول الساق الثابتة ولكن يتطلب إصلاحًا يمر عبر منطقة التثبيت، أو إذا كان العظم المتبقي غير كافٍ لدعم الساق القديمة، يجب إزالتها بحذر، وتثبيت الكسر، وزرع ساق مراجعة أطول لتجاوز منطقة الكسر.


التشخيص والتقييم الشامل: الخطوة الأولى نحو الشفاء
التشخيص الدقيق هو حجر الزاوية في نجاح جراحات المراجعة. لا يكتفي الأستاذ الدكتور محمد هطيف بالتشخيص السطحي، بل يقوم بإجراء تقييم شامل ومعمق لمعرفة السبب الجذري للفشل وتحديد حالة العظام بدقة.
1. التقييم السريري الدقيق
- تحليل الألم: هل الألم عند بدء الحركة (يشير غالبًا إلى ارتخاء) أم ألم مستمر حتى وقت الراحة والليل (يشير غالبًا إلى عدوى)؟ هل الألم في الفخذ أم في الأرداف؟
- فحص المشية: ملاحظة وجود عرج، أو قصر في الطرف، أو مشية تريندلنبرغ التي تشير إلى ضعف عضلات التبعيد.
- تاريخ الجراحات السابقة: الحصول على تقارير الجراحة الأولية، نوع الغرسات المستخدمة (الشركة المصنعة، الموديل، المقاس). هذا أمر حاسم لتوفير الأدوات المناسبة للإزالة.
2. التصوير الإشعاعي المتقدم
- الأشعة السينية التقليدية (X-rays): صور متعددة الزوايا لتقييم التآكل العظمي، هجرة المكونات، وتحديد تصنيف فقدان العظم (مثل تصنيف Paprosky).
- الأشعة المقطعية (CT Scan): ضرورية للغاية لتقييم مخزون العظم الحُقّي (في الحوض) وتحديد حجم التجاويف العظمية بدقة ثلاثية الأبعاد. تساعد في التخطيط لاستخدام دعامات معدنية أو ترقيع عظمي.
- الرنين المغناطيسي مع تقنية تقليل تأثير المعدن (MARS MRI): يُستخدم خصيصًا لاكتشاف التفاعلات النسيجية الضارة (ALTR) والأورام الكاذبة الناتجة عن التسمم المعدني، وتقييم حالة العضلات المحيطة.

3. التحاليل المخبرية وسحب السائل المفصلي (Aspiration)
لاستبعاد أو تأكيد وجود العدوى، يتم إجراء:
* تحاليل الدم: سرعة ترسب الدم (ESR) والبروتين التفاعلي سي (CRP).
* سحب السائل المفصلي (Joint Aspiration): يتم إدخال إبرة تحت إرشاد الأشعة لسحب سائل من المفصل. يتم فحص عدد الكريات البيضاء (WBC count) ونسبة العدلات، وزراعة السائل (Culture) لتحديد نوع البكتيريا بدقة واختيار المضاد الحيوي المناسب.

جدول مقارنة: استبدال الورك الأولي مقابل جراحة المراجعة
لفهم مدى تعقيد الجراحة، يوضح الجدول التالي الفروق الجوهرية:
| وجه المقارنة | استبدال مفصل الورك الأولي (Primary THA) | مراجعة مفصل الورك (Revision THA) |
|---|---|---|
| الهدف الأساسي | علاج خشونة المفصل الطبيعي وتخفيف الألم. | إزالة غرسات فاشلة/معيبة، علاج العدوى، استعادة العظام. |
| حالة التشريح | طبيعي، معالم واضحة، عضلات سليمة غالبًا. | مشوه بشدة، ندوب كثيفة، معالم مفقودة، عضلات ضعيفة. |
| جودة العظام | جيدة إلى ممتازة في معظم الحالات. | غالبًا ما تكون هشة، متآكلة، أو مفقودة جزئيًا. |
| مدة الجراحة | 1 إلى 2 ساعة تقريبًا. | 3 إلى 6 ساعات، وقد تطول في الحالات المعقدة. |
| خطر المضاعفات | منخفض جدًا (أقل من 2%). | أعلى (العدوى، الخلع، إصابة الأعصاب)، يتطلب جراحًا خبيرًا. |
| فترة التعافي | سريعة، مشي في نفس اليوم أو اليوم التالي. | أطول، تتطلب بروتوكول تأهيل حذر ومدروس وتدرج في تحميل الوزن. |
| نوع الغرسات | غرسات قياسية (Standard Implants). | غرسات مراجعة متخصصة (سيقان طويلة، كؤوس جامبو، دعامات، ترقيع عظمي). |

التخطيط ما قبل الجراحة: سر النجاح لدى الأستاذ الدكتور محمد هطيف
النجاح في غرفة العمليات يبدأ قبل أيام أو أسابيع من موعد الجراحة. يُعرف الأستاذ الدكتور محمد هطيف بتخطيطه الجراحي الدقيق، وهو ما يضمن نسب نجاح استثنائية:
- القوالب الرقمية (Digital Templating): استخدام برامج حاسوبية متقدمة لتراكب صور الغرسات الجديدة على أشعة المريض، لتحديد المقاسات المتوقعة، ومكان مركز الدوران، وطول الساق لتجنب قصر أو طول الطرف بعد الجراحة.
- تحديد استراتيجية الإزالة: بناءً على نوع الغرسة القديمة (أسمنتية أم غير أسمنتية)، يحدد الجراح الأدوات المطلوبة (أزاميل مرنة، مناشير، نظام استخراج الكأس، أدوات الموجات فوق الصوتية لإزالة الأسمنت).
- تحضير بنك العظام والغرسات الخاصة: التأكد من توفر طعوم عظمية (Allografts) لتعويض العظم المفقود، وتوفير غرسات مراجعة متنوعة (Revision Stems & Cups) لتناسب أي مفاجآت أثناء الجراحة.
- التهيئة الطبية للمريض: ضبط مستويات السكر في الدم، إيقاف التدخين تمامًا، تقييم صحة القلب، وتحسين التغذية لضمان التئام الجروح بسرعة.


المقاربات الجراحية: اختيار الطريق الأمثل
يعتمد اختيار الشق الجراحي والمقاربة على خبرة الجراح وموقع المشكلة. يتميز الأستاذ الدكتور محمد هطيف بإتقانه لكافة المقاربات وتكييفها حسب حالة المريض:
- المقاربة الخلفية (Posterior Approach): هي الأكثر شيوعًا في جراحات المراجعة. توفر رؤية ممتازة لعظم الفخذ والحُقّ. تتطلب حماية دقيقة للعصب الوركي وإصلاحًا قويًا للكبسولة الخلفية لمنع الخلع.
- المقاربة الأمامية المباشرة (Direct Anterior Approach): يمكن استخدامها في بعض حالات المراجعة، خاصة لمراجعة الكأس الحُقّي فقط. تتميز بأنها تحافظ على العضلات الألوية، ولكنها قد تكون صعبة في حال الحاجة للوصول العميق لعظم الفخذ.
- المقاربة الجانبية الممتدة (Extended Trochanteric Osteotomy - ETO): هذه التقنية هي السلاح السري لجراحي المراجعة الخبراء. عندما تكون الساق الفخذية ثابتة بقوة شديدة في العظم ولا يمكن سحبها، يقوم الجراح بقطع طولي موجه ومدروس في الجزء العلوي الخارجي من عظم الفخذ (المدور الكبير مع جزء من الساق). هذا يفتح





آلام الورك وتقييد حركته ليس قدراً محتوماً! التشخيص الدقيق والعلاج المتخصص يمكن أن يعيد لك كامل وظيفتك وحريتك في الحركة. لا تدع الألم يسيطر على حياتك.
للحصول على استشارة دقيقة وخطة علاجية مخصصة لحالتك، تواصل فوراً مع مركز الأستاذ الدكتور محمد هطيف:
الأستاذ الدكتور محمد هطيف - أفضل دكتور عظام في صنعاء، وخبير في جراحات استبدال مفصل الورك.. نلتزم بإعادتك لحياة خالية من الألم وورك قوي ووظيفي.
مواضيع أخرى قد تهمك