كسور عظم الفخذ البعيدة: دليل شامل للعلاج والتعافي مع الأستاذ الدكتور محمد هطيف

الخلاصة الطبية
كسور عظم الفخذ البعيدة هي إصابات معقدة تحدث بالقرب من مفصل الركبة وتتطلب دقة عالية في العلاج. تشمل الأعراض ألمًا شديدًا وتورمًا، ويتم التشخيص بالأشعة السينية والمقطعية. يعتمد العلاج غالبًا على التثبيت الداخلي المفتوح (ORIF) لاستعادة المحاذاة والوظيفة، ويقود الأستاذ الدكتور محمد هطيف هذا العلاج بخبرة فريدة في صنعاء.
مقدمة شاملة: فهم أعمق لكسور عظم الفخذ البعيدة
تُعد كسور عظم الفخذ البعيدة (Distal Femur Fractures)، التي تحدث في الجزء السفلي من عظم الفخذ بالقرب من مفصل الركبة، من الإصابات العظمية المعقدة التي تتطلب فهمًا عميقًا للتشريح والميكانيكا الحيوية ودقة جراحية متناهية. هذه الكسور ليست مجرد كسور بسيطة؛ بل هي إصابات قد تؤدي إلى نتائج سلبية طويلة الأمد وتأثيرات مدمرة على جودة حياة المريض إذا لم تتم إدارتها وعلاجها بالشكل الأمثل.


الهدف الأول والأخير في علاج هذه الحالات هو استعادة المحاور الميكانيكية والتشريحية الطبيعية للطرف السفلي، وضمان استقامة السطح المفصلي للعظم وطوله ومحاذاته بشكل عام، لضمان عودة المريض إلى ممارسة حياته الطبيعية بدون ألم أو إعاقة.
في مركزنا، نؤمن بأن العلاج الفعال يبدأ بالتشخيص الدقيق والتخطيط الشامل، وينتهي بتنفيذ جراحي متقن يضمن أفضل النتائج للمرضى. يقود هذا المسعى الأستاذ الدكتور محمد هطيف، أستاذ جراحة العظام والمفاصل بجامعة صنعاء، والذي يُعد من أبرز وأمهر جراحي العظام في اليمن والمنطقة.


بخبرة تتجاوز 20 عامًا في التعامل مع كسور عظم الفخذ البعيدة المعقدة، وتقديم رعاية طبية وفقًا لأعلى المعايير العالمية، يضمن الدكتور هطيف تطبيق أحدث التقنيات مثل الجراحة الميكروسكوبية، ومناظير المفاصل بدقة 4K، والمفاصل الصناعية. يتميز الأستاذ الدكتور محمد هطيف بالأمانة الطبية المطلقة، حيث يتم اختيار الخيار العلاجي الأنسب لكل مريض بناءً على حالته الفردية بعيدًا عن أي اعتبارات أخرى.

التشريح المعقد والميكانيكا الحيوية لعظم الفخذ ومفصل الركبة
لفهم مدى تعقيد هذه الكسور، يجب أن نغوص في التشريح الدقيق لهذه المنطقة. يمثل الجزء السفلي من عظم الفخذ نقطة الارتكاز الأساسية لوزن الجسم أثناء الحركة والوقوف.



يمر المحور الميكانيكي لعظم الفخذ من مركز رأس عظم الفخذ إلى مركز الركبة، وعادة ما ينحرف بمقدار 3 درجات عن الخط العمودي. يستمر هذا المحور بعد ذلك إلى مركز الكاحل، ليحدد المحور الميكانيكي للطرف بأكمله. في المقابل، يظهر المحور التشريحي لعظم الفخذ مع حوالي 9 درجات من الانحراف الخارجي (Valgus) بالنسبة لمحور مفصل الركبة.


عند حدوث كسر في هذه المنطقة، تختل هذه المحاور الدقيقة، مما يؤدي إلى توزيع غير متساوٍ للضغط على غضاريف الركبة. إذا لم يتم إصلاح هذا الخلل جراحياً بدقة متناهية، فإن المريض سيكون عرضة للإصابة بخشونة الركبة المبكرة (Post-traumatic Osteoarthritis).

الأسباب وعوامل الخطر المؤدية إلى كسور الفخذ البعيدة
تحدث كسور عظم الفخذ البعيدة عادة ضمن فئتين عمريتين مختلفتين، ولكل فئة أسبابها الخاصة:
-
الشباب والبالغين (حوادث الطاقة العالية):
تحدث غالباً نتيجة حوادث السيارات المروعة، السقوط من ارتفاعات شاهقة، أو الإصابات الرياضية العنيفة. تتميز هذه الكسور بكونها مفتتة (Comminuted) وقد يصاحبها تهتك في الأنسجة الرخوة والأوعية الدموية. -
كبار السن (حوادث الطاقة المنخفضة):
تحدث غالباً بسبب هشاشة العظام (Osteoporosis). مجرد تعثر بسيط أو سقوط على الأرض قد يؤدي إلى كسر معقد في عظم الفخذ البعيد. هذه الحالات تتطلب عناية خاصة نظراً لضعف جودة العظام وصعوبة تثبيت الشرائح والمسامير فيها.




الأعراض والعلامات السريرية
بمجرد حدوث الكسر، تظهر على المريض مجموعة من الأعراض الحادة التي تستدعي تدخلاً طبياً طارئاً:
* ألم مبرح: ألم شديد وحاد في منطقة الركبة وأسفل الفخذ يمنع المريض من أي حركة.
* تورم وكدمات: انتفاخ سريع في الركبة (Hemarthrosis) نتيجة النزيف الداخلي.
* تشوه في شكل الطرف: قد يظهر الساق بشكل أقصر من الطبيعي أو ملتويًا بزاوية غير طبيعية.
* عدم القدرة على تحميل الوزن: استحالة الوقوف أو المشي على الساق المصابة.
* بروز العظم (في الكسور المفتوحة): خروج العظم من الجلد، وهي حالة طارئة تتطلب جراحة فورية لمنع التلوث والعدوى.




التشخيص الدقيق: حجر الأساس للعلاج الناجح
في عيادة الأستاذ الدكتور محمد هطيف في صنعاء، لا يتم ترك أي مجال للصدفة. يتم إجراء تقييم شامل يبدأ بـ:
- التقييم السريري المبدئي: فحص النبض والأعصاب للتأكد من عدم وجود إصابات وعائية أو عصبية مصاحبة.
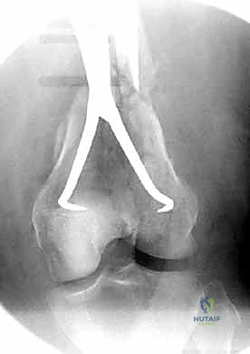
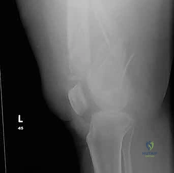
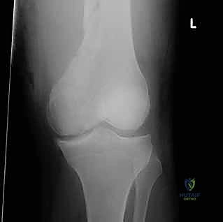
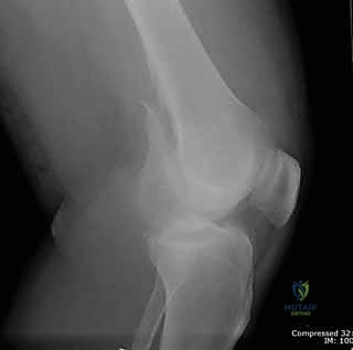
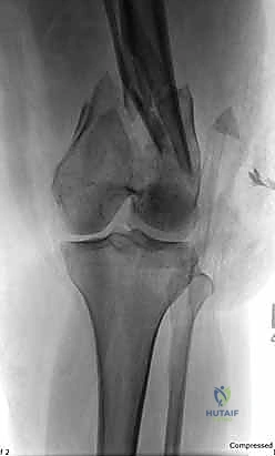
- الأشعة السينية (X-Rays): أخذ صور من زوايا متعددة (أمامي خلفي، وجانبي) لتحديد موقع الكسر ونوعه.
- الأشعة المقطعية (CT Scan): وهي ضرورية جداً في كسور عظم الفخذ البعيدة، خاصة إذا كان الكسر يمتد إلى داخل مفصل الركبة (Intra-articular fractures). تساعد الأشعة المقطعية الدكتور هطيف على بناء نموذج ثلاثي الأبعاد للكسر، مما يسهل التخطيط الجراحي وتحديد أماكن وضع المسامير بدقة.







الخيارات العلاجية لكسور عظم الفخذ البعيدة
يعتمد قرار العلاج على عدة عوامل: عمر المريض، جودة العظام، نوع الكسر (بسيط أم مفتت)، وما إذا كان الكسر ممتداً لداخل المفصل.
1. العلاج التحفظي (غير الجراحي)
نادر جداً في كسور الفخذ البعيدة الحديثة، ويقتصر على:
* المرضى الذين يعانون من حالات صحية حرجة تمنعهم من الخضوع للتخدير.
* الكسور غير المتحركة تماماً (Non-displaced).
يتم العلاج باستخدام الجبائر الطويلة أو الدعامات المفصلية، ولكن من عيوبه الكبرى تيبس مفصل الركبة وضعف العضلات.
2. العلاج الجراحي (المعيار الذهبي)
هو الخيار الأمثل لمعظم الحالات. تحت إشراف الأستاذ الدكتور محمد هطيف، يتم استخدام أحدث التقنيات لضمان التثبيت القوي والسماح بالحركة المبكرة.
| وجه المقارنة | العلاج التحفظي (الجبس/الدعامات) | العلاج الجراحي (الشرائح والمسامير/ORIF) |
|---|---|---|
| دواعي الاستعمال | كسور غير متحركة، مرضى بحالة صحية حرجة جداً | الكسور المتحركة، المفتتة، والممتدة للمفصل |
| مدة البقاء في السرير | طويلة (أسابيع إلى أشهر) | قصيرة (أيام قليلة، مع بدء الحركة المبكرة) |
| خطر تيبس الركبة | عالي جداً | منخفض (بسبب العلاج الطبيعي المبكر) |
| دقة استعادة المحور | ضعيفة إلى متوسطة | عالية جداً وممتازة |
| خطر الجلطات (DVT) | مرتفع (بسبب قلة الحركة) | منخفض (بسبب الحركة المبكرة والأدوية) |
| النتائج الوظيفية النهائية | مقبولة إلى ضعيفة | ممتازة، عودة لمعظم النشاطات الطبيعية |

الدليل الشامل لخطوات التثبيت الداخلي المفتوح (ORIF) مع الأستاذ الدكتور محمد هطيف
تُعد جراحة "الرد المفتوح والتثبيت الداخلي" (Open Reduction and Internal Fixation - ORIF) هي الإجراء الأكثر شيوعاً ونجاحاً. سنأخذكم في رحلة مفصلة داخل غرفة العمليات لنوضح كيف يقوم البروفيسور هطيف بإعادة بناء العظم بدقة هندسية.
المرحلة الأولى: التجهيز والتخطيط الجراحي
قبل بدء الجراحة، يتم رسم خطة دقيقة. يتم وضع المريض على طاولة العمليات المجهزة بأشعة (C-Arm) لضمان التصوير الفوري أثناء الجراحة.




المرحلة الثانية: الفتح الجراحي والوصول للعظم
يستخدم الدكتور هطيف تقنيات الفتح الجراحي المحدود (Minimally Invasive Plate Osteosynthesis - MIPO) كلما أمكن ذلك، للحفاظ على التروية الدموية للعظم وتسريع الالتئام. يتم عمل شق جانبي بعناية للوصول إلى منطقة الكسر دون الإضرار بالعضلات المحيطة.




المرحلة الثالثة: إرجاع العظم (Reduction)
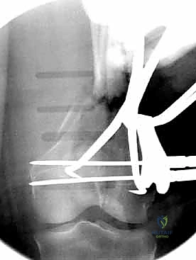
هذه هي الخطوة الأكثر أهمية. يقوم الدكتور هطيف بإعادة القطع العظمية المكسورة إلى مكانها التشريحي الأصلي. إذا كان الكسر ممتداً داخل المفصل، يتم تثبيت السطح المفصلي أولاً باستخدام مسامير دقيقة لضمان سطح أملس يمنع الاحتكاك والخشونة مستقبلاً.






المرحلة الرابعة: التثبيت النهائي بالشرائح والمسامير (Fixation)
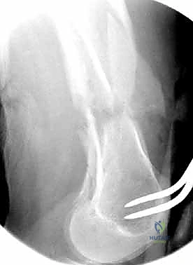
يتم استخدام "شرائح الإغلاق التشريحية" (Anatomical Locking Plates) المصنوعة من التيتانيوم عالي الجودة. هذه الشرائح مصممة خصيصاً لتأخذ شكل الجزء السفلي من عظم الفخذ. يتم تمرير الشريحة أسفل العضلات وتثبيتها بمسامير تغلق داخل الشريحة نفسها (Locking Screws)، مما يوفر ثباتاً ميكانيكياً هائلاً، حتى في حالات العظام الهشة.











في بعض الحالات المعقدة جداً، قد يتطلب الأمر استخدام شريحتين (Dual Plating) لضمان عدم تحرك الكسر أثناء فترة التعافي.





المرحلة الخامسة: الإغلاق التجميلي
بعد التأكد التام من استقرار الكسر وحركة المفصل عن طريق الأشعة داخل غرفة العمليات، يتم إغلاق الجرح بطبقات متعددة باستخدام خيوط تجميلية لتقليل الندبات، ووضع أنبوب تصريف (Drain) لمنع تجمع الدم.





التكنولوجيا الحديثة في جراحة العظام بمركز الدكتور محمد هطيف
التميز لا يأتي من فراغ. يعتمد الأستاذ الدكتور محمد هطيف على منظومة متكاملة من التكنولوجيا الطبية المتقدمة في صنعاء، والتي تضاهي أكبر المراكز العالمية:
- الجراحة الميكروسكوبية: للتعامل مع الأعصاب والأوعية الدموية الدقيقة المحيطة بالركبة.
- مناظير المفاصل بدقة 4K: في حال وجود إصابات مصاحبة في غضاريف أو أربطة الركبة (مثل الرباط الصليبي)، يتم علاجها بالمنظار في نفس وقت تثبيت الكسر.
- المفاصل الصناعية (Arthroplasty): في حالات كبار السن حيث يكون الكسر مفتتاً جداً ولا يمكن تثبيته، قد يكون استبدال مفصل الركبة بمفصل صناعي خاص (Tumor/Hinge Prosthesis) هو الحل الجذري والسريع لعودة المريض للمشي فوراً.






برنامج التأهيل والعلاج الطبيعي ما بعد الجراحة
العملية الجراحية الناجحة تمثل 50% من العلاج، بينما الـ 50% الأخرى تعتمد على برنامج التأهيل والعلاج الطبيعي. يولي الدكتور هطيف اهتماماً بالغاً بهذه المرحلة لضمان عدم حدوث تيبس في الركبة.
| المرحلة الزمنية | الأهداف الرئيسية | الأنشطة المسموح بها |
|---|---|---|
| الأسبوع 0 - 2 | تقليل الألم والتورم، التئام الجرح | حركة سلبية للركبة (CPM)، تمارين شد العضلة الرباعية، المشي باستخدام عكازين (بدون تحميل وزن). |
| الأسبوع 2 - 6 | زيادة المدى الحركي للمفصل | ثني الركبة حتى 90 درجة، تمارين تقوية خفيفة، تحميل جزئي للوزن (حسب تعليمات الطبيب). |
| الأسبوع 6 - 12 | استعادة القوة العضلية والمدى الحركي الكامل | تحميل تدريجي للوزن حتى الوصول للتحميل الكامل، ركوب الدراجة الثابتة، السباحة. |
| الشهر 3 - 6 | العودة للأنشطة الطبيعية والرياضية | تمارين التوازن، المشي لمسافات طويلة، العودة التدريجية للعمل والرياضة الخفيفة. |



















آلام الورك وتقييد حركته ليس قدراً محتوماً! التشخيص الدقيق والعلاج المتخصص يمكن أن يعيد لك كامل وظيفتك وحريتك في الحركة. لا تدع الألم يسيطر على حياتك.
للحصول على استشارة دقيقة وخطة علاجية مخصصة لحالتك، تواصل فوراً مع مركز الأستاذ الدكتور محمد هطيف:
الأستاذ الدكتور محمد هطيف - أفضل دكتور عظام في صنعاء، وخبير في جراحات استبدال مفصل الورك.. نلتزم بإعادتك لحياة خالية من الألم وورك قوي ووظيفي.
مواضيع أخرى قد تهمك