علاج متلازمة انحشار الورك الفخذي الأمامي عبر شق أمامي: دليل شامل للمرضى

الخلاصة الطبية
متلازمة انحشار الورك الفخذي الأمامي هي حالة تتميز باحتكاك غير طبيعي في مفصل الورك، مما يسبب الألم ويؤدي إلى خشونة مبكرة. يشمل العلاج الجراحة لتصحيح التشوهات الهيكلية وتخفيف الاحتكاك، وهي الطريقة الأكثر فعالية لاستعادة وظيفة الورك وتجنب المضاعفات طويلة الأمد.
الخلاصة الطبية السريعة: متلازمة انحشار الورك الفخذي الأمامي (FAI) هي حالة مرضية ميكانيكية تتميز باحتكاك غير طبيعي ومستمر في مفصل الورك، مما يسبب ألماً مزمناً، وتيبساً، ويؤدي حتماً إلى تضرر الغضاريف والإصابة بخشونة مبكرة في المفصل إذا لم يتم تداركها. يشمل مسار العلاج خيارات تحفظية، ولكن التدخل الجراحي الدقيق لتصحيح التشوهات الهيكلية وتخفيف الاحتكاك - خاصة عبر تقنية "الشق الأمامي" - يُعد الطريقة الأكثر فعالية وجذرية لاستعادة وظيفة الورك الطبيعية وتجنب المضاعفات طويلة الأمد. في اليمن، يقود الأستاذ الدكتور محمد هطيف ثورة طبية في تشخيص وعلاج هذه الحالات المعقدة بأحدث التقنيات العالمية.

مقدمة شاملة إلى متلازمة انحشار الورك الفخذي الأمامي
هل تعاني من ألم مزمن وعميق في منطقة الفخذ أو الورك يزداد سوءًا مع الحركة، أو عند صعود السلالم، أو حتى عند الجلوس لفترات طويلة؟ هل تشعر بتيبس يمنعك من ممارسة رياضتك المفضلة أو أداء مهامك اليومية البسيطة؟ قد تكون متلازمة انحشار الورك الفخذي الأمامي (Femoroacetabular Impingement - FAI) هي السبب الخفي وراء معاناتك.
هذه الحالة، التي أصبحت تُشخص بشكل متزايد في الآونة الأخيرة بفضل تطور تقنيات التصوير الطبي، تحدث عندما تتلامس عظام مفصل الورك بشكل غير طبيعي ومبكر أثناء الحركة. هذا التلامس الشاذ يؤدي إلى احتكاك ميكانيكي مدمر، يتسبب في تلف تدريجي وتآكل في الغضاريف الملساء والأنسجة الليفية المحيطة بالمفصل (الشفا الحقي). المشكلة الأكبر في هذه المتلازمة هي أنها غالبًا ما تُشخص بشكل خاطئ في مراحلها الأولى على أنها مجرد شد عضلي أو التهاب أوتار، وإذا تركت دون علاج دقيق، فإنها تتطور بلا هوادة إلى خشونة مبكرة وشديدة في مفصل الورك، مما قد يفرض الحاجة إلى جراحة استبدال مفصل كامل في سن مبكرة، وهو ما يؤثر بشكل كارثي على جودة الحياة.

في هذا الدليل الطبي الشامل والمفصل، سنأخذك في رحلة علمية وطبية دقيقة لاستكشاف كل ما يتعلق بمتلازمة انحشار الورك الفخذي الأمامي. سنغوص في أعماق التشريح المعقد لمفصل الورك، ونستعرض الأسباب الجذرية، والأعراض السريرية، وأحدث بروتوكولات التشخيص. وسنسلط الضوء بشكل خاص وموسع على النهج الجراحي المتقدم عبر الشق الأمامي (Anterior Approach)، وهو الإجراء الجراحي الحديث الذي يحافظ على العضلات ويسرع من عملية التعافي.
تأتي هذه المعلومات الطبية الموثوقة تحت إشراف الأستاذ الدكتور محمد هطيف، أستاذ جراحة العظام والمفاصل بجامعة صنعاء، وأحد أبرز وأمهر خبراء جراحة العظام في اليمن والمنطقة. يمتلك الدكتور هطيف خبرة تتجاوز العشرين عاماً، ويتميز بتطبيق أحدث التقنيات العالمية مثل الجراحات الميكروسكوبية، ومناظير المفاصل بدقة 4K، وتقنيات استبدال المفاصل المتقدمة. التزامه الصارم بالأمانة الطبية والمصداقية جعله المرجع الأول للمرضى الباحثين عن الشفاء التام والرعاية الصحية الفائقة في صنعاء.

التشريح الدقيق لمفصل الورك وآلية حدوث الانحشار
لفهم كيف ولماذا تحدث متلازمة انحشار الورك الفخذي الأمامي، يجب علينا أولاً تفكيك التشريح الهندسي المذهل لمفصل الورك الطبيعي، وكيف تعمل مكوناته العظمية والرخوة بتناغم تام.
فهم البنية الهندسية لمفصل الورك
مفصل الورك (Hip Joint) هو واحد من أكبر المفاصل وأكثرها تحملاً للوزن في جسم الإنسان. يُصنف ميكانيكياً على أنه مفصل "كروي حُقّي" (Ball-and-Socket Joint)، وهو تصميم هندسي فريد يهدف إلى توفير نطاق واسع جداً من الحركة في اتجاهات متعددة، مع الحفاظ في الوقت ذاته على استقرار ميكانيكي هائل لدعم وزن الجسم بالكامل أثناء الوقوف والمشي والركض.
يتكون هذا المفصل من جزأين عظميين رئيسيين:
1. رأس عظم الفخذ (Femoral Head): يمثل "الكرة". وهو الجزء العلوي الكروي الأملس من عظم الفخذ (أطول وأقوى عظمة في الجسم).
2. التجويف الحقي (Acetabulum): يمثل "المقبس" أو التجويف. وهو تجويف عميق على شكل كوب يقع في عظم الحوض، ويستقبل رأس عظم الفخذ ليحتضنه بأمان.

لكي تتحرك هذه العظام دون احتكاك مؤلم، يُبطّن كلا السطحين العظميين (رأس الفخذ وداخل التجويف الحقي) بطبقة سميكة وزلقة من الغضروف المفصلي الزجاجي (Articular Cartilage). هذا الغضروف يعمل كوسادة ممتصة للصدمات ويسمح بانزلاق العظام بسلاسة فائقة، بمعامل احتكاك أقل من انزلاق الجليد على الجليد.
بالإضافة إلى ذلك، تحيط بحافة التجويف الحقي حلقة قوية ومرنة من الغضروف الليفي تسمى الشفا الحقي (Acetabular Labrum). يلعب الشفا الحقي أدواراً حاسمة: فهو يعمق التجويف الحقي لزيادة الاستقرار، ويعمل كـ "سدادة" (Seal) تحافظ على السائل الزلالي داخل المفصل لتغذيته وتشحيمه، ويحتوي على نهايات عصبية تنقل إحساس الألم وتحدد موقع المفصل في الفراغ.

كيف يحدث الانحشار الميكانيكي (Impingement)؟
في الحالة الطبيعية، ينزلق عنق ورأس عظم الفخذ بحرية تامة داخل وخارج التجويف الحقي دون أن تصطدم العظام ببعضها البعض، حتى في أقصى درجات ثني الساق. ولكن في حالة متلازمة انحشار الورك الفخذي (FAI)، توجد تشوهات أو زوائد عظمية إما في عنق/رأس عظم الفخذ، أو في حافة التجويف الحقي، أو في كليهما.
عندما يقوم المريض بحركات معينة - خاصة ثني الورك للأعلى (Flexion) مع تدويره للداخل (Internal Rotation) وهو ما يحدث عند الجلوس العميق أو ركوب الدراجة أو أداء بعض الحركات الرياضية - تصطدم هذه الزوائد العظمية ببعضها البعض بشكل مبكر وغير طبيعي.
هذا الاصطدام المتكرر يشبه "المطرقة والسندان". بمرور الوقت، يؤدي هذا الاحتكاك العنيف إلى سحق أو تمزيق الشفا الحقي (Labral Tear)، وتقشير أو كشط الغضروف المفصلي الناعم من على عظم الحوض. عندما يتلف الغضروف، ينكشف العظم الأساسي، وتبدأ رحلة الألم المزمن وخشونة المفصل (Osteoarthritis).


أنواع متلازمة انحشار الورك الفخذي الأمامي
تُصنف متلازمة FAI طبياً إلى ثلاثة أنواع رئيسية بناءً على موقع التشوه العظمي. التشخيص الدقيق للنوع من قبل خبير متمرس مثل الأستاذ الدكتور محمد هطيف هو حجر الأساس لتحديد الخطة الجراحية المناسبة.
1. انحشار من نوع كام (Cam Impingement)
كلمة "Cam" تعني الحدبة. في هذا النوع، يكون التشوه في رأس وعنق عظم الفخذ. بدلاً من أن يكون رأس الفخذ كروياً تماماً وينحدر بسلاسة نحو العنق، تتكون زائدة عظمية (حدبة) عند نقطة التقاء الرأس بالعنق.
عندما يتم ثني الورك، لا يمكن لهذه الحدبة العظمية الانزلاق بسلاسة داخل التجويف الحقي، بل تنحشر بقوة ضد حافة التجويف، مما يؤدي إلى طحن الغضروف المفصلي وتمزيق الشفا الحقي من الأسفل إلى الأعلى. هذا النوع أكثر شيوعاً لدى الشباب الذكور والرياضيين.

2. انحشار من نوع كماشة (Pincer Impingement)
في هذا النوع، يكون التشوه في التجويف الحقي (الحوض). ينمو عظم إضافي على حافة التجويف الحقي، أو يكون التجويف نفسه عميقاً جداً أو موجهاً بشكل خاطئ (Retroversion)، مما يجعله يغطي رأس عظم الفخذ بشكل مبالغ فيه (Overcoverage).
أثناء الحركة، تقوم حافة التجويف الحقي البارزة بـ "قرص" أو سحق عنق عظم الفخذ والشفا الحقي بينهما مثل الكماشة. هذا يؤدي في المقام الأول إلى تلف الشفا الحقي، وقد يؤدي لاحقاً إلى تلف الغضروف. هذا النوع يُلاحظ بشكل متكرر لدى النساء في منتصف العمر.

3. الانحشار المختلط (Mixed Impingement)
وهو النوع الأكثر شيوعاً على الإطلاق (يمثل حوالي 86% من الحالات). في الانحشار المختلط، يعاني المريض من كلا التشوهين في وقت واحد: حدبة عظمية على عنق الفخذ (Cam) وتغطية مفرطة من التجويف الحقي (Pincer). هذا المزيج يخلق بيئة ميكانيكية مدمرة للغاية لمفصل الورك، ويتطلب تدخلاً جراحياً دقيقاً لمعالجة كلا الخللين معاً.

الأسباب وعوامل الخطر: لماذا يحدث الانحشار؟
لا يزال السبب الدقيق الذي يجعل بعض الأشخاص يطورون هذه الزوائد العظمية غير مفهوم بالكامل في المجتمع الطبي، ولكن الأبحاث الحديثة، والتي يتابعها الدكتور محمد هطيف باستمرار، تشير إلى تفاعل معقد بين العوامل الوراثية والبيئية والميكانيكية خلال فترات النمو.
- اضطرابات النمو في الطفولة والمراهقة: تتشكل عظام الورك وتأخذ شكلها النهائي خلال سنوات نمو الطفل والمراهق. يُعتقد أن الإجهاد الميكانيكي المتكرر على صفيحة النمو (Growth Plate) في مفصل الورك خلال طفرات النمو قد يؤدي إلى استجابة الجسم بتكوين عظم إضافي، مما ينتج عنه تشوه "كام".
- الأنشطة الرياضية عالية التأثير: المراهقون والشباب الذين يشاركون بكثافة في رياضات تتطلب ثني الورك المتكرر والعميق، وتغيير الاتجاه المفاجئ (مثل كرة القدم، الهوكي، الفنون القتالية، الجمباز، ورفع الأثقال) هم أكثر عرضة للإصابة بأعراض الانحشار. الرياضة لا تسبب التشوه بالضرورة، لكنها تسرع من ظهور الأعراض بسبب الاحتكاك المستمر.
- أمراض الورك السابقة: بعض الحالات الطبية التي تصيب الأطفال يمكن أن تغير شكل مفصل الورك وتؤدي لاحقاً إلى FAI، مثل:
- انزلاق مشاش رأس الفخذ (SCFE).
- مرض بيرثيز (Legg-Calve-Perthes Disease).
- خلل التنسج الوركي التنموي (DDH).
- العوامل الوراثية الجينية: لوحظ أن متلازمة الانحشار تميل للظهور في العائلات، مما يشير إلى وجود استعداد وراثي لتطور شكل العظام غير الطبيعي.
- الالتحام الخاطئ للكسور: في حالات نادرة، يمكن أن يؤدي كسر سابق في عنق الفخذ أو الحوض شُفي بشكل غير دقيق إلى خلق ميكانيكا غير طبيعية تؤدي للانحشار.


العلامات والأعراض: متى يجب أن تدق ناقوس الخطر؟
تبدأ متلازمة انحشار الورك الفخذي الأمامي غالباً بشكل صامت. قد يكون لدى الشخص الزوائد العظمية لسنوات دون أن يشعر بأي ألم، لأن الغضروف لا يزال سليماً. ولكن بمجرد أن يبدأ الغضروف أو الشفا الحقي في التمزق، تبدأ الأعراض في الظهور والتفاقم تدريجياً.
تشمل الأعراض السريرية الشائعة ما يلي:
- ألم الفخذ الأمامي (Groin Pain): هو العَرَض المميز والأكثر شيوعاً. يصفه المرضى بأنه ألم عميق، خفيف، أو حاد ومفاجئ في منطقة الفخذ الأمامية (المنطقة التي تلتقي فيها الساق بالحوض).
- علامة حرف C (The C-Sign): عندما يُطلب من المريض تحديد مكان الألم، فإنه يضع يده حول وركه بحيث يشكل الإبهام والأصابع حرف "C" حول مفصل الورك. هذه العلامة السريرية الكلاسيكية تشير بقوة إلى مصدر الألم داخل المفصل.
- الألم المرتبط بالوضعيات: يزداد الألم سوءاً مع الأنشطة التي تتطلب ثني الورك، مثل الجلوس في مقاعد منخفضة، القيادة لمسافات طويلة، صعود السلالم، ربط الحذاء، أو القرفصاء.
- الأعراض الميكانيكية: قد يشعر المريض بفرقعة (Popping)، أو طقطقة (Clicking)، أو شعور بأن المفصل "يعلق" أو ينقفل (Catching/Locking) أثناء الحركة. هذه علامات قوية على وجود تمزق في الشفا الحقي أو وجود شظايا غضروفية سائبة داخل المفصل.
- تيبس المفصل (Stiffness): انخفاض ملحوظ في نطاق حركة المفصل، خاصة صعوبة تدوير الساق للداخل أو فتح الساقين للخارج.
- ألم يمتد إلى مناطق أخرى: في بعض الحالات، قد يشع الألم إلى أسفل الفخذ، أو إلى الأرداف، أو حتى أسفل الظهر، مما يجعل التشخيص الدقيق تحدياً للأطباء غير المتخصصين.


رحلة التشخيص الدقيق مع الأستاذ الدكتور محمد هطيف
التشخيص الخاطئ هو أكبر عدو لمرضى انحشار الورك، حيث يُشخص الكثيرون خطأً على أنهم يعانون من فتق رياضي، أو آلام أسفل الظهر، أو التهاب في العضلات القابضة للورك. هنا تبرز أهمية اللجوء إلى خبير بمستوى الأستاذ الدكتور محمد هطيف، الذي يتبع بروتوكولاً تشخيصياً صارماً وشاملاً لضمان دقة التشخيص بنسبة 100%.
1. التاريخ الطبي الدقيق والفحص السريري
يبدأ الدكتور هطيف بالاستماع بعناية لقصة المريض، طبيعة الألم، العوامل المحفزة له، وتاريخه الرياضي والطبي. ثم يقوم بإجراء فحص سريري دقيق يتضمن اختبارات استفزازية مخصصة للورك:
* اختبار FADIR (Flexion, Adduction, Internal Rotation): يقوم الدكتور بثني ورك المريض إلى 90 درجة، ثم يضمه للداخل ويدوره للداخل. إذا أحدث هذا ألمًا في الفخذ، فهو مؤشر إيجابي قوي على وجود انحشار أمامي.
* اختبار FABER (Flexion, Abduction, External Rotation): لتقييم مرونة المفصل واستبعاد مشاكل المفصل العجزي الحرقفي.
* تقييم المشية ونطاق الحركة: فحص دقيق للبحث عن أي عرج أو قيود في الحركة.

2. التصوير الشعاعي المتقدم (Radiological Imaging)
للتأكد من وجود التشوهات العظمية وتقييم حالة الغضاريف، يعتمد الدكتور هطيف على أحدث تقنيات التصوير:
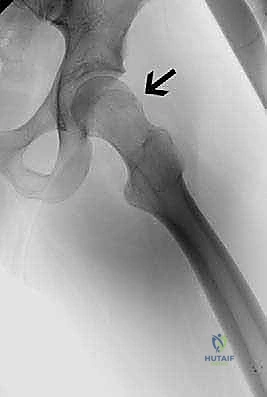
* الأشعة السينية العادية (X-Rays): يتم أخذ صور بوضعيات خاصة (مثل وضعية Dunn View) لرؤية مفصل الورك من زوايا متعددة. تكشف الأشعة السينية بوضوح عن وجود حدبة "كام" أو بروز "كماشة"، وتظهر مدى ضيق المسافة المفصلية (مؤشر على الخشونة).
* التصوير بالرنين المغناطيسي (MRI) أو الرنين المغناطيسي مع الصبغة (MRA): يُعد الرنين المغناطيسي، خاصة عند حقن صبغة تباين داخل المفصل، المعيار الذهبي لتقييم الأنسجة الرخوة. يمكنه إظهار تمزقات الشفا الحقي بدقة متناهية، وتقييم جودة الغضروف المفصلي، واكتشاف أي التهابات مصاحبة.
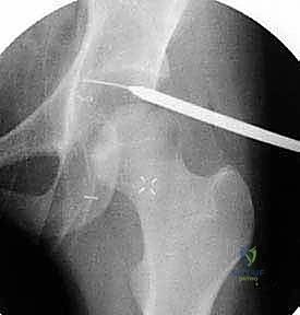
* التصوير المقطعي المحوسب (CT Scan) ثلاثي الأبعاد: في الحالات المعقدة التي تتطلب تخطيطاً جراحياً دقيقاً، يُستخدم التصوير المقطعي لبناء نموذج ثلاثي الأبعاد لمفصل الورك، مما يسمح للدكتور هطيف بتحديد كمية العظم الزائد الواجب إزالتها بدقة ميكرونية.

جدول 1: التشخيص التفريقي (كيف نميز FAI عن الحالات الأخرى؟)
| الحالة المرضية | طبيعة الألم | العلامات المميزة | نتائج الأشعة |
|---|---|---|---|
| متلازمة الانحشار (FAI) | ألم عميق في الفخذ الأمامي (علامة C) يزداد مع الثني | اختبار FADIR إيجابي، ألم عند الجلوس لفترات طويلة | زوائد عظمية (Cam/Pincer)، تمزق في الشفا الحقي |
| الفتق الرياضي (Sports Hernia) | ألم في أسفل البطن أو الفخذ السطحي | ألم يزداد مع السعال، العطس، أو تمارين المعدة | الورك سليم، قد يظهر تمزق عضلي في الرنين |
| التهاب المفصل التنكسي (الخشونة المتقدمة) | ألم مستمر، تيبس شديد، ألم أثناء الليل | فقدان كبير في نطاق الحركة في جميع الاتجاهات | تآكل كامل للغضروف، نتوءات عظمية كبيرة (Osteophytes) |
| انزلاق غضروفي قطني (عرق النسا) | ألم يشع من أسفل الظهر إلى الخلف وأسفل الساق | خدر وتنميل، ضعف في عضلات الساق | انضغاط العصب في العمود الفقري، مفصل الورك سليم |

خيارات العلاج: من التحفظي إلى الجراحي
يؤمن الأستاذ الدكتور محمد هطيف بنهج متدرج ومخصص لعلاج كل مريض بناءً على عمره، مستوى نشاطه، شدة الأعراض، ومدى تضرر المفصل. لا يتم اللجوء إلى الجراحة إلا بعد تقييم شامل.
أولاً: العلاج التحفظي (غير الجراحي)
في المراحل المبكرة جداً، أو عندما تكون الأعراض خفيفة ولا يوجد تمزق شديد في الشفا الحقي، قد يوصي الدكتور هطيف ببرنامج علاج تحفظي يهدف إلى تقليل الالتهاب وتخفيف الألم، ويشمل:
1. تعديل النشاط ونمط الحياة: تجنب الأنشطة التي تثير الألم، مثل القرفصاء العميقة، الج



آلام الورك وتقييد حركته ليس قدراً محتوماً! التشخيص الدقيق والعلاج المتخصص يمكن أن يعيد لك كامل وظيفتك وحريتك في الحركة. لا تدع الألم يسيطر على حياتك.
للحصول على استشارة دقيقة وخطة علاجية مخصصة لحالتك، تواصل فوراً مع مركز الأستاذ الدكتور محمد هطيف:
الأستاذ الدكتور محمد هطيف - أفضل دكتور عظام في صنعاء، وخبير في جراحات استبدال مفصل الورك.. نلتزم بإعادتك لحياة خالية من الألم وورك قوي ووظيفي.
مواضيع أخرى قد تهمك