المفصل الصناعي للركبة دليلك لقرار مستنير
تخيل حياة بلا قيود، بلا ألم مزمن يعيق خطواتك، بلا تردد في ممارسة أنشطتك اليومية. بالنسبة للكثيرين الذين يعانون من آلام الركبة الشديدة، قد يبدو هذا حلماً بعيد المنال. لكن مع التقدم الهائل في الطب الحديث، أصبحت جراحة استبدال مفصل الركبة الصناعي حقيقة واقعة توفر هذا الأمل، وتعيد للحياة رونقها.
إذا كنت تعاني من آلام في الركبة تؤثر بشكل كبير على جودة حياتك، وتحد من حركتك، وتجعل حتى أبسط المهام تحدياً، فقد حان الوقت لاستكشاف جميع الخيارات المتاحة. في هذا الدليل الشامل، سنتعمق في كل جانب من جوانب المفصل الصناعي للركبة، بدءًا من تشريح المفصل وصولًا إلى عملية الجراحة والتعافي، ومناقشة المزايا والمخاطر، وتقديم إجابات على كل تساؤلاتك.
لتوجيهك خلال هذه الرحلة، نعتمد على الخبرة الواسعة والمعرفة العميقة للأستاذ الدكتور محمد هطيف، قامة طبية مرموقة وأحد أبرز جراحي العظام والعمود الفقري والمفاصل والكتف في صنعاء واليمن. بصفته أستاذاً في جامعة صنعاء بخبرة تتجاوز 20 عاماً، يجمع الأستاذ الدكتور هطيف بين الدقة الجراحية الفائقة، أحدث التقنيات العالمية كالميكروسكوب الجراحي ومناظير 4K الجراحية الحديثة وتقنيات المفاصل الصناعية المتقدمة، وبين الالتزام الصارم بالصدق الطبي وتقديم الرعاية الأمثل لكل مريض.
مع الأستاذ الدكتور محمد هطيف، أنت لا تحصل على جراح فحسب، بل على مستشار موثوق به يضع مصلحة المريض في المقام الأول، ويحرص على إطلاعك على كافة التفاصيل لتتخذ قراراً مستنيراً بشأن صحتك.
تشريح مفصل الركبة ووظيفته فهم أساسيات المشكلة
مفصل الركبة هو أحد أكبر وأكثر المفاصل تعقيداً في جسم الإنسان، ويلعب دوراً حاسماً في الحركة اليومية. فهم بنيته ووظيفته هو المفتاح لفهم سبب حدوث المشاكل وكيف يمكن للمفصل الصناعي أن يعالجها.
- مكونات مفصل الركبة الطبيعي
يتكون مفصل الركبة من ثلاث عظام رئيسية تلتقي معاً، مدعومة بالعديد من الأنسجة الرخوة:
- عظم الفخذ (Femur): هو أكبر عظم في الجسم ويشكل الجزء العلوي من المفصل.
- عظم الساق (Tibia): هو عظم الساق الأكبر ويشكل الجزء السفلي من المفصل.
- الرضفة (Patella - صابونة الركبة): عظم صغير مسطح يقع أمام المفصل، ويحمي الركبة ويزيد من فعالية عضلات الفخذ الأمامية.
- الغضروف المفصلي (Articular Cartilage): طبقة ناعمة ومرنة تغطي نهايات عظام الفخذ والساق والرضفة. وظيفتها الرئيسية هي تقليل الاحتكاك بين العظام وتمكين الحركة السلسة، بالإضافة إلى امتصاص الصدمات.
- الأربطة (Ligaments): هي أشرطة قوية من الأنسجة الضامة تربط العظام ببعضها البعض وتوفر الاستقرار للمفصل. تشمل الأربطة الصليبية (الأمامي والخلفي) والأربطة الجانبية (الإنسي والوحشي).
- الغضاريف الهلالية (Menisci): غضروفان على شكل حرف C يقعان بين عظم الفخذ والساق. يعملان كوسائد لامتصاص الصدمات وتوزيع الحمل على المفصل وتوفير الاستقرار.
-
الغشاء الزليلي (Synovial Membrane) والسائل الزليلي (Synovial Fluid): يحيط الغشاء الزليلي بالمفصل وينتج السائل الزليلي الذي يغذي الغضروف ويزيت المفصل لتقليل الاحتكاك.
-
كيف يعمل مفصل الركبة السليم؟
يعمل مفصل الركبة كأداة محورية معقدة تسمح بحركات متعددة مثل الثني (ثني الساق نحو الفخذ) والمد (فرد الساق)، بالإضافة إلى بعض الدوران الخفيف. هذه الحركات ضرورية للمشي والجري والقفز والجلوس والوقوف. الغضروف المفصلي السليم، بالتعاون مع السائل الزليلي، يضمن حركة خالية من الألم ودون احتكاك. الأربطة والغضاريف الهلالية تعمل معاً للحفاظ على استقرار المفصل تحت تأثير وزن الجسم والقوى المختلفة أثناء الحركة، مما يحمي العظام من التلف. عندما تتضرر أي من هذه المكونات، تتأثر وظيفة الركبة وقد ينشأ الألم والالتهاب.
متى يصبح المفصل الصناعي ضرورة الأسباب الشائعة لآلام الركبة المزمنة
آلام الركبة المزمنة هي حالة شائعة تؤثر على ملايين الأشخاص حول العالم، وتتراوح شدتها من الانزعاج الخفيف إلى الألم المنهك الذي يعيق الأنشطة اليومية. فهم الأسباب الكامنة وراء هذا الألم أمر بالغ الأهمية لتحديد ما إذا كان المفصل الصناعي هو الخيار الأمثل.
- خشونة الركبة (التهاب المفاصل التنكسي - Osteoarthritis)
تعتبر خشونة الركبة، أو التهاب المفاصل التنكسي، السبب الأكثر شيوعاً للحاجة إلى جراحة استبدال مفصل الركبة. إنه مرض تنكسي مزمن يتآكل فيه الغضروف المفصلي الواقي الذي يغطي نهايات العظام تدريجياً.
- الآلية: مع تآكل الغضروف، تبدأ العظام في الاحتكاك ببعضها البعض مباشرة، مما يسبب الألم الشديد، التورم، التيبس، وفقدان مدى حركة المفصل. يمكن أن تتكون نتوءات عظمية (Osteophytes) على حواف المفصل، مما يزيد من الألم والتقييد.
- الأسباب والعوامل: التقدم في العمر هو عامل الخطر الرئيسي، ولكن يمكن أن تتفاقم الحالة بسبب السمنة، الإصابات السابقة للركبة، الإجهاد المتكرر على المفصل، التشوهات الخلقية، أو الوراثة.
- الأعراض: ألم يزداد سوءاً مع الحركة ويتحسن بالراحة، تيبس صباحي، صوت طقطقة أو احتكاك عند الحركة، تورم، ضعف في العضلات المحيطة، وصعوبة في المشي أو صعود الدرج.
-
مراحل الخشونة: تتراوح من خفيفة (تآكل غضروفي بسيط) إلى شديدة (فقدان كامل للغضروف واحتكاك العظام). في المراحل المتقدمة، يصبح الألم مزمناً ومهناً للحياة.
-
التهاب المفاصل الروماتويدي (Rheumatoid Arthritis)
التهاب المفاصل الروماتويدي هو مرض مناعي ذاتي مزمن يهاجم فيه الجهاز المناعي للجسم الأنسجة السليمة، بما في ذلك البطانة الزليليّة للمفاصل.
- الآلية: يؤدي هذا الهجوم إلى التهاب مزمن في الغشاء الزليلي، مما يسبب الألم، التورم، التيبس، وتلف الغضروف والعظام تدريجياً. يمكن أن يؤدي إلى تشوهات في المفاصل.
-
الأعراض: ألم وتيبس وتورم في عدة مفاصل، غالبًا بشكل متماثل، تيبس صباحي شديد يستمر لساعات، إرهاق عام، وقد يؤثر على أجهزة أخرى في الجسم.
-
إصابات الركبة الشديدة (Severe Knee Injuries)
يمكن أن تؤدي الإصابات الكبيرة للركبة، إذا لم تُعالج بشكل صحيح أو إذا كانت شديدة جداً، إلى التهاب المفاصل ما بعد الصدمة (Post-traumatic Arthritis) بعد سنوات أو عقود.
- أمثلة: كسور العظام داخل المفصل، تمزقات الأربطة الشديدة (خاصة الرباط الصليبي الأمامي)، أو تمزقات الغضروف الهلالي الكبيرة.
-
الآلية: هذه الإصابات يمكن أن تغير ميكانيكا المفصل، مما يؤدي إلى زيادة الاحتكاك والتآكل المبكر للغضروف.
-
أمراض أخرى تؤثر على الركبة
-
النخر اللاوعائي (Avascular Necrosis): يحدث عندما ينقطع إمداد الدم إلى جزء من العظم، مما يؤدي إلى موت الأنسجة العظمية وانهيارها، وغالباً ما يؤثر على عظم الفخذ.
- تشوهات الركبة: مثل تقوس الساقين (Genu Varum) أو الركبة المتصالبة (Genu Valgum) يمكن أن تضع ضغطاً غير متساوٍ على أجزاء من المفصل، مما يؤدي إلى تآكل مبكر.
- الأورام: في بعض الحالات النادرة، قد تتطلب الأورام التي تصيب عظام الركبة استبدال المفصل.
في كل هذه الحالات، عندما يصبح الألم شديداً، وتتدهور وظيفة المفصل بشكل كبير، وتفشل جميع العلاجات التحفظية في توفير الراحة، يصبح المفصل الصناعي للركبة حلاً فعالاً لاستعادة الحركة وتخفيف الألم.
تشخيص وعلاج آلام الركبة من التحفظي إلى الجراحي
قبل التفكير في أي إجراء جراحي كبير مثل استبدال مفصل الركبة، يقوم الأستاذ الدكتور محمد هطيف بإجراء تقييم شامل لحالة المريض، مع التركيز على التشخيص الدقيق واستكشاف جميع الخيارات العلاجية المتاحة، بدءاً من الأساليب التحفظية.
- كيف يتم تشخيص حالة الركبة؟
تتضمن عملية التشخيص عادة عدة خطوات لضمان فهم كامل للمشكلة:
- التاريخ المرضي الشامل: يسأل الأستاذ الدكتور هطيف عن الأعراض (متى بدأت، ما الذي يجعلها أسوأ أو أفضل)، الإصابات السابقة، التاريخ العائلي لأمراض المفاصل، والأدوية التي يتناولها المريض.
- الفحص السريري الدقيق: يقوم الدكتور هطيف بتقييم مدى حركة الركبة، قوة العضلات المحيطة، استقرار المفصل، وجود أي تورم، ألم عند اللمس، أو تشوهات. يلاحظ طريقة المشي وحركة المريض.
- الفحوصات التصويرية:
- الأشعة السينية (X-rays): هي الفحص الأول والأكثر شيوعاً، وتظهر مدى تآكل الغضروف، النتوءات العظمية، والتشوهات الهيكلية.
- الرنين المغناطيسي (MRI): يوفر صوراً مفصلة للأنسجة الرخوة مثل الغضاريف الهلالية والأربطة والغضروف المفصلي نفسه، وهو مفيد لتحديد مدى التلف.
- الأشعة المقطعية (CT scan): قد تستخدم في بعض الحالات لتوفير صور ثلاثية الأبعاد للعظام، خاصة في التخطيط للجراحة.
-
تحاليل الدم: قد تكون ضرورية لاستبعاد أنواع معينة من التهاب المفاصل (مثل التهاب المفاصل الروماتويدي) أو للتحقق من علامات الالتهاب.
-
الخيارات العلاجية التحفظية (غير الجراحية)
يؤمن الأستاذ الدكتور محمد هطيف بضرورة استنفاد جميع الخيارات العلاجية غير الجراحية قبل التوصية بالتدخل الجراحي. هذه العلاجات تهدف إلى تخفيف الألم، تحسين الوظيفة، وإبطاء تطور المرض:
- الراحة وتعديل الأنشطة: تجنب الأنشطة التي تزيد الألم، مثل الجري أو القفز، واستبدالها بأنشطة منخفضة التأثير مثل السباحة أو ركوب الدراجات الثابتة.
- العلاج الطبيعي (Physical Therapy): برنامج تمارين لتقوية العضلات المحيطة بالركبة (خاصة عضلات الفخذ والأرداف)، وتحسين المرونة ومدى الحركة، وتقليل الألم. يمكن أن يشمل العلاج اليدوي، الموجات فوق الصوتية، أو العلاج بالحرارة/البرودة.
- الأدوية:
- مسكنات الألم: مثل الباراسيتامول لتخفيف الألم الخفيف إلى المتوسط.
- مضادات الالتهاب غير الستيرويدية (NSAIDs): مثل الإيبوبروفين أو النابروكسين لتقليل الألم والالتهاب.
- مكملات الغضروف: مثل الجلوكوزامين والكوندرويتين، والتي قد تساعد بعض المرضى.
- الحقن داخل المفصل:
- الكورتيزون: حقن الستيرويدات القوية التي تقلل الالتهاب والألم بسرعة، ولكن تأثيرها مؤقت ولا تعالج السبب الأساسي.
- حمض الهيالورونيك (Hyaluronic Acid): سائل يشبه السائل الطبيعي في المفصل، يعمل كمادة مزلقة وامتصاص للصدمات.
- البلازما الغنية بالصفائح الدموية (PRP): تستخدم عوامل النمو الموجودة في بلازما الدم لتعزيز الشفاء وتقليل الالتهاب.
- فقدان الوزن: تقليل الوزن الزائد يقلل بشكل كبير من الضغط على مفصل الركبة، مما يقلل الألم ويحسن الوظيفة.
- أجهزة المساعدة: مثل العصي أو المشايات لتقليل الحمل على الركبة، أو دعامات الركبة لتوفير الدعم.
الجدول 1: مقارنة بين العلاج التحفظي والجراحي لمشاكل الركبة
| الميزة/الجانب | العلاج التحفظي (غير الجراحي) | العلاج الجراحي (المفصل الصناعي) |
|---|---|---|
| الهدف الرئيسي | تخفيف الأعراض، تحسين الوظيفة، إبطاء التدهور | استبدال المفصل التالف، تخفيف الألم جذرياً، استعادة الوظيفة |
| الحالات المناسبة | الألم الخفيف إلى المتوسط، المراحل المبكرة من الخشونة، المرضى غير المؤهلين للجراحة | الألم الشديد الذي لا يستجيب للعلاج التحفظي، التلف الهيكلي الواضح، التأثير الكبير على جودة الحياة |
| مدة العلاج | مستمر وقد يتطلب تكراراً (حقن، علاج طبيعي) | إجراء لمرة واحدة، يليه فترة تعافٍ وإعادة تأهيل مكثفة |
| النتائج المتوقعة | تحسن في الأعراض، بطء التدهور، قد لا يزول الألم كلياً | تخفيف جذري للألم، تحسن كبير في الحركة والوظيفة، قد يدوم لسنوات عديدة |
| المخاطر | آثار جانبية للأدوية، عدم فعالية، قد تتطلب الجراحة لاحقاً | عدوى، جلطات، تآكل، تيبس، مخاطر التخدير (مخاطر الجراحة بشكل عام) |
| فترة التعافي | لا يوجد فترة تعافٍ بالمعنى الجراحي، استمرار الأنشطة مع تعديلات | فترة تعافٍ تمتد من أسابيع إلى أشهر، تليها إعادة تأهيل مكثفة |
| التكلفة | أقل على المدى القصير (أدوية، جلسات علاج) | أعلى على المدى القصير (جراحة، مفصل، مستشفى، علاج طبيعي)، لكن قد يوفر المال على المدى الطويل بمنع الحاجة لعلاجات متكررة |
- متى يوصي الأستاذ الدكتور محمد هطيف بالجراحة؟
بعد استنفاد جميع الخيارات العلاجية التحفظية دون تحقيق تحسن ملموس، وبعد تقييم دقيق وشامل، قد يوصي الأستاذ الدكتور محمد هطيف بجراحة استبدال مفصل الركبة الصناعي. هذا القرار ليس سهلاً ويتخذه الدكتور هطيف بالتعاون الكامل مع المريض، معتمداً على مبدأ الصدق الطبي والشفافية التامة.
يتم النظر في الجراحة عندما تتوافر الشروط التالية:
- فشل العلاجات التحفظية: استمرار الألم الشديد ومحدودية الحركة رغم الالتزام بالبرامج العلاجية غير الجراحية لمدة كافية.
- الألم الشديد: ألم مزمن ومهنٍ لا يستجيب للمسكنات، ويؤثر على النوم، ويجعل الأنشطة اليومية صعبة أو مستحيلة.
- تدهور نوعية الحياة: عدم القدرة على المشي، العمل، ممارسة الهوايات، أو الاستمتاع بالحياة بسبب قيود الركبة.
- محدودية الحركة الشديدة: صعوبة في ثني أو فرد الركبة بشكل كامل، مما يعيق الحركة الطبيعية.
- التلف الهيكلي الواضح: صور الأشعة السينية أو الرنين المغناطيسي تظهر تلفاً كبيراً في الغضروف أو العظام، مما يشير إلى أن المفصل قد وصل إلى نهاية عمره الوظيفي.
- تشوهات الركبة: تقوس شديد أو تشوهات أخرى لا يمكن تصحيحها بالوسائل غير الجراحية.
يحرص الأستاذ الدكتور محمد هطيف على شرح جميع الجوانب المتعلقة بالجراحة، بما في ذلك المزايا والمخاطر المحتملة، لمساعدة المريض على اتخاذ القرار الأنسب بناءً على حالته الفردية وأهدافه العلاجية.
كل ما تريد معرفته عن جراحة استبدال مفصل الركبة الصناعي
جراحة استبدال مفصل الركبة الصناعي، والمعروفة طبياً باسم "تقويم مفصل الركبة" (Knee Arthroplasty)، هي إجراء جراحي يهدف إلى استبدال الأجزاء التالفة من مفصل الركبة بمكونات صناعية لتحسين الوظيفة وتخفيف الألم.
- ما هو المفصل الصناعي للركبة؟
المفصل الصناعي للركبة هو جهاز طبي مصنوع بدقة، مصمم لمحاكاة وظيفة المفصل الطبيعي. يتكون عادة من ثلاثة مكونات رئيسية تُزرع في الركبة:
- المكون الفخذي (Femoral Component): عادة ما يكون مصنوعاً من سبيكة معدنية قوية (مثل الكوبالت-الكروم أو التيتانيوم) ويغطي نهاية عظم الفخذ السفلية. يتميز بسطح أملس ومقوس ليتحرك بسلاسة.
- المكون الظنبوبي (Tibial Component): يتكون من جزأين: منصة معدنية مسطحة (عادة من التيتانيوم) تُثبت في الجزء العلوي من عظم الساق، وقطعة بلاستيكية (بولي إيثيلين عالي الكثافة) تُثبت فوق المنصة المعدنية. تعمل هذه القطعة البلاستيكية كسطح أملس يتحرك عليه المكون الفخذي، وتعد بمثابة الغضروف الصناعي.
- المكون الرضفي (Patellar Component): قطعة بلاستيكية صغيرة (بولي إيثيلين) تُثبت على السطح السفلي للرضفة (صابونة الركبة) إذا لزم الأمر. لا يتم استبدال الرضفة في جميع حالات جراحة الركبة.
المواد المستخدمة:
تُصنع المكونات من مواد متطورة ومتوافقة حيوياً مع الجسم (Bio-compatible materials)، مما يقلل من خطر الرفض أو التفاعلات السلبية. تشمل هذه المواد:
* المعادن: سبائك الكوبالت-الكروم، التيتانيوم، أو سبائك النيكل-التيتانيوم.
* البلاستيك الطبي: بولي إيثيلين عالي الكثافة الجزيئية (UHMWPE)، وهو مادة فائقة المتانة والنعومة ومقاومة للتآكل.
* السيراميك: في بعض الحالات النادرة، قد تستخدم مكونات من السيراميك، خاصة للمرضى الذين يعانون من حساسية تجاه بعض المعادن.
طرق التثبيت:
تُثبت المكونات الصناعية في العظم بطريقتين رئيسيتين:
* التثبيت بالأسمنت العظمي (Cemented Fixation): وهو الأكثر شيوعاً، حيث يُستخدم أسمنت عظمي سريع الجفاف لتثبيت المكونات في مكانها على الفور.
* التثبيت غير بالأسمنت (Uncemented Fixation): تتميز بعض المكونات بسطح مسامي يسمح للعظم بالنمو بداخلها والالتئام معها بمرور الوقت، مما يوفر تثبيتاً طبيعياً.
* التثبيت الهجين (Hybrid Fixation): يجمع بين الطريقتين، على سبيل المثال، تثبيت المكون الفخذي بالأسمنت والمكون الظنبوبي دون أسمنت.
- أنواع جراحات استبدال الركبة
هناك عدة أنواع من جراحات استبدال الركبة، يختار الأستاذ الدكتور محمد هطيف الأنسب منها بناءً على مدى التلف وحالة المريض:
-
استبدال كلي لمفصل الركبة (Total Knee Arthroplasty - TKA):
- هو الإجراء الأكثر شيوعاً.
- يتم فيه استبدال أسطح الغضروف التالفة في عظم الفخذ، والساق، والرضفة (إذا لزم الأمر) بمكونات صناعية.
- مناسب للحالات التي تعاني من تلف واسع النطاق في جميع أجزاء المفصل.
- يوفر تخفيفاً جذرياً للألم وتحسناً كبيراً في الوظيفة لمعظم المرضى.
-
استبدال جزئي لمفصل الركبة (Partial Knee Arthroplasty - UKA):
- يتم في هذا الإجراء استبدال جزء واحد فقط من المفصل (عادة الجانب الداخلي أو الخارجي).
- مناسب للمرضى الذين يعانون من تآكل في جزء واحد فقط من الركبة، مع بقاء الأربطة الأخرى وغضاريف الركبة سليمة.
- المزايا: شق جراحي أصغر، فقدان دم أقل، تعافٍ أسرع، وشعور أكثر طبيعية في الركبة.
- المخاطر: قد يتطلب جراحة استبدال كلي في المستقبل إذا حدث تآكل في الأجزاء الأخرى من الركبة.
-
جراحة المراجعة (Revision Knee Arthroplasty):
- تُجرى هذه الجراحة عندما يفشل المفصل الصناعي السابق (بسبب التآكل، الارتخاء، العدوى، أو إصابة).
- إجراء أكثر تعقيداً يتضمن إزالة المفصل الصناعي القديم واستبداله بآخر جديد.
- تتطلب خبرة جراحية كبيرة، وهو مجال يتميز فيه الأستاذ الدكتور محمد هطيف بدقته وخبرته.
-
الاستعداد للجراحة: خطوة بخطوة مع الأستاذ الدكتور محمد هطيف
التحضير الجيد للجراحة يساهم بشكل كبير في نجاحها وسلاسة التعافي. يولي الأستاذ الدكتور محمد هطيف اهتماماً خاصاً لهذه المرحلة:
- التقييم الشامل قبل الجراحة:
- الفحوصات الطبية: يجري الدكتور هطيف سلسلة من الفحوصات الجسدية، تحاليل الدم، تخطيط القلب (ECG)، وأشعة الصدر للتأكد من أن المريض لائق طبياً للجراحة.
- الاستشارات: قد يتم تحويل المريض إلى طبيب القلب أو طبيب التخدير لتقييم المخاطر الصحية وتحديد أفضل خطة تخدير.
- التصوير المتقدم: قد يطلب صور أشعة إضافية (مثل الأشعة المقطعية) للتخطيط الدقيق للجراحة واختيار حجم ونوع المفصل الصناعي المناسب.
- مراجعة الأدوية: يراجع الدكتور هطيف قائمة الأدوية التي يتناولها المريض. قد يُطلب التوقف عن بعض الأدوية (خاصة مميعات الدم مثل الأسبرين أو الوارفارين) قبل الجراحة بأسبوع أو أكثر لتقليل خطر النزيف.
- التخطيط لما بعد الجراحة:
- المنزل: يجب تجهيز المنزل ليكون آمناً ومريحاً بعد الجراحة (إزالة السجاد الذي قد يسبب التعثر، تركيب قضبان الإمساك في الحمام).
- المساعدة: الترتيب لشخص ما للمساعدة في المهام اليومية (الطبخ، التنظيف، التسوق) خلال الأسابيع الأولى بعد العودة إلى المنزل.
- العلاج الطبيعي: يتم وضع خطة مبدئية للعلاج الطبيعي، والذي سيبدأ عادة في المستشفى بعد الجراحة مباشرة.
- الامتناع عن الطعام والشراب: يُطلب من المريض عدم الأكل أو الشرب لعدد معين من الساعات قبل الجراحة (عادة 6-8 ساعات) لتجنب المضاعفات المرتبطة بالتخدير.
يحرص الأستاذ الدكتور محمد هطيف على أن يكون المريض على دراية كاملة بجميع جوانب الجراحة والتعافي، ويقدم إرشادات مفصلة لضمان أفضل النتائج الممكنة.
عملية استبدال مفصل الركبة الصناعي تفاصيل الإجراء
جراحة استبدال مفصل الركبة هي إجراء جراحي كبير يتطلب دقة ومهارة عالية. بفضل خبرته الواسعة واستخدامه لأحدث التقنيات، يضمن الأستاذ الدكتور محمد هطيف أفضل النتائج الممكنة لمرضاه.
-
في يوم الجراحة
-
التخدير: بمجرد دخول غرفة العمليات، يتم تخدير المريض. يمكن أن يكون التخدير إما:
- عام (General Anesthesia): يجعلك نائماً تماماً أثناء الجراحة.
- نصفي/فوق الجافية (Spinal/Epidural Anesthesia): يخدر الجزء السفلي من جسمك، وتبقى مستيقظاً ولكن يمكنك أن تطلب مهدئاً لمساعدتك على الاسترخاء. سيناقش طبيب التخدير معك الخيار الأنسب لحالتك.
-
الشق الجراحي: بعد التخدير وتطهير منطقة الجراحة، يقوم الأستاذ الدكتور محمد هطيف بعمل شق جراحي بطول حوالي 15-20 سم في الجزء الأمامي من الركبة.
-
خطوات الجراحة الرئيسية
تستغرق الجراحة عادة من ساعة إلى ثلاث ساعات، وتتضمن الخطوات التالية:
- كشف المفصل: يتم إزاحة الرضفة (صابونة الركبة) جانباً لكشف مفصل الركبة بالكامل.
- إزالة الغضروف والعظم التالف:
- يستخدم الجراح أدوات دقيقة ومتخصصة (مثل قوالب القطع والمناشير الجراحية) لإزالة الغضروف التالف وأي جزء صغير من العظم تحت الغضروف من نهاية عظم الفخذ وأعلى عظم الساق.
- يتم الحفاظ على أكبر قدر ممكن من العظم السليم.
- تحضير العظام:
- يتم تحضير سطوح العظام المقطوعة لتناسب المكونات الصناعية بدقة.
- يتم استخدام أدوات قياس خاصة لضمان محاذاة المفاصل بشكل صحيح وتوازن الأربطة.
- تركيب المكونات الصناعية:
- المكون الفخذي: يتم تثبيت المكون المعدني على نهاية عظم الفخذ باستخدام الأسمنت العظمي أو تقنية النمو العظمي.
- المكون الظنبوبي: يتم تثبيت المكون المعدني الظنبوبي في الجزء العلوي من عظم الساق، ثم تُوضع قطعة البولي إيثيلين فوقها.
- المكون الرضفي: إذا كان الغضروف التالف على الرضفة، يتم استبدال السطح السفلي للرضفة بقطعة بولي إيثيلين.
- اختبار المفصل الجديد:
- يقوم الجراح بتحريك الركبة الجديدة لاختبار مدى حركتها واستقرارها ومحاذاتها.
- يتم إجراء أي تعديلات ضرورية لضمان أفضل وظيفة للمفصل.
- إغلاق الشق: بعد التأكد من أن المفصل الصناعي يعمل بشكل صحيح، يتم غسل المنطقة الجراحية، وإعادة الرضفة إلى مكانها، ثم تُغلق الطبقات العضلية والجلدية بالغرز أو الدبابيس. قد يُترك أنبوب تصريف مؤقت لتصريف السوائل الزائدة.

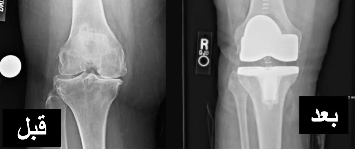
صورة توضيحية: تشريح الركبة والمفصل الصناعي بعد الاستبدال
- التقنيات الحديثة المستخدمة من قبل الأستاذ الدكتور محمد هطيف
يحرص الأستاذ الدكتور محمد هطيف على مواكبة أحدث التطورات في جراحة العظام لتقديم أفضل رعاية لمرضاه. ويستخدم تقنيات حديثة تزيد من دقة الجراحة وتقلل من فترة التعافي:
- الميكروسكوب الجراحي (Microsurgery): على الرغم من أن استبدال الركبة ليس "جراحة مجهرية" بالمعنى التقليدي، إلا أن دقة الأستاذ الدكتور هطيف وخبرته في الجراحات التي تتطلب دقة عالية (كما في العمود الفقري) تنعكس على جودة ودقة كل إجراء يجريه، بما في ذلك جراحات المفاصل.
- مناظير 4K الجراحية الحديثة (4K Arthroscopy): في بعض الحالات، قد تستخدم تقنيات المنظار الدقيقة لتقييم أجزاء معينة من المفصل أو لإجراء بعض الإصلاحات المصاحبة قبل أو بعد التدخل المفتوح، مما يوفر رؤية أوضح وأكثر تفصيلاً بفضل تقنية 4K. هذا يعكس التزام الدكتور هطيف بالتقنيات البصرية المتقدمة.
- تقنيات الجراحة طفيفة التوغل (Minimally Invasive Techniques): حيثما أمكن، يستخدم الدكتور هطيف شقوقاً جراحية أصغر، مما يقلل من تضرر الأنسجة المحيطة، ويؤدي إلى ألم أقل بعد الجراحة، وفقدان دم أقل، وتعافٍ أسرع.
- التخطيط المسبق باستخدام الصور ثلاثية الأبعاد: يمكن أن يساعد استخدام الصور ثلاثية الأبعاد والأدوات الموجهة بالكمبيوتر في التخطيط الدقيق لقطع العظام وموضع المفصل الصناعي لضمان محاذاة مثالية.
بفضل هذه الخبرة والتقنيات، يسعى الأستاذ الدكتور محمد هطيف جاهداً لتحقيق أفضل النتائج الوظيفية والحد من المضاعفات، مما يمهد الطريق لتعافٍ ناجح وعودة سريعة إلى الحياة الطبيعية.
التعافي وإعادة التأهيل بعد جراحة مفصل الركبة دليل شامل
تعتبر مرحلة التعافي وإعادة التأهيل جزءاً لا يتجزأ من نجاح جراحة استبدال مفصل الركبة. الالتزام الصارم بتعليمات الأستاذ الدكتور محمد هطيف وفريق العلاج الطبيعي يضمن استعادة كاملة للحركة والوظيفة.
-
مباشرة بعد الجراحة (المستشفى)
-
إدارة الألم: يبدأ فريق الرعاية الصحية بإدارة الألم فوراً بعد الجراحة باستخدام مسكنات الألم. الهدف هو تقليل الألم لتمكين الحركة المبكرة والبدء في العلاج الطبيعي.
- الحركة المبكرة: يشجع الأستاذ الدكتور محمد هطيف وفريق العلاج الطبيعي المريض على البدء في تحريك الركبة والمشي بمساعدة في غضون 24 ساعة من الجراحة، غالباً باستخدام جهاز المشي أو العكازات. الحركة المبكرة ضرورية لمنع تكون جلطات الدم وتحسين الدورة الدموية، وتقليل التورم، والحفاظ على مدى حركة المفصل الجديد.
- مراقبة المضاعفات: تتم مراقبة المريض عن كثب بحثاً عن أي علامات للعدوى، جلطات الدم، أو مضاعفات أخرى. يتم إعطاء المريض أدوية مضادة للتجلط وربما جوارب ضاغطة للوقاية من الجلطات.
-
مدة الإقامة في المستشفى: عادة ما تتراوح بين يومين إلى أربعة أيام، اعتماداً على تقدم التعافي وحالة المريض.
-
برنامج العلاج الطبيعي المكثف
العلاج الطبيعي هو حجر الزاوية في التعافي الناجح، وهو عملية تستغرق عدة أشهر.
- أهمية العلاج الطبيعي: يساعد على استعادة قوة العضلات، زيادة مدى حركة الركبة، تحسين التوازن والتنسيق، والعودة إلى الأنشطة اليومية.
- تمارين اليوم الأول: تبدأ التمارين الخفيفة في السرير، مثل ثني وفرد الكاحل، وشد عضلات الفخذ.
- تمارين الأسبوع الأول (في المستشفى والمنزل):
- ثني وفرد الركبة: بمساعدة أو بشكل مستقل، للوصول إلى مدى حركة معين.
- تمارين تقوية العضلات: مثل رفع الساق المستقيمة (quadriceps sets) ورفع الساق الخلفية (gluteal sets).
- المشي: ببطء بمساعدة المشاية أو العكازات، مع زيادة المسافة تدريجياً.
- الأسابيع والأشهر التالية:
- زيادة المدى الحركي: تمارين لزيادة قدرة الركبة على الثني والفرد بشكل تدريجي.
- تقوية العضلات: تمارين المقاومة لتقوية عضلات الفخذ، الساق، والأرداف.
- تمارين التوازن والتنسيق: الوقوف على ساق واحدة، المشي على أسطح غير مستوية.
- تمارين وظيفية: صعود ونزول الدرج، الجلوس والوقوف، المشي لمسافات أطول.
-
أهداف العلاج الطبيعي:
- استعادة مدى حركة الركبة بالكامل (أو قريباً من الكامل).
- تقوية العضلات المحيطة بالمفصل الجديد لدعمه.
- تقليل التورم والألم المتبقي.
- استعادة القدرة على المشي والقيام بالأنشطة اليومية بثقة.
-
العودة إلى الأنشطة اليومية والرياضة
-
القيادة: يمكن استئناف القيادة عادة بعد 4-6 أسابيع، عندما يكون المريض قادراً على التحكم في الفرامل والمسرع بأمان دون ألم.
- العمل: تعتمد العودة إلى العمل على طبيعة العمل. قد يعود أصحاب الأعمال المكتبية في غضون بضعة أسابيع، بينما قد يحتاج أصحاب الأعمال اليدوية إلى عدة أشهر.
- الرياضات المسموحة: المشي، السباحة، ركوب الدراجات الثابتة، الجولف (باعتدال).
-
الرياضات الممنوعة: الأنشطة التي تتضمن القفز، الجري، الرياضات التلامسية، أو الأنشطة التي تضع ضغطاً شديداً على الركبة (مثل كرة القدم، كرة السلة، التنس التنافسي، التزلج).
-
نصائح هامة للتعافي طويل الأمد
-
الحفاظ على الوزن الصحي: الوزن الزائد يضع ضغطاً إضافياً على المفصل الصناعي ويقلل من عمره الافتراضي.
- التمارين المنتظمة: الالتزام ببرنامج تمارين خفيف للحفاظ على قوة العضلات ومرونة المفصل.
- المتابعة الدورية: زيارة الأستاذ الدكتور محمد هطيف بانتظام لإجراء الفحوصات الروتينية وصور الأشعة للتأكد من أن المفصل الصناعي يعمل بشكل جيد.
- الحذر من العدوى: في حالة وجود أي عدوى في أي مكان بالجسم، يجب مراجعة الطبيب فوراً، حيث يمكن أن تنتقل البكتيريا إلى المفصل الصناعي وتسبب عدوى خطيرة. قد يوصي الأستاذ الدكتور هطيف بالمضادات الحيوية الوقائية قبل أي إجراءات طبية أو سنية مستقبلية.
تذكر أن رحلة التعافي شخصية وتختلف من مريض لآخر. التزامك وتعاونك مع فريق الأستاذ الدكتور محمد هطيف سيؤدي إلى أفضل النتائج الممكنة.
مزايا ومخاطر استبدال مفصل الركبة الصناعي
مثل أي إجراء جراحي كبير، فإن جراحة استبدال مفصل الركبة الصناعي لها مزايا كبيرة ولكنها تحمل أيضاً بعض المخاطر المحتملة. يحرص الأستاذ الدكتور محمد هطيف على الشفافية التامة في مناقشة كلا الجانبين مع مرضاه.
-
المزايا الرئيسية
-
تخفيف الألم بشكل جذري: هذه هي الفائدة الأكثر أهمية وشيوعاً. يعاني معظم المرضى من انخفاض كبير أو اختفاء تام للألم المزمن الذي كانوا يعانون منه قبل الجراحة.
- تحسين كبير في الحركة والوظيفة: يستعيد المرضى القدرة على المشي، صعود الدرج، وممارسة الأنشطة اليومية التي كانوا يجدونها صعبة أو مستحيلة سابقاً.
- تحسين نوعية الحياة: مع زوال الألم واستعادة القدرة على الحركة، يتمكن المرضى من العودة إلى هواياتهم، العمل، التفاعل الاجتماعي، والاستمتاع بحياة أكثر نشاطاً واستقلالية.
- تصحيح التشوهات: يمكن للجراحة تصحيح تشوهات الركبة، مثل تقوس الساقين أو الركبة المتصالبة، مما يحسن من محاذاة الطرف السفلي.
- متانة المفصل الصناعي: معظم المفاصل الصناعية الحديثة مصممة لتدوم ما بين 15 إلى 20 عاماً أو أكثر، مما يوفر حلاً طويل الأمد للكثيرين.
-
زيادة القدرة على تحمل الأنشطة: بعد التعافي، يمكن للمرضى المشاركة في أنشطة منخفضة التأثير مثل المشي لمسافات طويلة، السباحة، وركوب الدراجات.
-
المخاطر والمضاعفات المحتملة (شفافية طبية)
على الرغم من أن جراحة استبدال مفصل الركبة آمنة وناجحة بشكل عام، إلا أن هناك مخاطر محتملة يجب مناقشتها بصراحة:
- العدوى (Infection): على الرغم من استخدام المضادات الحيوية الوقائية، يمكن أن تحدث العدوى في موقع الجراحة أو حول المفصل الصناعي. العدوى الخطيرة قد تتطلب جراحة إضافية أو حتى إزالة المفصل الصناعي.
- جلطات الدم (Blood Clots): يمكن أن تتكون جلطات في أوردة الساق (الجلطات الوريدية العميقة - DVT) وتنتقل إلى الرئتين (الصمة الرئوية - Pulmonary Embolism)، وهي حالة خطيرة. يتم إعطاء أدوية مضادة للتجلط ويتم تشجيع الحركة المبكرة للوقاية.
- تآكل أو ارتخاء المفصل الصناعي (Loosening or Wear): بمرور الوقت، قد يحدث تآكل في مكونات المفصل الصناعي، خاصة البلاستيكية، أو قد يرتخي المفصل عن العظم، مما قد يتطلب جراحة مراجعة.
- تيبس المفصل (Stiffness): قد لا يستعيد بعض المرضى مدى حركة الركبة الكامل، وقد يشعرون بتيبس. العلاج الطبيعي المكثف ضروري لتقليل هذا الخطر.
- إصابة الأعصاب أو الأوعية الدموية (Nerve or Blood Vessel Damage): خطر نادر ولكنه محتمل أثناء الجراحة قد يؤدي إلى ضعف أو تنميل أو مشاكل في الدورة الدموية.
- الألم المستمر (Persistent Pain): في حالات نادرة جداً، قد يستمر بعض الألم بعد الجراحة، على الرغم من أن السبب قد لا يكون دائماً متعلقاً بالمفصل الصناعي نفسه.
- خلع الرضفة (Patella Dislocation): في بعض الحالات، قد تنخلع صابونة الركبة من مكانها.
- كسور حول المفصل الصناعي (Periprosthetic Fracture): قد تحدث كسور في العظام المحيطة بالمفصل الصناعي، خاصة بعد صدمة أو سقوط.
- رد فعل تحسسي: رد فعل تجاه المواد المستخدمة في المفصل الصناعي، وهو أمر نادر.
يناقش الأستاذ الدكتور محمد هطيف كل هذه المخاطر مع المرضى بصدق وشفافية، ويشرح الإجراءات المتخذة لتقليلها، مما يساعد المريض على اتخاذ قرار مستنير ومريح.
تكلفة جراحة مفصل الركبة الصناعي والعوامل المؤثرة
تعتبر تكلفة جراحة استبدال مفصل الركبة عاملاً مهماً في عملية اتخاذ القرار. تتفاوت التكلفة بشكل كبير بناءً على عدة عوامل، ويحرص الأستاذ الدكتور محمد هطيف على تقديم تقدير واضح وشفاف لمرضاه.
- تفاصيل التكلفة
تتكون التكلفة الإجمالية لجراحة مفصل الركبة من عدة بنود رئيسية:
- تكلفة المفصل الصناعي (Implant Cost): تختلف هذه التكلفة بناءً على نوع المفصل (كلي أو جزئي)، ومادته، وجودة الشركة المصنعة. المفاصل عالية الجودة التي توفرها العلامات التجارية العالمية الموثوقة تكون أغلى ولكنها توفر متانة وأداءً أفضل.
- رسوم الجراح (Surgeon's Fees): تعتمد على خبرة الجراح ومهارته وسمعته. الأستاذ الدكتور محمد هطيف، كأستاذ متخصص في جراحات العظام والمفاصل بخبرة تزيد عن 20 عاماً، يقدم رعاية متخصصة تتناسب مع قيمة خبرته.
- رسوم التخدير (Anesthesia Fees): تكلفة التخدير والإشراف من قبل طبيب التخدير.
- تكاليف المستشفى (Hospital Fees): تشمل الإقامة في المستشفى (غرفة العمليات، غرفة التعافي، غرفة المريض)، الأدوات والمعدات الجراحية، الأدوية والمستلزمات الطبية، والخدمات التمريضية.
- تكاليف الاختبارات والفحوصات: الفحوصات ما قبل الجراحة (أشعة سينية، تحاليل دم، تخطيط قلب) والفحوصات الدورية ما بعد الجراحة.
- العلاج الطبيعي والتأهيل (Physical Therapy and Rehabilitation): جلسات العلاج الطبيعي ضرورية للتعافي، وقد تشمل تكاليفها العلاج في المستشفى ثم في العيادات الخارجية.
- أدوية ما بعد الجراحة: مثل مسكنات الألم ومضادات التجلط.
الجدول 2: العوامل المؤثرة في تكلفة جراحة مفصل الركبة
| العامل | كيف يؤثر على التكلفة؟ |
|---|---|
| نوع الجراحة | استبدال كلي للركبة (Total Knee) أغلى من الاستبدال الجزئي (Partial Knee)، وجراحة المراجعة (Revision) هي الأكثر تكلفة. |
| نوع وجودة المفصل الصناعي | المفاصل ذات الجودة العالية والتصميم المتقدم من الشركات العالمية المرموقة تكون أغلى ولكنها توفر أداءً وعمراً أفضل. |
| خبرة الجراح | الجراحون ذوو الخبرة الطويلة والسمعة المرموقة (مثل الأستاذ الدكتور محمد هطيف) تكون رسومهم أعلى. |
| المستشفى/المركز الطبي | تختلف التكاليف بشكل كبير بين المستشفيات الحكومية والخاصة، وبين المستشفيات ذات التجهيزات المتطورة والموظفين المتخصصين. |
| التقنيات المستخدمة | استخدام التقنيات الحديثة (مثل الجراحة طفيفة التوغل، التوجيه بالكمبيوتر) قد يزيد من التكلفة الأولية. |
| مدة الإقامة في المستشفى | كلما طالت مدة الإقامة، زادت التكاليف الإجمالية. |
| تكاليف العلاج الطبيعي | عدد جلسات العلاج الطبيعي المطلوبة وتكاليفها. |
| الموقع الجغرافي | تختلف التكاليف بين المدن والدول. |
| التأمين الصحي | تغطية التأمين الصحي يمكن أن تقلل بشكل كبير من التكلفة الفعلية التي يتحملها المريض. |
- هل يغطي التأمين الصحي الجراحة؟
في كثير من الحالات، تغطي شركات التأمين الصحي جراحة استبدال مفصل الركبة الصناعي، خاصة إذا كانت تعتبر ضرورة طبية وليست اختيارية. ومع ذلك، تختلف التغطية بشكل كبير بين خطط التأمين المختلفة. يُنصح بالتواصل مع شركة التأمين الخاصة بك مسبقاً لفهم ما إذا كانت الجراحة مشمولة، وما هي نسبة التغطية، والمبالغ التي سيتعين عليك دفعها من جيبك (مثل الخصم أو المشاركة في التكاليف).
يحرص فريق عمل الأستاذ الدكتور محمد هطيف على تقديم المساعدة في هذا الجانب، وتزويد المريض بالتقارير والفواتير اللازمة لتقديمها لشركات التأمين.
قصص نجاح حقيقية وشهادات المرضى
لا شيء يعكس جودة الرعاية والخبرة الجراحية مثل قصص النجاح الحقيقية لمرضى استعادوا حياتهم. يفتخر الأستاذ الدكتور محمد هطيف بسجله الحافل من الحالات الناجحة التي شهدت تحولاً جذرياً في صحتهم وحركتهم.
- شهادات مكتوبة
"لقد عانيت من آلام شديدة في الركبة لأكثر من عشر سنوات، جعلت المشي والقيام بمهامي اليومية مستحيلاً. بعد العديد من العلاجات التحفظية التي لم تجد نفعاً، أوصاني الجميع بزيارة الأستاذ الدكتور محمد هطيف. لم أكن أتخيل أن حياتي ستتغير بهذا الشكل. الجراحة كانت ناجحة تماماً، وبفضل خبرته ودقته، أستطيع الآن المشي لمسافات طويلة دون ألم. الدكتور هطيف ليس مجرد جراح ماهر، بل هو إنسان يقدم رعاية صادقة واهتماماً بكل تفاصيل المريض. أشعر وكأنني ولدت من جديد!"
- أمينة سعيد، 68 عاماً، صنعاء.
"كنت رياضياً نشيطاً، لكن إصابة قديمة في الركبة تطورت إلى خشونة شديدة. لم أكن أتصور أنني سأعود للمشي بثقة، ناهيك عن ممارسة أي نوع من الرياضة. الأستاذ الدكتور محمد هطيف قدم لي خيار المفصل الصناعي للركبة، وشرح لي كل شيء بوضوح وصدق. بفضل تقنياته الحديثة وبرنامج التأهيل الذي أشرف عليه، أستطيع الآن ركوب الدراجة الهوائية والسباحة بانتظام. إنه أفضل طبيب عظام في اليمن بدون منازع، وأنصح به كل من يعاني من مشاكل المفاصل."
- فؤاد عبد الله، 55 عاماً، الحديدة.
"منذ أن بلغت الستينيات، أصبحت آلام ركبتي لا تطاق. كنت أعتمد على عكازين للمشي داخل المنزل. كانت فكرة الجراحة مخيفة، لكن ثقتي في الأستاذ الدكتور محمد هطيف كانت كبيرة بفضل سمعته الطيبة. لقد كانت التجربة بأكملها سلسة، بدءاً من التشخيص الدقيق وصولاً إلى رعاية ما بعد الجراحة. الآن أستطيع الذهاب إلى المسجد يومياً، واللعب مع أحفادي، واستعادة استقلالي. شكراً جزيلاً للدكتور هطيف على إعادته لي الأمل في حياة بلا ألم."
- الحاج أحمد قاسم، 72 عاماً، إب.
- "عودة الأمل" - قصة مريض (مثال متخيل)
كانت السيدة فاطمة، وهي أم لثلاثة أطفال وجدة لخمسة أحفاد، تعيش حياة مليئة بالمعاناة. في الخامسة والستين من عمرها، تحولت آلام ركبتيها المزمنة، والناجمة عن خشونة متقدمة، إلى سجن يقيدها في منزلها. كانت المهمات البسيطة مثل صعود الدرج، أو الوقوف للصلاة، أو حتى اللعب مع أحفادها الصغار، مصدراً للألم والإحباط. جربت كل شيء، من الأدوية إلى حقن الكورتيزون، لكن التحسن كان مؤقتاً وسرعان ما كانت تعود المعاناة.
سمعت فاطمة عن الأستاذ الدكتور محمد هطيف وسمعته كخبير في جراحات المفاصل في صنعاء. زارته بقلب مثقل بالتردد، لكن سرعان ما بددت شفافيته وصدقه الطبي مخاوفها. شرح لها الدكتور هطيف بدقة حالة ركبتيها، وكيف أن المفصل الصناعي هو الحل الأمثل لاستعادة حركتها والتخلص من الألم. لم يبالغ في الوعود، بل قدم لها صورة واقعية للمزايا والمخاطر، مع التركيز على أهمية التزامها بالعلاج الطبيعي.
خضعت السيدة فاطمة لجراحة استبدال كلي لمفصل الركبة تحت إشراف الأستاذ الدكتور محمد هطيف. بفضل خبرته الفائقة واستخدامه للتقنيات الحديثة، مرت الجراحة بسلاسة. بدأت فاطمة برنامج العلاج الطبيعي في اليوم التالي، وشعرت بالألم يتلاشى تدريجياً ليحل محله شعور بالتحرر والقدرة على الحركة.
بعد بضعة أشهر من الالتزام الشديد ببرنامج التأهيل، عادت السيدة فاطمة إلى حياتها الطبيعية. أصبحت تصعد الدرج دون ألم، وتصلي وهي واقفة، والأهم من ذلك، تستطيع اللعب مع أحفادها ونسيان سنوات الألم. إنها الآن تتجول في حديقتها، وتذهب في نزهات مع عائلتها، وتشارك بنشاط في كل جانب من جوانب حياتها.
بالنسبة للسيدة فاطمة، لم تكن الجراحة مجرد إجراء طبي، بل كانت "عودة للأمل" أهداها إياها الأستاذ الدكتور محمد هطيف، الذي لا يزال يشيد بخبرته واهتمامه اللامتناهي بالمرضى.
أسئلة شائعة حول المفصل الصناعي للركبة
لكي تكون عملية اتخاذ قرارك مستنيرة قدر الإمكان، جمعنا هنا بعض الأسئلة الشائعة التي يطرحها المرضى على الأستاذ الدكتور محمد هطيف.
-
1. كم يستغرق التعافي الكامل بعد جراحة مفصل الركبة؟
يختلف التعافي من شخص لآخر. بشكل عام، يتمكن معظم المرضى من العودة إلى الأنشطة اليومية الخفيفة في غضون 3 إلى 6 أسابيع. أما التعافي الكامل لاستعادة أقصى قوة ووظيفة قد يستغرق من 6 أشهر إلى سنة كاملة. الالتزام ببرنامج العلاج الطبيعي أمر حاسم. -
2. هل سأشعر بألم بعد الجراحة؟ وكيف تتم إدارته؟
نعم، من الطبيعي الشعور ببعض الألم والتورم بعد الجراحة. سيوفر لك الأستاذ الدكتور محمد هطيف وفريقه خطة شاملة لإدارة الألم، تتضمن مسكنات قوية في الأيام الأولى، ثم تخفيفها تدريجياً. الهدف هو التحكم في الألم لتمكينك من البدء في العلاج الطبيعي والحركة المبكرة. -
3. هل سأستطيع ممارسة الرياضة بعد الجراحة؟
بعد التعافي الكامل، يمكنك ممارسة العديد من الرياضات منخفضة التأثير مثل المشي، السباحة، ركوب الدراجات الثابتة، والجولف. ومع ذلك، يُنصح بتجنب الرياضات عالية التأثير التي تضع ضغطاً شديداً على الركبة مثل الجري، القفز، الرياضات التلامسية، أو التنس التنافسي، للحفاظ على المفصل الصناعي لأطول فترة ممكنة. -
4. ما هو العمر الافتراضي المتوقع للمفصل الصناعي للركبة؟
بفضل التقدم في المواد وتقنيات الجراحة، تدوم معظم المفاصل الصناعية الحديثة بين 15 إلى 20 عاماً أو أكثر لدى الغالبية العظمى من المرضى. عوامل مثل مستوى النشاط، الوزن، وجودة المفصل الصناعي تلعب دوراً في عمره الافتراضي. -
5. هل المفصل الصناعي يسبب إنذارات في المطارات؟
نعم، قد تتسبب المكونات المعدنية للمفصل الصناعي في إطلاق أجهزة الكشف عن المعادن في المطارات. يُنصح بإبلاغ موظفي الأمن بأن لديك مفصلاً صناعياً للركبة قبل المرور عبر الجهاز، وقد تحتاج إلى إظهار بطاقة طبية أو تقرير جراحي يثبت ذلك. -
6. هل هناك بدائل للمفصل الصناعي للركبة إذا لم أكن أرغب في الجراحة؟
نعم، هناك العديد من الخيارات العلاجية التحفظية التي يجب استكشافها أولاً، مثل العلاج الطبيعي، الأدوية (مسكنات، مضادات التهاب)، حقن المفصل (كورتيزون، حمض الهيالورونيك، PRP)، فقدان الوزن، وتعديل نمط الحياة. ومع ذلك، إذا كان التلف كبيراً والألم شديداً، فقد لا توفر هذه البدائل راحة دائمة. -
7. متى يجب أن أفكر في جراحة المراجعة؟
جراحة المراجعة تصبح ضرورية إذا فشل المفصل الصناعي الأصلي، إما بسبب تآكل المكونات، ارتخاء المفصل عن العظم، عدوى، أو تعرضه لكسر. يتم تحديد الحاجة لجراحة المراجعة من خلال الفحص السريري، الأشعة، وتقييم الأستاذ الدكتور محمد هطيف لحالتك. -
8. ما هي نسبة نجاح عملية استبدال مفصل الركبة؟
تعتبر جراحة استبدال مفصل الركبة من أنجح العمليات الجراحية في الطب الحديث، حيث تتجاوز نسبة النجاح في تخفيف الألم وتحسين الوظيفة 90-95% لدى معظم المرضى. -
9. هل يمكنني إجراء جراحة للركبتين في نفس الوقت؟
في بعض الحالات النادرة، قد يوصي الأستاذ الدكتور محمد هطيف بإجراء جراحة استبدال للركبتين في نفس الوقت (ثنائي الجانب). ومع ذلك، فإن هذا الخيار ليس مناسباً للجميع، ويحمل مخاطر أعلى، ويتطلب فترة تعافٍ أكثر صعوبة. يتم اتخاذ هذا القرار بناءً على الصحة العامة للمريض، عمره، ومدى الضرر في الركبتين. -
10. كيف أختار الجراح المناسب لجراحة مفصل الركبة؟
يعد اختيار الجراح الكفء والموثوق به أمراً بالغ الأهمية لنجاح الجراحة. ابحث عن جراح لديه: - خبرة واسعة: سنوات عديدة في إجراء جراحات المفاصل، وعدد كبير من الحالات الناجحة.
- تخصص: جراح عظام متخصص في جراحات المفاصل.
- اعتمادات أكاديمية ومهنية: مثل الأستاذية في الجامعات والشهادات العليا.
- استخدام تقنيات حديثة: لضمان أفضل النتائج بأقل مضاعفات.
- الصدق الطبي والشفافية: يوضح لك جميع الخيارات، المزايا، والمخاطر.
- سمعة طيبة: شهادات إيجابية من المرضى السابقين.
في صنعاء واليمن، يعد الأستاذ الدكتور محمد هطيف الخيار الأمثل، حيث يجمع بين كل هذه المعايير، مقدماً خبرة تفوق 20 عاماً، ومؤهلات أكاديمية مرموقة، والتزاماً لا يتزعزع بأحدث التقنيات والصدق الطبي.
معايير اختيار جراح مفصل الركبة
عندما يتعلق الأمر بصحتك وحركتك، فإن اختيار الجراح المناسب هو أهم قرار تتخذه. الأستاذ الدكتور محمد هطيف يقدم مجموعة فريدة من المزايا التي تجعله الخيار الأول لجراحات مفصل الركبة في صنعاء واليمن:
- خبرة تفوق 20 عاماً: الأستاذ الدكتور محمد هطيف يمتلك عقوداً من الخبرة في جراحات العظام والمفاصل والعمود الفقري، مما يمنحه فهماً عميقاً للتشريح والتعقيدات الجراحية. هذه الخبرة الطويلة تترجم إلى دقة جراحية فائقة ونتائج ممتازة.
- أستاذ دكتور في جامعة صنعاء: يمنحه هذا اللقب الأكاديمي المرموق مكانة رفيعة في المجتمع الطبي، ويعكس التزامه بالبحث العلمي والتطوير، مما يضمن أنك تحصل على رعاية تستند إلى أحدث المعارف والممارسات.
- استخدام أحدث التقنيات العالمية: يحرص الدكتور هطيف على دمج التقنيات الأكثر تقدماً في ممارساته، بما في ذلك الميكروسكوب الجراحي، مناظير 4K الحديثة، وأساليب المفاصل الصناعية المتقدمة. هذه التقنيات تساهم في تحقيق نتائج أفضل، تقليل الألم بعد الجراحة، وتسريع عملية التعافي.
- الالتزام بالصدق الطبي والشفافية: يضع الأستاذ الدكتور محمد هطيف مصلحة المريض فوق كل اعتبار. سيشرح لك بوضوح جميع الخيارات المتاحة، المزايا والمخاطر المحتملة لكل منها، ويساعدك على اتخاذ قرار مستنير ومريح لك، دون ضغط أو مبالغة.
- سجل حافل من قصص النجاح: مئات المرضى في صنعاء واليمن استعادوا حركتهم وحياتهم الطبيعية بفضل رعاية وخبرة الأستاذ الدكتور محمد هطيف، والشهادات السابقة هي خير دليل على ذلك.
- فريق طبي مؤهل ورعاية متكاملة: يعمل الدكتور هطيف مع فريق طبي وتمريضي متكامل، يضمن لك رعاية شاملة قبل الجراحة وأثناءها وبعدها، مع متابعة دقيقة لكل تفاصيل تعافيك.
مع الأستاذ الدكتور محمد هطيف، أنت لست مجرد حالة طبية؛ أنت شخص يستحق أفضل رعاية ممكنة، وهو ملتزم بتقديمها لك. لا تدع آلام الركبة تحد من حياتك أكثر من ذلك. تواصل اليوم لتحديد موعد استشارة وتقييم حالتك، واتخذ الخطوة الأولى نحو حياة خالية من الألم ومليئة بالحركة.
ألم الكتف وتقييد حركته ليس قدراً محتوماً! التشخيص الدقيق والعلاج المتخصص، خاصة باستخدام جراحات المنظار المتقدمة، يمكن أن يعيد لك كامل وظيفة كتفك وحريتك في الحركة. لا تدع الألم يسيطر على حياتك.
للحصول على استشارة دقيقة وخطة علاجية مخصصة لآلام وإصابات الكتف، تواصل فوراً مع مركز البروفيسور محمد هطيف:
الأستاذ الدكتور محمد هطيف - أفضل دكتور عظام في صنعاء، وخبير في جراحات الكتف بالمنظار.. نلتزم بإعادتك لحياة خالية من الألم وذراع قوية ووظيفية.
🔗 اقرأ الدليل الشامل: البروفيسور محمد هطيف: افضل دكتور عظام بصنعاء بخبرة عالمية 2026