الخلاصة الطبية السريعة: يُعدّ هذا الدليل مرجعاً متكاملاً لأمراض وإصابات اليد والمعصم، بدءاً من التشخيص الدقيق للكسور المعقدة وتمزقات الأوتار وصولاً إلى التدخلات الجراحية المتقدمة كترميم الأربطة وتثبيت الكسور، مع التركيز على إعادة التأهيل الفعّالة. يقدم الأستاذ الدكتور محمد هطيف في صنعاء خبرته الرائدة لضمان أفضل النتائج للمرضى.
تُعد اليد والمعصم من أكثر أجزاء الجسم تعقيداً وحيوية، فهما يلعبان دوراً محورياً في معظم أنشطتنا اليومية. ولذلك، فإن أي إصابة أو مرض يؤثر عليهما يمكن أن يعيق بشكل كبير جودة الحياة. في هذا الدليل الشامل، يقدم لكم الأستاذ الدكتور محمد هطيف، أحد أبرز خبراء جراحة العظام في صنعاء واليمن، رؤى عميقة ومعلومات مفصلة حول مجموعة واسعة من أمراض وإصابات اليد والمعصم، بدءاً من التشخيص الدقيق وصولاً إلى أحدث خيارات العلاج والتعافي، مؤكداً على أهمية الرعاية المتخصصة لضمان أفضل النتائج الوظيفية.

مقدمة شاملة حول أمراض وإصابات اليد والمعصم
تتنوع أمراض وإصابات اليد والمعصم بشكل كبير، وتشمل كل ما يمكن أن يصيب العظام، المفاصل، الأوتار، الأربطة، الأعصاب، والأوعية الدموية في هذه المنطقة الحيوية. من الكسور البسيطة إلى الحالات المعقدة مثل التهابات المفاصل المزمنة أو متلازمات الانضغاط العصبي، تتطلب كل حالة فهماً دقيقاً وتشخيصاً متخصصاً. إن التداخل بين هذه الهياكل يجعل أي مشكلة في جزء واحد تؤثر على الأجزاء الأخرى، مما يستدعي نهجاً علاجياً متكاملاً. يسعى هذا الدليل إلى تبسيط هذه المفاهيم المعقدة وتقديمها بطريقة واضحة ومفهومة للمرضى، مع تسليط الضوء على الدور الحيوي للتشخيص المبكر والتدخل العلاجي المناسب. يؤكد الأستاذ الدكتور محمد هطيف على أن فهم المريض لحالته هو الخطوة الأولى نحو الشفاء الفعال والعودة إلى الحياة الطبيعية.

التشريح المبسط لفهم المشكلة
لفهم أمراض وإصابات اليد والمعصم، من الضروري إلقاء نظرة مبسطة على تشريح هذه المنطقة المعقدة. تتكون اليد والمعصم من شبكة معقدة من العظام، المفاصل، الأربطة، الأوتار، الأعصاب، والأوعية الدموية التي تعمل بتناغم لتمكين مجموعة واسعة من الحركات الدقيقة والقوية.
- العظام: يتكون المعصم من 8 عظام رسغية صغيرة، بالإضافة إلى عظمي الزند والكعبرة في الساعد. تتصل هذه العظام بخمسة عظام مشطية في اليد، والتي تتصل بدورها بعظام السلاميات في الأصابع والإبهام. كل إصبع يتكون من ثلاث سلاميات (قريبة ومتوسطة وبعيدة)، باستثناء الإبهام الذي يحتوي على سلاميتين فقط.
- المفاصل: تشمل المفاصل الرئيسية في اليد والمعصم:
- المفصل الكعبري الرسغي: يربط الكعبرة بالعظام الرسغية، وهو مفصل رئيسي لحركة المعصم.
- المفاصل بين الرسغية: تربط العظام الرسغية ببعضها البعض.
- المفاصل الرسغية المشطية (CMC): تربط العظام الرسغية بالعظام المشطية، وهي حيوية لحركة الإبهام والقبضة.
- المفاصل المشطية السلامية (MCP): تربط العظام المشطية بالسلاميات القريبة للأصابع.
- المفاصل بين السلامية (PIP و DIP): تربط السلاميات ببعضها البعض داخل كل إصبع.
- الأربطة: هي هياكل نسيج ضام قوية تربط العظام ببعضها البعض وتوفر الثبات للمفاصل. على سبيل المثال، الرباط الهلالي الزورقي (Scapholunate ligament) هو رباط رئيسي يحافظ على استقرار المفصل بين عظمي الزورقي والهلالي في الرسغ. وتلعب الأربطة الظهرية الشعاعية الرسغية (Dorsal radiocarpal ligament) والرباط بين العظام الرسغية الظهرية (Dorsal intercarpal ligament) أدواراً مهمة في استقرار الرسغ.
- الأوتار: تربط العضلات بالعظام وتسمح بالحركة. لدينا أوتار قابضة تسمح بثني الأصابع والإبهام (مثل وتر العضلة المثنية العميقة للأصابع FDP ووتر العضلة المثنية الطويلة للإبهام FPL)، وأوتار باسطة تسمح بمد الأصابع والإبهام (مثل وتر العضلة الباسطة الطويلة للإبهام EPL).
- الأعصاب: توفر الإحساس والحركة لليد والمعصم. الأعصاب الرئيسية هي العصب المتوسط (Median nerve)، العصب الزندي (Ulnar nerve)، والعصب الكعبري (Radial nerve).
- الأوعية الدموية: تضمن وصول الدم المحمل بالأكسجين والمغذيات إلى جميع أنسجة اليد والمعصم.
فهم هذه المكونات يوضح لماذا تتطلب أي إصابة في اليد والمعصم خبرة جراح عظام متخصص مثل الأستاذ الدكتور محمد هطيف، الذي يمتلك المعرفة العميقة بهذا التشريح المعقد لتقديم أفضل رعاية.

الأسباب وعوامل الخطر
تتنوع أسباب وعوامل خطر أمراض وإصابات اليد والمعصم بشكل كبير، وتشمل مجموعة من العوامل الحادة والمزمنة، البيئية والوراثية. يعد فهم هذه العوامل أمراً حيوياً للوقاية والتشخيص المبكر والعلاج الفعال. يشدد الأستاذ الدكتور محمد هطيف على أهمية الوعي بهذه العوامل لتقليل المخاطر.
الأسباب الرئيسية:
-
الإصابات الرضحية (Traumatic Injuries):
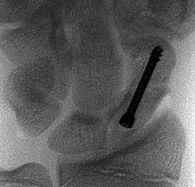
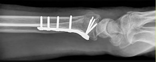
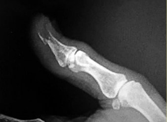
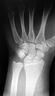
- الكسور: تُعد كسور عظام اليد والمعصم من الأسباب الشائعة للألم والخلل الوظيفي. تتضمن كسور السلاميات، العظام المشطية، عظام الرسغ (مثل كسر العظم الزورقي)، وكسور الكعبرة البعيدة (Distal Radius Fractures). قد تحدث هذه الكسور نتيجة السقوط على يد ممدودة، الإصابات الرياضية، أو حوادث السيارات.
- الخلوع: خلع المفاصل، مثل خلع المفصل المشطي السلامي (MCP) أو المفصل بين السلامي القريب (PIP)، يمكن أن يؤدي إلى ألم شديد وفقدان الوظيفة.
- تمزقات الأوتار والأربطة: مثل تمزق وتر العضلة المثنية العميقة للأصابع (FDP) المعروف بإصبع الجيرسي (Jersey Finger)، أو تمزق الأربطة في المعصم مثل الرباط الهلالي الزورقي (Scapholunate Ligament) الذي يؤدي إلى عدم استقرار الرسغ.
- إصابات السحق: تحدث نتيجة تعرض اليد لقوة ضغط شديدة، وقد تؤدي إلى متلازمة الحجرات (Compartment Syndrome) التي تتطلب تدخلاً جراحياً عاجلاً.
- الجروح: الجروح العميقة قد تؤدي إلى قطع الأعصاب أو الأوتار أو الأوعية الدموية.
- إصابات الأعصاب: مثل إصابة العصب الزندي أو المتوسط أو الكعبري نتيجة الرضوض المباشرة أو الانضغاط.
-
متلازمات الانضغاط العصبي (Nerve Compression Syndromes):
- متلازمة النفق الرسغي (Carpal Tunnel Syndrome): انضغاط العصب المتوسط في النفق الرسغي، مما يسبب خدراناً وضعفاً في الإبهام والسبابة والوسطى.
- متلازمة النفق الزندي (Cubital Tunnel Syndrome): انضغاط العصب الزندي عند الكوع، مما يؤثر على الإحساس والقوة في الخنصر والبنصر.
- متلازمة نفق غويون (Guyon's Canal Syndrome): انضغاط العصب الزندي في الرسغ، مما يسبب أعراضاً مشابهة لمتلازمة النفق الزندي ولكن دون تأثير على الإحساس في ظهر اليد.
- متلازمة النفق الكعبري (Radial Tunnel Syndrome): انضغاط العصب الكعبري أو أحد فروعه في الساعد، مما يسبب ألماً عميقاً في الساعد.
-
الأمراض التنكسية والتهابات المفاصل (Degenerative and Inflammatory Arthritis):
- التهاب المفاصل التنكسي (Osteoarthritis): تآكل الغضروف المفصلي، شائع في مفصل الإبهام الرسغي المشطي (CMC) ومفاصل الأصابع بين السلامية (PIP و DIP).
- التهاب المفاصل الروماتويدي (Rheumatoid Arthritis): مرض مناعي ذاتي يسبب التهاباً مزمناً في المفاصل، مما يؤدي إلى تشوهات وألم شديد، خاصة في مفاصل MCP و PIP.
- مرض كينبوك (Kienböck's Disease): تنخر العظم الهلالي الوعائي (Avascular Necrosis of the Lunate)، وهو نقص في إمداد الدم للعظم الهلالي، مما يؤدي إلى انهياره وتدهور المفصل.
-
الأورام والآفات (Tumors and Lesions):
- الأورام الحميدة: مثل الأورام الغضروفية (Enchondromas) التي تضعف العظام وتجعلها عرضة للكسور المرضية.
- الخراجات العقدية (Ganglion Cysts): أكياس مملوءة بسائل تظهر عادة حول المفاصل والأوتار.
- الأورام الخبيثة: مثل سرطان الخلايا الحرشفية (Squamous Cell Carcinoma) الذي قد يصيب أطراف الأصابع.
-
الأمراض الوراثية أو المكتسبة:
- تقلص دوبويتران (Dupuytren's Contracture): حالة تؤدي إلى تليف الأنسجة تحت الجلد في راحة اليد والأصابع، مما يسبب انثناء الأصابع بشكل دائم.
- الشلل الدماغي (Cerebral Palsy): قد يؤدي إلى تشوهات في وضعية الساعد واليد، مثل تشوه الكب (Pronation Deformity).
عوامل الخطر:
| عوامل الخطر القابلة للتعديل | عوامل الخطر غير القابلة للتعديل |
|---|---|
| التدخين: يقلل من تدفق الدم ويؤثر سلباً على التئام الكسور والأنسجة. | السن: تزداد مخاطر الإصابات والأمراض التنكسية مع التقدم في العمر. |
| المهنة والأنشطة المتكررة: تزيد من خطر الإصابات الإجهادية (RSI) مثل متلازمة النفق الرسغي أو التهاب الأوتار. | الجنس: بعض الحالات أكثر شيوعاً في جنس معين (مثلاً، متلازمة النفق الرسغي أكثر شيوعاً لدى النساء). |
| الرياضات عالية التأثير: تزيد من خطر الكسور، الخلوع، وتمزقات الأربطة (مثل الجمباز، كرة السلة، الرياضات القتالية). | الوراثة: تلعب دوراً في بعض الأمراض مثل تقلص دوبويتران والتهاب المفاصل الروماتويدي. |
| التحكم في الأمراض المزمنة: مثل مرض السكري الذي يزيد من خطر التهابات اليد وضعف الأعصاب. | التركيب التشريحي: الاختلافات الفردية في تشريح العظام والأربطة يمكن أن تزيد من قابلية الإصابة. |
| الوزن الزائد: قد يزيد من الضغط على المفاصل والأعصاب في بعض الحالات. | الحالات الطبية الموجودة مسبقاً: مثل أمراض المناعة الذاتية التي تزيد من خطر التهاب المفاصل. |
| الوضعيات الخاطئة: في العمل أو أثناء استخدام الأجهزة الإلكترونية. |
يؤكد الأستاذ الدكتور محمد هطيف أن فهم هذه الأسباب وعوامل الخطر هو المفتاح للوقاية والتدخل المبكر، مما يقلل من احتمالية تفاقم الحالات ويحسن من فرص التعافي الكامل.

الأعراض والعلامات التحذيرية
تتنوع الأعراض والعلامات التحذيرية لأمراض وإصابات اليد والمعصم بشكل كبير بناءً على طبيعة المشكلة وموقعها. من الضروري الانتباه لهذه العلامات والبحث عن الرعاية الطبية المتخصصة مبكراً، خاصة وأن التدخل المبكر غالباً ما يحسن النتائج بشكل كبير. يقدم الأستاذ الدكتور محمد هطيف قائمة بأبرز الأعراض التي يجب عدم تجاهلها:
-
الألم (Pain):
- ألم حاد ومفاجئ: غالباً ما يشير إلى كسر، خلع، أو تمزق حاد في الأوتار أو الأربطة.
- ألم مزمن ومستمر: قد يدل على التهاب مفاصل (تنكسي أو روماتويدي)، متلازمات انضغاط عصبي، أو عدم التئام كسر قديم (مثل عدم التئام العظم الزورقي).
- ألم مع الحركة: يشير عادة إلى مشكلة في المفاصل أو الأوتار.
- ألم عند اللمس: قد يكون علامة على التهاب موضعي، كدمة، أو كسر.
- ألم عميق في الساعد: قد يشير إلى متلازمة النفق الكعبري.
-
الخدران والتنميل (Numbness and Tingling):
- خدران في الإبهام، السبابة، والوسطى: علامة كلاسيكية لمتلازمة النفق الرسغي (انضغاط العصب المتوسط).
- خدران في الخنصر والبنصر (الجانب الزندي): يشير إلى انضغاط العصب الزندي، إما عند الكوع (متلازمة النفق الزندي) أو في الرسغ (متلازمة نفق غويون).
- خدران في ظهر اليد (الجانب الزندي): يشير تحديداً إلى انضغاط العصب الزندي عند الكوع، حيث يتفرع العصب الجلدي الظهري الزندي قبل نفق غويون.
-
الضعف وفقدان القوة (Weakness and Loss of Strength):
- صعوبة في الإمساك بالأشياء (ضعف القبضة): شائع في العديد من حالات اليد والمعصم، بما في ذلك التهاب المفاصل، كسور الرسغ، وإصابات الأوتار.
- صعوبة في ثني الأصابع (خاصة السلامية البعيدة): قد يشير إلى تمزق وتر العضلة المثنية العميقة للأصابع (FDP).
- صعوبة في مد الإبهام: قد يدل على تمزق وتر العضلة الباسطة الطويلة للإبهام (EPL).
- ضعف في عضلات اليد الصغيرة (Intrinsics): علامة متقدمة لانضغاط العصب الزندي، مما يؤثر على دقة الحركات.
- صعوبة في مد المفاصل المشطية السلامية (MCP): قد يشير إلى إصابة في الأربطة السهمية (Sagittal Band) أو شلل العصب بين العظمين الخلفي (PIN Palsy).
-
التورم والكدمات (Swelling and Bruising):
- تورم مفاجئ بعد إصابة: يشير إلى نزيف داخلي، كسر، أو التهاب حاد.
- تورم مزمن: قد يكون مصاحباً لالتهاب المفاصل، الأورام، أو متلازمة الألم الإقليمية المعقدة (CRPS).
- كدمات: علامة على نزيف تحت الجلد، غالباً ما تتبع الرضوض.
-
القيود في الحركة (Limited Range of Motion):
- صعوبة في ثني أو مد المفصل بالكامل: شائع في حالات التهاب المفاصل، بعد الكسور، أو بسبب تقلصات الأنسجة (مثل تقلص دوبويتران).
- تيبس اليد أو الأصابع: قد يحدث بعد الإصابات الشديدة أو متلازمة الحجرات.
- تشوه في وضعية الأصابع أو الرسغ: مثل تشوه الرقبة البجعية (Swan-neck deformity) أو تشوه الأزرار (Boutonniere deformity) في التهاب المفاصل الروماتويدي أو بعد إصابات الأوتار.
-
النقرات أو الطقطقة (Clicking or Popping):
- صوت طقطقة مع الألم في الرسغ: قد يشير إلى عدم استقرار في مفاصل الرسغ أو خلع وتر العضلة الباسطة الرسغية الزندية (ECU tendon dislocation).
-
تغيرات في الجلد أو درجة الحرارة (Skin or Temperature Changes):
- تغير لون الجلد (احمرار، شحوب، زرقة): قد يشير إلى مشاكل في الدورة الدموية أو التهابات خطيرة (مثل التهاب اللفافة الناخر).
- تغير في درجة حرارة الجلد (دفء أو برودة): أيضاً علامة على مشاكل الدورة الدموية أو الالتهاب.
- تغيرات في التعرق أو نمو الشعر: قد تكون جزءاً من متلازمة الألم الإقليمية المعقدة (CRPS).
يؤكد الأستاذ الدكتور محمد هطيف أن أي من هذه الأعراض، خاصة إذا كانت مستمرة أو تتفاقم، تتطلب تقييماً طبياً فورياً. فالتشخيص المبكر والعلاج المناسب هما أساس الحفاظ على وظيفة اليد والمعصم وتجنب المضاعفات طويلة الأمد.

طرق التشخيص الدقيقة
يعتمد التشخيص الدقيق لأمراض وإصابات اليد والمعصم على نهج شامل يجمع بين التاريخ المرضي المفصل، الفحص السريري الدقيق، ومجموعة متنوعة من الفحوصات التصويرية والكهربائية. يولي الأستاذ الدكتور محمد هطيف أهمية قصوى للتشخيص الدقيق كركيزة أساسية لوضع خطة علاجية ناجحة.
-
التاريخ المرضي والفحص السريري (History Taking and Clinical Examination):
- التاريخ المرضي: يبدأ الأستاذ الدكتور محمد هطيف بسؤال المريض عن طبيعة الأعراض (الألم، الخدران، الضعف)، متى بدأت، ما الذي يزيدها أو يخففها، أي إصابات سابقة، التاريخ الطبي العام، والأدوية التي يتناولها. يتم الاستفسار عن تفاصيل دقيقة للإصابة، مثل كيفية حدوثها (آلية الإصابة)، وما إذا كان هناك صوت طقطقة أو تمزق لحظة الإصابة.
- الفحص السريري: يشمل فحص اليد والمعصم بصرياً بحثاً عن أي تورم، كدمات، تشوهات، أو تغيرات جلدية. يتم تقييم مدى الحركة النشطة والسلبية للمفاصل، وقوة العضلات، والإحساس في مناطق تغذية الأعصاب المختلفة. يتم إجراء اختبارات خاصة لتقييم استقرار الأربطة، وظيفة الأوتار، ووجود انضغاط عصبي (مثل اختبار تينيل Tinel's test وفالين Phalen's test لمتلازمة النفق الرسغي). يتم تقييم وجود علامات مثل "إشارة المفتاح البيانو" (Piano Key Sign) التي تشير إلى عدم استقرار المفصل الكعبري الزندي البعيد (DRUJ)
، أو "علامة OK المسطحة" (Flattened OK sign) في شلل العصب بين العظمين الأمامي (AIN palsy)
، أو "علامة فريمنت" (Froment’s sign) في اعتلال العصب الزندي
.
-
الفحوصات التصويرية (Imaging Studies):
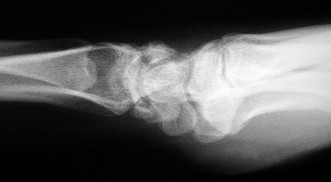
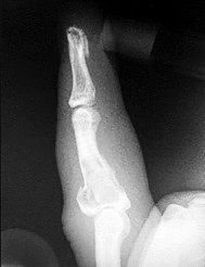
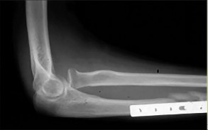
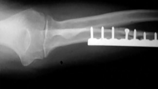
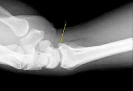
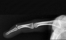
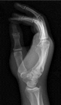
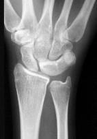
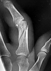
- الأشعة السينية (X-rays): هي الخطوة الأولى في تقييم الكسور، الخلوع، وتغيرات التهاب المفاصل. تساعد في تحديد مدى تدهور العظام والمسافات المفصلية. على سبيل المثال، تُظهر صور الأشعة السينية كسور السلاميات
أو كسور قاعدة العظم المشطي الخامس
، بالإضافة إلى علامات مثل "الدمعة الشعاعية" (Radiographic Teardrop) في الرسغ التي تمثل الزاوية الزندية الراحية الحرجة للكعبرة البعيدة
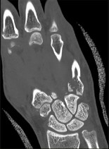
. - الأشعة المقطعية (CT Scan): توفر صوراً تفصيلية ثلاثية الأبعاد للعظام، وهي مفيدة جداً لتقييم الكسور المعقدة، مثل كسور العظم الخطافي (Hamate Hook Fracture) التي قد لا تظهر في الأشعة السينية العادية
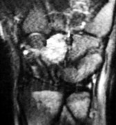
، أو لتقييم مدى تدهور العظم في حالات مثل مرض كينبوك. - التصوير بالرنين المغناطيسي (MRI): ممتاز لتقييم الأنسجة الرخوة مثل الأربطة، الأوتار، الأعصاب، والعضلات. يكشف عن التمزقات،
- الأشعة السينية (X-rays): هي الخطوة الأولى في تقييم الكسور، الخلوع، وتغيرات التهاب المفاصل. تساعد في تحديد مدى تدهور العظام والمسافات المفصلية. على سبيل المثال، تُظهر صور الأشعة السينية كسور السلاميات

















































































آلام العظام والمفاصل المزمنة ليس قدراً محتوماً! التشخيص الدقيق والعلاج المتخصص يمكن أن يعيد لك كامل وظيفتك وحريتك في الحركة بدون ألم.
للحصول على استشارة دقيقة وخطة علاجية مخصصة لحالتك، تواصل فوراً مع مركز الأستاذ الدكتور محمد هطيف:
الأستاذ الدكتور محمد هطيف - أفضل دكتور عظام في صنعاء، وخبير في جراحات العظام والمفاصل المتقدمة.
🔗 اقرأ الدليل الشامل: أفضل دكتور عظام في صنعاء لعلاج الكسور المعقدة - د. محمد هطيف