خلع الرسغ المحيط بالعظم الهلالي: دليلك الشامل لاستعادة حركة يدك

الخلاصة الطبية
خلع الرسغ المحيط بالعظم الهلالي إصابة خطيرة في الرسغ تحدث عند انزلاق عظام الرسغ من مواضعها الطبيعية حول العظم الهلالي. يتطلب العلاج تدخلاً طبياً عاجلاً، غالباً جراحياً، لإعادة العظام لمكانها وتثبيتها، مما يضمن استعادة وظيفة الرسغ وتجنب المضاعفات طويلة الأمد.
إجابة سريعة (الخلاصة): خلع الرسغ المحيط بالعظم الهلالي إصابة خطيرة في الرسغ تحدث عند انزلاق عظام الرسغ من مواضعها الطبيعية حول العظم الهلالي. يتطلب العلاج تدخلاً طبياً عاجلاً، غالباً جراحياً، لإعادة العظام لمكانها وتثبيتها، مما يضمن استعادة وظيفة الرسغ وتجنب المضاعفات طويلة الأمد.
خلع الرسغ المحيط بالعظم الهلالي دليل الشفاء واستعادة الحركة
إصابات الرسغ ليست مجرد آلام عابرة، بل قد تكون مؤشراً على حالات خطيرة تتطلب تدخلاً طبياً فورياً. من بين هذه الإصابات المعقدة، يأتي "خلع الرسغ المحيط بالعظم الهلالي" كواحدة من التحديات التي تواجه الأطباء والمرضى على حد سواء. هذه الإصابة، التي قد تبدو غامضة للوهلة الأولى، تؤثر بشكل كبير على قدرة يدك على الحركة والأداء الطبيعي، مما يجعل الأنشطة اليومية البسيطة أمراً بالغ الصعوبة.
في هذا الدليل الشامل، سنأخذك في رحلة معرفية مفصلة حول خلع الرسغ المحيط بالعظم الهلالي. سنتعمق في فهم تشريح الرسغ المعقد، ونستكشف الأسباب الشائعة لهذه الإصابة، والأعراض التي يجب الانتباه إليها. الأهم من ذلك، سنتناول بالتفصيل خيارات العلاج المتاحة، سواء كانت جراحية أو غير جراحية، ونرسم لك خارطة طريق واضحة للتعافي وإعادة التأهيل. هدفنا هو تزويدك بالمعلومات الموثوقة التي تحتاجها لاتخاذ قرارات مستنيرة بشأن صحتك، مؤكدين على الدور المحوري للخبرة الطبية المتخصصة، التي يقدمها الأستاذ الدكتور محمد هطيف، كواحد من أبرز جراحي العظام في اليمن والمنطقة.
نتفهم أن مواجهة إصابة كهذه يمكن أن تكون تجربة مقلقة. لذا، تم تصميم هذا المحتوى ليكون بلغة واضحة، مطمئنة، وميسرة، بعيداً عن المصطلحات الطبية المعقدة، ليمنحك الأمل والثقة في إمكانية استعادة حياتك الطبيعية.
فهم تشريح الرسغ المعقد أساس الحركة
لفهم خلع الرسغ المحيط بالعظم الهلالي، يجب أولاً أن نلقي نظرة على التركيب التشريحي المدهش للرسغ. الرسغ ليس مجرد "مفصل" واحد، بل هو شبكة معقدة من العظام الصغيرة والأربطة والأوتار التي تعمل معاً بتناغم لتمكين يدك من القيام بمدى واسع من الحركات الدقيقة والقوية.
يتكون الرسغ من ثمانية عظام صغيرة تُعرف باسم "العظام الرسغية" أو "عظام الكارباس". هذه العظام مرتبة في صفين:
1. الصف القريب (Proximal Row): وهو الصف الأقرب إلى الذراع، ويتصل بعظمتي الساعد الكبيرتين (الكعبرة والزند). يضم هذا الصف: العظم الزورقي، العظم الهلالي (Lunate Bone)، العظم المثلثي، والعظم البسيفورمي.
2. الصف البعيد (Distal Row): وهو الصف الأبعد عن الذراع والأقرب إلى عظام اليد (الأمشاط). يضم هذا الصف: العظم شبه المنحرف، العظم شبه الرأسي، العظم الكبير (Capitate Bone)، والعظم الكلابي.
العظم الهلالي (Lunate Bone): يُعد العظم الهلالي مركز هذا التعقيد. يقع في قلب الصف القريب، وهو ذو شكل هلالي (لذا جاء اسمه)، ويلعب دوراً محورياً في استقرار الرسغ وحركته. تتصل به العديد من العظام والأربطة المحيطة، مما يجعله نقطة ارتكاز حيوية.
شبكة الأربطة: تربط شبكة كثيفة من الأربطة القوية هذه العظام ببعضها البعض وبالعظام الكبيرة للساعد. هذه الأربطة ضرورية للحفاظ على استقرار الرسغ ومنع العظام من الانزلاق من مكانها أثناء الحركة أو التعرض للضغط. يمكن تقسيم هذه الأربطة إلى أربطة داخلية (تربط العظام الرسغية ببعضها) وأربطة خارجية (تربط العظام الرسغية بالساعد وعظام اليد).
لماذا هذا التعقيد مهم؟
يسمح هذا التصميم المعقد للرسغ بمدى حركة استثنائي، بما في ذلك الثني، البسط، الانحراف الزندي والكعبري، والدوران. أي خلل في هذا التوازن الدقيق، وخاصةً عندما تنفصل العظام عن العظم الهلالي أو تنزلق من مواقعها الطبيعية، يمكن أن يؤدي إلى خلع الرسغ المحيط بالعظم الهلالي، مما يهدد وظيفة اليد بالكامل. الخبرة التشريحية العميقة، كما يتميز بها الأستاذ الدكتور محمد هطيف، ضرورية لتشخيص هذه الإصابات المعقدة بدقة وتحديد أفضل مسار للعلاج.
الأسباب الشائعة والأعراض المميزة لخلع الرسغ المحيط بالعظم الهلالي
خلع الرسغ المحيط بالعظم الهلالي هو إصابة خطيرة تتطلب قوة كبيرة لإحداثها، وهو ما يفسر ارتباطها غالباً بالحوادث عالية الطاقة. فهم الأسباب والأعراض أمر حيوي للتشخيص المبكر والعلاج الفعال.
الأسباب الشائعة
تنجم معظم حالات خلع الرسغ المحيط بالعظم الهلالي عن نوع من الصدمة أو السقوط الذي يطبق قوة مفرطة على الرسغ. تشمل الأسباب الأكثر شيوعاً ما يلي:
- السقوط على يد ممدودة (FOOSH): هذا هو السبب الأكثر شيوعاً. عندما يسقط شخص إلى الأمام ويحاول حماية نفسه بوضع يده ممدودة على الأرض، فإن القوة الناتجة تنتقل عبر الساعد إلى الرسغ. إذا كانت اليد في وضع فرط بسط (مائلة إلى الخلف بقوة) ومعرضة لانحراف زندي (مائلة نحو الخنصر)، فإن ذلك يخلق ضغطاً هائلاً على الأربطة حول العظم الهلالي، مما يؤدي إلى تمزقها وانزلاق العظام الرسغية الأخرى، وخاصة العظم الكبير، من مكانها خلف العظم الهلالي.
- حوادث السيارات والدراجات النارية: القوى العنيفة الناتجة عن اصطدام المركبات يمكن أن تسبب إصابات شديدة في الرسغ، بما في ذلك الخلع المحيط بالعظم الهلالي، خاصةً إذا كانت اليد في وضع غير طبيعي أثناء الاصطدام.
- الإصابات الرياضية: الرياضات التي تتضمن السرعة العالية أو السقوط المتكرر مثل التزلج، التزلج على الجليد، الجمباز، كرة القدم الأمريكية، وكرة السلة، يمكن أن تزيد من خطر هذه الإصابة.
- إصابات العمل: قد يتعرض العمال في بعض المهن لإصابات الرسغ الشديدة نتيجة للسقوط من ارتفاعات أو التعرض لصدمات مباشرة.
الأعراض المميزة
الأعراض عادة ما تكون واضحة ومؤلمة للغاية، وتتطلب اهتماماً طبياً فورياً:
- ألم شديد ومفاجئ: يكون الألم حاداً جداً ومفاجئاً عند لحظة الإصابة، ويتفاقم مع أي محاولة لتحريك الرسغ أو اليد.
- تورم سريع: يحدث تورم ملحوظ حول منطقة الرسغ المصابة في غضون دقائق إلى ساعات بعد الإصابة.
- تشوه واضح في الرسغ: قد يبدو الرسغ مشوهاً أو غير طبيعي في شكله مقارنة بالرسغ السليم، نتيجة لانزلاق العظام من مواضعها. قد يلاحظ المريض نتوءاً أو بروزاً غير طبيعي.
- فقدان القدرة على تحريك الرسغ أو اليد: يصبح تحريك الرسغ أو حتى الأصابع أمراً صعباً ومؤلماً للغاية، وقد يفقد المريض القدرة على الإمساك بالأشياء.
- خدر أو وخز في الأصابع: يمكن أن يؤثر الخلع على الأعصاب المارة عبر الرسغ (خاصة العصب المتوسط)، مما يسبب خدراناً أو تنميلاً (وخزاً) في أصابع الإبهام والسبابة والوسطى وجزء من البنصر. هذا العرض يشير إلى ضرورة التدخل العاجل لتجنب الضرر الدائم للأعصاب.
- ضعف في قبضة اليد: حتى لو كانت هناك بعض القدرة على الحركة، ستكون قبضة اليد ضعيفة جداً وغير فعالة.
- ألم عند لمس الرسغ: يكون الرسغ حساساً جداً للمس في المنطقة المصابة.
أهمية التشخيص المبكر:
نظراً لشدة هذه الإصابة واحتمال حدوث مضاعفات خطيرة إذا لم يتم علاجها بشكل صحيح (مثل هشاشة العظام، الألم المزمن، وتلف الأعصاب)، فإن التشخيص المبكر والدقيق أمر بالغ الأهمية. عند ظهور أي من هذه الأعراض بعد إصابة في الرسغ، يجب التوجه فوراً إلى أقرب قسم طوارئ أو عيادة متخصصة. الأستاذ الدكتور محمد هطيف وفريقه يمتلكون الخبرة اللازمة لتشخيص هذه الحالات المعقدة بدقة وسرعة باستخدام أحدث التقنيات التشخيصية.
عملية التشخيص كيف يتم تحديد خلع الرسغ المحيط بالعظم الهلالي
عندما تصل إلى العيادة أو قسم الطوارئ مشتكياً من ألم شديد في الرسغ بعد إصابة، سيبدأ الطبيب عملية تشخيص منهجية لتحديد طبيعة الإصابة. هذه العملية حاسمة لضمان العلاج الصحيح وتجنب المضاعفات.
-
التاريخ المرضي والفحص السريري:
- التاريخ المرضي: سيسألك الطبيب عن كيفية حدوث الإصابة بالضبط (آلية الإصابة)، شدة الألم، ومتى بدأت الأعراض. أي معلومات حول إصابات سابقة للرسغ أو حالات طبية أخرى ذات صلة ستكون مفيدة.
- الفحص السريري: سيقوم الطبيب بفحص الرسغ المصاب بدقة. سيبحث عن علامات واضحة للتشوه أو التورم، ويتحقق من مدى حركة الرسغ والأصابع، ويتحسس الرسغ لتحديد مناطق الألم. كما سيقوم بتقييم الإحساس في يدك وأصابعك للتحقق من أي تلف محتمل للأعصاب، بالإضافة إلى فحص الدورة الدموية.
-
التصوير التشخيصي:
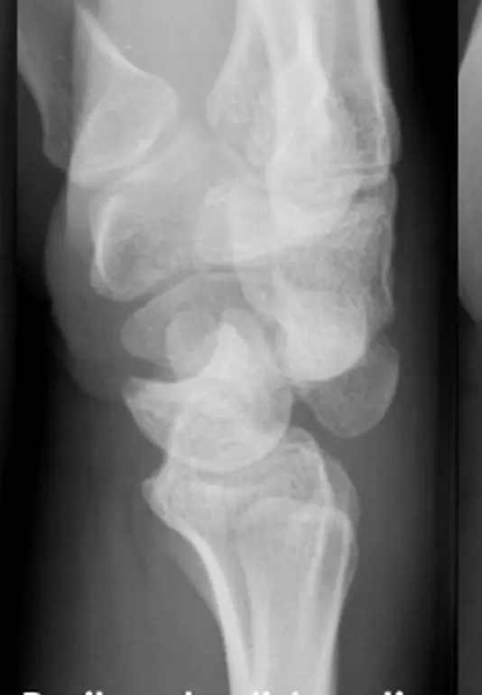
- الأشعة السينية (X-rays): هذه هي الخطوة الأولى والأكثر أهمية في تشخيص خلع الرسغ. سيتم أخذ عدة صور بالأشعة السينية من زوايا مختلفة (أمامية خلفية، جانبية، مائلة) للكشف عن أي انزياح في العظام الرسغية. في حالة خلع الرسغ المحيط بالعظم الهلالي، قد يلاحظ الأستاذ الدكتور محمد هطيف وفريقه علامات مميزة مثل "علامة الوعاء المقلوب" (Spilled Teacup Sign) في الأشعة السينية الجانبية، والتي تشير إلى انزلاق العظم الهلالي من مكانه الطبيعي، أو انزياح العظم الكبير خلف العظم الهلالي (كما هو الحال في هذه الإصابة المحددة).
- الأشعة المقطعية (CT Scan): في بعض الحالات، قد تكون الأشعة السينية غير كافية لإظهار جميع تفاصيل الإصابة، خاصةً إذا كان هناك اشتباه في وجود كسور صغيرة أو إذا كان الخلع معقداً. توفر الأشعة المقطعية صوراً ثلاثية الأبعاد أكثر تفصيلاً للعظام، مما يساعد في تقييم مدى الإصابة بدقة، وتحديد مواقع جميع العظام المخلوعة وأي كسور مرافقة.
- التصوير بالرنين المغناطيسي (MRI): بينما تركز الأشعة السينية والأشعة المقطعية على العظام، فإن الرنين المغناطيسي هو الأداة الأفضل لتقييم الأنسجة الرخوة مثل الأربطة والأوتار. يمكن للرنين المغناطيسي أن يكشف عن مدى تمزق الأربطة التي تسببت في الخلع أو التي تضررت بسببه، وهو أمر حاسم لتخطيط العلاج الجراحي وإعادة التأهيل.
دور الأستاذ الدكتور محمد هطيف في التشخيص:
يتميز الأستاذ الدكتور محمد هطيف بخبرة واسعة في قراءة وتحليل جميع أنواع الصور التشخيصية المعقدة للرسغ. بفضل معرفته العميقة بالتشريح وعلم الأشعة العضلية الهيكلية، يستطيع تحديد أدق التفاصيل التي قد تفوت على الآخرين، مما يضمن تشخيصاً دقيقاً وسريعاً لحالتك، وبالتالي يمهد الطريق لخطة علاجية ناجحة ومخصصة لاحتياجاتك.
خيارات العلاج من التدخل الأولي إلى الجراحة المتقدمة
يُعد خلع الرسغ المحيط بالعظم الهلالي إصابة طارئة تتطلب تدخلاً طبياً عاجلاً. الهدف الأساسي من العلاج هو إعادة العظام المخلوعة إلى مكانها الطبيعي واستعادة استقرار الرسغ، وذلك لمنع الألم المزمن، وفقدان الوظيفة، والمضاعفات طويلة الأمد مثل التهاب المفاصل التنكسي. تختلف خيارات العلاج بناءً على شدة الإصابة ووجود كسور مصاحبة والحالة الصحية العامة للمريض.
العلاج الأولي في قسم الطوارئ
بمجرد تشخيص خلع الرسغ المحيط بالعظم الهلالي، يكون التدخل الفوري ضرورياً.
* تخفيف الألم: سيتم إعطاء مسكنات للألم للمريض، وغالباً ما تتضمن أدوية وريدية قوية، للسيطرة على الألم الشديد.
* التجبير المؤقت: يتم تثبيت الرسغ في جبيرة أو دعامة لمنعه من الحركة وتجنب المزيد من الضرر.
* الرد المغلق (Closed Reduction): في بعض الحالات (وخاصةً إذا تم الكشف عن الإصابة مبكراً جداً)، قد يحاول الطبيب إجراء "رد مغلق" للخلع. يتم ذلك تحت تأثير التخدير (موضعياً أو عاماً خفيفاً) لمحاولة إعادة العظام إلى مكانها يدوياً دون الحاجة إلى فتح الجلد. إذا نجح الرد المغلق، يتم تثبيت الرسغ بجبيرة جصية صلبة أو دعامة. ومع ذلك، نظراً لعدم استقرار هذه الإصابة وغالباً ما تكون مصحوبة بتمزقات واسعة في الأربطة، فإن الرد المغلق نادراً ما يكون حلاً نهائياً وفعالاً بمفرده، وغالباً ما يحتاج إلى تدخل جراحي للمزيد من التثبيت.
التدخل الجراحي
في معظم حالات خلع الرسغ المحيط بالعظم الهلالي، يكون التدخل الجراحي ضرورياً للحصول على أفضل النتائج. الأستاذ الدكتور محمد هطيف، بخبرته الواسعة، يعتبر الجراحة هي الخيار الأمثل لضمان استقرار الرسغ والتعافي الكامل. تشمل الإجراءات الجراحية الرئيسية:
- الرد المفتوح والتثبيت الداخلي (Open Reduction Internal Fixation - ORIF):
- الرد المفتوح: يتم إجراء شق جراحي (غالباً من الخلف أو الأمام أو كليهما) للوصول مباشرة إلى عظام الرسغ. يقوم الجراح بإعادة جميع العظام المخلوعة إلى مواضعها التشريحية الدقيقة تحت الرؤية المباشرة.
- التثبيت الداخلي: بعد إعادة العظام، يتم تثبيتها في مكانها باستخدام أدوات جراحية دقيقة مثل:
- أسلاك كيرشنر (K-wires): أسلاك رفيعة من الفولاذ المقاوم للصدأ يتم إدخالها عبر العظام لتثبيتها ببعضها البعض وبالعظم الهلالي.
- المسامير والصفائح المعدنية (Screws and Plates): في بعض الحالات، خاصة إذا كانت هناك كسور مصاحبة أو لتعزيز الاستقرار، قد تستخدم مسامير صغيرة وصفائح معدنية لتثبيت العظام.
- إصلاح أو إعادة بناء الأربطة: نظراً لأن تمزق الأربطة هو السبب الرئيسي للخلع، فإن الجراح يقوم بإصلاح الأربطة الممزقة قدر الإمكان. في الحالات الشديدة أو المزمنة، قد يتطلب الأمر إعادة بناء الأربطة باستخدام طعوم من أوتار المريض نفسه أو من متبرع.
الجدول 1: مقارنة بين العلاج التحفظي والجراحي لخلع الرسغ المحيط بالعظم الهلالي
| الميزة / الطريقة | العلاج التحفظي (الرد المغلق والتجبير) | العلاج الجراحي (الرد المفتوح والتثبيت الداخلي) |
|---|---|---|
| الاستطباب | في حالات نادرة جداً وغير المعقدة، أو كحل مؤقت قبل الجراحة. | معظم الحالات، خاصة إذا كان هناك عدم استقرار أو تمزق أربطة. |
| الإجراء | إعادة العظام يدوياً دون شق جراحي، ثم التجبير. | شق جراحي، إعادة العظام تحت الرؤية المباشرة، تثبيت بأسلاك/صفائح. |
| التخدير | موضعي أو عام خفيف. | عام (كاملاً). |
| مدة التعافي الأولية | أسابيع قليلة. | أسابيع (للتعافي من الجراحة) يتبعها أشهر من إعادة التأهيل. |
| فعالية العلاج | محدودة جداً، غالباً غير كافية للاستقرار الدائم. | عالية جداً، توفر استقراراً جيداً وتعافياً وظيفياً أفضل. |
| المضاعفات المحتملة | عدم استقرار مزمن، ألم، التهاب مفاصل، ضعف. | عدوى، تلف الأعصاب، عدم الاتحاد، ألم مزمن، التهاب مفاصل. |
| النتائج طويلة الأمد | غالباً سيئة إذا لم يُتبع بجراحة. | جيدة جداً مع إعادة التأهيل السليم. |
خبرة الأستاذ الدكتور محمد هطيف في الجراحة:
يمتلك الأستاذ الدكتور محمد هطيف مهارة وخبرة متقدمة في إجراء جراحات الرسغ المعقدة، بما في ذلك الرد المفتوح والتثبيت الداخلي لخلع الرسغ المحيط بالعظم الهلالي. يضمن استخدامه لأحدث التقنيات الجراحية والمعدات الدقيقة أفضل النتائج الممكنة، مع التركيز على استعادة التشريح الطبيعي للرسغ والحفاظ على وظيفته. مناهج العلاج لديه تهدف إلى تقليل الألم وتسريع عملية الشفاء قدر الإمكان.
التعافي وإعادة التأهيل والعلاج الطبيعي
تُعد مرحلة التعافي وإعادة التأهيل جزءاً لا يتجزأ من العلاج الناجح لخلع الرسغ المحيط بالعظم الهلالي، ولا تقل أهمية عن الجراحة نفسها. إن الالتزام بخطة إعادة التأهيل بدقة هو مفتاح استعادة وظيفة الرسغ الكاملة وتقليل مخاطر المضاعفات طويلة الأمد.
مراحل التعافي
يمكن تقسيم عملية التعافي إلى عدة مراحل، تتطلب كل منها مقاربة مختلفة:
-
المرحلة الأولية (بعد الجراحة مباشرة - 0-6 أسابيع):
- التثبيت: بعد الجراحة، سيتم وضع جبيرة جصية أو دعامة صلبة لتثبيت الرسغ ومنع الحركة، مما يسمح للأنسجة بالشفاء. يمكن أن تستمر هذه المرحلة من 4 إلى 8 أسابيع حسب شدة الإصابة وتقدير الجراح.
- إدارة الألم والتورم: سيتم وصف مسكنات الألم للسيطرة على أي ألم بعد الجراحة. كما يُنصح برفع اليد المصابة وتطبيق الثلج لتقليل التورم.
- حركة الأصابع والكتف: على الرغم من تثبيت الرسغ، سيُطلب منك تحريك أصابعك وكتفك بانتظام لمنع التيبس وتحسين الدورة الدموية.
-
المرحلة الوسطى (إزالة التثبيت وبداية الحركة - 6-12 أسبوعاً):
- إزالة الجبيرة/الأسلاك: بعد الفترة المحددة، ستتم إزالة الجبيرة و/أو أسلاك التثبيت (K-wires) إذا تم استخدامها.
- العلاج الطبيعي: تبدأ هذه المرحلة ببرنامج علاج طبيعي مكثف. يركز العلاج في البداية على استعادة مدى حركة الرسغ بلطف. سيقوم المعالج الطبيعي بتعليمك تمارين حركة سلبية وإيجابية خفيفة.
- تقنيات تقليل التورم والندوب: يمكن استخدام تقنيات مثل التدليك والضغط لتقليل التورم وتحسين مرونة الأنسجة حول الندبة الجراحية.
-
المرحلة المتقدمة (تقوية واستعادة الوظيفة - 3-6 أشهر):
- تمارين التقوية: مع تحسن مدى الحركة، تنتقل تمارين العلاج الطبيعي لتركز على تقوية عضلات الرسغ والساعد. قد تشمل هذه التمارين استخدام كرات الضغط، الأوزان الخفيفة، والأربطة المرنة.
- تحسين التناسق والتوازن: يتم تدريب الرسغ على استعادة التناسق بين عضلاته وقدرته على التحمل للأنشطة اليومية.
- العودة التدريجية للأنشطة: يبدأ المريض في العودة تدريجياً إلى الأنشطة اليومية العادية، مع تجنب أي حركات مفاجئة أو حمل أوزان ثقيلة.
-
مرحلة العودة للأنشطة الكاملة (6 أشهر وما بعدها):
- العودة إلى الرياضة والأنشطة الشاقة: يتم السماح بالعودة إلى الرياضة والأنشطة الشاقة فقط بعد استعادة قوة الرسغ الكاملة ومدى حركته واستقراره، وبعد الحصول على موافقة الأستاذ الدكتور محمد هطيف والمعالج الطبيعي.
- التمارين المستمرة: قد يُنصح المريض بمواصلة بعض تمارين التقوية والمرونة في المنزل للحفاظ على قوة الرسغ ومرونته.
دور العلاج الطبيعي وإعادة التأهيل
يُعد العلاج الطبيعي هو العمود الفقري لعملية التعافي. سيعمل المعالج الطبيعي جنباً إلى جنب مع الأستاذ الدكتور محمد هطيف لتصميم برنامج مخصص لاحتياجاتك، والذي قد يشمل:
- تمارين مدى الحركة (Range of Motion Exercises): لزيادة مرونة الرسغ.
- تمارين التقوية (Strengthening Exercises): لاستعادة قوة العضلات.
- تمارين التناسق والتوازن (Coordination and Balance Exercises): لتحسين التحكم في الرسغ.
- العلاج اليدوي (Manual Therapy): لفك تيبس المفاصل والأنسجة.
- الوسائل الفيزيائية (Modalities): مثل الحرارة، البرودة، الموجات فوق الصوتية لتقليل الألم والتورم.
- التوعية والإرشاد: تعليم المريض كيفية حماية رسغه وتجنب إعادة الإصابة.
الجدول 2: جدول زمني تقديري للتعافي بعد جراحة خلع الرسغ المحيط بالعظم الهلالي
| الفترة الزمنية | الأهداف الرئيسية | الأنشطة المسموح بها | المحظورات الرئيسية |
|---|---|---|---|
| 0-4 أسابيع | تثبيت الرسغ، السيطرة على الألم والتورم. | تحريك الأصابع والكتف، رفع اليد، تطبيق الثلج. | أي حركة للرسغ، حمل الأوزان، الأنشطة البدنية. |
| 4-8 أسابيع | إزالة الجبيرة/الأسلاك (إذا لزم الأمر)، بدء حركة الرسغ اللطيفة. | تمارين مدى الحركة السلبية والإيجابية تحت إشراف. | الدفع، السحب، حمل الأوزان، الأنشطة الشاقة. |
| 8-12 أسبوعاً | زيادة مدى الحركة، بدء تمارين التقوية الخفيفة. | تمارين التقوية الخفيفة، الأنشطة اليومية البسيطة. | الأنشطة الرياضية، رفع الأوزان الثقيلة. |
| 3-6 أشهر | استعادة القوة والتحمل، تحسين التناسق. | تمارين تقوية متقدمة، العودة التدريجية للأنشطة المتوسطة. | الرياضات التي تتطلب ملامسة قوية أو حركات عنيفة. |
| 6 أشهر وما بعدها | استعادة الوظيفة الكاملة، العودة للأنشطة الرياضية. | العودة الكاملة للرياضة والأنشطة الشاقة بعد موافقة الطبيب. | إهمال تمارين الحفاظ على القوة والمرونة. |
ملاحظات هامة للتعافي:
* الالتزام: يعد الالتزام ببرنامج العلاج الطبيعي والتوجيهات الطبية أمراً بالغ الأهمية.
* الصبر: التعافي من هذه الإصابة يستغرق وقتاً وجهداً. كن صبوراً مع نفسك ولا تضغط على رسغك أكثر من اللازم.
* التواصل: حافظ على تواصل مستمر مع الأستاذ الدكتور محمد هطيف وفريقه المعالج للإبلاغ عن أي آلام أو مخاوف.
* الوقاية: بعد التعافي، تعلم كيفية حماية رسغك وتجنب الإصابات المستقبلية.
بفضل الخبرة الشاملة للأستاذ الدكتور محمد هطيف في كل من الجراحة وإدارة التعافي، ستجد الدعم والتوجيه اللازمين في كل خطوة على طريق استعادة صحة رسغك
آلام العظام والمفاصل المزمنة ليس قدراً محتوماً! التشخيص الدقيق والعلاج المتخصص يمكن أن يعيد لك كامل وظيفتك وحريتك في الحركة بدون ألم.
للحصول على استشارة دقيقة وخطة علاجية مخصصة لحالتك، تواصل فوراً مع مركز الأستاذ الدكتور محمد هطيف:
الأستاذ الدكتور محمد هطيف - أفضل دكتور عظام في صنعاء، وخبير في جراحات العظام والمفاصل المتقدمة.
🔗 اقرأ الدليل الشامل: البروفيسور محمد هطيف: افضل دكتور عظام بصنعاء بخبرة عالمية 2026
🔗 اقرأ الدليل الشامل: خلع عظام الرسغ: كل ما تحتاج معرفته عن التشخيص والعلاج