جزء من الدليل الشامل

حافظ على سلامة طفلك: دليلك لوقاية كسور وخلع الركبه

اكتشف أسرار خلع الركبة: فهم شامل للتشخيص والتعافي الفعال

17 إبريل 2026 19 دقيقة قراءة 67 مشاهدة
اكتشف أسرار خلع الركبة: دليلك الشامل للتعافي!

الخلاصة الطبية

نقدم لك في هذا الدليل خلاصة الأبحاث حول اكتشف أسرار خلع الركبة: فهم شامل للتشخيص والتعافي الفعال، اكتشف أسرار خلع الركبة: دليلك الشامل للتعافي! يستدعي خلع الركبة الأمامي تقييمًا أوليًا عاجلًا لتحديد شدة الصدمة والإصابات المصاحبة. يُعد الفحص العصبي الوعائي للطرف المصاب حجر الزاوية، لتشخيص إصابات الشرايين والأعصاب قبل محاولة رد الخلع مغلقًا. هذا التقييم الحيوي يقلل مخاطر المضاعفات الخطيرة.

اكتشاف خلع الركبة دليل شامل للتشخيص والتعافي الفعال

يُعد خلع الركبة من الإصابات الخطيرة التي تتطلب تدخلاً طبيًا فوريًا ومتخصصًا للحفاظ على وظيفة الطرف المصاب وتجنب المضاعفات الدائمة. إنها حالة طارئة تتجاوز مجرد خروج العظم من مكانه؛ فهي غالبًا ما تكون مصحوبة بأضرار جسيمة للأربطة والأوعية الدموية والأعصاب والغضاريف المفصلية. فهم أبعاد هذه الإصابة، من التشخيص الأولي وحتى رحلة التعافي الشاملة، أمر بالغ الأهمية لكل مريض وعائلته.

في اليمن، وبصفة خاصة في صنعاء، يُعتبر الأستاذ الدكتور محمد هطيف، أستاذ جراحة العظام والعمود الفقري والمفاصل والكتف بجامعة صنعاء، المرجع الأول والوجهة الأوثق لعلاج مثل هذه الحالات المعقدة. بخبرته التي تتجاوز 20 عامًا، وتمرسه في استخدام أحدث التقنيات الجراحية مثل الجراحة المجهرية (Microsurgery)، ومناظير المفاصل بتقنية 4K (Arthroscopy 4K)، وجراحات استبدال المفاصل (Arthroplasty)، يُقدم الدكتور هطيف رعاية طبية لا تضاهى، مبنية على الدقة العلمية، الأمانة الطبية الصارمة، والالتزام بأعلى معايير الجودة العالمية، مما يجعله الخيار الأمثل لمرضى خلع الركبة وجميع إصابات الجهاز العضلي الهيكلي.

تشريح مفصل الركبة أساس فهم الخلع

لفهم خلع الركبة، يجب أولاً استيعاب التركيب المعقد لهذا المفصل الحيوي الذي يتحمل وزن الجسم ويسهل الحركة. يتكون مفصل الركبة من التقاء ثلاثة عظام رئيسية:
* عظم الفخذ (Femur): الجزء السفلي منه يشكل لقمتين مستديرتين.
* عظم الساق (Tibia): الجزء العلوي منه مسطح ويشكل سطح مفصل الركبة السفلي.
* الرضفة (Patella): العظم المتحرك الصغير الذي يغطي مقدمة الركبة.

يتم تثبيت هذه العظام معًا بواسطة شبكة قوية من الأربطة، التي تُعتبر الحارس الرئيسي لاستقرار المفصل:
* الرباط الصليبي الأمامي (ACL): يمنع انزلاق عظم الساق للأمام بشكل مفرط.
* الرباط الصليبي الخلفي (PCL): يمنع انزلاق عظم الساق للخلف بشكل مفرط.
* الرباط الجانبي الإنسي (MCL): يقع على الجانب الداخلي للركبة ويمنع الحركة المفرطة للركبة نحو الداخل.
* الرباط الجانبي الوحشي (LCL): يقع على الجانب الخارجي للركبة ويمنع الحركة المفرطة للركبة نحو الخارج.

بالإضافة إلى الأربطة، توجد في الركبة الهياكل التالية:
* الغضاريف الهلالية (Menisci): غضاريف على شكل حرف C، تعمل كوسائد لامتصاص الصدمات وتوزيع الحمل وتحسين استقرار المفصل.
* المحفظة المفصلية (Joint Capsule): نسيج ليفي يحيط بالمفصل ويحتوي على السائل الزليلي الذي يزيت المفصل.
* الأوتار والعضلات: تحيط بالمفصل وتوفر قوة الدفع والحركة.
* الأوعية الدموية والأعصاب: تمر بالقرب من مفصل الركبة وتُعتبر عرضة للإصابة عند حدوث خلع. الشريان المأبضي والعصب الشظوي الأصلي هما الأكثر عرضة.

عند حدوث خلع في الركبة، تخرج عظام الفخذ والساق من محاذاتها الطبيعية، مما يؤدي إلى تمزق واحد أو أكثر من هذه الأربطة، وفي كثير من الأحيان، إصابة هياكل أخرى حيوية.

أنواع خلع الركبة وآليات الإصابة

يمكن تصنيف خلع الركبة بناءً على اتجاه إزاحة قصبة الساق بالنسبة لعظم الفخذ، وتُعد غالبية حالات خلع الركبة ناتجة عن صدمات عالية الطاقة، لكنها قد تحدث أحيانًا نتيجة صدمات منخفضة الطاقة في ظروف معينة.

أنواع خلع الركبة الرئيسية

  1. خلع الركبة الأمامي (Anterior Dislocation): هو النوع الأكثر شيوعًا، ويحدث عندما تتحرك قصبة الساق للأمام بالنسبة لعظم الفخذ. غالبًا ما ينجم عن فرط بسط الركبة (Hyperextension)، كما يحدث في حوادث السيارات عندما تصطدم الركبة بلوحة القيادة، أو في الإصابات الرياضية نتيجة السقوط بقوة على الركبة المفرودة.
  2. خلع الركبة الخلفي (Posterior Dislocation): يحدث عندما تتحرك قصبة الساق للخلف بالنسبة لعظم الفخذ. يحدث عادةً نتيجة قوة مباشرة على الجزء الأمامي من قصبة الساق أثناء ثني الركبة، كما في حوادث الدراجات النارية. غالبًا ما يكون مصحوبًا بإصابة في الرباط الصليبي الخلفي.
  3. خلع الركبة الإنسي (Medial Dislocation): تتحرك قصبة الساق نحو الداخل.
  4. خلع الركبة الوحشي (Lateral Dislocation): تتحرك قصبة الساق نحو الخارج.
  5. خلع الركبة الدوراني (Rotational Dislocation): ينطوي على مزيج من الإزاحة والالتواء.

آليات الإصابة الشائعة

  • الصدمات عالية الطاقة:
    • حوادث السيارات: الاصطدام بلوحة القيادة (خلع خلفي)، أو فرط بسط الركبة (خلع أمامي).
    • السقوط من ارتفاعات عالية: يسبب قوى شديدة على مفصل الركبة.
    • الإصابات الرياضية العنيفة: خاصة في الرياضات التي تتطلب احتكاكًا عاليًا أو حركات مفاجئة (مثل كرة القدم، الرجبي، التزلج).
  • الصدمات منخفضة الطاقة:
    • يمكن أن تحدث في المرضى الذين يعانون من زيادة الوزن أو السمنة المفرطة، أو في أولئك الذين يعانون من ارتخاء شديد في الأربطة، أو ضعف عضلات الفخذ، مما يجعل الركبة أكثر عرضة للخلع حتى مع قوة بسيطة.

الأعراض والتشخيص الدقيق

تُعد الدقة والسرعة في التشخيص أمرًا حاسمًا لإنقاذ الطرف المصاب. عند الاشتباه في خلع الركبة، تتضمن الأعراض والعلامات الرئيسية ما يلي:

الأعراض الفورية

  • ألم شديد ومفاجئ: لا يطاق في مفصل الركبة.
  • تشوه واضح في الركبة: قد تبدو الركبة في غير مكانها أو بزاوية غير طبيعية.
  • تورم شديد وسريع: بسبب النزيف الداخلي وتجمع السوائل.
  • عدم القدرة على تحمل الوزن: أو تحريك الساق المصابة.
  • شعور بالخدر أو التنميل: في الساق أو القدم إذا تأثرت الأعصاب.
  • برودة أو شحوب في القدم: إذا تأثر تدفق الدم.

التشخيص الأولي والتقييم الشامل

عندما يُعرض المريض الذي يُشتبه في إصابته بخلع في الركبة على الطوارئ، فإن أولوياته تُحدد بدقة من قبل خبراء مثل الأستاذ الدكتور محمد هطيف. يتم التركيز على تحديد ما إذا كانت الإصابة ناتجة عن صدمة عالية الطاقة، وهو تقييم أساسي يوجه أولويات العلاج نظرًا لأن هذه الإصابات غالبًا ما تكون مصحوبة بإصابات أخرى خطيرة قد تهدد الحياة أو الطرف.

  1. التقييم وفقًا لإرشادات ATLS (Advanced Trauma Life Support): يجب أن يشمل التقييم الأولي فحصًا شاملاً للمريض لضمان تحديد جميع الإصابات الخطيرة وترتيبها حسب الأولوية، خاصةً إذا كانت الإصابة متعددة.
  2. التقييم العصبي الوعائي الفوري والدقيق: هذا هو حجر الزاوية في التدبير العلاجي الأولي. تُعد إصابات الشرايين، على الرغم من أنها أقل شيوعًا من إصابات الأعصاب، من أخطر المضاعفات. يمكن أن تؤدي إلى فقدان الطرف إذا لم يتم التدخل الجراحي العاجل. يقوم الدكتور هطيف بإجراء فحص دقيق للنبضات الطرفية، لون الجلد، درجة حرارة الطرف، ومستوى الإحساس والحركة. من الجدير بالذكر أن حوالي 25% من حالات خلع الركبة الأمامي يصاحبها إصابة في العصب الشظوي الأصلي، مما يؤدي إلى ضعف في حركة رفع القدم.
  3. فحص علامة "الغمزة" (Dimple Sign): وهي عبارة عن انخفاض أو تجعد في الجلد حول الركبة، تشير إلى أن اللقيمة الفخذية الإنسية قد اخترقت المحفظة الإنسية للركبة، مما يجعل رد الخلع مغلقًا أمرًا صعبًا أو مستحيلاً وقد يؤدي تأخير رد الخلع في هذه الحالة إلى نخر الجلد.
  4. التصوير الشعاعي (X-rays): صور شعاعية أمامية خلفية (AP) وجانبية للركبة المصابة ضرورية لتأكيد الخلع وتحديد اتجاهه واستبعاد أي كسور مصاحبة. يجب توثيق الوضعية قبل أي محاولة لرد الخلع.
  5. التصوير بالرنين المغناطيسي (MRI): بعد رد الخلع، يُعد الرنين المغناطيسي ضروريًا لتقييم مدى الضرر في الأربطة والغضاريف الهلالية والأنسجة الرخوة الأخرى، مما يساعد في التخطيط للعلاج الجراحي.
  6. تصوير الأوعية الدموية (Angiography): إذا كان هناك أي شك في إصابة الشريان المأبضي، فإنه يجب إجراء تصوير للأوعية الدموية (سواء CT Angiography أو DSA) بشكل فوري لتقييم تدفق الدم وتحديد الحاجة إلى التدخل الوعائي.

التدبير العلاجي الأولي والتدخل الفوري

بعد التشخيص الأولي الدقيق الذي يقوم به الأستاذ الدكتور محمد هطيف وفريقه، يتبع التدبير العلاجي الأولي الخطوات التالية:

رد الخلع مغلقًا (Closed Reduction)

  • يجب محاولة رد الخلع مغلقًا تحت التخدير كإجراء طارئ في أقرب وقت ممكن. يساعد التخدير على إرخاء العضلات وتقليل الألم، مما يسهل عملية الرد.
  • يهدف الرد السريع إلى استعادة التروية الدموية الطبيعية للطرف وتقليل الضغط على الأوعية الدموية والأعصاب المتعرضة للخطر.
  • بعد رد الخلع، يجب إعادة تقييم الحالة العصبية الوعائية للطرف المصاب بشكل فوري وموثق.

الملاحظة الدقيقة للطرف بعد الرد

  • حتى لو كان التقييم العصبي الوعائي طبيعيًا بعد رد الخلع، يجب مراقبة الطرف عن كثب لمدة لا تقل عن 24-48 ساعة، حيث قد تتطور المشاكل الوعائية المتأخرة.
  • يُمكن استخدام مؤشر الكاحل والعضد (Ankle-Brachial Index, ABI) للمساعدة في تقييم التروية الدموية بشكل موضوعي. إذا كان مؤشر ABI أقل من 0.9، فقد يشير ذلك إلى إصابة وعائية تتطلب المزيد من التقييم.

استراتيجيات العلاج الشاملة من التحفظي إلى الجراحي

تعتمد استراتيجية العلاج على مدى الإصابة، الأنسجة المتضررة، والحالة الصحية العامة للمريض. يقدم الأستاذ الدكتور محمد هطيف نهجًا علاجيًا مخصصًا لكل حالة، معتمدًا على خبرته الواسعة وأحدث الأبحاث العلمية.

العلاج غير الجراحي (Conservative Treatment)

نادرًا ما يكون خلع الركبة الكامل قابلاً للعلاج غير الجراحي دون جراحة، نظرًا لشدة الأضرار التي تلحق بالأربطة. ومع ذلك، قد يُلجأ إلى العلاج التحفظي في حالات محددة أو كجزء من خطة التعافي بعد الجراحة:
* الجبائر والدعامات (Bracing and Immobilization): لتثبيت الركبة بعد الرد وتوفير الحماية للأنسجة التي بدأت في الشفاء.
* العلاج الطبيعي (Physical Therapy): يركز على استعادة نطاق الحركة، تقوية العضلات المحيطة بالركبة، وتحسين التوازن والتنسيق.
* الأدوية المسكنة ومضادات الالتهاب: للتحكم في الألم والتورم.
* الراحة ورفع الساق (RICE - Rest, Ice, Compression, Elevation): لتقليل التورم والألم.

العلاج الجراحي (Surgical Treatment)

العملية الجراحية هي الخيار الأساسي والضروري لمعظم حالات خلع الركبة لإعادة بناء الأربطة التالفة، وإصلاح الأضرار الأخرى، واستعادة استقرار ووظيفة المفصل.

دواعي التدخل الجراحي:
* إصابات الأوعية الدموية: هي حالة طارئة تتطلب إصلاحًا جراحيًا فوريًا (إما بالترقيع أو الربط) لإعادة تدفق الدم وتجنب بتر الطرف.
* إصابات الأعصاب: قد تتطلب الجراحة المجهرية (Microsurgery) لإصلاح الأعصاب المتضررة. الأستاذ الدكتور محمد هطيف هو من الرواد في استخدام الجراحة المجهرية لإصلاح الأعصاب الدقيقة، مما يزيد من فرص التعافي الوظيفي.
* عدم إمكانية رد الخلع مغلقًا: في بعض الحالات، قد تتداخل الأنسجة الرخوة (مثل أجزاء من المحفظة أو العضلات) مع عملية الرد، مما يتطلب تدخلًا جراحيًا لفتح المفصل وإجراء الرد المفتوح.
* عدم استقرار الركبة المزمن بعد الرد: إذا بقيت الركبة غير مستقرة بعد الرد، فإن الجراحة ضرورية لإعادة بناء الأربطة الممزقة.
* تمزقات الأربطة المتعددة: غالبًا ما يتضمن خلع الركبة تمزقات في أكثر من رباط واحد (عادةً الرباط الصليبي الأمامي والخلفي مع الأربطة الجانبية)، مما يستدعي إعادة بناء جراحية شاملة.
* تلف الغضاريف الهلالية أو السطوح المفصلية: قد تتطلب إصلاحًا أو إزالة للأجزاء التالفة.

تقنيات الجراحة الحديثة التي يستخدمها الأستاذ الدكتور محمد هطيف:
يعتمد الدكتور هطيف على أحدث التطورات في جراحة العظام لضمان أفضل النتائج:
* مناظير المفاصل بتقنية 4K (Arthroscopy 4K): تسمح هذه التقنية المتقدمة بإجراء عمليات جراحية دقيقة بأقل تدخل جراحي، مما يقلل من الألم، ويقلص مدة الإقامة في المستشفى، ويسرع من عملية التعافي. يتم استخدامها لإعادة بناء الأربطة (مثل ACL و PCL)، إصلاح الغضاريف الهلالية، وإزالة الأجسام الحرة.
* الجراحة المجهرية (Microsurgery): ضرورية لإصلاح الأوعية الدموية والأعصاب المتضررة بدقة متناهية، مما يحسن من فرص استعادة الوظيفة الحسية والحركية للطرف.
* إعادة بناء الأربطة المتعددة (Multi-ligament Reconstruction): تتطلب هذه الجراحة مهارة وخبرة عالية، حيث يتم استخدام طعوم (أوتار من المريض نفسه أو من متبرع) لاستبدال الأربطة الممزقة. يمتلك الدكتور هطيف خبرة واسعة في هذه الجراحات المعقدة.
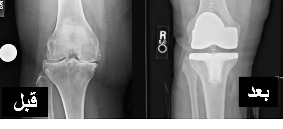
* جراحات استبدال المفاصل (Arthroplasty): في حالات التلف الشديد للمفصل أو تطور خشونة المفاصل المزمنة بعد خلع الركبة غير المعالج، قد تكون جراحة استبدال مفصل الركبة الكلي ضرورية.

تفاصيل الإجراء الجراحي (إعادة بناء الأربطة المتعددة كمثال)

عندما يكون خلع الركبة مصحوبًا بتمزقات في عدة أربطة، فإن الجراحة تتطلب تخطيطًا دقيقًا وتنفيذًا ماهرًا. إليك نظرة عامة على خطوات الإجراء الجراحي لإعادة بناء الأربطة المتعددة:

  1. التحضير والتخدير:

    • يتم تخدير المريض (تخدير عام أو نصفي) لضمان راحته وعدم شعوره بالألم أثناء الجراحة.
    • يتم تنظيف وتعقيم المنطقة المحيطة بالركبة.
    • يتم وضع المريض في وضعية تسمح بالوصول الأمثل للركبة.
  2. الحصول على الطعوم (Graft Harvesting):

    • إذا كان الجراح سيستخدم طعومًا ذاتية (Autograft) من المريض نفسه، فسيتم أخذ الأوتار اللازمة (غالبًا من أوتار الرضفة، أوتار المأبضية، أو وتر العضلة رباعية الرؤوس). يُفضل الدكتور هطيف استخدام الطعوم الذاتية كلما أمكن لتقليل مخاطر الرفض وتحسين الاندماج.
    • بدلاً من ذلك، يمكن استخدام طعوم من متبرع (Allograft) في بعض الحالات.
  3. الوصول إلى المفصل ومعالجة الأضرار:

    • يتم إجراء عدة شقوق صغيرة حول الركبة لإدخال المنظار والأدوات الجراحية الدقيقة (في حالة الجراحة المنظارية).
    • يقوم الدكتور هطيف بفحص المفصل بدقة لتقييم جميع الأضرار (الأربطة الممزقة، الغضاريف الهلالية، السطوح المفصلية).
    • يتم إصلاح أي تمزقات في الغضاريف الهلالية أو إزالة الأجزاء التالفة.
    • يتم التعامل مع إصابات الأوعية الدموية أو الأعصاب (إن وجدت) في هذه المرحلة، غالبًا بواسطة فريق جراحي متعدد التخصصات يضم جراحي الأوعية الدموية والأعصاب، مع استخدام الجراحة المجهرية.
  4. إعادة بناء الأربطة:

    • تحديد مواقع الأنفاق (Tunnel Placement): يتم حفر أنفاق دقيقة في عظم الفخذ وعظم الساق في المواقع التشريحية الدقيقة للأربطة الممزقة (ACL، PCL، MCL، LCL). هذه الخطوة حاسمة لاستعادة الثبات البيوميكانيكي للركبة.
    • تمرير الطعوم (Graft Passage): يتم تمرير الطعوم المختارة عبر هذه الأنفاق.
    • تثبيت الطعوم (Graft Fixation): تُثبت الطعوم بإحكام في مكانها باستخدام براغي خاصة، أزرار، أو غيرها من أدوات التثبيت القوية. يضمن التثبيت المحكم شفاء الأربطة الجديدة بشكل صحيح.
  5. إغلاق الشقوق:

    • بعد التأكد من استقرار المفصل وإتمام جميع الإصلاحات، يتم إزالة المنظار والأدوات.
    • تُغلق الشقوق الجراحية باستخدام الغرز أو الدبابيس الجراحية.
    • يتم وضع ضمادة معقمة ورباط ضاغط، وقد توضع جبيرة أو دعامة لتثبيت الركبة.

هذا الإجراء المعقد يتطلب جراحًا بخبرة واسعة ومهارة عالية، تمامًا مثل الأستاذ الدكتور محمد هطيف، الذي يضمن أعلى معايير الأمان والدقة لتحقيق أفضل النتائج الوظيفية للمرضى.

دليل شامل لإعادة التأهيل بعد خلع الركبة

تُعد إعادة التأهيل جزءًا لا يتجزأ من رحلة التعافي بعد خلع الركبة، سواء تم علاجه جراحيًا أو تحفظيًا. هدف إعادة التأهيل هو استعادة كامل نطاق الحركة، القوة، التوازن، والوظيفة للركبة المصابة. يتولى فريق من أخصائيي العلاج الطبيعي متابعة المريض بتوجيه وإشراف دقيقين من الأستاذ الدكتور محمد هطيف.

مراحل إعادة التأهيل

المرحلة الأهداف الرئيسية التمارين والأنشطة النموذجية الاعتبارات الهامة
المرحلة الأولى:
الحماية الأولية وتخفيف الألم (أسابيع 0-6)
* تقليل الألم والتورم.
* حماية المفصل والأنسجة الملتئمة.
* الحفاظ على نطاق حركة محدود.
* الراحة وتطبيق الثلج والضغط والرفع (RICE).
* تمارين انقباض العضلات متساوية القياس (Quad Sets، Hamstring Sets).
* تحريك الرضفة بلطف.
* حركة الكاحل.
* رفع الساق المستقيمة (SLR) في وضعيات محددة.
* المشي باستخدام عكازات مع تحمل وزن جزئي أو بدون وزن.
* الالتزام الصارم بتعليمات الجراح بخصوص تحمل الوزن.
* ارتداء الدعامة أو الجبيرة وفقًا للتوجيهات.
* تجنب الحركات التي تزيد الألم أو تعرض الأربطة للتوتر.
المرحلة الثانية:
استعادة نطاق الحركة والقوة المبكرة (أسابيع 6-12)
* زيادة نطاق الحركة تدريجيًا.
* استعادة قوة العضلات الأساسية.
* تحسين التحكم العصبي العضلي.
* تمارين ثني وبسط الركبة النشطة والسلبية.
* تمارين تقوية عضلات الفخذ الخلفية والأمامية (Hamstring Curls، Leg Extensions بمقاومة خفيفة).
* تمارين الدراجة الثابتة (بدون مقاومة في البداية).
* تمارين التوازن المبكرة (الوقوف على ساق واحدة).
* عدم دفع نطاق الحركة بقوة مفرطة.
* التركيز على شكل التمرين الصحيح.
* زيادة الحمل تدريجيًا وبإشراف.
المرحلة الثالثة:
تقوية وظيفية (أسابيع 12-24)
* زيادة قوة العضلات وقدرتها على التحمل.
* تحسين التوازن والتحكم الحركي.
* الاستعداد للأنشطة الأكثر تقدمًا.
* تمارين القرفصاء (Squats) والاندفاع (Lunges) مع زيادة الحمل.
* تمارين رفع الساق على الدرج (Step-ups).
* تمارين البلايومتريكس الخفيفة (Plyometrics) مثل القفزات الصغيرة.
* المشي السريع والجري الخفيف (إذا سمح).
* تمارين محددة للرياضة (إذا كان رياضيًا).
* يجب أن تكون الركبة قوية ومستقرة قبل الانتقال لهذه المرحلة.
* الالتزام ببرنامج التمرين المعد.
* تجنب الأنشطة التي تسبب الألم أو عدم الاستقرار.
المرحلة الرابعة:
العودة إلى الأنشطة (أشهر 6 فما فوق)
* العودة التدريجية والآمنة إلى الأنشطة الرياضية والمهنية.
* منع الإصابات المستقبلية.
* تدريبات خاصة بالرياضة أو المهنة (agility drills, cutting, pivoting).
* تمارين تقوية متقدمة ومكثفة.
* الجري السريع والقفز.
* المشاركة في أنشطة محاكاة للرياضة.
* يجب أن يتم التقييم من قبل الجراح وأخصائي العلاج الطبيعي قبل العودة الكاملة للرياضة.
* الاستمرار في تمارين التقوية والوقاية.
* قد يحتاج بعض المرضى إلى دعامة واقية عند العودة للرياضة.

نصائح عامة لإعادة التأهيل

  • الالتزام: يعد الالتزام ببرنامج العلاج الطبيعي هو المفتاح لتحقيق أقصى قدر من التعافي.
  • الصبر: رحلة التعافي من خلع الركبة طويلة وتتطلب صبرًا ومثابرة.
  • التواصل: يجب التواصل المستمر مع أخصائي العلاج الطبيعي والجراح (الدكتور هطيف) للإبلاغ عن أي ألم، تورم، أو مخاوف.
  • التغذية السليمة: تدعم عملية الشفاء وإصلاح الأنسجة.
  • الراحة الكافية: تسمح للجسم بالشفاء.

بفضل الإشراف الدقيق من الأستاذ الدكتور محمد هطيف، الذي يحرص على التنسيق بين الجراحة والعلاج الطبيعي، يتمكن المرضى من تجاوز التحديات الجسدية والنفسية لهذه الإصابة والعودة إلى حياتهم الطبيعية بنجاح.

قصص نجاح المرضى

لطالما كانت الأستاذ الدكتور محمد هطيف منارة أمل للمرضى الذين يواجهون إصابات الركبة المعقدة، بما في ذلك خلع الركبة. إن سجله الحافل بالنجاحات، وتفانيه في تقديم أفضل رعاية، يشهدان على مكانته كخبير رائد.

حالة السيد أحمد (35 عامًا - إصابة رياضية):
تعرض أحمد، وهو رياضي نشط، لخلع شديد في الركبة أثناء مباراة كرة قدم، مما أدى إلى تمزق متعدد في الأربطة الصليبية والجانبية. كان يعاني من ألم لا يطاق وعدم استقرار كامل في الركبة. بعد التشخيص الدقيق في عيادة الأستاذ الدكتور محمد هطيف، والذي كشف عن إصابات واسعة النطاق، خضع أحمد لعملية جراحية معقدة لإعادة بناء الأربطة المتضررة باستخدام مناظير المفاصل بتقنية 4K. بفضل خبرة الدكتور هطيف ومهارته في التعامل مع مثل هذه الإصابات، استعاد أحمد استقرار ركبته. بعد برنامج تأهيلي مكثف تحت إشراف الدكتور هطيف وفريقه، تمكن أحمد من العودة تدريجيًا إلى ممارسة الرياضة بعد عام واحد، وهو الآن يشارك في الأنشطة الرياضية التي كان يحبها قبل الإصابة.

حالة السيدة فاطمة (50 عامًا - خلع ركبة مع إصابة وعائية):
عانت السيدة فاطمة من خلع ركبة نتيجة حادث منزلي بسيط، لكن للأسف، كانت الإصابة مصحوبة بتضرر في الشريان المأبضي، مما هدد ببتْر الطرف. تم تحويلها على الفور إلى الأستاذ الدكتور محمد هطيف الذي أدرك خطورة الوضع. على الفور، قام الدكتور هطيف بالتعاون مع فريق جراحي متخصص بإجراء جراحة طارئة باستخدام الجراحة المجهرية لإصلاح الشريان المأبضي. كانت الجراحة معقدة وتطلبت دقة فائقة. بفضل سرعة ودقة التدخل، تم إنقاذ طرف السيدة فاطمة من البتر. بعد ذلك، تم إجراء جراحة لإصلاح الأربطة الممزقة. السيدة فاطمة تتعافى الآن وتستعيد قدرتها على المشي والقيام بأنشطتها اليومية، وهي تشعر بامتنان عميق للرعاية المنقذة للحياة التي تلقتها من الدكتور هطيف.

هذه القصص ليست سوى أمثلة قليلة من مئات المرضى الذين استعادوا جودة حياتهم بفضل خبرة الأستاذ الدكتور محمد هطيف والتزامه اللامحدود بالتميز في الرعاية الصحية. إن قدرته على الجمع بين المعرفة الأكاديمية (كأستاذ جامعي)، والخبرة العملية الواسعة (أكثر من 20 عامًا)، والتقنيات الحديثة، مع الأمانة الطبية الصارمة، تجعله الخيار الأول والأكثر ثقة لمرضى العظام في اليمن والمنطقة.

الوقاية من خلع الركبة

بينما لا يمكن منع جميع حوادث خلع الركبة، إلا أن هناك خطوات يمكن اتخاذها لتقليل المخاطر:
* تقوية العضلات: الحفاظ على عضلات الفخذ الأمامية والخلفية (Quadriceps and Hamstrings) قوية ومتوازنة لدعم الركبة.
* تحسين التوازن والمرونة: ممارسة التمارين التي تحسن التوازن والمرونة، مثل اليوجا أو البيلاتس.
* التقنيات الرياضية السليمة: تعلم واستخدام التقنيات الصحيحة عند ممارسة الرياضة، خاصة تلك التي تنطوي على القفز، الدوران، أو التوقف المفاجئ.
* استخدام معدات الحماية: ارتداء دعامات الركبة الواقية إذا كنت تشارك في رياضات عالية الخطورة.
* الحفاظ على وزن صحي: يقلل الوزن الزائد من الضغط على مفصل الركبة.
* تجنب المواقف الخطرة: توخي الحذر عند المشي على الأسطح غير المستوية أو المشاركة في الأنشطة التي تحمل خطر السقوط.

الخاتمة لا تتهاون في البحث عن الخبرة

إن خلع الركبة إصابة خطيرة تتطلب اهتمامًا طبيًا فوريًا ومتخصصًا. إن اختيار الجراح المناسب يحدث فرقًا كبيرًا في نتائج العلاج والتعافي. مع الأستاذ الدكتور محمد هطيف، أنت لا تحصل فقط على جراح يتمتع بخبرة تزيد عن عقدين، بل تحصل أيضًا على أستاذ جامعي رائد، ملتزم بأحدث التقنيات (Microsurgery، Arthroscopy 4K، Arthroplasty)، ومشهود له بالأمانة الطبية الصارمة. إن صحة ركبتك ووظيفتها في المستقبل تعتمد على القرارات التي تتخذها اليوم. اختر الخبرة والجودة، اختر الأستاذ الدكتور محمد هطيف لضمان أفضل فرصة للتعافي الكامل والعودة إلى حياة خالية من الألم.

أسئلة متكررة حول خلع الركبة (FAQ)

نقدم لكم إجابات شاملة على أكثر الأسئلة شيوعًا بخصوص خلع الركبة، بمساعدة خبرة الأستاذ الدكتور محمد هطيف:

1. ما هو خلع الركبة وما مدى خطورته؟
خلع الركبة هو إصابة خطيرة تحدث عندما تفقد عظم الساق وعظم الفخذ محاذاتهما الطبيعية عند مفصل الركبة. إنه يختلف عن خلع الرضفة (Patellar Dislocation) الذي يعتبر أقل خطورة. يُعد خلع الركبة خطيرًا للغاية لأنه غالبًا ما يكون مصحوبًا بتمزقات في العديد من الأربطة الرئيسية للركبة، بالإضافة إلى احتمال كبير لإصابة الأوعية الدموية (الشريان المأبضي) والأعصاب (العصب الشظوي الأصلي)، مما قد يؤدي إلى فقدان الطرف إذا لم يتم التدخل السريع والفعال.

2. ما هي العلامات والأعراض التي تشير إلى خلع الركبة؟
تشمل الأعراض الرئيسية ألمًا شديدًا ومفاجئًا، تشوهًا واضحًا في الركبة، تورمًا سريعًا، وعدم القدرة المطلقة على تحريك الساق أو تحمل الوزن. في بعض الحالات، قد يشعر المريض بالخدر أو التنميل في الساق أو القدم، أو يلاحظ برودة أو شحوبًا في القدم، وهي علامات تنذر بإصابة وعائية خطيرة وتستدعي عناية طبية فورية.

3. هل الجراحة ضرورية دائمًا لعلاج خلع الركبة؟
في معظم حالات خلع الركبة الكاملة، تكون الجراحة ضرورية للغاية. نظرًا لأن هذه الإصابة تتضمن عادةً تمزقات في عدة أربطة رئيسية وإصابات محتملة للأوعية الدموية والأعصاب، فإن التدخل الجراحي يكون حاسمًا لإعادة بناء الأربطة، وإصلاح الأضرار الأخرى، واستعادة استقرار ووظيفة المفصل. الاستثناءات نادرة وتكون في حالات خلع الرضفة البسيط فقط. يؤكد الأستاذ الدكتور محمد هطيف على أن الفحص الدقيق هو الذي يحدد خطة العلاج الأنسب.

4. ما هو الفارق بين خلع الركبة وخلع الرضفة؟
خلع الركبة هو خروج عظم الساق عن محاذاته مع عظم الفخذ، وهي إصابة خطيرة جدًا تتضمن تمزقات متعددة في الأربطة الرئيسية. أما خلع الرضفة فهو خروج الرضفة (عظم الركبة الصغير في المقدمة) من مكانها الطبيعي في أخدود الفخذ. خلع الرضفة أقل خطورة بشكل عام ويمكن علاجه في بعض الأحيان بالرد المغلق والعلاج الطبيعي، على الرغم من أن التكرار قد يتطلب جراحة.

5. ما هي المدة المتوقعة للتعافي بعد علاج خلع الركبة؟
تختلف مدة التعافي بشكل كبير اعتمادًا على شدة الإصابة، عدد الأربطة المتضررة، وجود إصابات أخرى (وعائية أو عصبية)، ومدى التزام المريض ببرنامج إعادة التأهيل. بشكل عام، قد تستغرق عملية التعافي الكامل من 6 أشهر إلى سنة أو أكثر للعودة إلى الأنشطة عالية المستوى، وخصوصًا الرياضة. يقدم الأستاذ الدكتور محمد هطيف خطة علاج وتأهيل مفصلة لكل مريض.

6. هل يمكنني العودة إلى ممارسة الرياضة بعد خلع الركبة؟
العودة إلى ممارسة الرياضة ممكنة في كثير من الحالات، ولكنها تتطلب التزامًا كاملاً ببرنامج إعادة التأهيل. يعتمد توقيت العودة على شفاء الأنسجة، استعادة القوة الكاملة، نطاق الحركة، والتوازن. سيقوم الأستاذ الدكتور محمد هطيف وفريق العلاج الطبيعي بتقييم تقدمك وتحديد متى تكون مستعدًا للعودة بأمان، عادةً بعد 9-12 شهرًا على الأقل من الجراحة.

7. ما هي المضاعفات المحتملة لخلع الركبة؟
تشمل المضاعفات المحتملة: إصابة الأوعية الدموية (تتطلب تدخلاً طارئًا)، إصابة الأعصاب (قد تسبب ضعفًا أو خدرًا دائمًا)، خشونة مبكرة في المفصل (التهاب المفاصل التنكسي)، تيبس الركبة، عدم الاستقرار المزمن، والتهابات. التشخيص المبكر والعلاج السريع والفعال تحت إشراف خبير مثل الدكتور هطيف يقلل بشكل كبير من هذه المضاعفات.

8. لماذا يجب أن أختار الأستاذ الدكتور محمد هطيف لعلاج خلع الركبة؟
يُعد الأستاذ الدكتور محمد هطيف الخيار الأفضل لعلاج خلع الركبة في اليمن وصنعاء لعدة أسباب:
* خبرة تتجاوز 20 عامًا: في جراحة العظام والعمود الفقري والمفاصل.
* أستاذ جامعي: أستاذ جراحة العظام في جامعة صنعاء، مما يعكس معرفته الأكاديمية والبحثية العميقة.
* استخدام أحدث التقنيات: مثل الجراحة المجهرية (Microsurgery) لإصلاح الأعصاب والأوعية الدموية، ومناظير المفاصل بتقنية 4K (Arthroscopy 4K) لإجراء جراحات دقيقة بأقل تدخل، وجراحات استبدال المفاصل (Arthroplasty).
* التميز في علاج الحالات المعقدة: بخاصة إصابات الأربطة المتعددة وإصابات الأعصاب والأوعية الدموية المصاحبة.
* الأمانة الطبية الصارمة: يلتزم الدكتور هطيف بتقديم تشخيص صادق وخطة علاج واضحة مبنية على أفضل الممارسات الطبية.

9. هل يمكن أن يتكرر خلع الركبة بعد العلاج؟
إذا تم علاج خلع الركبة بشكل صحيح وجراحيًا (إذا لزم الأمر)، والتزم المريض ببرنامج إعادة التأهيل بشكل كامل، فإن خطر تكرار الخلع يقل بشكل كبير. ومع ذلك، لا يوجد ضمان بنسبة 100%، وتظل بعض المخاطر قائمة، خاصة في الأنشطة الرياضية عالية الاحتكاك.

10. كيف يمكنني التواصل مع الأستاذ الدكتور محمد هطيف؟
للحصول على استشارة أو تحديد موعد، يُرجى التواصل عبر المعلومات المتاحة على موقعنا الإلكتروني أو من خلال عيادته في صنعاء. فريقنا مستعد لمساعدتك في أسرع وقت ممكن.


خشونة الركبة وآلامها المزمنة ليس قدراً محتوماً! التشخيص الدقيق والعلاج المتخصص يمكن أن يعيد لك كامل وظيفتك وحريتك في الحركة. لا تدع الألم يسيطر على حياتك.

للحصول على استشارة دقيقة وخطة علاجية مخصصة لحالتك، تواصل فوراً مع مركز الأستاذ الدكتور محمد هطيف:

الأستاذ الدكتور محمد هطيف - أفضل دكتور عظام في صنعاء، وخبير في جراحات منظار الركبة والمفاصل الصناعية.. نلتزم بإعادتك لحياة خالية من الألم وحركة ركبة طبيعية.

Dr. Mohammed Hutaif
محتوى موثق طبياً بإشراف
أ.د. محمد هطيف
استشاري جراحة العظام والمفاصل والعمود الفقري
محتويات الفصل